JavaScript is disabled in your browser. Please enable JavaScript to view this website.
AB171969

Anti-TBP-1 antibody [EPR12152] - N-terminal

Be the first to review this product! Submit a review

|

(4 Publications)

Rabbit Recombinant Monoclonal TBP-1 antibody. N-terminal. Suitable for IHC-P, IP, WB, ICC/IF, Flow Cyt (Intra) and reacts with Human, Mouse, Rat samples. Cited in 4 publications.

View Alternative Names

TBP1, PSMC3, 26S proteasome regulatory subunit 6A, 26S proteasome AAA-ATPase subunit RPT5, Proteasome 26S subunit ATPase 3, Proteasome subunit P50, Tat-binding protein 1, TBP-1

6 Images
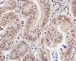
Immunohistochemistry (Formalin/PFA-fixed paraffin-embedded sections) - Anti-TBP-1 antibody [EPR12152] - N-terminal (AB171969)
  • IHC-P

Supplier Data

Immunohistochemistry (Formalin/PFA-fixed paraffin-embedded sections) - Anti-TBP-1 antibody [EPR12152] - N-terminal (AB171969)

Immunohistochemical analysis of paraffin-embedded Human ovarian carcinoma tissue labeling TBP-1 using ab171969 at a 1/50 dilution.

Perform heat mediated antigen retrieval with citrate buffer pH 6 before commencing with IHC staining protocol.

Flow Cytometry (Intracellular) - Anti-TBP-1 antibody [EPR12152] - N-terminal (AB171969)
  • Flow Cyt (Intra)

Supplier Data

Flow Cytometry (Intracellular) - Anti-TBP-1 antibody [EPR12152] - N-terminal (AB171969)

Intracellular flow cytometric analysis of permeabilized 293 cells, labeling TBP-1using ab171969 at a 1/10 dilution (red) or a rabbit IgG negative control (green).

Immunocytochemistry/ Immunofluorescence - Anti-TBP-1 antibody [EPR12152] - N-terminal (AB171969)
  • ICC/IF

Supplier Data

Immunocytochemistry/ Immunofluorescence - Anti-TBP-1 antibody [EPR12152] - N-terminal (AB171969)

Immunofluorescence analysis of 293 cells labeling TBP-1 using ab171969 at a 1/250 dilution.

Immunohistochemistry (Formalin/PFA-fixed paraffin-embedded sections) - Anti-TBP-1 antibody [EPR12152] - N-terminal (AB171969)
  • IHC-P

Supplier Data

Immunohistochemistry (Formalin/PFA-fixed paraffin-embedded sections) - Anti-TBP-1 antibody [EPR12152] - N-terminal (AB171969)

Immunohistochemical analysis of paraffin-embedded Human tonsil tissue labeling TBP-1 using ab171969 at a 1/50 dilution.

Perform heat mediated antigen retrieval with citrate buffer pH 6 before commencing with IHC staining protocol.

Immunoprecipitation - Anti-TBP-1 antibody [EPR12152] - N-terminal (AB171969)
  • IP

Supplier Data

Immunoprecipitation - Anti-TBP-1 antibody [EPR12152] - N-terminal (AB171969)

Western blot analysis on immunoprecipitation pellet from (Lane 1) HeLa cell lysate or (Lane 2) 1X PBS (negative control) using ab171969 at a 1/10 dilution and HRP-conjugated anti-rabbit IgG preferentially detecting the non-reduced form of rabbit IgG.

All lanes:

Immunoprecipitation - Anti-TBP-1 antibody [EPR12152] - N-terminal (ab171969)

Predicted band size: 49 kDa

false

Western blot - Anti-TBP-1 antibody [EPR12152] - N-terminal (AB171969)
  • WB

Supplier Data

Western blot - Anti-TBP-1 antibody [EPR12152] - N-terminal (AB171969)

All lanes:

Western blot - Anti-TBP-1 antibody [EPR12152] - N-terminal (ab171969) at 1/1000 dilution

Lane 1:

Human placenta lysate at 10 µg

Lane 2:

293T cell lysate at 10 µg

Lane 3:

HeLa cell lysate at 10 µg

Lane 4:

HepG2 cell lysate at 10 µg

Secondary

All lanes:

Standard HRP labeled goat anti-rabbit at 1/2000 dilution

Predicted band size: 49 kDa

true

  • Carrier free

    Anti-TBP-1 antibody [EPR12152] - BSA and Azide free

Key facts

Host species

Rabbit

Clonality

Monoclonal

Clone number

EPR12152

Isotype

IgG

Carrier free

No

Reacts with

Human

Applications

IP, Flow Cyt (Intra), IHC-P, ICC/IF, WB

applications

Immunogen

The exact immunogen used to generate this antibody is proprietary information.

Reactivity data

{ "title": "Reactivity Data", "filters": { "stats": ["", "Species", "Dilution Info", "Notes"], "tabs": { "all-applications": {"fullname" : "All Applications", "shortname": "All Applications"}, "IHCP" : {"fullname" : "Immunohistochemistry (Formalin/PFA-fixed paraffin-embedded sections)", "shortname":"IHC-P"}, "IP" : {"fullname" : "Immunoprecipitation", "shortname":"IP"}, "WB" : {"fullname" : "Western blot", "shortname":"WB"}, "ICCIF" : {"fullname" : "Immunocytochemistry/ Immunofluorescence", "shortname":"ICC/IF"}, "FlowCytIntra" : {"fullname" : "Flow Cytometry (Intracellular)", "shortname":"Flow Cyt (Intra)"} }, "product-promise": { "all": "all", "testedAndGuaranteed": "tested", "guaranteed": "expected", "predicted": "predicted", "notRecommended": "not-recommended" } }, "values": { "Human": { "IHCP-species-checked": "testedAndGuaranteed", "IHCP-species-dilution-info": "1/50 - 1/100", "IHCP-species-notes": "<p></p>", "IP-species-checked": "testedAndGuaranteed", "IP-species-dilution-info": "1/10 - 1/100", "IP-species-notes": "<p></p>", "WB-species-checked": "testedAndGuaranteed", "WB-species-dilution-info": "1/1000 - 1/5000", "WB-species-notes": "<p></p>", "ICCIF-species-checked": "testedAndGuaranteed", "ICCIF-species-dilution-info": "1/250 - 1/500", "ICCIF-species-notes": "<p></p>", "FlowCytIntra-species-checked": "testedAndGuaranteed", "FlowCytIntra-species-dilution-info": "1/10 - 1/100", "FlowCytIntra-species-notes": "<p><a href='/en-us/products/primary-antibodies/rabbit-igg-monoclonal-epr25a-isotype-control-ab172730'>ab172730</a> - Rabbit monoclonal IgG, is suitable for use as an isotype control with this antibody.</p>" }, "Mouse": { "IHCP-species-checked": "predicted", "IHCP-species-dilution-info": "", "IHCP-species-notes": "", "IP-species-checked": "predicted", "IP-species-dilution-info": "", "IP-species-notes": "", "WB-species-checked": "guaranteed", "WB-species-dilution-info": "", "WB-species-notes": "<p></p>", "ICCIF-species-checked": "predicted", "ICCIF-species-dilution-info": "", "ICCIF-species-notes": "", "FlowCytIntra-species-checked": "predicted", "FlowCytIntra-species-dilution-info": "", "FlowCytIntra-species-notes": "" }, "Rat": { "IHCP-species-checked": "predicted", "IHCP-species-dilution-info": "", "IHCP-species-notes": "", "IP-species-checked": "predicted", "IP-species-dilution-info": "", "IP-species-notes": "", "WB-species-checked": "guaranteed", "WB-species-dilution-info": "", "WB-species-notes": "<p></p>", "ICCIF-species-checked": "predicted", "ICCIF-species-dilution-info": "", "ICCIF-species-notes": "", "FlowCytIntra-species-checked": "predicted", "FlowCytIntra-species-dilution-info": "", "FlowCytIntra-species-notes": "" } } }

Product details

Patented technology
Our RabMAb® technology is a patented hybridoma-based technology for making rabbit monoclonal antibodies. For details on our patents, please refer to RabMAb® patents.

What are the advantages of a recombinant monoclonal antibody?
This product is a recombinant monoclonal antibody, which offers several advantages including:

  • - High batch-to-batch consistency and reproducibility
  • - Improved sensitivity and specificity
  • - Long-term security of supply
  • - Animal-free batch production

For more information, read more on recombinant antibodies.

Properties and storage information

Form
Liquid
Purity
Tissue culture supernatant
Storage buffer
pH: 7.2 - 7.4 Preservative: 0.01% Sodium azide Constituents: PBS, 50% Tissue culture supernatant, 40% Glycerol (glycerin, glycerine), 0.05% BSA
Shipped at conditions
Blue Ice
Appropriate short-term storage duration
1-2 weeks
Appropriate short-term storage conditions
+4°C
Appropriate long-term storage conditions
-20°C
Aliquoting information
Upon delivery aliquot
Storage information
Avoid freeze / thaw cycle

Supplementary information

This supplementary information is collated from multiple sources and compiled automatically.

TBP-1 also called Tat-binding protein-1 is a critical player in the regulation of protein degradation. It is a component of the 19S regulatory particle of the 26S proteasome. The molecular mass of TBP-1 is approximately 56 kDa. Expression of TBP-1 is noted in various tissues reflecting its essential role in cellular processes. As a proteasome member it contributes to the recognition and unfolding of ubiquitinated proteins designated for degradation.
Biological function summary

TBP-1 functions as an ATPase in the 26S proteasome complex aiding in the breakdown of proteins. This breakdown is important for maintaining protein homeostasis by removing misfolded or damaged proteins. In the proteasome complex TBP-1 collaborates with other ATPases to control access of substrates to the proteolytic core. This role ensures a regulated protein turnover which is important for cell cycle progression and stress responses.

Pathways

TBP-1 serves a significant role in the ubiquitin-proteasome pathway and the regulation of transcription. In the ubiquitin-proteasome pathway it collaborates with other regulatory subunits to modulate proteasomal activity. TBP-1 is associated with proteins like Rpt5 and Rpt1 which are also ATPases in the 19S regulatory particle coordinating the denaturation and translocation of proteins into the 20S core particle for degradation.

TBP-1's malfunction or altered expression can contribute to neurodegenerative diseases such as Parkinson's disease and Alzheimer's disease. In these conditions improper protein degradation leads to accumulation of toxic protein aggregates. Through these pathways TBP-1 interacts with proteins like alpha-synuclein in Parkinson's disease where its dysfunction exacerbates aggregation. Understanding TBP-1's role offers insights for therapeutic approaches aimed at modulating the proteasomal degradation machinery in such diseases.

Product protocols

For this product, it's our understanding that no specific protocols are required. You can visit:

Target data

Component of the 26S proteasome, a multiprotein complex involved in the ATP-dependent degradation of ubiquitinated proteins. This complex plays a key role in the maintenance of protein homeostasis by removing misfolded or damaged proteins, which could impair cellular functions, and by removing proteins whose functions are no longer required. Therefore, the proteasome participates in numerous cellular processes, including cell cycle progression, apoptosis, or DNA damage repair. PSMC3 belongs to the heterohexameric ring of AAA (ATPases associated with diverse cellular activities) proteins that unfolds ubiquitinated target proteins that are concurrently translocated into a proteolytic chamber and degraded into peptides.
See full target information PSMC3

Publications (4)

Recent publications for all applications. Explore the full list and refine your search

Pharmaceutical biology 60:1865-1875 PubMed36205544

2022

Sasanquasaponin inhibited epithelial to mesenchymal transition in prostate cancer by regulating the PI3K/Akt/mTOR and Smad pathways.

Applications

Unspecified application

Species

Unspecified reactive species

Wenfeng Li,Yuanshen Mao,Bao Hua,Xin Gu,Chao Lu,Bin Xu,Weixin Pan

Molecular medicine reports 23: PubMed33846792

2021

MicroRNA‑29‑3p regulates the β‑catenin pathway by targeting IGF1 to inhibit the proliferation of prolactinoma cells.

Applications

Unspecified application

Species

Unspecified reactive species

Jie Xia,Songmei Li,Dianfei Ma,Wenyujie Guo,Hong Long,Weiping Yin

EMBO molecular medicine 12:e11861 PubMed32500975

2020

Proteasome subunit PSMC3 variants cause neurosensory syndrome combining deafness and cataract due to proteotoxic stress.

Applications

Unspecified application

Species

Unspecified reactive species

Ariane Kröll-Hermi,Frédéric Ebstein,Corinne Stoetzel,Véronique Geoffroy,Elise Schaefer,Sophie Scheidecker,Séverine Bär,Masanari Takamiya,Koichi Kawakami,Barbara A Zieba,Fouzia Studer,Valerie Pelletier,Carine Eyermann,Claude Speeg-Schatz,Vincent Laugel,Dan Lipsker,Florian Sandron,Steven McGinn,Anne Boland,Jean-François Deleuze,Lauriane Kuhn,Johana Chicher,Philippe Hammann,Sylvie Friant,Christelle Etard,Elke Krüger,Jean Muller,Uwe Strähle,Hélène Dollfus

Life science alliance 2: PubMed31431473

2019

A molecule inducing androgen receptor degradation and selectively targeting prostate cancer cells.

Applications

Unspecified application

Species

Unspecified reactive species

Serge Auvin,Harun Öztürk,Yusuf T Abaci,Gisele Mautino,Florence Meyer-Losic,Florence Jollivet,Tarig Bashir,Hugues de Thé,Umut Sahin
View all publications

Product promise

We are committed to supporting your work with high-quality reagents, and we're here for you every step of the way. In the unlikely event that one of our products does not perform as expected, you're protected by our Product Promise.
For full details, please see our Terms & Conditions

Please note: All products are 'FOR RESEARCH USE ONLY. NOT FOR USE IN DIAGNOSTIC OR THERAPEUTIC PROCEDURES'.

For licensing inquiries, please contact partnerships@abcam.com