JavaScript is disabled in your browser. Please enable JavaScript to view this website.
AB140515

Anti-Tbp7 antibody

Be the first to review this product! Submit a review

|

(6 Publications)

Rabbit Polyclonal Tbp7 antibody. Suitable for IP, WB, IHC-P and reacts with Human samples. Cited in 6 publications. Immunogen corresponding to Synthetic Peptide within Human PSMC4 aa 350 to C-terminus.

View Alternative Names

MIP224, TBP7, PSMC4, 26S proteasome regulatory subunit 6B, 26S proteasome AAA-ATPase subunit RPT3, MB67-interacting protein, Proteasome 26S subunit ATPase 4, Tat-binding protein 7, TBP-7

3 Images
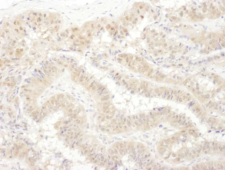
Immunohistochemistry (Formalin/PFA-fixed paraffin-embedded sections) - Anti-Tbp7 antibody (AB140515)
  • IHC-P

Supplier Data

Immunohistochemistry (Formalin/PFA-fixed paraffin-embedded sections) - Anti-Tbp7 antibody (AB140515)

Immunohistochemical analysis of formalin-fixed, paraffin-embedded human ovarian carcinoma tissue labeling Tbp7 with ab140515 at a 1/1000 dilution.

Immunoprecipitation - Anti-Tbp7 antibody (AB140515)
  • IP

Unknown

Immunoprecipitation - Anti-Tbp7 antibody (AB140515)

Immunoprecipitation of Tbp7 from 293T whole cell lysate using ab140515 at 6 µg/mg lysate (1 mg of lysate for IP; 20% of IP loaded).
For blotting immunoprecipitated Tbp7 , ab140515 was used at 1 µg/ml.
Detection : chemiluminescence with an exposure time of 3 seconds.

All lanes:

Immunoprecipitation - Anti-Tbp7 antibody (ab140515)

Predicted band size: 29 kDa,46 kDa,47 kDa,56 kDa,58 kDa,80 kDa

Observed band size: 29 kDa,46 kDa

false

Western blot - Anti-Tbp7 antibody (AB140515)
  • WB

Unknown

Western blot - Anti-Tbp7 antibody (AB140515)

All lanes:

Western blot - Anti-Tbp7 antibody (ab140515) at 0.4 µg/mL

Lane 1:

293T whole cell lysate at 50 µg

Lane 2:

293T whole cell lysate at 15 µg

Lane 3:

HeLa whole cell lysate at 50 µg

Lane 4:

Jurkat whole cell lysate at 50 µg

Predicted band size: 47 kDa

true

Exposure time: 30s

Key facts

Host species

Rabbit

Clonality

Polyclonal

Isotype

IgG

Carrier free

No

Reacts with

Human

Applications

IP, IHC-P, WB

applications

Immunogen

Synthetic Peptide within Human PSMC4 aa 350 to C-terminus. The exact immunogen used to generate this antibody is proprietary information.

P43686

Reactivity data

{ "title": "Reactivity Data", "filters": { "stats": ["", "Species", "Dilution Info", "Notes"], "tabs": { "all-applications": {"fullname" : "All Applications", "shortname": "All Applications"}, "IP" : {"fullname" : "Immunoprecipitation", "shortname":"IP"}, "WB" : {"fullname" : "Western blot", "shortname":"WB"}, "IHCP" : {"fullname" : "Immunohistochemistry (Formalin/PFA-fixed paraffin-embedded sections)", "shortname":"IHC-P"} }, "product-promise": { "all": "all", "testedAndGuaranteed": "tested", "guaranteed": "expected", "predicted": "predicted", "notRecommended": "not-recommended" } }, "values": { "Human": { "IP-species-checked": "testedAndGuaranteed", "IP-species-dilution-info": "2-10 µg", "IP-species-notes": "<p></p>", "WB-species-checked": "testedAndGuaranteed", "WB-species-dilution-info": "1/1000 - 1/5000", "WB-species-notes": "<p></p>", "IHCP-species-checked": "testedAndGuaranteed", "IHCP-species-dilution-info": "", "IHCP-species-notes": "<p></p>" }, "Mouse": { "IP-species-checked": "predicted", "IP-species-dilution-info": "", "IP-species-notes": "", "WB-species-checked": "predicted", "WB-species-dilution-info": "", "WB-species-notes": "", "IHCP-species-checked": "predicted", "IHCP-species-dilution-info": "", "IHCP-species-notes": "" }, "Rat": { "IP-species-checked": "predicted", "IP-species-dilution-info": "", "IP-species-notes": "", "WB-species-checked": "predicted", "WB-species-dilution-info": "", "WB-species-notes": "", "IHCP-species-checked": "predicted", "IHCP-species-dilution-info": "", "IHCP-species-notes": "" }, "Chimpanzee": { "IP-species-checked": "predicted", "IP-species-dilution-info": "", "IP-species-notes": "", "WB-species-checked": "predicted", "WB-species-dilution-info": "", "WB-species-notes": "", "IHCP-species-checked": "predicted", "IHCP-species-dilution-info": "", "IHCP-species-notes": "" }, "Chinese hamster": { "IP-species-checked": "predicted", "IP-species-dilution-info": "", "IP-species-notes": "", "WB-species-checked": "predicted", "WB-species-dilution-info": "", "WB-species-notes": "", "IHCP-species-checked": "predicted", "IHCP-species-dilution-info": "", "IHCP-species-notes": "" }, "Cow": { "IP-species-checked": "predicted", "IP-species-dilution-info": "", "IP-species-notes": "", "WB-species-checked": "predicted", "WB-species-dilution-info": "", "WB-species-notes": "", "IHCP-species-checked": "predicted", "IHCP-species-dilution-info": "", "IHCP-species-notes": "" }, "Dog": { "IP-species-checked": "predicted", "IP-species-dilution-info": "", "IP-species-notes": "", "WB-species-checked": "predicted", "WB-species-dilution-info": "", "WB-species-notes": "", "IHCP-species-checked": "predicted", "IHCP-species-dilution-info": "", "IHCP-species-notes": "" }, "Drosophila melanogaster": { "IP-species-checked": "predicted", "IP-species-dilution-info": "", "IP-species-notes": "", "WB-species-checked": "predicted", "WB-species-dilution-info": "", "WB-species-notes": "", "IHCP-species-checked": "predicted", "IHCP-species-dilution-info": "", "IHCP-species-notes": "" }, "Gorilla": { "IP-species-checked": "predicted", "IP-species-dilution-info": "", "IP-species-notes": "", "WB-species-checked": "predicted", "WB-species-dilution-info": "", "WB-species-notes": "", "IHCP-species-checked": "predicted", "IHCP-species-dilution-info": "", "IHCP-species-notes": "" }, "Guinea pig": { "IP-species-checked": "predicted", "IP-species-dilution-info": "", "IP-species-notes": "", "WB-species-checked": "predicted", "WB-species-dilution-info": "", "WB-species-notes": "", "IHCP-species-checked": "predicted", "IHCP-species-dilution-info": "", "IHCP-species-notes": "" }, "Horse": { "IP-species-checked": "predicted", "IP-species-dilution-info": "", "IP-species-notes": "", "WB-species-checked": "predicted", "WB-species-dilution-info": "", "WB-species-notes": "", "IHCP-species-checked": "predicted", "IHCP-species-dilution-info": "", "IHCP-species-notes": "" }, "Orangutan": { "IP-species-checked": "predicted", "IP-species-dilution-info": "", "IP-species-notes": "", "WB-species-checked": "predicted", "WB-species-dilution-info": "", "WB-species-notes": "", "IHCP-species-checked": "predicted", "IHCP-species-dilution-info": "", "IHCP-species-notes": "" }, "Rabbit": { "IP-species-checked": "predicted", "IP-species-dilution-info": "", "IP-species-notes": "", "WB-species-checked": "predicted", "WB-species-dilution-info": "", "WB-species-notes": "", "IHCP-species-checked": "predicted", "IHCP-species-dilution-info": "", "IHCP-species-notes": "" }, "Rhesus monkey": { "IP-species-checked": "predicted", "IP-species-dilution-info": "", "IP-species-notes": "", "WB-species-checked": "predicted", "WB-species-dilution-info": "", "WB-species-notes": "", "IHCP-species-checked": "predicted", "IHCP-species-dilution-info": "", "IHCP-species-notes": "" }, "Xenopus laevis": { "IP-species-checked": "predicted", "IP-species-dilution-info": "", "IP-species-notes": "", "WB-species-checked": "predicted", "WB-species-dilution-info": "", "WB-species-notes": "", "IHCP-species-checked": "predicted", "IHCP-species-dilution-info": "", "IHCP-species-notes": "" }, "Xenopus tropicalis": { "IP-species-checked": "predicted", "IP-species-dilution-info": "", "IP-species-notes": "", "WB-species-checked": "predicted", "WB-species-dilution-info": "", "WB-species-notes": "", "IHCP-species-checked": "predicted", "IHCP-species-dilution-info": "", "IHCP-species-notes": "" }, "Zebrafish": { "IP-species-checked": "predicted", "IP-species-dilution-info": "", "IP-species-notes": "", "WB-species-checked": "predicted", "WB-species-dilution-info": "", "WB-species-notes": "", "IHCP-species-checked": "predicted", "IHCP-species-dilution-info": "", "IHCP-species-notes": "" } } }

Properties and storage information

Form
Liquid
Purification technique
Affinity purification Immunogen
Purification notes
ab140515 was affinity purified using an epitope specific to Tbp7 immobilized on a solid support.
Storage buffer
pH: 7 - 8 Preservative: 0.09% Sodium azide Constituents: 99% Tris citrate/phosphate
Shipped at conditions
Blue Ice
Appropriate short-term storage conditions
+4°C
Appropriate long-term storage conditions
+4°C

Supplementary information

This supplementary information is collated from multiple sources and compiled automatically.

Tbp7 also known as Tat-binding protein 7 is an essential component linked to various cellular processes. It has a molecular mass of about 76 kDa and is found in many tissues with significant expression in the brain and immune cells. It operates mechanically by interacting with components of the cellular machinery to influence transcription regulation and growth signaling. Tbp7's involvement in these processes highlights its importance in maintaining cellular homeostasis.
Biological function summary

Tbp7 plays an important role in the ubiquitin-proteasome system contributing to protein degradation and turnover. It forms a part of the ATP-dependent proteasome activator complex where it collaborates with other proteins like PSMC components to regulate protein breakdown. This system ensures the removal of damaged or unneeded proteins thereby protecting cells from stress and maintaining protein quality control.

Pathways

Tbp7 directly influences pathways such as the NF-kB signaling pathway and the mTOR pathway. It interacts with proteins like IkB and mTOR which are pivotal for controlling inflammation and autophagy respectively. By modulating these pathways Tbp7 helps balance cellular responses to stress and nutrient conditions reflecting its role as a regulator in cell survival and growth.

Researchers link Tbp7 to neurodegenerative diseases and certain immune disorders. Alterations in Tbp7 function can disrupt protein degradation exacerbating conditions like Alzheimer's disease and lupus. Proteins such as beta-amyloid in Alzheimer’s and immune cell activators in lupus are affected through Tbp7’s regulation of protein decay pathways highlighting its contribution to disease pathophysiology.

Product protocols

For this product, it's our understanding that no specific protocols are required. You can visit:

Target data

Component of the 26S proteasome, a multiprotein complex involved in the ATP-dependent degradation of ubiquitinated proteins. This complex plays a key role in the maintenance of protein homeostasis by removing misfolded or damaged proteins, which could impair cellular functions, and by removing proteins whose functions are no longer required. Therefore, the proteasome participates in numerous cellular processes, including cell cycle progression, apoptosis, or DNA damage repair. PSMC4 belongs to the heterohexameric ring of AAA (ATPases associated with diverse cellular activities) proteins that unfolds ubiquitinated target proteins that are concurrently translocated into a proteolytic chamber and degraded into peptides.
See full target information PSMC4

Publications (6)

Recent publications for all applications. Explore the full list and refine your search

Molecular cell 84:522-537.e8 PubMed38151017

2023

hRpn13 shapes the proteome and transcriptome through epigenetic factors HDAC8, PADI4, and transcription factor NF-κB p50.

Applications

Unspecified application

Species

Unspecified reactive species

Vasty Osei-Amponsa,Monika Chandravanshi,Xiuxiu Lu,Valentin Magidson,Sudipto Das,Thorkell Andresson,Marzena Dyba,Venkata R Sabbasani,Rolf E Swenson,Caroline Fromont,Biraj Shrestha,Yongmei Zhao,Michelle E Clapp,Raj Chari,Kylie J Walters

Nature communications 12:7318 PubMed34916494

2021

Structure-guided bifunctional molecules hit a DEUBAD-lacking hRpn13 species upregulated in multiple myeloma.

Applications

Unspecified application

Species

Unspecified reactive species

Xiuxiu Lu,Venkata R Sabbasani,Vasty Osei-Amponsa,Christine N Evans,Julianna C King,Sergey G Tarasov,Marzena Dyba,Sudipto Das,King C Chan,Charles D Schwieters,Sulbha Choudhari,Caroline Fromont,Yongmei Zhao,Bao Tran,Xiang Chen,Hiroshi Matsuo,Thorkell Andresson,Raj Chari,Rolf E Swenson,Nadya I Tarasova,Kylie J Walters

Molecular and cellular biology 40: PubMed32631902

2020

Impact of Losing hRpn13 Pru or UCHL5 on Proteasome Clearance of Ubiquitinated Proteins and RA190 Cytotoxicity.

Applications

Unspecified application

Species

Unspecified reactive species

Vasty Osei-Amponsa,Vinidhra Sridharan,Mayank Tandon,Christine N Evans,Kimberly Klarmann,Kwong Tai Cheng,Justin Lack,Raj Chari,Kylie J Walters

Nature communications 11:1291 PubMed32157086

2020

Structure of E3 ligase E6AP with a proteasome-binding site provided by substrate receptor hRpn10.

Applications

Unspecified application

Species

Unspecified reactive species

Gwen R Buel,Xiang Chen,Raj Chari,Maura J O'Neill,Danielle L Ebelle,Conor Jenkins,Vinidhra Sridharan,Sergey G Tarasov,Nadya I Tarasova,Thorkell Andresson,Kylie J Walters

Molecular cell 70:906-919.e7 PubMed29804830

2018

ZFAND1 Recruits p97 and the 26S Proteasome to Promote the Clearance of Arsenite-Induced Stress Granules.

Applications

Unspecified application

Species

Unspecified reactive species

Ankit Turakhiya,Susanne R Meyer,Gabriella Marincola,Stefanie Böhm,Jens T Vanselow,Andreas Schlosser,Kay Hofmann,Alexander Buchberger

Nature communications 8:15540 PubMed28598414

2017

Structure of the Rpn13-Rpn2 complex provides insights for Rpn13 and Uch37 as anticancer targets.

Applications

Unspecified application

Species

Unspecified reactive species

Xiuxiu Lu,Urszula Nowicka,Vinidhra Sridharan,Fen Liu,Leah Randles,David Hymel,Marzena Dyba,Sergey G Tarasov,Nadya I Tarasova,Xue Zhi Zhao,Jun Hamazaki,Shigeo Murata,Terrence R Burke,Kylie J Walters
View all publications

Product promise

We are committed to supporting your work with high-quality reagents, and we're here for you every step of the way. In the unlikely event that one of our products does not perform as expected, you're protected by our Product Promise.
For full details, please see our Terms & Conditions

Please note: All products are 'FOR RESEARCH USE ONLY. NOT FOR USE IN DIAGNOSTIC OR THERAPEUTIC PROCEDURES'.

For licensing inquiries, please contact partnerships@abcam.com