JavaScript is disabled in your browser. Please enable JavaScript to view this website.
AB196589

Anti-Tbp7 antibody

Be the first to review this product! Submit a review

|

(2 Publications)

Rabbit Polyclonal Tbp7 antibody. Suitable for WB, IHC-P, ICC/IF and reacts with Human, Mouse, Rat samples. Cited in 2 publications.

View Alternative Names

MIP224, TBP7, PSMC4, 26S proteasome regulatory subunit 6B, 26S proteasome AAA-ATPase subunit RPT3, MB67-interacting protein, Proteasome 26S subunit ATPase 4, Tat-binding protein 7, TBP-7

5 Images
Immunohistochemistry (Formalin/PFA-fixed paraffin-embedded sections) - Anti-Tbp7 antibody (AB196589)
  • IHC-P

Supplier Data

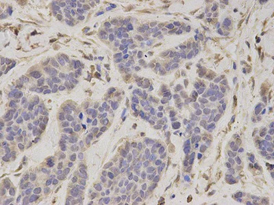
Immunohistochemistry (Formalin/PFA-fixed paraffin-embedded sections) - Anti-Tbp7 antibody (AB196589)

Immunohistochemical analysis of paraffin-embedded human breast cancer tissue labelling Tbp7 using ab196589 at a 1/100 dilution.

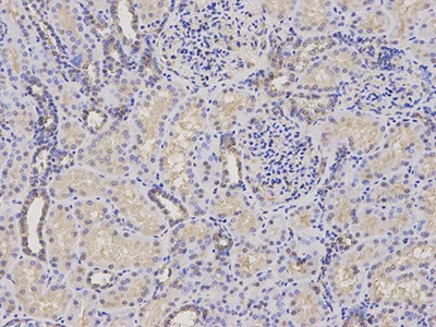
Immunohistochemistry (Formalin/PFA-fixed paraffin-embedded sections) - Anti-Tbp7 antibody (AB196589)
  • IHC-P

Supplier Data

Immunohistochemistry (Formalin/PFA-fixed paraffin-embedded sections) - Anti-Tbp7 antibody (AB196589)

Immunohistochemical analysis of paraffin-embedded human kidney tissue labelling Tbp7 using ab196589 at a 1/100 dilution.

Immunocytochemistry/ Immunofluorescence - Anti-Tbp7 antibody (AB196589)
  • ICC/IF

Supplier Data

Immunocytochemistry/ Immunofluorescence - Anti-Tbp7 antibody (AB196589)

Immunofluorescence analysis of U2OS cell labelling Tbp7 using ab196589 at a 1/50 dilution (top) with DAPI blue for nuclear staining (bottom)

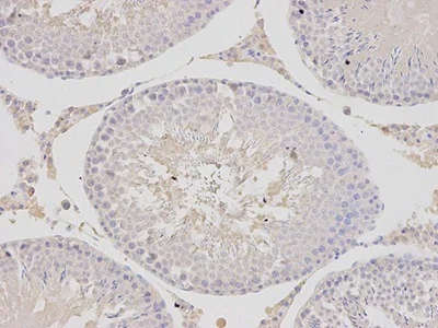
Immunohistochemistry (Formalin/PFA-fixed paraffin-embedded sections) - Anti-Tbp7 antibody (AB196589)
  • IHC-P

Supplier Data

Immunohistochemistry (Formalin/PFA-fixed paraffin-embedded sections) - Anti-Tbp7 antibody (AB196589)

Immunohistochemical analysis of paraffin-embedded rat testis tissue labelling Tbp7 using ab196589 at a 1/100 dilution.

Western blot - Anti-Tbp7 antibody (AB196589)
  • WB

Supplier Data

Western blot - Anti-Tbp7 antibody (AB196589)

All lanes:

Western blot - Anti-Tbp7 antibody (ab196589) at 1/500 dilution

Lane 1:

HepG2 cell extract

Lane 2:

U251 cell extract

Lane 3:

293T cell extract

Lane 4:

BT474 cell extract

Lane 5:

A549 cell extract

Lane 6:

HeLa cell extract

Lane 7:

Jurkat cell extract

Lanes 8 - 9:

Mouse liver extract

Predicted band size: 47 kDa

false

Key facts

Host species

Rabbit

Clonality

Polyclonal

Isotype

IgG

Carrier free

No

Reacts with

Mouse, Rat, Human

Applications

IHC-P, WB, ICC/IF

applications

Immunogen

The exact immunogen used to generate this antibody is proprietary information.

Reactivity data

{ "title": "Reactivity Data", "filters": { "stats": ["", "Species", "Dilution Info", "Notes"], "tabs": { "all-applications": {"fullname" : "All Applications", "shortname": "All Applications"}, "WB" : {"fullname" : "Western blot", "shortname":"WB"}, "IHCP" : {"fullname" : "Immunohistochemistry (Formalin/PFA-fixed paraffin-embedded sections)", "shortname":"IHC-P"}, "ICCIF" : {"fullname" : "Immunocytochemistry/ Immunofluorescence", "shortname":"ICC/IF"} }, "product-promise": { "all": "all", "testedAndGuaranteed": "tested", "guaranteed": "expected", "predicted": "predicted", "notRecommended": "not-recommended" } }, "values": { "Human": { "WB-species-checked": "testedAndGuaranteed", "WB-species-dilution-info": "1/500 - 1/2000", "WB-species-notes": "<p></p>", "IHCP-species-checked": "testedAndGuaranteed", "IHCP-species-dilution-info": "1/50 - 1/200", "IHCP-species-notes": "<p></p>", "ICCIF-species-checked": "testedAndGuaranteed", "ICCIF-species-dilution-info": "1/50 - 1/200", "ICCIF-species-notes": "<p></p>" }, "Mouse": { "WB-species-checked": "testedAndGuaranteed", "WB-species-dilution-info": "1/500 - 1/2000", "WB-species-notes": "<p></p>", "IHCP-species-checked": "guaranteed", "IHCP-species-dilution-info": "", "IHCP-species-notes": "", "ICCIF-species-checked": "guaranteed", "ICCIF-species-dilution-info": "", "ICCIF-species-notes": "" }, "Rat": { "WB-species-checked": "guaranteed", "WB-species-dilution-info": "", "WB-species-notes": "", "IHCP-species-checked": "testedAndGuaranteed", "IHCP-species-dilution-info": "1/50 - 1/200", "IHCP-species-notes": "<p></p>", "ICCIF-species-checked": "guaranteed", "ICCIF-species-dilution-info": "", "ICCIF-species-notes": "" } } }

Properties and storage information

Form
Liquid
Purification technique
Affinity purification Immunogen
Storage buffer
pH: 7.4 Preservative: 0.02% Sodium azide Constituents: PBS, 50% Glycerol (glycerin, glycerine), 0.87% Sodium chloride
Shipped at conditions
Blue Ice
Appropriate short-term storage duration
1-2 weeks
Appropriate short-term storage conditions
+4°C
Appropriate long-term storage conditions
-20°C
Aliquoting information
Upon delivery aliquot
Storage information
Avoid freeze / thaw cycle

Supplementary information

This supplementary information is collated from multiple sources and compiled automatically.

Tbp7 also known as Tat-binding protein 7 is an essential component linked to various cellular processes. It has a molecular mass of about 76 kDa and is found in many tissues with significant expression in the brain and immune cells. It operates mechanically by interacting with components of the cellular machinery to influence transcription regulation and growth signaling. Tbp7's involvement in these processes highlights its importance in maintaining cellular homeostasis.
Biological function summary

Tbp7 plays an important role in the ubiquitin-proteasome system contributing to protein degradation and turnover. It forms a part of the ATP-dependent proteasome activator complex where it collaborates with other proteins like PSMC components to regulate protein breakdown. This system ensures the removal of damaged or unneeded proteins thereby protecting cells from stress and maintaining protein quality control.

Pathways

Tbp7 directly influences pathways such as the NF-kB signaling pathway and the mTOR pathway. It interacts with proteins like IkB and mTOR which are pivotal for controlling inflammation and autophagy respectively. By modulating these pathways Tbp7 helps balance cellular responses to stress and nutrient conditions reflecting its role as a regulator in cell survival and growth.

Researchers link Tbp7 to neurodegenerative diseases and certain immune disorders. Alterations in Tbp7 function can disrupt protein degradation exacerbating conditions like Alzheimer's disease and lupus. Proteins such as beta-amyloid in Alzheimer’s and immune cell activators in lupus are affected through Tbp7’s regulation of protein decay pathways highlighting its contribution to disease pathophysiology.

Product protocols

For this product, it's our understanding that no specific protocols are required. You can visit:

Target data

Component of the 26S proteasome, a multiprotein complex involved in the ATP-dependent degradation of ubiquitinated proteins. This complex plays a key role in the maintenance of protein homeostasis by removing misfolded or damaged proteins, which could impair cellular functions, and by removing proteins whose functions are no longer required. Therefore, the proteasome participates in numerous cellular processes, including cell cycle progression, apoptosis, or DNA damage repair. PSMC4 belongs to the heterohexameric ring of AAA (ATPases associated with diverse cellular activities) proteins that unfolds ubiquitinated target proteins that are concurrently translocated into a proteolytic chamber and degraded into peptides.
See full target information PSMC4

Publications (2)

Recent publications for all applications. Explore the full list and refine your search

Journal of cellular and molecular medicine 27:2437-2447 PubMed37436074

2023

PSMC4 promotes prostate carcinoma progression by regulating the CBX3-EGFR-PI3K-AKT-mTOR pathway.

Applications

Unspecified application

Species

Unspecified reactive species

Kaifeng Liu,Shengmin Zhang,Yongzhan Gong,Panyan Zhu,Weigan Shen,Qi Zhang

International journal of molecular sciences 21: PubMed33092050

2020

The Status of Bile Acids and Farnesoid X Receptor in Brain and Liver of Rats with Thioacetamide-Induced Acute Liver Failure.

Applications

Unspecified application

Species

Unspecified reactive species

Anna Maria Czarnecka,Krzysztof Milewski,Jan Albrecht,Magdalena Zielińska
View all publications

Product promise

We are committed to supporting your work with high-quality reagents, and we're here for you every step of the way. In the unlikely event that one of our products does not perform as expected, you're protected by our Product Promise.
For full details, please see our Terms & Conditions

Please note: All products are 'FOR RESEARCH USE ONLY. NOT FOR USE IN DIAGNOSTIC OR THERAPEUTIC PROCEDURES'.

For licensing inquiries, please contact partnerships@abcam.com