JavaScript is disabled in your browser. Please enable JavaScript to view this website.
AB183032

Anti-TBR1 antibody [EPR8138(2)]

5

(5 Reviews)

|

(47 Publications)

Anti-TBR1 antibody [EPR8138(2)] (ab183032) is a rabbit monoclonal antibody detecting TBR1 in Western Blot, IHC-P, IHC-Fr, ICC/IF. Suitable for Human, Mouse, Rat.

- Biophysical QC for unrivalled batch-batch consistency
- Over 10 publications

View Alternative Names

T-box brain protein 1, T-brain-1, TBR-1, TES-56, TBR1

9 Images
Immunohistochemistry (Frozen sections) - Anti-TBR1 antibody [EPR8138(2)] (AB183032)
  • IHC-Fr

AbReview60326****

Immunohistochemistry (Frozen sections) - Anti-TBR1 antibody [EPR8138(2)] (AB183032)

ab183032 staining TBR1 in Human cerebral organoid tissue sections by Immunohistochemistry (PFA perfusion fixed frozen sections). Tissue samples were fixed by perfusion with paraformaldehyde, permeabilized with 0.1% Triton X, blocked with 5% serum for 1 hour at room temperature and antigen retrieval was by heat mediation in Dako target retrieval. The sample was incubated with primary antibody (1 : 300 dilution) at 4oC for 12 hours. An Alexa Fluor® 488 conjugate goat polyclonal (1/200) was used as the secondary antibody.

This image is courtesy of an Abreview submitted by Daniel Berg.

Immunohistochemistry (Formalin/PFA-fixed paraffin-embedded sections) - Anti-TBR1 antibody [EPR8138(2)] (AB183032)
  • IHC-P

Lab

Immunohistochemistry (Formalin/PFA-fixed paraffin-embedded sections) - Anti-TBR1 antibody [EPR8138(2)] (AB183032)

Immunohistochemistry of paraffin embedded Mouse E14 cerebral cortex labelling TBR1 with ab183032 at 0.011μg/ml. Antigen retrieval was heat mediated using Tris/EDTA buffer, pH 9.0 (ab93684). Secondary antibody used was Goat Anti-Rabbit IgG H&L (HRP). Counter stained using Hematoxylin. Nuclear staining on cerebral cortex of mouse E14 [PMID : 27848932].

Immunocytochemistry/ Immunofluorescence - Anti-TBR1 antibody [EPR8138(2)] (AB183032)
  • ICC/IF

Lab

Immunocytochemistry/ Immunofluorescence - Anti-TBR1 antibody [EPR8138(2)] (AB183032)

Immunofluorescent analysis of 4% Paraformaldehyde-fixed, 0.1% TritonX-100 permeabilized mouse primary neuron cells labelling tbr1 with ab183032 at 1/100 dilution, followed by ab150077 AlexaFluor®488 Goat anti-Rabbit secondary antibody at 1/1000 dilution (Green). Confocal scanning Z step was set as 0.3 μm followed by image processing with maximum Z projection. ab11267 Anti-MAP2 antibody [HM-2] at 1/100 dilution and ab150120 Goat Anti-Mouse IgG H&L (Alexa Fluor® 594 at 1/1000 (2μg/ml) was used as a MAP2 counterstain. The Nuclear counterstain was DAPI (Blue).

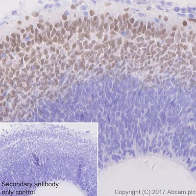
Immunohistochemistry (Formalin/PFA-fixed paraffin-embedded sections) - Anti-TBR1 antibody [EPR8138(2)] (AB183032)
  • IHC-P

Lab

Immunohistochemistry (Formalin/PFA-fixed paraffin-embedded sections) - Anti-TBR1 antibody [EPR8138(2)] (AB183032)

Immunohistochemistry of paraffin embedded Rat E14 cerebral cortex labelling TBR1 with ab183032 at 0.011μg/ml. Antigen retrieval was heat mediated using Tris/EDTA buffer, pH 9.0 (ab93684). Secondary antibody used was Goat Anti-Rabbit IgG H&L (HRP). Counter stained using Hematoxylin. Nuclear staining on cerebral cortex of rat E14 [PMID : 27848932].

Immunohistochemistry (Frozen sections) - Anti-TBR1 antibody [EPR8138(2)] (AB183032)
  • IHC-Fr

Lab

Immunohistochemistry (Frozen sections) - Anti-TBR1 antibody [EPR8138(2)] (AB183032)

ab183032 staining TBR-1 in Rat E14 cerebral cortex sections by Immunohistochemistry (IHC-Fr - frozen sections). Tissue was fixed with 4% paraformaldehyde and permeabilized with 0.2% TritonX-100. AlexaFluor®488 Goat anti-Rabbit (2 μg/ml) (ab150077) was used as the secondary antibody. Counter stained using DAPI. Nuclear staining on cerebral cortex of rat E14 [PMID : 27848932].

Immunohistochemistry (Frozen sections) - Anti-TBR1 antibody [EPR8138(2)] (AB183032)
  • IHC-Fr

Lab

Immunohistochemistry (Frozen sections) - Anti-TBR1 antibody [EPR8138(2)] (AB183032)

ab183032 staining TBR-1 in Mouse E14 cerebral cortex sections by Immunohistochemistry (IHC-Fr - frozen sections). Tissue was fixed with 4% paraformaldehyde and permeabilized with 0.2% TritonX-100. AlexaFluor®488 Goat anti-Rabbit (2 μg/ml) (ab150077) was used as the secondary antibody. Counter stained using DAPI. Nuclear staining on cerebral cortex of mouse E14 [PMID : 27848932].

Western blot - Anti-TBR1 antibody [EPR8138(2)] (AB183032)
  • WB

Lab

Western blot - Anti-TBR1 antibody [EPR8138(2)] (AB183032)

The blocking and dilution buffer used was 5% NFDM/TBST

All lanes:

Western blot - Anti-TBR1 antibody [EPR8138(2)] (ab183032) at 0.9 µg/mL

All lanes:

Human brain lysate at 10 µg

Secondary

All lanes:

Western blot - VeriBlot for IP Detection Reagent (HRP) (<a href='/en-us/products/reagents/veriblot-for-ip-detection-reagent-hrp-ab131366'>ab131366</a>) at 1/100000 dilution

Predicted band size: 74 kDa

false

Exposure time: 30s

Western blot - Anti-TBR1 antibody [EPR8138(2)] (AB183032)
  • WB

Supplier Data

Western blot - Anti-TBR1 antibody [EPR8138(2)] (AB183032)

All lanes:

Western blot - Anti-TBR1 antibody [EPR8138(2)] (ab183032) at 1/10000 dilution

All lanes:

Human fetal brain lysate at 20 µg

Secondary

All lanes:

Goat Anti-Rabbit IgG, (H+L), Peroxidase conjugate at 1/1000 dilution

Predicted band size: 74 kDa

false

Western blot - Anti-TBR1 antibody [EPR8138(2)] (AB183032)
  • WB

Lab

Western blot - Anti-TBR1 antibody [EPR8138(2)] (AB183032)

The blocking and dilution buffer used was 5% NFDM/TBST.

Exposure timeLane 1 and 2 : 10 seconds;
Lane 3 : 5 seconds;
Lane 4 : 2 seconds;
Lane 5 : 3 minutes;
Lane 6 : 15 seconds

All lanes:

Western blot - Anti-TBR1 antibody [EPR8138(2)] (ab183032) at 0.9 µg/mL

Lane 1:

Mouse P1 Cerebral cortex lysate. at 20 µg

Lane 2:

Mouse hippocampus lysate at 20 µg

Lane 3:

E18 rat brain lysate at 20 µg

Lane 4:

Rat P5 cerebral cortex lysate at 20 µg

Lane 5:

Mouse brain lysate at 20 µg

Lane 6:

Rat brain lysate at 20 µg

Secondary

All lanes:

Western blot - Goat Anti-Rabbit IgG H&L (HRP) (<a href='/en-us/products/secondary-antibodies/goat-rabbit-igg-h-l-hrp-ab97051'>ab97051</a>) at 1/100000 dilution

Predicted band size: 74 kDa

false

Key facts

Host species

Rabbit

Clonality

Monoclonal

Clone number

EPR8138(2)

Isotype

IgG

Carrier free

No

Reacts with

Mouse, Rat, Human

Applications

IHC-Fr, IHC-P, ICC/IF, WB

applications

Immunogen

The exact immunogen used to generate this antibody is proprietary information.

Reactivity data

{ "title": "Reactivity Data", "filters": { "stats": ["", "Species", "Dilution Info", "Notes"], "tabs": { "all-applications": {"fullname" : "All Applications", "shortname": "All Applications"}, "WB" : {"fullname" : "Western blot", "shortname":"WB"}, "ICCIF" : {"fullname" : "Immunocytochemistry/ Immunofluorescence", "shortname":"ICC/IF"}, "IHCFr" : {"fullname" : "Immunohistochemistry (Frozen sections)", "shortname":"IHC-Fr"}, "IHCP" : {"fullname" : "Immunohistochemistry (Formalin/PFA-fixed paraffin-embedded sections)", "shortname":"IHC-P"} }, "product-promise": { "all": "all", "testedAndGuaranteed": "tested", "guaranteed": "expected", "predicted": "predicted", "notRecommended": "not-recommended" } }, "values": { "Human": { "WB-species-checked": "testedAndGuaranteed", "WB-species-dilution-info": "1/1000", "WB-species-notes": "<p></p>", "ICCIF-species-checked": "guaranteed", "ICCIF-species-dilution-info": "", "ICCIF-species-notes": "", "IHCFr-species-checked": "guaranteed", "IHCFr-species-dilution-info": "", "IHCFr-species-notes": "", "IHCP-species-checked": "guaranteed", "IHCP-species-dilution-info": "", "IHCP-species-notes": "" }, "Mouse": { "WB-species-checked": "testedAndGuaranteed", "WB-species-dilution-info": "1/1000", "WB-species-notes": "<p></p>", "ICCIF-species-checked": "testedAndGuaranteed", "ICCIF-species-dilution-info": "1/100", "ICCIF-species-notes": "<p></p>", "IHCFr-species-checked": "testedAndGuaranteed", "IHCFr-species-dilution-info": "1/100", "IHCFr-species-notes": "<p></p>", "IHCP-species-checked": "testedAndGuaranteed", "IHCP-species-dilution-info": "1/80000", "IHCP-species-notes": "<p>We don't recommend this antibody for IHC in human. Under our experimental conditions, this antibody showed no positive staining on human fetal cerebral cortex and weak cytoplasmic staining on human glioma.</p> Perform heat-mediated antigen retrieval with Tris/EDTA buffer pH 9.0 before commencing with IHC staining protocol." }, "Rat": { "WB-species-checked": "testedAndGuaranteed", "WB-species-dilution-info": "1/1000", "WB-species-notes": "<p></p>", "ICCIF-species-checked": "guaranteed", "ICCIF-species-dilution-info": "", "ICCIF-species-notes": "", "IHCFr-species-checked": "testedAndGuaranteed", "IHCFr-species-dilution-info": "1/100", "IHCFr-species-notes": "<p></p>", "IHCP-species-checked": "testedAndGuaranteed", "IHCP-species-dilution-info": "1/80000", "IHCP-species-notes": "<p>We don't recommend this antibody for IHC in human. Under our experimental conditions, this antibody showed no positive staining on human fetal cerebral cortex and weak cytoplasmic staining on human glioma.</p> Perform heat-mediated antigen retrieval with Tris/EDTA buffer pH 9.0 before commencing with IHC staining protocol." } } }

Product details

What is this antibody validated in?
Anti-TBR1 antibody [EPR8138(2)] (ab183032) is a rabbit recombinant monoclonal antibody and is validated for use in Western Blot (WB), Immunohistochemistry (IHC-P), Immunohistochemistry (IHC-Fr), Immunocytochemistry/immunofluorescence (ICC/IF) in Human, Mouse, Rat samples.

What is the molecular weight of TBR1?
Anti-TBR1 [EPR8138(2)] (ab183032) specifically detects a band for TBR1 (UniProt: Q16650) at a molecular weight of 74kDa.

Trusted by the scientific community
Anti-TBR1 [EPR8138(2)] (ab183032) was first used in a scientific publication in 2014 and has been cited over 10 times in peer-reviewed journals.

Reviewed by scientists
Anti-TBR1 [EPR8138(2)] (ab183032) has over 5 independent reviews from customers.

Trial sizes available!
Test your antibody or perform pre-screening before committing to a larger quantity. Sold in 10µl. Discover our selection of trial-size antibodies.

Other related products
We have a range of other formats of antibody clone [EPR8138(2)] also available for your convenience: ab183032, Carrier free - ab239000, Alexa Fluor® 594 - ab311740, Alexa Fluor® 568 - ab313019, Alexa Fluor® 555 - ab313222, Alexa Fluor® 488 - ab314472, Alexa Fluor® 647 - ab314473, Alexa Fluor® 750 - ab321264

Patented technology
Our RabMAb® technology is a patented hybridoma-based technology for making rabbit monoclonal antibodies. For details on our patents, please refer to RabMAb® patents.

What are the advantages of a recombinant monoclonal antibody?
This product is a recombinant monoclonal antibody, which offers several advantages including:

  • - High batch-to-batch consistency and reproducibility
  • - Improved sensitivity and specificity
  • - Long-term security of supply
  • - Animal-free batch production

For more information, read more on recombinant antibodies.

Properties and storage information

Form
Liquid
Purification technique
Affinity purification Protein A
Storage buffer
pH: 7.2 Preservative: 0.01% Sodium azide Constituents: PBS, 40% Glycerol (glycerin, glycerine), 0.05% BSA
Shipped at conditions
Blue Ice
Appropriate short-term storage duration
1-2 weeks
Appropriate short-term storage conditions
+4°C
Appropriate long-term storage conditions
-20°C
Aliquoting information
Upon delivery aliquot
Storage information
Avoid freeze / thaw cycle

Supplementary information

This supplementary information is collated from multiple sources and compiled automatically.

TBR1 also known as T-Box Brain 1 is a transcription factor important for neuronal development. It weighs about 74 kDa. This protein is strongly expressed in the cerebral cortex during prenatal stages where it plays a role in regulating gene expression. TBR1 influences the differentiation and migration of cortical neurons which is critical for proper brain development.
Biological function summary

TBR1 influences neuronal differentiation through its function as a transcription factor. It binds to specific DNA sequences to regulate gene expression required for neuronal identity and function. TBR1 is part of a larger transcriptional complex that includes other proteins like CASK and TBR2 contributing to the maturation of cortical neurons. TBR1's role in these processes highlights its significance in neuronal circuit formation in the cerebral cortex.

Pathways

TBR1 is involved in the Wnt signaling and the reelin pathway which are both essential for normal brain development. In the Wnt signaling pathway TBR1 interacts with proteins such as LEF1 to influence cell fate decision and pattern formation. In the reelin pathway TBR1 work along with proteins like Reelin itself to regulate neuronal positioning promoting the correct layering of the cortex.

TBR1 has strong associations with autism spectrum disorders and intellectual disabilities. Mutations in TBR1 disrupt its role in gene regulation during brain development leading to the aforementioned neurological conditions. TBR1 also interacts with FOXP2 a protein involved in language and speech linking it further to communication-related aspects of these disorders.

Product protocols

For this product, it's our understanding that no specific protocols are required. You can visit:

Target data

Transcriptional repressor involved in multiple aspects of cortical development, including neuronal migration, laminar and areal identity, and axonal projection (PubMed : 25232744, PubMed : 30250039). As transcriptional repressor of FEZF2, it blocks the formation of the corticospinal (CS) tract from layer 6 projection neurons, thereby restricting the origin of CS axons specifically to layer 5 neurons (By similarity).
See full target information TBR1

Publications (47)

Recent publications for all applications. Explore the full list and refine your search

JCI insight 10: PubMed40996830

2025

Focal DEPDC5 loss without disruption to cerebral cortical neuron migration recapitulates DEPDC5-related focal epilepsy.

Applications

Unspecified application

Species

Unspecified reactive species

Karenna J Groff,Yini Liang,Christopher Morici,Jinita B Modasia,Leena Mehendale,Nishtha Gupta,Angelica D'Amore,Yongho Choe,Mustafa Q Hameed,Alexander Rotenberg,Mustafa Sahin,Christopher J Yuskaitis

JCI insight 10: PubMed40956618

2025

In utero rescue of neurological dysfunction in a mouse model of Wiedemann-Steiner syndrome.

Applications

Unspecified application

Species

Unspecified reactive species

Tinna Reynisdottir,Kimberley J Anderson,Katrin Möller,Stefán Pétursson,Andrew Brinn,Katheryn P Franklin,Juan Ouyang,Asbjorg O Snorradottir,Cathleen M Lutz,Aamir R Zuberi,Valerie B DeLeon,Hans T Bjornsson

Communications biology 8:1097 PubMed40702210

2025

Cathepsin B deficiency disrupts cortical development via PEG3, leading to depression-like behavior.

Applications

Unspecified application

Species

Unspecified reactive species

Zhen Xie,Qinghu Yang,Fei Lan,Wei Kong,Shuxuan Zhao,Jinyi Sun,Yan Yan,Zhenzhen Quan,Zhantao Bai,Hong Qing,Jian Mao,Junjun Ni

Nature communications 16:5132 PubMed40461535

2025

Forebrain neural progenitors effectively integrate into host brain circuits and improve neural function after ischemic stroke.

Applications

Unspecified application

Species

Unspecified reactive species

Xiao He,Jiadong Chen,Yan Zhong,Peili Cen,Li Shen,Fei Huang,Jing Wang,Chentao Jin,Rui Zhou,Xiaohui Zhang,Anxin Wang,Jing Fan,Shuang Wu,Mengjiao Tu,Xiyi Qin,Xiaoyun Luo,Yu Zhou,Jieqiao Peng,Youyou Zhou,A Cahid Civelek,Mei Tian,Hong Zhang

eLife 13: PubMed40420562

2025

An antisense oligonucleotide-based strategy to ameliorate cognitive dysfunction in the 22q11.2 Deletion Syndrome.

Applications

Unspecified application

Species

Unspecified reactive species

Pratibha Thakur,Martin Lackinger,Anastasia Diamantopoulou,Sneha Rao,Yijing Chen,Khakima Khalizova,Annie Ferng,Curt Mazur,Holly Kordasiewicz,Robert J Shprintzen,Sander Markx,Bin Xu,Joseph A Gogos

Acta neuropathologica communications 13:108 PubMed40390134

2025

hiPSC-neurons recapitulate the subtype-specific cell intrinsic nature of susceptibility to neurodegenerative disease-relevant aggregation.

Applications

Unspecified application

Species

Unspecified reactive species

Ian Weidling,Christina N Preiss,Sarah E Chancellor,Gyan Srivastava,Lauren Gibilisco,Gen Lin,Melanie Shackett Brennan,Janice Lee,Lindsay M Roth,Olga Morozova,Kyong Nyon Nam,Nehal R Patel,Qing Liu,J K Thomas,Peter Reinhardt,Ruven Wilkens,Dagmar E Ehrnhoefer,Andreas Striebinger,Stefan Barghorn,Christina Xanthopoulos,Marie-Theres Weil,Sandra Biesinger,Miroslav Cik,Nandini Romanul,Kiran Yanamandra,Alessandra M Welker,Jessica Wu,Laura Gasparini,Jan Stöhr,Xavier Langlois,Justine D Manos

Bioengineering & translational medicine 10:e10746 PubMed40385540

2025

Catalpol promotes the generation of cerebral organoids with oRGs through activation of STAT3 signaling.

Applications

Unspecified application

Species

Unspecified reactive species

Yoo-Jung Lee,Byounggook Cho,Daeyeol Kwon,Yunkyung Kim,Saemin An,Soi Kang,Jongpil Kim

Scientific reports 15:16715 PubMed40369116

2025

Single-cell mitochondrial morphomics reveals cellular heterogeneity and predicts complex I, III, and ATP synthase Inhibition responses.

Applications

Unspecified application

Species

Unspecified reactive species

Ratneswary Sutharsan,Maddi Biaut Hontaas,Yan Li,Hao Xiong,Hartwig Preckel,Carolyn M Sue,Gautam Wali

Frontiers in neuroscience 19:1556703 PubMed40248263

2025

Comparative study of the effects of prenatal sevoflurane exposure at different cortical stages on forebrain development and maturation in offspring.

Applications

Unspecified application

Species

Unspecified reactive species

Tianyuan Wang,Huandi Weng,Yalan Li

Scientific reports 15:4726 PubMed39922861

2025

Pax6 regulates neuronal migration and cell proliferation via interacting with Wnt3a during cortical development.

Applications

Unspecified application

Species

Unspecified reactive species

Bichao Zhang,Meihua Hou,Jiayan Huang,Yunfei Liu,Ciqing Yang,Juntang Lin
View all publications

Product promise

We are committed to supporting your work with high-quality reagents, and we're here for you every step of the way. In the unlikely event that one of our products does not perform as expected, you're protected by our Product Promise.
For full details, please see our Terms & Conditions

Please note: All products are 'FOR RESEARCH USE ONLY. NOT FOR USE IN DIAGNOSTIC OR THERAPEUTIC PROCEDURES'.

For licensing inquiries, please contact partnerships@abcam.com