JavaScript is disabled in your browser. Please enable JavaScript to view this website.
AB239000

Anti-TBR1 antibody [EPR8138(2)] - BSA and Azide free

Be the first to review this product! Submit a review

|

(1 Publication)

Rabbit Recombinant Monoclonal TBR1 antibody. Carrier free. Suitable for WB, ICC/IF, IHC-Fr, IHC-P and reacts with Mouse, Rat, Human samples. Cited in 1 publication.

View Alternative Names

T-box brain protein 1, T-brain-1, TBR-1, TES-56, TBR1

6 Images
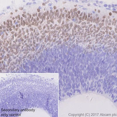
Immunohistochemistry (Frozen sections) - Anti-TBR1 antibody [EPR8138(2)] - BSA and Azide free (AB239000)
  • IHC-Fr

AbReview60326****

Immunohistochemistry (Frozen sections) - Anti-TBR1 antibody [EPR8138(2)] - BSA and Azide free (AB239000)

ab183032 staining TBR1 in Human cerebral organoid tissue sections by Immunohistochemistry (PFA perfusion fixed frozen sections). Tissue samples were fixed by perfusion with paraformaldehyde, permeabilized with 0.1% Triton X, blocked with 5% serum for 1 hour at room temperature and antigen retrieval was by heat mediation in Dako target retrieval. The sample was incubated with primary antibody (1 : 300 dilution) at 4oC for 12 hours.  An Alexa Fluor® 488 conjugate goat polyclonal (1/200) was used as the secondary antibody.

This data was developed using the same antibody clone in a different buffer formulation containing PBS, BSA, glycerol, and sodium azide (ab183032).

This image is courtesy of an Abreview submitted by Daniel Berg.

Immunohistochemistry (Formalin/PFA-fixed paraffin-embedded sections) - Anti-TBR1 antibody [EPR8138(2)] - BSA and Azide free (AB239000)
  • IHC-P

Lab

Immunohistochemistry (Formalin/PFA-fixed paraffin-embedded sections) - Anti-TBR1 antibody [EPR8138(2)] - BSA and Azide free (AB239000)

Immunohistochemistry of paraffin embedded Mouse E14 cerebral cortex labelling TBR1 with ab183032 at 0.011μg/ml.  Antigen retrieval was heat mediated using Tris/EDTA buffer, pH 9.0 (ab93684). Secondary antibody used was Goat Anti-Rabbit IgG H&L (HRP). Counter stained using Hematoxylin. Nuclear staining on cerebral cortex of mouse E14 [PMID : 27848932].

This data was developed using the same antibody clone in a different buffer formulation containing PBS, BSA, glycerol, and sodium azide (ab183032).

Immunocytochemistry/ Immunofluorescence - Anti-TBR1 antibody [EPR8138(2)] - BSA and Azide free (AB239000)
  • ICC/IF

Lab

Immunocytochemistry/ Immunofluorescence - Anti-TBR1 antibody [EPR8138(2)] - BSA and Azide free (AB239000)

Immunofluorescent analysis of 4% Paraformaldehyde-fixed, 0.1% TritonX-100 permeabilized mouse primary neuron cells labelling tbr1 with ab183032 at 1/100 dilution, followed by ab150077 AlexaFluor®488 Goat anti-Rabbit secondary antibody at 1/1000 dilution (Green). Confocal scanning Z step was set as 0.3 μm followed by image processing with maximum Z projection. ab11267 Anti-MAP2 antibody [HM-2] at 1/100 dilution and ab150120 Goat Anti-Mouse IgG H&L (Alexa Fluor® 594 at 1/1000 (2μg/ml) was used as a MAP2 counterstain. The Nuclear counterstain was DAPI (Blue).

This data was developed using the same antibody clone in a different buffer formulation containing PBS, BSA, glycerol, and sodium azide (ab183032).

Immunohistochemistry (Formalin/PFA-fixed paraffin-embedded sections) - Anti-TBR1 antibody [EPR8138(2)] - BSA and Azide free (AB239000)
  • IHC-P

Lab

Immunohistochemistry (Formalin/PFA-fixed paraffin-embedded sections) - Anti-TBR1 antibody [EPR8138(2)] - BSA and Azide free (AB239000)

Immunohistochemistry of paraffin embedded Rat E14 cerebral cortex labelling TBR1 with ab183032 at 0.011μg/ml. Antigen retrieval was heat mediated using Tris/EDTA buffer, pH 9.0 (ab93684). Secondary antibody used was Goat Anti-Rabbit IgG H&L (HRP). Counter stained using Hematoxylin. Nuclear staining on cerebral cortex of rat E14 [PMID : 27848932].

This data was developed using the same antibody clone in a different buffer formulation containing PBS, BSA, glycerol, and sodium azide (ab183032).

Immunohistochemistry (Frozen sections) - Anti-TBR1 antibody [EPR8138(2)] - BSA and Azide free (AB239000)
  • IHC-Fr

Lab

Immunohistochemistry (Frozen sections) - Anti-TBR1 antibody [EPR8138(2)] - BSA and Azide free (AB239000)

ab183032 staining TBR-1 in Rat E14 cerebral cortex sections by Immunohistochemistry (IHC-Fr - frozen sections). Tissue was fixed with  4% paraformaldehyde and permeabilized with 0.2% TritonX-100.  AlexaFluor®488 Goat anti-Rabbit (2 μg/ml) (ab150077) was used as the secondary antibody. Counter stained using DAPI. Nuclear staining on cerebral cortex of rat E14 [PMID : 27848932].

This data was developed using the same antibody clone in a different buffer formulation containing PBS, BSA, glycerol, and sodium azide (ab183032).

Immunohistochemistry (Frozen sections) - Anti-TBR1 antibody [EPR8138(2)] - BSA and Azide free (AB239000)
  • IHC-Fr

Lab

Immunohistochemistry (Frozen sections) - Anti-TBR1 antibody [EPR8138(2)] - BSA and Azide free (AB239000)

ab183032 staining TBR-1 in Mouse E14 cerebral cortex sections by Immunohistochemistry (IHC-Fr - frozen sections). Tissue was fixed with  4% paraformaldehyde and permeabilized with 0.2% TritonX-100.  AlexaFluor®488 Goat anti-Rabbit (2 μg/ml) (ab150077) was used as the secondary antibody. Counter stained using DAPI. Nuclear staining on cerebral cortex of mouse E14 [PMID : 27848932].

This data was developed using the same antibody clone in a different buffer formulation containing PBS, BSA, glycerol, and sodium azide (ab183032).

Key facts

Host species

Rabbit

Clonality

Monoclonal

Clone number

EPR8138(2)

Isotype

IgG

Carrier free

Yes

Reacts with

Mouse, Rat, Human

Applications

IHC-Fr, IHC-P, WB, ICC/IF

applications

Immunogen

The exact immunogen used to generate this antibody is proprietary information.

Reactivity data

{ "title": "Reactivity Data", "filters": { "stats": ["", "Species", "Dilution Info", "Notes"], "tabs": { "all-applications": {"fullname" : "All Applications", "shortname": "All Applications"}, "WB" : {"fullname" : "Western blot", "shortname":"WB"}, "ICCIF" : {"fullname" : "Immunocytochemistry/ Immunofluorescence", "shortname":"ICC/IF"}, "IHCFr" : {"fullname" : "Immunohistochemistry (Frozen sections)", "shortname":"IHC-Fr"}, "IHCP" : {"fullname" : "Immunohistochemistry (Formalin/PFA-fixed paraffin-embedded sections)", "shortname":"IHC-P"} }, "product-promise": { "all": "all", "testedAndGuaranteed": "tested", "guaranteed": "expected", "predicted": "predicted", "notRecommended": "not-recommended" } }, "values": { "Human": { "WB-species-checked": "guaranteed", "WB-species-dilution-info": "", "WB-species-notes": "<p></p>", "ICCIF-species-checked": "predicted", "ICCIF-species-dilution-info": "", "ICCIF-species-notes": "", "IHCFr-species-checked": "predicted", "IHCFr-species-dilution-info": "", "IHCFr-species-notes": "", "IHCP-species-checked": "predicted", "IHCP-species-dilution-info": "", "IHCP-species-notes": "" }, "Mouse": { "WB-species-checked": "guaranteed", "WB-species-dilution-info": "", "WB-species-notes": "<p></p>", "ICCIF-species-checked": "testedAndGuaranteed", "ICCIF-species-dilution-info": "", "ICCIF-species-notes": "<p></p>", "IHCFr-species-checked": "guaranteed", "IHCFr-species-dilution-info": "", "IHCFr-species-notes": "", "IHCP-species-checked": "guaranteed", "IHCP-species-dilution-info": "", "IHCP-species-notes": "" }, "Rat": { "WB-species-checked": "guaranteed", "WB-species-dilution-info": "", "WB-species-notes": "<p></p>", "ICCIF-species-checked": "guaranteed", "ICCIF-species-dilution-info": "", "ICCIF-species-notes": "", "IHCFr-species-checked": "testedAndGuaranteed", "IHCFr-species-dilution-info": "", "IHCFr-species-notes": "<p></p>", "IHCP-species-checked": "testedAndGuaranteed", "IHCP-species-dilution-info": "", "IHCP-species-notes": "<p>We don't recommend this antibody for IHC in human. Under our experimental conditions, this antibody showed no positive staining on human fetal cerebral cortex and weak cytoplasmic staining on human glioma.</p>" } } }

Product details

ab239000 is the carrier-free version of ab183032.

Patented technology
Our RabMAb® technology is a patented hybridoma-based technology for making rabbit monoclonal antibodies. For details on our patents, please refer to RabMAb® patents.

What are the advantages of a recombinant monoclonal antibody?
This product is a recombinant monoclonal antibody, which offers several advantages including:

  • - High batch-to-batch consistency and reproducibility
  • - Improved sensitivity and specificity
  • - Long-term security of supply
  • - Animal-free batch production

For more information, read more on recombinant antibodies.

Conjugation ready
Our carrier-free antibodies are typically supplied in a PBS-only formulation, purified and free of BSA, sodium azide and glycerol. This conjugation-ready format is designed for use with fluorochromes, metal isotopes, oligonucleotides, and enzymes, which makes them ideal for antibody labelling, functional and cell-based assays, flow-based assays (e.g. mass cytometry) and Multiplex Imaging applications.

Use our conjugation kits for antibody conjugates that are ready-to-use in as little as 20 minutes with 1 minute hands-on-time and 100% antibody recovery: available for fluorescent dyes, HRP, biotin and gold.

Compatibility
This product is compatible with the Maxpar® Antibody Labeling Kit from Fluidigm, without the need for antibody preparation. Maxpar® is a trademark of Fluidigm Canada Inc.

Properties and storage information

Form
Liquid
Purification technique
Affinity purification Protein A
Storage buffer
pH: 7.2 - 7.4 Constituents: PBS
Shipped at conditions
Blue Ice
Appropriate short-term storage conditions
+4°C
Appropriate long-term storage conditions
+4°C
Storage information
Do Not Freeze

Supplementary information

This supplementary information is collated from multiple sources and compiled automatically.

TBR1 also known as T-Box Brain 1 is a transcription factor important for neuronal development. It weighs about 74 kDa. This protein is strongly expressed in the cerebral cortex during prenatal stages where it plays a role in regulating gene expression. TBR1 influences the differentiation and migration of cortical neurons which is critical for proper brain development.
Biological function summary

TBR1 influences neuronal differentiation through its function as a transcription factor. It binds to specific DNA sequences to regulate gene expression required for neuronal identity and function. TBR1 is part of a larger transcriptional complex that includes other proteins like CASK and TBR2 contributing to the maturation of cortical neurons. TBR1's role in these processes highlights its significance in neuronal circuit formation in the cerebral cortex.

Pathways

TBR1 is involved in the Wnt signaling and the reelin pathway which are both essential for normal brain development. In the Wnt signaling pathway TBR1 interacts with proteins such as LEF1 to influence cell fate decision and pattern formation. In the reelin pathway TBR1 work along with proteins like Reelin itself to regulate neuronal positioning promoting the correct layering of the cortex.

TBR1 has strong associations with autism spectrum disorders and intellectual disabilities. Mutations in TBR1 disrupt its role in gene regulation during brain development leading to the aforementioned neurological conditions. TBR1 also interacts with FOXP2 a protein involved in language and speech linking it further to communication-related aspects of these disorders.

Product protocols

For this product, it's our understanding that no specific protocols are required. You can visit:

Target data

Transcriptional repressor involved in multiple aspects of cortical development, including neuronal migration, laminar and areal identity, and axonal projection (PubMed : 25232744, PubMed : 30250039). As transcriptional repressor of FEZF2, it blocks the formation of the corticospinal (CS) tract from layer 6 projection neurons, thereby restricting the origin of CS axons specifically to layer 5 neurons (By similarity).
See full target information TBR1

Publications (1)

Recent publications for all applications. Explore the full list and refine your search

Oncology letters 19:505-512 PubMed31897164

2020

p28GANK overexpression is associated with chemotherapy resistance and poor prognosis in ovarian cancer.

Applications

Unspecified application

Species

Unspecified reactive species

Ge Yu,Na Li,Wei Wang,Ming Niu,Xiaoling Feng
View all publications

Product promise

We are committed to supporting your work with high-quality reagents, and we're here for you every step of the way. In the unlikely event that one of our products does not perform as expected, you're protected by our Product Promise.
For full details, please see our Terms & Conditions

Please note: All products are 'FOR RESEARCH USE ONLY. NOT FOR USE IN DIAGNOSTIC OR THERAPEUTIC PROCEDURES'.

For licensing inquiries, please contact partnerships@abcam.com