JavaScript is disabled in your browser. Please enable JavaScript to view this website.
AB183991

Anti-TBR2 / Eomes antibody [EPR19012]

5

(9 Reviews)

|

(74 Publications)

Anti-TBR2 / Eomes antibody [EPR19012] (ab183991) is a rabbit monoclonal antibody detecting TBR2 / Eomes in IHC-P, IHC-Fr, ICC/IF. Suitable for Mouse.

- Biophysical QC for unrivalled batch-batch consistency
- Over 50 publications

View Alternative Names

Tbr2, Eomes, Eomesodermin homolog, T-box brain protein 2, T-brain-2, TBR-2

6 Images
Immunohistochemistry (Frozen sections) - Anti-TBR2 / Eomes antibody [EPR19012] (AB183991)
  • IHC-Fr

Supplier Data

Immunohistochemistry (Frozen sections) - Anti-TBR2 / Eomes antibody [EPR19012] (AB183991)

Immunohistochemical analysis of 4% paraformaldehyde-fixed, 0.2% Triton X-100 permeabilized frozen adult mouse kidney tissue labeling TBR2 / Eomes with ab183991 at 1/1000 dilution, followed by Goat Anti-Rabbit IgG (Alexa Fluor® 488) (ab150077) secondary antibody at 1/1000 dilution (green).

Negative control tissue; very weak staining is due to autoflorescence of the kidney section.

The nuclear counterstain is DAPI (blue).

Secondary antibody only control : Used PBS instead of primary antibody, secondary antibody is ab150077 at 1/1000 dilution.

Immunohistochemistry (Formalin/PFA-fixed paraffin-embedded sections) - Anti-TBR2 / Eomes antibody [EPR19012] (AB183991)
  • IHC-P

Supplier Data

Immunohistochemistry (Formalin/PFA-fixed paraffin-embedded sections) - Anti-TBR2 / Eomes antibody [EPR19012] (AB183991)

Immunohistochemical analysis of paraffin-embedded mouse E14 cortex tissue labeling TBR2 / Eomes with ab183991 at 1/2000 dilution, followed by Goat Anti-Rabbit IgG H&L (HRP) (ab97051) at 1/500 dilution.

Nucleus staining on the cortex of mouse E14 is observed [PMID : 22553033].

Counter stained with Hematoxylin.

Secondary antibody only control : Used PBS instead of primary antibody, secondary antibody is ab97051 at 1/500 dilution.

Perform heat mediated antigen retrieval with Tris/EDTA buffer pH 9.0 before commencing with IHC staining protocol.

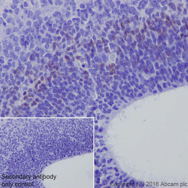
Immunohistochemistry (Formalin/PFA-fixed paraffin-embedded sections) - Anti-TBR2 / Eomes antibody [EPR19012] (AB183991)
  • IHC-P

Supplier Data

Immunohistochemistry (Formalin/PFA-fixed paraffin-embedded sections) - Anti-TBR2 / Eomes antibody [EPR19012] (AB183991)

Immunohistochemical analysis of paraffin-embedded mouse hippocampus tissue labeling TBR2 / Eomes with ab183991 at 1/2000 dilution, followed by Goat Anti-Rabbit IgG H&L (HRP) (ab97051) at 1/500 dilution.

Nucleus staining on intermediate neuronal progenitors of mouse hippocampus is observed [PMID : 22553033].

Counter stained with Hematoxylin.

Secondary antibody only control : Used PBS instead of primary antibody, secondary antibody is ab97051 at 1/500 dilution.

Perform heat mediated antigen retrieval with Tris/EDTA buffer pH 9.0 before commencing with IHC staining protocol.

Immunohistochemistry (Frozen sections) - Anti-TBR2 / Eomes antibody [EPR19012] (AB183991)
  • IHC-Fr

Supplier Data

Immunohistochemistry (Frozen sections) - Anti-TBR2 / Eomes antibody [EPR19012] (AB183991)

Immunohistochemical analysis of 4% paraformaldehyde-fixed, 0.2% Triton X-100 permeabilized frozen mouse E14.5 cortex tissue labeling TBR2 / Eomes with ab183991 at 1/1000 dilution, followed by Goat Anti-Rabbit IgG (Alexa Fluor® 488) (ab150077) secondary antibody at 1/1000 dilution (green).

Specific staining on E14.5 mouse cortex is observed.

The nuclear counterstain is DAPI (blue).

Secondary antibody only control : Used PBS instead of primary antibody, secondary antibody is ab150077 at 1/1000 dilution.

Immunohistochemistry (Frozen sections) - Anti-TBR2 / Eomes antibody [EPR19012] (AB183991)
  • IHC-Fr

Supplier Data

Immunohistochemistry (Frozen sections) - Anti-TBR2 / Eomes antibody [EPR19012] (AB183991)

Immunohistochemical analysis of 4% paraformaldehyde-fixed, 0.2% Triton X-100 permeabilized frozen mouse hippocampus tissue labeling TBR2 / Eomes with ab183991 at 1/1000 dilution, followed by Goat Anti-Rabbit IgG (Alexa Fluor® 488) (ab150077) secondary antibody at 1/1000 dilution (green).

Specific staining on adult mouse hippocampus is observed.

The nuclear counterstain is DAPI (blue).

Secondary antibody only control : Used PBS instead of primary antibody, secondary antibody is ab150077 at 1/1000 dilution.

Immunocytochemistry/ Immunofluorescence - Anti-TBR2 / Eomes antibody [EPR19012] (AB183991)
  • ICC/IF

Unknown

Immunocytochemistry/ Immunofluorescence - Anti-TBR2 / Eomes antibody [EPR19012] (AB183991)

Immunofluorescent analysis of 4% Paraformaldehyde-fixed, 0.1% TritonX-100 permeabilized mouse primary neuron cells labelling TBR2 / Eomes with ab183991 at 1/500 dilution, followed by ab150077 Goat Anti-Rabbit IgG H&L (Alexa Fluor® 488) antibody at 1/1000 dilution (2 μg/mL) (Green). Confocal image showing nuclear staining in mouse primary neuron cell. Confocal scanning Z step was set as 0.3 μm followed by image processing with maximum Z projection. ab11267 Anti-MAP2 mouse monoclonal antibody was used to counterstain tubulin at 1/500 dilution (4 μg/mL) followed by ab150120 Goat Anti-Mouse IgG H&L (Alexa Fluor® 594) at 1/1000 dilution (2 μg/mL) (Red). The nuclear counterstain was DAPI (Blue).

Key facts

Host species

Rabbit

Clonality

Monoclonal

Clone number

EPR19012

Isotype

IgG

Carrier free

No

Reacts with

Mouse

Applications

ICC/IF, IHC-Fr, IHC-P

applications

Immunogen

The exact immunogen used to generate this antibody is proprietary information.

Reactivity data

{ "title": "Reactivity Data", "filters": { "stats": ["", "Species", "Dilution Info", "Notes"], "tabs": { "all-applications": {"fullname" : "All Applications", "shortname": "All Applications"}, "ICCIF" : {"fullname" : "Immunocytochemistry/ Immunofluorescence", "shortname":"ICC/IF"}, "IHCP" : {"fullname" : "Immunohistochemistry (Formalin/PFA-fixed paraffin-embedded sections)", "shortname":"IHC-P"}, "IHCFr" : {"fullname" : "Immunohistochemistry (Frozen sections)", "shortname":"IHC-Fr"} }, "product-promise": { "all": "all", "testedAndGuaranteed": "tested", "guaranteed": "expected", "predicted": "predicted", "notRecommended": "not-recommended" } }, "values": { "Human": { "ICCIF-species-checked": "notRecommended", "ICCIF-species-dilution-info": "1/200", "ICCIF-species-notes": "<p></p>", "IHCP-species-checked": "notRecommended", "IHCP-species-dilution-info": "1/2000", "IHCP-species-notes": "<p></p> Perform heat-mediated antigen retrieval with Tris/EDTA buffer pH 9.0 before commencing with IHC staining protocol.", "IHCFr-species-checked": "notRecommended", "IHCFr-species-dilution-info": "1/1000", "IHCFr-species-notes": "<p>Antigen retrieval: Heated citrate solution (10mM citrate PH 6.0 + 0.05% Tween-20).</p>" }, "Mouse": { "ICCIF-species-checked": "testedAndGuaranteed", "ICCIF-species-dilution-info": "1/200", "ICCIF-species-notes": "<p></p>", "IHCP-species-checked": "testedAndGuaranteed", "IHCP-species-dilution-info": "1/2000", "IHCP-species-notes": "<p></p> Perform heat-mediated antigen retrieval with Tris/EDTA buffer pH 9.0 before commencing with IHC staining protocol.", "IHCFr-species-checked": "testedAndGuaranteed", "IHCFr-species-dilution-info": "1/1000", "IHCFr-species-notes": "<p>Antigen retrieval: Heated citrate solution (10mM citrate PH 6.0 + 0.05% Tween-20).</p>" } } }

Product details

What is this antibody validated in?
Anti-TBR2 / Eomes antibody [EPR19012] (ab183991) is a rabbit recombinant monoclonal antibody and is validated for use in Immunohistochemistry (IHC-P), Immunohistochemistry (IHC-Fr), Immunocytochemistry/immunofluorescence (ICC/IF) in Mouse samples.

Trusted by the scientific community
Anti-TBR2 / Eomes [EPR19012] (ab183991) was first used in a scientific publication in 2016 and has been cited over 50 times in peer-reviewed journals.

Reviewed by scientists
Anti-TBR2 / Eomes [EPR19012] (ab183991) has over 5 independent reviews from customers.

Trial sizes available!
Test your antibody or perform pre-screening before committing to a larger quantity. Sold in 10µl. Discover our selection of trial-size antibodies.

Other related products
We have a range of other formats of antibody clone [EPR19012] also available for your convenience: ab183991, Carrier free - ab222226, Alexa Fluor® 555 - ab315133, Alexa Fluor® 647 - ab315356

Patented technology
Our RabMAb® technology is a patented hybridoma-based technology for making rabbit monoclonal antibodies. For details on our patents, please refer to RabMAb® patents.

What are the advantages of a recombinant monoclonal antibody?
This product is a recombinant monoclonal antibody, which offers several advantages including:

  • - High batch-to-batch consistency and reproducibility
  • - Improved sensitivity and specificity
  • - Long-term security of supply
  • - Animal-free batch production

For more information, read more on recombinant antibodies.

Properties and storage information

Form
Liquid
Purification technique
Affinity purification Protein A
Storage buffer
pH: 7.2 Preservative: 0.01% Sodium azide Constituents: PBS, 40% Glycerol (glycerin, glycerine), 0.05% BSA
Shipped at conditions
Blue Ice
Appropriate short-term storage duration
1-2 weeks
Appropriate short-term storage conditions
+4°C
Appropriate long-term storage conditions
-20°C
Aliquoting information
Upon delivery aliquot
Storage information
Avoid freeze / thaw cycle

Supplementary information

This supplementary information is collated from multiple sources and compiled automatically.

TBR2 also known as Eomes or Eomesodermin is a transcription factor with a molecular mass of approximately 72 kDa. It is a member of the T-box family and is expressed predominantly in the developing central nervous system especially in the intermediate progenitor cells in the subventricular zone of the cortex. TBR2 plays a significant role in neurogenesis by regulating the proliferation and differentiation of neuronal progenitor cells. This regulation ensures proper development of specific neural circuits critical for overall brain function.
Biological function summary

TBR2 is important in controlling the transition of neural progenitors during cortical development. It serves as an important marker for intermediate neuronal precursors highlighting its importance in the progression from radial glia to neurons. TBR2 does not function in a complex but works closely with the transcription factor Neurogenin 2 to control neuronal differentiation. Its activity determines the timing of neuronal differentiation making it indispensable for orderly cortical layer formation.

Pathways

TBR2 is involved in the Wnt signaling and Notch signaling pathways both key regulators of neurodevelopment. In the Wnt pathway TBR2 influences the balance between progenitor cell proliferation and differentiation by interacting with proteins such as Beta-catenin. In the Notch signaling pathway TBR2 modulates neural precursor cell fate decisions often in relation with proteins like DLL1. These pathways ensure proper brain structure and function by coordinating neural progenitor activity.

TBR2 mutations or misregulation can lead to neurodevelopmental disorders such as microcephaly and intellectual disabilities. The protein's association with these conditions reflects its critical role in cortical development and neuronal differentiation. TBR2's dysregulation is often observed alongside the malfunction of its pathway partners like Beta-catenin in the development of such disorders illustrating the intricate interplay of genetic and molecular factors underlying these diseases.

Product protocols

For this product, it's our understanding that no specific protocols are required. You can visit:

Target data

Functions as a transcriptional activator playing a crucial role during development. Functions in trophoblast differentiation and later in gastrulation, regulating both mesoderm delamination and endoderm specification. Plays a role in brain development being required for the specification and the proliferation of the intermediate progenitor cells and their progeny in the cerebral cortex. Also involved in the differentiation of CD8+ T-cells during immune response regulating the expression of lytic effector genes.
See full target information Eomes

Publications (74)

Recent publications for all applications. Explore the full list and refine your search

Experimental & molecular medicine 57:1818-1836 PubMed40813470

2025

Dysregulation of FGFR1 signaling in the hippocampus facilitates depressive disorder.

Applications

Unspecified application

Species

Unspecified reactive species

Jongpil Shin,Hyeonsik Oh,Ji Hye Park,Hyunsik Bae,Chan Mo Yang,Minju Lee,Seokhwi Kim,Won Do Heo

Communications biology 8:1180 PubMed40775066

2025

Regulation of cortical neurogenesis by MED13L via transcriptional priming and its implications for MED13L syndrome.

Applications

Unspecified application

Species

Unspecified reactive species

Jia Li,Yu-Zhu Hao,Jia Cui,Xiao-Xiao Cao,Nan Wu,Ji Ma,Shuang-Yi Xie,Yi-Hsuan Pan,Xue-Lian He,Yu-Lan Zhao,Xiao-Bing Yuan

PLoS biology 23:e3003175 PubMed40435287

2025

The m5C reader Ybx1 regulates embryonic cortical neurogenesis by promoting progenitor cell cycle progression.

Applications

Unspecified application

Species

Unspecified reactive species

Jian Zhang,Pengfei Che,Zhuoxuan Yang,Pingrui Zhang,Yuxuan Shui,Xibin Lu,Jiuzhou Xu,Yuanchu She,Yanbo Zhang,Jun Yu,Sheng-Jian Ji

PLoS biology 23:e3003031 PubMed39913536

2025

mRNA stability fine-tunes gene expression in the developing cortex to control neurogenesis.

Applications

Unspecified application

Species

Unspecified reactive species

Lucas D Serdar,Jacob R Egol,Brad Lackford,Brian D Bennett,Guang Hu,Debra L Silver

The EMBO journal 44:1354-1378 PubMed39815005

2025

The microcephaly-associated transcriptional regulator AUTS2 cooperates with Polycomb complex PRC2 to produce upper-layer neurons in mice.

Applications

Unspecified application

Species

Unspecified reactive species

Kazumi Shimaoka,Kei Hori,Satoshi Miyashita,Yukiko U Inoue,Nao K N Tabe,Asami Sakamoto,Ikuko Hasegawa,Kayo Nishitani,Kunihiko Yamashiro,Saki F Egusa,Shoji Tatsumoto,Yasuhiro Go,Manabu Abe,Kenji Sakimura,Takayoshi Inoue,Takuya Imamura,Mikio Hoshino

Nature communications 15:8043 PubMed39271675

2024

Conserved transcriptional regulation by BRN1 and BRN2 in neocortical progenitors drives mammalian neural specification and neocortical expansion.

Applications

Unspecified application

Species

Unspecified reactive species

Soraia Barão,Yijun Xu,José P Llongueras,Rachel Vistein,Loyal Goff,Kristina J Nielsen,Byoung-Il Bae,Richard S Smith,Christopher A Walsh,Genevieve Stein-O'Brien,Ulrich Müller

Cell reports methods 4:100837 PubMed39127043

2024

Defining spatial nonuniformities of all ipRGC types using an improved Opn4 recombinase mouse line.

Applications

Unspecified application

Species

Unspecified reactive species

Brannen Dyer,Sue O Yu,R Lane Brown,Richard A Lang,Shane P D'Souza

Nature communications 15:5674 PubMed38971831

2024

Epigenetic maintenance of adult neural stem cell quiescence in the mouse hippocampus via Setd1a.

Applications

Unspecified application

Species

Unspecified reactive species

Ting Zhao,Yan Hong,Bowen Yan,Suming Huang,Guo-Li Ming,Hongjun Song

Neuroscience bulletin 41:1-15 PubMed38907786

2024

Dentate Gyrus Morphogenesis is Regulated by an Autism Risk Gene Trio Function in Granule Cells.

Applications

Unspecified application

Species

Unspecified reactive species

Mengwen Sun,Weizhen Xue,Hu Meng,Xiaoxuan Sun,Tianlan Lu,Weihua Yue,Lifang Wang,Dai Zhang,Jun Li

EMBO reports 25:2861-2877 PubMed38839944

2024

Deficiency of CAMSAP2 impairs olfaction and the morphogenesis of mitral cells.

Applications

Unspecified application

Species

Unspecified reactive species

Zhengrong Zhou,Xiaojuan Yang,Aihua Mao,Honglin Xu,Chunnuan Lin,Mengge Yang,Weichang Hu,Jinhui Shao,Peipei Xu,Yuejia Li,Wenguang Li,Ruifan Lin,Rui Zhang,Qi Xie,Zhiheng Xu,Wenxiang Meng
View all publications

Product promise

We are committed to supporting your work with high-quality reagents, and we're here for you every step of the way. In the unlikely event that one of our products does not perform as expected, you're protected by our Product Promise.
For full details, please see our Terms & Conditions

Please note: All products are 'FOR RESEARCH USE ONLY. NOT FOR USE IN DIAGNOSTIC OR THERAPEUTIC PROCEDURES'.

For licensing inquiries, please contact partnerships@abcam.com