JavaScript is disabled in your browser. Please enable JavaScript to view this website.
AB222226

Anti-TBR2 / Eomes antibody [EPR19012] - BSA and Azide free

Be the first to review this product! Submit a review

|

(1 Publication)

Rabbit Recombinant Monoclonal TBR2 / Eomes antibody. Carrier free. Suitable for ICC/IF, IHC-P, IHC-Fr and reacts with Mouse samples. Cited in 1 publication.

View Alternative Names

Tbr2, Eomes, Eomesodermin homolog, T-box brain protein 2, T-brain-2, TBR-2

6 Images
Immunohistochemistry (Frozen sections) - Anti-TBR2 / Eomes antibody [EPR19012] - BSA and Azide free (AB222226)
  • IHC-Fr

Supplier Data

Immunohistochemistry (Frozen sections) - Anti-TBR2 / Eomes antibody [EPR19012] - BSA and Azide free (AB222226)

Immunohistochemical analysis of 4% paraformaldehyde-fixed, 0.2% Triton X-100 permeabilized frozen adult mouse kidney tissue labeling TBR2 / Eomes with ab183991 at 1/1000 dilution, followed by Goat Anti-Rabbit IgG (Alexa Fluor® 488) (ab150077) secondary antibody at 1/1000 dilution (green).

Negative control tissue; very weak staining is due to autoflorescence of the kidney section.

The nuclear counterstain is DAPI (blue).

Secondary antibody only control : Used PBS instead of primary antibody, secondary antibody is ab150077 at 1/1000 dilution.

This data was developed using the same antibody clone in a different buffer formulation containing PBS, BSA, glycerol, and sodium azide (ab183991).

Immunohistochemistry (Formalin/PFA-fixed paraffin-embedded sections) - Anti-TBR2 / Eomes antibody [EPR19012] - BSA and Azide free (AB222226)
  • IHC-P

Supplier Data

Immunohistochemistry (Formalin/PFA-fixed paraffin-embedded sections) - Anti-TBR2 / Eomes antibody [EPR19012] - BSA and Azide free (AB222226)

Immunohistochemical analysis of paraffin-embedded mouse E14 cortex tissue labeling TBR2 / Eomes with ab183991 at 1/2000 dilution, followed by Goat Anti-Rabbit IgG H&L (HRP) (ab97051) at 1/500 dilution.

Nucleus staining on the cortex of mouse E14 is observed [PMID : 22553033].

Counter stained with Hematoxylin.

Secondary antibody only control : Used PBS instead of primary antibody, secondary antibody is ab97051 at 1/500 dilution.

This data was developed using the same antibody clone in a different buffer formulation containing PBS, BSA, glycerol, and sodium azide (ab183991).

Perform heat mediated antigen retrieval with Tris/EDTA buffer pH 9.0 before commencing with IHC staining protocol.

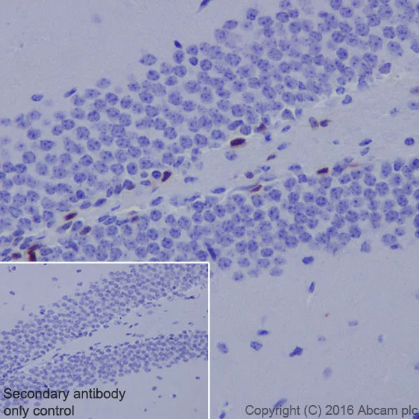
Immunohistochemistry (Formalin/PFA-fixed paraffin-embedded sections) - Anti-TBR2 / Eomes antibody [EPR19012] - BSA and Azide free (AB222226)
  • IHC-P

Supplier Data

Immunohistochemistry (Formalin/PFA-fixed paraffin-embedded sections) - Anti-TBR2 / Eomes antibody [EPR19012] - BSA and Azide free (AB222226)

Immunohistochemical analysis of paraffin-embedded mouse hippocampus tissue labeling TBR2 / Eomes with ab183991 at 1/2000 dilution, followed by Goat Anti-Rabbit IgG H&L (HRP) (ab97051) at 1/500 dilution.

Nucleus staining on intermediate neuronal progenitors of mouse hippocampus is observed [PMID : 22553033].

Counter stained with Hematoxylin.

Secondary antibody only control : Used PBS instead of primary antibody, secondary antibody is ab97051 at 1/500 dilution.

This data was developed using the same antibody clone in a different buffer formulation containing PBS, BSA, glycerol, and sodium azide (ab183991).

Perform heat mediated antigen retrieval with Tris/EDTA buffer pH 9.0 before commencing with IHC staining protocol.

Immunohistochemistry (Frozen sections) - Anti-TBR2 / Eomes antibody [EPR19012] - BSA and Azide free (AB222226)
  • IHC-Fr

Supplier Data

Immunohistochemistry (Frozen sections) - Anti-TBR2 / Eomes antibody [EPR19012] - BSA and Azide free (AB222226)

Immunohistochemical analysis of 4% paraformaldehyde-fixed, 0.2% Triton X-100 permeabilized frozen mouse E14.5 cortex tissue labeling TBR2 / Eomes with ab183991 at 1/1000 dilution, followed by Goat Anti-Rabbit IgG (Alexa Fluor® 488) (ab150077) secondary antibody at 1/1000 dilution (green).

Specific staining on E14.5 mouse cortex is observed.

The nuclear counterstain is DAPI (blue).

Secondary antibody only control : Used PBS instead of primary antibody, secondary antibody is ab150077 at 1/1000 dilution.

This data was developed using the same antibody clone in a different buffer formulation containing PBS, BSA, glycerol, and sodium azide (ab183991).

Immunohistochemistry (Frozen sections) - Anti-TBR2 / Eomes antibody [EPR19012] - BSA and Azide free (AB222226)
  • IHC-Fr

Supplier Data

Immunohistochemistry (Frozen sections) - Anti-TBR2 / Eomes antibody [EPR19012] - BSA and Azide free (AB222226)

Immunohistochemical analysis of 4% paraformaldehyde-fixed, 0.2% Triton X-100 permeabilized frozen mouse hippocampus tissue labeling TBR2 / Eomes with ab183991 at 1/1000 dilution, followed by Goat Anti-Rabbit IgG (Alexa Fluor® 488) (ab150077) secondary antibody at 1/1000 dilution (green).

Specific staining on adult mouse hippocampus is observed.

The nuclear counterstain is DAPI (blue).

Secondary antibody only control : Used PBS instead of primary antibody, secondary antibody is ab150077 at 1/1000 dilution.

This data was developed using the same antibody clone in a different buffer formulation containing PBS, BSA, glycerol, and sodium azide (ab183991).

Immunocytochemistry/ Immunofluorescence - Anti-TBR2 / Eomes antibody [EPR19012] - BSA and Azide free (AB222226)
  • ICC/IF

Unknown

Immunocytochemistry/ Immunofluorescence - Anti-TBR2 / Eomes antibody [EPR19012] - BSA and Azide free (AB222226)

Immunofluorescent analysis of 4% Paraformaldehyde-fixed, 0.1% TritonX-100 permeabilized mouse primary neuron cells labelling TBR2 / Eomes with ab183991 at 1/500 dilution, followed by ab150077 Goat Anti-Rabbit IgG H&L (Alexa Fluor® 488) antibody at 1/1000 dilution (2 μg/mL) (Green). Confocal image showing nuclear staining in mouse primary neuron cell. Confocal scanning Z step was set as 0.3 μm followed by image processing with maximum Z projection. ab11267 Anti-MAP2 mouse monoclonal antibody was used to counterstain tubulin at 1/500 dilution (4 μg/mL) followed by ab150120 Goat Anti-Mouse IgG H&L (Alexa Fluor® 594) at 1/1000 dilution (2 μg/mL) (Red). The nuclear counterstain was DAPI (Blue).

This data was developed using the same antibody clone in a different buffer formulation containing PBS, BSA, glycerol, and sodium azide (ab183991).

Key facts

Host species

Rabbit

Clonality

Monoclonal

Clone number

EPR19012

Isotype

IgG

Carrier free

Yes

Reacts with

Mouse

Applications

ICC/IF, IHC-P, IHC-Fr

applications

Immunogen

The exact immunogen used to generate this antibody is proprietary information.

Reactivity data

{ "title": "Reactivity Data", "filters": { "stats": ["", "Species", "Dilution Info", "Notes"], "tabs": { "all-applications": {"fullname" : "All Applications", "shortname": "All Applications"}, "ICCIF" : {"fullname" : "Immunocytochemistry/ Immunofluorescence", "shortname":"ICC/IF"}, "IHCP" : {"fullname" : "Immunohistochemistry (Formalin/PFA-fixed paraffin-embedded sections)", "shortname":"IHC-P"}, "IHCFr" : {"fullname" : "Immunohistochemistry (Frozen sections)", "shortname":"IHC-Fr"} }, "product-promise": { "all": "all", "testedAndGuaranteed": "tested", "guaranteed": "expected", "predicted": "predicted", "notRecommended": "not-recommended" } }, "values": { "Human": { "ICCIF-species-checked": "notRecommended", "ICCIF-species-dilution-info": "", "ICCIF-species-notes": "<p></p>", "IHCP-species-checked": "notRecommended", "IHCP-species-dilution-info": "", "IHCP-species-notes": "<p></p>", "IHCFr-species-checked": "notRecommended", "IHCFr-species-dilution-info": "", "IHCFr-species-notes": "<p>Antigen retrieval: Heated citrate solution (10mM citrate PH 6.0 + 0.05% Tween-20).</p>" }, "Mouse": { "ICCIF-species-checked": "testedAndGuaranteed", "ICCIF-species-dilution-info": "", "ICCIF-species-notes": "<p></p>", "IHCP-species-checked": "testedAndGuaranteed", "IHCP-species-dilution-info": "", "IHCP-species-notes": "<p></p>", "IHCFr-species-checked": "testedAndGuaranteed", "IHCFr-species-dilution-info": "", "IHCFr-species-notes": "<p>Antigen retrieval: Heated citrate solution (10mM citrate PH 6.0 + 0.05% Tween-20).</p>" } } }

Product details

ab222226 is the carrier-free version of ab183991.

Patented technology
Our RabMAb® technology is a patented hybridoma-based technology for making rabbit monoclonal antibodies. For details on our patents, please refer to RabMAb® patents.

Conjugation ready
Our carrier-free antibodies are typically supplied in a PBS-only formulation, purified and free of BSA, sodium azide and glycerol. This conjugation-ready format is designed for use with fluorochromes, metal isotopes, oligonucleotides, and enzymes, which makes them ideal for antibody labelling, functional and cell-based assays, flow-based assays (e.g. mass cytometry) and Multiplex Imaging applications.

Use our conjugation kits for antibody conjugates that are ready-to-use in as little as 20 minutes with 1 minute hands-on-time and 100% antibody recovery: available for fluorescent dyes, HRP, biotin and gold.

Compatibility
This product is compatible with the Maxpar® Antibody Labeling Kit from Fluidigm, without the need for antibody preparation. Maxpar® is a trademark of Fluidigm Canada Inc.

Properties and storage information

Form
Liquid
Purification technique
Affinity purification Protein A
Storage buffer
pH: 7.2 - 7.4 Constituents: PBS
Shipped at conditions
Blue Ice
Appropriate short-term storage conditions
+4°C
Appropriate long-term storage conditions
+4°C
Storage information
Do Not Freeze

Supplementary information

This supplementary information is collated from multiple sources and compiled automatically.

TBR2 also known as Eomes or Eomesodermin is a transcription factor with a molecular mass of approximately 72 kDa. It is a member of the T-box family and is expressed predominantly in the developing central nervous system especially in the intermediate progenitor cells in the subventricular zone of the cortex. TBR2 plays a significant role in neurogenesis by regulating the proliferation and differentiation of neuronal progenitor cells. This regulation ensures proper development of specific neural circuits critical for overall brain function.
Biological function summary

TBR2 is important in controlling the transition of neural progenitors during cortical development. It serves as an important marker for intermediate neuronal precursors highlighting its importance in the progression from radial glia to neurons. TBR2 does not function in a complex but works closely with the transcription factor Neurogenin 2 to control neuronal differentiation. Its activity determines the timing of neuronal differentiation making it indispensable for orderly cortical layer formation.

Pathways

TBR2 is involved in the Wnt signaling and Notch signaling pathways both key regulators of neurodevelopment. In the Wnt pathway TBR2 influences the balance between progenitor cell proliferation and differentiation by interacting with proteins such as Beta-catenin. In the Notch signaling pathway TBR2 modulates neural precursor cell fate decisions often in relation with proteins like DLL1. These pathways ensure proper brain structure and function by coordinating neural progenitor activity.

TBR2 mutations or misregulation can lead to neurodevelopmental disorders such as microcephaly and intellectual disabilities. The protein's association with these conditions reflects its critical role in cortical development and neuronal differentiation. TBR2's dysregulation is often observed alongside the malfunction of its pathway partners like Beta-catenin in the development of such disorders illustrating the intricate interplay of genetic and molecular factors underlying these diseases.

Product protocols

For this product, it's our understanding that no specific protocols are required. You can visit:

Target data

Functions as a transcriptional activator playing a crucial role during development. Functions in trophoblast differentiation and later in gastrulation, regulating both mesoderm delamination and endoderm specification. Plays a role in brain development being required for the specification and the proliferation of the intermediate progenitor cells and their progeny in the cerebral cortex. Also involved in the differentiation of CD8+ T-cells during immune response regulating the expression of lytic effector genes.
See full target information Eomes

Publications (1)

Recent publications for all applications. Explore the full list and refine your search

Laboratory investigation; a journal of technical m 100:1208-1222 PubMed32457352

2020

Sustained hedgehog signaling in medulloblastoma tumoroids is attributed to stromal astrocytes and astrocyte-derived extracellular matrix.

Applications

Unspecified application

Species

Unspecified reactive species

Yan Cheng,Janusz Franco-Barraza,Yuan Wang,Chaonan Zheng,Li Zhang,Yanghui Qu,Yaqiu Long,Edna Cukierman,Zeng-Jie Yang
View all publications

Product promise

We are committed to supporting your work with high-quality reagents, and we're here for you every step of the way. In the unlikely event that one of our products does not perform as expected, you're protected by our Product Promise.
For full details, please see our Terms & Conditions

Please note: All products are 'FOR RESEARCH USE ONLY. NOT FOR USE IN DIAGNOSTIC OR THERAPEUTIC PROCEDURES'.

For licensing inquiries, please contact partnerships@abcam.com