JavaScript is disabled in your browser. Please enable JavaScript to view this website.
AB216870

Anti-TBR2 / Eomes antibody [EPR21950-241]

  • BOND RX™ Validated
  • RabMAb
  • Recombinant
  • 20ul selling size
  • What is this?

5

(8 Reviews)

|

(18 Publications)

Anti-TBR2 / Eomes antibody [EPR21950-241] (ab216870) is a rabbit monoclonal antibody detecting TBR2 / Eomes in IP, IHC-P, IHC-Fr, ICC/IF. Suitable for Human, Mouse, Rat.

- Biophysical QC for unrivalled batch-batch consistency
- Over 10 publications

View Alternative Names

TBR2, EOMES, Eomesodermin homolog, T-box brain protein 2, T-brain-2, TBR-2

7 Images
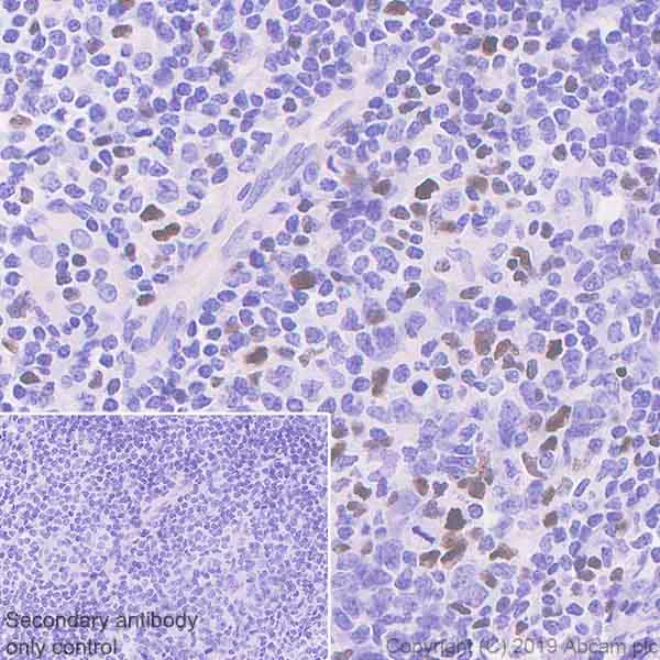
Immunohistochemistry (Formalin/PFA-fixed paraffin-embedded sections) - Anti-TBR2 / Eomes antibody [EPR21950-241] (AB216870)
  • IHC-P

Unknown

Immunohistochemistry (Formalin/PFA-fixed paraffin-embedded sections) - Anti-TBR2 / Eomes antibody [EPR21950-241] (AB216870)

Immunohistochemical analysis of paraffin-embedded Human tonsil tissue labeling EOMES with ab216870 at 1/1000 dilution followed by a ready to use Rabbit specific IHC polymer detection kit HRP/DAB (ab209101). Nuclear staining on human tonsil is observed. The section was incubated with ab216870 for 30 mins at RT. The immunostaining staining was performed on a Leica Biosystems BOND® RX instrument. Counterstained with Hematoxylin.

Secondary antibody only control : Secondary antibody is a ready to use Rabbit specific IHC polymer detection kit HRP/DAB (ab209101).

Heat mediated antigen retrieval with Tris-EDTA buffer (pH 9.0, epitope retrieval solution 2) for 20 mins.

Immunohistochemistry (Frozen sections) - Anti-TBR2 / Eomes antibody [EPR21950-241] (AB216870)
  • IHC-Fr

Unknown

Immunohistochemistry (Frozen sections) - Anti-TBR2 / Eomes antibody [EPR21950-241] (AB216870)

Immunohistochemical analysis of 4% paraformaldehyde-fixed 0.2% Triton X-100 permeabilized frozen Mouse E14.5 cerebrum tissue stained for EOMES using ab216870 at 1/100 dilution in immunohistochemical analysis. The secondary antibody was ab150077 AlexaFluor®488 Goat anti-Rabbit secondary antibody at 1/1000 dilution. The nuclear counterstain was DAPI (Blue). Positive staining in mouse embryonic cerebrum (PMID : 24223221) is observed. Heat mediated antigen retrieval using sodium citrate buffer (10mM citrate pH 6.0 + 0.05% Tween-20).

Secondary antibody only control : Used PBS instead of primary antibody, secondary antibody was ab150077 AlexaFluor®488 Goat anti-Rabbit secondary at 1/1000 (2 μg/ml) dilution.

Immunohistochemistry (Frozen sections) - Anti-TBR2 / Eomes antibody [EPR21950-241] (AB216870)
  • IHC-Fr

Unknown

Immunohistochemistry (Frozen sections) - Anti-TBR2 / Eomes antibody [EPR21950-241] (AB216870)

Immunohistochemical analysis of 4% PFA fixed 0.2% Triton X-100 permeabilized frozen Rat E14.5 cerebrum tissue labeling EOMES with ab216870 at 1/100 (5.75 μg/ml) dilution followed by ab150077 AlexaFluor®488 Goat anti-Rabbit secondary at 1/1000 (2 μg/ml) dilution. The nuclear counterstain was DAPI (Blue). Heat mediated antigen retrieval using sodium citrate buffer (10mM citrate pH 6.0 + 0.05% Tween-20). Positive staining in rat embryonic cerebrum (PMID : 24223221) is observed.

Secondary antibody only control : Used PBS instead of primary antibody, secondary antibody was ab150077 AlexaFluor®488 Goat anti-Rabbit secondary at 1/1000 (2 μg/ml) dilution.

Immunohistochemistry (Formalin/PFA-fixed paraffin-embedded sections) - Anti-TBR2 / Eomes antibody [EPR21950-241] (AB216870)
  • IHC-P

Unknown

Immunohistochemistry (Formalin/PFA-fixed paraffin-embedded sections) - Anti-TBR2 / Eomes antibody [EPR21950-241] (AB216870)

Immunohistochemical analysis of paraffin-embedded E14.5 rat cerebral cortex tissue labeling EOMES with ab216870 at 1/1000 dilution followed by a ready to use Rabbit specific IHC polymer detection kit HRP/DAB (ab209101). Nuclear staining on E14.5 rat cerebral cortex (PMID : 18725516) is observed. The section was incubated with ab216870 for 30 mins at RT. The immunostaining staining was performed on a Leica Biosystems BOND® RX instrument. Counterstained with Hematoxylin.

Secondary antibody only control : Secondary antibody is a ready to use Rabbit specific IHC polymer detection kit HRP/DAB (ab209101).

Heat mediated antigen retrieval with Tris-EDTA buffer (pH 9.0, epitope retrieval solution 2) for 20 mins.

Immunohistochemistry (Formalin/PFA-fixed paraffin-embedded sections) - Anti-TBR2 / Eomes antibody [EPR21950-241] (AB216870)
  • IHC-P

Unknown

Immunohistochemistry (Formalin/PFA-fixed paraffin-embedded sections) - Anti-TBR2 / Eomes antibody [EPR21950-241] (AB216870)

Immunohistochemical analysis of paraffin-embedded E14.5 mouse cerebral cortex tissue labeling EOMES with ab216870 at 1/1000 dilution followed by a ready to use Rabbit specific IHC polymer detection kit HRP/DAB (ab209101). Nuclear staining on E14.5 mouse cerebral cortex (PMID : 18725516) The section was incubated with ab216870 for 30 mins at RT. The immunostaining staining was performed on a Leica Biosystems BOND® RX instrument. Counterstained with Hematoxylin.

Secondary antibody only control : Secondary antibody is a ready to use Rabbit specific IHC polymer detection kit HRP/DAB (ab209101).

Heat mediated antigen retrieval with Tris-EDTA buffer (pH 9.0, epitope retrieval solution 2) for 20 mins.

Immunocytochemistry/ Immunofluorescence - Anti-TBR2 / Eomes antibody [EPR21950-241] (AB216870)
  • ICC/IF

Supplier Data

Immunocytochemistry/ Immunofluorescence - Anti-TBR2 / Eomes antibody [EPR21950-241] (AB216870)

Immunocytochemistry confocal image showing nuclear staining in mouse primary neuron cells. Anti-TBR2 is stained with ab216870 in a 1/100 dilution, and 2μg/ml AlexaFluor®488 Goat anti-Rabbit secondary (ab150077). Nuclear counterstaining is DAPI (blue).

The negative control is ab11267 Anti-MAP2 mouse monoclonal antibody with ab150120 AlexaFluor®594 Goat anti-Mouse secondary.

Immunoprecipitation - Anti-TBR2 / Eomes antibody [EPR21950-241] (AB216870)
  • IP

Supplier Data

Immunoprecipitation - Anti-TBR2 / Eomes antibody [EPR21950-241] (AB216870)

TBR2 / Eomes was immunoprecipitated from 0.35mg Mouse E14 brain tissue lysate 10μg with ab216870 at 1/50 dilution (2μg in 0.35mg lysates). Western blot was performed on the immunoprecipitate using ab216870 1/1000 dilution (0.67 μg/ml). VeriBlot for IP Detection Reagent (HRP) (ab131366) was used as the secondary antibody at 1/5000 dilution.

Lane 1 : Mouse E14 brain tissue lysate 10 μg

Lane 2 : ab216870 IP in Mouse E14 brain tissue lysate

Lane 3 : Rabbit monoclonal IgG (ab172730) instead of ab216870 in Mouse E14 brain tissue lysate.

Blocking and dilution buffer and concentration : 5% NFDM/TBST.

Exposure time : 3 min

The band is consistent with what has been described in the literature (PMID : 26749212).

All lanes:

Immunoprecipitation - Anti-TBR2 / Eomes antibody [EPR21950-241] (ab216870)

Predicted band size: 72 kDa

Observed band size: 85 kDa

false

Key facts

Host species

Rabbit

Clonality

Monoclonal

Clone number

EPR21950-241

Isotype

IgG

Carrier free

No

Reacts with

Mouse, Rat, Human

Applications

IHC-Fr, IHC-P, ICC/IF, IP

applications

Immunogen

The exact immunogen used to generate this antibody is proprietary information.

Reactivity data

{ "title": "Reactivity Data", "filters": { "stats": ["", "Species", "Dilution Info", "Notes"], "tabs": { "all-applications": {"fullname" : "All Applications", "shortname": "All Applications"}, "IHCP" : {"fullname" : "Immunohistochemistry (Formalin/PFA-fixed paraffin-embedded sections)", "shortname":"IHC-P"}, "IHCFr" : {"fullname" : "Immunohistochemistry (Frozen sections)", "shortname":"IHC-Fr"}, "ICCIF" : {"fullname" : "Immunocytochemistry/ Immunofluorescence", "shortname":"ICC/IF"}, "IP" : {"fullname" : "Immunoprecipitation", "shortname":"IP"}, "FlowCyt" : {"fullname" : "Flow Cytometry", "shortname":"Flow Cyt"}, "WB" : {"fullname" : "Western blot", "shortname":"WB"} }, "product-promise": { "all": "all", "testedAndGuaranteed": "tested", "guaranteed": "expected", "predicted": "predicted", "notRecommended": "not-recommended" } }, "values": { "Human": { "IHCP-species-checked": "testedAndGuaranteed", "IHCP-species-dilution-info": "1/1000", "IHCP-species-notes": "<p></p> Perform heat-mediated antigen retrieval with Tris/EDTA buffer pH 9.0 before commencing with IHC staining protocol.", "IHCFr-species-checked": "guaranteed", "IHCFr-species-dilution-info": "", "IHCFr-species-notes": "", "ICCIF-species-checked": "guaranteed", "ICCIF-species-dilution-info": "", "ICCIF-species-notes": "", "IP-species-checked": "guaranteed", "IP-species-dilution-info": "", "IP-species-notes": "", "FlowCyt-species-checked": "notRecommended", "FlowCyt-species-dilution-info": "", "FlowCyt-species-notes": "<p></p>", "WB-species-checked": "notRecommended", "WB-species-dilution-info": "", "WB-species-notes": "<p></p>" }, "Mouse": { "IHCP-species-checked": "testedAndGuaranteed", "IHCP-species-dilution-info": "1/1000", "IHCP-species-notes": "<p></p> Perform heat-mediated antigen retrieval with Tris/EDTA buffer pH 9.0 before commencing with IHC staining protocol.", "IHCFr-species-checked": "testedAndGuaranteed", "IHCFr-species-dilution-info": "1/100", "IHCFr-species-notes": "<p></p> Perform heat-mediated antigen retrieval with citrate buffer pH 6 before commencing with IHC staining protocol.", "ICCIF-species-checked": "testedAndGuaranteed", "ICCIF-species-dilution-info": "1/100", "ICCIF-species-notes": "<p></p>", "IP-species-checked": "testedAndGuaranteed", "IP-species-dilution-info": "1/50", "IP-species-notes": "<p></p>", "FlowCyt-species-checked": "notRecommended", "FlowCyt-species-dilution-info": "", "FlowCyt-species-notes": "<p></p>", "WB-species-checked": "notRecommended", "WB-species-dilution-info": "", "WB-species-notes": "<p></p>" }, "Rat": { "IHCP-species-checked": "testedAndGuaranteed", "IHCP-species-dilution-info": "1/1000", "IHCP-species-notes": "<p></p> Perform heat-mediated antigen retrieval with Tris/EDTA buffer pH 9.0 before commencing with IHC staining protocol.", "IHCFr-species-checked": "testedAndGuaranteed", "IHCFr-species-dilution-info": "1/100", "IHCFr-species-notes": "<p></p> Perform heat-mediated antigen retrieval with citrate buffer pH 6 before commencing with IHC staining protocol.", "ICCIF-species-checked": "guaranteed", "ICCIF-species-dilution-info": "", "ICCIF-species-notes": "", "IP-species-checked": "notRecommended", "IP-species-dilution-info": "1/50", "IP-species-notes": "<p></p>", "FlowCyt-species-checked": "notRecommended", "FlowCyt-species-dilution-info": "", "FlowCyt-species-notes": "<p></p>", "WB-species-checked": "notRecommended", "WB-species-dilution-info": "", "WB-species-notes": "<p></p>" }, "Cat": { "IHCP-species-checked": "predicted", "IHCP-species-dilution-info": "", "IHCP-species-notes": "", "IHCFr-species-checked": "predicted", "IHCFr-species-dilution-info": "", "IHCFr-species-notes": "", "ICCIF-species-checked": "predicted", "ICCIF-species-dilution-info": "", "ICCIF-species-notes": "", "IP-species-checked": "notRecommended", "IP-species-dilution-info": "", "IP-species-notes": "", "FlowCyt-species-checked": "notRecommended", "FlowCyt-species-dilution-info": "", "FlowCyt-species-notes": "", "WB-species-checked": "notRecommended", "WB-species-dilution-info": "", "WB-species-notes": "" }, "Common marmoset": { "IHCP-species-checked": "predicted", "IHCP-species-dilution-info": "", "IHCP-species-notes": "", "IHCFr-species-checked": "predicted", "IHCFr-species-dilution-info": "", "IHCFr-species-notes": "", "ICCIF-species-checked": "predicted", "ICCIF-species-dilution-info": "", "ICCIF-species-notes": "", "IP-species-checked": "notRecommended", "IP-species-dilution-info": "", "IP-species-notes": "", "FlowCyt-species-checked": "notRecommended", "FlowCyt-species-dilution-info": "", "FlowCyt-species-notes": "", "WB-species-checked": "notRecommended", "WB-species-dilution-info": "", "WB-species-notes": "" }, "Dog": { "IHCP-species-checked": "predicted", "IHCP-species-dilution-info": "", "IHCP-species-notes": "", "IHCFr-species-checked": "predicted", "IHCFr-species-dilution-info": "", "IHCFr-species-notes": "", "ICCIF-species-checked": "predicted", "ICCIF-species-dilution-info": "", "ICCIF-species-notes": "", "IP-species-checked": "notRecommended", "IP-species-dilution-info": "", "IP-species-notes": "", "FlowCyt-species-checked": "notRecommended", "FlowCyt-species-dilution-info": "", "FlowCyt-species-notes": "", "WB-species-checked": "notRecommended", "WB-species-dilution-info": "", "WB-species-notes": "" }, "Hamster": { "IHCP-species-checked": "predicted", "IHCP-species-dilution-info": "", "IHCP-species-notes": "", "IHCFr-species-checked": "predicted", "IHCFr-species-dilution-info": "", "IHCFr-species-notes": "", "ICCIF-species-checked": "predicted", "ICCIF-species-dilution-info": "", "ICCIF-species-notes": "", "IP-species-checked": "notRecommended", "IP-species-dilution-info": "", "IP-species-notes": "", "FlowCyt-species-checked": "notRecommended", "FlowCyt-species-dilution-info": "", "FlowCyt-species-notes": "", "WB-species-checked": "notRecommended", "WB-species-dilution-info": "", "WB-species-notes": "" }, "Pig": { "IHCP-species-checked": "predicted", "IHCP-species-dilution-info": "", "IHCP-species-notes": "", "IHCFr-species-checked": "predicted", "IHCFr-species-dilution-info": "", "IHCFr-species-notes": "", "ICCIF-species-checked": "predicted", "ICCIF-species-dilution-info": "", "ICCIF-species-notes": "", "IP-species-checked": "notRecommended", "IP-species-dilution-info": "", "IP-species-notes": "", "FlowCyt-species-checked": "notRecommended", "FlowCyt-species-dilution-info": "", "FlowCyt-species-notes": "", "WB-species-checked": "notRecommended", "WB-species-dilution-info": "", "WB-species-notes": "" }, "Primates": { "IHCP-species-checked": "predicted", "IHCP-species-dilution-info": "", "IHCP-species-notes": "", "IHCFr-species-checked": "predicted", "IHCFr-species-dilution-info": "", "IHCFr-species-notes": "", "ICCIF-species-checked": "predicted", "ICCIF-species-dilution-info": "", "ICCIF-species-notes": "", "IP-species-checked": "notRecommended", "IP-species-dilution-info": "", "IP-species-notes": "", "FlowCyt-species-checked": "notRecommended", "FlowCyt-species-dilution-info": "", "FlowCyt-species-notes": "", "WB-species-checked": "notRecommended", "WB-species-dilution-info": "", "WB-species-notes": "" } } }

Product details

What is this antibody validated in?
Anti-TBR2 / Eomes antibody [EPR21950-241] (ab216870) is a rabbit recombinant monoclonal antibody and is validated for use in Immunoprecipitation (IP), Immunohistochemistry (IHC-P), Immunohistochemistry (IHC-Fr), Immunocytochemistry/immunofluorescence (ICC/IF) in Human, Mouse, Rat samples.

Trusted by the scientific community
Anti-TBR2 / Eomes [EPR21950-241] (ab216870) was first used in a scientific publication in 2019 and has been cited over 10 times in peer-reviewed journals.

Reviewed by scientists
Anti-TBR2 / Eomes [EPR21950-241] (ab216870) has over 5 independent reviews from customers.

Trial sizes available!
Test your antibody or perform pre-screening before committing to a larger quantity. Sold in 10µl. Discover our selection of trial-size antibodies.

Other related products
We have a range of other formats of antibody clone [EPR21950-241] also available for your convenience: ab216870, Carrier free - ab261913, Alexa Fluor® 488 - ab310988, Alexa Fluor® 647 - ab311114, Alexa Fluor® 594 - ab311735, Alexa Fluor® 568 - ab313013, Alexa Fluor® 555 - ab313217, Alexa Fluor® 750 - ab321390

Patented technology
Our RabMAb® technology is a patented hybridoma-based technology for making rabbit monoclonal antibodies. For details on our patents, please refer to RabMAb® patents.

What are the advantages of a recombinant monoclonal antibody?
This product is a recombinant monoclonal antibody, which offers several advantages including:

  • - High batch-to-batch consistency and reproducibility
  • - Improved sensitivity and specificity
  • - Long-term security of supply
  • - Animal-free batch production

For more information, read more on recombinant antibodies.

Properties and storage information

Form
Liquid
Purification technique
Affinity purification Protein A
Storage buffer
pH: 7.2 - 7.4 Preservative: 0.01% Sodium azide Constituents: PBS, 40% Glycerol (glycerin, glycerine), 0.05% BSA
Shipped at conditions
Blue Ice
Appropriate short-term storage duration
1-2 weeks
Appropriate short-term storage conditions
+4°C
Appropriate long-term storage conditions
-20°C
Aliquoting information
Upon delivery aliquot
Storage information
Avoid freeze / thaw cycle

Supplementary information

This supplementary information is collated from multiple sources and compiled automatically.

TBR2 also known as Eomes or Eomesodermin is a transcription factor with a molecular mass of approximately 72 kDa. It is a member of the T-box family and is expressed predominantly in the developing central nervous system especially in the intermediate progenitor cells in the subventricular zone of the cortex. TBR2 plays a significant role in neurogenesis by regulating the proliferation and differentiation of neuronal progenitor cells. This regulation ensures proper development of specific neural circuits critical for overall brain function.
Biological function summary

TBR2 is important in controlling the transition of neural progenitors during cortical development. It serves as an important marker for intermediate neuronal precursors highlighting its importance in the progression from radial glia to neurons. TBR2 does not function in a complex but works closely with the transcription factor Neurogenin 2 to control neuronal differentiation. Its activity determines the timing of neuronal differentiation making it indispensable for orderly cortical layer formation.

Pathways

TBR2 is involved in the Wnt signaling and Notch signaling pathways both key regulators of neurodevelopment. In the Wnt pathway TBR2 influences the balance between progenitor cell proliferation and differentiation by interacting with proteins such as Beta-catenin. In the Notch signaling pathway TBR2 modulates neural precursor cell fate decisions often in relation with proteins like DLL1. These pathways ensure proper brain structure and function by coordinating neural progenitor activity.

TBR2 mutations or misregulation can lead to neurodevelopmental disorders such as microcephaly and intellectual disabilities. The protein's association with these conditions reflects its critical role in cortical development and neuronal differentiation. TBR2's dysregulation is often observed alongside the malfunction of its pathway partners like Beta-catenin in the development of such disorders illustrating the intricate interplay of genetic and molecular factors underlying these diseases.

Product protocols

For this product, it's our understanding that no specific protocols are required. You can visit:

Target data

Functions as a transcriptional activator playing a crucial role during development. Functions in trophoblast differentiation and later in gastrulation, regulating both mesoderm delamination and endoderm specification. Plays a role in brain development being required for the specification and the proliferation of the intermediate progenitor cells and their progeny in the cerebral cortex. Also involved in the differentiation of CD8+ T-cells during immune response regulating the expression of lytic effector genes.
See full target information EOMES

Publications (18)

Recent publications for all applications. Explore the full list and refine your search

Frontiers in immunology 16:1678176 PubMed41050673

2025

CXCR1 fate mapping distinguishes cochlear resident and recruited macrophages after acoustic trauma.

Applications

Unspecified application

Species

Unspecified reactive species

Sree Varshini Murali,Andrew R Stothert,Elyssa Pereyra,Lyudmila Batalkina,Tejbeer Kaur

PLoS biology 23:e3002654 PubMed40720543

2025

Sox5 controls the establishment of quiescence in neural stem cells during postnatal development.

Applications

Unspecified application

Species

Unspecified reactive species

Cristina Medina-Menéndez,Paula Tirado-Melendro,Lingling Li,Pilar Rodríguez-Martín,Elena Melgarejo-de la Peña,Mario Díaz-García,María Valdés-Bescós,Rafael López-Sansegundo,Aixa V Morales

Scientific reports 15:4726 PubMed39922861

2025

Pax6 regulates neuronal migration and cell proliferation via interacting with Wnt3a during cortical development.

Applications

Unspecified application

Species

Unspecified reactive species

Bichao Zhang,Meihua Hou,Jiayan Huang,Yunfei Liu,Ciqing Yang,Juntang Lin

Advanced science (Weinheim, Baden-Wurttemberg, Germany) 12:e2404432 PubMed39573933

2024

γδ T Cell-mediated Tumor Immunity is Tightly Regulated by STING and TGF-β Signaling Pathways.

Applications

Unspecified application

Species

Unspecified reactive species

Jing Luo,Shengli Wang,Quanli Yang,Qianqian Fu,Chuyun Zhu,Tao Li,Shuxian Yang,Yin Zhao,Rong Guo,Xiaosong Ben,Yuzhen Zheng,Sitao Li,Guang Yang,Hongru Zhang,Hui Xiao,Zhengfan Jiang,Nan Yan,Dieter Kabelitz,Guodong Sun,Zvi Granot,Ligong Lu,Fuping You,Jianlei Hao,Zhinan Yin

Journal of hazardous materials 474:134800 PubMed38850955

2024

Effects of nanoplastic exposure during pregnancy and lactation on neurodevelopment of rat offspring.

Applications

IHC-P

Species

Mouse

Lei Tian,Yaping Zhang,Jiang Chen,Xuan Liu,Huipeng Nie,Kang Li,Huanliang Liu,Wenqing Lai,Yue Shi,Zhuge Xi,Bencheng Lin

Cell death & disease 15:129 PubMed38342917

2024

Deubiquitinase Mysm1 regulates neural stem cell proliferation and differentiation by controlling Id4 expression.

Applications

IHC-Fr

Species

Mouse

Zhenhua Xu,Qiaozhen Qin,Yan Wang,Heyang Zhang,Shuirong Liu,Xiaotong Li,Yue Chen,Yuqing Wang,Huaqiang Ruan,Wenyan He,Tao Zhang,Xinlong Yan,Changyong Wang,Donggang Xu,Xiaoxia Jiang

Neuron 112:574-592.e10 PubMed38086370

2023

Delayed maturation and migration of excitatory neurons in the juvenile mouse paralaminar amygdala.

Applications

IHC-Fr

Species

Mouse

Pia J Alderman,David Saxon,Lucía I Torrijos-Saiz,Malaz Sharief,Chloe E Page,Jude K Baroudi,Sean W Biagiotti,Vladimir A Butyrkin,Anna Melamed,Chay T Kuo,Stefano Vicini,Jose M García-Verdugo,Vicente Herranz-Pérez,Joshua G Corbin,Shawn F Sorrells

Stem cell reports 18:1925-1939 PubMed37738969

2023

Seamless and non-destructive monitoring of extracellular microRNAs during cardiac differentiation from human pluripotent stem cells.

Applications

ICC/IF

Species

Human

Otoya Sekine,Sayaka Kanaami,Kanako Masumoto,Yuki Aihara,Yuika Morita-Umei,Hidenori Tani,Yusuke Soma,Tomohiko C Umei,Kotaro Haga,Taijun Moriwaki,Yujiro Kawai,Masatoshi Ohno,Yoshikazu Kishino,Hideaki Kanazawa,Keiichi Fukuda,Masaki Ieda,Shugo Tohyama

Nature communications 14:5435 PubMed37669989

2023

Placental growth factor exerts a dual function for cardiomyogenesis and vasculogenesis during heart development.

Applications

ChIP

Species

Human

Nevin Witman,Chikai Zhou,Timm Häneke,Yao Xiao,Xiaoting Huang,Eduarde Rohner,Jesper Sohlmér,Niels Grote Beverborg,Miia L Lehtinen,Kenneth R Chien,Makoto Sahara

iScience 26:107201 PubMed37456855

2023

Targeting endometrial inflammation in intrauterine adhesion ameliorates endometrial fibrosis by priming MSCs to secrete C1INH.

Applications

IHC-P

Species

Mouse

Simin Yao,Zhenhua Zhou,Limin Wang,Haining Lv,Dan Liu,Qi Zhu,Xiwen Zhang,Guangfeng Zhao,Yali Hu
View all publications

Product promise

We are committed to supporting your work with high-quality reagents, and we're here for you every step of the way. In the unlikely event that one of our products does not perform as expected, you're protected by our Product Promise.
For full details, please see our Terms & Conditions

Please note: All products are 'FOR RESEARCH USE ONLY. NOT FOR USE IN DIAGNOSTIC OR THERAPEUTIC PROCEDURES'.

For licensing inquiries, please contact partnerships@abcam.com