JavaScript is disabled in your browser. Please enable JavaScript to view this website.
AB261913

Anti-TBR2 / Eomes antibody [EPR21950-241] - BSA and Azide free

0

(1 Review)

|

(0 Publication)

Rabbit Recombinant Monoclonal TBR2 / Eomes antibody. Carrier free. Suitable for ICC/IF, IP, IHC-P, IHC-Fr and reacts with Mouse, Rat, Human samples.

View Alternative Names

TBR2, EOMES, Eomesodermin homolog, T-box brain protein 2, T-brain-2, TBR-2

7 Images
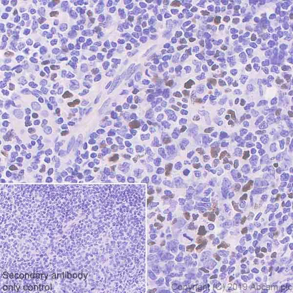
Immunohistochemistry (Formalin/PFA-fixed paraffin-embedded sections) - Anti-TBR2 / Eomes antibody [EPR21950-241] - BSA and Azide free (AB261913)
  • IHC-P

Unknown

Immunohistochemistry (Formalin/PFA-fixed paraffin-embedded sections) - Anti-TBR2 / Eomes antibody [EPR21950-241] - BSA and Azide free (AB261913)

Immunohistochemical analysis of paraffin-embedded Human tonsil tissue labeling EOMES with ab216870 at 1/1000 dilution followed by a ready to use Rabbit specific IHC polymer detection kit HRP/DAB (ab209101). Nuclear staining on human tonsil is observed. The section was incubated with ab216870 for 30 mins at RT. The immunostaining staining was performed on a Leica Biosystems BOND® RX instrument. Counterstained with Hematoxylin.

Secondary antibody only control : Secondary antibody is a ready to use Rabbit specific IHC polymer detection kit HRP/DAB (ab209101).

Heat mediated antigen retrieval with Tris-EDTA buffer (pH 9.0, epitope retrieval solution 2) for 20 mins.

This data was developed using the same antibody clone in a different buffer formulation containing PBS, BSA, glycerol, and sodium azide (ab216870).

Immunocytochemistry/ Immunofluorescence - Anti-TBR2 / Eomes antibody [EPR21950-241] - BSA and Azide free (AB261913)
  • ICC/IF

Supplier Data

Immunocytochemistry/ Immunofluorescence - Anti-TBR2 / Eomes antibody [EPR21950-241] - BSA and Azide free (AB261913)

This data was developed using the same antibody clone in a different buffer formulation containing PBS, BSA, glycerol, and sodium azide (ab216870).

Immunocytochemistry confocal image showing nuclear staining in mouse primary neuron cells. Anti-TBR2 is stained with ab216870 in a 1/100 dilution, and 2μg/ml AlexaFluor®488 Goat anti-Rabbit secondary (ab150077). Nuclear counterstaining is DAPI (blue).

The negative control is ab11267 Anti-MAP2 mouse monoclonal antibody with ab150120 AlexaFluor®594 Goat anti-Mouse secondary.

Immunohistochemistry (Frozen sections) - Anti-TBR2 / Eomes antibody [EPR21950-241] - BSA and Azide free (AB261913)
  • IHC-Fr

Unknown

Immunohistochemistry (Frozen sections) - Anti-TBR2 / Eomes antibody [EPR21950-241] - BSA and Azide free (AB261913)

Immunohistochemical analysis of 4% paraformaldehyde-fixed 0.2% Triton X-100 permeabilized frozen Mouse E14.5 cerebrum tissue stained for EOMES using ab216870 at 1/100 dilution in immunohistochemical analysis. The secondary antibody was ab150077 AlexaFluor®488 Goat anti-Rabbit secondary antibody at 1/1000 dilution. The nuclear counterstain was DAPI (Blue). Positive staining in mouse embryonic cerebrum (PMID : 24223221) is observed. Heat mediated antigen retrieval using sodium citrate buffer (10mM citrate pH 6.0 + 0.05% Tween-20).

Secondary antibody only control : Used PBS instead of primary antibody, secondary antibody was ab150077 AlexaFluor®488 Goat anti-Rabbit secondary at 1/1000 (2 μg/ml) dilution.

This data was developed using the same antibody clone in a different buffer formulation containing PBS, BSA, glycerol, and sodium azide (ab216870).

Immunohistochemistry (Frozen sections) - Anti-TBR2 / Eomes antibody [EPR21950-241] - BSA and Azide free (AB261913)
  • IHC-Fr

Unknown

Immunohistochemistry (Frozen sections) - Anti-TBR2 / Eomes antibody [EPR21950-241] - BSA and Azide free (AB261913)

Immunohistochemical analysis of 4% PFA fixed 0.2% Triton X-100 permeabilized frozen Rat E14.5 cerebrum tissue labeling EOMES with ab216870 at 1/100 (5.75 μg/ml) dilution followed by ab150077 AlexaFluor®488 Goat anti-Rabbit secondary at 1/1000 (2 μg/ml) dilution. The nuclear counterstain was DAPI (Blue). Heat mediated antigen retrieval using sodium citrate buffer (10mM citrate pH 6.0 + 0.05% Tween-20). Positive staining in rat embryonic cerebrum (PMID : 24223221) is observed.

Secondary antibody only control : Used PBS instead of primary antibody, secondary antibody was ab150077 AlexaFluor®488 Goat anti-Rabbit secondary at 1/1000 (2 μg/ml) dilution.

This data was developed using the same antibody clone in a different buffer formulation containing PBS, BSA, glycerol, and sodium azide (ab216870).

Immunohistochemistry (Formalin/PFA-fixed paraffin-embedded sections) - Anti-TBR2 / Eomes antibody [EPR21950-241] - BSA and Azide free (AB261913)
  • IHC-P

Unknown

Immunohistochemistry (Formalin/PFA-fixed paraffin-embedded sections) - Anti-TBR2 / Eomes antibody [EPR21950-241] - BSA and Azide free (AB261913)

Immunohistochemical analysis of paraffin-embedded E14.5 mouse cerebral cortex tissue labeling EOMES with ab216870 at 1/1000 dilution followed by a ready to use Rabbit specific IHC polymer detection kit HRP/DAB (ab209101). Nuclear staining on E14.5 mouse cerebral cortex (PMID : 18725516) is observed. The section was incubated with ab216870 for 30 mins at RT. The immunostaining staining was performed on a Leica Biosystems BOND® RX instrument. Counterstained with Hematoxylin.

Secondary antibody only control : Secondary antibody is a ready to use Rabbit specific IHC polymer detection kit HRP/DAB (ab209101).

Heat mediated antigen retrieval with Tris-EDTA buffer (pH 9.0, epitope retrieval solution 2) for 20 mins.

This data was developed using the same antibody clone in a different buffer formulation containing PBS, BSA, glycerol, and sodium azide (ab216870).

Immunohistochemistry (Formalin/PFA-fixed paraffin-embedded sections) - Anti-TBR2 / Eomes antibody [EPR21950-241] - BSA and Azide free (AB261913)
  • IHC-P

Unknown

Immunohistochemistry (Formalin/PFA-fixed paraffin-embedded sections) - Anti-TBR2 / Eomes antibody [EPR21950-241] - BSA and Azide free (AB261913)

Immunohistochemical analysis of paraffin-embedded E14.5 rat cerebral cortex tissue labeling EOMES with ab216870 at 1/1000 dilution followed by a ready to use Rabbit specific IHC polymer detection kit HRP/DAB (ab209101). Nuclear staining on E14.5 rat cerebral cortex (PMID : 18725516) is observed. The section was incubated with ab216870 for 30 mins at RT. The immunostaining staining was performed on a Leica Biosystems BOND® RX instrument. Counterstained with Hematoxylin.

Secondary antibody only control : Secondary antibody is a ready to use Rabbit specific IHC polymer detection kit HRP/DAB (ab209101).

Heat mediated antigen retrieval with Tris-EDTA buffer (pH 9.0, epitope retrieval solution 2) for 20 mins.

This data was developed using the same antibody clone in a different buffer formulation containing PBS, BSA, glycerol, and sodium azide (ab216870).

Immunoprecipitation - Anti-TBR2 / Eomes antibody [EPR21950-241] - BSA and Azide free (AB261913)
  • IP

Supplier Data

Immunoprecipitation - Anti-TBR2 / Eomes antibody [EPR21950-241] - BSA and Azide free (AB261913)

This data was developed using the same antibody clone in a different buffer formulation containing PBS, BSA, glycerol, and sodium azide (ab216870).

TBR2 / Eomes was immunoprecipitated from 0.35mg Mouse E14 brain tissue lysate 10μg with ab216870 at 1/50 dilution (2μg in 0.35mg lysates). Western blot was performed on the immunoprecipitate using ab216870 1/1000 dilution (0.67 μg/ml). VeriBlot for IP Detection Reagent (HRP) (ab131366) was used as the secondary antibody at 1/5000 dilution.

Lane 1 : Mouse E14 brain tissue lysate 10 μg

Lane 2 : ab216870 IP in Mouse E14 brain tissue lysate

Lane 3 : Rabbit monoclonal IgG (ab172730) instead of ab216870 in Mouse E14 brain tissue lysate.

Blocking and dilution buffer and concentration : 5% NFDM/TBST.

Exposure time : 3 min

The band is consistent with what has been described in the literature (PMID : 26749212).

All lanes:

Immunoprecipitation - Anti-TBR2 / Eomes antibody [EPR21950-241] (<a href='/en-us/products/primary-antibodies/tbr2-eomes-antibody-epr21950-241-ab216870'>ab216870</a>)

Predicted band size: 72 kDa

Observed band size: 85 kDa

false

Key facts

Host species

Rabbit

Clonality

Monoclonal

Clone number

EPR21950-241

Isotype

IgG

Carrier free

Yes

Reacts with

Mouse, Rat, Human

Applications

IP, IHC-Fr, ICC/IF, IHC-P

applications

Immunogen

The exact immunogen used to generate this antibody is proprietary information.

Reactivity data

{ "title": "Reactivity Data", "filters": { "stats": ["", "Species", "Dilution Info", "Notes"], "tabs": { "all-applications": {"fullname" : "All Applications", "shortname": "All Applications"}, "ICCIF" : {"fullname" : "Immunocytochemistry/ Immunofluorescence", "shortname":"ICC/IF"}, "IP" : {"fullname" : "Immunoprecipitation", "shortname":"IP"}, "FlowCyt" : {"fullname" : "Flow Cytometry", "shortname":"Flow Cyt"}, "WB" : {"fullname" : "Western blot", "shortname":"WB"}, "IHCP" : {"fullname" : "Immunohistochemistry (Formalin/PFA-fixed paraffin-embedded sections)", "shortname":"IHC-P"}, "IHCFr" : {"fullname" : "Immunohistochemistry (Frozen sections)", "shortname":"IHC-Fr"} }, "product-promise": { "all": "all", "testedAndGuaranteed": "tested", "guaranteed": "expected", "predicted": "predicted", "notRecommended": "not-recommended" } }, "values": { "Human": { "ICCIF-species-checked": "guaranteed", "ICCIF-species-dilution-info": "", "ICCIF-species-notes": "", "IP-species-checked": "guaranteed", "IP-species-dilution-info": "", "IP-species-notes": "", "FlowCyt-species-checked": "notRecommended", "FlowCyt-species-dilution-info": "", "FlowCyt-species-notes": "<p></p>", "WB-species-checked": "notRecommended", "WB-species-dilution-info": "", "WB-species-notes": "<p></p>", "IHCP-species-checked": "testedAndGuaranteed", "IHCP-species-dilution-info": "", "IHCP-species-notes": "<p></p> Perform heat-mediated antigen retrieval with Tris/EDTA buffer pH 9.0 before commencing with IHC staining protocol.", "IHCFr-species-checked": "guaranteed", "IHCFr-species-dilution-info": "", "IHCFr-species-notes": "" }, "Mouse": { "ICCIF-species-checked": "testedAndGuaranteed", "ICCIF-species-dilution-info": "", "ICCIF-species-notes": "<p></p>", "IP-species-checked": "testedAndGuaranteed", "IP-species-dilution-info": "", "IP-species-notes": "<p></p>", "FlowCyt-species-checked": "notRecommended", "FlowCyt-species-dilution-info": "", "FlowCyt-species-notes": "", "WB-species-checked": "notRecommended", "WB-species-dilution-info": "", "WB-species-notes": "<p></p>", "IHCP-species-checked": "testedAndGuaranteed", "IHCP-species-dilution-info": "", "IHCP-species-notes": "<p></p> Perform heat-mediated antigen retrieval with Tris/EDTA buffer pH 9.0 before commencing with IHC staining protocol.", "IHCFr-species-checked": "testedAndGuaranteed", "IHCFr-species-dilution-info": "", "IHCFr-species-notes": "<p></p> Perform heat-mediated antigen retrieval with citrate buffer pH 6 before commencing with IHC staining protocol." }, "Rat": { "ICCIF-species-checked": "guaranteed", "ICCIF-species-dilution-info": "", "ICCIF-species-notes": "", "IP-species-checked": "notRecommended", "IP-species-dilution-info": "", "IP-species-notes": "<p></p>", "FlowCyt-species-checked": "notRecommended", "FlowCyt-species-dilution-info": "", "FlowCyt-species-notes": "", "WB-species-checked": "notRecommended", "WB-species-dilution-info": "", "WB-species-notes": "<p></p>", "IHCP-species-checked": "testedAndGuaranteed", "IHCP-species-dilution-info": "", "IHCP-species-notes": "<p></p> Perform heat-mediated antigen retrieval with Tris/EDTA buffer pH 9.0 before commencing with IHC staining protocol.", "IHCFr-species-checked": "testedAndGuaranteed", "IHCFr-species-dilution-info": "", "IHCFr-species-notes": "<p></p> Perform heat-mediated antigen retrieval with citrate buffer pH 6 before commencing with IHC staining protocol." } } }

Product details

ab261913 is the carrier-free version of ab216870.

Patented technology
Our RabMAb® technology is a patented hybridoma-based technology for making rabbit monoclonal antibodies. For details on our patents, please refer to RabMAb® patents.

What are the advantages of a recombinant monoclonal antibody?
This product is a recombinant monoclonal antibody, which offers several advantages including:

  • - High batch-to-batch consistency and reproducibility
  • - Improved sensitivity and specificity
  • - Long-term security of supply
  • - Animal-free batch production

For more information, read more on recombinant antibodies.

Conjugation ready
Our carrier-free antibodies are typically supplied in a PBS-only formulation, purified and free of BSA, sodium azide and glycerol. This conjugation-ready format is designed for use with fluorochromes, metal isotopes, oligonucleotides, and enzymes, which makes them ideal for antibody labelling, functional and cell-based assays, flow-based assays (e.g. mass cytometry) and Multiplex Imaging applications.

Use our conjugation kits for antibody conjugates that are ready-to-use in as little as 20 minutes with 1 minute hands-on-time and 100% antibody recovery: available for fluorescent dyes, HRP, biotin and gold.

Compatibility
This product is compatible with the Maxpar® Antibody Labeling Kit from Fluidigm, without the need for antibody preparation. Maxpar® is a trademark of Fluidigm Canada Inc.

Properties and storage information

Form
Liquid
Purification technique
Affinity purification Protein A
Storage buffer
pH: 7.2 - 7.4 Constituents: PBS
Shipped at conditions
Blue Ice
Appropriate short-term storage conditions
+4°C
Appropriate long-term storage conditions
+4°C
Storage information
Do Not Freeze

Supplementary information

This supplementary information is collated from multiple sources and compiled automatically.

TBR2 also known as Eomes or Eomesodermin is a transcription factor with a molecular mass of approximately 72 kDa. It is a member of the T-box family and is expressed predominantly in the developing central nervous system especially in the intermediate progenitor cells in the subventricular zone of the cortex. TBR2 plays a significant role in neurogenesis by regulating the proliferation and differentiation of neuronal progenitor cells. This regulation ensures proper development of specific neural circuits critical for overall brain function.
Biological function summary

TBR2 is important in controlling the transition of neural progenitors during cortical development. It serves as an important marker for intermediate neuronal precursors highlighting its importance in the progression from radial glia to neurons. TBR2 does not function in a complex but works closely with the transcription factor Neurogenin 2 to control neuronal differentiation. Its activity determines the timing of neuronal differentiation making it indispensable for orderly cortical layer formation.

Pathways

TBR2 is involved in the Wnt signaling and Notch signaling pathways both key regulators of neurodevelopment. In the Wnt pathway TBR2 influences the balance between progenitor cell proliferation and differentiation by interacting with proteins such as Beta-catenin. In the Notch signaling pathway TBR2 modulates neural precursor cell fate decisions often in relation with proteins like DLL1. These pathways ensure proper brain structure and function by coordinating neural progenitor activity.

TBR2 mutations or misregulation can lead to neurodevelopmental disorders such as microcephaly and intellectual disabilities. The protein's association with these conditions reflects its critical role in cortical development and neuronal differentiation. TBR2's dysregulation is often observed alongside the malfunction of its pathway partners like Beta-catenin in the development of such disorders illustrating the intricate interplay of genetic and molecular factors underlying these diseases.

Product protocols

For this product, it's our understanding that no specific protocols are required. You can visit:

Target data

Functions as a transcriptional activator playing a crucial role during development. Functions in trophoblast differentiation and later in gastrulation, regulating both mesoderm delamination and endoderm specification. Plays a role in brain development being required for the specification and the proliferation of the intermediate progenitor cells and their progeny in the cerebral cortex. Also involved in the differentiation of CD8+ T-cells during immune response regulating the expression of lytic effector genes.
See full target information EOMES

Product promise

We are committed to supporting your work with high-quality reagents, and we're here for you every step of the way. In the unlikely event that one of our products does not perform as expected, you're protected by our Product Promise.
For full details, please see our Terms & Conditions

Please note: All products are 'FOR RESEARCH USE ONLY. NOT FOR USE IN DIAGNOSTIC OR THERAPEUTIC PROCEDURES'.

For licensing inquiries, please contact partnerships@abcam.com