JavaScript is disabled in your browser. Please enable JavaScript to view this website.
AB319167

Anti-TBR2 / Eomes antibody [RM2055] - BSA and Azide free

Be the first to review this product! Submit a review

|

(0 Publication)

Rabbit Recombinant Multiclonal TBR2 / Eomes antibody. Carrier free. Suitable for IHC-P, WB, IP, Flow Cyt (Intra), ICC/IF, IHC-Fr and reacts with Human, Mouse, Rat, Transfected cell lysate - Human samples.

View Alternative Names

TBR2, EOMES, Eomesodermin homolog, T-box brain protein 2, T-brain-2, TBR-2

26 Images
Immunohistochemistry (Formalin/PFA-fixed paraffin-embedded sections) - Anti-TBR2 / Eomes antibody [RM2055] - BSA and Azide free (AB319167)
  • IHC-P

Supplier Data

Immunohistochemistry (Formalin/PFA-fixed paraffin-embedded sections) - Anti-TBR2 / Eomes antibody [RM2055] - BSA and Azide free (AB319167)

This data was developed using ab319166, the same antibody clone in a different buffer formulation.

Immunohistochemical analysis of paraffin-embedded Human tonsil tissue labeling TBR2 / Eomes with ab319166 at 1/500 (0.994 ug/ml) dilution, followed by a ready to use LeicaDS9800 (Bond™ Polymer Refine Detection).

Positive staining in human tonsil.
The section was incubated with ab319166 for 30 mins at room temperature.
The immunostaining was performed on a Leica Biosystems BOND® RX instrument

Counterstained with Hematoxylin.

MSD279 antibody only control : Secondary antibody is a ready to use LeicaDS9800 (Bond™ Polymer Refine Detection).

Heat mediated antigen retrieval was performed with Tris-EDTA buffer (pH 9.0, Epitope Retrieval Solution2) for 20 mins

Flow Cytometry (Intracellular) - Anti-TBR2 / Eomes antibody [RM2055] - BSA and Azide free (AB319167)
  • Flow Cyt (Intra)

Supplier Data

Flow Cytometry (Intracellular) - Anti-TBR2 / Eomes antibody [RM2055] - BSA and Azide free (AB319167)

This data was developed using ab319166, the same antibody clone in a different buffer formulation.

Flow cytometric analysis of 4% paraformaldehyde fixed 0.1% Tween-20 permeabilized Human PBMC (human peripheral blood mononuclear cell) cells labelling TBR2 / Eomes with ab319166 at 1/5000 dilution (0.01ug) / Right (Red) compared with a Rabbit monoclonal IgG (ab172730) / Left isotype control and an unlabelled control (cells without incubation with primary antibody and secondary antibody) (Blue).

Goat Anti-Rabbit IgG (Alexa Fluor® 488, ab150081) at 1/5000 dilution was used as the secondary antibody.

Cells were co-stained with anti human CD8 conjugated to Brilliant Violet 421.

Immunohistochemistry (Formalin/PFA-fixed paraffin-embedded sections) - Anti-TBR2 / Eomes antibody [RM2055] - BSA and Azide free (AB319167)
  • IHC-P

Supplier Data

Immunohistochemistry (Formalin/PFA-fixed paraffin-embedded sections) - Anti-TBR2 / Eomes antibody [RM2055] - BSA and Azide free (AB319167)

This data was developed using ab319166, the same antibody clone in a different buffer formulation.

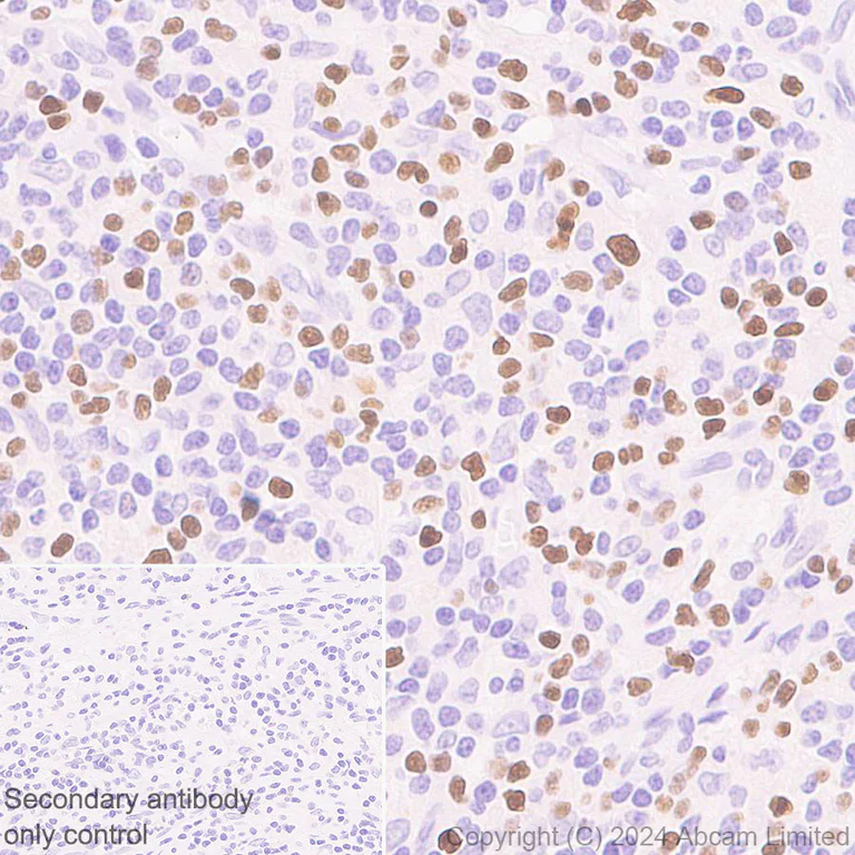
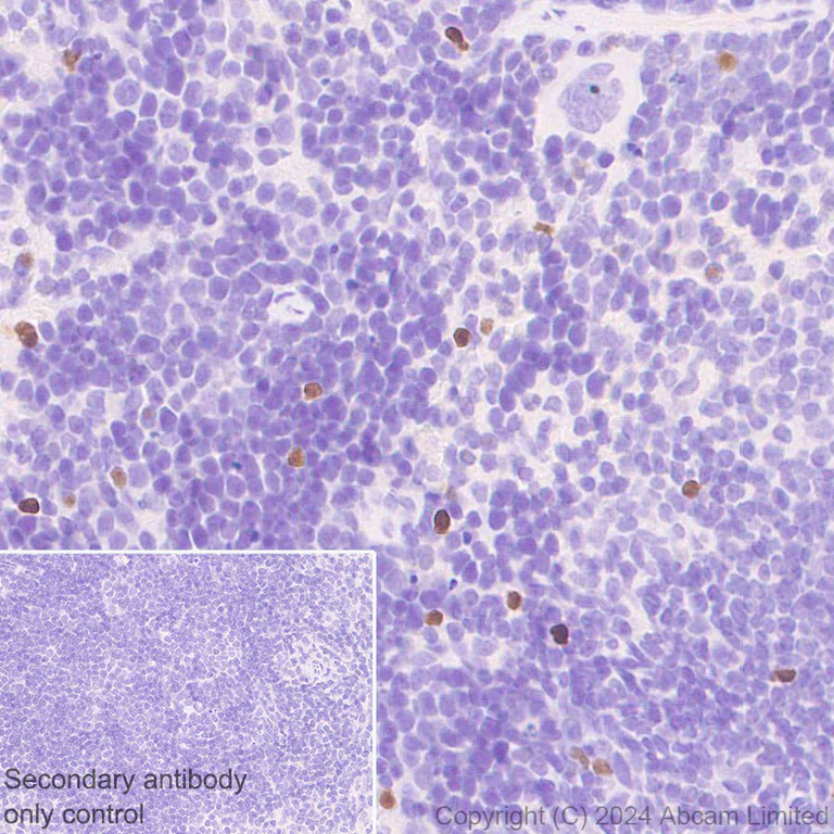
Immunohistochemical analysis of paraffin-embedded Human hodgkin's lymphoma tissue labeling TBR2 / Eomes with ab319166 at 1/500 (0.994 ug/ml) dilution, followed by a ready to use LeicaDS9800 (Bond™ Polymer Refine Detection).

Positive staining in human hodgkin's lymphoma.
The section was incubated with ab319166 for 30 mins at room temperature.
The immunostaining was performed on a Leica Biosystems BOND® RX instrument

Counterstained with Hematoxylin.

MSD279 antibody only control : Secondary antibody is a ready to use LeicaDS9800 (Bond™ Polymer Refine Detection).

Heat mediated antigen retrieval was performed with Tris-EDTA buffer (pH 9.0, Epitope Retrieval Solution2) for 20 mins

Immunohistochemistry (Formalin/PFA-fixed paraffin-embedded sections) - Anti-TBR2 / Eomes antibody [RM2055] - BSA and Azide free (AB319167)
  • IHC-P

Supplier Data

Immunohistochemistry (Formalin/PFA-fixed paraffin-embedded sections) - Anti-TBR2 / Eomes antibody [RM2055] - BSA and Azide free (AB319167)

This data was developed using ab319166, the same antibody clone in a different buffer formulation.

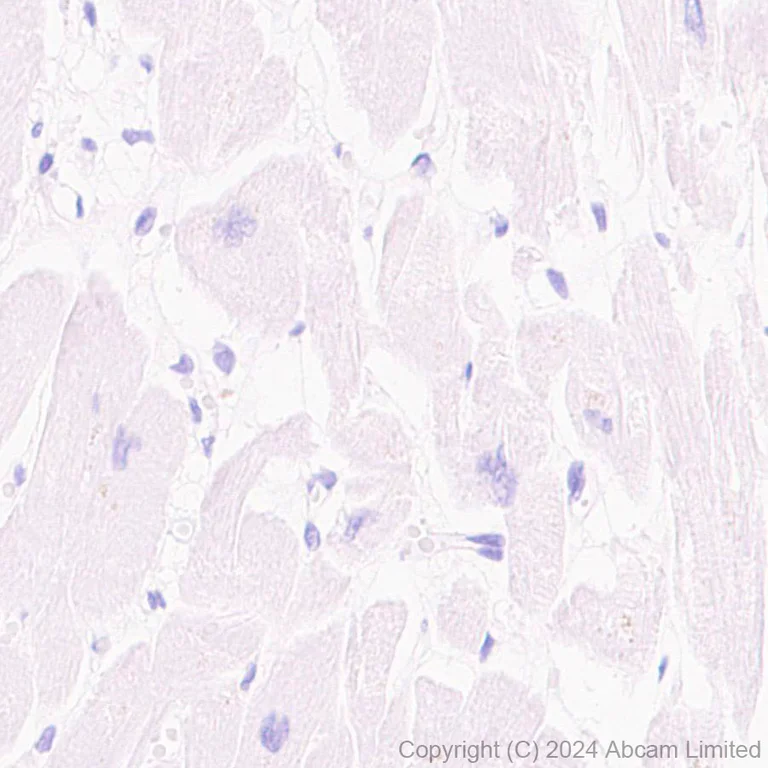
Immunohistochemical analysis of paraffin-embedded Human cardiac muscle tissue labeling TBR2 / Eomes with ab319166 at 1/500 (0.994 ug/ml) dilution, followed by a ready to use LeicaDS9800 (Bond™ Polymer Refine Detection).

Low expression tissue : No staining in human cardiac muscle.
The section was incubated with ab319166 for 30 mins at room temperature.
The immunostaining was performed on a Leica Biosystems BOND® RX instrument

Counterstained with Hematoxylin.

MSD279 antibody only control : Secondary antibody is a ready to use LeicaDS9800 (Bond™ Polymer Refine Detection).

Heat mediated antigen retrieval was performed with Tris-EDTA buffer (pH 9.0, Epitope Retrieval Solution2) for 20 mins

Flow Cytometry (Intracellular) - Anti-TBR2 / Eomes antibody [RM2055] - BSA and Azide free (AB319167)
  • Flow Cyt (Intra)

Supplier Data

Flow Cytometry (Intracellular) - Anti-TBR2 / Eomes antibody [RM2055] - BSA and Azide free (AB319167)

This data was developed using ab319166, the same antibody clone in a different buffer formulation.

Flow cytometric analysis of 4% paraformaldehyde fixed 90% methanol permeabilized No-GFP-CD16.NK-92 (CD16 ectopically expressed natural killer(NK-92®) cell with no GFP tag) (Right) / HeLa (human cervical adenocarcinoma epithelial cell) (Left) cells labelling TBR2 / Eomes with ab319166 at 1/500 dilution (0.1ug) / Magenta (Red) compared with a Rabbit monoclonal IgG (ab172730) (Black) isotype control and an unlabelled control (cells without incubation with primary antibody and secondary antibody) (Blue).

Goat Anti-Rabbit IgG (Alexa Fluor® 488, ab150081) at 1/5000 dilution was used as the secondary antibody.

Negative control : HeLa.

Flow Cytometry (Intracellular) - Anti-TBR2 / Eomes antibody [RM2055] - BSA and Azide free (AB319167)
  • Flow Cyt (Intra)

Supplier Data

Flow Cytometry (Intracellular) - Anti-TBR2 / Eomes antibody [RM2055] - BSA and Azide free (AB319167)

This data was developed using ab319166, the same antibody clone in a different buffer formulation.

Flow cytometric analysis of 4% paraformaldehyde fixed 0.1% Tween-20 permeabilized Human PBMC (human peripheral blood mononuclear cell) cells labelling TBR2 / Eomes with ab319166 at 1/5000 dilution (0.01ug) / Right (Red) compared with a Rabbit monoclonal IgG (ab172730) / Left isotype control and an unlabelled control (cells without incubation with primary antibody and secondary antibody) (Blue).

Goat Anti-Rabbit IgG (Alexa Fluor® 488, ab150081) at 1/5000 dilution was used as the secondary antibody.

Cells were co-stained with anti human CD4 conjugated to Alexa Fluor®647.

Immunoprecipitation - Anti-TBR2 / Eomes antibody [RM2055] - BSA and Azide free (AB319167)
  • IP

Supplier Data

Immunoprecipitation - Anti-TBR2 / Eomes antibody [RM2055] - BSA and Azide free (AB319167)

This data was developed using ab319166, the same antibody clone in a different buffer formulation.

TBR2 / Eomes was immunoprecipitated from 0.35 mg No-GFP-CD16.NK-92 (CD16 ectopically expressed natural killer(NK-92®) cell with no GFP tag) whole cell lysate with ab319166 at 1/30 dilution (2ug in 0.35mg lysates). Western blot was performed on the immunoprecipitate using ab319166 at 1/1000 dilution. VeriBlot for IP secondary antibody(HRP)(ab131366) was used at 1/5000 dilution.

Lane 1 : No-GFP-CD16.NK-92 (CD16 ectopically expressed natural killer(NK-92®) cell with no GFP tag) whole cell lysate
Lane 2 : ab319166 IP in No-GFP-CD16.NK-92 (CD16 ectopically expressed natural killer(NK-92®) cell with no GFP tag) whole cell lysate
Lane 3 : Rabbit monoclonal IgG (ab172730) instead of ab319166 in No-GFP-CD16.NK-92 whole cell lysate

Blocking and dilution buffer and concentration : 5% NFDM/TBST

All lanes:

Immunoprecipitation - Anti-TBR2 / Eomes antibody [RM2055] (<a href='/en-us/products/primary-antibodies/tbr2-eomes-antibody-rm2055-ab319166'>ab319166</a>) at 1/30 dilution

All lanes:

No-GFP-CD16.NK-92 (CD16 ectopically expressed natural killer(NK-92®) cell with no GFP tag) whole cell lysate

Secondary

All lanes:

Immunoprecipitation - VeriBlot for IP Detection Reagent (HRP) (<a href='/en-us/products/reagents/veriblot-for-ip-detection-reagent-hrp-ab131366'>ab131366</a>) at 1/5000 dilution

false

Exposure time: 15s

Flow Cytometry (Intracellular) - Anti-TBR2 / Eomes antibody [RM2055] - BSA and Azide free (AB319167)
  • Flow Cyt (Intra)

Supplier Data

Flow Cytometry (Intracellular) - Anti-TBR2 / Eomes antibody [RM2055] - BSA and Azide free (AB319167)

This data was developed using ab319166, the same antibody clone in a different buffer formulation.

Flow cytometric analysis of 4% paraformaldehyde fixed 0.1% Tween-20 permeabilized Mouse spleen cell cells labelling TBR2 / Eomes with ab319166 at 1/500 dilution (0.1ug) / right (Red) compared with a Rabbit monoclonal IgG (ab172730) / Left isotype control and an unlabelled control (cells without incubation with primary antibody and secondary antibody) (Blue).

Goat Anti-Rabbit IgG (Alexa Fluor® 488, ab150081) at 1/5000 dilution was used as the secondary antibody.

Cells were co-stained with anti mouse NK1.1 conjugated to Alexa Fluor®647.

Flow Cytometry (Intracellular) - Anti-TBR2 / Eomes antibody [RM2055] - BSA and Azide free (AB319167)
  • Flow Cyt (Intra)

Supplier Data

Flow Cytometry (Intracellular) - Anti-TBR2 / Eomes antibody [RM2055] - BSA and Azide free (AB319167)

This data was developed using ab319166, the same antibody clone in a different buffer formulation.

Flow cytometric analysis of 4% paraformaldehyde fixed 90% methanol permeabilized Mouse primary neuron cells labelling TBR2 / Eomes with ab319166 at 1/50 dilution (1ug) / Right (Red) compared with a Rabbit monoclonal IgG (ab172730) / Left isotype control and an unlabelled control (cells without incubation with primary antibody and secondary antibody) (Blue).

Goat Anti-Rabbit IgG (Alexa Fluor® 488, ab150081) at 1/5000 dilution was used as the secondary antibody.

Flow Cytometry (Intracellular) - Anti-TBR2 / Eomes antibody [RM2055] - BSA and Azide free (AB319167)
  • Flow Cyt (Intra)

Supplier Data

Flow Cytometry (Intracellular) - Anti-TBR2 / Eomes antibody [RM2055] - BSA and Azide free (AB319167)

This data was developed using ab319166, the same antibody clone in a different buffer formulation.

Flow cytometric analysis of 4% paraformaldehyde fixed 0.1% Tween-20 permeabilized Mouse spleen cell cells labelling TBR2 / Eomes with ab319166 at 1/500 dilution (0.1ug) / right (Red) compared with a Rabbit monoclonal IgG (ab172730) / Left isotype control and an unlabelled control (cells without incubation with primary antibody and secondary antibody) (Blue).

Goat Anti-Rabbit IgG (Alexa Fluor® 488, ab150081) at 1/5000 dilution was used as the secondary antibody.

Cells were co-stained with anti mouse CD4 conjugated to APC/Fire™ 750.

Immunohistochemistry (Formalin/PFA-fixed paraffin-embedded sections) - Anti-TBR2 / Eomes antibody [RM2055] - BSA and Azide free (AB319167)
  • IHC-P

Supplier Data

Immunohistochemistry (Formalin/PFA-fixed paraffin-embedded sections) - Anti-TBR2 / Eomes antibody [RM2055] - BSA and Azide free (AB319167)

This data was developed using ab319166, the same antibody clone in a different buffer formulation.

Immunohistochemical analysis of paraffin-embedded Mouse E14.5 brain tissue labeling TBR2 / Eomes with ab319166 at 1/500 (0.994 ug/ml) dilution, followed by a ready to use LeicaDS9800 (Bond™ Polymer Refine Detection).

Positive staining in mouse E14.5 brain.
The section was incubated with ab319166 for 30 mins at room temperature.
The immunostaining was performed on a Leica Biosystems BOND® RX instrument

Counterstained with Hematoxylin.

MSD279 antibody only control : Secondary antibody is a ready to use LeicaDS9800 (Bond™ Polymer Refine Detection).

Heat mediated antigen retrieval was performed with Tris-EDTA buffer (pH 9.0, Epitope Retrieval Solution2) for 20 mins

Immunohistochemistry (Formalin/PFA-fixed paraffin-embedded sections) - Anti-TBR2 / Eomes antibody [RM2055] - BSA and Azide free (AB319167)
  • IHC-P

Supplier Data

Immunohistochemistry (Formalin/PFA-fixed paraffin-embedded sections) - Anti-TBR2 / Eomes antibody [RM2055] - BSA and Azide free (AB319167)

This data was developed using ab319166, the same antibody clone in a different buffer formulation.

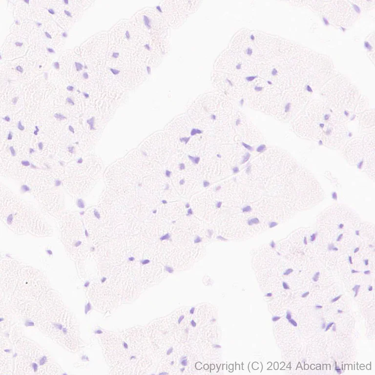
Immunohistochemical analysis of paraffin-embedded Mouse cardiac muscle tissue labeling TBR2 / Eomes with ab319166 at 1/500 (0.994 ug/ml) dilution, followed by a ready to use LeicaDS9800 (Bond™ Polymer Refine Detection).

Low expression tissue : No staining in mouse cardiac muscle.
The section was incubated with ab319166 for 30 mins at room temperature.
The immunostaining was performed on a Leica Biosystems BOND® RX instrument

Counterstained with Hematoxylin.

MSD279 antibody only control : Secondary antibody is a ready to use LeicaDS9800 (Bond™ Polymer Refine Detection).

Heat mediated antigen retrieval was performed with Tris-EDTA buffer (pH 9.0, Epitope Retrieval Solution2) for 20 mins

Immunohistochemistry (Frozen sections) - Anti-TBR2 / Eomes antibody [RM2055] - BSA and Azide free (AB319167)
  • IHC-Fr

Supplier Data

Immunohistochemistry (Frozen sections) - Anti-TBR2 / Eomes antibody [RM2055] - BSA and Azide free (AB319167)

This data was developed using ab319166, the same antibody clone in a different buffer formulation.

Immunohistochemical analysis of 4% PFA-fixed, 0.2% Triton X-100 permeabilized frozen Rat heart (fresh frozen) tissue labeling TBR2 / Eomes with ab319166 at 1/100 (4.97 ug/ml) dilution followed by ab150081 Goat Anti-Rabbit IgG H&L (Alexa Fluor® 488) preadsorbed at 1/1000 2 ug/mL dilution (Green).

MSD2027 : confocal image showing no staining on rat heart. The nuclear counterstain was DAPI (Blue). The section was incubated with ab319166 for 60 mins at room temperature. The section was then mounted using Fluoromount®.The immunostaining was performed on a Leica Biosystems BOND® RX instrument. Image was taken with a confocal microscope (Leica-Microsystems, TCS SP8).

Secondary antibody control : Secondary antibody is ab150081 Goat Anti-Rabbit IgG H&L (Alexa Fluor® 488) preadsorbed at 1/1000 2 ug/mL dilution.

Immunohistochemistry (Frozen sections) - Anti-TBR2 / Eomes antibody [RM2055] - BSA and Azide free (AB319167)
  • IHC-Fr

Supplier Data

Immunohistochemistry (Frozen sections) - Anti-TBR2 / Eomes antibody [RM2055] - BSA and Azide free (AB319167)

This data was developed using ab319166, the same antibody clone in a different buffer formulation.

Immunohistochemical analysis of 4% PFA-fixed, 0.2% Triton X-100 permeabilized frozen Mouse heart (fresh frozen) tissue labeling TBR2 / Eomes with ab319166 at 1/100 (4.97 ug/ml) dilution followed by ab150081 Goat Anti-Rabbit IgG H&L (Alexa Fluor® 488) preadsorbed at 1/1000 2 ug/mL dilution (Green).

MSD2027 : confocal image showing no staining on mouse heart. The nuclear counterstain was DAPI (Blue). The section was incubated with ab319166 for 60 mins at room temperature. The section was then mounted using Fluoromount®.The immunostaining was performed on a Leica Biosystems BOND® RX instrument. Image was taken with a confocal microscope (Leica-Microsystems, TCS SP8).

Secondary antibody control : Secondary antibody is ab150081 Goat Anti-Rabbit IgG H&L (Alexa Fluor® 488) preadsorbed at 1/1000 2 ug/mL dilution.

Immunohistochemistry (Frozen sections) - Anti-TBR2 / Eomes antibody [RM2055] - BSA and Azide free (AB319167)
  • IHC-Fr

Supplier Data

Immunohistochemistry (Frozen sections) - Anti-TBR2 / Eomes antibody [RM2055] - BSA and Azide free (AB319167)

This data was developed using ab319166, the same antibody clone in a different buffer formulation.

Immunohistochemical analysis of 4% PFA-fixed, 0.2% Triton X-100 permeabilized frozen Rat E14.5 brain (fresh frozen) tissue labeling TBR2 / Eomes with ab319166 at 1/100 (4.97 ug/ml) dilution followed by ab150081 Goat Anti-Rabbit IgG H&L (Alexa Fluor® 488) preadsorbed at 1/1000 2 ug/mL dilution (Green).

Confocal image showing positive staining on rat E14.5 brain. The nuclear counterstain was DAPI (Blue). The section was incubated with ab319166 for 60 mins at room temperature. The section was then mounted using Fluoromount®.The immunostaining was performed on a Leica Biosystems BOND® RX instrument. Image was taken with a confocal microscope (Leica-Microsystems, TCS SP8).

Secondary antibody control : Secondary antibody is ab150081 Goat Anti-Rabbit IgG H&L (Alexa Fluor® 488) preadsorbed at 1/1000 2 ug/mL dilution.

Immunohistochemistry (Frozen sections) - Anti-TBR2 / Eomes antibody [RM2055] - BSA and Azide free (AB319167)
  • IHC-Fr

Supplier Data

Immunohistochemistry (Frozen sections) - Anti-TBR2 / Eomes antibody [RM2055] - BSA and Azide free (AB319167)

This data was developed using ab319166, the same antibody clone in a different buffer formulation.

Immunohistochemical analysis of 4% PFA-fixed, 0.2% Triton X-100 permeabilized frozen Mouse E14.5 brain (fresh frozen) tissue labeling TBR2 / Eomes with ab319166 at 1/100 (4.97 ug/ml) dilution followed by ab150081 Goat Anti-Rabbit IgG H&L (Alexa Fluor® 488) preadsorbed at 1/1000 2 ug/mL dilution (Green).

Confocal image showing positive staining on mouse E14.5 brain. The nuclear counterstain was DAPI (Blue). The section was incubated with ab319166 for 60 mins at room temperature. The section was then mounted using Fluoromount®.The immunostaining was performed on a Leica Biosystems BOND® RX instrument. Image was taken with a confocal microscope (Leica-Microsystems, TCS SP8).

Secondary antibody control : Secondary antibody is ab150081 Goat Anti-Rabbit IgG H&L (Alexa Fluor® 488) preadsorbed at 1/1000 2 ug/mL dilution.

Flow Cytometry (Intracellular) - Anti-TBR2 / Eomes antibody [RM2055] - BSA and Azide free (AB319167)
  • Flow Cyt (Intra)

Supplier Data

Flow Cytometry (Intracellular) - Anti-TBR2 / Eomes antibody [RM2055] - BSA and Azide free (AB319167)

This data was developed using ab319166, the same antibody clone in a different buffer formulation.

Flow cytometric analysis of 4% paraformaldehyde fixed 0.1% Tween-20 permeabilized Mouse spleen cell cells labelling TBR2 / Eomes with ab319166 at 1/500 dilution (0.1ug) / right (Red) compared with a Rabbit monoclonal IgG (ab172730) / Left isotype control and an unlabelled control (cells without incubation with primary antibody and secondary antibody) (Blue).

Goat Anti-Rabbit IgG (Alexa Fluor® 488, ab150081) at 1/5000 dilution was used as the secondary antibody.

Cells were co-stained with anti mouse CD8a conjugated to Brilliant Violet 421.

Immunohistochemistry (Formalin/PFA-fixed paraffin-embedded sections) - Anti-TBR2 / Eomes antibody [RM2055] - BSA and Azide free (AB319167)
  • IHC-P

Supplier Data

Immunohistochemistry (Formalin/PFA-fixed paraffin-embedded sections) - Anti-TBR2 / Eomes antibody [RM2055] - BSA and Azide free (AB319167)

This data was developed using ab319166, the same antibody clone in a different buffer formulation.

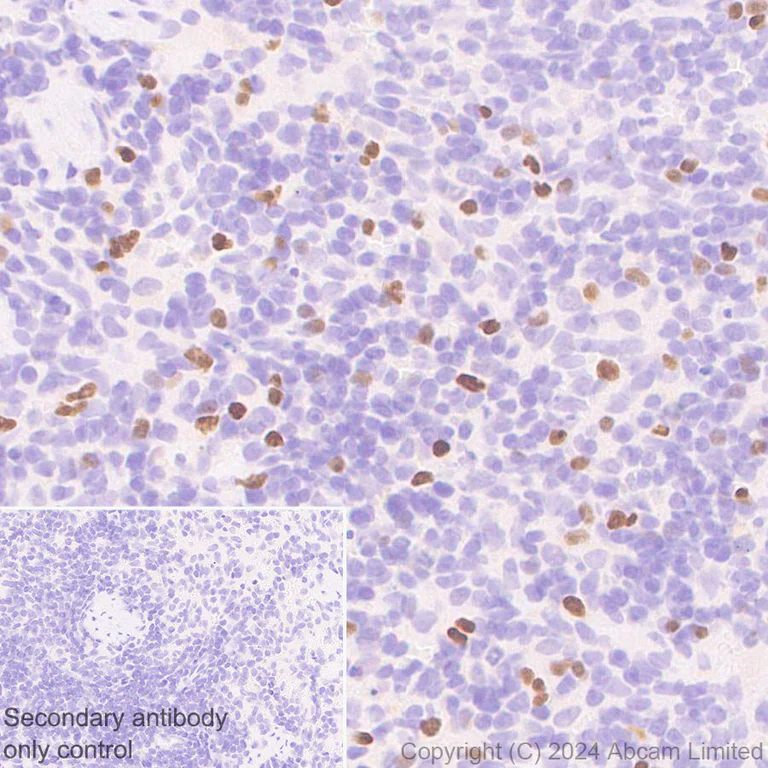
Immunohistochemical analysis of paraffin-embedded Rat spleen tissue labeling TBR2 / Eomes with ab319166 at 1/500 (0.994 ug/ml) dilution, followed by a ready to use LeicaDS9800 (Bond™ Polymer Refine Detection).

Positive staining in rat spleen.
The section was incubated with ab319166 for 30 mins at room temperature.
The immunostaining was performed on a Leica Biosystems BOND® RX instrument

Counterstained with Hematoxylin.

MSD279 antibody only control : Secondary antibody is a ready to use LeicaDS9800 (Bond™ Polymer Refine Detection).

Heat mediated antigen retrieval was performed with Tris-EDTA buffer (pH 9.0, Epitope Retrieval Solution2) for 20 mins

Immunohistochemistry (Formalin/PFA-fixed paraffin-embedded sections) - Anti-TBR2 / Eomes antibody [RM2055] - BSA and Azide free (AB319167)
  • IHC-P

Supplier Data

Immunohistochemistry (Formalin/PFA-fixed paraffin-embedded sections) - Anti-TBR2 / Eomes antibody [RM2055] - BSA and Azide free (AB319167)

This data was developed using ab319166, the same antibody clone in a different buffer formulation.

Immunohistochemical analysis of paraffin-embedded Mouse spleen tissue labeling TBR2 / Eomes with ab319166 at 1/500 (0.994 ug/ml) dilution, followed by a ready to use LeicaDS9800 (Bond™ Polymer Refine Detection).

Positive staining in mouse spleen.
The section was incubated with ab319166 for 30 mins at room temperature.
The immunostaining was performed on a Leica Biosystems BOND® RX instrument

Counterstained with Hematoxylin.

MSD279 antibody only control : Secondary antibody is a ready to use LeicaDS9800 (Bond™ Polymer Refine Detection).

Heat mediated antigen retrieval was performed with Tris-EDTA buffer (pH 9.0, Epitope Retrieval Solution2) for 20 mins

Immunocytochemistry/ Immunofluorescence - Anti-TBR2 / Eomes antibody [RM2055] - BSA and Azide free (AB319167)
  • ICC/IF

Supplier Data

Immunocytochemistry/ Immunofluorescence - Anti-TBR2 / Eomes antibody [RM2055] - BSA and Azide free (AB319167)

This data was developed using ab319166, the same antibody clone in a different buffer formulation.

Immunofluorescent analysis of 4% Paraformaldehyde-fixed, 0.1% TritonX-100 permeabilized mouse primary neuron cells labelling TBR2 / Eomes with ab319166 at 1/500 (0.994 ug/ml) dilution, followed by ab150081 Goat Anti-Rabbit IgG H&L (Alexa Fluor® 488) preadsorbed antibody at 1/1000 2 ug/ml dilution (Green).

Confocal image showing nuclear staining in subsets of mouse primary neurons (shown in green). The counterstain was observed in magenta. Nuclear DNA was labeled with DAPI (shown in blue). Confocal scanning Z step was set as 0.3 um followed by image processing with maximum Z projection. Image was taken with a confocal microscope (Leica-Microsystems, TCS SP8).

ab11267 Anti-MAP2 mouse monoclonal antibody was used to counterstain tubulin at 1/500 4ug/ml dilution (Magenta). The Nuclear counterstain was DAPI (Blue).

-ve control 1 : ab319166 at 1/500 dilution, followed by ab150120 Goat Anti-Mouse IgG H&L (Alexa Fluor® 594) at 1/1000 dilution.

-ve control 2 : ab11267 at 1/500 dilution, followed by ab150081 Goat Anti-Rabbit IgG H&L (Alexa Fluor® 488) antibody at 1/1000 dilution.

Immunohistochemistry (Formalin/PFA-fixed paraffin-embedded sections) - Anti-TBR2 / Eomes antibody [RM2055] - BSA and Azide free (AB319167)
  • IHC-P

Supplier Data

Immunohistochemistry (Formalin/PFA-fixed paraffin-embedded sections) - Anti-TBR2 / Eomes antibody [RM2055] - BSA and Azide free (AB319167)

This data was developed using ab319166, the same antibody clone in a different buffer formulation.

Immunohistochemical analysis of paraffin-embedded Rat cardiac muscle tissue labeling TBR2 / Eomes with ab319166 at 1/500 (0.994 ug/ml) dilution, followed by a ready to use LeicaDS9800 (Bond™ Polymer Refine Detection).

Low expression tissue : No staining in rat cardiac muscle.
The section was incubated with ab319166 for 30 mins at room temperature.
The immunostaining was performed on a Leica Biosystems BOND® RX instrument

Counterstained with Hematoxylin.

MSD279 antibody only control : Secondary antibody is a ready to use LeicaDS9800 (Bond™ Polymer Refine Detection).

Heat mediated antigen retrieval was performed with Tris-EDTA buffer (pH 9.0, Epitope Retrieval Solution2) for 20 mins

Immunohistochemistry (Formalin/PFA-fixed paraffin-embedded sections) - Anti-TBR2 / Eomes antibody [RM2055] - BSA and Azide free (AB319167)
  • IHC-P

Supplier Data

Immunohistochemistry (Formalin/PFA-fixed paraffin-embedded sections) - Anti-TBR2 / Eomes antibody [RM2055] - BSA and Azide free (AB319167)

This data was developed using ab319166, the same antibody clone in a different buffer formulation.

Immunohistochemical analysis of paraffin-embedded Rat E14.5 brain tissue labeling TBR2 / Eomes with ab319166 at 1/500 (0.994 ug/ml) dilution, followed by a ready to use LeicaDS9800 (Bond™ Polymer Refine Detection).

Positive staining in rat E14.5 brain.
The section was incubated with ab319166 for 30 mins at room temperature.
The immunostaining was performed on a Leica Biosystems BOND® RX instrument

Counterstained with Hematoxylin.

MSD279 antibody only control : Secondary antibody is a ready to use LeicaDS9800 (Bond™ Polymer Refine Detection).

Heat mediated antigen retrieval was performed with Tris-EDTA buffer (pH 9.0, Epitope Retrieval Solution2) for 20 mins

Immunoprecipitation - Anti-TBR2 / Eomes antibody [RM2055] - BSA and Azide free (AB319167)
  • IP

Supplier Data

Immunoprecipitation - Anti-TBR2 / Eomes antibody [RM2055] - BSA and Azide free (AB319167)

This data was developed using ab319166, the same antibody clone in a different buffer formulation.

TBR2 / Eomes was immunoprecipitated from 0.35 mg Mouse E17 brain tissue lysate with ab319166 at 1/30 dilution (2ug in 0.35mg lysates). Western blot was performed on the immunoprecipitate using ab319166 at 1/1000 dilution. VeriBlot for IP secondary antibody(HRP)(ab131366) was used at 1/5000 dilution.

Lane 1 : Mouse E17 brain tissue lysate
Lane 2 : ab319166 IP in Mouse E17 brain tissue lysate
Lane 3 : Rabbit monoclonal IgG (ab172730) instead of ab319166 in Mouse E17 brain tissue lysate

Blocking and dilution buffer and concentration : 5% NFDM/TBST

All lanes:

Immunoprecipitation - Anti-TBR2 / Eomes antibody [RM2055] (<a href='/en-us/products/primary-antibodies/tbr2-eomes-antibody-rm2055-ab319166'>ab319166</a>) at 1/30 dilution

All lanes:

Mouse E17 brain tissue lysate

Secondary

All lanes:

Immunoprecipitation - VeriBlot for IP Detection Reagent (HRP) (<a href='/en-us/products/reagents/veriblot-for-ip-detection-reagent-hrp-ab131366'>ab131366</a>) at 1/5000 dilution

false

Exposure time: 180s

Western blot - Anti-TBR2 / Eomes antibody [RM2055] - BSA and Azide free (AB319167)
  • WB

Supplier Data

Western blot - Anti-TBR2 / Eomes antibody [RM2055] - BSA and Azide free (AB319167)

This data was developed using ab319166, the same antibody clone in a different buffer formulation.

Negative control : HeLa, RPMI-8826.

In Western blot, Anti-GAPDH antibody [EPR16891] - Loading Control (ab181602) staining at 1/200000 dilution.

Blocking and dilution buffer and concentration : 5% NFDM/TBST

All lanes:

Western blot - Anti-TBR2 / Eomes antibody [RM2055] (<a href='/en-us/products/primary-antibodies/tbr2-eomes-antibody-rm2055-ab319166'>ab319166</a>) at 1/1000 dilution

Lane 1:

No-GFP-CD16.NK-92 (CD16 ectopically expressed natural killer(NK-92®) cell with no GFP tag) whole cell lysate at 20 µg

Lane 2:

HeLa (human cervix adenocarcinoma epithelial cell) whole cell lysate at 20 µg

Lane 3:

RPMI-8226 (human plasmacytoma B Lymphocyte) whole cell lysate at 20 µg

Secondary

All lanes:

Western blot - Goat Anti-Rabbit IgG H&L (HRP) (<a href='/en-us/products/secondary-antibodies/goat-rabbit-igg-h-l-hrp-ab97051'>ab97051</a>) at 1/100000 dilution

Observed band size: 70-80 kDa,36 kDa

false

Exposure time: 70s

Western blot - Anti-TBR2 / Eomes antibody [RM2055] - BSA and Azide free (AB319167)
  • WB

Supplier Data

Western blot - Anti-TBR2 / Eomes antibody [RM2055] - BSA and Azide free (AB319167)

This data was developed using ab319166, the same antibody clone in a different buffer formulation.

Low expression : heart.

The identity of the higher MW band at approximately 200 kDa (in lane 1) and the lower MW band at approximately 60 kDa (in lane 2) are unknown.

In Western blot, Anti-GAPDH antibody [EPR16891] - Loading Control (ab181602) staining at 1/200000 dilution.

Blocking and dilution buffer and concentration : 5% NFDM/TBST

All lanes:

Western blot - Anti-TBR2 / Eomes antibody [RM2055] (<a href='/en-us/products/primary-antibodies/tbr2-eomes-antibody-rm2055-ab319166'>ab319166</a>) at 1/1000 dilution

Lane 1:

Mouse E17 brain tissue lysate at 50 µg

Lane 2:

Mouse heart tissue lysate at 50 µg

Secondary

All lanes:

Western blot - Goat Anti-Rabbit IgG H&L (HRP) (<a href='/en-us/products/secondary-antibodies/goat-rabbit-igg-h-l-hrp-ab97051'>ab97051</a>) at 1/20000 dilution

Observed band size: 70-80 kDa,36 kDa

false

Exposure time: 92s

Western blot - Anti-TBR2 / Eomes antibody [RM2055] - BSA and Azide free (AB319167)
  • WB

Supplier Data

Western blot - Anti-TBR2 / Eomes antibody [RM2055] - BSA and Azide free (AB319167)

This data was developed using ab319166, the same antibody clone in a different buffer formulation.

This antibody does not cross-react with human TBR1 and TBX21.

In Western blot, Anti-GAPDH antibody [EPR16891] - Loading Control (ab181602) staining at 1/200000 dilution.

In Western blot, Anti-6X His tag® antibody [EPR20547] - ChIP Grade (ab213204) staining at 1/5000 dilution.

Blocking and dilution buffer and concentration : 5% NFDM/TBST

All lanes:

Western blot - Anti-TBR2 / Eomes antibody [RM2055] (<a href='/en-us/products/primary-antibodies/tbr2-eomes-antibody-rm2055-ab319166'>ab319166</a>) at 1/1000 dilution

Lane 1:

293T cells transfected with an empty vector containing a His-tag, whole cell lysate at 20 µg

Lane 2:

293T cells transfected with a human TBR2 expression vector containing a His-tag, whole cell lysate at 20 µg

Lane 3:

293T cells transfected with a human TBR1 expression vector containing a His-tag, whole cell lysate at 40 µg

Lane 4:

293T cells transfected with a human TBX21 expression vector containing a His-tag, whole cell lysate at 20 µg

Secondary

All lanes:

Western blot - Goat Anti-Rabbit IgG H&L (HRP) (<a href='/en-us/products/secondary-antibodies/goat-rabbit-igg-h-l-hrp-ab97051'>ab97051</a>) at 1/100000 dilution

Observed band size: 36 kDa,70-80 kDa

false

Exposure time: 26s

Key facts

Host species

Rabbit

Clonality

Multiclonal

Clone number

RM2055

Isotype

IgG

Carrier free

Yes

Reacts with

Human, Mouse, Rat

Applications

IP, IHC-Fr, IHC-P, ICC/IF, Flow Cyt (Intra), WB

applications

Immunogen

The exact immunogen used to generate this antibody is proprietary information.

Specificity

Unsuitable for rat WB and human ICC.

Reactivity data

{ "title": "Reactivity Data", "filters": { "stats": ["", "Species", "Dilution Info", "Notes"], "tabs": { "all-applications": {"fullname" : "All Applications", "shortname": "All Applications"}, "IHCP" : {"fullname" : "Immunohistochemistry (Formalin/PFA-fixed paraffin-embedded sections)", "shortname":"IHC-P"}, "WB" : {"fullname" : "Western blot", "shortname":"WB"}, "IP" : {"fullname" : "Immunoprecipitation", "shortname":"IP"}, "FlowCytIntra" : {"fullname" : "Flow Cytometry (Intracellular)", "shortname":"Flow Cyt (Intra)"}, "ICCIF" : {"fullname" : "Immunocytochemistry/ Immunofluorescence", "shortname":"ICC/IF"}, "IHCFr" : {"fullname" : "Immunohistochemistry (Frozen sections)", "shortname":"IHC-Fr"} }, "product-promise": { "all": "all", "testedAndGuaranteed": "tested", "guaranteed": "expected", "predicted": "predicted", "notRecommended": "not-recommended" } }, "values": { "Human": { "IHCP-species-checked": "testedAndGuaranteed", "IHCP-species-dilution-info": "", "IHCP-species-notes": "<p></p>", "WB-species-checked": "testedAndGuaranteed", "WB-species-dilution-info": "", "WB-species-notes": "<p></p>", "IP-species-checked": "testedAndGuaranteed", "IP-species-dilution-info": "", "IP-species-notes": "<p></p>", "FlowCytIntra-species-checked": "testedAndGuaranteed", "FlowCytIntra-species-dilution-info": "", "FlowCytIntra-species-notes": "<p></p>", "ICCIF-species-checked": "notRecommended", "ICCIF-species-dilution-info": "", "ICCIF-species-notes": "<p></p>", "IHCFr-species-checked": "guaranteed", "IHCFr-species-dilution-info": "", "IHCFr-species-notes": "" }, "Mouse": { "IHCP-species-checked": "testedAndGuaranteed", "IHCP-species-dilution-info": "", "IHCP-species-notes": "<p></p>", "WB-species-checked": "testedAndGuaranteed", "WB-species-dilution-info": "", "WB-species-notes": "<p></p>", "IP-species-checked": "testedAndGuaranteed", "IP-species-dilution-info": "", "IP-species-notes": "<p></p>", "FlowCytIntra-species-checked": "testedAndGuaranteed", "FlowCytIntra-species-dilution-info": "", "FlowCytIntra-species-notes": "<p></p>", "ICCIF-species-checked": "testedAndGuaranteed", "ICCIF-species-dilution-info": "", "ICCIF-species-notes": "<p></p>", "IHCFr-species-checked": "testedAndGuaranteed", "IHCFr-species-dilution-info": "", "IHCFr-species-notes": "<p></p>" }, "Rat": { "IHCP-species-checked": "testedAndGuaranteed", "IHCP-species-dilution-info": "", "IHCP-species-notes": "<p></p>", "WB-species-checked": "notRecommended", "WB-species-dilution-info": "", "WB-species-notes": "<p></p>", "IP-species-checked": "guaranteed", "IP-species-dilution-info": "", "IP-species-notes": "", "FlowCytIntra-species-checked": "guaranteed", "FlowCytIntra-species-dilution-info": "", "FlowCytIntra-species-notes": "", "ICCIF-species-checked": "guaranteed", "ICCIF-species-dilution-info": "", "ICCIF-species-notes": "", "IHCFr-species-checked": "testedAndGuaranteed", "IHCFr-species-dilution-info": "", "IHCFr-species-notes": "<p></p>" }, "Transfected cell lysate - Human": { "IHCP-species-checked": "notRecommended", "IHCP-species-dilution-info": "", "IHCP-species-notes": "", "WB-species-checked": "testedAndGuaranteed", "WB-species-dilution-info": "", "WB-species-notes": "<p></p>", "IP-species-checked": "notRecommended", "IP-species-dilution-info": "", "IP-species-notes": "", "FlowCytIntra-species-checked": "notRecommended", "FlowCytIntra-species-dilution-info": "", "FlowCytIntra-species-notes": "", "ICCIF-species-checked": "notRecommended", "ICCIF-species-dilution-info": "", "ICCIF-species-notes": "", "IHCFr-species-checked": "notRecommended", "IHCFr-species-dilution-info": "", "IHCFr-species-notes": "" } } }

Product details

ab319167 is the carrier-free version of ab319166.

What are recombinant multiclonals?
Recombinant multiclonals are a mixture of recombinant antibodies co-expressed from a library of heavy and light chains. They offer several advantages including:

  • - The sensitivity of polyclonal antibodies by recognising multiple epitopes
  • - High batch-to-batch consistency and reproducibility
  • - Improved sensitivity and specificity
  • - Long-term security of supply
  • - Animal-free batch production

View our range of recombinant multiclonal antibodies.

Patented technology
Our RabMAb® technology is a patented hybridoma-based technology for making rabbit monoclonal antibodies. For details on our patents, please refer to RabMAb® patents.

Conjugation ready
Our carrier-free antibodies are typically supplied in a PBS-only formulation, purified and free of BSA, sodium azide and glycerol. This conjugation-ready format is designed for use with fluorochromes, metal isotopes, oligonucleotides, and enzymes, which makes them ideal for antibody labelling, functional and cell-based assays, flow-based assays (e.g. mass cytometry) and Multiplex Imaging applications.

Use our conjugation kits for antibody conjugates that are ready-to-use in as little as 20 minutes with 1 minute hands-on-time and 100% antibody recovery: available for fluorescent dyes, HRP, biotin and gold.

Compatibility
This product is compatible with the Maxpar® Antibody Labeling Kit from Fluidigm, without the need for antibody preparation. Maxpar® is a trademark of Fluidigm Canada Inc.

Properties and storage information

Form
Liquid
Purification technique
Affinity purification Protein A
Storage buffer
pH: 7.2 - 7.4 Constituents: PBS
Shipped at conditions
Blue Ice
Appropriate short-term storage conditions
+4°C
Appropriate long-term storage conditions
+4°C

Supplementary information

This supplementary information is collated from multiple sources and compiled automatically.

TBR2 also known as Eomes or Eomesodermin is a transcription factor with a molecular mass of approximately 72 kDa. It is a member of the T-box family and is expressed predominantly in the developing central nervous system especially in the intermediate progenitor cells in the subventricular zone of the cortex. TBR2 plays a significant role in neurogenesis by regulating the proliferation and differentiation of neuronal progenitor cells. This regulation ensures proper development of specific neural circuits critical for overall brain function.
Biological function summary

TBR2 is important in controlling the transition of neural progenitors during cortical development. It serves as an important marker for intermediate neuronal precursors highlighting its importance in the progression from radial glia to neurons. TBR2 does not function in a complex but works closely with the transcription factor Neurogenin 2 to control neuronal differentiation. Its activity determines the timing of neuronal differentiation making it indispensable for orderly cortical layer formation.

Pathways

TBR2 is involved in the Wnt signaling and Notch signaling pathways both key regulators of neurodevelopment. In the Wnt pathway TBR2 influences the balance between progenitor cell proliferation and differentiation by interacting with proteins such as Beta-catenin. In the Notch signaling pathway TBR2 modulates neural precursor cell fate decisions often in relation with proteins like DLL1. These pathways ensure proper brain structure and function by coordinating neural progenitor activity.

TBR2 mutations or misregulation can lead to neurodevelopmental disorders such as microcephaly and intellectual disabilities. The protein's association with these conditions reflects its critical role in cortical development and neuronal differentiation. TBR2's dysregulation is often observed alongside the malfunction of its pathway partners like Beta-catenin in the development of such disorders illustrating the intricate interplay of genetic and molecular factors underlying these diseases.

Product protocols

For this product, it's our understanding that no specific protocols are required. You can visit:

Target data

Functions as a transcriptional activator playing a crucial role during development. Functions in trophoblast differentiation and later in gastrulation, regulating both mesoderm delamination and endoderm specification. Plays a role in brain development being required for the specification and the proliferation of the intermediate progenitor cells and their progeny in the cerebral cortex. Also involved in the differentiation of CD8+ T-cells during immune response regulating the expression of lytic effector genes.
See full target information EOMES

Product promise

We are committed to supporting your work with high-quality reagents, and we're here for you every step of the way. In the unlikely event that one of our products does not perform as expected, you're protected by our Product Promise.
For full details, please see our Terms & Conditions

Please note: All products are 'FOR RESEARCH USE ONLY. NOT FOR USE IN DIAGNOSTIC OR THERAPEUTIC PROCEDURES'.

For licensing inquiries, please contact partnerships@abcam.com