JavaScript is disabled in your browser. Please enable JavaScript to view this website.
AB324776

Anti-TBX3 antibody [EPR28578-38] - BSA and Azide free

  • BOND RX™ Validated
  • Recombinant
  • RabMAb
  • KO Validated
  • What is this?

Be the first to review this product! Submit a review

|

(0 Publication)

Rabbit Recombinant Monoclonal TBX3 antibody. Carrier free. Suitable for Dot, IHC-P, WB and reacts with Transfected cell lysate - Human, Human samples.

View Alternative Names

T-box transcription factor TBX3, T-box protein 3, TBX3

10 Images
Immunohistochemistry (Formalin/PFA-fixed paraffin-embedded sections) - Anti-TBX3 antibody [EPR28578-38] - BSA and Azide free (AB324776)
  • IHC-P

Supplier Data

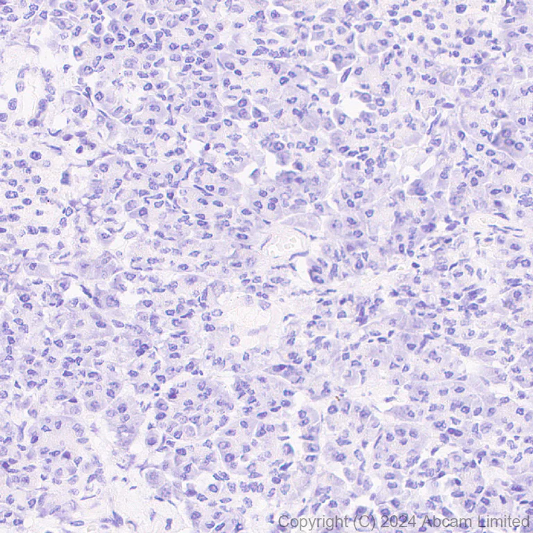
Immunohistochemistry (Formalin/PFA-fixed paraffin-embedded sections) - Anti-TBX3 antibody [EPR28578-38] - BSA and Azide free (AB324776)

This data was developed using ab322199, the same antibody clone in a different buffer formulation.

Immunohistochemical analysis of paraffin-embedded (A) Wild-type HAP1 (human chronic myelogenous leukemia near-haploid cell) cell pellet (B) TBX3 knockout HAP1 cell pellet tissue labeling TBX3 with ab322199 at 1/2000 (0.253 ug/ml) dilution followed by a ready to use LeicaDS9800 (Bond™ Polymer Refine Detection).

Positive staining on A : wild-type HAP1 cell pellet no staining on B : TBX3 knockout HAP1 cell pellet. The section was incubated with ab322199 for 30 mins at room temperature.
The immunostaining was performed on a Leica Biosystems BOND® RX instrument

Counterstained with Hematoxylin.

Secondary antibody only control : Secondary antibody is a ready to use LeicaDS9800 (Bond™ Polymer Refine Detection).

Heat mediated antigen retrieval was performed with Tris-EDTA buffer (pH 9.0 Epitope Retrieval Solution2) for 20 mins

Immunohistochemistry (Formalin/PFA-fixed paraffin-embedded sections) - Anti-TBX3 antibody [EPR28578-38] - BSA and Azide free (AB324776)
  • IHC-P

Supplier Data

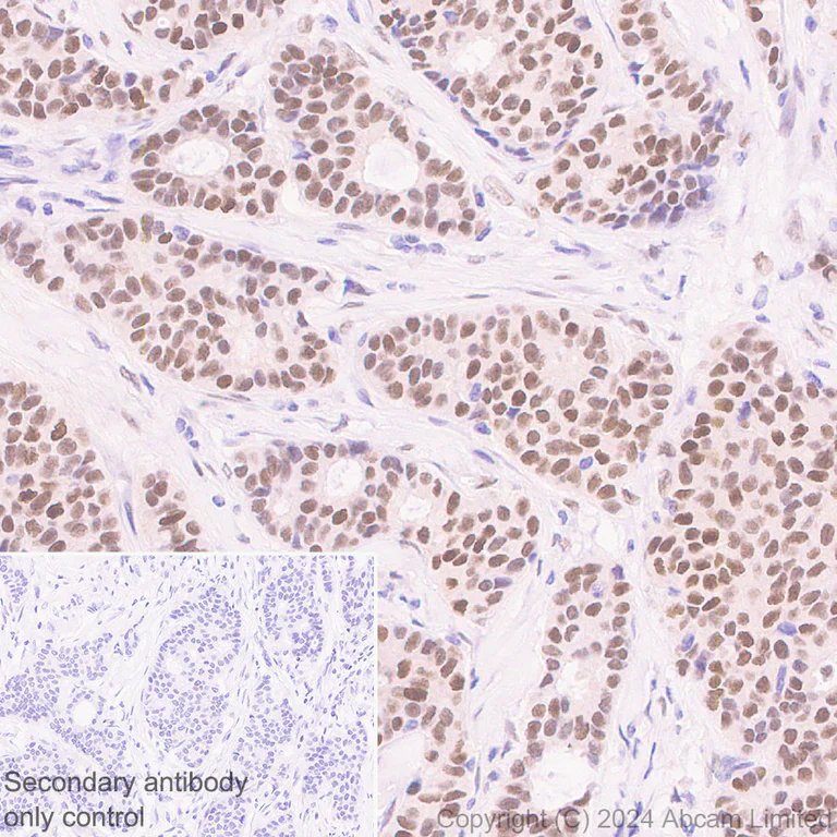
Immunohistochemistry (Formalin/PFA-fixed paraffin-embedded sections) - Anti-TBX3 antibody [EPR28578-38] - BSA and Azide free (AB324776)

This data was developed using ab322199, the same antibody clone in a different buffer formulation.

Immunohistochemical analysis of paraffin-embedded Human breast carcinoma tissue labeling TBX3 with ab322199 at 1/1000 (0.506 ug/ml) dilution followed by a ready to use LeicaDS9800 (Bond™ Polymer Refine Detection).

Positive staining on human breast carcinoma (PMID : 30697731). The section was incubated with ab322199 for 30 mins at room temperature.
The immunostaining was performed on a Leica Biosystems BOND® RX instrument

Counterstained with Hematoxylin.

Secondary antibody only control : Secondary antibody is a ready to use LeicaDS9800 (Bond™ Polymer Refine Detection).

Heat mediated antigen retrieval was performed with Tris-EDTA buffer (pH 9.0 Epitope Retrieval Solution2) for 20 mins

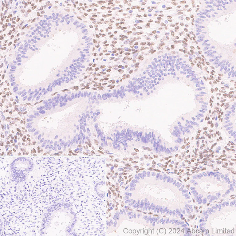
Immunohistochemistry (Formalin/PFA-fixed paraffin-embedded sections) - Anti-TBX3 antibody [EPR28578-38] - BSA and Azide free (AB324776)
  • IHC-P

Supplier Data

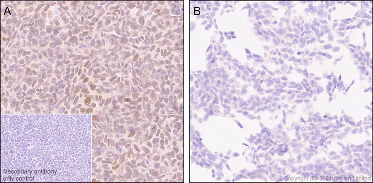
Immunohistochemistry (Formalin/PFA-fixed paraffin-embedded sections) - Anti-TBX3 antibody [EPR28578-38] - BSA and Azide free (AB324776)

This data was developed using ab322199, the same antibody clone in a different buffer formulation.

Immunohistochemical analysis of paraffin-embedded Human endometrium tissue labeling TBX3 with ab322199 at 1/1000 (0.506 ug/ml) dilution followed by a ready to use LeicaDS9800 (Bond™ Polymer Refine Detection).

Positive staining on human endometrium. The section was incubated with ab322199 for 30 mins at room temperature.
The immunostaining was performed on a Leica Biosystems BOND® RX instrument

Counterstained with Hematoxylin.

Secondary antibody only control : Secondary antibody is a ready to use LeicaDS9800 (Bond™ Polymer Refine Detection).

Heat mediated antigen retrieval was performed with Tris-EDTA buffer (pH 9.0 Epitope Retrieval Solution2) for 20 mins

Immunohistochemistry (Formalin/PFA-fixed paraffin-embedded sections) - Anti-TBX3 antibody [EPR28578-38] - BSA and Azide free (AB324776)
  • IHC-P

Supplier Data

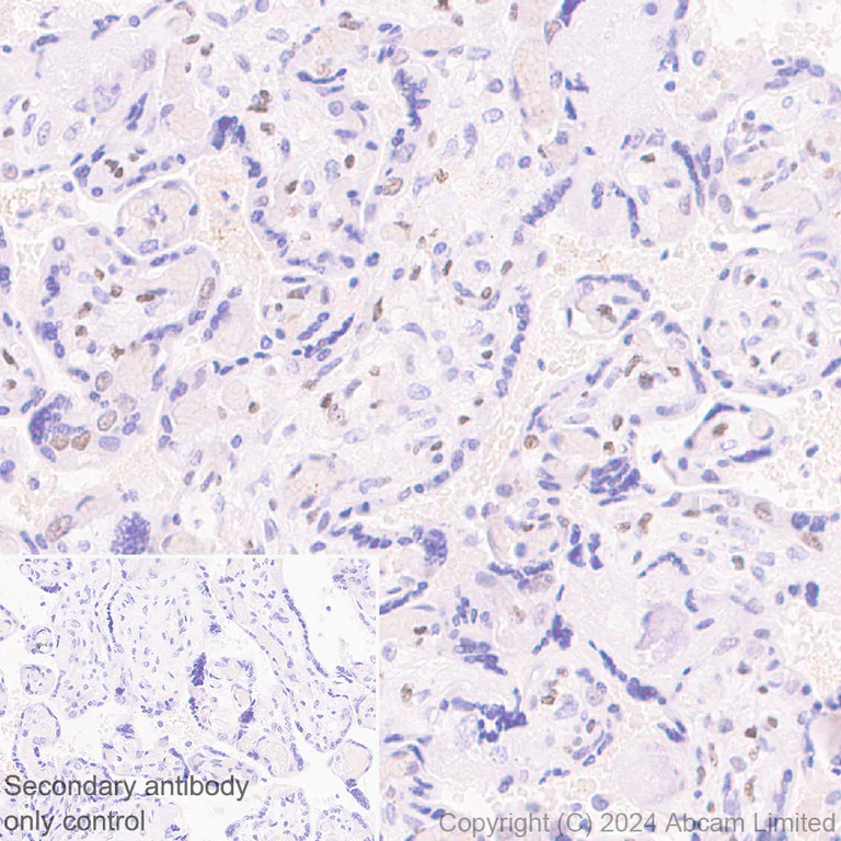
Immunohistochemistry (Formalin/PFA-fixed paraffin-embedded sections) - Anti-TBX3 antibody [EPR28578-38] - BSA and Azide free (AB324776)

This data was developed using ab322199, the same antibody clone in a different buffer formulation.

Immunohistochemical analysis of paraffin-embedded Human placenta tissue labeling TBX3 with ab322199 at 1/1000 (0.506 ug/ml) dilution followed by a ready to use LeicaDS9800 (Bond™ Polymer Refine Detection).

Positive staining on human placenta. The section was incubated with ab322199 for 30 mins at room temperature.
The immunostaining was performed on a Leica Biosystems BOND® RX instrument

Counterstained with Hematoxylin.

Secondary antibody only control : Secondary antibody is a ready to use LeicaDS9800 (Bond™ Polymer Refine Detection).

Heat mediated antigen retrieval was performed with Tris-EDTA buffer (pH 9.0 Epitope Retrieval Solution2) for 20 mins

Immunohistochemistry (Formalin/PFA-fixed paraffin-embedded sections) - Anti-TBX3 antibody [EPR28578-38] - BSA and Azide free (AB324776)
  • IHC-P

Supplier Data

Immunohistochemistry (Formalin/PFA-fixed paraffin-embedded sections) - Anti-TBX3 antibody [EPR28578-38] - BSA and Azide free (AB324776)

This data was developed using ab322199, the same antibody clone in a different buffer formulation.

Immunohistochemical analysis of paraffin-embedded Human pancreas tissue labeling TBX3 with ab322199 at 1/1000 (0.506 ug/ml) dilution followed by a ready to use LeicaDS9800 (Bond™ Polymer Refine Detection).

Low expression : no staining on human pancreas (PMID : 27632063). The section was incubated with ab322199 for 30 mins at room temperature.
The immunostaining was performed on a Leica Biosystems BOND® RX instrument

Counterstained with Hematoxylin.

Secondary antibody only control : Secondary antibody is a ready to use LeicaDS9800 (Bond™ Polymer Refine Detection).

Heat mediated antigen retrieval was performed with Tris-EDTA buffer (pH 9.0 Epitope Retrieval Solution2) for 20 mins

Western blot - Anti-TBX3 antibody [EPR28578-38] - BSA and Azide free (AB324776)
  • WB

Supplier Data

Western blot - Anti-TBX3 antibody [EPR28578-38] - BSA and Azide free (AB324776)

This data was developed using ab322199, the same antibody clone in a different buffer formulation.

Blocking and diluting buffer and concentration : 5% NFDM/TBST.

The identity of the bands lower than 75 kDa are unknown.

Exposure time : Lane 1 : 180 seconds; Lane 2 : 103 seconds.

All lanes:

Western blot - Anti-TBX3 antibody [EPR28578-38] (<a href='/en-us/products/primary-antibodies/tbx3-antibody-epr28578-38-ab322199'>ab322199</a>) at 1/1000 dilution

Lane 1:

Human adrenal gland tissue lysate at 20 µg

Lane 2:

Human placenta tissue lysate at 20 µg

Secondary

All lanes:

Goat Anti-Rabbit IgG (HRP) with minimal cross-reactivity with human IgG at 1/2000 dilution

Observed band size: 79 kDa

false

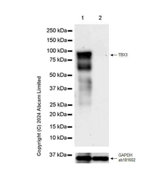
Western blot - Anti-TBX3 antibody [EPR28578-38] - BSA and Azide free (AB324776)
  • WB

Supplier Data

Western blot - Anti-TBX3 antibody [EPR28578-38] - BSA and Azide free (AB324776)

This data was developed using ab322199, the same antibody clone in a different buffer formulation.

Blocking and diluting buffer and concentration : 5% NFDM/TBST.

The identity of the lower MW band at approximately 60 kDa is unknown.

To minimize protein degradation cells were lysed immediately after harvest and then applied to a gel and transfer membrane for Western blotting as soon as possible.

In Western blot Anti-GAPDH antibody [EPR16891] - Loading Control (ab181602) staining at 1/200000 dilution.

All lanes:

Western blot - Anti-TBX3 antibody [EPR28578-38] (<a href='/en-us/products/primary-antibodies/tbx3-antibody-epr28578-38-ab322199'>ab322199</a>) at 1/1000 dilution

Lane 1:

Wild-type HAP1 (human chronic myelogenous leukemia near-haploid cell) whole cell lysate at 20 µg

Lane 2:

TBX3 knockout HAP1 whole cell lysate at 20 µg

Secondary

All lanes:

Western blot - Goat Anti-Rabbit IgG H&L (HRP) (<a href='/en-us/products/secondary-antibodies/goat-rabbit-igg-h-l-hrp-ab97051'>ab97051</a>) at 1/20000 dilution

Observed band size: 79 kDa,36 kDa

false

Exposure time: 103s

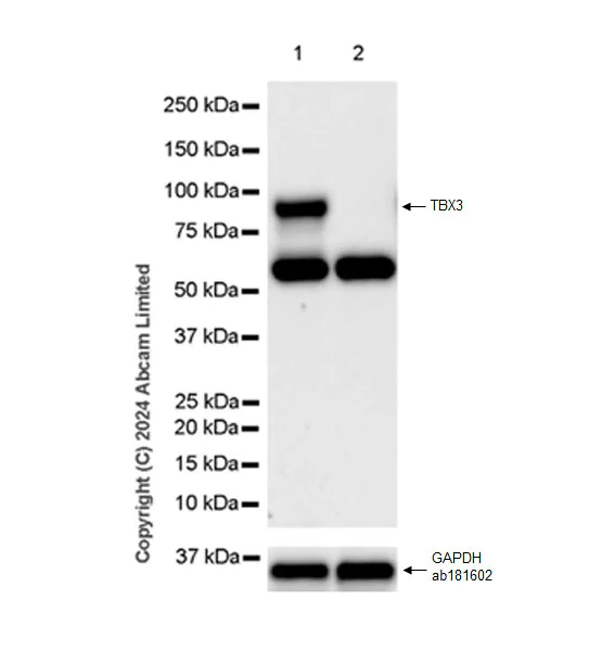
Western blot - Anti-TBX3 antibody [EPR28578-38] - BSA and Azide free (AB324776)
  • WB

Supplier Data

Western blot - Anti-TBX3 antibody [EPR28578-38] - BSA and Azide free (AB324776)

This data was developed using ab322199, the same antibody clone in a different buffer formulation.

Blocking and diluting buffer and concentration : 5% NFDM/TBST.

The identity of the lower MW band at approximately 60 kDa is unknown.

To minimize protein degradation cells were lysed immediately after harvest and then applied to a gel and transfer membrane for Western blotting as soon as possible.

In Western blot Anti-GAPDH antibody [EPR16891] - Loading Control (ab181602) staining at 1/200000 dilution.

All lanes:

Western blot - Anti-TBX3 antibody [EPR28578-38] (<a href='/en-us/products/primary-antibodies/tbx3-antibody-epr28578-38-ab322199'>ab322199</a>) at 1/1000 dilution

Lane 1:

293T (human embryonic kidney epithelial cell) transfected with scrambled siRNA control whole cell lysate at 20 µg

Lane 2:

293T transfected with siRNA specifically targeting TBX3 whole cell lysate at 20 µg

Lane 3:

HepG2 (human hepatocellar carcinoma epithelial cell) whole cell lysate at 20 µg

Secondary

All lanes:

Western blot - Goat Anti-Rabbit IgG H&L (HRP) (<a href='/en-us/products/secondary-antibodies/goat-rabbit-igg-h-l-hrp-ab97051'>ab97051</a>) at 1/20000 dilution

Observed band size: 79 kDa,36 kDa

false

Exposure time: 103s

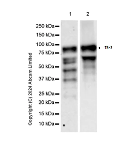
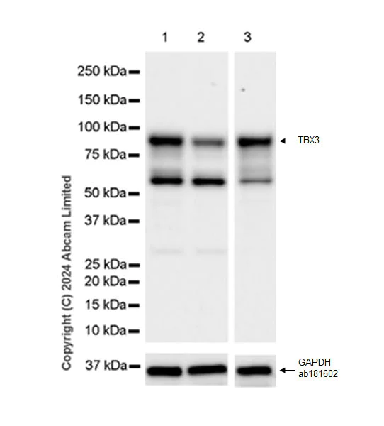
Western blot - Anti-TBX3 antibody [EPR28578-38] - BSA and Azide free (AB324776)
  • WB

Supplier Data

Western blot - Anti-TBX3 antibody [EPR28578-38] - BSA and Azide free (AB324776)

This data was developed using ab322199, the same antibody clone in a different buffer formulation.

Blocking and diluting buffer and concentration : 5% NFDM/TBST.

Low expression : HL-60.

The identity of the bands lower than 75 kDa are unknown.

In Western blot Anti-GAPDH antibody [EPR16891] - Loading Control (ab181602) staining at 1/200000 dilution.

All lanes:

Western blot - Anti-TBX3 antibody [EPR28578-38] (<a href='/en-us/products/primary-antibodies/tbx3-antibody-epr28578-38-ab322199'>ab322199</a>) at 1/1000 dilution

Lane 1:

293T (human embryonic kidney epithelial cell) whole cell lysate at 20 µg

Lane 2:

HL-60 (human acute promyelocytic leukemia promyeloblast) whole cell lysate at 20 µg

Secondary

All lanes:

Western blot - Goat Anti-Rabbit IgG H&L (HRP) (<a href='/en-us/products/secondary-antibodies/goat-rabbit-igg-h-l-hrp-ab97051'>ab97051</a>) at 1/20000 dilution

Observed band size: 79 kDa,36 kDa

false

Exposure time: 70s

Dot Blot - Anti-TBX3 antibody [EPR28578-38] - BSA and Azide free (AB324776)
  • Dot

Supplier Data

Dot Blot - Anti-TBX3 antibody [EPR28578-38] - BSA and Azide free (AB324776)

This data was developed using ab322199, the same antibody clone in a different buffer formulation.

Dot blot analysis of TBX3 using ab322199 at 1 : 1000 (0.506 ug/ml) followed by a Goat Anti-Rabbit IgG (H+L) Peroxidase conjugated (ab97051) at 1 : 100000 dilution.

Lane1 : 293T cells transfected with a human TBX3 expression vector containing a myc-His-tag® whole cell lysate
Lane2 : 293T cells transfected with a human TBX2 expression vector containing a myc-His-tag® whole cell lysate

Exposure time : 180 seconds.

Blocking and diluting buffer and concentration : 5% NFDM/TBST.

This antibody does not cross-react with overexpressed human TBX2 by dot blot.

In Dot Blot Anti-6X His tag® antibody [EPR20547] - ChIP Grade (ab213204) staining at 1/5000 dilution.

All lanes:

Dot Blot - Anti-TBX3 antibody [EPR28578-38] (<a href='/en-us/products/primary-antibodies/tbx3-antibody-epr28578-38-ab322199'>ab322199</a>) at 1/1000 dilution

Lane 1:

293T cells transfected with a human TBX3 expression vector containing a myc-His-tag®, whole cell lysate

Lane 2:

293T cells transfected with a human TBX2 expression vector containing a myc-His-tag®, whole cell lysate

Secondary

All lanes:

Dot Blot - Goat Anti-Rabbit IgG H&L (HRP) (<a href='/en-us/products/secondary-antibodies/goat-rabbit-igg-h-l-hrp-ab97051'>ab97051</a>) at 1/100000 dilution

false

Exposure time: 180s

Key facts

Host species

Rabbit

Clonality

Monoclonal

Clone number

EPR28578-38

Isotype

IgG

Carrier free

Yes

Reacts with

Human

Applications

WB, Dot, IHC-P

applications

Immunogen

The exact immunogen used to generate this antibody is proprietary information.

Reactivity data

{ "title": "Reactivity Data", "filters": { "stats": ["", "Species", "Dilution Info", "Notes"], "tabs": { "all-applications": {"fullname" : "All Applications", "shortname": "All Applications"}, "Dot" : {"fullname" : "Dot Blot", "shortname":"Dot"}, "IHCP" : {"fullname" : "Immunohistochemistry (Formalin/PFA-fixed paraffin-embedded sections)", "shortname":"IHC-P"}, "WB" : {"fullname" : "Western blot", "shortname":"WB"}, "ICCIF" : {"fullname" : "Immunocytochemistry/ Immunofluorescence", "shortname":"ICC/IF"} }, "product-promise": { "all": "all", "testedAndGuaranteed": "tested", "guaranteed": "expected", "predicted": "predicted", "notRecommended": "not-recommended" } }, "values": { "Human": { "Dot-species-checked": "guaranteed", "Dot-species-dilution-info": "", "Dot-species-notes": "", "IHCP-species-checked": "testedAndGuaranteed", "IHCP-species-dilution-info": "", "IHCP-species-notes": "<p></p> Perform heat-mediated antigen retrieval with Tris/EDTA buffer pH 9.0 before commencing with IHC staining protocol.", "WB-species-checked": "testedAndGuaranteed", "WB-species-dilution-info": "", "WB-species-notes": "<p></p>", "ICCIF-species-checked": "notRecommended", "ICCIF-species-dilution-info": "", "ICCIF-species-notes": "<p></p>" }, "Mouse": { "Dot-species-checked": "notRecommended", "Dot-species-dilution-info": "", "Dot-species-notes": "", "IHCP-species-checked": "notRecommended", "IHCP-species-dilution-info": "", "IHCP-species-notes": "<p></p>", "WB-species-checked": "notRecommended", "WB-species-dilution-info": "", "WB-species-notes": "<p></p>", "ICCIF-species-checked": "notRecommended", "ICCIF-species-dilution-info": "", "ICCIF-species-notes": "<p></p>" }, "Transfected cell lysate - Human": { "Dot-species-checked": "testedAndGuaranteed", "Dot-species-dilution-info": "", "Dot-species-notes": "<p></p>", "IHCP-species-checked": "notRecommended", "IHCP-species-dilution-info": "", "IHCP-species-notes": "", "WB-species-checked": "notRecommended", "WB-species-dilution-info": "", "WB-species-notes": "", "ICCIF-species-checked": "notRecommended", "ICCIF-species-dilution-info": "", "ICCIF-species-notes": "" } } }

Product details

ab324776 is the carrier-free version of ab322199.

Patented technology
Our RabMAb® technology is a patented hybridoma-based technology for making rabbit monoclonal antibodies. For details on our patents, please refer to RabMAb® patents.

What are the advantages of a recombinant monoclonal antibody?
This product is a recombinant monoclonal antibody, which offers several advantages including:

  • - High batch-to-batch consistency and reproducibility
  • - Improved sensitivity and specificity
  • - Long-term security of supply
  • - Animal-free batch production

For more information, read more on recombinant antibodies.

Conjugation ready
Our carrier-free antibodies are typically supplied in a PBS-only formulation, purified and free of BSA, sodium azide and glycerol. This conjugation-ready format is designed for use with fluorochromes, metal isotopes, oligonucleotides, and enzymes, which makes them ideal for antibody labelling, functional and cell-based assays, flow-based assays (e.g. mass cytometry) and Multiplex Imaging applications.

Use our conjugation kits for antibody conjugates that are ready-to-use in as little as 20 minutes with 1 minute hands-on-time and 100% antibody recovery: available for fluorescent dyes, HRP, biotin and gold.

Compatibility
This product is compatible with the Maxpar® Antibody Labeling Kit from Fluidigm, without the need for antibody preparation. Maxpar® is a trademark of Fluidigm Canada Inc.

Properties and storage information

Form
Liquid
Purification technique
Affinity purification Protein A
Storage buffer
pH: 7.2 - 7.4 Constituents: PBS
Shipped at conditions
Blue Ice
Appropriate short-term storage conditions
+4°C
Appropriate long-term storage conditions
+4°C

Product protocols

For this product, it's our understanding that no specific protocols are required. You can visit:

Target data

Transcriptional repressor involved in developmental processes (PubMed : 10468588). Binds to the palindromic T site 5'-TTCACACCTAGGTGTGAA-3' DNA sequence, or a half-site, which are present in the regulatory region of several genes (PubMed : 12000749). Probably plays a role in limb pattern formation (PubMed : 10468588). Required for mammary placode induction, and maintenance of the mammary buds during development (By similarity). Involved in branching morphogenesis in both developing lungs and adult mammary glands, via negative modulation of target genes; acting redundantly with TBX2 (By similarity). Required, together with TBX2, to maintain cell proliferation in the embryonic lung mesenchyme; perhaps acting downstream of SHH, BMP and TGFbeta signaling (By similarity). Involved in modulating early inner ear development, acting independently of, and also redundantly with, TBX2 in different subregions of the developing ear (By similarity). Acts as a negative regulator of PML function in cellular senescence (PubMed : 22002537).
See full target information TBX3

Product promise

We are committed to supporting your work with high-quality reagents, and we're here for you every step of the way. In the unlikely event that one of our products does not perform as expected, you're protected by our Product Promise.
For full details, please see our Terms & Conditions

Please note: All products are 'FOR RESEARCH USE ONLY. NOT FOR USE IN DIAGNOSTIC OR THERAPEUTIC PROCEDURES'.

For licensing inquiries, please contact partnerships@abcam.com