JavaScript is disabled in your browser. Please enable JavaScript to view this website.
AB32079

Anti-TC10 antibody [Y304]

5

(1 Review)

|

(7 Publications)

Rabbit Recombinant Monoclonal TC10 antibody. Suitable for WB, ICC/IF and reacts with Human samples. Cited in 7 publications.

View Alternative Names

ARHQ, RASL7A, TC10, RHOQ, Rho-related GTP-binding protein RhoQ, Ras-like protein TC10, Ras-like protein family member 7A

2 Images
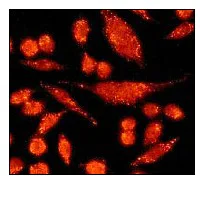
Immunocytochemistry/ Immunofluorescence - Anti-TC10 antibody [Y304] (AB32079)
  • ICC/IF

Unknown

Immunocytochemistry/ Immunofluorescence - Anti-TC10 antibody [Y304] (AB32079)

Immunofluorescent analysis of TC10 expression in HeLa cells using 1/250 ab 32079.

Western blot - Anti-TC10 antibody [Y304] (AB32079)
  • WB

Unknown

Western blot - Anti-TC10 antibody [Y304] (AB32079)

All lanes:

Western blot - Anti-TC10 antibody [Y304] (ab32079) at 1/1000 dilution

All lanes:

293 cell lysate

Predicted band size: 23 kDa

Observed band size: 25 kDa

false

Key facts

Host species

Rabbit

Clonality

Monoclonal

Clone number

Y304

Isotype

IgG

Carrier free

No

Reacts with

Human

Applications

WB, ICC/IF

applications

Immunogen

The exact immunogen used to generate this antibody is proprietary information.

Reactivity data

{ "title": "Reactivity Data", "filters": { "stats": ["", "Species", "Dilution Info", "Notes"], "tabs": { "all-applications": {"fullname" : "All Applications", "shortname": "All Applications"}, "IP" : {"fullname" : "Immunoprecipitation", "shortname":"IP"}, "FlowCyt" : {"fullname" : "Flow Cytometry", "shortname":"Flow Cyt"}, "WB" : {"fullname" : "Western blot", "shortname":"WB"}, "ICCIF" : {"fullname" : "Immunocytochemistry/ Immunofluorescence", "shortname":"ICC/IF"} }, "product-promise": { "all": "all", "testedAndGuaranteed": "tested", "guaranteed": "expected", "predicted": "predicted", "notRecommended": "not-recommended" } }, "values": { "Human": { "IP-species-checked": "notRecommended", "IP-species-dilution-info": "", "IP-species-notes": "<p></p>", "FlowCyt-species-checked": "notRecommended", "FlowCyt-species-dilution-info": "", "FlowCyt-species-notes": "<p></p>", "WB-species-checked": "testedAndGuaranteed", "WB-species-dilution-info": "1/1000 - 1/10000", "WB-species-notes": "<p></p>", "ICCIF-species-checked": "testedAndGuaranteed", "ICCIF-species-dilution-info": "1/250 - 1/500", "ICCIF-species-notes": "<p></p>" }, "Rat": { "IP-species-checked": "notRecommended", "IP-species-dilution-info": "", "IP-species-notes": "", "FlowCyt-species-checked": "notRecommended", "FlowCyt-species-dilution-info": "", "FlowCyt-species-notes": "", "WB-species-checked": "predicted", "WB-species-dilution-info": "", "WB-species-notes": "", "ICCIF-species-checked": "predicted", "ICCIF-species-dilution-info": "", "ICCIF-species-notes": "" } } }

Product details

Patented technology
Our RabMAb® technology is a patented hybridoma-based technology for making rabbit monoclonal antibodies. For details on our patents, please refer to RabMAb® patents.

What are the advantages of a recombinant monoclonal antibody?
This product is a recombinant monoclonal antibody, which offers several advantages including:

  • - High batch-to-batch consistency and reproducibility
  • - Improved sensitivity and specificity
  • - Long-term security of supply
  • - Animal-free batch production

For more information, read more on recombinant antibodies.

Properties and storage information

Form
Liquid
Purification technique
Affinity purification Protein A
Storage buffer
pH: 7.2 - 7.4 Preservative: 0.01% Sodium azide Constituents: PBS, 50% Glycerol (glycerin, glycerine), 0.05% BSA
Shipped at conditions
Blue Ice
Appropriate short-term storage conditions
+4°C
Appropriate long-term storage conditions
-20°C
Aliquoting information
Upon delivery aliquot
Storage information
Avoid freeze / thaw cycle

Supplementary information

This supplementary information is collated from multiple sources and compiled automatically.

The TC10 protein also known as RhoQ is a small GTPase belonging to the Rho family with a molecular mass of approximately 22 kDa. This protein functions as a molecular switch cycling between an active GTP-bound state and an inactive GDP-bound state. TC10 is mainly expressed in the brain but also found in adipose tissues and muscle cells. It plays important regulatory roles in organizing the actin cytoskeleton thereby influencing cell shape polarity and movement.
Biological function summary

TC10 influences various cellular processes including glucose transport vesicle trafficking and cell migration. This protein associates with other molecules to form complexes that help guide these events. By modulating the organization of the cytoskeleton TC10 indirectly affects processes such as endocytosis and exocytosis. The protein also interacts with multiple effector proteins which further diversifies its functional capacities in cellular signaling.

Pathways

The TC10 protein is involved in the insulin signaling pathway and the lipid signaling pathway. Within the insulin signaling pathway TC10 connects with important molecules such as insulin receptor substrates that help mediate glucose uptake by cells. It is also linked to related proteins like Cdc42 another Rho family member assisting in membrane trafficking and organization. These interactions highlight TC10's role in critical cellular signal transduction processes.

Research suggests that TC10 is associated with insulin resistance a condition that can lead to type 2 diabetes and with certain neurological disorders. In insulin resistance TC10's impaired signaling leads to decreased glucose uptake which can negatively affect cellular metabolism. Moreover its regulation may tightly link with proteins like PI3K linking disturbances in TC10 function with metabolic disorders. This association makes TC10 a protein of interest in understanding and treating related diseases.

Product protocols

For this product, it's our understanding that no specific protocols are required. You can visit:

Target data

Plasma membrane-associated small GTPase which cycles between an active GTP-bound and an inactive GDP-bound state. In active state binds to a variety of effector proteins to regulate cellular responses. Involved in epithelial cell polarization processes. May play a role in CFTR trafficking to the plasma membrane. Causes the formation of thin, actin-rich surface projections called filopodia.
See full target information RHOQ

Publications (7)

Recent publications for all applications. Explore the full list and refine your search

PloS one 18:e0284453 PubMed37079638

2023

Obscurin Rho GEF domains are phosphorylated by MST-family kinases but do not exhibit nucleotide exchange factor activity towards Rho GTPases in vitro.

Applications

Unspecified application

Species

Unspecified reactive species

Daniel Koch,Ay Lin Kho,Atsushi Fukuzawa,Alexander Alexandrovich,Kutti J Vanaanen,Andrew Beavil,Mark Pfuhl,Martin Rees,Mathias Gautel

Communications biology 5:945 PubMed36088469

2022

Low-dose radiation exaggerates HFD-induced metabolic dysfunction by gut microbiota through PA-PYCR1 axis.

Applications

Unspecified application

Species

Unspecified reactive species

Zhao Ju,Peiyu Guo,Jing Xiang,Ridan Lei,Guofeng Ren,Meiling Zhou,Xiandan Yang,Pingkun Zhou,Ruixue Huang

Nature communications 9:1524 PubMed29670091

2018

Inhibition of the mevalonate pathway enhances cancer cell oncolysis mediated by M1 virus.

Applications

Unspecified application

Species

Unspecified reactive species

Jiankai Liang,Li Guo,Kai Li,Xiao Xiao,Wenbo Zhu,Xiaoke Zheng,Jun Hu,Haipeng Zhang,Jing Cai,Yaya Yu,Yaqian Tan,Chuntao Li,Xincheng Liu,Cheng Hu,Ying Liu,Pengxin Qiu,Xingwen Su,Songmin He,Yuan Lin,Guangmei Yan

PloS one 8:e79689 PubMed24223996

2013

GTP hydrolysis of TC10 promotes neurite outgrowth through exocytic fusion of Rab11- and L1-containing vesicles by releasing exocyst component Exo70.

Applications

ICC/IF

Species

Unspecified reactive species

Akane Fujita,Shingo Koinuma,Sayaka Yasuda,Hiroyuki Nagai,Hiroyuki Kamiguchi,Naoyuki Wada,Takeshi Nakamura

The Journal of cell biology 190:553-63 PubMed20733052

2010

Coordinated RhoA signaling at the leading edge and uropod is required for T cell transendothelial migration.

Applications

WB

Species

Human

Sarah J Heasman,Leo M Carlin,Susan Cox,Tony Ng,Anne J Ridley

PLoS pathogens 6:e1000975 PubMed20617170

2010

HIV gp41 engages gC1qR on CD4+ T cells to induce the expression of an NK ligand through the PIP3/H2O2 pathway.

Applications

WB

Species

Human

Hugues Fausther-Bovendo,Vincent Vieillard,Sandrine Sagan,Georges Bismuth,Patrice Debré

FEBS letters 580:3375-80 PubMed16716304

2006

An essential role of Cdc42-like GTPases in mitosis of HeLa cells.

Applications

Unspecified application

Species

Unspecified reactive species

Shingo Yasuda,Hiroyuki Taniguchi,Fabian Oceguera-Yanez,Yoshikazu Ando,Sadanori Watanabe,James Monypenny,Shuh Narumiya
View all publications

Product promise

We are committed to supporting your work with high-quality reagents, and we're here for you every step of the way. In the unlikely event that one of our products does not perform as expected, you're protected by our Product Promise.
For full details, please see our Terms & Conditions

Please note: All products are 'FOR RESEARCH USE ONLY. NOT FOR USE IN DIAGNOSTIC OR THERAPEUTIC PROCEDURES'.

For licensing inquiries, please contact partnerships@abcam.com