JavaScript is disabled in your browser. Please enable JavaScript to view this website.
AB185947

Anti-TCEA1 + TCEA2 + TCEA3 antibody [EPR14821]

Be the first to review this product! Submit a review

|

(3 Publications)

Rabbit Recombinant Monoclonal TCEA1 antibody. Suitable for IP, WB, ICC/IF, Flow Cyt (Intra), IHC-P and reacts with Human, Mouse, Transfected cell lysate samples. Cited in 3 publications.

View Alternative Names

GTF2S, TFIIS, TCEA1, Transcription elongation factor A protein 1, Transcription elongation factor S-II protein 1, Transcription elongation factor TFIIS.o, Transcription elongation factor A protein 2, Testis-specific S-II, Transcription elongation factor S-II protein 2, Transcription elongation factor TFIIS.l, TCEA2, TFIISH, TCEA3, Transcription elongation factor A protein 3, Transcription elongation factor S-II protein 3, Transcription elongation factor TFIIS.h

7 Images
Flow Cytometry (Intracellular) - Anti-TCEA1 + TCEA2 + TCEA3 antibody [EPR14821] (AB185947)
  • Flow Cyt (Intra)

Supplier Data

Flow Cytometry (Intracellular) - Anti-TCEA1 + TCEA2 + TCEA3 antibody [EPR14821] (AB185947)

Intracellular flow cytometric analysis of 2% paraformaldehyde HeLa cells labeling TCEA1 + TCEA2 + TCEA3 with ab185947 at 1/250 dilution (red) compared to a Rabbit monoclonal IgG isotype control antibody (green). Secondary staining with Goat anti Rabbit IgG (FITC) at a 1/150 dilution.

Immunocytochemistry/ Immunofluorescence - Anti-TCEA1 + TCEA2 + TCEA3 antibody [EPR14821] (AB185947)
  • ICC/IF

Supplier Data

Immunocytochemistry/ Immunofluorescence - Anti-TCEA1 + TCEA2 + TCEA3 antibody [EPR14821] (AB185947)

Immunofluorescent staining of 4% paraformaldehyde fixed HUVEC cells labeling TCEA1 + TCEA2 + TCEA3 with ab185947 at 1/500 dilution (red; left image) and DAPI nuclear staining (blue; right image). Secondary staining with Goat anti Rabbit IgG (Alexa Fluor® 555) at a 1/200 dilution.

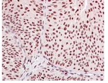
Immunohistochemistry (Formalin/PFA-fixed paraffin-embedded sections) - Anti-TCEA1 + TCEA2 + TCEA3 antibody [EPR14821] (AB185947)
  • IHC-P

Supplier Data

Immunohistochemistry (Formalin/PFA-fixed paraffin-embedded sections) - Anti-TCEA1 + TCEA2 + TCEA3 antibody [EPR14821] (AB185947)

Immunohistochemical analysis of paraffin embedded Human bladder transitional cell carcinoma tissue labeling TCEA1 + TCEA2 + TCEA3 with ab185947 at 1/500 dilution. Counterstained with Hematoxylin.

Perform heat mediated antigen retrieval with EDTA buffer pH 9 before commencing with IHC staining protocol.

Immunocytochemistry/ Immunofluorescence - Anti-TCEA1 + TCEA2 + TCEA3 antibody [EPR14821] (AB185947)
  • ICC/IF

Supplier Data

Immunocytochemistry/ Immunofluorescence - Anti-TCEA1 + TCEA2 + TCEA3 antibody [EPR14821] (AB185947)

Immunofluorescent staining of -20 °C acetone fixed HeLa cells labeling TCEA1 + TCEA2 + TCEA3 with ab185947 at 1/500 dilution (red; left image) and DAPI nuclear staining (blue; right image). Secondary staining with Goat anti Rabbit IgG (Alexa Fluor® 555) at a 1/200 dilution.

Immunoprecipitation - Anti-TCEA1 + TCEA2 + TCEA3 antibody [EPR14821] (AB185947)
  • IP

Supplier Data

Immunoprecipitation - Anti-TCEA1 + TCEA2 + TCEA3 antibody [EPR14821] (AB185947)

Immunoprecipitation analysis of HeLa cell lysate labeling TCEA1 + TCEA2 + TCEA3 with ab185947 at 1/50 dilution. Secondary staining with Goat anti Rabbit IgG (H+L) Peroxidase conjugated antibody at a 1/1000 dilution.

All lanes:

Immunoprecipitation - Anti-TCEA1 + TCEA2 + TCEA3 antibody [EPR14821] (ab185947)

Predicted band size: 33 kDa

false

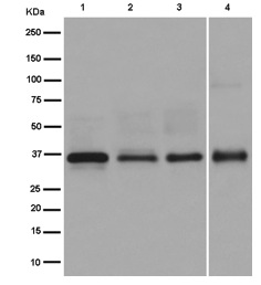
Western blot - Anti-TCEA1 + TCEA2 + TCEA3 antibody [EPR14821] (AB185947)
  • WB

Lab

Western blot - Anti-TCEA1 + TCEA2 + TCEA3 antibody [EPR14821] (AB185947)

Blocking and diluting buffer and concentration : 5% NFDM /TBST. ab181602 was used as a GAPDH loading control.

All lanes:

Western blot - Anti-TCEA1 + TCEA2 + TCEA3 antibody [EPR14821] (ab185947) at 1/10000 dilution

Lane 1:

293T (Human embryonic kidney epithelial cell) + OE-empty whole cell lysate at 20 µg

Lane 2:

293T (Human embryonic kidney epithelial cell) + OE-TCEA1 whole cell lysate at 20 µg

Lane 3:

293T (Human embryonic kidney epithelial cell) + OE-TCEA2 whole cell lysate at 20 µg

Lane 4:

293T (Human embryonic kidney epithelial cell) + OE-TCEA3 whole cell lysate at 20 µg

Secondary

All lanes:

Western blot - Goat Anti-Rabbit IgG H&L (HRP) (<a href='/en-us/products/secondary-antibodies/goat-rabbit-igg-h-l-hrp-ab97051'>ab97051</a>) at 1/20000 dilution

Predicted band size: 34-39 kDa

Observed band size: 34-39 kDa

false

Exposure time: 1s

Western blot - Anti-TCEA1 + TCEA2 + TCEA3 antibody [EPR14821] (AB185947)
  • WB

Supplier Data

Western blot - Anti-TCEA1 + TCEA2 + TCEA3 antibody [EPR14821] (AB185947)

All lanes:

Western blot - Anti-TCEA1 + TCEA2 + TCEA3 antibody [EPR14821] (ab185947) at 1/10000 dilution

Lane 1:

K562 cell lysate at 20 µg

Lane 2:

HeLa cell lysate at 20 µg

Lane 3:

SP2/0 cell lysate at 20 µg

Lane 4:

HUVEC cell lysate at 20 µg

Secondary

All lanes:

Goat Anti-Rabbit IgG, (H+L), Peroxidase conjugated at 1/1000 dilution

Predicted band size: 33 kDa

false

  • Carrier free

    Anti-TCEA1 + TCEA2 + TCEA3 antibody [EPR14821] - BSA and Azide free

  • 660 APC

    APC Anti-TCEA1 + TCEA2 + TCEA3 antibody [EPR14821]

  • HRP

    HRP Anti-TCEA1 + TCEA2 + TCEA3 antibody [EPR14821]

  • 617 Alexa Fluor® 594

    Alexa Fluor® 594 Anti-TCEA1 + TCEA2 + TCEA3 antibody [EPR14821]

  • 519 Alexa Fluor® 488

    Alexa Fluor® 488 Anti-TCEA1 + TCEA2 + TCEA3 antibody [EPR14821]

  • 565 Alexa Fluor® 555

    Alexa Fluor® 555 Anti-TCEA1 + TCEA2 + TCEA3 antibody [EPR14821]

  • 578 PE

    PE Anti-TCEA1 + TCEA2 + TCEA3 antibody [EPR14821]

  • 665 Alexa Fluor® 647

    Alexa Fluor® 647 Anti-TCEA1 + TCEA2 + TCEA3 antibody [EPR14821]

  • 603 Alexa Fluor® 568

    Alexa Fluor® 568 Anti-TCEA1 + TCEA2 + TCEA3 antibody [EPR14821]

  • 775 Alexa Fluor® 750

    Alexa Fluor® 750 Anti-TCEA1 + TCEA2 + TCEA3 antibody [EPR14821]

Key facts

Host species

Rabbit

Clonality

Monoclonal

Clone number

EPR14821

Isotype

IgG

Carrier free

No

Reacts with

Mouse, Human

Applications

ICC/IF, WB, IHC-P, IP, Flow Cyt (Intra)

applications

Immunogen

The exact immunogen used to generate this antibody is proprietary information.

Reactivity data

{ "title": "Reactivity Data", "filters": { "stats": ["", "Species", "Dilution Info", "Notes"], "tabs": { "all-applications": {"fullname" : "All Applications", "shortname": "All Applications"}, "IP" : {"fullname" : "Immunoprecipitation", "shortname":"IP"}, "WB" : {"fullname" : "Western blot", "shortname":"WB"}, "ICCIF" : {"fullname" : "Immunocytochemistry/ Immunofluorescence", "shortname":"ICC/IF"}, "FlowCytIntra" : {"fullname" : "Flow Cytometry (Intracellular)", "shortname":"Flow Cyt (Intra)"}, "IHCP" : {"fullname" : "Immunohistochemistry (Formalin/PFA-fixed paraffin-embedded sections)", "shortname":"IHC-P"} }, "product-promise": { "all": "all", "testedAndGuaranteed": "tested", "guaranteed": "expected", "predicted": "predicted", "notRecommended": "not-recommended" } }, "values": { "Human": { "IP-species-checked": "testedAndGuaranteed", "IP-species-dilution-info": "1/30 - 1/50", "IP-species-notes": "<p></p>", "WB-species-checked": "testedAndGuaranteed", "WB-species-dilution-info": "1/1000 - 1/10000", "WB-species-notes": "<p></p>", "ICCIF-species-checked": "testedAndGuaranteed", "ICCIF-species-dilution-info": "1/500", "ICCIF-species-notes": "<p></p>", "FlowCytIntra-species-checked": "testedAndGuaranteed", "FlowCytIntra-species-dilution-info": "1/250", "FlowCytIntra-species-notes": "<p><a href='/en-us/products/primary-antibodies/rabbit-igg-monoclonal-epr25a-isotype-control-ab172730'>ab172730</a> - Rabbit monoclonal IgG, is suitable for use as an isotype control with this antibody.</p>", "IHCP-species-checked": "testedAndGuaranteed", "IHCP-species-dilution-info": "1/500", "IHCP-species-notes": "<p></p>" }, "Mouse": { "IP-species-checked": "guaranteed", "IP-species-dilution-info": "", "IP-species-notes": "", "WB-species-checked": "testedAndGuaranteed", "WB-species-dilution-info": "1/1000 - 1/10000", "WB-species-notes": "<p></p>", "ICCIF-species-checked": "guaranteed", "ICCIF-species-dilution-info": "", "ICCIF-species-notes": "", "FlowCytIntra-species-checked": "guaranteed", "FlowCytIntra-species-dilution-info": "", "FlowCytIntra-species-notes": "", "IHCP-species-checked": "guaranteed", "IHCP-species-dilution-info": "", "IHCP-species-notes": "" }, "Rat": { "IP-species-checked": "predicted", "IP-species-dilution-info": "", "IP-species-notes": "", "WB-species-checked": "predicted", "WB-species-dilution-info": "", "WB-species-notes": "", "ICCIF-species-checked": "predicted", "ICCIF-species-dilution-info": "", "ICCIF-species-notes": "", "FlowCytIntra-species-checked": "predicted", "FlowCytIntra-species-dilution-info": "", "FlowCytIntra-species-notes": "", "IHCP-species-checked": "predicted", "IHCP-species-dilution-info": "", "IHCP-species-notes": "" }, "Transfected cell lysate": { "IP-species-checked": "notRecommended", "IP-species-dilution-info": "", "IP-species-notes": "", "WB-species-checked": "testedAndGuaranteed", "WB-species-dilution-info": "1/1000 - 1/10000", "WB-species-notes": "<p></p>", "ICCIF-species-checked": "notRecommended", "ICCIF-species-dilution-info": "", "ICCIF-species-notes": "", "FlowCytIntra-species-checked": "notRecommended", "FlowCytIntra-species-dilution-info": "", "FlowCytIntra-species-notes": "", "IHCP-species-checked": "notRecommended", "IHCP-species-dilution-info": "", "IHCP-species-notes": "" } } }

Product details

Patented technology
Our RabMAb® technology is a patented hybridoma-based technology for making rabbit monoclonal antibodies. For details on our patents, please refer to RabMAb® patents.

What are the advantages of a recombinant monoclonal antibody?
This product is a recombinant monoclonal antibody, which offers several advantages including:

  • - High batch-to-batch consistency and reproducibility
  • - Improved sensitivity and specificity
  • - Long-term security of supply
  • - Animal-free batch production

For more information, read more on recombinant antibodies.

Properties and storage information

Form
Liquid
Purification technique
Affinity purification Protein A
Storage buffer
pH: 7.2 - 7.4 Preservative: 0.01% Sodium azide Constituents: PBS, 40% Glycerol (glycerin, glycerine), 0.05% BSA
Shipped at conditions
Blue Ice
Appropriate short-term storage duration
1-2 weeks
Appropriate short-term storage conditions
+4°C
Appropriate long-term storage conditions
-20°C
Aliquoting information
Upon delivery aliquot
Storage information
Avoid freeze / thaw cycle

Supplementary information

This supplementary information is collated from multiple sources and compiled automatically.

TCEA1 also known as transcription elongation factor A protein 1 or TFIIS plays a mechanical role in the process of transcription elongation. This protein has a molecular mass of approximately 34 kDa. TCEA1 is expressed in a wide range of tissues indicating a broad involvement in cellular functions. During transcription elongation TCEA1 interacts with RNA polymerase II helping to reactivate stalled enzyme complexes by promoting cleavage of backtracked RNA which is essential to maintain transcription fidelity.
Biological function summary

TCEA1 is important for the proper regulation and efficiency of gene expression. It is not part of a large complex but interacts specifically with RNA polymerase II to facilitate transcript elongation. Without TCEA1 cells may experience transcription arrest either temporarily or permanently which can lead to aberrant gene expression profiles. It ensures continuity in transcription so that the full-length RNA transcripts are synthesized without interruption which is necessary for correct cellular function.

Pathways

TCEA1 plays an indispensable role in the transcription machinery pathway and is closely related to components like RNA polymerase II and TFIIH within the transcription cycle. It is also connected to the DNA damage response pathways because it allows resumption of transcription after damage repair. These pathways maintain cellular homeostasis and balance gene expression to adapt to cellular needs and external signals. Together with other transcription factors TCEA1 ensures transcriptional regulation in response to cellular stimuli.

TCEA1 is implicated in transcription-related diseases such as neurodegenerative disorders and cancer. Mutations or dysregulation of TCEA1 can lead to impaired transcription which often results in cellular malfunction and disease progression. It is associated with proteins like p53 in cancer pathways where transcription arrest and restart mechanisms play a critical part in controlling cell growth and apoptosis. In neurodegenerative diseases disruption of transcriptional processes leads to neuronal cell damage and death contributing to the pathogenesis of these disorders. Understanding the role of TCEA1 in these pathways provides critical insights into potential therapeutic targets.

Product protocols

For this product, it's our understanding that no specific protocols are required. You can visit:

Target data

Necessary for efficient RNA polymerase II transcription elongation past template-encoded arresting sites. The arresting sites in DNA have the property of trapping a certain fraction of elongating RNA polymerases that pass through, resulting in locked ternary complexes. Cleavage of the nascent transcript by S-II allows the resumption of elongation from the new 3'-terminus.
See full target information TCEA1

Additional targets

TCEA2,TCEA3

Publications (3)

Recent publications for all applications. Explore the full list and refine your search

Clinical and translational medicine 15:e70270 PubMed40088428

2025

Targeting YBX1-m5C mediates RNF115 mRNA circularisation and translation to enhance vulnerability of ferroptosis in hepatocellular carcinoma.

Applications

Unspecified application

Species

Unspecified reactive species

Ouwen Li,Ke An,Han Wang,Xianbin Li,Yueqin Wang,Lan Huang,Yue Du,Nuo Qin,Jiasheng Dong,Jingyao Wei,Ranran Sun,Yong Shi,Yanjia Guo,Xiangyi Sun,Ying Yang,Yun-Gui Yang,Quancheng Kan,Xin Tian

Science advances 10:eadm8196 PubMed38787953

2024

Human DNA topoisomerase I poisoning causes R loop-mediated genome instability attenuated by transcription factor IIS.

Applications

Unspecified application

Species

Unspecified reactive species

Renée C Duardo,Jessica Marinello,Marco Russo,Sara Morelli,Simona Pepe,Federico Guerra,Belén Gómez-González,Andrés Aguilera,Giovanni Capranico

Nature communications 12:6078 PubMed34667177

2021

PHF3 regulates neuronal gene expression through the Pol II CTD reader domain SPOC.

Applications

Unspecified application

Species

Unspecified reactive species

Lisa-Marie Appel,Vedran Franke,Melania Bruno,Irina Grishkovskaya,Aiste Kasiliauskaite,Tanja Kaufmann,Ursula E Schoeberl,Martin G Puchinger,Sebastian Kostrhon,Carmen Ebenwaldner,Marek Sebesta,Etienne Beltzung,Karl Mechtler,Gen Lin,Anna Vlasova,Martin Leeb,Rushad Pavri,Alexander Stark,Altuna Akalin,Richard Stefl,Carrie Bernecky,Kristina Djinovic-Carugo,Dea Slade
View all publications

Product promise

We are committed to supporting your work with high-quality reagents, and we're here for you every step of the way. In the unlikely event that one of our products does not perform as expected, you're protected by our Product Promise.
For full details, please see our Terms & Conditions

Please note: All products are 'FOR RESEARCH USE ONLY. NOT FOR USE IN DIAGNOSTIC OR THERAPEUTIC PROCEDURES'.

For licensing inquiries, please contact partnerships@abcam.com