JavaScript is disabled in your browser. Please enable JavaScript to view this website.
AB319109

Anti-TCF-3/TCF7L1 antibody [EPR28832-90]

Be the first to review this product! Submit a review

|

(0 Publication)

Rabbit Recombinant Monoclonal TCF3 / E2A antibody. Suitable for Dot, WB and reacts with Synthetic peptide - Human, Human samples.

View Alternative Names

TCF3, TCF7L1, Transcription factor 7-like 1, HMG box transcription factor 3, TCF-3

3 Images
Western blot - Anti-TCF-3/TCF7L1 antibody [EPR28832-90] (AB319109)
  • WB

Supplier Data

Western blot - Anti-TCF-3/TCF7L1 antibody [EPR28832-90] (AB319109)

Blocking and diluting buffer and concentration : 5% NFDM/TBST.

In Western blot, Anti-GAPDH antibody [EPR16891] - Loading Control (ab181602) staining at 1/200000 dilution.

All lanes:

Western blot - Anti-TCF-3/TCF7L1 antibody [EPR28832-90] (ab319109) at 1/1000 dilution

Lane 1:

293T (human embryonic kidney epithelial cell) transfected with scrambled siRNA control whole cell lysate at 10 µg

Lane 2:

293T transfected with siRNA specifically targeting TCF-3/TCF7L1 whole cell lysate at 10 µg

Secondary

All lanes:

Western blot - Goat Anti-Rabbit IgG H&L (HRP) (<a href='/en-us/products/secondary-antibodies/goat-rabbit-igg-h-l-hrp-ab97051'>ab97051</a>) at 1/100000 dilution

Observed band size: 78 kDa,36 kDa

false

Exposure time: 114s

Western blot - Anti-TCF-3/TCF7L1 antibody [EPR28832-90] (AB319109)
  • WB

Supplier Data

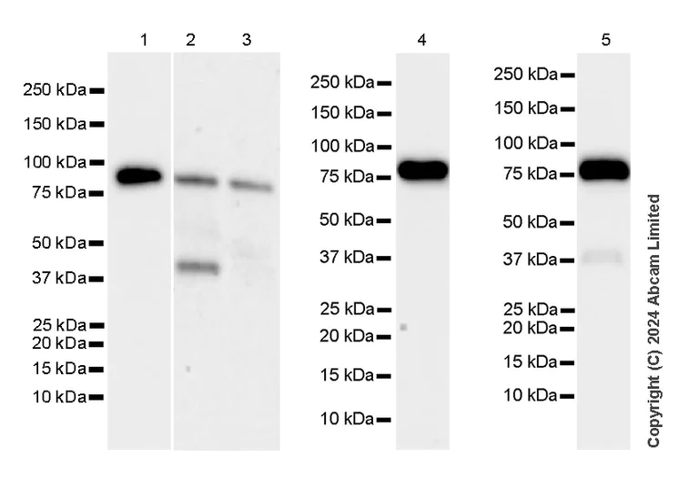
Western blot - Anti-TCF-3/TCF7L1 antibody [EPR28832-90] (AB319109)

Blocking and diluting buffer and concentration : 5% NFDM/TBST.

The identity of the lower MW band at approximately 37 kDa in lane 2 and lane 5 is unknown.

Lanes 1-4 are applied with Goat Anti-Rabbit IgG, (H+L), Peroxidase conjugated (ab97051) at 1/100000 and lane 5 is applied with Goat Anti-Rabbit IgG (HRP) with minimal cross-reactivity with human IgG at 1/2000.

Exposure time : Lanes 2-3 : 180 seconds; Lanes 1, 4-5 : 26 seconds

All lanes:

Western blot - Anti-TCF-3/TCF7L1 antibody [EPR28832-90] (ab319109) at 1/1000 dilution

Lane 1:

SW480 (human colorectal adenocarcinoma epithelial cell) whole cell lysate at 20 µg

Lane 2:

A-204 (human muscle rhabdomyosarcoma cell) whole cell lysate at 20 µg

Lane 3:

Caco-2 (human colorectal adenocarcinoma epithelial cell) whole cell lysate at 20 µg

Lane 4:

HeLa (human cervical adenocarcinoma epithelial cell) whole cell lysate at 20 µg

Lane 5:

Human colon tissue lysate at 20 µg

Secondary

Lanes 1 - 4:

Western blot - Goat Anti-Rabbit IgG H&L (HRP) (<a href='/en-us/products/secondary-antibodies/goat-rabbit-igg-h-l-hrp-ab97051'>ab97051</a>) at 1/100000 dilution

Lane 5:

Goat Anti-Rabbit IgG (HRP) with minimal cross-reactivity with human IgG at 1/2000 dilution

Observed band size: 78 kDa

false

Dot Blot - Anti-TCF-3/TCF7L1 antibody [EPR28832-90] (AB319109)
  • Dot

Supplier Data

Dot Blot - Anti-TCF-3/TCF7L1 antibody [EPR28832-90] (AB319109)

Dot blot analysis of TCF-3/TCF7L1 using ab319109 at 1 : 1000 (0.523 ug/ml) followed by a Goat Anti-Rabbit IgG, (H+L), Peroxidase conjugated (ab97051) at 1 : 100,000 dilution.

Blocking and diluting buffer and concentration : 5% NFDM/TBST.

This antibody does not cross-react with human TCF-4/TCF7L2.

All lanes:

Dot Blot - Anti-TCF-3/TCF7L1 antibody [EPR28832-90] (ab319109) at 1/1000 dilution

Lane 1:

Human TCF-3/TCF7L1 peptide

Lane 2:

Human TCF-4/TCF7L2 peptide

Secondary

All lanes:

Dot Blot - Goat Anti-Rabbit IgG H&L (HRP) (<a href='/en-us/products/secondary-antibodies/goat-rabbit-igg-h-l-hrp-ab97051'>ab97051</a>) at 1/100000 dilution

false

Exposure time: 180s

  • Carrier free

    Anti-TCF-3/TCF7L1 antibody [EPR28832-90] - BSA and Azide free

Key facts

Host species

Rabbit

Clonality

Monoclonal

Clone number

EPR28832-90

Isotype

IgG

Carrier free

No

Reacts with

Human

Applications

Dot, WB

applications

Immunogen

The exact immunogen used to generate this antibody is proprietary information.

Reactivity data

{ "title": "Reactivity Data", "filters": { "stats": ["", "Species", "Dilution Info", "Notes"], "tabs": { "all-applications": {"fullname" : "All Applications", "shortname": "All Applications"}, "Dot" : {"fullname" : "Dot Blot", "shortname":"Dot"}, "WB" : {"fullname" : "Western blot", "shortname":"WB"}, "ICCIF" : {"fullname" : "Immunocytochemistry/ Immunofluorescence", "shortname":"ICC/IF"}, "IHCP" : {"fullname" : "Immunohistochemistry (Formalin/PFA-fixed paraffin-embedded sections)", "shortname":"IHC-P"} }, "product-promise": { "all": "all", "testedAndGuaranteed": "tested", "guaranteed": "expected", "predicted": "predicted", "notRecommended": "not-recommended" } }, "values": { "Human": { "Dot-species-checked": "guaranteed", "Dot-species-dilution-info": "", "Dot-species-notes": "", "WB-species-checked": "testedAndGuaranteed", "WB-species-dilution-info": "1/1000", "WB-species-notes": "<p></p>", "ICCIF-species-checked": "notRecommended", "ICCIF-species-dilution-info": "", "ICCIF-species-notes": "<p></p>", "IHCP-species-checked": "notRecommended", "IHCP-species-dilution-info": "", "IHCP-species-notes": "<p></p>" }, "Mouse": { "Dot-species-checked": "notRecommended", "Dot-species-dilution-info": "", "Dot-species-notes": "", "WB-species-checked": "notRecommended", "WB-species-dilution-info": "", "WB-species-notes": "<p></p>", "ICCIF-species-checked": "notRecommended", "ICCIF-species-dilution-info": "", "ICCIF-species-notes": "", "IHCP-species-checked": "notRecommended", "IHCP-species-dilution-info": "", "IHCP-species-notes": "" }, "Rat": { "Dot-species-checked": "notRecommended", "Dot-species-dilution-info": "", "Dot-species-notes": "", "WB-species-checked": "notRecommended", "WB-species-dilution-info": "", "WB-species-notes": "<p></p>", "ICCIF-species-checked": "notRecommended", "ICCIF-species-dilution-info": "", "ICCIF-species-notes": "", "IHCP-species-checked": "notRecommended", "IHCP-species-dilution-info": "", "IHCP-species-notes": "" }, "Synthetic peptide - Human": { "Dot-species-checked": "testedAndGuaranteed", "Dot-species-dilution-info": "1/1000", "Dot-species-notes": "<p></p>", "WB-species-checked": "notRecommended", "WB-species-dilution-info": "", "WB-species-notes": "", "ICCIF-species-checked": "notRecommended", "ICCIF-species-dilution-info": "", "ICCIF-species-notes": "", "IHCP-species-checked": "notRecommended", "IHCP-species-dilution-info": "", "IHCP-species-notes": "" } } }

Product details

Patented technology
Our RabMAb® technology is a patented hybridoma-based technology for making rabbit monoclonal antibodies. For details on our patents, please refer to RabMAb® patents.

What are the advantages of a recombinant monoclonal antibody?
This product is a recombinant monoclonal antibody, which offers several advantages including:

  • - High batch-to-batch consistency and reproducibility
  • - Improved sensitivity and specificity
  • - Long-term security of supply
  • - Animal-free batch production

For more information, read more on recombinant antibodies.

Properties and storage information

Form
Liquid
Purification technique
Affinity purification Protein A
Storage buffer
pH: 7.2 - 7.4 Preservative: 0.01% Sodium azide Constituents: PBS, 40% Glycerol (glycerin, glycerine), 0.05% BSA
Shipped at conditions
Blue Ice
Appropriate short-term storage duration
1-2 weeks
Appropriate short-term storage conditions
+4°C
Appropriate long-term storage conditions
-20°C
Aliquoting information
Upon delivery aliquot
Storage information
Avoid freeze / thaw cycle

Supplementary information

This supplementary information is collated from multiple sources and compiled automatically.

TCF-3 also known as TCF7L1 is a high-mobility group (HMG) box transcription factor with a molecular mass of approximately 57 kDa. This protein predominantly serves as a transcriptional repressor and is part of the TCF/LEF family involved in the Wnt signaling pathway. TCF-3 shows expression in various tissues particularly in embryonic development stages. It mediates transcriptional repression by recruiting co-repressors and chromatin remodeling factors.
Biological function summary

TCF-3/TCF7L1 regulates gene expression critical for cell fate decisions. It is part of a transcriptional complex capable of interacting with beta-catenin. The protein binds to specific DNA sequences and controls the transcription of target genes. Its activity impacts stem cell pluripotency and differentiation playing essential roles in development and cell lineage specification.

Pathways

TCF-3 serves critical roles within the canonical Wnt signaling pathway. It interacts with beta-catenin to modulate transcriptional outcomes. In the absence of Wnt signals TCF-3 represses target genes but it can activate them when Wnt signals stabilize beta-catenin. This pathway is important in embryogenesis and cellular differentiation. TCF-3 also relates functionally to other TCF/LEF family members which may partially compensate for TCF-3 function in certain contexts.

TCF-3 involvement in cancer and congenital malformations has been identified. Altered TCF-3 expression or function contributes to tumorigenesis through deregulation of Wnt pathway targets affecting cell proliferation and apoptosis. In some cancers interactions with proteins like beta-catenin lead to aberrant gene activation. Additionally mutations or dysregulation of TCF-3 are associated with developmental disorders due to its pivotal role in embryonic development processes.

Product protocols

For this product, it's our understanding that no specific protocols are required. You can visit:

Target data

Participates in the Wnt signaling pathway. Binds to DNA and acts as a repressor in the absence of CTNNB1, and as an activator in its presence. Necessary for the terminal differentiation of epidermal cells, the formation of keratohyalin granules and the development of the barrier function of the epidermis (By similarity). Down-regulates NQO1, leading to increased mitomycin c resistance.
See full target information TCF7L1

Product promise

We are committed to supporting your work with high-quality reagents, and we're here for you every step of the way. In the unlikely event that one of our products does not perform as expected, you're protected by our Product Promise.
For full details, please see our Terms & Conditions

Please note: All products are 'FOR RESEARCH USE ONLY. NOT FOR USE IN DIAGNOSTIC OR THERAPEUTIC PROCEDURES'.

For licensing inquiries, please contact partnerships@abcam.com