JavaScript is disabled in your browser. Please enable JavaScript to view this website.
AB134275

Anti-TCF-4/TCF7L2 antibody

Be the first to review this product! Submit a review

|

(8 Publications)

Rabbit Polyclonal TCF-4/TCF7L2 antibody. Suitable for IHC-P, WB and reacts with Human samples. Cited in 8 publications.

View Alternative Names

TCF4, TCF7L2, Transcription factor 7-like 2, HMG box transcription factor 4, T-cell-specific transcription factor 4, T-cell factor 4, TCF-4, hTCF-4

2 Images
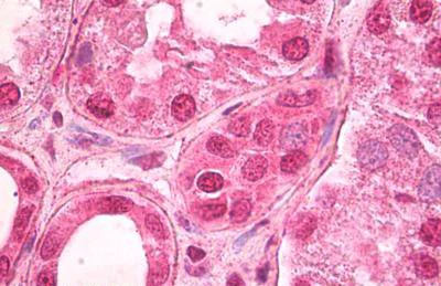
Immunohistochemistry (Formalin/PFA-fixed paraffin-embedded sections) - Anti-TCF-4/TCF7L2 antibody (AB134275)
  • IHC-P

Unknown

Immunohistochemistry (Formalin/PFA-fixed paraffin-embedded sections) - Anti-TCF-4/TCF7L2 antibody (AB134275)

Immunohistochemical analysis of paraffin-embedded Human kidney tissue labelling TCF-4/TCF7L2 with ab134275 at 5μg/ml. Primary incubation was followed by biotinylated goat anti-rabbit IgG secondary antibody, alkaline phosphatase-streptavidin and chromogen.

Western blot - Anti-TCF-4/TCF7L2 antibody (AB134275)
  • WB

Unknown

Western blot - Anti-TCF-4/TCF7L2 antibody (AB134275)

All lanes:

Western blot - Anti-TCF-4/TCF7L2 antibody (ab134275) at 1/500 dilution

All lanes:

HeLa cell lysate

Predicted band size: 68 kDa

false

Key facts

Host species

Rabbit

Clonality

Polyclonal

Isotype

IgG

Carrier free

No

Reacts with

Human

Applications

IHC-P, WB

applications

Immunogen

The exact immunogen used to generate this antibody is proprietary information.

Reactivity data

{ "title": "Reactivity Data", "filters": { "stats": ["", "Species", "Dilution Info", "Notes"], "tabs": { "all-applications": {"fullname" : "All Applications", "shortname": "All Applications"}, "IHCP" : {"fullname" : "Immunohistochemistry (Formalin/PFA-fixed paraffin-embedded sections)", "shortname":"IHC-P"}, "WB" : {"fullname" : "Western blot", "shortname":"WB"} }, "product-promise": { "all": "all", "testedAndGuaranteed": "tested", "guaranteed": "expected", "predicted": "predicted", "notRecommended": "not-recommended" } }, "values": { "Human": { "IHCP-species-checked": "testedAndGuaranteed", "IHCP-species-dilution-info": "5 µg/mL", "IHCP-species-notes": "<p></p> Perform heat-mediated antigen retrieval with citrate buffer pH 6 before commencing with IHC staining protocol.", "WB-species-checked": "testedAndGuaranteed", "WB-species-dilution-info": "1/200 - 1/1000", "WB-species-notes": "<p></p>" } } }

Properties and storage information

Form
Liquid
Purification technique
Affinity purification Immunogen
Storage buffer
Preservative: 0.02% Sodium azide Constituents: PBS, 50% Glycerol (glycerin, glycerine), 0.88% Sodium chloride
Shipped at conditions
Blue Ice
Appropriate short-term storage duration
1-2 weeks
Appropriate short-term storage conditions
+4°C
Appropriate long-term storage conditions
-20°C
Aliquoting information
Upon delivery aliquot

Supplementary information

This supplementary information is collated from multiple sources and compiled automatically.

TCF-4 also known as TCF7L2 is a transcription factor that plays an important mechanical role in the Wnt signaling pathway. It is a protein with a molecular mass of approximately 66 kDa and is expressed in many tissues including the intestine pancreas and brain. TCF-4 acts by binding to DNA at specific sites and regulating the transcription of target genes. This transcription regulation occurs when TCF-4 partners with beta-catenin altering gene expression in response to Wnt signals.
Biological function summary

TCF-4 influences processes like cell proliferation differentiation and apoptosis. It functions as part of a transcriptional complex with members such as beta-catenin and other cofactors which are essential for its regulatory activities. Through its control of gene expression TCF-4 affects tissue homeostasis and has implications in embryonic development. It modulates the expression of genes that are involved in important cellular processes making it a significant player in maintaining cellular equilibrium.

Pathways

TCF-4 is essential in the Wnt/beta-catenin signaling pathway a critical pathway that regulates cell fate and patterning during development. This pathway involves the accumulation of beta-catenin in the cytoplasm and its subsequent translocation into the nucleus. In the nucleus beta-catenin partners with TCF-4 to regulate gene transcription. Additionally TCF-4 interacts with other pathway proteins such as LEF1 (Lymphoid Enhancer-Binding Factor 1) to modulate Wnt target genes illustrating its integration within complex signaling networks.

TCF-4 has strong connections to type 2 diabetes and colorectal cancer. Variations in the TCF7L2 gene have been linked to increased risk of type 2 diabetes potentially due to its role in glucose metabolism. In colorectal cancer aberrant activation of the Wnt signaling pathway often involving TCF-4 and beta-catenin leads to uncontrolled cell growth. Understanding these connections can provide insights into the pathogenesis of these diseases and inform treatment strategies targeting TCF-4 and its associated pathways.

Product protocols

For this product, it's our understanding that no specific protocols are required. You can visit:

Target data

Participates in the Wnt signaling pathway and modulates MYC expression by binding to its promoter in a sequence-specific manner. Acts as a repressor in the absence of CTNNB1, and as activator in its presence. Activates transcription from promoters with several copies of the Tcf motif 5'-CCTTTGATC-3' in the presence of CTNNB1. TLE1, TLE2, TLE3 and TLE4 repress transactivation mediated by TCF7L2/TCF4 and CTNNB1. Expression of dominant-negative mutants results in cell-cycle arrest in G1. Necessary for the maintenance of the epithelial stem-cell compartment of the small intestine.
See full target information TCF7L2

Publications (8)

Recent publications for all applications. Explore the full list and refine your search

Medicine 103:e39892 PubMed39465830

2024

LEF1 is associated with immunosuppressive microenvironment of patients with lung adenocarcinoma.

Applications

Unspecified application

Species

Unspecified reactive species

Xiaoqing Liu,Chunlou Wang,Xiaoling Zhang,Rongju Zhang

Translational oncology 35:101727 PubMed37354639

2023

Resveratrol induces the growth inhibition of CDX-deficient gastric cancer cells using CDX2 and RUNX3 via the β-catenin/TCF4 signaling pathway.

Applications

Unspecified application

Species

Unspecified reactive species

Hui Liu,Xinxin Zhang,Can Fang,Shuguang Li

Oncology research 30:289-300 PubMed37303493

2023

LSM12 facilitates the progression of colorectal cancer by activating the WNT/CTNNB1 signaling pathway.

Applications

Unspecified application

Species

Unspecified reactive species

Yan Zhuang,Chunlan Ning,Pengfei Liu,Yanpeng Zhao,Yue Li,Zhenchi Ma,Luling Shan,Yingzhe Piao,Peng Zhao,Xun Jin

Journal of cellular physiology 237:2877-2887 PubMed35342944

2022

Role of the hydrogen sulfide-releasing donor ADT-OH in the regulation of mammal neural precursor cells.

Applications

Unspecified application

Species

Unspecified reactive species

Shan-Wen Wei,Ming-Ming Zou,Jian Huan,Di Li,Peng-Fei Zhang,Mei-Hong Lu,Jian Xiong,Yan-Xia Ma

FASEB journal : official publication of the Federation of American Societies for Experimental Biology 36:e22185 PubMed35133032

2022

TCF7L2 transcriptionally regulates Fgf15 to maintain bile acid and lipid homeostasis through gut-liver crosstalk.

Applications

Unspecified application

Species

Unspecified reactive species

Neha Bhat,Fatemehsadat Esteghamat,Bal Krishna Chaube,Kushan Gunawardhana,Mitra Mani,Clay Thames,Dhanpat Jain,Henry N Ginsberg,Carlos Fernandes-Hernando,Arya Mani

Frontiers in pharmacology 12:682713 PubMed34594214

2021

Ginsenoside Rb1 Lessens Gastric Precancerous Lesions by Interfering With β-Catenin/TCF4 Interaction.

Applications

Unspecified application

Species

Unspecified reactive species

Jinhao Zeng,Xiao Ma,Ziyi Zhao,Yu Chen,Jundong Wang,Yanwei Hao,Junrong Yu,Zhongzhen Zeng,Nianzhi Chen,Maoyuan Zhao,Jianyuan Tang,Daoyin Gong

Cell transplantation 29:963689720969167 PubMed33231090

2020

Characteristics of TGFBR1-EGFR-CTNNB1-CDH1 Signaling Axis in Wnt-Regulated Invasion and Migration in Lung Cancer.

Applications

Unspecified application

Species

Unspecified reactive species

Rong Liu,Yusui Zhang,Yuan Ding,Shuai Zhang,Long Pan

American journal of physiology. Gastrointestinal a 307:G1044-56 PubMed25277798

2014

SIM2 maintains innate host defense of the small intestine.

Applications

Unspecified application

Species

Unspecified reactive species

Kuan-Jung Chen,Analyn Lizaso,Ying-Hue Lee
View all publications

Product promise

We are committed to supporting your work with high-quality reagents, and we're here for you every step of the way. In the unlikely event that one of our products does not perform as expected, you're protected by our Product Promise.
For full details, please see our Terms & Conditions

Please note: All products are 'FOR RESEARCH USE ONLY. NOT FOR USE IN DIAGNOSTIC OR THERAPEUTIC PROCEDURES'.

For licensing inquiries, please contact partnerships@abcam.com