JavaScript is disabled in your browser. Please enable JavaScript to view this website.
AB283718

Anti-TCF-4/TCF7L2+TCF-3/TCF7L1 antibody [EPR24701-87] - BSA and Azide free

Be the first to review this product! Submit a review

|

(0 Publication)

Rabbit Recombinant Monoclonal TCF-4/TCF7L2 antibody. Carrier free. Suitable for WB and reacts with Mouse, Rat, Human samples.

View Alternative Names

Tcf4, Tcf7l2, Transcription factor 7-like 2, HMG box transcription factor 4, T-cell-specific transcription factor 4, T-cell factor 4, TCF-4, mTCF-4

5 Images
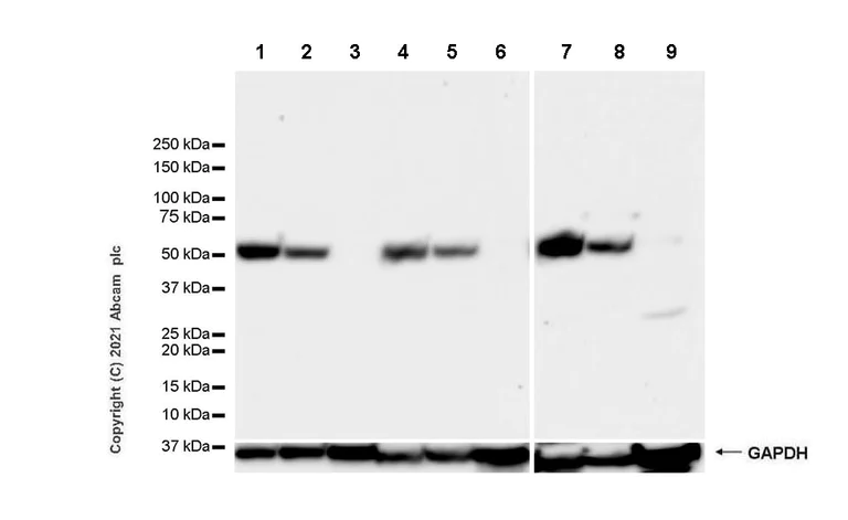
Western blot - Anti-TCF-4/TCF7L2+TCF-3/TCF7L1 antibody [EPR24701-87] - BSA and Azide free (AB283718)
  • WB

Lab

Western blot - Anti-TCF-4/TCF7L2+TCF-3/TCF7L1 antibody [EPR24701-87] - BSA and Azide free (AB283718)

This data was developed using ab272235, the same antibody clone in a different buffer formulation.

Blocking and diluting buffer and concentration : 5% NFDM/TBST

The molecular weight observed is consistent with what has been described in the literature (PMID : 17003360)

Exposure time : Lane 1-6 : 15 seconds ; Lane 7-9 : 37seconds

All lanes:

Western blot - Anti-TCF-4/TCF7L2+TCF-3/TCF7L1 antibody [EPR24701-87] (<a href='/en-us/products/primary-antibodies/tcf-4-tcf7l2tcf-3-tcf7l1-antibody-epr24701-87-ab272235'>ab272235</a>) at 1/1000 dilution

Lane 1:

Human liver tissue lysate at 60 µg

Lane 2:

Human kidney tissue lysate at 60 µg

Lane 3:

Human skeletal muscle tissue lysate at 60 µg

Lane 4:

Mouse liver tissue lysate at 60 µg

Lane 5:

Mouse kidney tissue lysate at 60 µg

Lane 6:

Mouse skeletal muscle tissue lysate at 60 µg

Lane 7:

Rat liver tissue lysate at 60 µg

Lane 8:

Rat kidney tissue lysate at 60 µg

Lane 9:

Rat skeletal muscle tissue lysate at 60 µg

Secondary

All lanes:

Goat Anti-Rabbit IgG, (H+L), Peroxidase conjugated (<a href='/en-us/products/secondary-antibodies/goat-rabbit-igg-h-l-hrp-ab97051'>ab97051</a>) at 1/100000 dilution

Predicted band size: 68 kDa

Observed band size: 55 kDa

false

Western blot - Anti-TCF-4/TCF7L2+TCF-3/TCF7L1 antibody [EPR24701-87] - BSA and Azide free (AB283718)
  • WB

Lab

Western blot - Anti-TCF-4/TCF7L2+TCF-3/TCF7L1 antibody [EPR24701-87] - BSA and Azide free (AB283718)

This data was developed using ab272235, the same antibody clone in a different buffer formulation.

Blocking and diluting buffer and concentration : 5% NFDM/TBST

The molecular weight observed is consistent with what has been described in the literature (PMID : 22945304).

Exposure time : Lane 1-2 : 3 minutes ; Lane 3-4 : 48 seconds

All lanes:

Western blot - Anti-TCF-4/TCF7L2+TCF-3/TCF7L1 antibody [EPR24701-87] (<a href='/en-us/products/primary-antibodies/tcf-4-tcf7l2tcf-3-tcf7l1-antibody-epr24701-87-ab272235'>ab272235</a>) at 1/1000 dilution

Lane 1:

HEK-293 (human embryonic kidney epithelial cell), whole cell lysate at 60 µg

Lane 2:

SW620 (human colorectal adenocarcinoma epithelial cell), whole cell lysate at 60 µg

Lane 3:

Hepa1-6 (mouse hepatoma epithelial cell), whole cell lysate at 60 µg

Lane 4:

L6 (rat skeletal muscle myoblast), whole cell lysate at 60 µg

Secondary

All lanes:

Goat Anti-Rabbit IgG, (H+L), Peroxidase conjugated (<a href='/en-us/products/secondary-antibodies/goat-rabbit-igg-h-l-hrp-ab97051'>ab97051</a>) at 1/100000 dilution

Predicted band size: 68 kDa

Observed band size: 55 kDa

false

Western blot - Anti-TCF-4/TCF7L2+TCF-3/TCF7L1 antibody [EPR24701-87] - BSA and Azide free (AB283718)
  • WB

Lab

Western blot - Anti-TCF-4/TCF7L2+TCF-3/TCF7L1 antibody [EPR24701-87] - BSA and Azide free (AB283718)

This data was developed using ab272235, the same antibody clone in a different buffer formulation.

Blocking and diluting buffer and concentration : 5% NFDM/TBST

The molecular weight observed is consistent with what has been described in the literature. The 75 kDa band is the long isoform of TCF7L2, while the 55 kDa band is the short isoform of TCF7L2 (PMID : 22945304, PMID : 29317436).

Exposure time : 15 seconds

All lanes:

Western blot - Anti-TCF-4/TCF7L2+TCF-3/TCF7L1 antibody [EPR24701-87] (<a href='/en-us/products/primary-antibodies/tcf-4-tcf7l2tcf-3-tcf7l1-antibody-epr24701-87-ab272235'>ab272235</a>) at 1/1000 dilution

Lane 1:

Human liver tissue lysate at 20 µg

Lane 2:

Mouse liver tissue lysate at 20 µg

Lane 3:

Mouse kidney tissue lysate at 20 µg

Lane 4:

Rat liver tissue lysate at 20 µg

Lane 5:

Rat kidney tissue lysate at 20 µg

Secondary

All lanes:

Goat Anti-Rabbit IgG, (H+L), Peroxidase conjugated (<a href='/en-us/products/secondary-antibodies/goat-rabbit-igg-h-l-hrp-ab97051'>ab97051</a>) at 1/100000 dilution

Predicted band size: 68 kDa

Observed band size: 55 kDa

false

Western blot - Anti-TCF-4/TCF7L2+TCF-3/TCF7L1 antibody [EPR24701-87] - BSA and Azide free (AB283718)
  • WB

Lab

Western blot - Anti-TCF-4/TCF7L2+TCF-3/TCF7L1 antibody [EPR24701-87] - BSA and Azide free (AB283718)

This data was developed using ab272235, the same antibody clone in a different buffer formulation.

Blocking and diluting buffer and concentration : 5% NFDM/TBST

The expression profile observed is consistent with what has been described in the literature (PMID : 29317436).

Exposure time : 48 seconds

All lanes:

Western blot - Anti-TCF-4/TCF7L2+TCF-3/TCF7L1 antibody [EPR24701-87] (<a href='/en-us/products/primary-antibodies/tcf-4-tcf7l2tcf-3-tcf7l1-antibody-epr24701-87-ab272235'>ab272235</a>) at 1/1000 dilution

Lane 1:

Untreated 3T3-L1 (mouse embryonic fibroblast) whole cell lysate at 60 µg

Lane 2:

3T3-L1 differentiation for 6 days whole cell lysate at 60 µg

Secondary

All lanes:

Goat Anti-Rabbit IgG, (H+L), Peroxidase conjugated (<a href='/en-us/products/secondary-antibodies/goat-rabbit-igg-h-l-hrp-ab97051'>ab97051</a>) at 1/100000 dilution

Predicted band size: 68 kDa

Observed band size: 55 kDa

false

Western blot - Anti-TCF-4/TCF7L2+TCF-3/TCF7L1 antibody [EPR24701-87] - BSA and Azide free (AB283718)
  • WB

Lab

Western blot - Anti-TCF-4/TCF7L2+TCF-3/TCF7L1 antibody [EPR24701-87] - BSA and Azide free (AB283718)

This data was developed using ab272235, the same antibody clone in a different buffer formulation.

Blocking and diluting buffer and concentration : 5% NFDM/TBST

This antibody has cross-reaction with mouse TCFL7L1.

The recombinant proteins TCFL7L1 and TCFL7L2 were made in-house.

The sample loaded onto lane 1 was E.coli extracts containing TCFL7L1 recombinant protein.

The sample loaded onto lanes 2 was purified TCF7L2 recombinant protein expressed from a mammalian - HEK-293 expression system.

Exposure time : 3 minutes

All lanes:

Western blot - Anti-TCF-4/TCF7L2+TCF-3/TCF7L1 antibody [EPR24701-87] (<a href='/en-us/products/primary-antibodies/tcf-4-tcf7l2tcf-3-tcf7l1-antibody-epr24701-87-ab272235'>ab272235</a>) at 1/1000 dilution

Lane 1:

Mouse TCF7L1 recombinant protein at 0.01 µg

Lane 2:

Mouse TCF7L2 recombinant protein at 0.01 µg

Secondary

All lanes:

Goat Anti-Rabbit IgG, (H+L), Peroxidase conjugated (<a href='/en-us/products/secondary-antibodies/goat-rabbit-igg-h-l-hrp-ab97051'>ab97051</a>) at 1/100000 dilution

Predicted band size: 68 kDa

false

  • Unconjugated

    Anti-TCF-4/TCF7L2+TCF-3/TCF7L1 antibody [EPR24701-87]

Key facts

Host species

Rabbit

Clonality

Monoclonal

Clone number

EPR24701-87

Isotype

IgG

Carrier free

Yes

Reacts with

Mouse, Rat, Human

Applications

WB

applications

Immunogen

The exact immunogen used to generate this antibody is proprietary information.

Reactivity data

{ "title": "Reactivity Data", "filters": { "stats": ["", "Species", "Dilution Info", "Notes"], "tabs": { "all-applications": {"fullname" : "All Applications", "shortname": "All Applications"}, "FlowCytIntra" : {"fullname" : "Flow Cytometry (Intracellular)", "shortname":"Flow Cyt (Intra)"}, "IP" : {"fullname" : "Immunoprecipitation", "shortname":"IP"}, "ChIP" : {"fullname" : "ChIP", "shortname":"ChIP"}, "WB" : {"fullname" : "Western blot", "shortname":"WB"}, "IHCP" : {"fullname" : "Immunohistochemistry (Formalin/PFA-fixed paraffin-embedded sections)", "shortname":"IHC-P"}, "ICCIF" : {"fullname" : "Immunocytochemistry/ Immunofluorescence", "shortname":"ICC/IF"} }, "product-promise": { "all": "all", "testedAndGuaranteed": "tested", "guaranteed": "expected", "predicted": "predicted", "notRecommended": "not-recommended" } }, "values": { "Human": { "FlowCytIntra-species-checked": "notRecommended", "FlowCytIntra-species-dilution-info": "", "FlowCytIntra-species-notes": "<p></p>", "IP-species-checked": "notRecommended", "IP-species-dilution-info": "", "IP-species-notes": "<p></p>", "ChIP-species-checked": "notRecommended", "ChIP-species-dilution-info": "", "ChIP-species-notes": "<p></p>", "WB-species-checked": "testedAndGuaranteed", "WB-species-dilution-info": "", "WB-species-notes": "<p></p>", "IHCP-species-checked": "notRecommended", "IHCP-species-dilution-info": "", "IHCP-species-notes": "<p></p>", "ICCIF-species-checked": "notRecommended", "ICCIF-species-dilution-info": "", "ICCIF-species-notes": "<p></p>" }, "Mouse": { "FlowCytIntra-species-checked": "notRecommended", "FlowCytIntra-species-dilution-info": "", "FlowCytIntra-species-notes": "<p></p>", "IP-species-checked": "notRecommended", "IP-species-dilution-info": "", "IP-species-notes": "<p></p>", "ChIP-species-checked": "notRecommended", "ChIP-species-dilution-info": "", "ChIP-species-notes": "<p></p>", "WB-species-checked": "testedAndGuaranteed", "WB-species-dilution-info": "", "WB-species-notes": "<p></p>", "IHCP-species-checked": "notRecommended", "IHCP-species-dilution-info": "", "IHCP-species-notes": "<p></p>", "ICCIF-species-checked": "notRecommended", "ICCIF-species-dilution-info": "", "ICCIF-species-notes": "<p></p>" }, "Rat": { "FlowCytIntra-species-checked": "notRecommended", "FlowCytIntra-species-dilution-info": "", "FlowCytIntra-species-notes": "<p></p>", "IP-species-checked": "notRecommended", "IP-species-dilution-info": "", "IP-species-notes": "", "ChIP-species-checked": "notRecommended", "ChIP-species-dilution-info": "", "ChIP-species-notes": "", "WB-species-checked": "testedAndGuaranteed", "WB-species-dilution-info": "", "WB-species-notes": "<p></p>", "IHCP-species-checked": "notRecommended", "IHCP-species-dilution-info": "", "IHCP-species-notes": "<p></p>", "ICCIF-species-checked": "notRecommended", "ICCIF-species-dilution-info": "", "ICCIF-species-notes": "" } } }

Product details

ab283718 is the carrier-free version of ab272235.

Patented technology
Our RabMAb® technology is a patented hybridoma-based technology for making rabbit monoclonal antibodies. For details on our patents, please refer to RabMAb® patents.

What are the advantages of a recombinant monoclonal antibody?
This product is a recombinant monoclonal antibody, which offers several advantages including:

  • - High batch-to-batch consistency and reproducibility
  • - Improved sensitivity and specificity
  • - Long-term security of supply
  • - Animal-free batch production

For more information, read more on recombinant antibodies.

Conjugation ready
Our carrier-free antibodies are typically supplied in a PBS-only formulation, purified and free of BSA, sodium azide and glycerol. This conjugation-ready format is designed for use with fluorochromes, metal isotopes, oligonucleotides, and enzymes, which makes them ideal for antibody labelling, functional and cell-based assays, flow-based assays (e.g. mass cytometry) and Multiplex Imaging applications.

Use our conjugation kits for antibody conjugates that are ready-to-use in as little as 20 minutes with 1 minute hands-on-time and 100% antibody recovery: available for fluorescent dyes, HRP, biotin and gold.

Compatibility
This product is compatible with the Maxpar® Antibody Labeling Kit from Fluidigm, without the need for antibody preparation. Maxpar® is a trademark of Fluidigm Canada Inc.

Properties and storage information

Form
Liquid
Purification technique
Affinity purification Protein A
Storage buffer
pH: 7.2 - 7.4 Constituents: PBS
Shipped at conditions
Blue Ice
Appropriate short-term storage conditions
+4°C
Appropriate long-term storage conditions
+4°C

Supplementary information

This supplementary information is collated from multiple sources and compiled automatically.

TCF3 also known as E2A TCF-4/TCF7L2 and TCF-3/TCF7L1 are transcription factors that control gene expression by binding DNA at unique sites. This complex includes proteins that serve as key modulators in gene transcription influenced by the Wnt signaling pathway. TCF3 is approximately 65 kDa while TCF7L2 is about 75 kDa. These proteins express in many tissues including the brain liver and intestine reflecting their fundamental role in numerous cellular functions.
Biological function summary

TCF3 and its related proteins are involved in regulating cell differentiation and proliferation. They interact as part of the Wnt signaling pathway which is critical for embryonic development and tissue homeostasis. These proteins also play roles in maintaining stem cell populations. By forming complexes with other proteins like beta-catenin TCF proteins can activate or repress target gene expression allowing responsive regulation of cellular activity.

Pathways

The TCF proteins function mainly in the Wnt signaling and Notch pathways central to cell fate decisions. In the Wnt signaling pathway TCF proteins especially TCF7L2 interact with beta-catenin to regulate the transcription of Wnt target genes. In the Notch pathway these proteins contribute indirectly by influencing cellular interactions that affect Notch signaling outcomes. Both pathways highlight TCF's importance in developmental and cellular processes.

The TCF proteins have strong associations with cancer and type 2 diabetes. Mutations in the TCF7L2 gene link to an increased risk of type 2 diabetes influencing insulin secretion and glucose metabolism. Furthermore aberrant Wnt/TCF signaling contributes to tumorigenesis and cancer progression with proteins like TCF7L2 acting as potential therapeutic targets. The understanding of these proteins could lead to advances in treatment strategies for these conditions.

Product protocols

For this product, it's our understanding that no specific protocols are required. You can visit:

Target data

Participates in the Wnt signaling pathway and modulates MYC expression by binding to its promoter in a sequence-specific manner. Acts as a repressor in the absence of CTNNB1, and as activator in its presence. Activates transcription from promoters with several copies of the Tcf motif CCTTTGATC in the presence of CTNNB1. TLE1, TLE2, TLE3 and TLE4 repress transactivation mediated by TCF7L2/TCF4 and CTNNB1. Expression of dominant-negative mutants results in cell-cycle arrest in G1 (By similarity). Necessary for the maintenance of the epithelial stem-cell compartment of the small intestine.
See full target information Tcf7l2

Product promise

We are committed to supporting your work with high-quality reagents, and we're here for you every step of the way. In the unlikely event that one of our products does not perform as expected, you're protected by our Product Promise.
For full details, please see our Terms & Conditions

Please note: All products are 'FOR RESEARCH USE ONLY. NOT FOR USE IN DIAGNOSTIC OR THERAPEUTIC PROCEDURES'.

For licensing inquiries, please contact partnerships@abcam.com