JavaScript is disabled in your browser. Please enable JavaScript to view this website.
AB70746

Anti-TCF12 antibody

Be the first to review this product! Submit a review

|

(7 Publications)

Rabbit Polyclonal TCF12 antibody. Suitable for IP, WB, IHC-P and reacts with Human samples. Cited in 7 publications. Immunogen corresponding to Synthetic Peptide within Human TCF12.

View Alternative Names

BHLHB20, HEB, HTF4, TCF12, Transcription factor 12, TCF-12, Class B basic helix-loop-helix protein 20, DNA-binding protein HTF4, E-box-binding protein, Transcription factor HTF-4, bHLHb20

3 Images
Western blot - Anti-TCF12 antibody (AB70746)
  • WB

Unknown

Western blot - Anti-TCF12 antibody (AB70746)

All lanes:

Western blot - Anti-TCF12 antibody (ab70746) at 1/10000 dilution

Lane 1:

HeLa whole cell lysate at 50 µg

Lane 2:

HeLa whole cell lysate at 15 µg

Lane 3:

HeLa whole cell lysate at 5 µg

Predicted band size: 72 kDa

Observed band size: 100 kDa,120 kDa,190 kDa,85 kDa

true

Exposure time: 30s

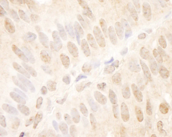
Immunohistochemistry (Formalin/PFA-fixed paraffin-embedded sections) - Anti-TCF12 antibody (AB70746)
  • IHC-P

Unknown

Immunohistochemistry (Formalin/PFA-fixed paraffin-embedded sections) - Anti-TCF12 antibody (AB70746)

Immunohistochemistry (Formalin/PFA-fixed paraffin-embedded sections) analysis of human breast carcinoma tissue labelling TCF12 with ab70746 at 1/1000 (1µg/ml). Detection : DAB.

Immunoprecipitation - Anti-TCF12 antibody (AB70746)
  • IP

Unknown

Immunoprecipitation - Anti-TCF12 antibody (AB70746)

1mg whole cell lysate from HeLa cells was immunprecipitated with ab70746 at 3µg/mg lysate. For the subsequent western blot, 20% of the immunoprecipitate was loaded per lane, and probed with ab707345 at 1ug/ml. Detection : chemiluminescence with exposure time of 10 seconds

All lanes:

Immunoprecipitation - Anti-TCF12 antibody (ab70746)

Predicted band size: 72 kDa

false

Key facts

Host species

Rabbit

Clonality

Polyclonal

Isotype

IgG

Carrier free

No

Reacts with

Human

Applications

IHC-P, IP, WB

applications

Immunogen

Synthetic Peptide within Human TCF12. The exact immunogen used to generate this antibody is proprietary information.

Q99081

Reactivity data

{ "title": "Reactivity Data", "filters": { "stats": ["", "Species", "Dilution Info", "Notes"], "tabs": { "all-applications": {"fullname" : "All Applications", "shortname": "All Applications"}, "IP" : {"fullname" : "Immunoprecipitation", "shortname":"IP"}, "WB" : {"fullname" : "Western blot", "shortname":"WB"}, "IHCP" : {"fullname" : "Immunohistochemistry (Formalin/PFA-fixed paraffin-embedded sections)", "shortname":"IHC-P"} }, "product-promise": { "all": "all", "testedAndGuaranteed": "tested", "guaranteed": "expected", "predicted": "predicted", "notRecommended": "not-recommended" } }, "values": { "Human": { "IP-species-checked": "testedAndGuaranteed", "IP-species-dilution-info": "2-5 µg/mg of lysate", "IP-species-notes": "<p></p>", "WB-species-checked": "testedAndGuaranteed", "WB-species-dilution-info": "1/2000 - 1/10000", "WB-species-notes": "<p></p>", "IHCP-species-checked": "testedAndGuaranteed", "IHCP-species-dilution-info": "1/500 - 1/2000", "IHCP-species-notes": "<p></p>" }, "Mouse": { "IP-species-checked": "predicted", "IP-species-dilution-info": "", "IP-species-notes": "", "WB-species-checked": "predicted", "WB-species-dilution-info": "", "WB-species-notes": "", "IHCP-species-checked": "predicted", "IHCP-species-dilution-info": "", "IHCP-species-notes": "" }, "Rat": { "IP-species-checked": "predicted", "IP-species-dilution-info": "", "IP-species-notes": "", "WB-species-checked": "predicted", "WB-species-dilution-info": "", "WB-species-notes": "", "IHCP-species-checked": "predicted", "IHCP-species-dilution-info": "", "IHCP-species-notes": "" }, "Chimpanzee": { "IP-species-checked": "predicted", "IP-species-dilution-info": "", "IP-species-notes": "", "WB-species-checked": "predicted", "WB-species-dilution-info": "", "WB-species-notes": "", "IHCP-species-checked": "predicted", "IHCP-species-dilution-info": "", "IHCP-species-notes": "" }, "Chinese hamster": { "IP-species-checked": "predicted", "IP-species-dilution-info": "", "IP-species-notes": "", "WB-species-checked": "predicted", "WB-species-dilution-info": "", "WB-species-notes": "", "IHCP-species-checked": "predicted", "IHCP-species-dilution-info": "", "IHCP-species-notes": "" }, "Cow": { "IP-species-checked": "predicted", "IP-species-dilution-info": "", "IP-species-notes": "", "WB-species-checked": "predicted", "WB-species-dilution-info": "", "WB-species-notes": "", "IHCP-species-checked": "predicted", "IHCP-species-dilution-info": "", "IHCP-species-notes": "" }, "Elephant": { "IP-species-checked": "predicted", "IP-species-dilution-info": "", "IP-species-notes": "", "WB-species-checked": "predicted", "WB-species-dilution-info": "", "WB-species-notes": "", "IHCP-species-checked": "predicted", "IHCP-species-dilution-info": "", "IHCP-species-notes": "" }, "Gorilla": { "IP-species-checked": "predicted", "IP-species-dilution-info": "", "IP-species-notes": "", "WB-species-checked": "predicted", "WB-species-dilution-info": "", "WB-species-notes": "", "IHCP-species-checked": "predicted", "IHCP-species-dilution-info": "", "IHCP-species-notes": "" }, "Lizard": { "IP-species-checked": "predicted", "IP-species-dilution-info": "", "IP-species-notes": "", "WB-species-checked": "predicted", "WB-species-dilution-info": "", "WB-species-notes": "", "IHCP-species-checked": "predicted", "IHCP-species-dilution-info": "", "IHCP-species-notes": "" }, "Orangutan": { "IP-species-checked": "predicted", "IP-species-dilution-info": "", "IP-species-notes": "", "WB-species-checked": "predicted", "WB-species-dilution-info": "", "WB-species-notes": "", "IHCP-species-checked": "predicted", "IHCP-species-dilution-info": "", "IHCP-species-notes": "" }, "Rhesus monkey": { "IP-species-checked": "predicted", "IP-species-dilution-info": "", "IP-species-notes": "", "WB-species-checked": "predicted", "WB-species-dilution-info": "", "WB-species-notes": "", "IHCP-species-checked": "predicted", "IHCP-species-dilution-info": "", "IHCP-species-notes": "" } } }

Properties and storage information

Form
Liquid
Purification technique
Affinity purification Immunogen
Storage buffer
pH: 7 - 8 Preservative: 0.09% Sodium azide Constituents: 1.815% Tris, 1.764% Sodium citrate, 0.021% PBS
Shipped at conditions
Blue Ice
Appropriate short-term storage conditions
+4°C
Appropriate long-term storage conditions
-20°C
Aliquoting information
Upon delivery aliquot
Storage information
Avoid freeze / thaw cycle

Supplementary information

This supplementary information is collated from multiple sources and compiled automatically.

TCF12 also known as transcription factor 12 or Heb functions as a basic helix-loop-helix (bHLH) transcription factor. It plays roles in DNA binding and regulation of gene expression. The protein has a molecular mass of approximately 75 kDa. TCF12 expresses in various tissues with notable levels observed in the brain and skeletal muscle. It influences the development and differentiation of different cell types due to its transcriptional regulation activities.
Biological function summary

TCF12 controls the transcription of genes involved in cellular differentiation proliferation and development. It frequently functions as part of heterodimeric complexes with other bHLH proteins such as E2A. These complexes allow TCF12 to regulate a variety of target genes involved in tissue development and cell fate decisions. TCF12's ability to form these complexes enhances its functional diversity and impact on biological processes.

Pathways

The role of TCF12 extends to the Notch signaling pathway where it interacts with proteins like Notch receptors to affect cell fate determination. The protein also participates in the Myogenesis pathway collaborating with MyoD to facilitate the differentiation of myoblasts into mature muscle fibers. These pathways highlight TCF12's involvement in developmental processes and lineage specification.

TCF12 mutations and dysregulation have associations with craniosynostosis a condition characterized by premature fusion of cranial sutures. TCF12 also relates to certain types of cancer due to its regulatory effects on cell proliferation. In these contexts TCF12 may interact with proteins like TWIST1 which also influences developmental and tumorigenic processes highlighting potential therapeutic targets for intervention.

Product protocols

For this product, it's our understanding that no specific protocols are required. You can visit:

Target data

Transcriptional regulator. Involved in the initiation of neuronal differentiation. Activates transcription by binding to the E box (5'-CANNTG-3') (By similarity). May be involved in the functional network that regulates the development of the GnRH axis (PubMed : 32620954).
See full target information TCF12

Publications (7)

Recent publications for all applications. Explore the full list and refine your search

Molecular and cellular biology 44:178-193 PubMed38767243

2024

TCF12 Transcriptionally Activates SPHK1 to Induce Osteosarcoma Angiogenesis by Promoting the S1P/S1PR4/STAT3 Axis.

Applications

Unspecified application

Species

Unspecified reactive species

Wo Li,Jitong Liu,Ting Cai,Xia Hu

American journal of translational research 13:12588-12600 PubMed34956475

2021

LncRNA MIAT promotes the proliferation, migration, and invasion of melanoma cells through recruiting TCF12 and activating NFAT5.

Applications

Unspecified application

Species

Unspecified reactive species

Fei Lu,Ying Song,Shuo Cui,Huafei Zhao,Yuhua Chen,Hao Du

Neuropsychiatric disease and treatment 17:681-693 PubMed33664574

2021

P53/miR-154 Pathway Regulates the Epithelial-Mesenchymal Transition in Glioblastoma Multiforme Cells by Targeting TCF12.

Applications

Unspecified application

Species

Unspecified reactive species

Gang Zhu,Shirong Yang,Ronglin Wang,Jie Lei,Peigang Ji,Jiancai Wang,Kai Tao,Chen Yang,Shunnan Ge,Liang Wang

Cancer cell international 21:27 PubMed33413401

2021

CircRNA PIP5K1A promotes the progression of glioma through upregulation of the TCF12/PI3K/AKT pathway by sponging miR-515-5p.

Applications

Unspecified application

Species

Unspecified reactive species

Kebin Zheng,Haipeng Xie,Wensong Wu,Xichao Wen,Zhaomu Zeng,Yanfang Shi

Journal of leukocyte biology 108:519-529 PubMed32696503

2020

The mechanism of Chinese herbal formula HQT in the treatment of rheumatoid arthritis is related to its regulation of lncRNA uc.477 and miR-19b.

Applications

Unspecified application

Species

Unspecified reactive species

Maojie Wang,Liyan Mei,Zehao Liu,Xuan Tang,Xiaodong Wu,Xiumin Chen,Yue Zhao,Qingchun Huang,Runyue Huang

The Prostate 80:1145-1156 PubMed32659025

2020

CXCL12γ induces human prostate and mammary gland development.

Applications

Unspecified application

Species

Unspecified reactive species

Younghun Jung,Jin Koo Kim,Eunsohl Lee,Frank C Cackowski,Ann M Decker,Paul H Krebsbach,Russell S Taichman

The Journal of clinical endocrinology and metabolism 105: PubMed32119078

2020

Interleukin-6 (IL-6) Activates the NOTCH1 Signaling Pathway Through E-Proteins in Endometriotic Lesions.

Applications

Unspecified application

Species

Unspecified reactive species

Yong Song,Ren-Wei Su,Niraj R Joshi,Tae Hoon Kim,Bruce A Lessey,Jae-Wook Jeong,Asgerally T Fazleabas
View all publications

Product promise

We are committed to supporting your work with high-quality reagents, and we're here for you every step of the way. In the unlikely event that one of our products does not perform as expected, you're protected by our Product Promise.
For full details, please see our Terms & Conditions

Please note: All products are 'FOR RESEARCH USE ONLY. NOT FOR USE IN DIAGNOSTIC OR THERAPEUTIC PROCEDURES'.

For licensing inquiries, please contact partnerships@abcam.com