JavaScript is disabled in your browser. Please enable JavaScript to view this website.
AB252255

Anti-TCF3 / E2A antibody [7H3] - BSA and Azide free

Be the first to review this product! Submit a review

|

(0 Publication)

Rat Recombinant Monoclonal TCF3 / E2A antibody. Carrier free. Suitable for WB, IHC-P and reacts with Mouse, Rat samples.

View Alternative Names

Alf2, Me2, Tcfe2a, Tcf3, Transcription factor E2-alpha, Immunoglobulin enhancer-binding factor E12/E47, Transcription factor 3, Transcription factor A1, TCF-3

3 Images
Immunohistochemistry (Formalin/PFA-fixed paraffin-embedded sections) - Anti-TCF3 / E2A antibody [7H3] - BSA and Azide free (AB252255)
  • IHC-P

Supplier Data

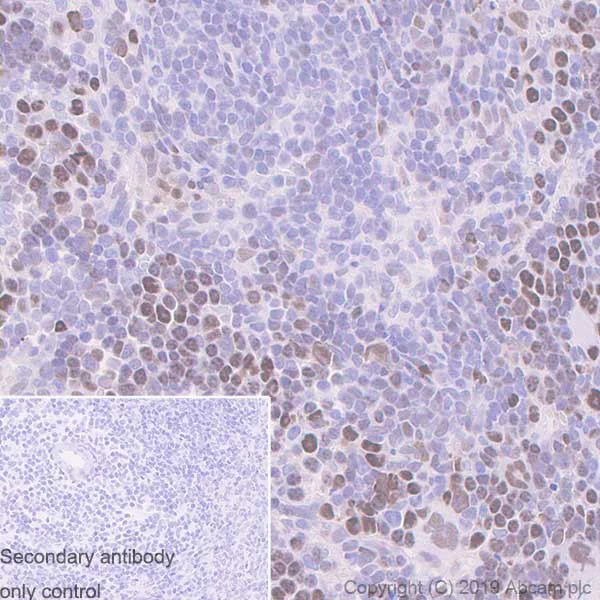
Immunohistochemistry (Formalin/PFA-fixed paraffin-embedded sections) - Anti-TCF3 / E2A antibody [7H3] - BSA and Azide free (AB252255)

Immunohistochemical analysis of paraffin-embedded mouse spleen tissue labeling TCF3 / E2A with ab243152 at 5.37μg/ml, followed by ready to use Goat Anti-Rat IgG H&L (HRP polymer) (ab214882). Nuclear staining on mouse spleen tissue is observed. Counterstained with hematoxylin.
Secondary antibody only control : Used PBS instead of primary antibody, followed by ready to use Goat Anti-Rat IgG H&L (HRP polymer) (ab214882).
Heat mediated antigen retrieval using ab93684 (Tris/EDTA buffer, pH 9.0).

This image was produced using the same antibody clone but in a different formulation containing PBS, sodium azide, glycerol and BSA (ab243152).

Immunohistochemistry (Formalin/PFA-fixed paraffin-embedded sections) - Anti-TCF3 / E2A antibody [7H3] - BSA and Azide free (AB252255)
  • IHC-P

Supplier Data

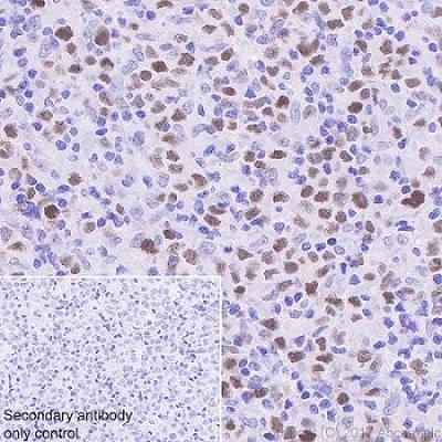
Immunohistochemistry (Formalin/PFA-fixed paraffin-embedded sections) - Anti-TCF3 / E2A antibody [7H3] - BSA and Azide free (AB252255)

Immunohistochemical analysis of paraffin-embedded rat spleen tissue labeling TCF3 / E2A with ab243152 at 5.37μg/ml, followed by ready to use Goat Anti-Rat IgG H&L (HRP polymer) (ab214882). Nuclear staining on rat spleen tissue is observed. Counterstained with hematoxylin.
Secondary antibody only control : Used PBS instead of primary antibody, followed by ready to use Goat Anti-Rat IgG H&L (HRP polymer) (ab214882).
Heat mediated antigen retrieval using ab93684 (Tris/EDTA buffer, pH 9.0).

This image was produced using the same antibody clone but in a different formulation containing PBS, sodium azide, glycerol and BSA (ab243152).

Western blot - Anti-TCF3 / E2A antibody [7H3] - BSA and Azide free (AB252255)
  • WB

Supplier Data

Western blot - Anti-TCF3 / E2A antibody [7H3] - BSA and Azide free (AB252255)

Exposure times : Lane 1 : 3 minutes; Lane 2 : 10 seconds.

Blocking/Dilution buffer : 5% NFDM/TBST.

This image was produced using the same antibody clone but in a different formulation containing PBS, sodium azide, glycerol and BSA (ab243152).

All lanes:

Western blot - Anti-TCF3 / E2A antibody [7H3] (<a href='/en-us/products/primary-antibodies/tcf3-e2a-antibody-7h3-ab243152'>ab243152</a>) at 0.537 µg/mL

Lane 1:

C2C12 (mouse myoblasts myoblast), whole cell lysate at 20 µg

Lane 2:

WEHI-231 (mouse B cell lymphoma B lymphocyte), whole cell lysate at 20 µg

Secondary

All lanes:

Western blot - Goat Anti-Rat IgG H&L (HRP) (<a href='/en-us/products/secondary-antibodies/goat-rat-igg-h-l-hrp-ab205720'>ab205720</a>) at 1/5000 dilution

Predicted band size: 67 kDa

Observed band size: 67 kDa

false

Key facts

Host species

Rat

Clonality

Monoclonal

Clone number

7H3

Isotype

IgG2b

Carrier free

Yes

Reacts with

Mouse, Rat

Applications

WB, IHC-P

applications

Immunogen

The exact immunogen used to generate this antibody is proprietary information.

Reactivity data

{ "title": "Reactivity Data", "filters": { "stats": ["", "Species", "Dilution Info", "Notes"], "tabs": { "all-applications": {"fullname" : "All Applications", "shortname": "All Applications"}, "WB" : {"fullname" : "Western blot", "shortname":"WB"}, "IHCP" : {"fullname" : "Immunohistochemistry (Formalin/PFA-fixed paraffin-embedded sections)", "shortname":"IHC-P"} }, "product-promise": { "all": "all", "testedAndGuaranteed": "tested", "guaranteed": "expected", "predicted": "predicted", "notRecommended": "not-recommended" } }, "values": { "Mouse": { "WB-species-checked": "testedAndGuaranteed", "WB-species-dilution-info": "0.537 µg/mL", "WB-species-notes": "<p></p>", "IHCP-species-checked": "testedAndGuaranteed", "IHCP-species-dilution-info": "5.37 µg/mL", "IHCP-species-notes": "<p></p>" }, "Rat": { "WB-species-checked": "guaranteed", "WB-species-dilution-info": "", "WB-species-notes": "", "IHCP-species-checked": "testedAndGuaranteed", "IHCP-species-dilution-info": "5.37 µg/mL", "IHCP-species-notes": "<p></p>" } } }

Product details

ab252255 is the carrier-free version of ab243152.

What are the advantages of a recombinant monoclonal antibody?
This product is a recombinant monoclonal antibody, which offers several advantages including:

  • - High batch-to-batch consistency and reproducibility
  • - Improved sensitivity and specificity
  • - Long-term security of supply
  • - Animal-free batch production

For more information, read more on recombinant antibodies.

Want a custom formulation?
This antibody clone is manufactured by Abcam. If you require a custom buffer formulation or conjugation for your experiments, please contact orders@abcam.com

Conjugation ready
Our carrier-free antibodies are typically supplied in a PBS-only formulation, purified and free of BSA, sodium azide and glycerol. This conjugation-ready format is designed for use with fluorochromes, metal isotopes, oligonucleotides, and enzymes, which makes them ideal for antibody labelling, functional and cell-based assays, flow-based assays (e.g. mass cytometry) and Multiplex Imaging applications.

Use our conjugation kits for antibody conjugates that are ready-to-use in as little as 20 minutes with 1 minute hands-on-time and 100% antibody recovery: available for fluorescent dyes, HRP, biotin and gold.

Compatibility
This product is compatible with the Maxpar® Antibody Labeling Kit from Fluidigm, without the need for antibody preparation. Maxpar® is a trademark of Fluidigm Canada Inc.

Properties and storage information

Form
Liquid
Purification technique
Affinity purification Protein A
Storage buffer
pH: 7.2 - 7.4 Constituents: PBS
Shipped at conditions
Blue Ice
Appropriate short-term storage conditions
+4°C
Appropriate long-term storage conditions
+4°C
Storage information
Do Not Freeze

Supplementary information

This supplementary information is collated from multiple sources and compiled automatically.

The TCF3 protein also commonly known as E2A functions mechanistically as a transcription factor involved in the regulation of gene expression. It plays an important role in the initiation of transcription by binding to E-box sequences on DNA impacting the transcription of various target genes. The E2A protein has a molecular mass of approximately 68 kDa. You can find E2A expression in multiple tissues particularly within the lymphoid tissues where it is critical for lymphocyte development and function.
Biological function summary

TCF3/E2A is essential for proper cellular development and differentiation. It functions as part of a larger transcription complex and partners often with other transcription factors like HEB or E47. These interactions allow E2A to regulate diverse biological processes including B cell lineage commitment and neuronal development. The ability to influence these processes highlights E2A’s role in managing cellular fate and developmental outcomes.

Pathways

E2A participates actively in the Notch signaling and B-cell receptor signaling pathways. In the context of Notch signaling E2A interacts with proteins like NOTCH1 and RBPJ to influence cell lineage decisions. Meanwhile in the B-cell receptor signaling pathway E2A works closely with proteins such as PAX5 and EBF1 playing a part in B-lymphocyte proliferation and maturation. These pathways underline E2A's significant role in immune cell regulation and function.

E2A's activity holds importance in the context of lymphoblastic leukemia and neurodevelopmental disorders. Chromosomal translocations involving E2A such as the t(1;19) translocation associate with the development of acute lymphoblastic leukemia. These genetic changes can result in aberrant fusion proteins that disturb normal transcriptional regulation. E2A’s link to neurodevelopmental disorders emerges when its regulation becomes disrupted often involving proteins like NEUROD1 which partners with E2A in neural differentiation. This connection emphasizes E2A’s role in maintaining normal cellular and tissue functions.

Product protocols

For this product, it's our understanding that no specific protocols are required. You can visit:

Target data

Transcriptional regulator involved in the initiation of neuronal differentiation and mesenchymal to epithelial transition (PubMed : 15226298, PubMed : 18214987). Heterodimers between TCF3 and tissue-specific basic helix-loop-helix (bHLH) proteins play major roles in determining tissue-specific cell fate during embryogenesis, like muscle or early B-cell differentiation (PubMed : 18214987). Together with TCF15, required for the mesenchymal to epithelial transition (PubMed : 11309385, PubMed : 15226298). Dimers bind DNA on E-box motifs : 5'-CANNTG-3' (PubMed : 15226298, PubMed : 18214987, PubMed : 30426815). Binds to the kappa-E2 site in the kappa immunoglobulin gene enhancer (By similarity). Binds to IEB1 and IEB2, which are short DNA sequences in the insulin gene transcription control region (PubMed : 2181401).. Isoform E47. Facilitates ATOH7 binding to DNA at the consensus sequence 5'-CAGGTG-3', and positively regulates transcriptional activity.
See full target information Tcf3

Product promise

We are committed to supporting your work with high-quality reagents, and we're here for you every step of the way. In the unlikely event that one of our products does not perform as expected, you're protected by our Product Promise.
For full details, please see our Terms & Conditions

Please note: All products are 'FOR RESEARCH USE ONLY. NOT FOR USE IN DIAGNOSTIC OR THERAPEUTIC PROCEDURES'.

For licensing inquiries, please contact partnerships@abcam.com