JavaScript is disabled in your browser. Please enable JavaScript to view this website.
AB228699

Anti-TCF3 / E2A antibody

Be the first to review this product! Submit a review

|

(4 Publications)

Rabbit Polyclonal TCF3 / E2A antibody. Suitable for ICC/IF, IHC-P, IP, WB and reacts with Human, Rat, Mouse samples. Cited in 4 publications. Immunogen corresponding to Recombinant Fragment Protein within Human TCF3.

View Alternative Names

BHLHB21, E2A, ITF1, TCF3, Transcription factor E2-alpha, Class B basic helix-loop-helix protein 21, Immunoglobulin enhancer-binding factor E12/E47, Immunoglobulin transcription factor 1, Kappa-E2-binding factor, Transcription factor 3, Transcription factor ITF-1, bHLHb21, TCF-3

5 Images
Immunocytochemistry/ Immunofluorescence - Anti-TCF3 / E2A antibody (AB228699)
  • ICC/IF

Supplier Data

Immunocytochemistry/ Immunofluorescence - Anti-TCF3 / E2A antibody (AB228699)

Immunofluorescence analysis of HeLa cells fixed in 4% paraformaldehyde at RT for 15 min labelling TCF3 protein at cytoplasm and nucleus using ab228699 at a 1/600 dilution (Green).
DAPI was used for nuclear staining (Blue).

Immunoprecipitation - Anti-TCF3 / E2A antibody (AB228699)
  • IP

Supplier Data

Immunoprecipitation - Anti-TCF3 / E2A antibody (AB228699)

TCF3 / E2A was immunoprecipitated from Jurkat (human T cell leukemia cell line from peripheral blood) whole cell extract with 4 μg ab228699. Western blot was performed from the immunoprecipitate using ab228699 at 1/1000 dilution.

Lane 1 : Jurkat whole cell extract 35 μg (Input).

Lane 2 : Control IgG IP in Jurkat whole cell extract.

Lane 3 : ab228699 IP in Jurkat whole cell extract.

7.5% SDS-PAGE

All lanes:

Immunoprecipitation - Anti-TCF3 / E2A antibody (ab228699)

Predicted band size: 67 kDa

true

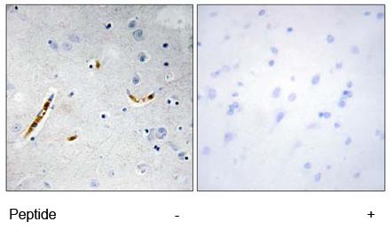
Immunohistochemistry (Formalin/PFA-fixed paraffin-embedded sections) - Anti-TCF3 / E2A antibody (AB228699)
  • IHC-P

Supplier Data

Immunohistochemistry (Formalin/PFA-fixed paraffin-embedded sections) - Anti-TCF3 / E2A antibody (AB228699)

Immunohistochemical analysis of paraffin-embedded rat brain tissue stained for TCF3 protein at cytoplasm and nucleus with ab228699 at a 1/500 dilution.

Antigen retrieval : Citrate buffer, pH 6.0, 15 min.

Western blot - Anti-TCF3 / E2A antibody (AB228699)
  • WB

Supplier Data

Western blot - Anti-TCF3 / E2A antibody (AB228699)

7.5% SDS-PAGE

All lanes:

Western blot - Anti-TCF3 / E2A antibody (ab228699) at 1/2000 dilution

All lanes:

BCL-1 (mouse lymphoma cell line) whole cell lysate at 30 µg

Predicted band size: 67 kDa

true

Western blot - Anti-TCF3 / E2A antibody (AB228699)
  • WB

Supplier Data

Western blot - Anti-TCF3 / E2A antibody (AB228699)

Samples were separated by 7.5% SDS-PAGE. The signal was developed with Trident ECL plus-Enhanced.

All lanes:

Western blot - Anti-TCF3 / E2A antibody (ab228699) at 1/5000 dilution

Lane 1:

Jurkat whole cell extracts at 30 µg

Lane 2:

Raji whole cell extracts at 30 µg

Lane 3:

NCI-H929 whole cell extracts at 30 µg

Secondary

All lanes:

HRP-conjugated anti-rabbit IgG antibody

Predicted band size: 68 kDa

true

Key facts

Host species

Rabbit

Clonality

Polyclonal

Isotype

IgG

Carrier free

No

Reacts with

Mouse, Human, Rat

Applications

IP, IHC-P, ICC/IF, WB

applications

Immunogen

Recombinant Fragment Protein within Human TCF3. The exact immunogen used to generate this antibody is proprietary information.

P15923

Reactivity data

{ "title": "Reactivity Data", "filters": { "stats": ["", "Species", "Dilution Info", "Notes"], "tabs": { "all-applications": {"fullname" : "All Applications", "shortname": "All Applications"}, "ICCIF" : {"fullname" : "Immunocytochemistry/ Immunofluorescence", "shortname":"ICC/IF"}, "IHCP" : {"fullname" : "Immunohistochemistry (Formalin/PFA-fixed paraffin-embedded sections)", "shortname":"IHC-P"}, "IP" : {"fullname" : "Immunoprecipitation", "shortname":"IP"}, "WB" : {"fullname" : "Western blot", "shortname":"WB"} }, "product-promise": { "all": "all", "testedAndGuaranteed": "tested", "guaranteed": "expected", "predicted": "predicted", "notRecommended": "not-recommended" } }, "values": { "Human": { "ICCIF-species-checked": "testedAndGuaranteed", "ICCIF-species-dilution-info": "", "ICCIF-species-notes": "<p></p>", "IHCP-species-checked": "guaranteed", "IHCP-species-dilution-info": "", "IHCP-species-notes": "", "IP-species-checked": "testedAndGuaranteed", "IP-species-dilution-info": "1/100 - 1/500", "IP-species-notes": "<p></p>", "WB-species-checked": "testedAndGuaranteed", "WB-species-dilution-info": "1/1000 - 1/10000", "WB-species-notes": "<p></p>" }, "Mouse": { "ICCIF-species-checked": "guaranteed", "ICCIF-species-dilution-info": "", "ICCIF-species-notes": "", "IHCP-species-checked": "guaranteed", "IHCP-species-dilution-info": "", "IHCP-species-notes": "", "IP-species-checked": "guaranteed", "IP-species-dilution-info": "", "IP-species-notes": "", "WB-species-checked": "testedAndGuaranteed", "WB-species-dilution-info": "1/1000 - 1/10000", "WB-species-notes": "<p></p>" }, "Rat": { "ICCIF-species-checked": "guaranteed", "ICCIF-species-dilution-info": "", "ICCIF-species-notes": "", "IHCP-species-checked": "testedAndGuaranteed", "IHCP-species-dilution-info": "", "IHCP-species-notes": "<p></p>", "IP-species-checked": "guaranteed", "IP-species-dilution-info": "", "IP-species-notes": "", "WB-species-checked": "guaranteed", "WB-species-dilution-info": "", "WB-species-notes": "" } } }

Properties and storage information

Form
Liquid
Purification technique
Affinity purification Immunogen
Storage buffer
pH: 7 Preservative: 0.01% Thimerosal (merthiolate) Constituents: PBS, 20% Glycerol (glycerin, glycerine)
Shipped at conditions
Blue Ice
Appropriate short-term storage duration
1-2 weeks
Appropriate short-term storage conditions
+4°C
Appropriate long-term storage conditions
-20°C
Aliquoting information
Upon delivery aliquot
Storage information
Avoid freeze / thaw cycle

Supplementary information

This supplementary information is collated from multiple sources and compiled automatically.

The TCF3 protein also commonly known as E2A functions mechanistically as a transcription factor involved in the regulation of gene expression. It plays an important role in the initiation of transcription by binding to E-box sequences on DNA impacting the transcription of various target genes. The E2A protein has a molecular mass of approximately 68 kDa. You can find E2A expression in multiple tissues particularly within the lymphoid tissues where it is critical for lymphocyte development and function.
Biological function summary

TCF3/E2A is essential for proper cellular development and differentiation. It functions as part of a larger transcription complex and partners often with other transcription factors like HEB or E47. These interactions allow E2A to regulate diverse biological processes including B cell lineage commitment and neuronal development. The ability to influence these processes highlights E2A’s role in managing cellular fate and developmental outcomes.

Pathways

E2A participates actively in the Notch signaling and B-cell receptor signaling pathways. In the context of Notch signaling E2A interacts with proteins like NOTCH1 and RBPJ to influence cell lineage decisions. Meanwhile in the B-cell receptor signaling pathway E2A works closely with proteins such as PAX5 and EBF1 playing a part in B-lymphocyte proliferation and maturation. These pathways underline E2A's significant role in immune cell regulation and function.

E2A's activity holds importance in the context of lymphoblastic leukemia and neurodevelopmental disorders. Chromosomal translocations involving E2A such as the t(1;19) translocation associate with the development of acute lymphoblastic leukemia. These genetic changes can result in aberrant fusion proteins that disturb normal transcriptional regulation. E2A’s link to neurodevelopmental disorders emerges when its regulation becomes disrupted often involving proteins like NEUROD1 which partners with E2A in neural differentiation. This connection emphasizes E2A’s role in maintaining normal cellular and tissue functions.

Product protocols

For this product, it's our understanding that no specific protocols are required. You can visit:

Target data

Transcriptional regulator involved in the initiation of neuronal differentiation and mesenchymal to epithelial transition (By similarity). Heterodimers between TCF3 and tissue-specific basic helix-loop-helix (bHLH) proteins play major roles in determining tissue-specific cell fate during embryogenesis, like muscle or early B-cell differentiation (By similarity). Together with TCF15, required for the mesenchymal to epithelial transition (By similarity). Dimers bind DNA on E-box motifs : 5'-CANNTG-3' (By similarity). Binds to the kappa-E2 site in the kappa immunoglobulin gene enhancer (PubMed : 2493990). Binds to IEB1 and IEB2, which are short DNA sequences in the insulin gene transcription control region (By similarity).. Isoform E47. Facilitates ATOH7 binding to DNA at the consensus sequence 5'-CAGGTG-3', and positively regulates transcriptional activity.
See full target information TCF3

Publications (4)

Recent publications for all applications. Explore the full list and refine your search

Chinese medical journal 137:431-440 PubMed37690994

2023

A genetic variant in the immune-related gene ERAP1 affects colorectal cancer prognosis.

Applications

Unspecified application

Species

Unspecified reactive species

Danyi Zou,Yimin Cai,Meng Jin,Ming Zhang,Yizhuo Liu,Shuoni Chen,Shuhui Yang,Heng Zhang,Xu Zhu,Chaoqun Huang,Ying Zhu,Xiaoping Miao,Yongchang Wei,Xiaojun Yang,Jianbo Tian

Nature immunology 24:1458-1472 PubMed37563311

2023

Runx factors launch T cell and innate lymphoid programs via direct and gene network-based mechanisms.

Applications

Unspecified application

Species

Unspecified reactive species

Boyoung Shin,Wen Zhou,Jue Wang,Fan Gao,Ellen V Rothenberg

International journal of biological sciences 19:3324-3340 PubMed37497010

2023

SMURF2 facilitates ubiquitin-mediated degradation of ID2 to attenuate lung cancer cell proliferation.

Applications

Unspecified application

Species

Unspecified reactive species

Mingwei Han,Yixiao Guo,Yiming Li,Qingmei Zeng,Wanwan Zhu,Jianli Jiang

Journal of clinical and translational hepatology 11:97-109 PubMed36406327

2022

MALAT1-mediated EZH2 Recruitment to the GFER Promoter Region Curbs Normal Hepatocyte Proliferation in Acute Liver Injury.

Applications

Unspecified application

Species

Unspecified reactive species

Li Chen,Xintong Kang,Xiujuan Meng,Liang Huang,Yiting Du,Yilan Zeng,Chunfeng Liao
View all publications

Product promise

We are committed to supporting your work with high-quality reagents, and we're here for you every step of the way. In the unlikely event that one of our products does not perform as expected, you're protected by our Product Promise.
For full details, please see our Terms & Conditions

Please note: All products are 'FOR RESEARCH USE ONLY. NOT FOR USE IN DIAGNOSTIC OR THERAPEUTIC PROCEDURES'.

For licensing inquiries, please contact partnerships@abcam.com