JavaScript is disabled in your browser. Please enable JavaScript to view this website.
AB315392

Anti-TCF7 antibody [EPR28579-5]

  • BOND RX™ Validated
  • 20ul selling size
  • Recombinant
  • Advanced Validation
  • RabMAb
  • What is this?

Be the first to review this product! Submit a review

|

(0 Publication)

Rabbit Recombinant Monoclonal TCF7 antibody. Suitable for WB, IP, IHC-P, ICC/IF, mIHC, Flow Cyt (Intra) and reacts with Human samples.

View Alternative Names

TCF1, TCF7, Transcription factor 7, TCF-7, T-cell-specific transcription factor 1, T-cell factor 1, TCF-1

10 Images
Immunohistochemistry (Formalin/PFA-fixed paraffin-embedded sections) - Anti-TCF7 antibody [EPR28579-5] (AB315392)
  • IHC-P

Supplier Data

Immunohistochemistry (Formalin/PFA-fixed paraffin-embedded sections) - Anti-TCF7 antibody [EPR28579-5] (AB315392)

Immunohistochemical analysis of paraffin-embedded Human lung tissue labeling TCF7 with ab315392 at 1/2000 (0.245 ug/ml) dilution, followed by a ready to use LeicaDS9800 (Bond™ Polymer Refine Detection).

Negative control : no staining on human lung. The section was incubated with ab315392 for 30 mins at room temperature. The immunostaining was performed on a Leica Biosystems BOND® RX instrument. Counterstained with Hematoxylin.

Secondary antibody only control : Secondary antibody is a ready to use LeicaDS9800 (Bond™ Polymer Refine Detection).

Heat mediated antigen retrieval was performed with Tris-EDTA buffer (pH 9.0, Epitope Retrieval Solution2) for 20 mins.

Immunohistochemistry (Formalin/PFA-fixed paraffin-embedded sections) - Anti-TCF7 antibody [EPR28579-5] (AB315392)
  • IHC-P

Supplier Data

Immunohistochemistry (Formalin/PFA-fixed paraffin-embedded sections) - Anti-TCF7 antibody [EPR28579-5] (AB315392)

Immunohistochemical analysis of paraffin-embedded Human skeletal muscle tissue labeling TCF7 with ab315392 at 1/2000 (0.245 ug/ml) dilution, followed by a ready to use LeicaDS9800 (Bond™ Polymer Refine Detection).

Negative control : no staining on human skeletal muscle. The section was incubated with ab315392 for 30 mins at room temperature. The immunostaining was performed on a Leica Biosystems BOND® RX instrument. Counterstained with Hematoxylin.

Secondary antibody only control : Secondary antibody is a ready to use LeicaDS9800 (Bond™ Polymer Refine Detection).

Heat mediated antigen retrieval was performed with Tris-EDTA buffer (pH 9.0, Epitope Retrieval Solution2) for 20 mins.

Immunohistochemistry (Formalin/PFA-fixed paraffin-embedded sections) - Anti-TCF7 antibody [EPR28579-5] (AB315392)
  • IHC-P

Supplier Data

Immunohistochemistry (Formalin/PFA-fixed paraffin-embedded sections) - Anti-TCF7 antibody [EPR28579-5] (AB315392)

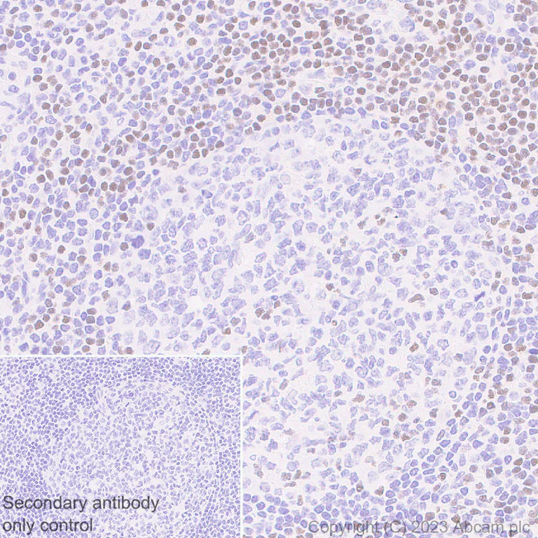
Immunohistochemical analysis of paraffin-embedded Human Hodgkin's Lymphoma tissue labeling TCF7 with ab315392 at 1/2000 (0.245 ug/ml) dilution, followed by a ready to use LeicaDS9800 (Bond™ Polymer Refine Detection).

Positive staining on human Hodgkin's Lymphoma. The section was incubated with ab315392 for 30 mins at room temperature. The immunostaining was performed on a Leica Biosystems BOND® RX instrument. Counterstained with Hematoxylin.

Secondary antibody only control : Secondary antibody is a ready to use LeicaDS9800 (Bond™ Polymer Refine Detection).

Heat mediated antigen retrieval was performed with Tris-EDTA buffer (pH 9.0, Epitope Retrieval Solution2) for 20 mins.

Immunohistochemistry (Formalin/PFA-fixed paraffin-embedded sections) - Anti-TCF7 antibody [EPR28579-5] (AB315392)
  • IHC-P

Supplier Data

Immunohistochemistry (Formalin/PFA-fixed paraffin-embedded sections) - Anti-TCF7 antibody [EPR28579-5] (AB315392)

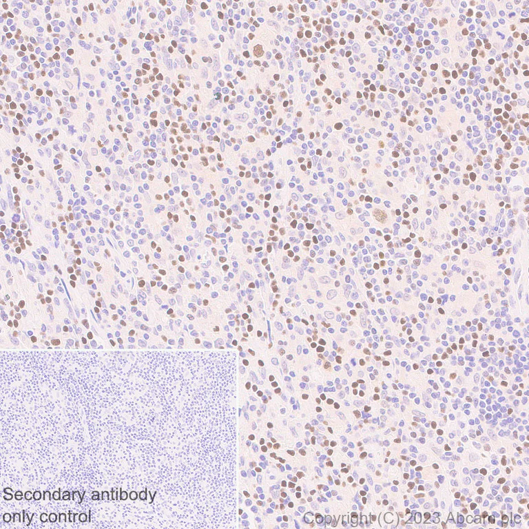
Immunohistochemical analysis of paraffin-embedded Human tonsil tissue labeling TCF7 with ab315392 at 1/2000 (0.245 ug/ml) dilution, followed by a ready to use LeicaDS9800 (Bond™ Polymer Refine Detection).

Positive staining on human tonsil (PMID : 12707037). The section was incubated with ab315392 for 30 mins at room temperature. The immunostaining was performed on a Leica Biosystems BOND® RX instrument. Counterstained with Hematoxylin.

Secondary antibody only control : Secondary antibody is a ready to use LeicaDS9800 (Bond™ Polymer Refine Detection).

Heat mediated antigen retrieval was performed with Tris-EDTA buffer (pH 9.0, Epitope Retrieval Solution2) for 20 mins.

Multiplex immunohistochemistry - Anti-TCF7 antibody [EPR28579-5] (AB315392)
  • mIHC

Supplier Data

Multiplex immunohistochemistry - Anti-TCF7 antibody [EPR28579-5] (AB315392)

Multiplex immunohistochemistry analysis of formalin/PFA-fixed paraffin-embedded human tonsil tissue staining TCF7 with ab315392 at a 1 : 2000 (0.26 ug/ml) dilution, ab237707 anti-CD3E used at 1 : 500 (1.01 ug/ml) dilution and ab237772 anti-CD19 used at a 1 : 5000 (0.21 ug/ml) dilution.

Panel A : merged staining of anti-TCF7 (magenta; Opal™690), anti-CD3E (green; Opal™520) and anti-CD19 (red; Opal™570) on human tonsil.
Panel B : anti-TCF7 staining T lymphocytes of human tonsil.
Panel C : anti-CD3E staining T lymphocytes of human tonsil.
Panel D : anti-CD19 staining B lymphocytes of human tonsil.

The section was incubated in three rounds of staining : in the order of ab315392, ab237707, and ab237772 for 30 mins at room temperature. Each round was followed by a separate fluorescent tyramide signal amplification system.

The immunostaining was performed on a Leica Biosystems BOND® RX instrument with an Opal™ 4-color kit. Image acquisition was performed with Leica SP8 confocal microscope.

Nuclear counter stain with DAPI.

Heat mediated antigen retrieval with Tris-EDTA buffer (pH 9.0, epitope retrieval solution2) for 20 mins.

Immunocytochemistry/ Immunofluorescence - Anti-TCF7 antibody [EPR28579-5] (AB315392)
  • ICC/IF

Supplier Data

Immunocytochemistry/ Immunofluorescence - Anti-TCF7 antibody [EPR28579-5] (AB315392)

Immunofluorescent analysis of 80% Methanol-fixed, 0.1% TritonX-100 permeabilized MOLT-4 (human lymphoblastic leukemia T lymphoblast) cells labelling TCF7 with ab315392 at 1/50 (9.8 ug/ml) dilution, followed by ab150081 Goat Anti-Rabbit IgG H&L (Alexa Fluor® 488) preadsorbed antibody at 1/1000 2 ug/ml dilution (Green).

Confocal image showing nuclear staining in MOLT-4 cell line. Low expression : LNCaP (PMID : 25436980). Image was taken with a confocal microscope (Leica-Microsystems, TCS SP8).

ab195889 Anti-alpha Tubulin mouse monoclonal antibody - Microtubule Marker (Alexa Fluor® 594) was used to counterstain tubulin at 1/200 2.5ug/ml dilution (Red). The Nuclear counterstain was DAPI (Blue).

Secondary antibody only control : Secondary antibody is ab150081 Goat Anti-Rabbit IgG H&L (Alexa Fluor® 488) preadsorbed at 1/1000 2 ug/ml dilution.

Flow Cytometry (Intracellular) - Anti-TCF7 antibody [EPR28579-5] (AB315392)
  • Flow Cyt (Intra)

Supplier Data

Flow Cytometry (Intracellular) - Anti-TCF7 antibody [EPR28579-5] (AB315392)

Flow cytometric analysis of 4% paraformaldehyde fixed 90% methanol permeabilized LNCaP (human prostate carcinoma epithelial cell, Left) / MOLT-4 (human lymphoblastic leukemia T lymphoblast, Right) cells labelling TCF7 with ab315392 at 1/500 dilution (0.1 ug)/Red (Red) compared with a Rabbit monoclonal IgG (ab172730) (Black) isotype control and an unlabelled control (cells without incubation with primary antibody and secondary antibody) (Blue).

Goat Anti-Rabbit IgG (Alexa Fluor® 488, ab150081) at 1/5000 dilution was used as the secondary antibody.

Negative control : LNCaP.

Immunoprecipitation - Anti-TCF7 antibody [EPR28579-5] (AB315392)
  • IP

Supplier Data

Immunoprecipitation - Anti-TCF7 antibody [EPR28579-5] (AB315392)

TCF7 was immunoprecipitated from 0.35 mg MOLT-4 (human lymphoblastic leukemia T lymphoblast) whole cell lysate with ab315392 at 1/30 dilution (2ug in 0.35mg lysates). Western blot was performed on the immunoprecipitate using ab315392 at 1/1000 dilution. VeriBlot for IP secondary antibody(HRP)(ab131366) was used at 1/5000 dilution.

Blocking and diluting buffer and concentration : 5% NFDM/TBST.

All lanes:

Immunoprecipitation - Anti-TCF7 antibody [EPR28579-5] (ab315392) at 1/1000 dilution

Lane 1:

MOLT-4 (human lymphoblastic leukemia T lymphoblast) whole cell lysate

Lane 2:

ab315392 at 1/30 IP in MOLT-4 (human lymphoblastic leukemia T lymphoblast) whole cell lysate

Lane 3:

Rabbit monoclonal IgG (<a href='/en-us/products/primary-antibodies/rabbit-igg-monoclonal-epr25a-isotype-control-ab172730'>ab172730</a>) instead of ab315392 in MOLT-4 whole cell lysate

Secondary

All lanes:

Immunoprecipitation - VeriBlot for IP Detection Reagent (HRP) (<a href='/en-us/products/reagents/veriblot-for-ip-detection-reagent-hrp-ab131366'>ab131366</a>) at 1/5000 dilution

false

Exposure time: 32s

Western blot - Anti-TCF7 antibody [EPR28579-5] (AB315392)
  • WB

Supplier Data

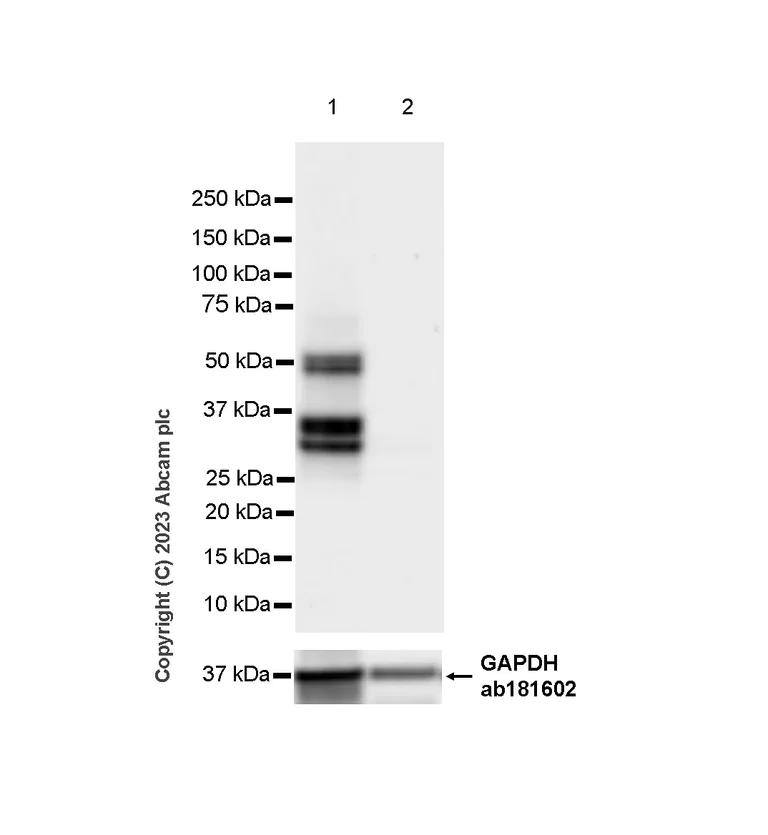
Western blot - Anti-TCF7 antibody [EPR28579-5] (AB315392)

Low expression : LNCaP (PMID25436980).

This antibody should detect all TCF1/TCF7 isoforms, including those lacking the amino-terminal β-catenin binding domain.

In Western blot, Anti-GAPDH antibody [EPR16891] - Loading Control (ab181602) staining at 1/200000 dilution.

Blocking and diluting buffer and concentration : 5% NFDM/TBST.

All lanes:

Western blot - Anti-TCF7 antibody [EPR28579-5] (ab315392) at 1/1000 dilution

Lane 1:

MOLT-4 (human lymphoblastic leukemia T lymphoblast) whole cell lysate at 20 µg

Lane 2:

LNCaP (human prostate carcinoma epithelial cell) whole cell lysate at 20 µg

Secondary

All lanes:

Western blot - Goat Anti-Rabbit IgG H&L (HRP) (<a href='/en-us/products/secondary-antibodies/goat-rabbit-igg-h-l-hrp-ab97051'>ab97051</a>) at 1/100000 dilution

Observed band size: 28-54 kDa,36 kDa

false

Exposure time: 15s

Western blot - Anti-TCF7 antibody [EPR28579-5] (AB315392)
  • WB

Supplier Data

Western blot - Anti-TCF7 antibody [EPR28579-5] (AB315392)

This antibody should detect all TCF1/TCF7 isoforms, including those lacking the amino-terminal β-catenin binding domain.

In Western blot, Anti-GAPDH antibody [EPR16891] - Loading Control (ab181602) staining at 1/200000 dilution.

Blocking and diluting buffer and concentration : 5% NFDM/TBST.

All lanes:

Western blot - Anti-TCF7 antibody [EPR28579-5] (ab315392) at 1/1000 dilution

Lane 1:

Human thymus tissue lysate at 20 µg

Lane 2:

Human tonsil tissue lysate at 20 µg

Secondary

All lanes:

Western blot - Goat Anti-Rabbit IgG H&L (HRP) (<a href='/en-us/products/secondary-antibodies/goat-rabbit-igg-h-l-hrp-ab97051'>ab97051</a>) at 1/100000 dilution

Observed band size: 28-54 kDa,36 kDa

false

Exposure time: 26s

Key facts

Host species

Rabbit

Clonality

Monoclonal

Clone number

EPR28579-5

Isotype

IgG

Carrier free

No

Reacts with

Human

Applications

mIHC, WB, IP, IHC-P, Flow Cyt (Intra), ICC/IF

applications

Immunogen

The exact immunogen used to generate this antibody is proprietary information.

Specificity

This antibody should detect all TCF1/TCF7 isoforms, including those lacking the amino-terminal β-catenin binding domain.

Reactivity data

{ "title": "Reactivity Data", "filters": { "stats": ["", "Species", "Dilution Info", "Notes"], "tabs": { "all-applications": {"fullname" : "All Applications", "shortname": "All Applications"}, "WB" : {"fullname" : "Western blot", "shortname":"WB"}, "IP" : {"fullname" : "Immunoprecipitation", "shortname":"IP"}, "IHCP" : {"fullname" : "Immunohistochemistry (Formalin/PFA-fixed paraffin-embedded sections)", "shortname":"IHC-P"}, "ICCIF" : {"fullname" : "Immunocytochemistry/ Immunofluorescence", "shortname":"ICC/IF"}, "mIHC" : {"fullname" : "Multiplex immunohistochemistry", "shortname":"mIHC"}, "FlowCytIntra" : {"fullname" : "Flow Cytometry (Intracellular)", "shortname":"Flow Cyt (Intra)"} }, "product-promise": { "all": "all", "testedAndGuaranteed": "tested", "guaranteed": "expected", "predicted": "predicted", "notRecommended": "not-recommended" } }, "values": { "Human": { "WB-species-checked": "testedAndGuaranteed", "WB-species-dilution-info": "1/1000", "WB-species-notes": "<p></p>", "IP-species-checked": "testedAndGuaranteed", "IP-species-dilution-info": "1/30", "IP-species-notes": "<p></p>", "IHCP-species-checked": "testedAndGuaranteed", "IHCP-species-dilution-info": "1/2000", "IHCP-species-notes": "<p></p> Perform heat-mediated antigen retrieval with Tris/EDTA buffer pH 9.0 before commencing with IHC staining protocol.", "ICCIF-species-checked": "testedAndGuaranteed", "ICCIF-species-dilution-info": "1/50", "ICCIF-species-notes": "<p></p>", "mIHC-species-checked": "testedAndGuaranteed", "mIHC-species-dilution-info": "1/2000", "mIHC-species-notes": "<p></p> Perform heat-mediated antigen retrieval with Tris/EDTA buffer pH 9.0 before commencing with IHC staining protocol.", "FlowCytIntra-species-checked": "testedAndGuaranteed", "FlowCytIntra-species-dilution-info": "1/500", "FlowCytIntra-species-notes": "<p></p>" }, "Mouse": { "WB-species-checked": "notRecommended", "WB-species-dilution-info": "", "WB-species-notes": "<p></p>", "IP-species-checked": "notRecommended", "IP-species-dilution-info": "", "IP-species-notes": "", "IHCP-species-checked": "notRecommended", "IHCP-species-dilution-info": "", "IHCP-species-notes": "<p></p>", "ICCIF-species-checked": "notRecommended", "ICCIF-species-dilution-info": "", "ICCIF-species-notes": "", "mIHC-species-checked": "notRecommended", "mIHC-species-dilution-info": "", "mIHC-species-notes": "", "FlowCytIntra-species-checked": "notRecommended", "FlowCytIntra-species-dilution-info": "", "FlowCytIntra-species-notes": "" }, "Rat": { "WB-species-checked": "notRecommended", "WB-species-dilution-info": "", "WB-species-notes": "<p></p>", "IP-species-checked": "notRecommended", "IP-species-dilution-info": "", "IP-species-notes": "", "IHCP-species-checked": "notRecommended", "IHCP-species-dilution-info": "", "IHCP-species-notes": "<p></p>", "ICCIF-species-checked": "notRecommended", "ICCIF-species-dilution-info": "", "ICCIF-species-notes": "", "mIHC-species-checked": "notRecommended", "mIHC-species-dilution-info": "", "mIHC-species-notes": "", "FlowCytIntra-species-checked": "notRecommended", "FlowCytIntra-species-dilution-info": "", "FlowCytIntra-species-notes": "" } } }

Product details

Patented technology
Our RabMAb® technology is a patented hybridoma-based technology for making rabbit monoclonal antibodies. For details on our patents, please refer to RabMAb® patents.

What are the advantages of a recombinant monoclonal antibody?
This product is a recombinant monoclonal antibody, which offers several advantages including:

  • - High batch-to-batch consistency and reproducibility
  • - Improved sensitivity and specificity
  • - Long-term security of supply
  • - Animal-free batch production

For more information, read more on recombinant antibodies.

Properties and storage information

Form
Liquid
Purification technique
Affinity purification Protein A
Storage buffer
pH: 7.2 - 7.4 Preservative: 0.01% Sodium azide Constituents: PBS, 40% Glycerol (glycerin, glycerine), 0.05% BSA
Shipped at conditions
Blue Ice
Appropriate short-term storage duration
1-2 weeks
Appropriate short-term storage conditions
+4°C
Appropriate long-term storage conditions
-20°C
Aliquoting information
Upon delivery aliquot
Storage information
Avoid freeze / thaw cycle

Supplementary information

This supplementary information is collated from multiple sources and compiled automatically.

TCF7 also known as TCF1 is a transcription factor belonging to the TCF/LEF family with a molecular mass of approximately 54 kDa. TCF7 plays a significant mechanical role in binding to DNA and regulating gene expression in cell nuclei. It interacts with beta-catenin to control the transcription of target genes. This protein is expressed in various tissues including the thymus and other parts of the immune system as well as the intestines.
Biological function summary

TCF7 regulates cell fate decisions and differentiation specifically in the T-cell lineage. It is part of a protein complex with beta-catenin and acts as a transcriptional activator. TCF7 influences the development and function of T-cells playing a critical role in adaptive immune response. It contributes to the maintenance of stem cell properties in various tissues impacting processes like cell proliferation and survival.

Pathways

TCF7 is a vital component of the Wnt/beta-catenin signaling pathway which is essential for regulating gene expression in various cellular processes. This pathway maintains homeostasis in cell proliferation differentiation and stem cell renewal. Within this signaling network beta-catenin an important mediator partners with TCF7 to modulate target gene transcription. TCF7 also interacts with other proteins such as LEF1 which similarly participates in the transcription regulation vital for cellular development.

TCF7 associates with several pathological conditions including cancers and immunodeficiencies. Abnormal activation of the Wnt/beta-catenin pathway involving TCF7 contributes to the development of colon cancer by promoting unregulated cell division. TCF7 mutations have been linked to immunodeficiency disorders given its critical role in T-cell development. These mutations may disrupt normal T-cell formation leading to impaired immune responses.

Product protocols

For this product, it's our understanding that no specific protocols are required. You can visit:

Target data

Transcriptional activator involved in T-cell lymphocyte differentiation. Necessary for the survival of CD4(+) CD8(+) immature thymocytes. Isoforms lacking the N-terminal CTNNB1 binding domain cannot fulfill this role. Binds to the T-lymphocyte-specific enhancer element (5'-WWCAAAG-3') found in the promoter of the CD3E gene. Represses expression of the T-cell receptor gamma gene in alpha-beta T-cell lineages (By similarity). Required for the development of natural killer receptor-positive lymphoid tissue inducer T-cells (By similarity). TLE1, TLE2, TLE3 and TLE4 repress transactivation mediated by TCF7 and CTNNB1.May also act as feedback transcriptional repressor of CTNNB1 and TCF7L2 target genes.
See full target information TCF7

Product promise

We are committed to supporting your work with high-quality reagents, and we're here for you every step of the way. In the unlikely event that one of our products does not perform as expected, you're protected by our Product Promise.
For full details, please see our Terms & Conditions

Please note: All products are 'FOR RESEARCH USE ONLY. NOT FOR USE IN DIAGNOSTIC OR THERAPEUTIC PROCEDURES'.

For licensing inquiries, please contact partnerships@abcam.com