JavaScript is disabled in your browser. Please enable JavaScript to view this website.
AB188075

Anti-TCFL5 antibody

Be the first to review this product! Submit a review

|

(3 Publications)

Rabbit Polyclonal TCFL5 antibody. Suitable for IHC-P, ICC/IF and reacts with Human samples. Cited in 3 publications. Immunogen corresponding to Recombinant Fragment Protein within Human TCFL5 aa 300-450.

View Alternative Names

CHA, E2BP1, TCFL5, Transcription factor-like 5 protein, Cha transcription factor, HPV-16 E2-binding protein 1, E2BP-1

5 Images
Immunohistochemistry (Formalin/PFA-fixed paraffin-embedded sections) - Anti-TCFL5 antibody (AB188075)
  • IHC-P

Supplier Data

Immunohistochemistry (Formalin/PFA-fixed paraffin-embedded sections) - Anti-TCFL5 antibody (AB188075)

Immunohistochemical analysis of human cerebral cortex tissue labeling TCFL5 in the nucleus of neurons with ab188075 at a 1/500 dilution.

Performed heat mediated antigen retrieval with citrate buffer pH 6 before commencing with IHC staining protocol.

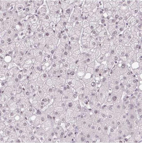
Immunohistochemistry (Formalin/PFA-fixed paraffin-embedded sections) - Anti-TCFL5 antibody (AB188075)
  • IHC-P

Supplier Data

Immunohistochemistry (Formalin/PFA-fixed paraffin-embedded sections) - Anti-TCFL5 antibody (AB188075)

Immunohistochemical analysis of human liver tissue labeling TCFL5 with ab188075 at a 1/500 dilution. No positivity as expected.

Performed heat mediated antigen retrieval with citrate buffer pH 6 before commencing with IHC staining protocol.

Immunocytochemistry/ Immunofluorescence - Anti-TCFL5 antibody (AB188075)
  • ICC/IF

Supplier Data

Immunocytochemistry/ Immunofluorescence - Anti-TCFL5 antibody (AB188075)

Immunocytochemical analysis of HepG2 (Human liver hepatocellular carcinoma cell line) whole cells labeling TCFL5 with ab188075 at 2 μg/ml.

Immunohistochemistry (Formalin/PFA-fixed paraffin-embedded sections) - Anti-TCFL5 antibody (AB188075)
  • IHC-P

Supplier Data

Immunohistochemistry (Formalin/PFA-fixed paraffin-embedded sections) - Anti-TCFL5 antibody (AB188075)

Immunohistochemical analysis of human testis tissue labeling TCFL5 in the nucleus of cells in seminiferous ducts with ab188075 at a 1/500 dilution.

Performed heat mediated antigen retrieval with citrate buffer pH 6 before commencing with IHC staining protocol.

Immunohistochemistry (Formalin/PFA-fixed paraffin-embedded sections) - Anti-TCFL5 antibody (AB188075)
  • IHC-P

Supplier Data

Immunohistochemistry (Formalin/PFA-fixed paraffin-embedded sections) - Anti-TCFL5 antibody (AB188075)

Immunohistochemical analysis of human pancreas tissue labeling TCFL5 with ab188075 at a 1/500 dilution. No positivity as expected.

Performed heat mediated antigen retrieval with citrate buffer pH 6 before commencing with IHC staining protocol.

Key facts

Host species

Rabbit

Clonality

Polyclonal

Isotype

IgG

Carrier free

No

Reacts with

Human

Applications

IHC-P, ICC/IF

applications

Immunogen

Recombinant Fragment Protein within Human TCFL5 aa 300-450. The exact immunogen used to generate this antibody is proprietary information.

Q9UL49

Reactivity data

{ "title": "Reactivity Data", "filters": { "stats": ["", "Species", "Dilution Info", "Notes"], "tabs": { "all-applications": {"fullname" : "All Applications", "shortname": "All Applications"}, "IHCP" : {"fullname" : "Immunohistochemistry (Formalin/PFA-fixed paraffin-embedded sections)", "shortname":"IHC-P"}, "ICCIF" : {"fullname" : "Immunocytochemistry/ Immunofluorescence", "shortname":"ICC/IF"} }, "product-promise": { "all": "all", "testedAndGuaranteed": "tested", "guaranteed": "expected", "predicted": "predicted", "notRecommended": "not-recommended" } }, "values": { "Human": { "IHCP-species-checked": "testedAndGuaranteed", "IHCP-species-dilution-info": "1/1000 - 1/2500", "IHCP-species-notes": "<p></p> Perform heat-mediated antigen retrieval with citrate buffer pH 6 before commencing with IHC staining protocol.", "ICCIF-species-checked": "testedAndGuaranteed", "ICCIF-species-dilution-info": "0.25-2 µg/mL", "ICCIF-species-notes": "<p>Fixation/Permeabilization: PFA/Triton X-100</p>" }, "Rat": { "IHCP-species-checked": "predicted", "IHCP-species-dilution-info": "", "IHCP-species-notes": "", "ICCIF-species-checked": "predicted", "ICCIF-species-dilution-info": "", "ICCIF-species-notes": "" } } }

Properties and storage information

Form
Liquid
Purification technique
Affinity purification Immunogen
Storage buffer
pH: 7.2 Preservative: 0.02% Sodium azide Constituents: PBS, 40% Glycerol (glycerin, glycerine)
Shipped at conditions
Blue Ice
Appropriate short-term storage duration
1-2 weeks
Appropriate short-term storage conditions
+4°C
Appropriate long-term storage conditions
-20°C
Aliquoting information
Upon delivery aliquot
Storage information
Avoid freeze / thaw cycle

Supplementary information

This supplementary information is collated from multiple sources and compiled automatically.

TCFL5 also known as Transcription Factor Like 5 is a protein involved in transcription regulation. It has a molecular mass of approximately 52 kDa. TCFL5 is mainly expressed in testes indicating a significant role in reproductive biology. The protein functions as a sequence-specific DNA-binding factor which helps regulate transcription of specific genes critical for spermatogenesis.
Biological function summary

TCFL5 acts as an important regulator during spermatogenesis influencing the development of male germ cells. The protein is likely involved in a transcription factor complex enabling precise control over the expression of genes needed for germ cell maturation. Proper functioning of TCFL5 is important for healthy sperm production and overall fertility.

Pathways

TCFL5 plays a role in the spermatogenesis pathway. It interacts with other transcription factors and proteins such as SOX and GATA ensuring regulated differentiation of germ cells. This process is part of gametogenesis a broader biological pathway that describes the formation and development of gametes. TCFL5 helps orchestrate the precise timing and expression of genes necessary for this complex biological process.

TCFL5 dysregulation has been linked to certain male infertility problems. Aberrant TCFL5 expression or mutation can disrupt the normal process of spermatogenesis leading to issues such as azoospermia. Researchers also study its interactions with proteins like PIWI which are involved in maintaining germline integrity to better understand the molecular underpinnings of these fertility disorders.

Product protocols

For this product, it's our understanding that no specific protocols are required. You can visit:

Target data

Putative transcription factor. Isoform 3 may play a role in early spermatogenesis.
See full target information TCFL5

Publications (3)

Recent publications for all applications. Explore the full list and refine your search

Cell death & disease 14:134 PubMed36797258

2023

Single cell epigenomic and transcriptomic analysis uncovers potential transcription factors regulating mitotic/meiotic switch.

Applications

Unspecified application

Species

Unspecified reactive species

Fa-Li Zhang,Yan-Qin Feng,Jing-Ya Wang,Ke-Xin Zhu,Lu Wang,Jia-Mao Yan,Xiu-Xiu Li,Jun-Jie Wang,Wei Ge,Massimo De Felici,Wei Shen

Journal of cell science 135: PubMed34931239

2022

Transcription factor-like 5 is a potential DNA- and RNA-binding protein essential for maintaining male fertility in mice.

Applications

Unspecified application

Species

Unspecified reactive species

Weiya Xu,Yiyun Zhang,Dongdong Qin,Yiqian Gui,Shu Wang,Guihua Du,Fan Yang,Lufan Li,Shuiqiao Yuan,Mei Wang,Xin Wu

Experimental dermatology 31:330-340 PubMed34657330

2021

Naked (N) mutant mice carry a nonsense mutation in the homeobox of Hoxc13.

Applications

Unspecified application

Species

Unspecified reactive species

Carlos J Perez,Lars Mecklenburg,Almudena Fernandez,Marta Cantero,Tiago Antonio de Souza,Kevin Lin,Sharon Y R Dent,Lluis Montoliu,Alexander Awgulewitsch,Fernando Benavides
View all publications

Product promise

We are committed to supporting your work with high-quality reagents, and we're here for you every step of the way. In the unlikely event that one of our products does not perform as expected, you're protected by our Product Promise.
For full details, please see our Terms & Conditions

Please note: All products are 'FOR RESEARCH USE ONLY. NOT FOR USE IN DIAGNOSTIC OR THERAPEUTIC PROCEDURES'.

For licensing inquiries, please contact partnerships@abcam.com