JavaScript is disabled in your browser. Please enable JavaScript to view this website.
AB139812

Anti-TCIRG1 antibody

Be the first to review this product! Submit a review

|

(4 Publications)

Rabbit Polyclonal TCIRG1 antibody. Suitable for WB and reacts with Mouse samples. Cited in 4 publications. Immunogen corresponding to Synthetic Peptide within Human TCIRG1.

View Alternative Names

ATP6N1C, ATP6V0A3, TCIRG1, V-type proton ATPase 116 kDa subunit a 3, V-ATPase 116 kDa subunit a 3, Osteoclastic proton pump 116 kDa subunit, T-cell immune regulator 1, T-cell immune response cDNA7 protein, Vacuolar proton translocating ATPase 116 kDa subunit a isoform 3, OC-116 kDa, OC116, TIRC7

1 Images
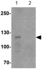
Western blot - Anti-TCIRG1 antibody (AB139812)
  • WB

Unknown

Western blot - Anti-TCIRG1 antibody (AB139812)

All lanes:

Western blot - Anti-TCIRG1 antibody (ab139812) at 0.5 µg/mL

Lane 1:

EL4 cell lysate at 15 µg

Lane 2:

EL4 cell lysate at 15 µg with blocking peptide

Predicted band size: 93 kDa

false

Key facts

Host species

Rabbit

Clonality

Polyclonal

Isotype

IgG

Carrier free

No

Reacts with

Mouse

Applications

WB

applications

Immunogen

Synthetic Peptide within Human TCIRG1. The exact immunogen used to generate this antibody is proprietary information.

Q13488

Specificity

At least two alternatively spliced isoforms are known to exist; ab139812 will only detect the larger isoform.

Reactivity data

{ "title": "Reactivity Data", "filters": { "stats": ["", "Species", "Dilution Info", "Notes"], "tabs": { "all-applications": {"fullname" : "All Applications", "shortname": "All Applications"}, "WB" : {"fullname" : "Western blot", "shortname":"WB"} }, "product-promise": { "all": "all", "testedAndGuaranteed": "tested", "guaranteed": "expected", "predicted": "predicted", "notRecommended": "not-recommended" } }, "values": { "Mouse": { "WB-species-checked": "testedAndGuaranteed", "WB-species-dilution-info": "0.5 µg/mL", "WB-species-notes": "<p></p>" } } }

Properties and storage information

Form
Liquid
Purification technique
Affinity purification Immunogen
Storage buffer
pH: 7.2 Preservative: 0.02% Sodium azide Constituents: PBS
Shipped at conditions
Blue Ice
Appropriate short-term storage conditions
+4°C
Appropriate long-term storage conditions
-20°C
Aliquoting information
Upon delivery aliquot
Storage information
Avoid freeze / thaw cycle

Supplementary information

This supplementary information is collated from multiple sources and compiled automatically.

TCIRG1 also known as T-cell immune regulator 1 or ATP6V0A3 functions as a component of the vacuolar-type H+-ATPase (V-ATPase) complex. This protein which has a mass of approximately 116 kDa acts by facilitating proton translocation across membranes important for cellular pH regulation. TCIRG1 is expressed mainly in osteoclasts and other cells with high endocytosis rates like renal epithelial cells and macrophages. It contributes to acidification necessary for protein degradation and nutrient uptake.
Biological function summary

The protein participates in bone resorption by osteoclasts. It forms part of the V-ATPase complex that is composed of several subunits coordinating with these subunits to pump protons across the cell membrane. This action aids in creating an acidic microenvironment essential for dissolving bone mineral matrices. TCIRG1 is instrumental in maintaining the acidic conditions required for various cellular processes including lysosomal digestion and neurotransmitter release.

Pathways

TCIRG1 is significantly involved in the lysosomal degradation pathway and bone remodeling process. It partners with proteins like VATP1 and ATP6V1C1 to efficiently drive the proton pump activity. Through its role in bone resorption TCIRG1 integrates into the RANK/RANKL signaling pathway where it assists in the downstream effects of osteoclast differentiation and activity. This involvement is important for maintaining calcium homeostasis and skeletal integrity.

Mutations in TCIRG1 lead to autosomal recessive osteopetrosis a condition characterized by impaired bone resorption due to defective osteoclast function. This disorder results from the failure to create the acidic environment required for bone matrix degradation. Another condition associated with TCIRG1 includes renal tubular acidosis a result of disrupted acid-base balance in kidney function. The RANK protein interacts within these disease contexts influencing osteoclast activity and bone density manifestations.

Product protocols

For this product, it's our understanding that no specific protocols are required. You can visit:

Target data

Subunit of the V0 complex of vacuolar(H+)-ATPase (V-ATPase), a multisubunit enzyme composed of a peripheral complex (V1) that hydrolyzes ATP and a membrane integral complex (V0) that translocates protons (By similarity). V-ATPase is responsible for acidifying and maintaining the pH of intracellular compartments and in some cell types, is targeted to the plasma membrane, where it is responsible for acidifying the extracellular environment (By similarity). Seems to be directly involved in T-cell activation (PubMed : 10329006).
See full target information TCIRG1

Publications (4)

Recent publications for all applications. Explore the full list and refine your search

PloS one 15:e0237354 PubMed32790690

2020

Knockdown of Tcirg1 inhibits large-osteoclast generation by down-regulating NFATc1 and IP3R2 expression.

Applications

Unspecified application

Species

Unspecified reactive species

Dongyan Zhang,Liying Lin,Bingwu Yang,Zhen Meng,Bin Zhang

Human gene therapy 30:1395-1404 PubMed31179768

2019

Hematopoietic Stem Cell-Targeted Neonatal Gene Therapy with a Clinically Applicable Lentiviral Vector Corrects Osteopetrosis in Mice.

Applications

Unspecified application

Species

Unspecified reactive species

Henrik Löfvall,Michael Rothe,Axel Schambach,Kim Henriksen,Johan Richter,Ilana Moscatelli

Journal of cellular biochemistry 120:17180-17193 PubMed31111556

2019

Novel c.G630A TCIRG1 mutation causes aberrant splicing resulting in an unusually mild form of autosomal recessive osteopetrosis.

Applications

Unspecified application

Species

Unspecified reactive species

Ralph A Zirngibl,Andrew Wang,Yeqi Yao,Morris F Manolson,Joerg Krueger,Lucie Dupuis,Roberto Mendoza-Londono,Irina Voronov

Experimental & molecular medicine 50:e420 PubMed29303507

2018

T-cell immune regulator 1 enhances metastasis in hepatocellular carcinoma.

Applications

Unspecified application

Species

Unspecified reactive species

Hee Doo Yang,Jung Woo Eun,Kyung-Bun Lee,Qingyu Shen,Hyung Seok Kim,Sang Yean Kim,Dong-Wan Seo,Won Sang Park,Jung Young Lee,Suk Woo Nam
View all publications

Product promise

We are committed to supporting your work with high-quality reagents, and we're here for you every step of the way. In the unlikely event that one of our products does not perform as expected, you're protected by our Product Promise.
For full details, please see our Terms & Conditions

Please note: All products are 'FOR RESEARCH USE ONLY. NOT FOR USE IN DIAGNOSTIC OR THERAPEUTIC PROCEDURES'.

For licensing inquiries, please contact partnerships@abcam.com