JavaScript is disabled in your browser. Please enable JavaScript to view this website.
AB108978

Anti-Tcl1 antibody [EPR3949]

4

(3 Reviews)

|

(3 Publications)

Rabbit Recombinant Monoclonal Tcl1 antibody. Suitable for IHC-P, ICC/IF, WB, Flow Cyt (Intra) and reacts with Human samples. Cited in 3 publications.

View Alternative Names

TCL1, TCL1A, T-cell leukemia/lymphoma protein 1A, Oncogene TCL-1, Protein p14 TCL1, Oncogene TCL1

12 Images
Flow Cytometry (Intracellular) - Anti-Tcl1 antibody [EPR3949] (AB108978)
  • Flow Cyt (Intra)

Unknown

Flow Cytometry (Intracellular) - Anti-Tcl1 antibody [EPR3949] (AB108978)

Overlay histogram showing Ramos cells stained with ab108978 (red line). The cells were fixed with 80% methanol (5 min) and then permeabilized with 0.1% PBS-Tween for 20 min. The cells were then incubated in 1x PBS / 10% normal goat serum / 0.3M glycine to block non-specific protein-protein interactions followed by the antibody (ab108978 1/1000 dilution) for 30 min at 22°C. The secondary antibody used was Alexa Fluor® 488 goat anti-rabbit IgG (H&L) (ab150077) at 1/2000 dilution for 30 min at 22°C. Isotype control antibody (black line) was rabbit IgG (monoclonal) (0.1μg/1x106 cells) used under the same conditions. Unlabelled sample (blue line) was also used as a control. Acquisition of >5000 events were collected using a 20mW Argon ion laser (488nm) and 525/30 bandpass filter. This antibody gave a positive signal in Ramos cells fixed with 4% paraformaldehyde (10 min)/permeabilized with 0.1% PBS-Tween for 20 min used under the same conditions.

Western blot - Anti-Tcl1 antibody [EPR3949] (AB108978)
  • WB

Unknown

Western blot - Anti-Tcl1 antibody [EPR3949] (AB108978)

All lanes:

Western blot - Anti-Tcl1 antibody [EPR3949] (ab108978) at 1/1000 dilution

Lane 1:

Daudi cell lysate at 10 µg

Lane 2:

Ramos cell lysates at 10 µg

Secondary

All lanes:

Standard HRP labelled goat anti-goat. at 1/2000 dilution

Predicted band size: 13 kDa

false

Western blot - Anti-Tcl1 antibody [EPR3949] (AB108978)
  • WB

Lab

Western blot - Anti-Tcl1 antibody [EPR3949] (AB108978)

Blocking buffer : 5% NFDM/TBST

Diluting buffer : 5% NFDM/TBST

All lanes:

Western blot - Anti-Tcl1 antibody [EPR3949] (ab108978) at 1/1000 dilution

Lane 1:

Ramos (human Burkitt's lymphoma) whole cell lysate at 20 µg

Lane 2:

Daudi (human Burkitt's lymphoma) whole cell lysate at 20 µg

Secondary

All lanes:

Anti-Rabbit IgG (HRP), specific to the non-reduced form of IgG at 1/2000 dilution

Predicted band size: 103 kDa,13 kDa,43 kDa

Observed band size: 13 kDa,27 kDa,43 kDa

false

Immunohistochemistry (Formalin/PFA-fixed paraffin-embedded sections) - Anti-Tcl1 antibody [EPR3949] (AB108978)
  • IHC-P

Unknown

Immunohistochemistry (Formalin/PFA-fixed paraffin-embedded sections) - Anti-Tcl1 antibody [EPR3949] (AB108978)

ab108978 showing negative staining in Normal kidney tissue.

Perform heat mediated antigen retrieval before commencing with IHC staining protocol.

Flow Cytometry (Intracellular) - Anti-Tcl1 antibody [EPR3949] (AB108978)
  • Flow Cyt (Intra)

Lab

Flow Cytometry (Intracellular) - Anti-Tcl1 antibody [EPR3949] (AB108978)

ab108978 staining Tcl1 in the human cell line Ramos (human Burkitt's lymphoma) by intracellular flow cytometry. Cells were fixed with 4% paraformaldehyde and the sample was incubated with the primary antibody at a dilution of 1/400. A goat anti rabbit IgG (Alexa Fluor® 488) at a dilution of 1/2000 was used as the secondary antibody.

Isoytype control : Rabbit monoclonal IgG (Black)

Unlabelled control : Cell without incubation with primary antibody and secondary antibody (Blue)

Immunohistochemistry (Formalin/PFA-fixed paraffin-embedded sections) - Anti-Tcl1 antibody [EPR3949] (AB108978)
  • IHC-P

Unknown

Immunohistochemistry (Formalin/PFA-fixed paraffin-embedded sections) - Anti-Tcl1 antibody [EPR3949] (AB108978)

ab108978 showing negative staining in Skeletal muscle tissue. Perform heat mediated antigen retrieval before commencing with IHC staining protocol.

Immunohistochemistry (Formalin/PFA-fixed paraffin-embedded sections) - Anti-Tcl1 antibody [EPR3949] (AB108978)
  • IHC-P

Unknown

Immunohistochemistry (Formalin/PFA-fixed paraffin-embedded sections) - Anti-Tcl1 antibody [EPR3949] (AB108978)

ab108978 showing negative staining in Normal stomach tissue.

Perform heat mediated antigen retrieval before commencing with IHC staining protocol.

Immunohistochemistry (Formalin/PFA-fixed paraffin-embedded sections) - Anti-Tcl1 antibody [EPR3949] (AB108978)
  • IHC-P

Unknown

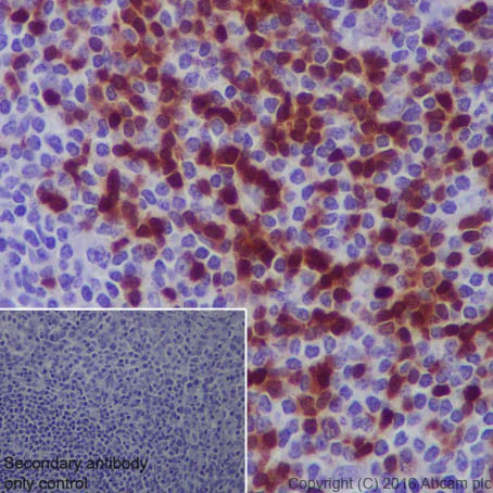
Immunohistochemistry (Formalin/PFA-fixed paraffin-embedded sections) - Anti-Tcl1 antibody [EPR3949] (AB108978)

ab108978 showing positive staining in Normal spleen tissue.

Perform heat mediated antigen retrieval before commencing with IHC staining protocol.

Immunocytochemistry/ Immunofluorescence - Anti-Tcl1 antibody [EPR3949] (AB108978)
  • ICC/IF

Lab

Immunocytochemistry/ Immunofluorescence - Anti-Tcl1 antibody [EPR3949] (AB108978)

ab108978 staining Tcl1 in Jurkat (human acute T cell leukemia) cells by ICC/IF (Immunocytochemistry/immunofluorescence). Cells were fixed with 4% Paraformaldehyde and permeabilized with 0.1% Triton X-100. Samples were incubated with primary antibody at a dilution of 1/200. A goat anti rabbit IgG (Alexa Fluor® 488) (ab150077) was used as the secondary antibody at 1/1000. ab7291 and ab150120 were used as counterstains for primary antibody ab108978 and secondary antibody ab150077 respectively and DAPI was used as a nuclear counterstain.

Negative control 1 : Rabbit primary antibody and anti-mouse secondary antibody (ab150120)
Negative control 2 : Mouse primary antibody (ab7291) and anti-rabbit secondary antibody (ab150077)

Immunohistochemistry (Formalin/PFA-fixed paraffin-embedded sections) - Anti-Tcl1 antibody [EPR3949] (AB108978)
  • IHC-P

Unknown

Immunohistochemistry (Formalin/PFA-fixed paraffin-embedded sections) - Anti-Tcl1 antibody [EPR3949] (AB108978)

ab108978 showing negative staining in Normal brain tissue.

Perform heat mediated antigen retrieval before commencing with IHC staining protocol.

Immunohistochemistry (Formalin/PFA-fixed paraffin-embedded sections) - Anti-Tcl1 antibody [EPR3949] (AB108978)
  • IHC-P

Lab

Immunohistochemistry (Formalin/PFA-fixed paraffin-embedded sections) - Anti-Tcl1 antibody [EPR3949] (AB108978)

ab108978 staining Tcl1 in human tonsil tissue sections by Immunohistochemistry (IHC-P - paraformaldehyde-fixed, paraffin-embedded sections). Tissue was fixed with paraformaldehyde and antigen retrieval was by heat mediation in a EDTA buffer. Samples were incubated with primary antibody at a dilution of 1/700. A goat anti-rabbit IgG H&L (HRP) ab97051 was used as the secondary antibody at 1/500.

Negative control 1 : PBS in place of primary antibody.

Immunohistochemistry (Formalin/PFA-fixed paraffin-embedded sections) - Anti-Tcl1 antibody [EPR3949] (AB108978)
  • IHC-P

Unknown

Immunohistochemistry (Formalin/PFA-fixed paraffin-embedded sections) - Anti-Tcl1 antibody [EPR3949] (AB108978)

Immunohistochemical analysis of paraffin-embedded Human tonsil tissue using ab108978.

Perform heat mediated antigen retrieval before commencing with IHC staining protocol.

  • 660 APC

    APC Anti-Tcl1 antibody [EPR3949]

  • Carrier free

    Anti-Tcl1 antibody [EPR3949] - BSA and Azide free

Key facts

Host species

Rabbit

Clonality

Monoclonal

Clone number

EPR3949

Isotype

IgG

Carrier free

No

Reacts with

Human

Applications

IHC-P, Flow Cyt (Intra), ICC/IF, WB

applications

Immunogen

The exact immunogen used to generate this antibody is proprietary information.

Reactivity data

{ "title": "Reactivity Data", "filters": { "stats": ["", "Species", "Dilution Info", "Notes"], "tabs": { "all-applications": {"fullname" : "All Applications", "shortname": "All Applications"}, "IHCP" : {"fullname" : "Immunohistochemistry (Formalin/PFA-fixed paraffin-embedded sections)", "shortname":"IHC-P"}, "ICCIF" : {"fullname" : "Immunocytochemistry/ Immunofluorescence", "shortname":"ICC/IF"}, "WB" : {"fullname" : "Western blot", "shortname":"WB"}, "FlowCytIntra" : {"fullname" : "Flow Cytometry (Intracellular)", "shortname":"Flow Cyt (Intra)"} }, "product-promise": { "all": "all", "testedAndGuaranteed": "tested", "guaranteed": "expected", "predicted": "predicted", "notRecommended": "not-recommended" } }, "values": { "Human": { "IHCP-species-checked": "testedAndGuaranteed", "IHCP-species-dilution-info": "1/100 - 1/700", "IHCP-species-notes": "<p>Perform antigen retrieval</p> Perform heat-mediated antigen retrieval before commencing with IHC staining protocol.", "ICCIF-species-checked": "testedAndGuaranteed", "ICCIF-species-dilution-info": "1/100 - 1/250", "ICCIF-species-notes": "<p></p>", "WB-species-checked": "testedAndGuaranteed", "WB-species-dilution-info": "1/1000 - 1/10000", "WB-species-notes": "<p></p>", "FlowCytIntra-species-checked": "testedAndGuaranteed", "FlowCytIntra-species-dilution-info": "1/400", "FlowCytIntra-species-notes": "<p><a href='/en-us/products/primary-antibodies/rabbit-igg-monoclonal-epr25a-isotype-control-ab172730'>ab172730</a> - Rabbit monoclonal IgG, is suitable for use as an isotype control with this antibody. Unpurified format: 1/100 - 1/1000.</p>" } } }

Product details

Species reactivity
Mouse, Rat: We have preliminary internal testing data to indicate this antibody may not react with these species.
Please contact us for more information.

Patented technology
Our RabMAb® technology is a patented hybridoma-based technology for making rabbit monoclonal antibodies. For details on our patents, please refer to RabMAb® patents.

What are the advantages of a recombinant monoclonal antibody?
This product is a recombinant monoclonal antibody, which offers several advantages including:

  • - High batch-to-batch consistency and reproducibility
  • - Improved sensitivity and specificity
  • - Long-term security of supply
  • - Animal-free batch production

For more information, read more on recombinant antibodies.

Properties and storage information

Form
Liquid
Purification technique
Affinity purification Protein A
Storage buffer
pH: 7.2 - 7.4 Preservative: 0.01% Sodium azide Constituents: 59% PBS, 40% Glycerol (glycerin, glycerine), 0.05% BSA
Shipped at conditions
Blue Ice
Appropriate short-term storage duration
1-2 weeks
Appropriate short-term storage conditions
+4°C
Appropriate long-term storage conditions
-20°C
Aliquoting information
Upon delivery aliquot
Storage information
Avoid freeze / thaw cycle

Supplementary information

This supplementary information is collated from multiple sources and compiled automatically.

The TCL1 (T-cell leukemia/lymphoma protein 1) also known as TCL1A is an important protein involved in cellular processes. TCL1 has a molecular mass of approximately 14 kDa and plays roles in signal transduction pathways. The protein is expressed in various tissues including the thymus lymph nodes and spleen. TCL1 is particularly important in T-cell development and function. It functions at a mechanistic level by interacting with other proteins thereby influencing cell signaling pathways essential for lymphocyte proliferation and survival.
Biological function summary

TCL1 enhances the activity of the AKT kinase an important component of cellular signaling that modulates cell growth and survival. This protein does not form any large complex but acts through AKT phosphorylation. The activation of TCL1 leads to the promotion of cell proliferation and prevention of apoptosis especially in lymphocytes. The regulation of these cellular activities by TCL1 suggests its important role in the development of the immune system.

Pathways

The AKT signaling pathway is significantly influenced by TCL1 controlling cell growth division and apoptosis. The interaction of TCL1 with AKT activates the PI3K/AKT pathway an important signal transduction pathway promoting survival and growth in response to extracellular signals. TCL1 indirectly affects the mTOR signaling pathway through its modulation of AKT affecting protein synthesis and cell metabolism. Both pathways emphasize the broad role of TCL1 in maintaining normal cellular functions and growth regulation.

The overexpression or mutation of TCL1 can lead to malignancies such as T-cell leukemia and B-cell lymphoma. In these cancers abnormal TCL1 activity results in enhanced cell survival and proliferation contributing to tumorigenesis. In leukemia TCL1 directly interacts with AKT and its dysregulation becomes pathogenic. Research continues to investigate the involvement of TCL1 in oncogenesis and how its association with AKT and other signaling molecules like mTOR contributes to cancer progression. Understanding these interactions could potentially offer new therapeutic targets for treating related malignancies.

Product protocols

For this product, it's our understanding that no specific protocols are required. You can visit:

Target data

Enhances the phosphorylation and activation of AKT1, AKT2 and AKT3. Promotes nuclear translocation of AKT1. Enhances cell proliferation, stabilizes mitochondrial membrane potential and promotes cell survival.
See full target information TCL1A

Publications (3)

Recent publications for all applications. Explore the full list and refine your search

Journal of translational medicine 23:807 PubMed40696399

2025

miR-193a-3p prevents tumour progression by targeting TCL1 in diffuse large B-cell lymphoma.

Applications

Unspecified application

Species

Unspecified reactive species

Haixia Gao,Mengbo Wang,Shuchen Xiong,Ran Zhang,Cancan Wang,Huan Zhang,Wenli Ji,Cuicui Wang,Zhiying Jia,Xinxia Li

Frontiers in immunology 14:1166497 PubMed37234171

2023

Tertiary lymphoid structures predict the prognosis and immunotherapy response of cholangiocarcinoma.

Applications

Unspecified application

Species

Unspecified reactive species

Taiyu Shang,Tianyi Jiang,Tao Lu,Hui Wang,Xiaowen Cui,Yufei Pan,Mengyou Xu,Mengmiao Pei,Zhiwen Ding,Xiaofan Feng,Yunkai Lin,Xin Li,Yexiong Tan,Feiling Feng,Hui Dong,Hongyang Wang,Liwei Dong

Oncotarget 6:38681-94 PubMed26299617

2015

Whole-transcriptome analysis of flow-sorted cervical cancer samples reveals that B cell expressed TCL1A is correlated with improved survival.

Applications

Unspecified application

Species

Unspecified reactive species

Simone Punt,Willem E Corver,Sander A J van der Zeeuw,Szymon M Kielbasa,Elisabeth M Osse,Henk P J Buermans,Cornelis D de Kroon,Ekaterina S Jordanova,Arko Gorter
View all publications

Product promise

We are committed to supporting your work with high-quality reagents, and we're here for you every step of the way. In the unlikely event that one of our products does not perform as expected, you're protected by our Product Promise.
For full details, please see our Terms & Conditions

Please note: All products are 'FOR RESEARCH USE ONLY. NOT FOR USE IN DIAGNOSTIC OR THERAPEUTIC PROCEDURES'.

For licensing inquiries, please contact partnerships@abcam.com