JavaScript is disabled in your browser. Please enable JavaScript to view this website.
AB225718

Anti-Tcl1 antibody [SP248]

Be the first to review this product! Submit a review

|

(1 Publication)

Rabbit Recombinant Monoclonal Tcl1 antibody. Suitable for WB, IHC-P, ICC/IF, Flow Cyt (Intra) and reacts with Human samples. Cited in 1 publication.

View Alternative Names

TCL1, TCL1A, T-cell leukemia/lymphoma protein 1A, Oncogene TCL-1, Protein p14 TCL1, Oncogene TCL1

6 Images
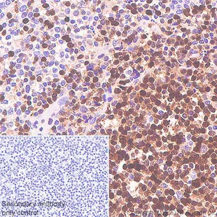
Immunohistochemistry (Formalin/PFA-fixed paraffin-embedded sections) - Anti-Tcl1 antibody [SP248] (AB225718)
  • IHC-P

Supplier Data

Immunohistochemistry (Formalin/PFA-fixed paraffin-embedded sections) - Anti-Tcl1 antibody [SP248] (AB225718)

Formalin-fixed, paraffin-embedded human tonsil tissue stained for Tcl1 using ab225718 at 1/100 dilution in immunohistochemical analysis.

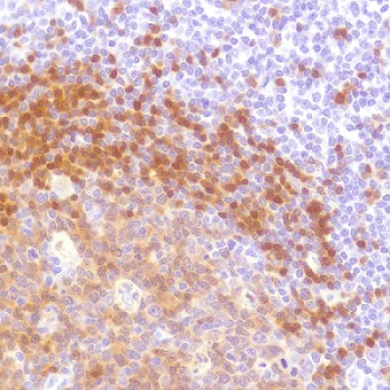
Immunohistochemistry (Formalin/PFA-fixed paraffin-embedded sections) - Anti-Tcl1 antibody [SP248] (AB225718)
  • IHC-P

Unknown

Immunohistochemistry (Formalin/PFA-fixed paraffin-embedded sections) - Anti-Tcl1 antibody [SP248] (AB225718)

Immunohistochemistry (Formalin/PFA-fixed paraffin-embedded sections) analysis of Human tonsil tissue sections labeling Tcl1 with ab225718 at 1/100 dilution (1.32 μg/ml). Heat mediated antigen retrieval with sodium citrate buffer (pH 6.0, epitope retrieval solution 1) for 10 mins. Goat Anti-Rabbit & Mouse IgG (HRP) was used as the secondary antibody. Hematoxylin was used as a counterstain. Mainly nuclear staining on the human tonsil, performed on a Leica Biosystems BOND™ RX instrument.
The section was incubated with ab225718 for 10 mins at room temperature.

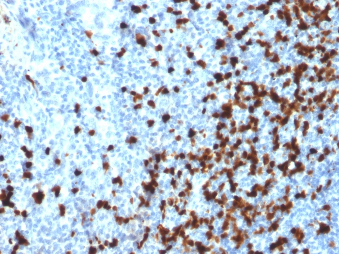
Immunocytochemistry/ Immunofluorescence - Anti-Tcl1 antibody [SP248] (AB225718)
  • ICC/IF

Unknown

Immunocytochemistry/ Immunofluorescence - Anti-Tcl1 antibody [SP248] (AB225718)

Immunocytochemistry/ Immunofluorescence analysis of Ramos (human Burkitt's lymphoma B lymphocyte) cells labeling Tcl1 with purified ab225718 at 1/50 (2.6 μg/ml). Cells were fixed in 4% paraformaldehyde and permeabilized with 0.1% Triton X-100. Cells were counterstained with ab195889 Anti-alpha Tubulin antibody [DM1A] - Microtubule Marker (Alexa Fluor® 594) 1/200 (2.5 μg/ml). Goat anti rabbit IgG (Alexa Fluor® 488, ab150077) was used as the secondary antibody at 1/1000 (2 μg/ml) dilution. DAPI (blue) was used as nuclear counterstain. PBS instead of the primary antibody was used as the secondary antibody only control.

Western blot - Anti-Tcl1 antibody [SP248] (AB225718)
  • WB

Supplier Data

Western blot - Anti-Tcl1 antibody [SP248] (AB225718)

All lanes:

Western blot - Anti-Tcl1 antibody [SP248] (ab225718) at 1/400 dilution

All lanes:

Ramos (human Burkitt's lymphoma cell line) cell lysate

Predicted band size: 13 kDa

false

Flow Cytometry (Intracellular) - Anti-Tcl1 antibody [SP248] (AB225718)
  • Flow Cyt (Intra)

Supplier Data

Flow Cytometry (Intracellular) - Anti-Tcl1 antibody [SP248] (AB225718)

Intracellular flow cytometric analysis of Ramos (human Burkitt's lymphoma cell line) cells treated with ab225718 at 1/400 dilution (green) compared with a negative control of rabbit IgG (blue).

Flow Cytometry (Intracellular) - Anti-Tcl1 antibody [SP248] (AB225718)
  • Flow Cyt (Intra)

Unknown

Flow Cytometry (Intracellular) - Anti-Tcl1 antibody [SP248] (AB225718)

Intracellular Flow Cytometry analysis of Ramos (Human Burkitt's lymphoma B lymphocyte) cells labeling Tcl1 with purified ab225718 at 1/200 dilution (0.66μg/ml) (red). Cells were fixed with 4% paraformaldehyde and permeabilised with 90% methanol. A Goat anti rabbit IgG (Alexa Fluor® 488, ab150081) secondary antibody was used at 1/2000 dilution. Isotype control - Rabbit monoclonal IgG (ab172730) / Black. Unlabeled control - Unlabelled cells / blue.

Key facts

Host species

Rabbit

Clonality

Monoclonal

Clone number

SP248

Isotype

IgG

Carrier free

No

Reacts with

Human

Applications

Flow Cyt (Intra), WB, IHC-P, ICC/IF

applications

Immunogen

The exact immunogen used to generate this antibody is proprietary information.

Reactivity data

{ "title": "Reactivity Data", "filters": { "stats": ["", "Species", "Dilution Info", "Notes"], "tabs": { "all-applications": {"fullname" : "All Applications", "shortname": "All Applications"}, "WB" : {"fullname" : "Western blot", "shortname":"WB"}, "IHCP" : {"fullname" : "Immunohistochemistry (Formalin/PFA-fixed paraffin-embedded sections)", "shortname":"IHC-P"}, "ICCIF" : {"fullname" : "Immunocytochemistry/ Immunofluorescence", "shortname":"ICC/IF"}, "FlowCytIntra" : {"fullname" : "Flow Cytometry (Intracellular)", "shortname":"Flow Cyt (Intra)"} }, "product-promise": { "all": "all", "testedAndGuaranteed": "tested", "guaranteed": "expected", "predicted": "predicted", "notRecommended": "not-recommended" } }, "values": { "Human": { "WB-species-checked": "testedAndGuaranteed", "WB-species-dilution-info": "1/400", "WB-species-notes": "<p>Primary incubation for 1 hour at room temperature.</p>", "IHCP-species-checked": "testedAndGuaranteed", "IHCP-species-dilution-info": "1/100", "IHCP-species-notes": "<p>Boil tissue section in citrate buffer pH 6.0 for 10 minutes followed by cooling at room temperature for 20 minutes.</p><p>Primary incubation for 10 minutes at room temperature.</p>", "ICCIF-species-checked": "testedAndGuaranteed", "ICCIF-species-dilution-info": "1/50", "ICCIF-species-notes": "<p></p>", "FlowCytIntra-species-checked": "testedAndGuaranteed", "FlowCytIntra-species-dilution-info": "1/400", "FlowCytIntra-species-notes": "<p>Primary incubation for 30 minutes at 4°C.</p>" } } }

Product details

Patented technology
Our RabMAb® technology is a patented hybridoma-based technology for making rabbit monoclonal antibodies. For details on our patents, please refer to RabMAb® patents.

What are the advantages of a recombinant monoclonal antibody?
This product is a recombinant monoclonal antibody, which offers several advantages including:

  • - High batch-to-batch consistency and reproducibility
  • - Improved sensitivity and specificity
  • - Long-term security of supply
  • - Animal-free batch production

For more information, read more on recombinant antibodies.

Properties and storage information

Form
Liquid
Purification technique
Affinity purification Protein A
Purification notes
Purified from TCS by protein A/G.
Storage buffer
pH: 7.2 - 7.4 Preservative: 0.1% Sodium azide Constituents: PBS, 1% BSA
Shipped at conditions
Blue Ice
Appropriate short-term storage duration
1-2 weeks
Appropriate short-term storage conditions
+4°C
Appropriate long-term storage conditions
-20°C
Aliquoting information
Upon delivery aliquot
Storage information
Avoid freeze / thaw cycle

Supplementary information

This supplementary information is collated from multiple sources and compiled automatically.

The TCL1 (T-cell leukemia/lymphoma protein 1) also known as TCL1A is an important protein involved in cellular processes. TCL1 has a molecular mass of approximately 14 kDa and plays roles in signal transduction pathways. The protein is expressed in various tissues including the thymus lymph nodes and spleen. TCL1 is particularly important in T-cell development and function. It functions at a mechanistic level by interacting with other proteins thereby influencing cell signaling pathways essential for lymphocyte proliferation and survival.
Biological function summary

TCL1 enhances the activity of the AKT kinase an important component of cellular signaling that modulates cell growth and survival. This protein does not form any large complex but acts through AKT phosphorylation. The activation of TCL1 leads to the promotion of cell proliferation and prevention of apoptosis especially in lymphocytes. The regulation of these cellular activities by TCL1 suggests its important role in the development of the immune system.

Pathways

The AKT signaling pathway is significantly influenced by TCL1 controlling cell growth division and apoptosis. The interaction of TCL1 with AKT activates the PI3K/AKT pathway an important signal transduction pathway promoting survival and growth in response to extracellular signals. TCL1 indirectly affects the mTOR signaling pathway through its modulation of AKT affecting protein synthesis and cell metabolism. Both pathways emphasize the broad role of TCL1 in maintaining normal cellular functions and growth regulation.

The overexpression or mutation of TCL1 can lead to malignancies such as T-cell leukemia and B-cell lymphoma. In these cancers abnormal TCL1 activity results in enhanced cell survival and proliferation contributing to tumorigenesis. In leukemia TCL1 directly interacts with AKT and its dysregulation becomes pathogenic. Research continues to investigate the involvement of TCL1 in oncogenesis and how its association with AKT and other signaling molecules like mTOR contributes to cancer progression. Understanding these interactions could potentially offer new therapeutic targets for treating related malignancies.

Product protocols

For this product, it's our understanding that no specific protocols are required. You can visit:

Target data

Enhances the phosphorylation and activation of AKT1, AKT2 and AKT3. Promotes nuclear translocation of AKT1. Enhances cell proliferation, stabilizes mitochondrial membrane potential and promotes cell survival.
See full target information TCL1A

Publications (1)

Recent publications for all applications. Explore the full list and refine your search

International journal of molecular sciences 26: PubMed40429837

2025

Biosynthesized Calcium Peroxide Nanoparticles as a Multifunctional Platform for Liver Cancer Therapy.

Applications

Unspecified application

Species

Unspecified reactive species

Sen Wu,Siqi Li,Xin Xia,Gen Zhang,Ting Wang
View all publications

Product promise

We are committed to supporting your work with high-quality reagents, and we're here for you every step of the way. In the unlikely event that one of our products does not perform as expected, you're protected by our Product Promise.
For full details, please see our Terms & Conditions

Please note: All products are 'FOR RESEARCH USE ONLY. NOT FOR USE IN DIAGNOSTIC OR THERAPEUTIC PROCEDURES'.

For licensing inquiries, please contact partnerships@abcam.com