JavaScript is disabled in your browser. Please enable JavaScript to view this website.
AB238077

Anti-Tcl1 antibody [TCL1/2078]

Be the first to review this product! Submit a review

|

(1 Publication)

Mouse Monoclonal Tcl1 antibody. Suitable for IHC-P, Protein Array and reacts with Human, Recombinant full length protein - Human samples. Cited in 1 publication. Immunogen corresponding to Recombinant Fragment Protein within Human TCL1A aa 1 to C-terminus.

View Alternative Names

TCL1, TCL1A, T-cell leukemia/lymphoma protein 1A, Oncogene TCL-1, Protein p14 TCL1, Oncogene TCL1

3 Images
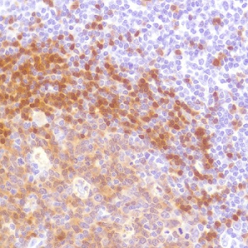
Immunohistochemistry (Formalin/PFA-fixed paraffin-embedded sections) - Anti-Tcl1 antibody [TCL1/2078] (AB238077)
  • IHC-P

Supplier Data

Immunohistochemistry (Formalin/PFA-fixed paraffin-embedded sections) - Anti-Tcl1 antibody [TCL1/2078] (AB238077)

Formalin-fixed, paraffin-embedded human tonsil tissue stained for Tcl1 using ab238077 at 2 μg/ml in immunohistochemical analysis.

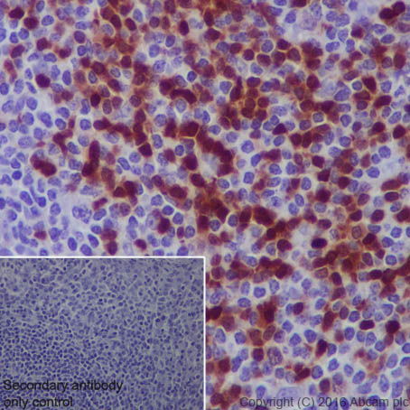
Immunohistochemistry (Formalin/PFA-fixed paraffin-embedded sections) - Anti-Tcl1 antibody [TCL1/2078] (AB238077)
  • IHC-P

Supplier Data

Immunohistochemistry (Formalin/PFA-fixed paraffin-embedded sections) - Anti-Tcl1 antibody [TCL1/2078] (AB238077)

Formalin-fixed, paraffin-embedded human spleen tissue stained for Tcl1 using ab238077 at 2 μg/ml in immunohistochemical analysis.

Protein Array - Anti-Tcl1 antibody [TCL1/2078] (AB238077)
  • Protein Array

Unknown

Protein Array - Anti-Tcl1 antibody [TCL1/2078] (AB238077)

ab238077 was tested in protein array against over 19000 different full-length human proteins.
Z- and S- Score : The Z-score represents the strength of a signal that a monoclonal antibody (MAb) (in combination with a fluorescently-tagged anti-IgG secondary antibody) produces when binding to a particular protein on the HuProtTM array. Z-scores are described in units of standard deviations (SD's) above the mean value of all signals generated on that array. If targets on HuProtTM are arranged in descending order of the Z-score, the S-score is the difference (also in units of SD's) between the Z-score. S-score therefore represents the relative target specificity of a MAb to its intended target.
A MAb is specific to its intended target if the MAb has an S-score of at least 2.5. For example, if a MAb binds to protein X with a Z-score of 43 and to protein Y with a Z-score of 14, then the S-score for the binding of that MAb to protein X is equal to 29.

Key facts

Host species

Mouse

Clonality

Monoclonal

Clone number

TCL1/2078

Isotype

IgG1

Light chain type

kappa

Carrier free

No

Reacts with

Human

Applications

IHC-P, Protein Array

applications

Immunogen

Recombinant Fragment Protein within Human TCL1A aa 1 to C-terminus. The exact immunogen used to generate this antibody is proprietary information.

P56279

Reactivity data

{ "title": "Reactivity Data", "filters": { "stats": ["", "Species", "Dilution Info", "Notes"], "tabs": { "all-applications": {"fullname" : "All Applications", "shortname": "All Applications"}, "IHCP" : {"fullname" : "Immunohistochemistry (Formalin/PFA-fixed paraffin-embedded sections)", "shortname":"IHC-P"}, "ProteinArray" : {"fullname" : "Protein Array", "shortname":"Protein Array"} }, "product-promise": { "all": "all", "testedAndGuaranteed": "tested", "guaranteed": "expected", "predicted": "predicted", "notRecommended": "not-recommended" } }, "values": { "Human": { "IHCP-species-checked": "testedAndGuaranteed", "IHCP-species-dilution-info": "1-2 µg/mL", "IHCP-species-notes": "<p>Primary incubation for 30 minutes at room temperature.</p> Perform heat-mediated antigen retrieval with citrate buffer pH 6 before commencing with IHC staining protocol.", "ProteinArray-species-checked": "guaranteed", "ProteinArray-species-dilution-info": "", "ProteinArray-species-notes": "" }, "Recombinant full length protein - Human": { "IHCP-species-checked": "notRecommended", "IHCP-species-dilution-info": "", "IHCP-species-notes": "", "ProteinArray-species-checked": "testedAndGuaranteed", "ProteinArray-species-dilution-info": "", "ProteinArray-species-notes": "<p></p>" } } }

Properties and storage information

Form
Liquid
Purification technique
Affinity purification Protein A/G
Purification notes
Purified from Bioreactor Concentrate by Protein A/G.
Storage buffer
pH: 7.2 - 7.4 Preservative: 0.05% Sodium azide Constituents: PBS, 0.05% BSA
Shipped at conditions
Blue Ice
Appropriate short-term storage duration
1-2 weeks
Appropriate short-term storage conditions
+4°C
Appropriate long-term storage conditions
-20°C
Aliquoting information
Upon delivery aliquot
Storage information
Avoid freeze / thaw cycle

Supplementary information

This supplementary information is collated from multiple sources and compiled automatically.

The TCL1 (T-cell leukemia/lymphoma protein 1) also known as TCL1A is an important protein involved in cellular processes. TCL1 has a molecular mass of approximately 14 kDa and plays roles in signal transduction pathways. The protein is expressed in various tissues including the thymus lymph nodes and spleen. TCL1 is particularly important in T-cell development and function. It functions at a mechanistic level by interacting with other proteins thereby influencing cell signaling pathways essential for lymphocyte proliferation and survival.
Biological function summary

TCL1 enhances the activity of the AKT kinase an important component of cellular signaling that modulates cell growth and survival. This protein does not form any large complex but acts through AKT phosphorylation. The activation of TCL1 leads to the promotion of cell proliferation and prevention of apoptosis especially in lymphocytes. The regulation of these cellular activities by TCL1 suggests its important role in the development of the immune system.

Pathways

The AKT signaling pathway is significantly influenced by TCL1 controlling cell growth division and apoptosis. The interaction of TCL1 with AKT activates the PI3K/AKT pathway an important signal transduction pathway promoting survival and growth in response to extracellular signals. TCL1 indirectly affects the mTOR signaling pathway through its modulation of AKT affecting protein synthesis and cell metabolism. Both pathways emphasize the broad role of TCL1 in maintaining normal cellular functions and growth regulation.

The overexpression or mutation of TCL1 can lead to malignancies such as T-cell leukemia and B-cell lymphoma. In these cancers abnormal TCL1 activity results in enhanced cell survival and proliferation contributing to tumorigenesis. In leukemia TCL1 directly interacts with AKT and its dysregulation becomes pathogenic. Research continues to investigate the involvement of TCL1 in oncogenesis and how its association with AKT and other signaling molecules like mTOR contributes to cancer progression. Understanding these interactions could potentially offer new therapeutic targets for treating related malignancies.

Product protocols

For this product, it's our understanding that no specific protocols are required. You can visit:

Target data

Enhances the phosphorylation and activation of AKT1, AKT2 and AKT3. Promotes nuclear translocation of AKT1. Enhances cell proliferation, stabilizes mitochondrial membrane potential and promotes cell survival.
See full target information TCL1A

Publications (1)

Recent publications for all applications. Explore the full list and refine your search

Cell cycle (Georgetown, Tex.) 18:2377-2384 PubMed31345095

2019

Beyond the unwinding: role of TOP1MT in mitochondrial translation.

Applications

Unspecified application

Species

Unspecified reactive species

Simone A Baechler,Ilaria Dalla Rosa,Antonella Spinazzola,Yves Pommier
View all publications

Product promise

We are committed to supporting your work with high-quality reagents, and we're here for you every step of the way. In the unlikely event that one of our products does not perform as expected, you're protected by our Product Promise.
For full details, please see our Terms & Conditions

Please note: All products are 'FOR RESEARCH USE ONLY. NOT FOR USE IN DIAGNOSTIC OR THERAPEUTIC PROCEDURES'.

For licensing inquiries, please contact partnerships@abcam.com