JavaScript is disabled in your browser. Please enable JavaScript to view this website.
AB224544

Anti-TCOF1 antibody

Be the first to review this product! Submit a review

|

(3 Publications)

Rabbit Polyclonal TCOF1 antibody. Suitable for IHC-P, WB, ICC/IF and reacts with Human samples. Cited in 3 publications. Immunogen corresponding to Recombinant Fragment Protein within Human TCOF1 aa 550-700.

View Alternative Names

Treacle protein, Treacher Collins syndrome protein, TCOF1

6 Images
Immunohistochemistry (Formalin/PFA-fixed paraffin-embedded sections) - Anti-TCOF1 antibody (AB224544)
  • IHC-P

Supplier Data

Immunohistochemistry (Formalin/PFA-fixed paraffin-embedded sections) - Anti-TCOF1 antibody (AB224544)

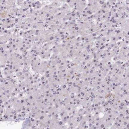
Immunohistochemical analysis of human liver tissue labeling TCOF1 (very low positivity) with ab224544 at 1/50 dilution.

Performed heat mediated antigen retrieval with citrate buffer pH 6 before commencing with IHC staining protocol.

Immunohistochemistry (Formalin/PFA-fixed paraffin-embedded sections) - Anti-TCOF1 antibody (AB224544)
  • IHC-P

Supplier Data

Immunohistochemistry (Formalin/PFA-fixed paraffin-embedded sections) - Anti-TCOF1 antibody (AB224544)

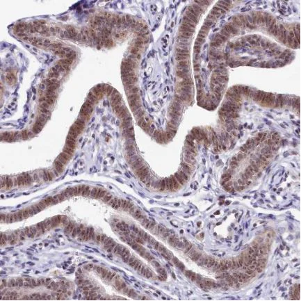
Immunohistochemical analysis of human Fallopia tube tissue labeling TCOF1 in the nucleus of glandular cells with ab224544 at 1/50 dilution.

Performed heat mediated antigen retrieval with citrate buffer pH 6 before commencing with IHC staining protocol.

Immunohistochemistry (Formalin/PFA-fixed paraffin-embedded sections) - Anti-TCOF1 antibody (AB224544)
  • IHC-P

Supplier Data

Immunohistochemistry (Formalin/PFA-fixed paraffin-embedded sections) - Anti-TCOF1 antibody (AB224544)

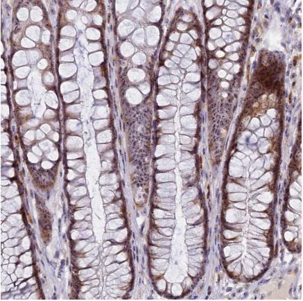
Immunohistochemical analysis of human rectum tissue labeling TCOF1 in the nucleus and nucleoli of glandular cells with ab224544 at 1/50 dilution.

Performed heat mediated antigen retrieval with citrate buffer pH 6 before commencing with IHC staining protocol.

Immunocytochemistry/ Immunofluorescence - Anti-TCOF1 antibody (AB224544)
  • ICC/IF

Supplier Data

Immunocytochemistry/ Immunofluorescence - Anti-TCOF1 antibody (AB224544)

Immunofluorescent analysis of U-2 OS (human bone osteosarcoma epithelial cell line) cells labeling TCOF1 (green) in the nucleoli fibrillar center with ab224544 at 2 μg/ml.

Immunohistochemistry (Formalin/PFA-fixed paraffin-embedded sections) - Anti-TCOF1 antibody (AB224544)
  • IHC-P

Supplier Data

Immunohistochemistry (Formalin/PFA-fixed paraffin-embedded sections) - Anti-TCOF1 antibody (AB224544)

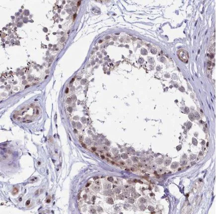
Immunohistochemical analysis of human testis tissue labeling TCOF1 in the nucleus and nucleoli of cells in seminiferous ducts with ab224544 at 1/50 dilution.

Performed heat mediated antigen retrieval with citrate buffer pH 6 before commencing with IHC staining protocol.

Western blot - Anti-TCOF1 antibody (AB224544)
  • WB

Unknown

Western blot - Anti-TCOF1 antibody (AB224544)

All lanes:

Western blot - Anti-TCOF1 antibody (ab224544) at 0.4 µg/mL

All lanes:

Caco-2 (human colorectal adenocarcinoma cell line) whole cell lysate

Predicted band size: 152 kDa

false

Key facts

Host species

Rabbit

Clonality

Polyclonal

Isotype

IgG

Carrier free

No

Reacts with

Human

Applications

WB, IHC-P, ICC/IF

applications

Immunogen

Recombinant Fragment Protein within Human TCOF1 aa 550-700. The exact immunogen used to generate this antibody is proprietary information.

Q13428

Reactivity data

{ "title": "Reactivity Data", "filters": { "stats": ["", "Species", "Dilution Info", "Notes"], "tabs": { "all-applications": {"fullname" : "All Applications", "shortname": "All Applications"}, "IHCP" : {"fullname" : "Immunohistochemistry (Formalin/PFA-fixed paraffin-embedded sections)", "shortname":"IHC-P"}, "WB" : {"fullname" : "Western blot", "shortname":"WB"}, "ICCIF" : {"fullname" : "Immunocytochemistry/ Immunofluorescence", "shortname":"ICC/IF"} }, "product-promise": { "all": "all", "testedAndGuaranteed": "tested", "guaranteed": "expected", "predicted": "predicted", "notRecommended": "not-recommended" } }, "values": { "Human": { "IHCP-species-checked": "testedAndGuaranteed", "IHCP-species-dilution-info": "1/50 - 1/200", "IHCP-species-notes": "<p></p> Perform heat-mediated antigen retrieval with citrate buffer pH 6 before commencing with IHC staining protocol.", "WB-species-checked": "testedAndGuaranteed", "WB-species-dilution-info": "0.04-0.4 µg/mL", "WB-species-notes": "<p></p>", "ICCIF-species-checked": "testedAndGuaranteed", "ICCIF-species-dilution-info": "0.25-2 µg/mL", "ICCIF-species-notes": "<p>Fixation/Permeabilization: PFA/Triton X-100.</p>" } } }

Properties and storage information

Form
Liquid
Purification technique
Affinity purification Immunogen
Storage buffer
pH: 7.2 Preservative: 0.02% Sodium azide Constituents: PBS, 40% Glycerol (glycerin, glycerine)
Shipped at conditions
Blue Ice
Appropriate short-term storage duration
1-2 weeks
Appropriate short-term storage conditions
+4°C
Appropriate long-term storage conditions
-20°C
Aliquoting information
Upon delivery aliquot
Storage information
Avoid freeze / thaw cycle

Supplementary information

This supplementary information is collated from multiple sources and compiled automatically.

TCOF1 also known as Treacle protein possesses a mechanical role in the nucleolus involved in ribosomal DNA transcription. This protein has a mass of approximately 153 kDa. It is expressed in a wide range of tissues but shows significant activity in neural crest cells during early development. TCOF1 helps in maintaining the integrity of ribosomal DNA and regulates the production of ribosomal RNA. Correct regulation of ribosomal RNA is essential for cellular function and survival.
Biological function summary

TCOF1 is critical in craniofacial development. The protein works as a part of the treacle complex interacting with RNA polymerase I and upstream binding factor 1 (UBF1) to facilitate ribosomal RNA synthesis. By supporting the transcriptional machinery TCOF1 impacts cellular proliferation and growth particularly in tissues derived from neural crest cells. This regulation of ribosomal RNA transcription links to various aspects of cellular and developmental biology.

Pathways

TCOF1 plays an important role in the ribosome biogenesis and p53 signaling pathways. In ribosome biogenesis TCOF1 interacts with proteins like NOLC1 to influence RNA polymerase I activity. The p53 signaling pathway involves TCOF1 as a ribosome biogenesis dysfunction can activate p53 which is an important player in the cellular checkpoint and apoptosis. This position in pathways hints at TCOF1's involvement in both regular growth processes and stress response mechanisms in cells.

TCOF1 mutations lead to Treacher Collins syndrome a condition resulting in craniofacial deformities. The disorder involves impaired development of facial bones due to disrupted ribosomal RNA transcription. Protein partners include POLR1C and POLR1D which also associate with Treacher Collins syndrome when mutated. TCOF1's role in RNA synthesis highlights its relevance in these developmental anomalies and provides insight into potential therapeutic targets.

Product protocols

For this product, it's our understanding that no specific protocols are required. You can visit:

Target data

Nucleolar protein that acts as a regulator of RNA polymerase I by connecting RNA polymerase I with enzymes responsible for ribosomal processing and modification (PubMed : 12777385, PubMed : 26399832). Required for neural crest specification : following monoubiquitination by the BCR(KBTBD8) complex, associates with NOLC1 and acts as a platform to connect RNA polymerase I with enzymes responsible for ribosomal processing and modification, leading to remodel the translational program of differentiating cells in favor of neural crest specification (PubMed : 26399832).
See full target information TCOF1

Publications (3)

Recent publications for all applications. Explore the full list and refine your search

eLife 12: PubMed38099650

2023

Distinct states of nucleolar stress induced by anticancer drugs.

Applications

Unspecified application

Species

Unspecified reactive species

Tamara A Potapova,Jay R Unruh,Juliana Conkright-Fincham,Charles A S Banks,Laurence Florens,David Alan Schneider,Jennifer L Gerton

Journal of gastroenterology and hepatology 38:1170-1180 PubMed36941105

2023

Nucleolar protein treacle ribosome biogenesis factor 1 maintains gastric cancer cell proliferation by regulating R-loop associated DNA replication stress.

Applications

Unspecified application

Species

Unspecified reactive species

Xin Nie,Chong Zhao,Yuan Zhang,Wenqi Huang,Youlian Zhou,Haiying Liu,Yuqiang Nie,Keping Xie,Lin Jia

Cell reports 38:110305 PubMed35081344

2022

Compartmentalized control of Cdk1 drives mitotic spindle assembly.

Applications

Unspecified application

Species

Unspecified reactive species

Angela Flavia Serpico,Francesco Febbraro,Caterina Pisauro,Domenico Grieco
View all publications

Product promise

We are committed to supporting your work with high-quality reagents, and we're here for you every step of the way. In the unlikely event that one of our products does not perform as expected, you're protected by our Product Promise.
For full details, please see our Terms & Conditions

Please note: All products are 'FOR RESEARCH USE ONLY. NOT FOR USE IN DIAGNOSTIC OR THERAPEUTIC PROCEDURES'.

For licensing inquiries, please contact partnerships@abcam.com