JavaScript is disabled in your browser. Please enable JavaScript to view this website.
AB247587

Anti-TCP1 alpha/CCTA antibody [EPR4081] - BSA and Azide free

Be the first to review this product! Submit a review

|

(0 Publication)

Rabbit Recombinant Monoclonal TCP1 alpha/CCTA antibody. Carrier free. Suitable for IHC-P, ICC/IF, IP, WB and reacts with Human samples.

View Alternative Names

CCT1, CCTA, TCP1, T-complex protein 1 subunit alpha, TCP-1-alpha, CCT-alpha, Chaperonin containing T-complex polypeptide 1 subunit 1

4 Images
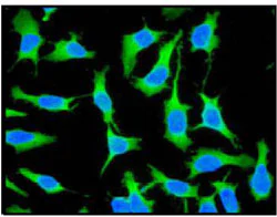
Immunocytochemistry/ Immunofluorescence - Anti-TCP1 alpha/CCTA antibody [EPR4081] - BSA and Azide free (AB247587)
  • ICC/IF

Unknown

Immunocytochemistry/ Immunofluorescence - Anti-TCP1 alpha/CCTA antibody [EPR4081] - BSA and Azide free (AB247587)

This data was developed using ab92587, the same antibody clone in a different buffer formulation.

ab92587 at 1/250 dilution staining TCP1 alpha/CCTA in HeLa cells by Immunofluorescence.

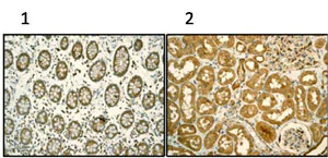
Immunohistochemistry (Formalin/PFA-fixed paraffin-embedded sections) - Anti-TCP1 alpha/CCTA antibody [EPR4081] - BSA and Azide free (AB247587)
  • IHC-P

Unknown

Immunohistochemistry (Formalin/PFA-fixed paraffin-embedded sections) - Anti-TCP1 alpha/CCTA antibody [EPR4081] - BSA and Azide free (AB247587)

This data was developed using ab92587, the same antibody clone in a different buffer formulation.

ab92587 at 1/100 dilution staining TCP1 alpha/CCTA in (1) Human colon tissue and (2) Human kidney tissue by Immunohistochemistry Formalin-fixed, Paraffin-embedded tissue. Detection : DAB staining.

Perform heat mediated antigen retrieval via the pressure cooker method before commencing with IHC staining protocol.

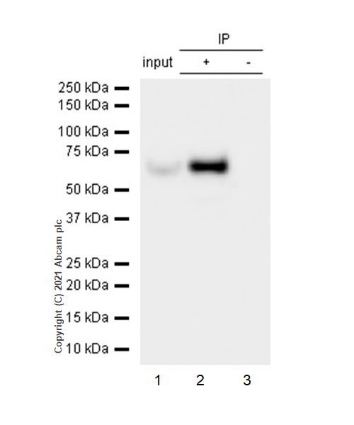
Immunoprecipitation - Anti-TCP1 alpha/CCTA antibody [EPR4081] - BSA and Azide free (AB247587)
  • IP

Lab

Immunoprecipitation - Anti-TCP1 alpha/CCTA antibody [EPR4081] - BSA and Azide free (AB247587)

This data was developed using ab92587, the same antibody clone in a different buffer formulation.

TCP1 alpha/CCTA was immunoprecipitated from 0.35 mg HeLa (Human cervix adenocarcinoma epithelial cell) whole cell lysate 10 μg with 92587 at 1/50 dilution (2μg). VeriBlot for IP Detection Reagent (HRP) (ab131366) was used at 1/5000 dilution.

Lane 1 : HeLa (Human cervix adenocarcinoma epithelial cell) whole cell lysate 10 μg

Lane 2 : ab92587 IP in HeLa whole cell lysate

Lane 3 : Rabbit monoclonal IgG (ab172730) instead of ab92587 in HeLa whole cell lysate

Blocking and dilution buffer and concentration : 5% NFDM/TBST.

All lanes:

Immunoprecipitation - Anti-TCP1 alpha/CCTA antibody [EPR4081] (<a href='/en-us/products/primary-antibodies/tcp1-alpha-ccta-antibody-epr4081-ab92587'>ab92587</a>)

Predicted band size: 60 kDa

Observed band size: 60 kDa

false

Western blot - Anti-TCP1 alpha/CCTA antibody [EPR4081] - BSA and Azide free (AB247587)
  • WB

Unknown

Western blot - Anti-TCP1 alpha/CCTA antibody [EPR4081] - BSA and Azide free (AB247587)

This data was developed using ab92587, the same antibody clone in a different buffer formulation.

All lanes:

Western blot - Anti-TCP1 alpha/CCTA antibody [EPR4081] (<a href='/en-us/products/primary-antibodies/tcp1-alpha-ccta-antibody-epr4081-ab92587'>ab92587</a>) at 1/10000 dilution

Lane 1:

HeLa cell lysate at 10 µg

Lane 2:

ECV-304 cell lysate at 10 µg

Lane 3:

A549 cell lysate at 10 µg

Lane 4:

293T (Human embryonic kidney epithelial cell) cell lysate at 10 µg

Secondary

All lanes:

HRP labelled goat anti-rabbit at 1/2000 dilution

Predicted band size: 60 kDa

false

Key facts

Host species

Rabbit

Clonality

Monoclonal

Clone number

EPR4081

Isotype

IgG

Carrier free

Yes

Reacts with

Human

Applications

IHC-P, ICC/IF, IP, WB

applications

Immunogen

The exact immunogen used to generate this antibody is proprietary information.

Reactivity data

{ "title": "Reactivity Data", "filters": { "stats": ["", "Species", "Dilution Info", "Notes"], "tabs": { "all-applications": {"fullname" : "All Applications", "shortname": "All Applications"}, "IHCP" : {"fullname" : "Immunohistochemistry (Formalin/PFA-fixed paraffin-embedded sections)", "shortname":"IHC-P"}, "ICCIF" : {"fullname" : "Immunocytochemistry/ Immunofluorescence", "shortname":"ICC/IF"}, "IP" : {"fullname" : "Immunoprecipitation", "shortname":"IP"}, "FlowCyt" : {"fullname" : "Flow Cytometry", "shortname":"Flow Cyt"}, "WB" : {"fullname" : "Western blot", "shortname":"WB"} }, "product-promise": { "all": "all", "testedAndGuaranteed": "tested", "guaranteed": "expected", "predicted": "predicted", "notRecommended": "not-recommended" } }, "values": { "Human": { "IHCP-species-checked": "testedAndGuaranteed", "IHCP-species-dilution-info": "", "IHCP-species-notes": "<p></p>", "ICCIF-species-checked": "testedAndGuaranteed", "ICCIF-species-dilution-info": "", "ICCIF-species-notes": "<p></p>", "IP-species-checked": "testedAndGuaranteed", "IP-species-dilution-info": "", "IP-species-notes": "<p></p>", "FlowCyt-species-checked": "notRecommended", "FlowCyt-species-dilution-info": "", "FlowCyt-species-notes": "<p></p>", "WB-species-checked": "testedAndGuaranteed", "WB-species-dilution-info": "", "WB-species-notes": "<p></p>" } } }

Product details

ab247587 is the carrier-free version of ab92587.

Species reactivity
Mouse, Rat: We have preliminary internal testing data to indicate this antibody may not react with these species.
Please contact us for more information.

Patented technology
Our RabMAb® technology is a patented hybridoma-based technology for making rabbit monoclonal antibodies. For details on our patents, please refer to RabMAb® patents.

What are the advantages of a recombinant monoclonal antibody?
This product is a recombinant monoclonal antibody, which offers several advantages including:

  • - High batch-to-batch consistency and reproducibility
  • - Improved sensitivity and specificity
  • - Long-term security of supply
  • - Animal-free batch production

For more information, read more on recombinant antibodies.

Conjugation ready
Our carrier-free antibodies are typically supplied in a PBS-only formulation, purified and free of BSA, sodium azide and glycerol. This conjugation-ready format is designed for use with fluorochromes, metal isotopes, oligonucleotides, and enzymes, which makes them ideal for antibody labelling, functional and cell-based assays, flow-based assays (e.g. mass cytometry) and Multiplex Imaging applications.

Use our conjugation kits for antibody conjugates that are ready-to-use in as little as 20 minutes with 1 minute hands-on-time and 100% antibody recovery: available for fluorescent dyes, HRP, biotin and gold.

Compatibility
This product is compatible with the Maxpar® Antibody Labeling Kit from Fluidigm, without the need for antibody preparation. Maxpar® is a trademark of Fluidigm Canada Inc.

Properties and storage information

Form
Liquid
Purification technique
Affinity purification
Storage buffer
pH: 7.2 - 7.4 Constituents: PBS
Shipped at conditions
Blue Ice
Appropriate short-term storage conditions
+4°C
Appropriate long-term storage conditions
+4°C
Storage information
Do Not Freeze

Supplementary information

This supplementary information is collated from multiple sources and compiled automatically.

TCP1 alpha also known as CCTA or alpha TCP functions as a molecular chaperone within the cell. It assists in the folding of newly synthesized proteins specifically in large complexes. TCP1 alpha is one of eight subunits that form the chaperonin-containing TCP1 (CCT) complex weighing around 60 kDa. Researchers find TCP1 alpha in high concentrations in the cytoplasm expressing abundantly in tissues with high rates of protein synthesis such as testis and brain.
Biological function summary

The CCT complex which includes TCP1 alpha plays a significant role in maintaining cellular proteostasis by ensuring correct protein folding. It is essential in the folding of actin and tubulin both critical proteins for cytoskeletal functions. TCP1 alpha as part of the CCT complex prevents aggregation of polypeptides maintaining them in a functional state. By doing so TCP1 alpha influences numerous cellular processes including cell division and cytoskeletal arrangements.

Pathways

TCP1 alpha participates in essential cellular pathways such as the cytoskeleton organization and protein folding pathways. In cytoskeleton organization it ensures the correct folding of actin and tubulin which are important components for cytoskeletal integrity. This target also collaborates with heat shock proteins in protein folding pathways acting as a checkpoint to ensure only properly folded proteins advance through the pathway. Through these pathways TCP1 alpha keeps cellular structures and functions in check.

The malfunction of TCP1 alpha within the CCT complex has connections to neurodegenerative diseases and cancer. Aberrations in protein folding can lead to aggregations implicated in neurodegenerative disorders like Huntington's disease. Additionally the link between TCP1 alpha and imbalanced protein synthesis suggests its involvement in cancer cell proliferation where chaperone activity is upregulated. The interaction of TCP1 alpha with proteins like p53 a critical regulator in cancer highlights its role in disease development and progression.

Product protocols

For this product, it's our understanding that no specific protocols are required. You can visit:

Target data

Component of the chaperonin-containing T-complex (TRiC), a molecular chaperone complex that assists the folding of proteins upon ATP hydrolysis (PubMed : 25467444). The TRiC complex mediates the folding of WRAP53/TCAB1, thereby regulating telomere maintenance (PubMed : 25467444). As part of the TRiC complex may play a role in the assembly of BBSome, a complex involved in ciliogenesis regulating transports vesicles to the cilia (PubMed : 20080638). The TRiC complex plays a role in the folding of actin and tubulin (Probable).
See full target information TCP1

Product promise

We are committed to supporting your work with high-quality reagents, and we're here for you every step of the way. In the unlikely event that one of our products does not perform as expected, you're protected by our Product Promise.
For full details, please see our Terms & Conditions

Please note: All products are 'FOR RESEARCH USE ONLY. NOT FOR USE IN DIAGNOSTIC OR THERAPEUTIC PROCEDURES'.

For licensing inquiries, please contact partnerships@abcam.com