JavaScript is disabled in your browser. Please enable JavaScript to view this website.
AB248280

Anti-TCP1 delta antibody [EPR8495(B)] - BSA and Azide free

Be the first to review this product! Submit a review

|

(0 Publication)

Rabbit Recombinant Monoclonal TCP1 delta antibody. Carrier free. Suitable for IHC-P, WB and reacts with Human samples.

View Alternative Names

CCTD, SRB, CCT4, T-complex protein 1 subunit delta, TCP-1-delta, CCT-delta, Chaperonin containing T-complex polypeptide 1 subunit 4, Stimulator of TAR RNA-binding

2 Images
Western blot - Anti-TCP1 delta antibody [EPR8495(B)] - BSA and Azide free (AB248280)
  • WB

Unknown

Western blot - Anti-TCP1 delta antibody [EPR8495(B)] - BSA and Azide free (AB248280)

This data was developed using ab129072, the same antibody clone in a different buffer formulation.

All lanes:

Western blot - Anti-TCP1 delta antibody [EPR8495(B)] (<a href='/en-us/products/primary-antibodies/tcp1-delta-antibody-epr8495b-ab129072'>ab129072</a>) at 1/1000 dilution

Lane 1:

HeLa cell lysate at 10 µg

Lane 2:

Jurkat cell lysate at 10 µg

Lane 3:

Ramos cell lysate at 10 µg

Lane 4:

HepG2 cell lysate at 10 µg

Secondary

All lanes:

Goat anti-Rabbit HRP at 1/2000 dilution

Predicted band size: 60 kDa

false

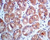
Immunohistochemistry (Formalin/PFA-fixed paraffin-embedded sections) - Anti-TCP1 delta antibody [EPR8495(B)] - BSA and Azide free (AB248280)
  • IHC-P

Unknown

Immunohistochemistry (Formalin/PFA-fixed paraffin-embedded sections) - Anti-TCP1 delta antibody [EPR8495(B)] - BSA and Azide free (AB248280)

This data was developed using ab129072, the same antibody clone in a different buffer formulation.

ab129072, at 1/50 dilution, staining TCP1 delta in paraffin-embedded Human stomach tissue by Immunohistochemistry.

Perform heat mediated antigen retrieval before commencing with IHC staining protocol.

Key facts

Host species

Rabbit

Clonality

Monoclonal

Clone number

EPR8495(B)

Isotype

IgG

Carrier free

Yes

Reacts with

Human

Applications

IHC-P, WB

applications

Immunogen

The exact immunogen used to generate this antibody is proprietary information.

Reactivity data

{ "title": "Reactivity Data", "filters": { "stats": ["", "Species", "Dilution Info", "Notes"], "tabs": { "all-applications": {"fullname" : "All Applications", "shortname": "All Applications"}, "IHCP" : {"fullname" : "Immunohistochemistry (Formalin/PFA-fixed paraffin-embedded sections)", "shortname":"IHC-P"}, "ICCIF" : {"fullname" : "Immunocytochemistry/ Immunofluorescence", "shortname":"ICC/IF"}, "IP" : {"fullname" : "Immunoprecipitation", "shortname":"IP"}, "FlowCyt" : {"fullname" : "Flow Cytometry", "shortname":"Flow Cyt"}, "WB" : {"fullname" : "Western blot", "shortname":"WB"} }, "product-promise": { "all": "all", "testedAndGuaranteed": "tested", "guaranteed": "expected", "predicted": "predicted", "notRecommended": "not-recommended" } }, "values": { "Human": { "IHCP-species-checked": "testedAndGuaranteed", "IHCP-species-dilution-info": "", "IHCP-species-notes": "<p></p> Perform heat-mediated antigen retrieval before commencing with IHC staining protocol.", "ICCIF-species-checked": "notRecommended", "ICCIF-species-dilution-info": "", "ICCIF-species-notes": "<p></p>", "IP-species-checked": "notRecommended", "IP-species-dilution-info": "", "IP-species-notes": "<p></p>", "FlowCyt-species-checked": "notRecommended", "FlowCyt-species-dilution-info": "", "FlowCyt-species-notes": "<p></p>", "WB-species-checked": "testedAndGuaranteed", "WB-species-dilution-info": "", "WB-species-notes": "<p></p>" }, "Mouse": { "IHCP-species-checked": "predicted", "IHCP-species-dilution-info": "", "IHCP-species-notes": "", "ICCIF-species-checked": "notRecommended", "ICCIF-species-dilution-info": "", "ICCIF-species-notes": "", "IP-species-checked": "notRecommended", "IP-species-dilution-info": "", "IP-species-notes": "", "FlowCyt-species-checked": "notRecommended", "FlowCyt-species-dilution-info": "", "FlowCyt-species-notes": "", "WB-species-checked": "predicted", "WB-species-dilution-info": "", "WB-species-notes": "" }, "Rat": { "IHCP-species-checked": "predicted", "IHCP-species-dilution-info": "", "IHCP-species-notes": "", "ICCIF-species-checked": "notRecommended", "ICCIF-species-dilution-info": "", "ICCIF-species-notes": "", "IP-species-checked": "notRecommended", "IP-species-dilution-info": "", "IP-species-notes": "", "FlowCyt-species-checked": "notRecommended", "FlowCyt-species-dilution-info": "", "FlowCyt-species-notes": "", "WB-species-checked": "predicted", "WB-species-dilution-info": "", "WB-species-notes": "" } } }

Product details

ab248280 is the carrier-free version of ab129072.

Patented technology
Our RabMAb® technology is a patented hybridoma-based technology for making rabbit monoclonal antibodies. For details on our patents, please refer to RabMAb® patents.

What are the advantages of a recombinant monoclonal antibody?
This product is a recombinant monoclonal antibody, which offers several advantages including:

  • - High batch-to-batch consistency and reproducibility
  • - Improved sensitivity and specificity
  • - Long-term security of supply
  • - Animal-free batch production

For more information, read more on recombinant antibodies.

Conjugation ready
Our carrier-free antibodies are typically supplied in a PBS-only formulation, purified and free of BSA, sodium azide and glycerol. This conjugation-ready format is designed for use with fluorochromes, metal isotopes, oligonucleotides, and enzymes, which makes them ideal for antibody labelling, functional and cell-based assays, flow-based assays (e.g. mass cytometry) and Multiplex Imaging applications.

Use our conjugation kits for antibody conjugates that are ready-to-use in as little as 20 minutes with 1 minute hands-on-time and 100% antibody recovery: available for fluorescent dyes, HRP, biotin and gold.

Compatibility
This product is compatible with the Maxpar® Antibody Labeling Kit from Fluidigm, without the need for antibody preparation. Maxpar® is a trademark of Fluidigm Canada Inc.

Properties and storage information

Form
Liquid
Purification technique
Affinity purification Protein A
Storage buffer
pH: 7.2 - 7.4 Constituents: PBS
Shipped at conditions
Blue Ice
Appropriate short-term storage conditions
+4°C
Appropriate long-term storage conditions
+4°C
Storage information
Do Not Freeze

Supplementary information

This supplementary information is collated from multiple sources and compiled automatically.

TCP1 delta also known as CCT4 is a subunit of the chaperonin containing TCP1 complex. This protein has a molecular mass of approximately 60 kDa. It is part of a group of proteins in eukaryotic cells known as group II chaperonins. TCP1 delta is expressed in various tissues with higher levels found in brain testis and ovary. It plays a role in protein folding which is important for proper cellular functions.
Biological function summary

TCP1 delta functions as part of the chaperonin complex assisting in the folding of cytoskeletal proteins such as actin and tubulin. This complex is critical for maintaining cellular integrity and function by ensuring proper protein configuration. TCP1 delta influences cell cycle regulation and proliferation through its role in folding key components of the cytoskeleton. Formation of this complex occurs in the cytoplasm where it effectively brings together other subunits to undertake its biological roles.

Pathways

TCP1 delta interacts significantly in the protein folding and cytoskeleton organization pathways. It collaborates with other proteins like CCT1 and CCT5 within the TCP-1 ring complex ensuring accurate protein assembly. The protein folding pathway where TCP1 delta operates is essential for cell cycle progression and maintaining cellular homeostasis while also playing a role in the signal transduction involving the cytoskeleton.

TCP1 delta connections appear in some neurodegenerative diseases and cancer. Abnormal function or expression of TCP1 delta relates to misfolding and aggregation of proteins a hallmark of conditions like Huntington’s disease. Moreover dysregulation of TCP1 delta activity is observed in certain cancers where it might interact with oncogenic proteins affecting cell growth and division. Understanding TCP1 delta's role in these diseases helps in identifying potential therapeutic targets.

Product protocols

For this product, it's our understanding that no specific protocols are required. You can visit:

Target data

Component of the chaperonin-containing T-complex (TRiC), a molecular chaperone complex that assists the folding of proteins upon ATP hydrolysis (PubMed : 25467444). The TRiC complex mediates the folding of WRAP53/TCAB1, thereby regulating telomere maintenance (PubMed : 25467444). As part of the TRiC complex may play a role in the assembly of BBSome, a complex involved in ciliogenesis regulating transports vesicles to the cilia (PubMed : 20080638). The TRiC complex plays a role in the folding of actin and tubulin (Probable).
See full target information CCT4

Product promise

We are committed to supporting your work with high-quality reagents, and we're here for you every step of the way. In the unlikely event that one of our products does not perform as expected, you're protected by our Product Promise.
For full details, please see our Terms & Conditions

Associated Products

Select an associated product type
Alternative Product
Primary Antibodies

AB264353

Anti-TCP1 delta antibody

primary-antibodies

tcp1-delta-antibody-ab264353

0

(0 reviews)

Please note: All products are 'FOR RESEARCH USE ONLY. NOT FOR USE IN DIAGNOSTIC OR THERAPEUTIC PROCEDURES'.

For licensing inquiries, please contact partnerships@abcam.com