JavaScript is disabled in your browser. Please enable JavaScript to view this website.
AB96321

Anti-TCP1 theta antibody

Be the first to review this product! Submit a review

|

(2 Publications)

Rabbit Polyclonal TCP1 theta antibody. Suitable for WB, IHC-P and reacts with Human, Mouse samples. Cited in 2 publications. Immunogen corresponding to Recombinant Fragment Protein within Human CCT8 aa 100-350.

View Alternative Names

C21orf112, CCTQ, KIAA0002, CCT8, T-complex protein 1 subunit theta, TCP-1-theta, CCT-theta, Chaperonin containing T-complex polypeptide 1 subunit 8, Renal carcinoma antigen NY-REN-15

3 Images
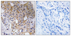
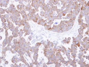
Immunohistochemistry (Formalin/PFA-fixed paraffin-embedded sections) - Anti-TCP1 theta antibody (AB96321)
  • IHC-P

Unknown

Immunohistochemistry (Formalin/PFA-fixed paraffin-embedded sections) - Anti-TCP1 theta antibody (AB96321)

Immunohistochemistry analysis of paraffin-embedded OVCAR3 xenograft, using ab96321 at 1/500 dilution.

Western blot - Anti-TCP1 theta antibody (AB96321)
  • WB

Supplier Data

Western blot - Anti-TCP1 theta antibody (AB96321)

Samples were separated by 7.5% SDS-PAGE.

All lanes:

Western blot - Anti-TCP1 theta antibody (ab96321) at 1/1000 dilution

Lane 1:

293T whole cell extracts at 30 µg

Lane 2:

A431 whole cell extracts at 30 µg

Lane 3:

HeLa whole cell extracts at 30 µg

Lane 4:

HepG2 whole cell extracts at 30 µg

Secondary

All lanes:

HRP-conjugated anti-rabbit IgG antibody

Predicted band size: 60 kDa

false

Western blot - Anti-TCP1 theta antibody (AB96321)
  • WB

Supplier Data

Western blot - Anti-TCP1 theta antibody (AB96321)

Samples were separated by 7.5% SDS-PAGE.

All lanes:

Western blot - Anti-TCP1 theta antibody (ab96321) at 1/5000 dilution

All lanes:

Mouse brain whole cell lysate at 50 µg

Predicted band size: 60 kDa

false

Key facts

Host species

Rabbit

Clonality

Polyclonal

Isotype

IgG

Carrier free

No

Reacts with

Mouse, Human

Applications

WB, IHC-P

applications

Immunogen

Recombinant Fragment Protein within Human CCT8 aa 100-350. The exact immunogen used to generate this antibody is proprietary information.

P50990

Reactivity data

{ "title": "Reactivity Data", "filters": { "stats": ["", "Species", "Dilution Info", "Notes"], "tabs": { "all-applications": {"fullname" : "All Applications", "shortname": "All Applications"}, "WB" : {"fullname" : "Western blot", "shortname":"WB"}, "IHCP" : {"fullname" : "Immunohistochemistry (Formalin/PFA-fixed paraffin-embedded sections)", "shortname":"IHC-P"} }, "product-promise": { "all": "all", "testedAndGuaranteed": "tested", "guaranteed": "expected", "predicted": "predicted", "notRecommended": "not-recommended" } }, "values": { "Human": { "WB-species-checked": "testedAndGuaranteed", "WB-species-dilution-info": "1/1000 - 1/10000", "WB-species-notes": "<p></p>", "IHCP-species-checked": "testedAndGuaranteed", "IHCP-species-dilution-info": "1/100 - 1/1000", "IHCP-species-notes": "<p></p>" }, "Mouse": { "WB-species-checked": "testedAndGuaranteed", "WB-species-dilution-info": "1/1000 - 1/10000", "WB-species-notes": "<p></p>", "IHCP-species-checked": "guaranteed", "IHCP-species-dilution-info": "", "IHCP-species-notes": "" }, "Rat": { "WB-species-checked": "predicted", "WB-species-dilution-info": "", "WB-species-notes": "", "IHCP-species-checked": "predicted", "IHCP-species-dilution-info": "", "IHCP-species-notes": "" }, "Cow": { "WB-species-checked": "predicted", "WB-species-dilution-info": "", "WB-species-notes": "", "IHCP-species-checked": "predicted", "IHCP-species-dilution-info": "", "IHCP-species-notes": "" } } }

Properties and storage information

Form
Liquid
Purification technique
Affinity purification Immunogen
Storage buffer
pH: 7 Preservative: 0.01% Thimerosal (merthiolate) Constituents: PBS, 20% Glycerol (glycerin, glycerine), 1% BSA
Shipped at conditions
Blue Ice
Appropriate short-term storage conditions
+4°C
Appropriate long-term storage conditions
-20°C
Aliquoting information
Upon delivery aliquot
Storage information
Avoid freeze / thaw cycle

Supplementary information

This supplementary information is collated from multiple sources and compiled automatically.

TCP1 theta also known as CCT8 is a chaperonin protein that plays a critical role in assisting the folding of newly synthesized and stress-denatured proteins. With a molecular mass of approximately 59 kDa TCP1 theta is an essential component of the chaperonin-containing TCP1 (CCT) complex also referred to as the TRiC complex. It is found primarily in the cytoplasm and is expressed in various tissues with high levels noted in the brain liver and testis.
Biological function summary

TCP1 theta functions within the CCT complex to facilitate the proper folding of proteins particularly actin and tubulin which are vital for maintaining cellular structure and function. By ensuring correct protein folding TCP1 theta helps prevent aggregation that could lead to cellular dysfunction. This chaperonin is part of a large complex that cooperates with other chaperonins to stabilize newly synthesized polypeptides and mediate their conformational maturation.

Pathways

TCP1 theta is integral to the protein folding pathway and actively participates in cytoskeletal organization. TCP1 theta interacts closely with proteins like actin and tubulin aiding in their folding and stabilization. Its activity supports the function of the cytoskeleton influencing cell shape and transport processes. The protein folding pathway in which TCP1 theta plays an important role is essential for proper cellular function and response to stress.

Malfunction or dysregulation of TCP1 theta contributes to conditions such as cancer and neurodegenerative diseases. In cancer abnormal expression of TCP1 theta may support tumor progression and cell survival by aiding in the folding of proteins required for rapid cell division. Additionally its role in neurodegenerative diseases connects to alterations in protein homeostasis often exacerbating disorders like Alzheimer's disease. Proteins involved in these diseases such as tau in Alzheimer's may rely on TCP1 theta for correct folding linking its function to pathogenesis.

Product protocols

For this product, it's our understanding that no specific protocols are required. You can visit:

Target data

Component of the chaperonin-containing T-complex (TRiC), a molecular chaperone complex that assists the folding of proteins upon ATP hydrolysis (PubMed : 25467444). The TRiC complex mediates the folding of WRAP53/TCAB1, thereby regulating telomere maintenance (PubMed : 25467444). As part of the TRiC complex may play a role in the assembly of BBSome, a complex involved in ciliogenesis regulating transports vesicles to the cilia (PubMed : 20080638). The TRiC complex plays a role in the folding of actin and tubulin (Probable).
See full target information CCT8

Publications (2)

Recent publications for all applications. Explore the full list and refine your search

Developmental cell 58:677-693.e9 PubMed37019113

2023

The ancestral ESCRT protein TOM1L2 selects ubiquitinated cargoes for retrieval from cilia.

Applications

Unspecified application

Species

Unspecified reactive species

Swapnil Rohidas Shinde,David U Mick,Erika Aoki,Rachel B Rodrigues,Steven P Gygi,Maxence V Nachury

Frontiers in cellular neuroscience 14:123 PubMed32528249

2020

Cell-Specific Transcriptional Responses to Heat Shock in the Mouse Utricle Epithelium.

Applications

Unspecified application

Species

Unspecified reactive species

Erica Sadler,Matthew M Ryals,Lindsey A May,Daniel Martin,Nora Welsh,Erich T Boger,Robert J Morell,Ronna Hertzano,Lisa L Cunningham
View all publications

Product promise

We are committed to supporting your work with high-quality reagents, and we're here for you every step of the way. In the unlikely event that one of our products does not perform as expected, you're protected by our Product Promise.
For full details, please see our Terms & Conditions

Please note: All products are 'FOR RESEARCH USE ONLY. NOT FOR USE IN DIAGNOSTIC OR THERAPEUTIC PROCEDURES'.

For licensing inquiries, please contact partnerships@abcam.com