JavaScript is disabled in your browser. Please enable JavaScript to view this website.
AB180764

Anti-TCPTP antibody

Be the first to review this product! Submit a review

|

(12 Publications)

Rabbit Polyclonal TCPTP antibody. Suitable for WB, IHC-P, ICC/IF and reacts with Human, Rat samples. Cited in 12 publications. Immunogen corresponding to Recombinant Full Length Protein corresponding to Human PTPN2.

View Alternative Names

PTPT, PTPN2, Tyrosine-protein phosphatase non-receptor type 2, T-cell protein-tyrosine phosphatase, TCPTP

3 Images
Immunocytochemistry/ Immunofluorescence - Anti-TCPTP antibody (AB180764)
  • ICC/IF

Supplier Data

Immunocytochemistry/ Immunofluorescence - Anti-TCPTP antibody (AB180764)

Immunofluorescence staining of MCF-7 cells stained for TCPTP with ab180764. Nuclei are labeled with DAPI (Blue).

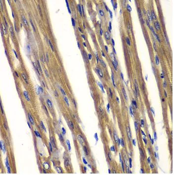
Immunohistochemistry (Formalin/PFA-fixed paraffin-embedded sections) - Anti-TCPTP antibody (AB180764)
  • IHC-P

Supplier Data

Immunohistochemistry (Formalin/PFA-fixed paraffin-embedded sections) - Anti-TCPTP antibody (AB180764)

Paraffin-embedded rat heart tissue stained for TCPTP using ab180764 at 1/100 dilution in immunohistochemical analysis.

Western blot - Anti-TCPTP antibody (AB180764)
  • WB

Supplier Data

Western blot - Anti-TCPTP antibody (AB180764)

Blocking buffer : 3% nonfat dry milk in TBST.

All lanes:

Western blot - Anti-TCPTP antibody (ab180764) at 1/1000 dilution

Lane 1:

SW480 cell lysate at 25 µg

Lane 2:

BT-474 cell lysate at 25 µg

Lane 3:

Jurkat cell lysate at 25 µg

Lane 4:

K-562 cell lysate at 25 µg

Secondary

All lanes:

HRP Goat Anti-Rabbit IgG (H+L)

Predicted band size: 48 kDa

true

Key facts

Host species

Rabbit

Clonality

Polyclonal

Isotype

IgG

Carrier free

No

Reacts with

Rat, Human

Applications

ICC/IF, WB, IHC-P

applications

Immunogen

Recombinant Full Length Protein corresponding to Human PTPN2.

P17706

Reactivity data

{ "title": "Reactivity Data", "filters": { "stats": ["", "Species", "Dilution Info", "Notes"], "tabs": { "all-applications": {"fullname" : "All Applications", "shortname": "All Applications"}, "WB" : {"fullname" : "Western blot", "shortname":"WB"}, "IHCP" : {"fullname" : "Immunohistochemistry (Formalin/PFA-fixed paraffin-embedded sections)", "shortname":"IHC-P"}, "ICCIF" : {"fullname" : "Immunocytochemistry/ Immunofluorescence", "shortname":"ICC/IF"} }, "product-promise": { "all": "all", "testedAndGuaranteed": "tested", "guaranteed": "expected", "predicted": "predicted", "notRecommended": "not-recommended" } }, "values": { "Human": { "WB-species-checked": "testedAndGuaranteed", "WB-species-dilution-info": "1/500 - 1/2000", "WB-species-notes": "<p></p>", "IHCP-species-checked": "guaranteed", "IHCP-species-dilution-info": "", "IHCP-species-notes": "", "ICCIF-species-checked": "testedAndGuaranteed", "ICCIF-species-dilution-info": "1/50 - 1/200", "ICCIF-species-notes": "<p></p>" }, "Rat": { "WB-species-checked": "guaranteed", "WB-species-dilution-info": "", "WB-species-notes": "", "IHCP-species-checked": "testedAndGuaranteed", "IHCP-species-dilution-info": "1/50 - 1/200", "IHCP-species-notes": "<p><a href='/en-us/products/primary-antibodies/rabbit-igg-polyclonal-isotype-control-chip-grade-ab171870'>ab171870</a> - Rabbit polyclonal IgG, is suitable for use as an isotype control with this antibody.</p>", "ICCIF-species-checked": "guaranteed", "ICCIF-species-dilution-info": "", "ICCIF-species-notes": "" } } }

Properties and storage information

Form
Liquid
Purification technique
Affinity purification Immunogen
Storage buffer
pH: 7.3 Preservative: 0.02% Sodium azide Constituents: PBS, 50% Glycerol (glycerin, glycerine)
Shipped at conditions
Blue Ice
Appropriate short-term storage duration
1-2 weeks
Appropriate short-term storage conditions
+4°C
Appropriate long-term storage conditions
-20°C
Aliquoting information
Upon delivery aliquot
Storage information
Avoid freeze / thaw cycle

Supplementary information

This supplementary information is collated from multiple sources and compiled automatically.

TCPTP or T-cell protein tyrosine phosphatase is an enzyme that functions mechanically by removing phosphate groups from tyrosine residues on its substrate proteins. This process helps regulate various signaling pathways within cells. Also known as PTPN2 TCPTP is a protein with a mass of approximately 48 kDa. Its expression occurs in many tissues with notable levels in hematopoietic cells and within the endoplasmic reticulum.
Biological function summary

TCPTP plays a role in the control of cell growth differentiation and immune response. It functions independently not as part of a larger complex. This enzyme acts as a negative regulator of signaling pathways by dephosphorylating proteins that drive these cellular processes. Its activity ensures a balance in cellular signaling preventing overactivation which could lead to uncontrolled cell proliferation or inappropriate immune responses.

Pathways

TCPTP holds significant function in the JAK-STAT and insulin signaling pathways. Within the JAK-STAT pathway TCPTP dephosphorylates members such as JAK1 and JAK3 helping modulate cytokine responses and immune regulation. In the insulin signaling pathway it influences the dephosphorylation of the insulin receptor thereby impacting insulin sensitivity. Such interactions demonstrate its involvement in key cellular processes necessary for immune function and metabolic regulation.

TCPTP has associations with autoimmune diseases such as Type 1 Diabetes and Crohn’s Disease. Reduced activity or altered expression of TCPTP has been observed in these conditions suggesting its regulatory role in immune tolerance. Furthermore its connection with proteins like the cytokine IL-6 in autoimmune responses implicates TCPTP in the disease mechanisms where disrupted signaling can contribute to chronic inflammation and immune system dysfunction.

Product protocols

For this product, it's our understanding that no specific protocols are required. You can visit:

Target data

Non-receptor type tyrosine-specific phosphatase that dephosphorylates receptor protein tyrosine kinases including INSR, EGFR, CSF1R, PDGFR. Also dephosphorylates non-receptor protein tyrosine kinases like JAK1, JAK2, JAK3, Src family kinases, STAT1, STAT3 and STAT6 either in the nucleus or the cytoplasm. Negatively regulates numerous signaling pathways and biological processes like hematopoiesis, inflammatory response, cell proliferation and differentiation, and glucose homeostasis. Plays a multifaceted and important role in the development of the immune system. Functions in T-cell receptor signaling through dephosphorylation of FYN and LCK to control T-cells differentiation and activation. Dephosphorylates CSF1R, negatively regulating its downstream signaling and macrophage differentiation. Negatively regulates cytokine (IL2/interleukin-2 and interferon)-mediated signaling through dephosphorylation of the cytoplasmic kinases JAK1, JAK3 and their substrate STAT1, that propagate signaling downstream of the cytokine receptors. Also regulates the IL6/interleukin-6 and IL4/interleukin-4 cytokine signaling through dephosphorylation of STAT3 and STAT6 respectively. In addition to the immune system, it is involved in anchorage-dependent, negative regulation of EGF-stimulated cell growth. Activated by the integrin ITGA1/ITGB1, it dephosphorylates EGFR and negatively regulates EGF signaling. Dephosphorylates PDGFRB and negatively regulates platelet-derived growth factor receptor-beta signaling pathway and therefore cell proliferation. Negatively regulates tumor necrosis factor-mediated signaling downstream via MAPK through SRC dephosphorylation. May also regulate the hepatocyte growth factor receptor signaling pathway through dephosphorylation of the hepatocyte growth factor receptor MET. Also plays an important role in glucose homeostasis. For instance, negatively regulates the insulin receptor signaling pathway through the dephosphorylation of INSR and control gluconeogenesis and liver glucose production through negative regulation of the IL6 signaling pathways. May also bind DNA.
See full target information PTPN2

Publications (12)

Recent publications for all applications. Explore the full list and refine your search

Cellular and molecular life sciences : CMLS 81:329 PubMed39090270

2024

Fetal growth restriction and placental defects in obese mice are associated with impaired decidualisation: the role of increased leptin signalling modulators SOCS3 and PTPN2.

Applications

Unspecified application

Species

Unspecified reactive species

Edyta Walewska,Karol G Makowczenko,Krzysztof Witek,Elżbieta Laniecka,Tomasz Molcan,Andrea Alvarez-Sanchez,Gavin Kelsey,Vicente Perez-Garcia,António M Galvão

Nature 622:850-862 PubMed37794185

2023

The PTPN2/PTPN1 inhibitor ABBV-CLS-484 unleashes potent anti-tumour immunity.

Applications

Unspecified application

Species

Unspecified reactive species

Christina K Baumgartner,Hakimeh Ebrahimi-Nik,Arvin Iracheta-Vellve,Keith M Hamel,Kira E Olander,Thomas G R Davis,Kathleen A McGuire,Geoff T Halvorsen,Omar I Avila,Chirag H Patel,Sarah Y Kim,Ashwin V Kammula,Audrey J Muscato,Kyle Halliwill,Prasanthi Geda,Kelly L Klinge,Zhaoming Xiong,Ryan Duggan,Liang Mu,Mitchell D Yeary,James C Patti,Tyler M Balon,Rebecca Mathew,Carey Backus,Domenick E Kennedy,Angeline Chen,Kenton Longenecker,Joseph T Klahn,Cara L Hrusch,Navasona Krishnan,Charles W Hutchins,Jax P Dunning,Marinka Bulic,Payal Tiwari,Kayla J Colvin,Cun Lan Chuong,Ian C Kohnle,Matthew G Rees,Andrew Boghossian,Melissa Ronan,Jennifer A Roth,Meng-Ju Wu,Juliette S M T Suermondt,Nelson H Knudsen,Collins K Cheruiyot,Debattama R Sen,Gabriel K Griffin,Todd R Golub,Nabeel El-Bardeesy,Joshua H Decker,Yi Yang,Magali Guffroy,Stacey Fossey,Patricia Trusk,Im-Meng Sun,Yue Liu,Wei Qiu,Qi Sun,Marcia N Paddock,Elliot P Farney,Mark A Matulenko,Clay Beauregard,Jennifer M Frost,Kathleen B Yates,Philip R Kym,Robert T Manguso

Cancer discovery 13:432-453 PubMed36302222

2022

Senescence Rewires Microenvironment Sensing to Facilitate Antitumor Immunity.

Applications

Unspecified application

Species

Unspecified reactive species

Hsuan-An Chen,Yu-Jui Ho,Riccardo Mezzadra,Jose M Adrover,Ryan Smolkin,Changyu Zhu,Katharina Woess,Nicholas Bernstein,Georgia Schmitt,Linda Fong,Wei Luan,Alexandra Wuest,Sha Tian,Xiang Li,Caroline Broderick,Ronald C Hendrickson,Mikala Egeblad,Zhenghao Chen,Direna Alonso-Curbelo,Scott W Lowe

Journal of feline medicine and surgery 23:168-174 PubMed32713240

2020

Prognostic factors and proposed grading system for cutaneous and subcutaneous soft tissue sarcomas in cats, based on a retrospective study.

Applications

Unspecified application

Species

Unspecified reactive species

Melanie J Dobromylskyj,Victoria Richards,Ken C Smith

Experimental biology and medicine (Maywood, N.J.) 244:1493-1503 PubMed31615285

2019

PTPN2 improves implant osseointegration in T2DM via inducing the dephosphorylation of ERK.

Applications

Unspecified application

Species

Unspecified reactive species

Ya-Nan Wang,Tingting Jia,Jiajia Zhang,Jing Lan,Dongjiao Zhang,Xin Xu

Journal of cellular and molecular medicine 23:4179-4195 PubMed30955247

2019

PTPN2 improved renal injury and fibrosis by suppressing STAT-induced inflammation in early diabetic nephropathy.

Applications

Unspecified application

Species

Unspecified reactive species

Ya Li,Huimin Zhou,Yulin Li,Lu Han,Ming Song,Fangfang Chen,Guokai Shang,Di Wang,Zhihao Wang,Wei Zhang,Ming Zhong

Molecular and cellular endocrinology 482:62-69 PubMed30572001

2018

The role of TCPTP on leptin effects on astrocyte morphology.

Applications

Unspecified application

Species

Unspecified reactive species

Lucas Kniess Debarba,Fernanda Maria Veanholi Vechiato,Hellen Veida-Silva,Beatriz C Borges,Maria Célia Jamur,José Antunes-Rodrigues,Lucila Leico Kagohara Elias

Revue scientifique et technique (International Office of Epizootics) 36:57-66 PubMed28926028

2017

Achieving an optimal allocation of resources for animal health surveillance, intervention and disease mitigation.

Applications

Unspecified application

Species

Unspecified reactive species

B Hasler,A Delabouglise,S Babo Martins

Nature 547:413-418 PubMed28723893

2017

In vivo CRISPR screening identifies Ptpn2 as a cancer immunotherapy target.

Applications

WB

Species

Unspecified reactive species

Robert T Manguso,Hans W Pope,Margaret D Zimmer,Flavian D Brown,Kathleen B Yates,Brian C Miller,Natalie B Collins,Kevin Bi,Martin W LaFleur,Vikram R Juneja,Sarah A Weiss,Jennifer Lo,David E Fisher,Diana Miao,Eliezer Van Allen,David E Root,Arlene H Sharpe,John G Doench,W Nicholas Haining

Journal of zoo and wildlife medicine : official publication of the American Association of Zoo Veterinarians 47:963-969 PubMed28080897

2017

RADIOGRAPHIC CARDIAC SILHOUETTE MEASUREMENT IN CAPTIVE LIVINGSTONE'S FRUIT BATS (PTEROPUS LIVINGSTONII).

Applications

Unspecified application

Species

Unspecified reactive species

Katherine V R Dickson,Ceri W Twiston Davies,Andrew Routh,Rowena Killick,Alberto R Barbon
View all publications

Product promise

We are committed to supporting your work with high-quality reagents, and we're here for you every step of the way. In the unlikely event that one of our products does not perform as expected, you're protected by our Product Promise.
For full details, please see our Terms & Conditions

Please note: All products are 'FOR RESEARCH USE ONLY. NOT FOR USE IN DIAGNOSTIC OR THERAPEUTIC PROCEDURES'.

For licensing inquiries, please contact partnerships@abcam.com