JavaScript is disabled in your browser. Please enable JavaScript to view this website.
AB314496

Anti-TCPTP antibody [EPR28199-34]

  • BOND RX™ Validated
  • 20ul selling size
  • RabMAb
  • Recombinant
  • KO Validated
  • What is this?

Be the first to review this product! Submit a review

|

(0 Publication)

Knockout Tested Rabbit Recombinant Monoclonal TCPTP antibody. Suitable for WB, IHC-P, Flow Cyt (Intra) and reacts with Human, Mouse, Rat samples.

View Alternative Names

PTPT, PTPN2, Tyrosine-protein phosphatase non-receptor type 2, T-cell protein-tyrosine phosphatase, TCPTP

13 Images
Flow Cytometry (Intracellular) - Anti-TCPTP antibody [EPR28199-34] (AB314496)
  • Flow Cyt (Intra)

Supplier Data

Flow Cytometry (Intracellular) - Anti-TCPTP antibody [EPR28199-34] (AB314496)

Flow cytometric analysis of 4% paraformaldehyde fixed 90% methanol permeabilized PTPN2 KO Jurkat (human PTPN2 knockout T cell leukemia T lymphocyte from peripheral blood, Left) / Parental Jurkat (Right) cells labelling TCPTP with ab314496 at 1/500 dilution (0.1 ug)/Red (Red) compared with a Rabbit monoclonal IgG (ab172730) (Black) isotype control and an unlabelled control (cells without incubation with primary antibody and secondary antibody) (Blue). A Goat Anti-Rabbit IgG (Alexa Fluor® 488, ab150081) at 1/5000 dilution was used as the secondary antibody.

Immunohistochemistry (Formalin/PFA-fixed paraffin-embedded sections) - Anti-TCPTP antibody [EPR28199-34] (AB314496)
  • IHC-P

Supplier Data

Immunohistochemistry (Formalin/PFA-fixed paraffin-embedded sections) - Anti-TCPTP antibody [EPR28199-34] (AB314496)

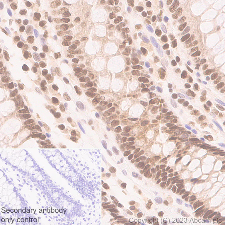
Immunohistochemical analysis of paraffin-embedded Human colon tissue labeling TCPTP with ab314496 at 1/500 (1.05 ug/ml) followed by a ready to use LeicaDS9800 (Bond™ Polymer Refine Detection). Mainly nuclear staining on human colon (PMID : 33001862). The section was incubated with ab314496 for 30 mins at room temperature.The immunostaining was performed on a Leica Biosystems BOND® RX instrument Counterstained with Hematoxylin. Secondary antibody only control : Secondary antibody is a ready to use LeicaDS9800 (Bond™ Polymer Refine Detection). Heat mediated antigen retrieval was performed with Tris-EDTA buffer (pH 9.0, Epitope Retrieval Solution2) for 20 mins

Immunohistochemistry (Formalin/PFA-fixed paraffin-embedded sections) - Anti-TCPTP antibody [EPR28199-34] (AB314496)
  • IHC-P

Supplier Data

Immunohistochemistry (Formalin/PFA-fixed paraffin-embedded sections) - Anti-TCPTP antibody [EPR28199-34] (AB314496)

Immunohistochemical analysis of paraffin-embedded (A) Parental Jurkat (human T cell leukemia) cell pellet (B) PTPN2 knockout Jurkat cell pellet tissue labeling TCPTP with ab314496 at 1/2000 (0.263 ug/ml) followed by a ready to use LeicaDS9800 (Bond™ Polymer Refine Detection). Nuclear staining on (A) Parental Jurkat (human T cell leukemia) cell pellet, negative staining on (B) PTPN2 knockout Jurkat cell pellet. The section was incubated with ab314496 for 30 mins at room temperature.The immunostaining was performed on a Leica Biosystems BOND® RX instrument Counterstained with Hematoxylin. Secondary antibody only control : Secondary antibody is a ready to use LeicaDS9800 (Bond™ Polymer Refine Detection). Heat mediated antigen retrieval was performed with Tris-EDTA buffer (pH 9.0, Epitope Retrieval Solution2) for 20 mins

Immunohistochemistry (Formalin/PFA-fixed paraffin-embedded sections) - Anti-TCPTP antibody [EPR28199-34] (AB314496)
  • IHC-P

Supplier Data

Immunohistochemistry (Formalin/PFA-fixed paraffin-embedded sections) - Anti-TCPTP antibody [EPR28199-34] (AB314496)

Immunohistochemical analysis of paraffin-embedded Rat cardiac muscle tissue labeling TCPTP with ab314496 at 1/500 (1.05 ug/ml) followed by a ready to use LeicaDS9800 (Bond™ Polymer Refine Detection). Mainly nuclear staining on rat cardiac muscle. The section was incubated with ab314496 for 30 mins at room temperature.The immunostaining was performed on a Leica Biosystems BOND® RX instrument Counterstained with Hematoxylin. Secondary antibody only control : Secondary antibody is a ready to use LeicaDS9800 (Bond™ Polymer Refine Detection). Heat mediated antigen retrieval was performed with Tris-EDTA buffer (pH 9.0, Epitope Retrieval Solution2) for 20 mins

Immunohistochemistry (Formalin/PFA-fixed paraffin-embedded sections) - Anti-TCPTP antibody [EPR28199-34] (AB314496)
  • IHC-P

Supplier Data

Immunohistochemistry (Formalin/PFA-fixed paraffin-embedded sections) - Anti-TCPTP antibody [EPR28199-34] (AB314496)

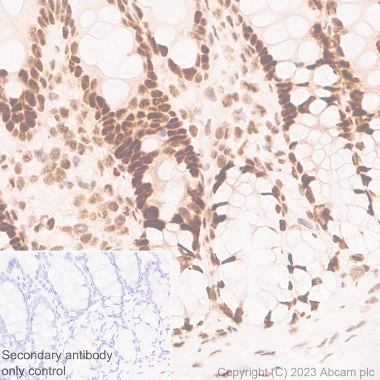
Immunohistochemical analysis of paraffin-embedded Mouse colon tissue labeling TCPTP with ab314496 at 1/500 (1.05 ug/ml) followed by a ready to use LeicaDS9800 (Bond™ Polymer Refine Detection). Mainly nuclear staining on mouse colon. The section was incubated with ab314496 for 30 mins at room temperature.The immunostaining was performed on a Leica Biosystems BOND® RX instrument Counterstained with Hematoxylin. Secondary antibody only control : Secondary antibody is a ready to use LeicaDS9800 (Bond™ Polymer Refine Detection). Heat mediated antigen retrieval was performed with Tris-EDTA buffer (pH 9.0, Epitope Retrieval Solution2) for 20 mins

Immunohistochemistry (Formalin/PFA-fixed paraffin-embedded sections) - Anti-TCPTP antibody [EPR28199-34] (AB314496)
  • IHC-P

Supplier Data

Immunohistochemistry (Formalin/PFA-fixed paraffin-embedded sections) - Anti-TCPTP antibody [EPR28199-34] (AB314496)

Immunohistochemical analysis of paraffin-embedded Mouse cardiac muscle tissue labeling TCPTP with ab314496 at 1/500 (1.05 ug/ml) followed by a ready to use LeicaDS9800 (Bond™ Polymer Refine Detection). Mainly nuclear staining on mouse cardiac muscle. The section was incubated with ab314496 for 30 mins at room temperature.The immunostaining was performed on a Leica Biosystems BOND® RX instrument Counterstained with Hematoxylin. Secondary antibody only control : Secondary antibody is a ready to use LeicaDS9800 (Bond™ Polymer Refine Detection). Heat mediated antigen retrieval was performed with Tris-EDTA buffer (pH 9.0, Epitope Retrieval Solution2) for 20 mins

Flow Cytometry (Intracellular) - Anti-TCPTP antibody [EPR28199-34] (AB314496)
  • Flow Cyt (Intra)

Supplier Data

Flow Cytometry (Intracellular) - Anti-TCPTP antibody [EPR28199-34] (AB314496)

Flow cytometric analysis of 4% paraformaldehyde fixed 90% methanol permeabilized NIH/3T3 (mouse embryonic fibroblast) cells labelling TCPTP with ab314496 at 1/500 dilution (0.1 ug)/Red (Red) compared with a Rabbit monoclonal IgG (ab172730) (Black) isotype control and an unlabelled control (cells without incubation with primary antibody and secondary antibody) (Blue). A Goat Anti-Rabbit IgG (Alexa Fluor® 488, ab150081) at 1/5000 dilution was used as the secondary antibody.

Immunohistochemistry (Formalin/PFA-fixed paraffin-embedded sections) - Anti-TCPTP antibody [EPR28199-34] (AB314496)
  • IHC-P

Supplier Data

Immunohistochemistry (Formalin/PFA-fixed paraffin-embedded sections) - Anti-TCPTP antibody [EPR28199-34] (AB314496)

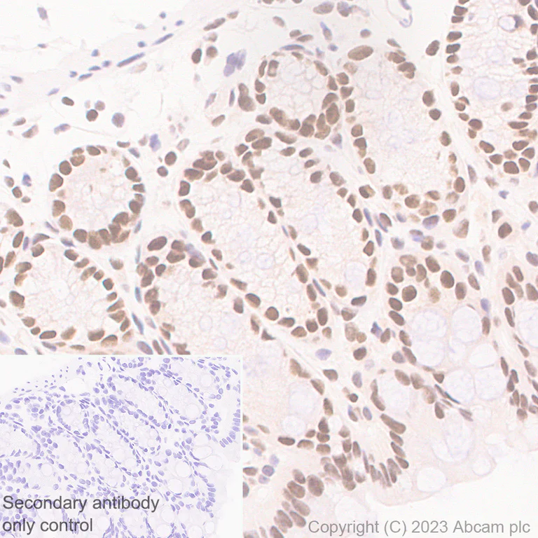
Immunohistochemical analysis of paraffin-embedded Rat colon tissue labeling TCPTP with ab314496 at 1/500 (1.05 ug/ml) followed by a ready to use LeicaDS9800 (Bond™ Polymer Refine Detection). Mainly nuclear staining on rat colon. The section was incubated with ab314496 for 30 mins at room temperature.The immunostaining was performed on a Leica Biosystems BOND® RX instrument Counterstained with Hematoxylin. Secondary antibody only control : Secondary antibody is a ready to use LeicaDS9800 (Bond™ Polymer Refine Detection). Heat mediated antigen retrieval was performed with Tris-EDTA buffer (pH 9.0, Epitope Retrieval Solution2) for 20 mins

Western blot - Anti-TCPTP antibody [EPR28199-34] (AB314496)
  • WB

Lab

Western blot - Anti-TCPTP antibody [EPR28199-34] (AB314496)

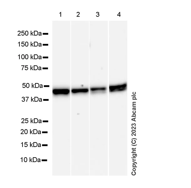
Western blot : Anti-PTPN2 antibody [EPR28199-34] (ab314496) staining at 1/1000 dilution, shown in green; Mouse anti-CANX [CANX/1543] (ab238078) loading control staining at 1/20000 dilution, shown in magenta. In Western blot, ab314496 was shown to bind specifically to PTPN2. A band was observed at 48 kDa in wild-type HCT 116 cell lysates with no signal observed at this size in PTPN2 knockout cell line. To generate this image, wild-type and PTPN2 knockout HCT 116 cell lysates were analysed. First, samples were run on an SDS-PAGE gel then transferred onto a nitrocellulose membrane. Membranes were blocked in 3 % milk in TBS-0.1 % Tween® 20 (TBS-T) before incubation with primary antibodies overnight at 4 °C. Blots were washed four times in TBS-T, incubated with secondary antibodies for 1 h at room temperature, washed again four times then imaged. Secondary antibodies used were Goat anti-Rabbit IgG H&L 800CW and Goat anti-Mouse IgG H&L 680RD at 1/20000 dilution.

All lanes:

Western blot - Anti-TCPTP antibody [EPR28199-34] (ab314496) at 1/1000 dilution

Lane 1:

Wild-type HCT 116 cell lysate at 20 µg

Lane 2:

Western blot - Human PTPN2 knockout HCT116 cell line (<a href='/en-us/products/cell-lines/human-ptpn2-knockout-hct116-cell-line-ab287729'>ab287729</a>)

Lane 2:

PTPN2 knockout HCT 116 cell lysate at 20 µg

Lane 3:

Wild-type Jurkat cell lysate at 20 µg

Lane 4:

PTPN2 knockout Jurkat cell lysate at 20 µg

Secondary

Lanes 1 - 4:

Goat anti-Rabbit IgG H&L 800CW at 1/20000 dilution

Lanes 1 - 4:

Goat anti-Mouse IgG H&L 680RD at 1/20000 dilution

Observed band size: 48 kDa

false

Western blot - Anti-TCPTP antibody [EPR28199-34] (AB314496)
  • WB

Supplier Data

Western blot - Anti-TCPTP antibody [EPR28199-34] (AB314496)

Blocking and diluting buffer and concentration : 5% NFDM/TBST Exposure time : Lane 1 : 15 seconds Lane 2 : 26 seconds Lane 3 : 92 seconds

All lanes:

Western blot - Anti-TCPTP antibody [EPR28199-34] (ab314496) at 1/1000 dilution

Lane 1:

THP-1 (human monocytic leukemia monocyte) whole cell lysate at 20 µg

Lane 2:

RAW264.7 (mouse Abelson murine leukemia virus-induced tumor macrophage) whole cell lysate at 20 µg

Lane 3:

NR8383 (rat lung macrophage (alveolar)) whole cell lysate at 20 µg

Secondary

All lanes:

Western blot - Goat Anti-Rabbit IgG H&L (HRP) (<a href='/en-us/products/secondary-antibodies/goat-rabbit-igg-h-l-hrp-ab97051'>ab97051</a>) at 1/100000 dilution

Observed band size: 45 kDa,48 kDa

false

Western blot - Anti-TCPTP antibody [EPR28199-34] (AB314496)
  • WB

Supplier Data

Western blot - Anti-TCPTP antibody [EPR28199-34] (AB314496)

Blocking and diluting buffer and concentration : 5% NFDM/TBST The expression molecular weight observed is consistent with what has been described in the literature (PMID : 25311528 ). Exposure time : Lane 1, 2 : 26 seconds Lane 3 : 59 seconds Lane 4 : 114 seconds

All lanes:

Western blot - Anti-TCPTP antibody [EPR28199-34] (ab314496) at 1/1000 dilution

Lane 1:

Human testis tissue lysate at 20 µg

Lane 2:

Mouse testis tissue lysate at 20 µg

Lane 3:

Rat testis tissue lysate at 20 µg

Lane 4:

MEF (mouse embryo fibroblast) whole cell lysate at 20 µg

Secondary

All lanes:

Western blot - Goat Anti-Rabbit IgG H&L (HRP) (<a href='/en-us/products/secondary-antibodies/goat-rabbit-igg-h-l-hrp-ab97051'>ab97051</a>) at 1/100000 dilution

Observed band size: 45 kDa,48 kDa

false

Western blot - Anti-TCPTP antibody [EPR28199-34] (AB314496)
  • WB

Supplier Data

Western blot - Anti-TCPTP antibody [EPR28199-34] (AB314496)

Blocking and diluting buffer and concentration : 5% NFDM/TBST The expression molecular weight observed is consistent with what has been described in the literature (PMID : 25311528 ). In Western blot, ab314496 was shown to bind specifically to PTPN2 . Target of interest was observed at 48, 45kDa in wild-type Jurkat cell lysates (lane 1) with no signal observed at this size in PTPN2 knockout cell line (lane 2) (lane 2, knockout cell line ab274899/ knockout cell lysate ab274957). In Western blot, Anti-GAPDH antibody [EPR16891] - Loading Control (ab181602) staining at 1/200000 dilution. Exposure time : Lane 1, 2 : 3 minutes Lane 3 : 48 seconds

All lanes:

Western blot - Anti-TCPTP antibody [EPR28199-34] (ab314496) at 1/1000 dilution

Lane 1:

Wild-type Jurkat (human T cell leukemia T lymphocyte) whole cell lysate at 20 µg

Lane 2:

PTPN2 Knockout Jurkat whole cell lysate at 20 µg

Lane 3:

NIH/3T3 (mouse embryonic fibroblast), whole cell lysate at 20 µg

Secondary

All lanes:

Western blot - Goat Anti-Rabbit IgG H&L (HRP) (<a href='/en-us/products/secondary-antibodies/goat-rabbit-igg-h-l-hrp-ab97051'>ab97051</a>) at 1/100000 dilution

Observed band size: 45 kDa,48 kDa

false

Western blot - Anti-TCPTP antibody [EPR28199-34] (AB314496)
  • WB

Supplier Data

Western blot - Anti-TCPTP antibody [EPR28199-34] (AB314496)

Blocking and diluting buffer and concentration : 5% NFDM/TBST The expression molecular weight observed is consistent with what has been described in the literature (PMID : 25311528 ).

All lanes:

Western blot - Anti-TCPTP antibody [EPR28199-34] (ab314496) at 1/1000 dilution

Lane 1:

Rat heart tissue lysate at 20 µg

Lane 2:

Rat kidney tissue lysate at 20 µg

Lane 3:

Mouse brain tissue lysate at 20 µg

Lane 4:

Mouse heart tissue lysate at 20 µg

Secondary

All lanes:

Western blot - Goat Anti-Rabbit IgG H&L (HRP) (<a href='/en-us/products/secondary-antibodies/goat-rabbit-igg-h-l-hrp-ab97051'>ab97051</a>) at 1/100000 dilution

Observed band size: 45 kDa,48 kDa

false

Exposure time: 48s

Key facts

Host species

Rabbit

Clonality

Monoclonal

Clone number

EPR28199-34

Isotype

IgG

Carrier free

No

Reacts with

Human, Mouse, Rat

Applications

Flow Cyt (Intra), IHC-P, WB

applications

Immunogen

The exact immunogen used to generate this antibody is proprietary information.

Reactivity data

{ "title": "Reactivity Data", "filters": { "stats": ["", "Species", "Dilution Info", "Notes"], "tabs": { "all-applications": {"fullname" : "All Applications", "shortname": "All Applications"}, "WB" : {"fullname" : "Western blot", "shortname":"WB"}, "IHCP" : {"fullname" : "Immunohistochemistry (Formalin/PFA-fixed paraffin-embedded sections)", "shortname":"IHC-P"}, "FlowCytIntra" : {"fullname" : "Flow Cytometry (Intracellular)", "shortname":"Flow Cyt (Intra)"}, "ICCIF" : {"fullname" : "Immunocytochemistry/ Immunofluorescence", "shortname":"ICC/IF"}, "IP" : {"fullname" : "Immunoprecipitation", "shortname":"IP"} }, "product-promise": { "all": "all", "testedAndGuaranteed": "tested", "guaranteed": "expected", "predicted": "predicted", "notRecommended": "not-recommended" } }, "values": { "Human": { "WB-species-checked": "testedAndGuaranteed", "WB-species-dilution-info": "1/1000", "WB-species-notes": "<p></p>", "IHCP-species-checked": "testedAndGuaranteed", "IHCP-species-dilution-info": "1/500", "IHCP-species-notes": "<p></p> Perform heat-mediated antigen retrieval with Tris/EDTA buffer pH 9.0 before commencing with IHC staining protocol.", "FlowCytIntra-species-checked": "testedAndGuaranteed", "FlowCytIntra-species-dilution-info": "1/500", "FlowCytIntra-species-notes": "<p></p>", "ICCIF-species-checked": "notRecommended", "ICCIF-species-dilution-info": "", "ICCIF-species-notes": "<p></p>", "IP-species-checked": "notRecommended", "IP-species-dilution-info": "", "IP-species-notes": "<p></p>" }, "Mouse": { "WB-species-checked": "testedAndGuaranteed", "WB-species-dilution-info": "1/1000", "WB-species-notes": "<p></p>", "IHCP-species-checked": "testedAndGuaranteed", "IHCP-species-dilution-info": "1/500", "IHCP-species-notes": "<p></p> Perform heat-mediated antigen retrieval with Tris/EDTA buffer pH 9.0 before commencing with IHC staining protocol.", "FlowCytIntra-species-checked": "testedAndGuaranteed", "FlowCytIntra-species-dilution-info": "1/500", "FlowCytIntra-species-notes": "<p></p>", "ICCIF-species-checked": "notRecommended", "ICCIF-species-dilution-info": "", "ICCIF-species-notes": "<p></p>", "IP-species-checked": "notRecommended", "IP-species-dilution-info": "", "IP-species-notes": "" }, "Rat": { "WB-species-checked": "testedAndGuaranteed", "WB-species-dilution-info": "1/1000", "WB-species-notes": "<p></p>", "IHCP-species-checked": "testedAndGuaranteed", "IHCP-species-dilution-info": "1/500", "IHCP-species-notes": "<p></p> Perform heat-mediated antigen retrieval with Tris/EDTA buffer pH 9.0 before commencing with IHC staining protocol.", "FlowCytIntra-species-checked": "guaranteed", "FlowCytIntra-species-dilution-info": "", "FlowCytIntra-species-notes": "", "ICCIF-species-checked": "notRecommended", "ICCIF-species-dilution-info": "", "ICCIF-species-notes": "", "IP-species-checked": "notRecommended", "IP-species-dilution-info": "", "IP-species-notes": "" } } }

Product details

Properties and storage information

Form
Liquid
Purification technique
Affinity purification Protein A
Storage buffer
pH: 7.2 - 7.4 Preservative: 0.01% Sodium azide Constituents: PBS, 40% Glycerol (glycerin, glycerine), 0.05% BSA
Shipped at conditions
Blue Ice
Appropriate short-term storage duration
1-2 weeks
Appropriate short-term storage conditions
+4°C
Appropriate long-term storage conditions
-20°C
Aliquoting information
Upon delivery aliquot
Storage information
Avoid freeze / thaw cycle

Supplementary information

This supplementary information is collated from multiple sources and compiled automatically.

TCPTP or T-cell protein tyrosine phosphatase is an enzyme that functions mechanically by removing phosphate groups from tyrosine residues on its substrate proteins. This process helps regulate various signaling pathways within cells. Also known as PTPN2 TCPTP is a protein with a mass of approximately 48 kDa. Its expression occurs in many tissues with notable levels in hematopoietic cells and within the endoplasmic reticulum.
Biological function summary

TCPTP plays a role in the control of cell growth differentiation and immune response. It functions independently not as part of a larger complex. This enzyme acts as a negative regulator of signaling pathways by dephosphorylating proteins that drive these cellular processes. Its activity ensures a balance in cellular signaling preventing overactivation which could lead to uncontrolled cell proliferation or inappropriate immune responses.

Pathways

TCPTP holds significant function in the JAK-STAT and insulin signaling pathways. Within the JAK-STAT pathway TCPTP dephosphorylates members such as JAK1 and JAK3 helping modulate cytokine responses and immune regulation. In the insulin signaling pathway it influences the dephosphorylation of the insulin receptor thereby impacting insulin sensitivity. Such interactions demonstrate its involvement in key cellular processes necessary for immune function and metabolic regulation.

TCPTP has associations with autoimmune diseases such as Type 1 Diabetes and Crohn’s Disease. Reduced activity or altered expression of TCPTP has been observed in these conditions suggesting its regulatory role in immune tolerance. Furthermore its connection with proteins like the cytokine IL-6 in autoimmune responses implicates TCPTP in the disease mechanisms where disrupted signaling can contribute to chronic inflammation and immune system dysfunction.

Product protocols

For this product, it's our understanding that no specific protocols are required. You can visit:

Target data

Non-receptor type tyrosine-specific phosphatase that dephosphorylates receptor protein tyrosine kinases including INSR, EGFR, CSF1R, PDGFR. Also dephosphorylates non-receptor protein tyrosine kinases like JAK1, JAK2, JAK3, Src family kinases, STAT1, STAT3 and STAT6 either in the nucleus or the cytoplasm. Negatively regulates numerous signaling pathways and biological processes like hematopoiesis, inflammatory response, cell proliferation and differentiation, and glucose homeostasis. Plays a multifaceted and important role in the development of the immune system. Functions in T-cell receptor signaling through dephosphorylation of FYN and LCK to control T-cells differentiation and activation. Dephosphorylates CSF1R, negatively regulating its downstream signaling and macrophage differentiation. Negatively regulates cytokine (IL2/interleukin-2 and interferon)-mediated signaling through dephosphorylation of the cytoplasmic kinases JAK1, JAK3 and their substrate STAT1, that propagate signaling downstream of the cytokine receptors. Also regulates the IL6/interleukin-6 and IL4/interleukin-4 cytokine signaling through dephosphorylation of STAT3 and STAT6 respectively. In addition to the immune system, it is involved in anchorage-dependent, negative regulation of EGF-stimulated cell growth. Activated by the integrin ITGA1/ITGB1, it dephosphorylates EGFR and negatively regulates EGF signaling. Dephosphorylates PDGFRB and negatively regulates platelet-derived growth factor receptor-beta signaling pathway and therefore cell proliferation. Negatively regulates tumor necrosis factor-mediated signaling downstream via MAPK through SRC dephosphorylation. May also regulate the hepatocyte growth factor receptor signaling pathway through dephosphorylation of the hepatocyte growth factor receptor MET. Also plays an important role in glucose homeostasis. For instance, negatively regulates the insulin receptor signaling pathway through the dephosphorylation of INSR and control gluconeogenesis and liver glucose production through negative regulation of the IL6 signaling pathways. May also bind DNA.
See full target information PTPN2

Product promise

We are committed to supporting your work with high-quality reagents, and we're here for you every step of the way. In the unlikely event that one of our products does not perform as expected, you're protected by our Product Promise.
For full details, please see our Terms & Conditions

Please note: All products are 'FOR RESEARCH USE ONLY. NOT FOR USE IN DIAGNOSTIC OR THERAPEUTIC PROCEDURES'.

For licensing inquiries, please contact partnerships@abcam.com