JavaScript is disabled in your browser. Please enable JavaScript to view this website.
AB315325

Anti-TCR beta antibody [EPR24928-66] - BSA and Azide free

  • BOND RX™ Validated
  • Recombinant
  • Advanced Validation
  • RabMAb
  • What is this?

Be the first to review this product! Submit a review

|

(0 Publication)

Rabbit Recombinant Monoclonal T Cell Receptor antibody. Carrier free. Suitable for WB, IHC-P, mIHC and reacts with Human, Transfected cell lysate - Human, Transfected cell line - Human samples.

View Alternative Names

T cell receptor beta constant 1, TRBC1, TCR beta

9 Images
Immunohistochemistry (Formalin/PFA-fixed paraffin-embedded sections) - Anti-TCR beta antibody [EPR24928-66] - BSA and Azide free (AB315325)
  • IHC-P

Supplier Data

Immunohistochemistry (Formalin/PFA-fixed paraffin-embedded sections) - Anti-TCR beta antibody [EPR24928-66] - BSA and Azide free (AB315325)

This data was developed using ab315324, the same antibody clone in a different buffer formulation.

Immunohistochemical analysis of paraffin-embedded (A) HEK-293T (human epithelial cell line from embryonic kidney) transfected with a TRBC1 expression vector containing a Myc-His tag. (B) HEK-293T transfected with a TRBC2 expression vector containing a Myc-His tag. (C) HEK-293T transfected with empty vector containing a Myc-His tag. Tissue labeling TCR beta with ab315324 at 1/5000 (0.105 ug/ml) dilution, followed by a ready to use LeicaDS9800 (Bond™ Polymer Refine Detection).

Positive staining on (A) HEK-293T (human epithelial cell line from embryonic kidney) transfected with a TRBC1 expression vector containing a Myc-His tag and (B) HEK-293T transfected with a TRBC2 expression vector containing a Myc-His tag, negative staining on (C) HEK-293T transfected with empty vector containing a Myc-His tag. The section was incubated with ab315324 for 30 mins at room temperature. The immunostaining was performed on a Leica Biosystems BOND® RX instrument. Counterstained with Hematoxylin.

Secondary antibody only control : Secondary antibody is a ready to use LeicaDS9800 (Bond™ Polymer Refine Detection).

Heat mediated antigen retrieval was performed with Tris-EDTA buffer (pH 9.0, Epitope Retrieval Solution2) for 20 mins.

Immunohistochemistry (Formalin/PFA-fixed paraffin-embedded sections) - Anti-TCR beta antibody [EPR24928-66] - BSA and Azide free (AB315325)
  • IHC-P

Supplier Data

Immunohistochemistry (Formalin/PFA-fixed paraffin-embedded sections) - Anti-TCR beta antibody [EPR24928-66] - BSA and Azide free (AB315325)

This data was developed using ab315324, the same antibody clone in a different buffer formulation.

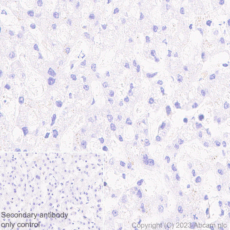
Immunohistochemical analysis of paraffin-embedded Human liver tissue labeling TCR beta with ab315324 at 1/500 (1.054 ug/ml) dilution, followed by a ready to use LeicaDS9800 (Bond™ Polymer Refine Detection).

Negative control : no staining on human liver. The section was incubated with ab315324 for 30 mins at room temperature. The immunostaining was performed on a Leica Biosystems BOND® RX instrument. Counterstained with Hematoxylin.

Secondary antibody only control : Secondary antibody is a ready to use LeicaDS9800 (Bond™ Polymer Refine Detection).

Heat mediated antigen retrieval was performed with Tris-EDTA buffer (pH 9.0, Epitope Retrieval Solution2) for 20 mins.

Multiplex immunohistochemistry - Anti-TCR beta antibody [EPR24928-66] - BSA and Azide free (AB315325)
  • mIHC

Supplier Data

Multiplex immunohistochemistry - Anti-TCR beta antibody [EPR24928-66] - BSA and Azide free (AB315325)

This data was developed using ab315324, the same antibody clone in a different buffer formulation.

Fluorescence multiplex immunohistochemical analysis of human tonsil (formalin-fixed paraffin-embedded section). Merged staining of Panel A : merged staining of anti-TCR beta (green; Opal™520) and anti-CD3E (red; Opal™570) on human tonsil, Panel B : anti-TCR beta staining T lymphocytes of human tonsil, Panel C : anti-CD3E staining T lymphocytes of human tonsil. DAPI was used as a counter stain. Followed by Opal Polymer HRP Ms + Rb. The immunostaining was performed on a Leica Biosystems BOND® RX instrument with an Opal™ 4-color kit. Image acquisition was performed with Leica SP8 confocal microscope. The section was incubated in three rounds of staining : in the order of ab315324, ab237707 for 30 mins at room temperature. Each round was followed by a separate fluorescent tyramide signal amplification system. Heat mediated antigen retrieval was performed with Tris-EDTA buffer (pH 9.0, Epitope Retrieval Solution2) for 20 mins.

Immunohistochemistry (Formalin/PFA-fixed paraffin-embedded sections) - Anti-TCR beta antibody [EPR24928-66] - BSA and Azide free (AB315325)
  • IHC-P

Supplier Data

Immunohistochemistry (Formalin/PFA-fixed paraffin-embedded sections) - Anti-TCR beta antibody [EPR24928-66] - BSA and Azide free (AB315325)

This data was developed using ab315324, the same antibody clone in a different buffer formulation.

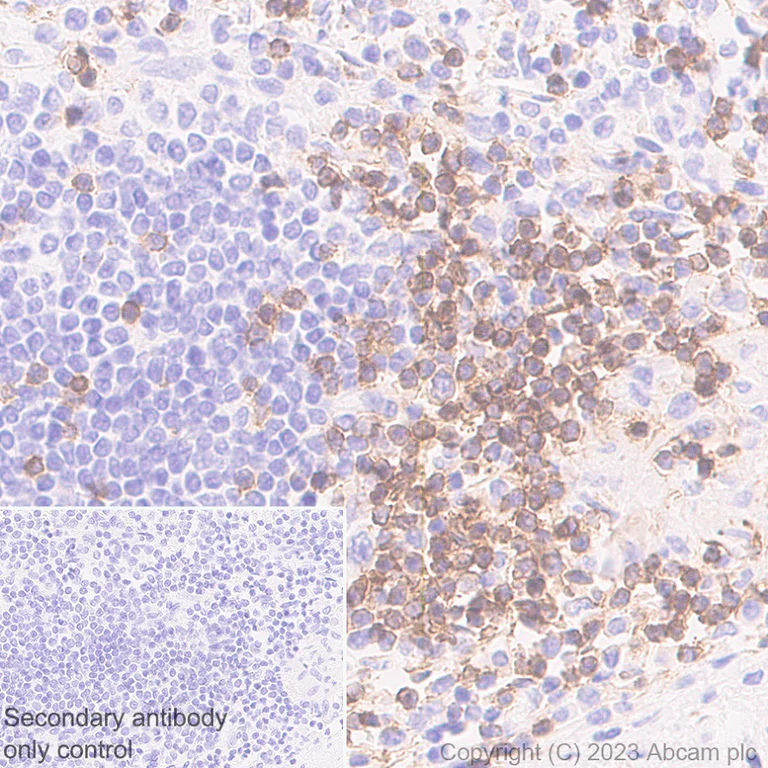
Immunohistochemical analysis of paraffin-embedded Human spleen tissue labeling TCR beta with ab315324 at 1/500 (1.054 ug/ml) dilution, followed by a ready to use LeicaDS9800 (Bond™ Polymer Refine Detection).

Positive staining on human spleen. The section was incubated with ab315324 for 30 mins at room temperature. The immunostaining was performed on a Leica Biosystems BOND® RX instrument. Counterstained with Hematoxylin.

Secondary antibody only control : Secondary antibody is a ready to use LeicaDS9800 (Bond™ Polymer Refine Detection).

Heat mediated antigen retrieval was performed with Tris-EDTA buffer (pH 9.0, Epitope Retrieval Solution2) for 20 mins.

Immunohistochemistry (Formalin/PFA-fixed paraffin-embedded sections) - Anti-TCR beta antibody [EPR24928-66] - BSA and Azide free (AB315325)
  • IHC-P

Supplier Data

Immunohistochemistry (Formalin/PFA-fixed paraffin-embedded sections) - Anti-TCR beta antibody [EPR24928-66] - BSA and Azide free (AB315325)

This data was developed using ab315324, the same antibody clone in a different buffer formulation.

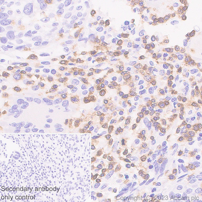
Immunohistochemical analysis of paraffin-embedded Human lung cancer tissue labeling TCR beta with ab315324 at 1/500 (1.054 ug/ml) dilution, followed by a ready to use LeicaDS9800 (Bond™ Polymer Refine Detection).

Positive staining on human lung cancer. The section was incubated with ab315324 for 30 mins at room temperature. The immunostaining was performed on a Leica Biosystems BOND® RX instrument. Counterstained with Hematoxylin.

Secondary antibody only control : Secondary antibody is a ready to use LeicaDS9800 (Bond™ Polymer Refine Detection).

Heat mediated antigen retrieval was performed with Tris-EDTA buffer (pH 9.0, Epitope Retrieval Solution2) for 20 mins.

Immunohistochemistry (Formalin/PFA-fixed paraffin-embedded sections) - Anti-TCR beta antibody [EPR24928-66] - BSA and Azide free (AB315325)
  • IHC-P

Supplier Data

Immunohistochemistry (Formalin/PFA-fixed paraffin-embedded sections) - Anti-TCR beta antibody [EPR24928-66] - BSA and Azide free (AB315325)

This data was developed using ab315324, the same antibody clone in a different buffer formulation.

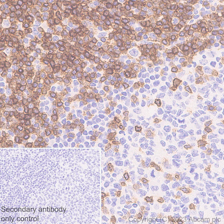
Immunohistochemical analysis of paraffin-embedded Human tonsil tissue labeling TCR beta with ab315324 at 1/500 (1.054 ug/ml) dilution, followed by a ready to use LeicaDS9800 (Bond™ Polymer Refine Detection).

Positive staining on human tonsil. The section was incubated with ab315324 for 30 mins at room temperature. The immunostaining was performed on a Leica Biosystems BOND® RX instrument. Counterstained with Hematoxylin.

Secondary antibody only control : Secondary antibody is a ready to use LeicaDS9800 (Bond™ Polymer Refine Detection).

Heat mediated antigen retrieval was performed with Tris-EDTA buffer (pH 9.0, Epitope Retrieval Solution2) for 20 mins.

Western blot - Anti-TCR beta antibody [EPR24928-66] - BSA and Azide free (AB315325)
  • WB

Supplier Data

Western blot - Anti-TCR beta antibody [EPR24928-66] - BSA and Azide free (AB315325)

This data was developed using ab315324, the same antibody clone in a different buffer formulation.

Blocking and diluting buffer and concentration : 5% NFDM/TBST.

Negative control : Ramos, Raji.

This antibody recognizes both TCR beta-1 and TCR beta-2 .

CCRF-CEM is a TCR beta-1 negative but TCR beta-2 positive cell line while H9 is a TCR beta-2 negative but TCR beta-1 positive cell line (PMID : 29131157).

In Western blot, Anti-GAPDH antibody [EPR16891] - Loading Control (ab181602) staining at 1/200000 dilution.

All lanes:

Western blot - Anti-TCR beta antibody [EPR24928-66] (<a href='/en-us/products/primary-antibodies/tcr-beta-antibody-epr24928-66-ab315324'>ab315324</a>) at 1/1000 dilution

Lane 1:

Jurkat (human T cell leukemia T lymphocyte from peripheral blood) whole cell lysate at 20 µg

Lane 2:

Ramos (human Burkitts lymphoma B lymphocyte) whole cell lysate at 20 µg

Lane 3:

Raji (human Burkitts lymphoma B lymphocyte) whole cell lysate at 20 µg

Lane 4:

CCRF-CEM (human peripheral blood T lymphoblast) whole cell lysate at 20 µg

Lane 5:

H9 (human lymphoma cutaneous T lymphocyte) whole cell lysate at 20 µg

Secondary

All lanes:

Western blot - Goat Anti-Rabbit IgG H&L (HRP) (<a href='/en-us/products/secondary-antibodies/goat-rabbit-igg-h-l-hrp-ab97051'>ab97051</a>) at 1/20000 dilution

Observed band size: 38 kDa,36 kDa

false

Exposure time: 180s

Western blot - Anti-TCR beta antibody [EPR24928-66] - BSA and Azide free (AB315325)
  • WB

Supplier Data

Western blot - Anti-TCR beta antibody [EPR24928-66] - BSA and Azide free (AB315325)

This data was developed using ab315324, the same antibody clone in a different buffer formulation.

Blocking and diluting buffer and concentration : 5% NFDM/TBST.

Low expression : liver, cerebellum.

The molecular weight observed is consistent with what has been described in the literature (PMID : 31461748, 37796108).

In Western blot, Anti-GAPDH antibody [EPR16891] - Loading Control (ab181602) staining at 1/200000 dilution.

All lanes:

Western blot - Anti-TCR beta antibody [EPR24928-66] (<a href='/en-us/products/primary-antibodies/tcr-beta-antibody-epr24928-66-ab315324'>ab315324</a>) at 1/1000 dilution

Lane 1:

Human lymph node tissue lysate at 20 µg

Lane 2:

Human thymus tissue lysate at 20 µg

Lane 3:

Human liver tissue lysate at 20 µg

Lane 4:

Human cerebellum tissue lysate at 20 µg

Secondary

All lanes:

Western blot - Goat Anti-Rabbit IgG H&L (HRP) (<a href='/en-us/products/secondary-antibodies/goat-rabbit-igg-h-l-hrp-ab97051'>ab97051</a>) at 1/20000 dilution

Observed band size: 36 kDa,38 kDa

false

Exposure time: 180s

Western blot - Anti-TCR beta antibody [EPR24928-66] - BSA and Azide free (AB315325)
  • WB

Supplier Data

Western blot - Anti-TCR beta antibody [EPR24928-66] - BSA and Azide free (AB315325)

This data was developed using ab315324, the same antibody clone in a different buffer formulation.

Blocking and diluting buffer and concentration : 5% NFDM/TBST.

This antibody recognizes both TCR beta-1 and TCR beta-2.

In Western blot, Anti-GAPDH antibody [EPR16891] - Loading Control (ab181602) staining at 1/200000 dilution.

In Western blot, Anti-6X His tag® antibody [EPR20547] - ChIP Grade (ab213204) staining at 1/5000 dilution.

All lanes:

Western blot - Anti-TCR beta antibody [EPR24928-66] (<a href='/en-us/products/primary-antibodies/tcr-beta-antibody-epr24928-66-ab315324'>ab315324</a>) at 1/1000 dilution

Lane 1:

293T (human embryonic kidney epithelial cell) transfected with an empty vector containing a His-tag, whole cell lysate at 10 µg

Lane 2:

293T transfected with a human TCR beta-1 expression vector containing a His-tag, whole cell lysate at 10 µg

Lane 3:

293T transfected with a human TCR beta-2 expression vector containing a His-tag, whole cell lysate at 10 µg

Secondary

All lanes:

Western blot - Goat Anti-Rabbit IgG H&L (HRP) (<a href='/en-us/products/secondary-antibodies/goat-rabbit-igg-h-l-hrp-ab97051'>ab97051</a>) at 1/100000 dilution

Observed band size: 22 kDa,36 kDa

false

Exposure time: 180s

  • Biotin

    Biotin Anti-TCR beta antibody [EPR24928-66]

  • Unconjugated

    Anti-TCR beta antibody [EPR24928-66]

Key facts

Host species

Rabbit

Clonality

Monoclonal

Clone number

EPR24928-66

Isotype

IgG

Carrier free

Yes

Reacts with

Human

Applications

IHC-P, mIHC, WB

applications

Immunogen

The exact immunogen used to generate this antibody is proprietary information.

Reactivity data

{ "title": "Reactivity Data", "filters": { "stats": ["", "Species", "Dilution Info", "Notes"], "tabs": { "all-applications": {"fullname" : "All Applications", "shortname": "All Applications"}, "WB" : {"fullname" : "Western blot", "shortname":"WB"}, "IHCP" : {"fullname" : "Immunohistochemistry (Formalin/PFA-fixed paraffin-embedded sections)", "shortname":"IHC-P"}, "mIHC" : {"fullname" : "Multiplex immunohistochemistry", "shortname":"mIHC"}, "IP" : {"fullname" : "Immunoprecipitation", "shortname":"IP"}, "FlowCyt" : {"fullname" : "Flow Cytometry", "shortname":"Flow Cyt"}, "ICCIF" : {"fullname" : "Immunocytochemistry/ Immunofluorescence", "shortname":"ICC/IF"} }, "product-promise": { "all": "all", "testedAndGuaranteed": "tested", "guaranteed": "expected", "predicted": "predicted", "notRecommended": "not-recommended" } }, "values": { "Human": { "WB-species-checked": "testedAndGuaranteed", "WB-species-dilution-info": "", "WB-species-notes": "<p></p>", "IHCP-species-checked": "testedAndGuaranteed", "IHCP-species-dilution-info": "", "IHCP-species-notes": "<p></p>", "mIHC-species-checked": "testedAndGuaranteed", "mIHC-species-dilution-info": "", "mIHC-species-notes": "<p></p>", "IP-species-checked": "notRecommended", "IP-species-dilution-info": "", "IP-species-notes": "<p></p>", "FlowCyt-species-checked": "notRecommended", "FlowCyt-species-dilution-info": "", "FlowCyt-species-notes": "<p></p>", "ICCIF-species-checked": "notRecommended", "ICCIF-species-dilution-info": "", "ICCIF-species-notes": "<p></p>" }, "Mouse": { "WB-species-checked": "notRecommended", "WB-species-dilution-info": "", "WB-species-notes": "", "IHCP-species-checked": "notRecommended", "IHCP-species-dilution-info": "", "IHCP-species-notes": "<p></p>", "mIHC-species-checked": "notRecommended", "mIHC-species-dilution-info": "", "mIHC-species-notes": "", "IP-species-checked": "notRecommended", "IP-species-dilution-info": "", "IP-species-notes": "<p></p>", "FlowCyt-species-checked": "notRecommended", "FlowCyt-species-dilution-info": "", "FlowCyt-species-notes": "", "ICCIF-species-checked": "notRecommended", "ICCIF-species-dilution-info": "", "ICCIF-species-notes": "" }, "Rat": { "WB-species-checked": "notRecommended", "WB-species-dilution-info": "", "WB-species-notes": "", "IHCP-species-checked": "notRecommended", "IHCP-species-dilution-info": "", "IHCP-species-notes": "<p></p>", "mIHC-species-checked": "notRecommended", "mIHC-species-dilution-info": "", "mIHC-species-notes": "", "IP-species-checked": "notRecommended", "IP-species-dilution-info": "", "IP-species-notes": "<p></p>", "FlowCyt-species-checked": "notRecommended", "FlowCyt-species-dilution-info": "", "FlowCyt-species-notes": "", "ICCIF-species-checked": "notRecommended", "ICCIF-species-dilution-info": "", "ICCIF-species-notes": "" }, "Transfected cell line - Human": { "WB-species-checked": "notRecommended", "WB-species-dilution-info": "", "WB-species-notes": "", "IHCP-species-checked": "testedAndGuaranteed", "IHCP-species-dilution-info": "", "IHCP-species-notes": "<p></p>", "mIHC-species-checked": "notRecommended", "mIHC-species-dilution-info": "", "mIHC-species-notes": "", "IP-species-checked": "notRecommended", "IP-species-dilution-info": "", "IP-species-notes": "", "FlowCyt-species-checked": "notRecommended", "FlowCyt-species-dilution-info": "", "FlowCyt-species-notes": "", "ICCIF-species-checked": "notRecommended", "ICCIF-species-dilution-info": "", "ICCIF-species-notes": "" }, "Transfected cell lysate - Human": { "WB-species-checked": "testedAndGuaranteed", "WB-species-dilution-info": "", "WB-species-notes": "<p></p>", "IHCP-species-checked": "notRecommended", "IHCP-species-dilution-info": "", "IHCP-species-notes": "", "mIHC-species-checked": "notRecommended", "mIHC-species-dilution-info": "", "mIHC-species-notes": "", "IP-species-checked": "notRecommended", "IP-species-dilution-info": "", "IP-species-notes": "", "FlowCyt-species-checked": "notRecommended", "FlowCyt-species-dilution-info": "", "FlowCyt-species-notes": "", "ICCIF-species-checked": "notRecommended", "ICCIF-species-dilution-info": "", "ICCIF-species-notes": "" } } }

Product details

ab315325 is the carrier-free version of ab315324.

Patented technology
Our RabMAb® technology is a patented hybridoma-based technology for making rabbit monoclonal antibodies. For details on our patents, please refer to RabMAb® patents.

What are the advantages of a recombinant monoclonal antibody?
This product is a recombinant monoclonal antibody, which offers several advantages including:

  • - High batch-to-batch consistency and reproducibility
  • - Improved sensitivity and specificity
  • - Long-term security of supply
  • - Animal-free batch production

For more information, read more on recombinant antibodies.

Conjugation ready
Our carrier-free antibodies are typically supplied in a PBS-only formulation, purified and free of BSA, sodium azide and glycerol. This conjugation-ready format is designed for use with fluorochromes, metal isotopes, oligonucleotides, and enzymes, which makes them ideal for antibody labelling, functional and cell-based assays, flow-based assays (e.g. mass cytometry) and Multiplex Imaging applications.

Use our conjugation kits for antibody conjugates that are ready-to-use in as little as 20 minutes with 1 minute hands-on-time and 100% antibody recovery: available for fluorescent dyes, HRP, biotin and gold.

Compatibility
This product is compatible with the Maxpar® Antibody Labeling Kit from Fluidigm, without the need for antibody preparation. Maxpar® is a trademark of Fluidigm Canada Inc.

Properties and storage information

Form
Liquid
Purification technique
Affinity purification Protein A
Storage buffer
pH: 7.2 - 7.4 Constituents: PBS
Shipped at conditions
Blue Ice
Appropriate short-term storage conditions
+4°C
Appropriate long-term storage conditions
+4°C

Supplementary information

This supplementary information is collated from multiple sources and compiled automatically.

TCR beta also known as T-cell receptor beta is an integral component of the T-cell receptor (TCR) complex. It weighs approximately 40-50 kDa and is expressed on the surface of T cells. TCR beta contributes to the recognition of antigens by interacting with peptide fragments presented by major histocompatibility complex (MHC) molecules. This interaction is essential for T-cell activation which plays a significant role in the adaptive immune response.
Biological function summary

TCR beta is part of the T-cell receptor complex. This complex is critical for antigen recognition and T-cell signaling. The complex comprises multiple subunits including CD3 chains that facilitate signal transduction upon antigen binding. This initiates a cascade of intracellular events leading to T-cell activation and proliferation. TCR beta's role in this complex makes it essential for recognizing pathogens and initiating immune responses.

Pathways

TCR beta is involved in T-cell receptor signaling and adaptive immune pathways. It is closely associated with the Zap70 protein which transmits activation signals from the TCR upon antigen recognition. This signaling cascade further activates the MAPK and NF-κB pathways influencing T-cell differentiation and cytokine production. The interaction between TCR beta and these pathways highlights its fundamental role in immune system regulation.

Dysregulation of TCR beta can contribute to autoimmune diseases and certain types of cancer. For instance aberrant TCR signaling can lead to autoimmunity where T cells attack the body's own tissues. Additionally in some leukemias mutations or rearrangements involving the TCR beta chain can promote uncontrolled cell proliferation. TCR beta's involvement with HLA proteins in autoimmune conditions showcases its significance in disease development and management.

Product protocols

For this product, it's our understanding that no specific protocols are required. You can visit:

Target data

Constant region of T cell receptor (TR) beta chain (PubMed : 24600447). Alpha-beta T cell receptors are antigen specific receptors which are essential to the immune response and are present on the cell surface of T lymphocytes. Recognize peptide-major histocompatibility (MH) (pMH) complexes that are displayed by antigen presenting cells (APC), a prerequisite for efficient T cell adaptive immunity against pathogens (PubMed : 25493333). Binding of alpha-beta TR to pMH complex initiates TR-CD3 clustering on the cell surface and intracellular activation of LCK that phosphorylates the ITAM motifs of CD3G, CD3D, CD3E and CD247 enabling the recruitment of ZAP70. In turn, ZAP70 phosphorylates LAT, which recruits numerous signaling molecules to form the LAT signalosome. The LAT signalosome propagates signal branching to three major signaling pathways, the calcium, the mitogen-activated protein kinase (MAPK) kinase and the nuclear factor NF-kappa-B (NF-kB) pathways, leading to the mobilization of transcription factors that are critical for gene expression and essential for T cell growth and differentiation (PubMed : 23524462, PubMed : 9382891). The T cell repertoire is generated in the thymus, by V-(D)-J rearrangement. This repertoire is then shaped by intrathymic selection events to generate a peripheral T cell pool of self-MH restricted, non-autoaggressive T cells. Post-thymic interaction of alpha-beta TR with the pMH complexes shapes TR structural and functional avidity (PubMed : 15040585).
See full target information TRBC1

Additional targets

TRBC2

Product promise

We are committed to supporting your work with high-quality reagents, and we're here for you every step of the way. In the unlikely event that one of our products does not perform as expected, you're protected by our Product Promise.
For full details, please see our Terms & Conditions

Please note: All products are 'FOR RESEARCH USE ONLY. NOT FOR USE IN DIAGNOSTIC OR THERAPEUTIC PROCEDURES'.

For licensing inquiries, please contact partnerships@abcam.com