JavaScript is disabled in your browser. Please enable JavaScript to view this website.
AB313579

Anti-TCR beta antibody [EPR27870-34]

  • BOND RX™ Validated
  • 20ul selling size
  • RabMAb
  • Recombinant
  • What is this?

5

(1 Review)

|

(1 Publication)

Rabbit Recombinant Monoclonal TCB1 antibody. Suitable for IHC-P, WB, IP and reacts with Mouse, Rat, Transfected cell lysate - Mouse samples. Cited in 1 publication.

View Alternative Names

T-cell receptor beta-1 chain C region, TCR beta, T-cell receptor beta-2 chain C region, TCR beta

9 Images
Immunohistochemistry (Formalin/PFA-fixed paraffin-embedded sections) - Anti-TCR beta antibody [EPR27870-34] (AB313579)
  • IHC-P

Supplier Data

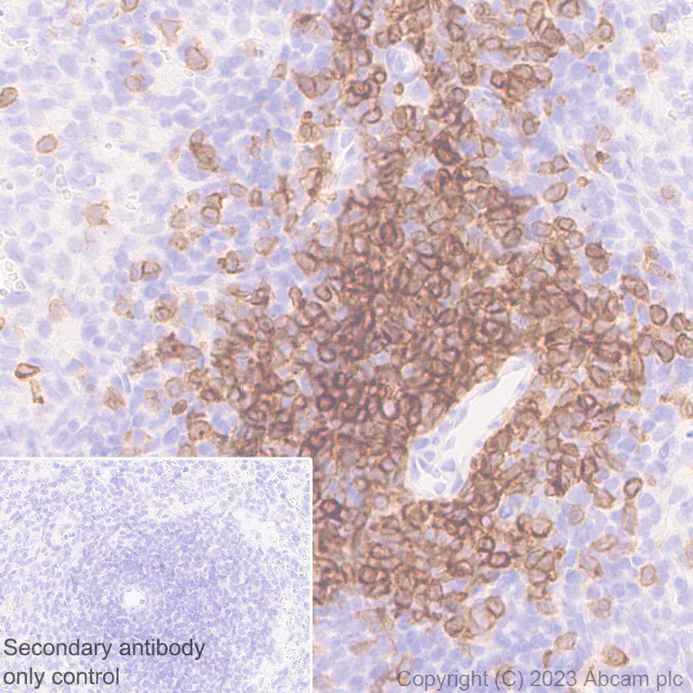
Immunohistochemistry (Formalin/PFA-fixed paraffin-embedded sections) - Anti-TCR beta antibody [EPR27870-34] (AB313579)

Immunohistochemical analysis of paraffin-embedded Mouse spleen tissue labeling TCR beta with ab313579 at 1/2000 (0.252 ug/ml) followed by a ready to use LeicaDS9800 (Bond™ Polymer Refine Detection). Membranous staining on mouse spleen.The section was incubated with ab313579 for 30 mins at room temperature.The immunostaining was performed on a Leica Biosystems BOND® RX instrument Counterstained with Hematoxylin. Secondary antibody only control : Secondary antibody is a ready to use LeicaDS9800 (Bond™ Polymer Refine Detection). Heat mediated antigen retrieval was performed with Tris-EDTA buffer (pH 9.0, Epitope Retrieval Solution2) for 20 mins

Immunohistochemistry (Formalin/PFA-fixed paraffin-embedded sections) - Anti-TCR beta antibody [EPR27870-34] (AB313579)
  • IHC-P

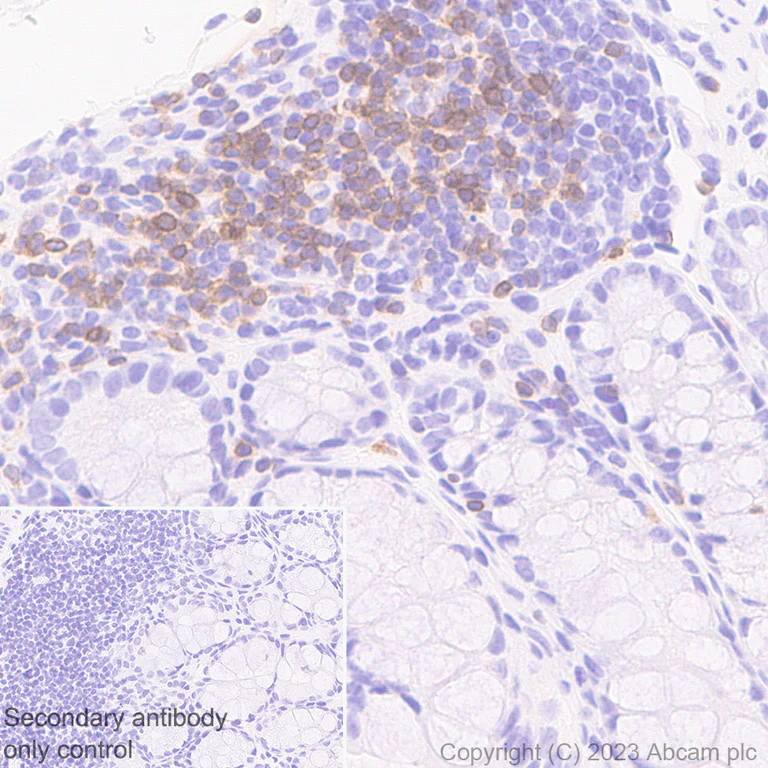
Supplier Data

Immunohistochemistry (Formalin/PFA-fixed paraffin-embedded sections) - Anti-TCR beta antibody [EPR27870-34] (AB313579)

Immunohistochemical analysis of paraffin-embedded Mouse skeletal muscl tissue labeling TCR beta with ab313579 at 1/2000 (0.252 ug/ml) followed by a ready to use LeicaDS9800 (Bond™ Polymer Refine Detection). Negative control : No staining on mouse skeletal muscle.The section was incubated with ab313579 for 30 mins at room temperature.The immunostaining was performed on a Leica Biosystems BOND® RX instrument Counterstained with Hematoxylin. Secondary antibody only control : Secondary antibody is a ready to use LeicaDS9800 (Bond™ Polymer Refine Detection). Heat mediated antigen retrieval was performed with Tris-EDTA buffer (pH 9.0, Epitope Retrieval Solution2) for 20 mins

Immunohistochemistry (Formalin/PFA-fixed paraffin-embedded sections) - Anti-TCR beta antibody [EPR27870-34] (AB313579)
  • IHC-P

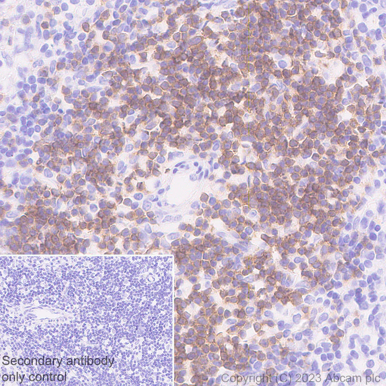
Supplier Data

Immunohistochemistry (Formalin/PFA-fixed paraffin-embedded sections) - Anti-TCR beta antibody [EPR27870-34] (AB313579)

Immunohistochemical analysis of paraffin-embedded Mouse colon tissue labeling TCR beta with ab313579 at 1/2000 (0.252 ug/ml) followed by a ready to use LeicaDS9800 (Bond™ Polymer Refine Detection). Membranous staining on immune cells of mouse colon.The section was incubated with ab313579 for 30 mins at room temperature.The immunostaining was performed on a Leica Biosystems BOND® RX instrument Counterstained with Hematoxylin. Secondary antibody only control : Secondary antibody is a ready to use LeicaDS9800 (Bond™ Polymer Refine Detection). Heat mediated antigen retrieval was performed with Tris-EDTA buffer (pH 9.0, Epitope Retrieval Solution2) for 20 mins

Immunohistochemistry (Formalin/PFA-fixed paraffin-embedded sections) - Anti-TCR beta antibody [EPR27870-34] (AB313579)
  • IHC-P

Supplier Data

Immunohistochemistry (Formalin/PFA-fixed paraffin-embedded sections) - Anti-TCR beta antibody [EPR27870-34] (AB313579)

Immunohistochemical analysis of paraffin-embedded Rat spleen tissue labeling TCR beta with ab313579 at 1/2000 (0.252 ug/ml) followed by a ready to use LeicaDS9800 (Bond™ Polymer Refine Detection). Membranous staining on rat spleen.The section was incubated with ab313579 for 30 mins at room temperature.The immunostaining was performed on a Leica Biosystems BOND® RX instrument Counterstained with Hematoxylin. Secondary antibody only control : Secondary antibody is a ready to use LeicaDS9800 (Bond™ Polymer Refine Detection). Heat mediated antigen retrieval was performed with Tris-EDTA buffer (pH 9.0, Epitope Retrieval Solution2) for 20 mins

Immunoprecipitation - Anti-TCR beta antibody [EPR27870-34] (AB313579)
  • IP

Supplier Data

Immunoprecipitation - Anti-TCR beta antibody [EPR27870-34] (AB313579)

TCR beta was immunoprecipitated from 0.35 mg EL4 (mouse lymphoma T lymphocyte) whole cell lysate with ab313579 at 1/30 dilution (2ug in 0.35mg lysates). Western blot was performed on the immunoprecipitate using ab313579 at 1/1000 dilution. VeriBlot for IP secondary antibody (HRP) (ab131366) was used at 1/5000 dilution.

Lane 1 : EL4 (mouse lymphoma T lymphocyte) whole cell lysate
Lane 2 : ab313579 IP in EL4 (mouse lymphoma T lymphocyte) whole cell lysate
Lane 3 : Rabbit monoclonal IgG (ab172730) instead of ab313579 in EL4 whole cell lysate

Blocking and dilution buffer and concentration : 5% NFDM/TBST.

Exposure time : 180 seconds

All lanes:

Immunoprecipitation - Anti-TCR beta antibody [EPR27870-34] (ab313579) at 1/1000 dilution

All lanes:

EL4 (mouse lymphoma T lymphocyte) whole cell lysate

Secondary

All lanes:

Immunoprecipitation - VeriBlot for IP Detection Reagent (HRP) (<a href='/en-us/products/reagents/veriblot-for-ip-detection-reagent-hrp-ab131366'>ab131366</a>) at 1/5000 dilution

false

Exposure time: 180s

Western blot - Anti-TCR beta antibody [EPR27870-34] (AB313579)
  • WB

Supplier Data

Western blot - Anti-TCR beta antibody [EPR27870-34] (AB313579)

Blocking and diluting buffer and concentration : 5% NFDM/TBST Exposure time : 92 seconds

All lanes:

Western blot - Anti-TCR beta antibody [EPR27870-34] (ab313579) at 1/1000 dilution

Lane 1:

Mouse spleen tissue lysate at 20 µg

Lane 2:

Rat spleen tissue lysate at 20 µg

Secondary

All lanes:

Western blot - Goat Anti-Rabbit IgG H&L (HRP) (<a href='/en-us/products/secondary-antibodies/goat-rabbit-igg-h-l-hrp-ab97051'>ab97051</a>) at 1/20000 dilution

Observed band size: 37 kDa

false

Exposure time: 92s

Western blot - Anti-TCR beta antibody [EPR27870-34] (AB313579)
  • WB

Supplier Data

Western blot - Anti-TCR beta antibody [EPR27870-34] (AB313579)

Blocking and diluting buffer and concentration : 5% NFDM/TBST TCR beta detected a shift from 37kDa to 30kDa band after deglycosylation treatment. In Western blot, anti-GAPDH antibody (ab181602) loading control staining at 1/200000 dilution. Exposure time : 114 seconds

All lanes:

Western blot - Anti-TCR beta antibody [EPR27870-34] (ab313579) at 1/1000 dilution

Lane 1:

Untreated EL4 (mouse lymphoma T lymphocyte) whole cell lysate at 20 µg

Lane 2:

EL4 (mouse lymphoma T lymphocyte) whole cell lysate treated with Peptide:N-glycosidase F (PNGase F) at 20 µg

Secondary

All lanes:

Western blot - Goat Anti-Rabbit IgG H&L (HRP) (<a href='/en-us/products/secondary-antibodies/goat-rabbit-igg-h-l-hrp-ab97051'>ab97051</a>) at 1/20000 dilution

Observed band size: 37 kDa

false

Exposure time: 114s

Western blot - Anti-TCR beta antibody [EPR27870-34] (AB313579)
  • WB

Supplier Data

Western blot - Anti-TCR beta antibody [EPR27870-34] (AB313579)

Blocking and diluting buffer and concentration : 5% NFDM/TBST Negative control : A20, skeletal muscle, brain. In Western blot, anti-GAPDH antibody (ab181602) loading control staining at 1/200000 dilution. Exposure time : 92 seconds

All lanes:

Western blot - Anti-TCR beta antibody [EPR27870-34] (ab313579) at 1/1000 dilution

Lane 1:

EL4 (mouse lymphoma T lymphocyte) whole cell lysate at 20 µg

Lane 2:

A20 (mouse reticum sarcoma B lymphocyte) whole cell lysate at 20 µg

Lane 3:

Mouse lymph node tissue lysate at 20 µg

Lane 4:

Mouse thymus tissue lysate at 20 µg

Lane 5:

Mouse skeletal muscle tissue lysate at 20 µg

Lane 6:

Mouse brain tissue lysate at 20 µg

Lane 7:

Rat lymph node tissue lysate at 20 µg

Lane 8:

Rat skeletal muscle tissue lysate at 20 µg

Secondary

All lanes:

Western blot - Goat Anti-Rabbit IgG H&L (HRP) (<a href='/en-us/products/secondary-antibodies/goat-rabbit-igg-h-l-hrp-ab97051'>ab97051</a>) at 1/20000 dilution

Observed band size: 37 kDa

false

Exposure time: 92s

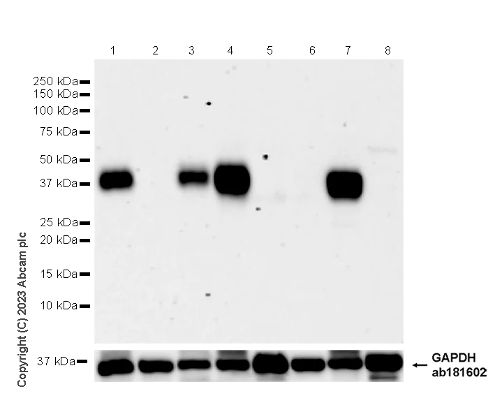
Western blot - Anti-TCR beta antibody [EPR27870-34] (AB313579)
  • WB

Supplier Data

Western blot - Anti-TCR beta antibody [EPR27870-34] (AB313579)

Blocking and diluting buffer and concentration : 5% NFDM/TBST This antibody recognizes both TCR beta-1 and TCR beta-2. In Western blot, anti-GAPDH antibody (ab181602) loading control staining at 1/200000 dilution, anti-His antibody (ab213204) staining at 1/5000 dilution. Exposure time : 37 seconds

All lanes:

Western blot - Anti-TCR beta antibody [EPR27870-34] (ab313579) at 1/5000 dilution

Lane 1:

293T (human embryonic kidney epithelial cell) transfected with an empty vector containi a his tag whole cell lysate at 20 µg

Lane 2:

293T transfected with a mouse TCR beta-1 expression vector containi a His-tag whole cell lysate at 20 µg

Lane 3:

293T transfected with a mouse TCR beta-2 expression vector containi a His-tag whole cell lysate at 20 µg

Secondary

All lanes:

Western blot - Goat Anti-Rabbit IgG H&L (HRP) (<a href='/en-us/products/secondary-antibodies/goat-rabbit-igg-h-l-hrp-ab97051'>ab97051</a>) at 1/100000 dilution

Observed band size: 22 kDa

false

Exposure time: 37s

  • Carrier free

    Anti-TCR beta antibody [EPR27870-34] - BSA and Azide free

Key facts

Host species

Rabbit

Clonality

Monoclonal

Clone number

EPR27870-34

Isotype

IgG

Carrier free

No

Reacts with

Mouse, Rat

Applications

IP, WB, IHC-P

applications

Immunogen

The exact immunogen used to generate this antibody is proprietary information.

Reactivity data

{ "title": "Reactivity Data", "filters": { "stats": ["", "Species", "Dilution Info", "Notes"], "tabs": { "all-applications": {"fullname" : "All Applications", "shortname": "All Applications"}, "IHCP" : {"fullname" : "Immunohistochemistry (Formalin/PFA-fixed paraffin-embedded sections)", "shortname":"IHC-P"}, "WB" : {"fullname" : "Western blot", "shortname":"WB"}, "IP" : {"fullname" : "Immunoprecipitation", "shortname":"IP"}, "ICCIF" : {"fullname" : "Immunocytochemistry/ Immunofluorescence", "shortname":"ICC/IF"}, "FlowCyt" : {"fullname" : "Flow Cytometry", "shortname":"Flow Cyt"} }, "product-promise": { "all": "all", "testedAndGuaranteed": "tested", "guaranteed": "expected", "predicted": "predicted", "notRecommended": "not-recommended" } }, "values": { "Human": { "IHCP-species-checked": "notRecommended", "IHCP-species-dilution-info": "", "IHCP-species-notes": "<p></p>", "WB-species-checked": "notRecommended", "WB-species-dilution-info": "", "WB-species-notes": "<p></p>", "IP-species-checked": "notRecommended", "IP-species-dilution-info": "", "IP-species-notes": "<p></p>", "ICCIF-species-checked": "notRecommended", "ICCIF-species-dilution-info": "", "ICCIF-species-notes": "<p></p>", "FlowCyt-species-checked": "notRecommended", "FlowCyt-species-dilution-info": "", "FlowCyt-species-notes": "<p></p>" }, "Mouse": { "IHCP-species-checked": "testedAndGuaranteed", "IHCP-species-dilution-info": "1/2000", "IHCP-species-notes": "<p></p> Perform heat-mediated antigen retrieval with Tris/EDTA buffer pH 9.0 before commencing with IHC staining protocol.", "WB-species-checked": "testedAndGuaranteed", "WB-species-dilution-info": "1/1000", "WB-species-notes": "<p></p>", "IP-species-checked": "testedAndGuaranteed", "IP-species-dilution-info": "1/30", "IP-species-notes": "<p></p>", "ICCIF-species-checked": "notRecommended", "ICCIF-species-dilution-info": "", "ICCIF-species-notes": "<p></p>", "FlowCyt-species-checked": "notRecommended", "FlowCyt-species-dilution-info": "", "FlowCyt-species-notes": "<p></p>" }, "Rat": { "IHCP-species-checked": "testedAndGuaranteed", "IHCP-species-dilution-info": "1/2000", "IHCP-species-notes": "<p></p> Perform heat-mediated antigen retrieval with Tris/EDTA buffer pH 9.0 before commencing with IHC staining protocol.", "WB-species-checked": "testedAndGuaranteed", "WB-species-dilution-info": "1/1000", "WB-species-notes": "<p></p>", "IP-species-checked": "guaranteed", "IP-species-dilution-info": "", "IP-species-notes": "", "ICCIF-species-checked": "notRecommended", "ICCIF-species-dilution-info": "", "ICCIF-species-notes": "", "FlowCyt-species-checked": "notRecommended", "FlowCyt-species-dilution-info": "", "FlowCyt-species-notes": "" }, "Transfected cell lysate - Mouse": { "IHCP-species-checked": "notRecommended", "IHCP-species-dilution-info": "", "IHCP-species-notes": "", "WB-species-checked": "testedAndGuaranteed", "WB-species-dilution-info": "1/5000", "WB-species-notes": "<p></p>", "IP-species-checked": "notRecommended", "IP-species-dilution-info": "", "IP-species-notes": "", "ICCIF-species-checked": "notRecommended", "ICCIF-species-dilution-info": "", "ICCIF-species-notes": "", "FlowCyt-species-checked": "notRecommended", "FlowCyt-species-dilution-info": "", "FlowCyt-species-notes": "" } } }

Product details

Patented technology
Our RabMAb® technology is a patented hybridoma-based technology for making rabbit monoclonal antibodies. For details on our patents, please refer to RabMAb® patents.

What are the advantages of a recombinant monoclonal antibody?
This product is a recombinant monoclonal antibody, which offers several advantages including:

  • - High batch-to-batch consistency and reproducibility
  • - Improved sensitivity and specificity
  • - Long-term security of supply
  • - Animal-free batch production

For more information, read more on recombinant antibodies.

Properties and storage information

Form
Liquid
Purification technique
Affinity purification Protein A
Storage buffer
pH: 7.2 - 7.4 Preservative: 0.01% Sodium azide Constituents: PBS, 40% Glycerol (glycerin, glycerine), 0.05% BSA
Shipped at conditions
Blue Ice
Appropriate short-term storage duration
1-2 weeks
Appropriate short-term storage conditions
+4°C
Appropriate long-term storage conditions
-20°C
Aliquoting information
Upon delivery aliquot
Storage information
Avoid freeze / thaw cycle

Supplementary information

This supplementary information is collated from multiple sources and compiled automatically.

TCR beta also known as T-cell receptor beta is an integral component of the T-cell receptor (TCR) complex. It weighs approximately 40-50 kDa and is expressed on the surface of T cells. TCR beta contributes to the recognition of antigens by interacting with peptide fragments presented by major histocompatibility complex (MHC) molecules. This interaction is essential for T-cell activation which plays a significant role in the adaptive immune response.
Biological function summary

TCR beta is part of the T-cell receptor complex. This complex is critical for antigen recognition and T-cell signaling. The complex comprises multiple subunits including CD3 chains that facilitate signal transduction upon antigen binding. This initiates a cascade of intracellular events leading to T-cell activation and proliferation. TCR beta's role in this complex makes it essential for recognizing pathogens and initiating immune responses.

Pathways

TCR beta is involved in T-cell receptor signaling and adaptive immune pathways. It is closely associated with the Zap70 protein which transmits activation signals from the TCR upon antigen recognition. This signaling cascade further activates the MAPK and NF-κB pathways influencing T-cell differentiation and cytokine production. The interaction between TCR beta and these pathways highlights its fundamental role in immune system regulation.

Dysregulation of TCR beta can contribute to autoimmune diseases and certain types of cancer. For instance aberrant TCR signaling can lead to autoimmunity where T cells attack the body's own tissues. Additionally in some leukemias mutations or rearrangements involving the TCR beta chain can promote uncontrolled cell proliferation. TCR beta's involvement with HLA proteins in autoimmune conditions showcases its significance in disease development and management.

Product protocols

For this product, it's our understanding that no specific protocols are required. You can visit:

Target data

See full target information TCB1_MOUSE

Additional targets

TCB2_MOUSE

Publications (1)

Recent publications for all applications. Explore the full list and refine your search

Signal transduction and targeted therapy 9:101 PubMed38643203

2024

A novel engineered IL-21 receptor arms T-cell receptor-engineered T cells (TCR-T cells) against hepatocellular carcinoma.

Applications

Unspecified application

Species

Unspecified reactive species

Wei Zhu,Zhiming Zhang,Jinzhang Chen,Xiaolan Chen,Lei Huang,Xiaoyong Zhang,Xuan Huang,Na Ma,Weikang Xu,Xuan Yi,Xinyu Lu,Xin Fu,Siwei Li,Guoheng Mo,Yiyue Wang,Guosheng Yuan,Mengya Zang,Qi Li,Xiaotao Jiang,Yajing He,Sha Wu,Yukai He,Yongyin Li,Jinlin Hou
View all publications

Product promise

We are committed to supporting your work with high-quality reagents, and we're here for you every step of the way. In the unlikely event that one of our products does not perform as expected, you're protected by our Product Promise.
For full details, please see our Terms & Conditions

Please note: All products are 'FOR RESEARCH USE ONLY. NOT FOR USE IN DIAGNOSTIC OR THERAPEUTIC PROCEDURES'.

For licensing inquiries, please contact partnerships@abcam.com