JavaScript is disabled in your browser. Please enable JavaScript to view this website.
AB318206

Anti-TCR beta antibody [RM2056] - BSA and Azide free

  • BOND RX™ Validated
  • Recombinant
  • Advanced Validation
  • RabMAb
  • What is this?

Be the first to review this product! Submit a review

|

(0 Publication)

Rabbit Recombinant Multiclonal T Cell Receptor antibody. Carrier free. Suitable for WB, IHC-P, mIHC and reacts with Transfected cell lysate - Human, Transfected cell lysate - Mouse, Human, Mouse, Rat samples.

View Alternative Names

T cell receptor beta constant 1, TRBC1, TCR beta

9 Images
Multiplex immunohistochemistry - Anti-TCR beta antibody [RM2056] - BSA and Azide free (AB318206)
  • mIHC

Supplier Data

Multiplex immunohistochemistry - Anti-TCR beta antibody [RM2056] - BSA and Azide free (AB318206)

This data was developed using ab318205, the same antibody clone in a different buffer formulation.

Multiplex immunohistochemistry analysis of formalin/PFA-fixed paraffin-embedded human spleen tissue staining CD3 with ab21703 at a 1/150 (0.06 ug/ml) dilution, ab318205 anti-TCR beta used at 1/500 (1.036 ug/ml) dilution and ab64088 anti-CD20 used at a 1/50 (0.2 ug/ml) dilution.

Panel A : merged staining of anti-CD3 (magenta; Opal™690), anti-TCR beta (green; Opal™520) and anti-CD20 (yellow; Opal™570) on human spleen.
Panel B : anti-CD3 staining T lymphocytes in human spleen.
Panel C : anti-TCR beta staining T lymphocytes in human spleen.
Panel D : anti-CD20 staining B lymphocytes in human spleen.
Nuclear DNA was labeled with DAPI (shown in blue).

The section was incubated in three rounds of staining : in the order of ab21703, ab318205 and ab64088 for 30 mins at room temperature. Each round was followed by a separate fluorescent tyramide signal amplification system.

The immunostaining was performed on a Leica Biosystems BOND® RX instrument with an Opal™ 4-color kit. Image acquisition was performed with Leica SP8 confocal microscope.

Nuclear counter stain with DAPI.

Heat mediated antigen retrieval with Tris-EDTA buffer (pH 9.0, epitope retrieval solution2) for 20 mins.

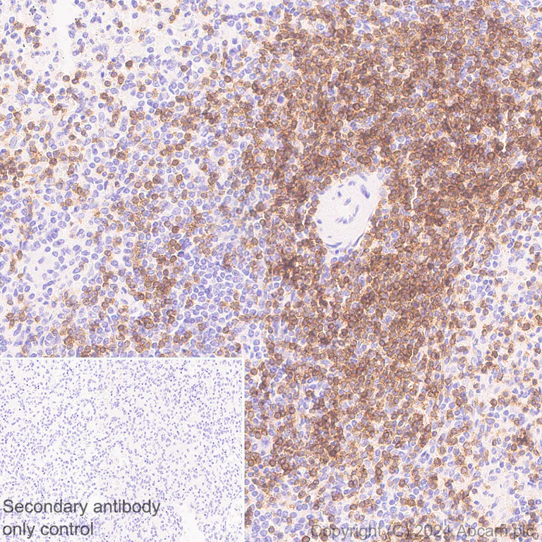
Immunohistochemistry (Formalin/PFA-fixed paraffin-embedded sections) - Anti-TCR beta antibody [RM2056] - BSA and Azide free (AB318206)
  • IHC-P

Supplier Data

Immunohistochemistry (Formalin/PFA-fixed paraffin-embedded sections) - Anti-TCR beta antibody [RM2056] - BSA and Azide free (AB318206)

This data was developed using ab318205, the same antibody clone in a different buffer formulation.

Immunohistochemical analysis of paraffin-embedded Human spleen tissue labeling TCR beta with ab318205 at 1/500 (1.036 ug/ml) dilution, followed by a ready to use LeicaDS9800 (Bond™ Polymer Refine Detection).

Positive staining on human spleen (PMID : 33867734).
The section was incubated with ab318205 for 30 mins at room temperature.
The immunostaining was performed on a Leica Biosystems BOND® RX instrument

Counterstained with Hematoxylin.

Secondary antibody only control : Secondary antibody is a ready to use LeicaDS9800 (Bond™ Polymer Refine Detection).

Heat mediated antigen retrieval was performed with Tris-EDTA buffer (pH 9.0, Epitope Retrieval Solution2) for 20 mins

Multiplex immunohistochemistry - Anti-TCR beta antibody [RM2056] - BSA and Azide free (AB318206)
  • mIHC

Supplier Data

Multiplex immunohistochemistry - Anti-TCR beta antibody [RM2056] - BSA and Azide free (AB318206)

This data was developed using ab318205, the same antibody clone in a different buffer formulation.

Multiplex immunohistochemistry analysis of formalin/PFA-fixed paraffin-embedded human colon tissue staining CD3 with ab21703 at a 1/150 (0.06 ug/ml) dilution, ab318205 anti-TCR beta used at 1/500 (1.036 ug/ml) dilution and ab64088 anti-CD20 used at a 1/50 (0.2 ug/ml) dilution.

Panel A : merged staining of anti-CD3 (magenta; Opal™690), anti-TCR beta (green; Opal™520) and anti-CD20 (yellow; Opal™570) on human colon.
Panel B : anti-CD3 staining T lymphocytes in human colon.
Panel C : anti-TCR beta staining T lymphocytes in human colon.
Panel D : anti-CD20 staining B lymphocytes in human colon.
Nuclear DNA was labeled with DAPI (shown in blue).

The section was incubated in three rounds of staining : in the order of ab21703, ab318205 and ab64088 for 30 mins at room temperature. Each round was followed by a separate fluorescent tyramide signal amplification system.

The immunostaining was performed on a Leica Biosystems BOND® RX instrument with an Opal™ 4-color kit. Image acquisition was performed with Leica SP8 confocal microscope.

Nuclear counter stain with DAPI.

Heat mediated antigen retrieval with Tris-EDTA buffer (pH 9.0, epitope retrieval solution2) for 20 mins.

Multiplex immunohistochemistry - Anti-TCR beta antibody [RM2056] - BSA and Azide free (AB318206)
  • mIHC

Supplier Data

Multiplex immunohistochemistry - Anti-TCR beta antibody [RM2056] - BSA and Azide free (AB318206)

This data was developed using ab318205, the same antibody clone in a different buffer formulation.

Multiplex immunohistochemistry analysis of formalin/PFA-fixed paraffin-embedded human tonsil tissue staining CD3 with ab21703 at a 1/150 (0.06 ug/ml) dilution, ab318205 anti-TCR beta used at 1/500 (1.036 ug/ml) dilution and ab64088 anti-CD20 used at a 1/50 (0.2 ug/ml) dilution.

Panel A : merged staining of anti-CD3 (magenta; Opal™690), anti-TCR beta (green; Opal™520) and anti-CD20 (yellow; Opal™570) on human tonsil.
Panel B : anti-CD3 staining T lymphocytes in human tonsil.
Panel C : anti-TCR beta staining T lymphocytes in human tonsil.
Panel D : anti-CD20 staining B lymphocytes in human tonsil.
Nuclear DNA was labeled with DAPI (shown in blue).

The section was incubated in three rounds of staining : in the order of ab21703, ab318205 and ab64088 for 30 mins at room temperature. Each round was followed by a separate fluorescent tyramide signal amplification system.

The immunostaining was performed on a Leica Biosystems BOND® RX instrument with an Opal™ 4-color kit. Image acquisition was performed with Leica SP8 confocal microscope.

Nuclear counter stain with DAPI.

Heat mediated antigen retrieval with Tris-EDTA buffer (pH 9.0, epitope retrieval solution2) for 20 mins.

Multiplex immunohistochemistry - Anti-TCR beta antibody [RM2056] - BSA and Azide free (AB318206)
  • mIHC

Supplier Data

Multiplex immunohistochemistry - Anti-TCR beta antibody [RM2056] - BSA and Azide free (AB318206)

This data was developed using ab318205, the same antibody clone in a different buffer formulation.

Multiplex immunohistochemistry analysis of formalin/PFA-fixed paraffin-embedded rat spleen tissue staining CD3 with ab21703 at a 1/150 (0.06 ug/ml) dilution, ab318205 anti-TCR beta used at 1/500 (1.036 ug/ml) dilution and ab64088 anti-CD20 used at a 1/50 (0.2 ug/ml) dilution.

Panel A : merged staining of anti-CD3 (magenta; Opal™690), anti-TCR beta (green; Opal™520) and anti-CD20 (yellow; Opal™570) on rat spleen.
Panel B : anti-CD3 staining T lymphocytes in rat spleen.
Panel C : anti-TCR beta staining T lymphocytes in rat spleen.
Panel D : anti-CD20 staining B lymphocytes in rat spleen.
Nuclear DNA was labeled with DAPI (shown in blue).

The section was incubated in three rounds of staining : in the order of ab21703, ab318205 and ab64088 for 30 mins at room temperature. Each round was followed by a separate fluorescent tyramide signal amplification system.

The immunostaining was performed on a Leica Biosystems BOND® RX instrument with an Opal™ 4-color kit. Image acquisition was performed with Leica SP8 confocal microscope.

Nuclear counter stain with DAPI.

Heat mediated antigen retrieval with Tris-EDTA buffer (pH 9.0, epitope retrieval solution2) for 20 mins.

Multiplex immunohistochemistry - Anti-TCR beta antibody [RM2056] - BSA and Azide free (AB318206)
  • mIHC

Supplier Data

Multiplex immunohistochemistry - Anti-TCR beta antibody [RM2056] - BSA and Azide free (AB318206)

This data was developed using ab318205, the same antibody clone in a different buffer formulation.

Multiplex immunohistochemistry analysis of formalin/PFA-fixed paraffin-embedded mouse spleen tissue staining CD3 with ab21703 at a 1/150 (0.06 ug/ml) dilution, ab318205 anti-TCR beta used at 1/500 (1.036 ug/ml) dilution and ab64088 anti-CD20 used at a 1/50 (0.2 ug/ml) dilution.

Panel A : merged staining of anti-CD3 (magenta; Opal™690), anti-TCR beta (green; Opal™520) and anti-CD20 (yellow; Opal™570) on mouse spleen.
Panel B : anti-CD3 staining T lymphocytes in mouse spleen.
Panel C : anti-TCR beta staining T lymphocytes in mouse spleen.
Panel D : anti-CD20 staining B lymphocytes in mouse spleen.
Nuclear DNA was labeled with DAPI (shown in blue).

The section was incubated in three rounds of staining : in the order of ab21703, ab318205 and ab64088 for 30 mins at room temperature. Each round was followed by a separate fluorescent tyramide signal amplification system.

The immunostaining was performed on a Leica Biosystems BOND® RX instrument with an Opal™ 4-color kit. Image acquisition was performed with Leica SP8 confocal microscope.

Nuclear counter stain with DAPI.

Heat mediated antigen retrieval with Tris-EDTA buffer (pH 9.0, epitope retrieval solution2) for 20 mins.

Western blot - Anti-TCR beta antibody [RM2056] - BSA and Azide free (AB318206)
  • WB

Supplier Data

Western blot - Anti-TCR beta antibody [RM2056] - BSA and Azide free (AB318206)

This data was developed using ab318205, the same antibody clone in a different buffer formulation.

Negative control : Ramos, Raji, skeletal muscle, cerebellum.

This antibody recognizes both TCR beta-1 and TCR beta-2 .

CCRF-CEM is a TCR beta-1 negative but TCR beta-2 positive cell line while H9 is a TCR beta-2 negative but TCR beta-1 positive cell line(PMID : 29131157).

The molecular weight observed is consistent with what has been described in the literature (PMID : 31461748).

Lanes 1-5 are applied with Goat Anti-Rabbit IgG, (H+L), Peroxidase conjugated (ab97051) at 1/20000 and lanes 6-8 are applied with Goat Anti-Rabbit IgG (HRP) with minimal cross-reactivity with human IgG at 1/2000.

In Western blot, Anti-GAPDH antibody [EPR16891] - Loading Control (ab181602) staining at 1/200000 dilution.

Exposure time : Lanes 1-3, 5-8 : 92 seconds; Lane 4 : 15 seconds.

All lanes:

Western blot - Anti-TCR beta antibody [RM2056] (<a href='/en-us/products/primary-antibodies/tcr-beta-antibody-rm2056-ab318205'>ab318205</a>) at 1/1000 dilution

Lane 1:

Jurkat (human T cell leukemia T lymphocyte from peripheral blood) whole cell lysate at 20 µg with NFDM/TBST

Lane 2:

Ramos (human Burkitts lymphoma B lymphocyte) whole cell lysate at 20 µg with NFDM/TBST

Lane 3:

Raji (human Burkitts lymphoma B lymphocyte) whole cell lysate at 20 µg with NFDM/TBST

Lane 4:

CCRF-CEM (human peripheral blood T lymphoblast) whole cell lysate at 20 µg with NFDM/TBST

Lane 5:

H9 (human lymphoma cutaneous T lymphocyte) whole cell lysate at 20 µg with NFDM/TBST

Lane 6:

Human lymph node tissue lysate at 20 µg with NFDM/TBST

Lane 7:

Human skeletal muscle tissue lysate at 20 µg with NFDM/TBST

Lane 8:

Human cerebellungm tissue lysate at 20 µg with NFDM/TBST

Secondary

Lanes 1 - 5:

Western blot - Goat Anti-Rabbit IgG H&L (HRP) (<a href='/en-us/products/secondary-antibodies/goat-rabbit-igg-h-l-hrp-ab97051'>ab97051</a>) at 1/20000 dilution

Lanes 6 - 8:

Goat Anti-Rabbit IgG (HRP) with minimal cross-reactivity with human IgG at 1/2000 dilution

Observed band size: 38 kDa,36 kDa

false

Western blot - Anti-TCR beta antibody [RM2056] - BSA and Azide free (AB318206)
  • WB

Supplier Data

Western blot - Anti-TCR beta antibody [RM2056] - BSA and Azide free (AB318206)

This data was developed using ab318205, the same antibody clone in a different buffer formulation.

Negative control : A20, skeletal muscle.

The molecular weight observed is consistent with what has been described in the literature (PMID : 31461748).

The identity of the lower MW band at approximately 30kDa in lane 8 is unknown.

In Western blot, Anti-GAPDH antibody [EPR16891] - Loading Control (ab181602) staining at 1/200000 dilution.

Exposure time : Lanes 1-7 : 48 seconds; Lane 8 : 6 seconds.

All lanes:

Western blot - Anti-TCR beta antibody [RM2056] (<a href='/en-us/products/primary-antibodies/tcr-beta-antibody-rm2056-ab318205'>ab318205</a>) at 1/1000 dilution

Lane 1:

EL4 (mouse lymphoma T lymphocyte) whole cell lysate at 20 µg with NFDM/TBST

Lane 2:

A20 (mouse reticum sarcoma B lymphocyte) whole cell lysate at 20 µg with NFDM/TBST

Lane 3:

Mouse lymph node tissue lysate at 20 µg with NFDM/TBST

Lane 4:

Mouse thymus tissue lysate at 20 µg with NFDM/TBST

Lane 5:

Mouse skeletal muscle tissue lysate at 20 µg with NFDM/TBST

Lane 6:

Rat spleen tissue lysate at 20 µg with NFDM/TBST

Lane 7:

Rat skeletal muscle tissue lysate at 20 µg with NFDM/TBST

Lane 8:

Rat thymus tissue lysate at 20 µg with NFDM/TBST

Secondary

All lanes:

Western blot - Goat Anti-Rabbit IgG H&L (HRP) (<a href='/en-us/products/secondary-antibodies/goat-rabbit-igg-h-l-hrp-ab97051'>ab97051</a>) at 1/20000 dilution

Observed band size: 38 kDa,36 kDa

false

Western blot - Anti-TCR beta antibody [RM2056] - BSA and Azide free (AB318206)
  • WB

Supplier Data

Western blot - Anti-TCR beta antibody [RM2056] - BSA and Azide free (AB318206)

This data was developed using ab318205, the same antibody clone in a different buffer formulation.

This antibody recognizes both TCR beta-1 and TCR beta-2.

In Western blot, Anti-GAPDH antibody [EPR16891] - Loading Control (ab181602) staining at 1/200000 dilution.

In Western blot, Anti-6X His tag® antibody [EPR20547] - ChIP Grade (ab213204) staining at 1/5000 dilution.

Exposure time : Lanes 1-3 : 48 seconds; Lanes 4-5 : 10 seconds.

All lanes:

Western blot - Anti-TCR beta antibody [RM2056] (<a href='/en-us/products/primary-antibodies/tcr-beta-antibody-rm2056-ab318205'>ab318205</a>) at 1/1000 dilution

Lane 1:

293T transfected with an empty vector containing a his tag whole cell lysate at 20 µg with NFDM/TBST

Lane 2:

293T transfected with a human TCR beta-1 expression vector containing a His-tag, whole cell lysate at 20 µg with NFDM/TBST

Lane 3:

293T transfected with a human TCR beta-2 expression vector containing a His-tag, whole cell lysate at 20 µg with NFDM/TBST

Lane 4:

293T transfected with a mouse TCR beta-1 expression vector containing a His-tag whole cell lysate at 20 µg with NFDM/TBST

Lane 5:

293T transfected with a mouse TCR beta-2 expression vector containing a His-tag whole cell lysate at 20 µg with NFDM/TBST

Secondary

All lanes:

Western blot - Goat Anti-Rabbit IgG H&L (HRP) (<a href='/en-us/products/secondary-antibodies/goat-rabbit-igg-h-l-hrp-ab97051'>ab97051</a>) at 1/100000 dilution

Observed band size: 22 kDa,36 kDa

false

Key facts

Host species

Rabbit

Clonality

Multiclonal

Clone number

RM2056

Isotype

IgG

Carrier free

Yes

Reacts with

Human, Mouse, Rat

Applications

mIHC, IHC-P, WB

applications

Immunogen

The exact immunogen used to generate this antibody is proprietary information.

Reactivity data

{ "title": "Reactivity Data", "filters": { "stats": ["", "Species", "Dilution Info", "Notes"], "tabs": { "all-applications": {"fullname" : "All Applications", "shortname": "All Applications"}, "WB" : {"fullname" : "Western blot", "shortname":"WB"}, "IHCP" : {"fullname" : "Immunohistochemistry (Formalin/PFA-fixed paraffin-embedded sections)", "shortname":"IHC-P"}, "mIHC" : {"fullname" : "Multiplex immunohistochemistry", "shortname":"mIHC"}, "FlowCyt" : {"fullname" : "Flow Cytometry", "shortname":"Flow Cyt"}, "IP" : {"fullname" : "Immunoprecipitation", "shortname":"IP"}, "ICCIF" : {"fullname" : "Immunocytochemistry/ Immunofluorescence", "shortname":"ICC/IF"} }, "product-promise": { "all": "all", "testedAndGuaranteed": "tested", "guaranteed": "expected", "predicted": "predicted", "notRecommended": "not-recommended" } }, "values": { "Human": { "WB-species-checked": "testedAndGuaranteed", "WB-species-dilution-info": "", "WB-species-notes": "<p></p>", "IHCP-species-checked": "testedAndGuaranteed", "IHCP-species-dilution-info": "", "IHCP-species-notes": "<p></p>", "mIHC-species-checked": "testedAndGuaranteed", "mIHC-species-dilution-info": "", "mIHC-species-notes": "<p></p>", "FlowCyt-species-checked": "notRecommended", "FlowCyt-species-dilution-info": "", "FlowCyt-species-notes": "<p></p>", "IP-species-checked": "notRecommended", "IP-species-dilution-info": "", "IP-species-notes": "<p></p>", "ICCIF-species-checked": "notRecommended", "ICCIF-species-dilution-info": "", "ICCIF-species-notes": "<p></p>" }, "Mouse": { "WB-species-checked": "testedAndGuaranteed", "WB-species-dilution-info": "", "WB-species-notes": "<p></p>", "IHCP-species-checked": "testedAndGuaranteed", "IHCP-species-dilution-info": "", "IHCP-species-notes": "<p></p>", "mIHC-species-checked": "testedAndGuaranteed", "mIHC-species-dilution-info": "", "mIHC-species-notes": "<p></p>", "FlowCyt-species-checked": "notRecommended", "FlowCyt-species-dilution-info": "", "FlowCyt-species-notes": "<p></p>", "IP-species-checked": "notRecommended", "IP-species-dilution-info": "", "IP-species-notes": "<p></p>", "ICCIF-species-checked": "notRecommended", "ICCIF-species-dilution-info": "", "ICCIF-species-notes": "<p></p>" }, "Rat": { "WB-species-checked": "testedAndGuaranteed", "WB-species-dilution-info": "", "WB-species-notes": "<p></p>", "IHCP-species-checked": "testedAndGuaranteed", "IHCP-species-dilution-info": "", "IHCP-species-notes": "<p></p>", "mIHC-species-checked": "testedAndGuaranteed", "mIHC-species-dilution-info": "", "mIHC-species-notes": "<p></p>", "FlowCyt-species-checked": "notRecommended", "FlowCyt-species-dilution-info": "", "FlowCyt-species-notes": "", "IP-species-checked": "notRecommended", "IP-species-dilution-info": "", "IP-species-notes": "", "ICCIF-species-checked": "notRecommended", "ICCIF-species-dilution-info": "", "ICCIF-species-notes": "" }, "Transfected cell lysate - Human": { "WB-species-checked": "testedAndGuaranteed", "WB-species-dilution-info": "", "WB-species-notes": "<p></p>", "IHCP-species-checked": "notRecommended", "IHCP-species-dilution-info": "", "IHCP-species-notes": "", "mIHC-species-checked": "notRecommended", "mIHC-species-dilution-info": "", "mIHC-species-notes": "", "FlowCyt-species-checked": "notRecommended", "FlowCyt-species-dilution-info": "", "FlowCyt-species-notes": "", "IP-species-checked": "notRecommended", "IP-species-dilution-info": "", "IP-species-notes": "", "ICCIF-species-checked": "notRecommended", "ICCIF-species-dilution-info": "", "ICCIF-species-notes": "" }, "Transfected cell lysate - Mouse": { "WB-species-checked": "testedAndGuaranteed", "WB-species-dilution-info": "", "WB-species-notes": "<p></p>", "IHCP-species-checked": "notRecommended", "IHCP-species-dilution-info": "", "IHCP-species-notes": "", "mIHC-species-checked": "notRecommended", "mIHC-species-dilution-info": "", "mIHC-species-notes": "", "FlowCyt-species-checked": "notRecommended", "FlowCyt-species-dilution-info": "", "FlowCyt-species-notes": "", "IP-species-checked": "notRecommended", "IP-species-dilution-info": "", "IP-species-notes": "", "ICCIF-species-checked": "notRecommended", "ICCIF-species-dilution-info": "", "ICCIF-species-notes": "" } } }

Product details

ab318206 is the carrier-free version of ab318205.

What are recombinant multiclonals?
Recombinant multiclonals are a mixture of recombinant antibodies co-expressed from a library of heavy and light chains. They offer several advantages including:

  • - The sensitivity of polyclonal antibodies by recognising multiple epitopes
  • - High batch-to-batch consistency and reproducibility
  • - Improved sensitivity and specificity
  • - Long-term security of supply
  • - Animal-free batch production

View our range of recombinant multiclonal antibodies.

Patented technology
Our RabMAb® technology is a patented hybridoma-based technology for making rabbit monoclonal antibodies. For details on our patents, please refer to RabMAb® patents.

Conjugation ready
Our carrier-free antibodies are typically supplied in a PBS-only formulation, purified and free of BSA, sodium azide and glycerol. This conjugation-ready format is designed for use with fluorochromes, metal isotopes, oligonucleotides, and enzymes, which makes them ideal for antibody labelling, functional and cell-based assays, flow-based assays (e.g. mass cytometry) and Multiplex Imaging applications.

Use our conjugation kits for antibody conjugates that are ready-to-use in as little as 20 minutes with 1 minute hands-on-time and 100% antibody recovery: available for fluorescent dyes, HRP, biotin and gold.

Compatibility
This product is compatible with the Maxpar® Antibody Labeling Kit from Fluidigm, without the need for antibody preparation. Maxpar® is a trademark of Fluidigm Canada Inc.

Properties and storage information

Form
Liquid
Purification technique
Affinity purification Protein A
Storage buffer
pH: 7.2 - 7.4 Constituents: PBS
Shipped at conditions
Blue Ice
Appropriate short-term storage conditions
+4°C
Appropriate long-term storage conditions
+4°C

Supplementary information

This supplementary information is collated from multiple sources and compiled automatically.

TCR beta also known as T-cell receptor beta is an integral component of the T-cell receptor (TCR) complex. It weighs approximately 40-50 kDa and is expressed on the surface of T cells. TCR beta contributes to the recognition of antigens by interacting with peptide fragments presented by major histocompatibility complex (MHC) molecules. This interaction is essential for T-cell activation which plays a significant role in the adaptive immune response.
Biological function summary

TCR beta is part of the T-cell receptor complex. This complex is critical for antigen recognition and T-cell signaling. The complex comprises multiple subunits including CD3 chains that facilitate signal transduction upon antigen binding. This initiates a cascade of intracellular events leading to T-cell activation and proliferation. TCR beta's role in this complex makes it essential for recognizing pathogens and initiating immune responses.

Pathways

TCR beta is involved in T-cell receptor signaling and adaptive immune pathways. It is closely associated with the Zap70 protein which transmits activation signals from the TCR upon antigen recognition. This signaling cascade further activates the MAPK and NF-κB pathways influencing T-cell differentiation and cytokine production. The interaction between TCR beta and these pathways highlights its fundamental role in immune system regulation.

Dysregulation of TCR beta can contribute to autoimmune diseases and certain types of cancer. For instance aberrant TCR signaling can lead to autoimmunity where T cells attack the body's own tissues. Additionally in some leukemias mutations or rearrangements involving the TCR beta chain can promote uncontrolled cell proliferation. TCR beta's involvement with HLA proteins in autoimmune conditions showcases its significance in disease development and management.

Product protocols

For this product, it's our understanding that no specific protocols are required. You can visit:

Target data

Constant region of T cell receptor (TR) beta chain (PubMed : 24600447). Alpha-beta T cell receptors are antigen specific receptors which are essential to the immune response and are present on the cell surface of T lymphocytes. Recognize peptide-major histocompatibility (MH) (pMH) complexes that are displayed by antigen presenting cells (APC), a prerequisite for efficient T cell adaptive immunity against pathogens (PubMed : 25493333). Binding of alpha-beta TR to pMH complex initiates TR-CD3 clustering on the cell surface and intracellular activation of LCK that phosphorylates the ITAM motifs of CD3G, CD3D, CD3E and CD247 enabling the recruitment of ZAP70. In turn, ZAP70 phosphorylates LAT, which recruits numerous signaling molecules to form the LAT signalosome. The LAT signalosome propagates signal branching to three major signaling pathways, the calcium, the mitogen-activated protein kinase (MAPK) kinase and the nuclear factor NF-kappa-B (NF-kB) pathways, leading to the mobilization of transcription factors that are critical for gene expression and essential for T cell growth and differentiation (PubMed : 23524462, PubMed : 9382891). The T cell repertoire is generated in the thymus, by V-(D)-J rearrangement. This repertoire is then shaped by intrathymic selection events to generate a peripheral T cell pool of self-MH restricted, non-autoaggressive T cells. Post-thymic interaction of alpha-beta TR with the pMH complexes shapes TR structural and functional avidity (PubMed : 15040585).
See full target information TRBC1

Additional targets

TCB1_MOUSE,TCB2_MOUSE,TRBC2

Product promise

We are committed to supporting your work with high-quality reagents, and we're here for you every step of the way. In the unlikely event that one of our products does not perform as expected, you're protected by our Product Promise.
For full details, please see our Terms & Conditions

Please note: All products are 'FOR RESEARCH USE ONLY. NOT FOR USE IN DIAGNOSTIC OR THERAPEUTIC PROCEDURES'.

For licensing inquiries, please contact partnerships@abcam.com