JavaScript is disabled in your browser. Please enable JavaScript to view this website.
AB313574

Anti-TCR delta antibody [EPR27043-16] - BSA and Azide free

  • BOND RX™ Validated
  • RabMAb
  • Recombinant
  • Advanced Validation
  • What is this?

Be the first to review this product! Submit a review

|

(0 Publication)

Rabbit Recombinant Monoclonal TRDC antibody. Carrier free. Suitable for mIHC, ICC/IF, Flow Cyt, IHC-P and reacts with Human, Transfected cell line - Human samples.

View Alternative Names

T cell receptor delta constant, TRDC

9 Images
Immunohistochemistry (Formalin/PFA-fixed paraffin-embedded sections) - Anti-TCR delta antibody [EPR27043-16] - BSA and Azide free (AB313574)
  • IHC-P

Lab

Immunohistochemistry (Formalin/PFA-fixed paraffin-embedded sections) - Anti-TCR delta antibody [EPR27043-16] - BSA and Azide free (AB313574)

This data was developed using ab313573, the same antibody clone in a different buffer formulation.

Immunohistochemical analysis of paraffin-embedded Human tonsil tissue labeling TCR delta with ab313573 at 1/1000 dilution, followed by a ready to use LeicaDS9800 (Bond Polymer Refine Detection).

Positive staining on human tonsil. The primary antibody was incubated for 30 mins at room temperature. The immunostaining was performed on a Leica Biosystems BOND® RX instrument

Counterstained with Hematoxylin.

Secondary antibody only control : Secondary antibody is a ready to use LeicaDS9800 (Bond Polymer Refine Detection).

Heat mediated antigen retrieval was performed with Citrate buffer (pH 6.0, Epitope Retrieval Solution 1) for 20 mins.

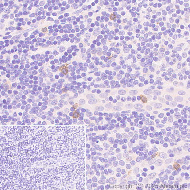
Multiplex immunohistochemistry - Anti-TCR delta antibody [EPR27043-16] - BSA and Azide free (AB313574)
  • mIHC

Lab

Multiplex immunohistochemistry - Anti-TCR delta antibody [EPR27043-16] - BSA and Azide free (AB313574)

This data was developed using ab313573, the same antibody clone in a different buffer formulation.

Multiplex immunohistochemistry analysis of formalin/PFA-fixed paraffin-embedded human spleen tissue staining TCR delta with ab313573 at a 1/500 dilution, ab16669 anti-CD3 used at 1/100 dilution and ab227688 anti-CD19 used at a 1/100 dilution.

Panel A : merged staining of anti-TCR delta (green; Opal520), anti-CD3 (magenta; Opal570) and anti-CD19 (yellow; Opal690) on human colon.
Panel B : anti-TCR delta staining immune cells in human colon.
Panel C : anti-CD3 staining T lymphocytes in human colon.
Panel D : anti-CD19 staining B lymphocytes in human colon.
Nuclear DNA was labeled with DAPI (shown in blue).

The section was incubated in three rounds of staining : in the order of ab313573, ab16669 and ab227688 for 30 mins at room temperature. Each round was followed by a separate fluorescent tyramide signal amplification system.

The immunostaining was performed on a Leica Biosystems BOND® RX instrument with an Opal 4-color kit. Image acquisition was performed with Leica SP8 confocal microscope.

Nuclear counter stain with DAPI.

Heat mediated antigen retrieval was performed with Citrate buffer (pH 6.0, Epitope Retrieval Solution 1) for 20 mins..

Immunohistochemistry (Formalin/PFA-fixed paraffin-embedded sections) - Anti-TCR delta antibody [EPR27043-16] - BSA and Azide free (AB313574)
  • IHC-P

Lab

Immunohistochemistry (Formalin/PFA-fixed paraffin-embedded sections) - Anti-TCR delta antibody [EPR27043-16] - BSA and Azide free (AB313574)

This data was developed using ab313573, the same antibody clone in a different buffer formulation.

Immunohistochemical analysis of paraffin-embedded Human skeletal muscle tissue labeling TCR delta with ab313573 at 1/1000 dilution, followed by a ready to use LeicaDS9800 (Bond Polymer Refine Detection).

Negative control : no staining on human skeletal muscle. The primary antibody was incubated for 30 mins at room temperature. The immunostaining was performed on a Leica Biosystems BOND® RX instrument

Counterstained with Hematoxylin.

Secondary antibody only control : Secondary antibody is a ready to use LeicaDS9800 (Bond Polymer Refine Detection).

Heat mediated antigen retrieval was performed with Citrate buffer (pH 6.0, Epitope Retrieval Solution 1) for 20 mins.

Immunocytochemistry/ Immunofluorescence - Anti-TCR delta antibody [EPR27043-16] - BSA and Azide free (AB313574)
  • ICC/IF

Supplier Data

Immunocytochemistry/ Immunofluorescence - Anti-TCR delta antibody [EPR27043-16] - BSA and Azide free (AB313574)

This data was developed using ab313573, the same antibody clone in a different buffer formulation. Immunofluorescent analysis of 4% Paraformaldehyde-fixed, 0.1% TritonX-100 permeabilized 293T (human embryonic kidney epithelial cell) cells labelling TCR delta with ab313573 at 1/100 (5.08 ug/ml) dilution, followed by ab150081 Goat Anti-Rabbit IgG H&L (Alexa Fluor® 488) preadsorbed antibody at 1/1000 2 ug/ml dilution (Green). Confocal image showing cytoplasmic staining in 293T cells transfected with a human TCR delta expression vector containing a myc tag. Image was taken with a confocal microscope(Leica-Microsystems, TCS SP8). Myc-Tag Mouse mAb (Alexa Fluor® 647) was used to counterstain tubulin at 1/100 0.38ug/ml dilution (Red). The Nuclear counterstain was DAPI (Blue). Secondary antibody only control : Secondary antibody is ab150081 Goat Anti-Rabbit IgG H&L (Alexa Fluor® 488) preadsorbed at 1/1000 2 ug/ml dilution.

Immunocytochemistry/ Immunofluorescence - Anti-TCR delta antibody [EPR27043-16] - BSA and Azide free (AB313574)
  • ICC/IF

Supplier Data

Immunocytochemistry/ Immunofluorescence - Anti-TCR delta antibody [EPR27043-16] - BSA and Azide free (AB313574)

This data was developed using ab313573, the same antibody clone in a different buffer formulation. Immunofluorescent analysis of 4% Paraformaldehyde-fixed, 0.1% TritonX-100 permeabilized human PBMC (human peripheral blood mononuclear cell) cells labelling TCR delta with ab313573 at 1/100 (5.08 ug/ml) dilution, followed by ab150081 Goat Anti-Rabbit IgG H&L (Alexa Fluor® 488) preadsorbed antibody at 1/1000 2 ug/ml dilution (Green). Confocal image showing cytoplasmic staining in subsets of CD3MSD278 human PBMCs. Image was taken with a confocal microscope(Leica-Microsystems, TCS SP8). Anti-human CD3 mouse monoclonal antibody (Alexa Fluor® 647) was used to counterstain tubulin at 1/100 5ug/ml dilution (Red). The Nuclear counterstain was DAPI (Blue). Secondary antibody only control : Secondary antibody is ab150081 Goat Anti-Rabbit IgG H&L (Alexa Fluor® 488) preadsorbed at 1/1000 2 ug/ml dilution.

Flow Cytometry - Anti-TCR delta antibody [EPR27043-16] - BSA and Azide free (AB313574)
  • Flow Cyt

Supplier Data

Flow Cytometry - Anti-TCR delta antibody [EPR27043-16] - BSA and Azide free (AB313574)

This data was developed using ab313573, the same antibody clone in a different buffer formulation. Flow cytometric analysis of Human PBMC (human peripheral blood mononuclear cell) cells labelling TCR delta with ab313573 at 1/50 dilution (1 µg)/Right compared with a Rabbit monoclonal IgG (ab172730) / Left isotype control and an unlabelled control (cells without incubation with primary antibody and secondary antibody). A Goat Anti-Rabbit IgG (Alexa Fluor® 488, ab150081) at 1/5000 dilution was used as the secondary antibody. Cells were co-stained with anti-CD3 conjugated to Alexa Fluor® 647. Fixed with 2% PFA for 10 min followed by intracellularly staining with rabbit IgG or primary antibody.

Flow Cytometry - Anti-TCR delta antibody [EPR27043-16] - BSA and Azide free (AB313574)
  • Flow Cyt

Supplier Data

Flow Cytometry - Anti-TCR delta antibody [EPR27043-16] - BSA and Azide free (AB313574)

This data was developed using ab313573, the same antibody clone in a different buffer formulation. Flow cytometric analysis of Human PBMC (human peripheral blood mononuclear cell) cells labelling TCR delta with ab313573 at 1/50 dilution (1 µg)/Right compared with a Rabbit monoclonal IgG (ab172730) / Left isotype control and an unlabelled control (cells without incubation with primary antibody and secondary antibody). A Goat Anti-Rabbit IgG (Alexa Fluor® 488, ab150081) at 1/5000 dilution was used as the secondary antibody. Cells were co-stained with anti-CD4 conjugated to APC-Fire™ 750. Fixed with 2% PFA for 10 min followed by intracellularly staining with rabbit IgG or primary antibody.

Flow Cytometry - Anti-TCR delta antibody [EPR27043-16] - BSA and Azide free (AB313574)
  • Flow Cyt

Supplier Data

Flow Cytometry - Anti-TCR delta antibody [EPR27043-16] - BSA and Azide free (AB313574)

This data was developed using ab313573, the same antibody clone in a different buffer formulation. Flow cytometric analysis of 4% paraformaldehyde fixed 90% methanol permeabilized Isotype / 293T (human embryonic kidney epithelial cell) transfected with a TRDC (human TCR delta) protein expression vector containing a myc-His tag / 293T transfected with a TRGC1 protein (human TCR gamma) expression vector / 293T transfected with an empty vector containing a myc-His tag cells labelling TCR delta with ab313573 at 1/50 dilution (1 ug)/Right (Red) compared with a Rabbit monoclonal IgG (ab172730) / Left isotype control and an unlabelled control (cells without incubation with primary antibody and secondary antibody) (Blue). A Goat Anti-Rabbit IgG (Alexa Fluor® 488, ab150081) at 1/5000 dilution was used as the secondary antibody.

Multiplex immunohistochemistry - Anti-TCR delta antibody [EPR27043-16] - BSA and Azide free (AB313574)
  • mIHC

Lab

Multiplex immunohistochemistry - Anti-TCR delta antibody [EPR27043-16] - BSA and Azide free (AB313574)

This data was developed using ab313573, the same antibody clone in a different buffer formulation.

Multiplex immunohistochemistry analysis of formalin/PFA-fixed paraffin-embedded human spleen tissue staining TCR delta with ab313573 at a 1/500 dilution, ab16669 anti-CD3 used at 1/100 dilution and ab227688 anti-CD19 used at a 1/100 dilution.

Panel A : merged staining of anti-TCR delta (green; Opal520), anti-CD3 (magenta; Opal570) and anti-CD19 (yellow; Opal690) on human spleen.
Panel B : anti-TCR delta staining immune cells in human spleen.
Panel C : anti-CD3 staining T lymphocytes in human spleen.
Panel D : anti-CD19 staining B lymphocytes in human spleen.
Nuclear DNA was labeled with DAPI (shown in blue).

The section was incubated in three rounds of staining : in the order of ab313573, ab16669 and ab227688 for 30 mins at room temperature. Each round was followed by a separate fluorescent tyramide signal amplification system.

The immunostaining was performed on a Leica Biosystems BOND® RX instrument with an Opal 4-color kit. Image acquisition was performed with Leica SP8 confocal microscope.

Nuclear counter stain with DAPI.

Heat mediated antigen retrieval was performed with Citrate buffer (pH 6.0, Epitope Retrieval Solution 1) for 20 mins.

Key facts

Host species

Rabbit

Clonality

Monoclonal

Clone number

EPR27043-16

Isotype

IgG

Carrier free

Yes

Reacts with

Human

Applications

Flow Cyt, IHC-P, mIHC, ICC/IF

applications

Immunogen

The exact immunogen used to generate this antibody is proprietary information.

Reactivity data

{ "title": "Reactivity Data", "filters": { "stats": ["", "Species", "Dilution Info", "Notes"], "tabs": { "all-applications": {"fullname" : "All Applications", "shortname": "All Applications"}, "mIHC" : {"fullname" : "Multiplex immunohistochemistry", "shortname":"mIHC"}, "ICCIF" : {"fullname" : "Immunocytochemistry/ Immunofluorescence", "shortname":"ICC/IF"}, "FlowCyt" : {"fullname" : "Flow Cytometry", "shortname":"Flow Cyt"}, "IHCP" : {"fullname" : "Immunohistochemistry (Formalin/PFA-fixed paraffin-embedded sections)", "shortname":"IHC-P"}, "WB" : {"fullname" : "Western blot", "shortname":"WB"} }, "product-promise": { "all": "all", "testedAndGuaranteed": "tested", "guaranteed": "expected", "predicted": "predicted", "notRecommended": "not-recommended" } }, "values": { "Human": { "mIHC-species-checked": "testedAndGuaranteed", "mIHC-species-dilution-info": "", "mIHC-species-notes": "<p></p>", "ICCIF-species-checked": "testedAndGuaranteed", "ICCIF-species-dilution-info": "", "ICCIF-species-notes": "<p></p>", "FlowCyt-species-checked": "testedAndGuaranteed", "FlowCyt-species-dilution-info": "", "FlowCyt-species-notes": "<p></p>", "IHCP-species-checked": "testedAndGuaranteed", "IHCP-species-dilution-info": "", "IHCP-species-notes": "<p></p>", "WB-species-checked": "notRecommended", "WB-species-dilution-info": "", "WB-species-notes": "<p></p>" }, "Mouse": { "mIHC-species-checked": "notRecommended", "mIHC-species-dilution-info": "", "mIHC-species-notes": "", "ICCIF-species-checked": "notRecommended", "ICCIF-species-dilution-info": "", "ICCIF-species-notes": "", "FlowCyt-species-checked": "notRecommended", "FlowCyt-species-dilution-info": "", "FlowCyt-species-notes": "", "IHCP-species-checked": "notRecommended", "IHCP-species-dilution-info": "", "IHCP-species-notes": "<p></p>", "WB-species-checked": "notRecommended", "WB-species-dilution-info": "", "WB-species-notes": "<p></p>" }, "Rat": { "mIHC-species-checked": "notRecommended", "mIHC-species-dilution-info": "", "mIHC-species-notes": "", "ICCIF-species-checked": "notRecommended", "ICCIF-species-dilution-info": "", "ICCIF-species-notes": "", "FlowCyt-species-checked": "notRecommended", "FlowCyt-species-dilution-info": "", "FlowCyt-species-notes": "", "IHCP-species-checked": "notRecommended", "IHCP-species-dilution-info": "", "IHCP-species-notes": "<p></p>", "WB-species-checked": "notRecommended", "WB-species-dilution-info": "", "WB-species-notes": "<p></p>" }, "Transfected cell line - Human": { "mIHC-species-checked": "notRecommended", "mIHC-species-dilution-info": "", "mIHC-species-notes": "", "ICCIF-species-checked": "testedAndGuaranteed", "ICCIF-species-dilution-info": "", "ICCIF-species-notes": "<p></p>", "FlowCyt-species-checked": "testedAndGuaranteed", "FlowCyt-species-dilution-info": "", "FlowCyt-species-notes": "<p></p>", "IHCP-species-checked": "notRecommended", "IHCP-species-dilution-info": "", "IHCP-species-notes": "", "WB-species-checked": "notRecommended", "WB-species-dilution-info": "", "WB-species-notes": "" } } }

Product details

Patented technology
Our RabMAb® technology is a patented hybridoma-based technology for making rabbit monoclonal antibodies. For details on our patents, please refer to RabMAb® patents.

What are the advantages of a recombinant monoclonal antibody?
This product is a recombinant monoclonal antibody, which offers several advantages including:

  • - High batch-to-batch consistency and reproducibility
  • - Improved sensitivity and specificity
  • - Long-term security of supply
  • - Animal-free batch production

For more information, read more on recombinant antibodies.

Conjugation ready
Our carrier-free antibodies are typically supplied in a PBS-only formulation, purified and free of BSA, sodium azide and glycerol. This conjugation-ready format is designed for use with fluorochromes, metal isotopes, oligonucleotides, and enzymes, which makes them ideal for antibody labelling, functional and cell-based assays, flow-based assays (e.g. mass cytometry) and Multiplex Imaging applications.

Use our conjugation kits for antibody conjugates that are ready-to-use in as little as 20 minutes with 1 minute hands-on-time and 100% antibody recovery: available for fluorescent dyes, HRP, biotin and gold.

Compatibility
This product is compatible with the Maxpar® Antibody Labeling Kit from Fluidigm, without the need for antibody preparation. Maxpar® is a trademark of Fluidigm Canada Inc.

Properties and storage information

Form
Liquid
Purification technique
Affinity purification Protein A
Storage buffer
pH: 7.2 - 7.4 Constituents: PBS
Shipped at conditions
Blue Ice
Appropriate short-term storage conditions
+4°C
Appropriate long-term storage conditions
+4°C

Supplementary information

This supplementary information is collated from multiple sources and compiled automatically.

TCR delta also known as T cell receptor delta chain is a component of the T-cell receptor complex found on gamma delta T cells. It has a molecular weight of approximately 60 kDa. TCR delta is expressed mainly in the thymus peripheral blood and epithelium. In the structure of TCR the delta chain pairs with the gamma chain to form a distinct type of TCR which differs from the more familiar alpha-beta TCR found on most T cells.
Biological function summary

TCR delta contributes to the immune response through recognition of antigens presented by non-classical MHC molecules such as those on stressed infected or transformed cells. It is an important player in the immune system with its expression often associated with mechanisms of immune surveillance and defense. TCR delta is part of a complex with CD3 proteins which are necessary for signal transduction leading to T cell activation. This chain together with the gamma chain enables recognition of a wide array of antigens contributing to immunity beyond typical peptide-dominated responses.

Pathways

Gamma delta T cells act in the immune response by recognizing stress-induced molecules and initiating protective reactions. TCR delta participates in signaling pathways that control T cell development and maturation including the MAPK and NF-κB pathways. These pathways involve interactions with proteins such as ERK JNK and IκB playing roles in the expansion and functional capabilities of T cells. The ability to recognize non-peptide antigens through TCR delta makes these pathways distinct in comparison to those mediated by alpha-beta TCR.

TCR delta has been associated with certain cancers and infectious diseases including tuberculosis. Gamma delta T cells with TCR delta exhibit cytotoxic activities against tumor cells and their infiltration can correlate with prognosis in cancer patients. Additionally the role of TCR delta in defense against infections involves interaction with other proteins such as heat shock proteins which are commonly expressed by infected cells. The activity of TCR delta in these contexts highlights its importance in immune regulation and potential as a target in therapeutic strategies.

Product protocols

For this product, it's our understanding that no specific protocols are required. You can visit:

Target data

Constant region of T cell receptor (TR) delta chain that participates in the antigen recognition (PubMed : 24600447). Gamma-delta TRs recognize a variety of self and foreign non-peptide antigens frequently expressed at the epithelial boundaries between the host and external environment, including endogenous lipids presented by MH-like protein CD1D and phosphoantigens presented by butyrophilin-like molecule BTN3A1. Upon antigen recognition induces rapid, innate-like immune responses involved in pathogen clearance and tissue repair (PubMed : 23348415, PubMed : 28920588). Binding of gamma-delta TR complex to antigen triggers phosphorylation of immunoreceptor tyrosine-based activation motifs (ITAMs) in the CD3 chains by the LCK and FYN kinases, allowing the recruitment, phosphorylation, and activation of ZAP70 that facilitates phosphorylation of the scaffolding proteins LCP2 and LAT. This lead to the formation of a supramolecular signalosome that recruits the phospholipase PLCG1, resulting in calcium mobilization and ERK activation, ultimately leading to T cell expansion and differentiation into effector cells (PubMed : 25674089). Gamma-delta TRs are produced through somatic rearrangement of a limited repertoire of variable (V), diversity (D), and joining (J) genes. The potential diversity of gamma-delta TRs is conferred by the unique ability to rearrange (D) genes in tandem and to utilize all three reading frames. The combinatorial diversity is considerably increased by the sequence exonuclease trimming and random nucleotide (N) region additions which occur during the V-(D)-J rearrangements (PubMed : 24387714).
See full target information TRDC

Product promise

We are committed to supporting your work with high-quality reagents, and we're here for you every step of the way. In the unlikely event that one of our products does not perform as expected, you're protected by our Product Promise.
For full details, please see our Terms & Conditions

Please note: All products are 'FOR RESEARCH USE ONLY. NOT FOR USE IN DIAGNOSTIC OR THERAPEUTIC PROCEDURES'.

For licensing inquiries, please contact partnerships@abcam.com