JavaScript is disabled in your browser. Please enable JavaScript to view this website.
AB235781

Anti-TCTA antibody

Be the first to review this product! Submit a review

|

(1 Publication)

Rabbit Polyclonal TCTA antibody. Suitable for WB, IHC-P and reacts with Mouse, Human samples. Cited in 1 publication. Immunogen corresponding to Recombinant Fragment Protein within Human TCTA aa 50 to C-terminus.

View Alternative Names

T-cell leukemia translocation-altered gene protein, T-cell leukemia translocation-associated gene protein, TCTA

3 Images
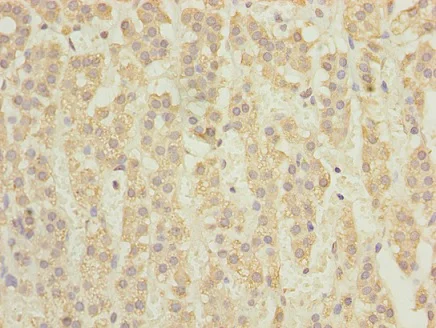
Immunohistochemistry (Formalin/PFA-fixed paraffin-embedded sections) - Anti-TCTA antibody (AB235781)
  • IHC-P

Supplier Data

Immunohistochemistry (Formalin/PFA-fixed paraffin-embedded sections) - Anti-TCTA antibody (AB235781)

Paraffin-embedded human colon cancer tissue stained for TCTA using ab235781 at 1/100 dilution in immunohistochemical analysis.

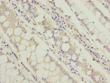
Immunohistochemistry (Formalin/PFA-fixed paraffin-embedded sections) - Anti-TCTA antibody (AB235781)
  • IHC-P

Supplier Data

Immunohistochemistry (Formalin/PFA-fixed paraffin-embedded sections) - Anti-TCTA antibody (AB235781)

Paraffin-embedded human adrenal gland tissue stained for TCTA using ab235781 at 1/100 dilution in immunohistochemical analysis.

Western blot - Anti-TCTA antibody (AB235781)
  • WB

Supplier Data

Western blot - Anti-TCTA antibody (AB235781)

All lanes:

Western blot - Anti-TCTA antibody (ab235781) at 1/1000 dilution

Lane 1:

Mouse liver tissue lysate

Lane 2:

Mouse gonadal tissue lysate

Lane 3:

Mouse muscle tissue lysate

Lane 4:

HL-60 (human promyelocytic leukemia cell line) whole cell lysate

Lane 5:

U-251 MG (human brain glioma cell line) whole cell lysate

Lane 6:

MCF7 (human breast adenocarcinoma cell line) whole cell lysate

Secondary

All lanes:

Goat polyclonal to Rabbit IgG at 1/10000 dilution

Predicted band size: 11 kDa

false

Key facts

Host species

Rabbit

Clonality

Polyclonal

Isotype

IgG

Carrier free

No

Reacts with

Mouse, Human

Applications

IHC-P, WB

applications

Immunogen

Recombinant Fragment Protein within Human TCTA aa 50 to C-terminus. The exact immunogen used to generate this antibody is proprietary information.

P57738

Reactivity data

{ "title": "Reactivity Data", "filters": { "stats": ["", "Species", "Dilution Info", "Notes"], "tabs": { "all-applications": {"fullname" : "All Applications", "shortname": "All Applications"}, "WB" : {"fullname" : "Western blot", "shortname":"WB"}, "IHCP" : {"fullname" : "Immunohistochemistry (Formalin/PFA-fixed paraffin-embedded sections)", "shortname":"IHC-P"} }, "product-promise": { "all": "all", "testedAndGuaranteed": "tested", "guaranteed": "expected", "predicted": "predicted", "notRecommended": "not-recommended" } }, "values": { "Human": { "WB-species-checked": "guaranteed", "WB-species-dilution-info": "", "WB-species-notes": "", "IHCP-species-checked": "testedAndGuaranteed", "IHCP-species-dilution-info": "1/20 - 1/200", "IHCP-species-notes": "<p></p>" }, "Mouse": { "WB-species-checked": "testedAndGuaranteed", "WB-species-dilution-info": "1/1000 - 1/5000", "WB-species-notes": "<p></p>", "IHCP-species-checked": "guaranteed", "IHCP-species-dilution-info": "", "IHCP-species-notes": "" }, "Rat": { "WB-species-checked": "predicted", "WB-species-dilution-info": "", "WB-species-notes": "", "IHCP-species-checked": "predicted", "IHCP-species-dilution-info": "", "IHCP-species-notes": "" }, "Cow": { "WB-species-checked": "predicted", "WB-species-dilution-info": "", "WB-species-notes": "", "IHCP-species-checked": "predicted", "IHCP-species-dilution-info": "", "IHCP-species-notes": "" }, "Orangutan": { "WB-species-checked": "predicted", "WB-species-dilution-info": "", "WB-species-notes": "", "IHCP-species-checked": "predicted", "IHCP-species-dilution-info": "", "IHCP-species-notes": "" } } }

Properties and storage information

Form
Liquid
Purification technique
Affinity purification Protein G
Purification notes
Purity >95%.
Storage buffer
pH: 7.4 Preservative: 0.03% Proclin 300 Constituents: PBS, 50% Glycerol (glycerin, glycerine)
Shipped at conditions
Blue Ice
Appropriate short-term storage duration
1-2 weeks
Appropriate short-term storage conditions
+4°C
Appropriate long-term storage conditions
-20°C
Aliquoting information
Upon delivery aliquot
Storage information
Avoid freeze / thaw cycle

Supplementary information

This supplementary information is collated from multiple sources and compiled automatically.

T-cell leukemia translocation-associated gene (TCTA) also known as transcription factor GC-box binding protein 2 (GC-BP2) serves in different cellular processes. It has a molecular mass of approximately 29 kDa. Researchers frequently identify TCTA in various tissues but find high expression levels in lymphoid tissues particularly in T-cells. This protein interacts directly with DNA and other nuclear components to facilitate transcriptional regulation and response to cellular signals.
Biological function summary

TCTA acts as a regulatory protein involved in transcription modulation. It forms part of a transcriptional complex that affects gene expression linked to cell cycle control and immune responses. TCTA performs functions in cellular differentiation particularly in hematopoietic cells. Scientists believe it plays a role in establishing appropriate cellular states in response to external cues.

Pathways

TCTA integrates into the NF-kB signaling pathway and the JAK-STAT signaling pathway. These pathways support key processes like inflammation and immune system response. TCTA interacts with proteins such as NF-kB p65 and STAT3 influencing cellular outcomes like proliferation and apoptosis. Researchers consider TCTA's involvement important in maintaining normal function within these pathways ensuring balanced cellular activities.

TCTA has connections to several malignancies including T-cell acute lymphoblastic leukemia. It exhibits alterations that may contribute to malignancy progression by misregulating gene expression. Furthermore researchers find links between TCTA and autoimmune diseases where abnormal TCTA function might lead to inappropriate immune activation. In these contexts it often associates with abnormalities in the expression or function of proteins such as c-Myc or STAT3 highlighting its importance in disease developments and potential therapeutic targeting.

Product protocols

For this product, it's our understanding that no specific protocols are required. You can visit:

Target data

May be required for cellular fusion during osteoclastogenesis.
See full target information TCTA

Publications (1)

Recent publications for all applications. Explore the full list and refine your search

OncoTargets and therapy 14:3721-3728 PubMed34140780

2021

G9a Regulates Cell Sensitivity to Radiotherapy via Histone H3 Lysine 9 Trimethylation and CCDC8 in Lung Cancer.

Applications

Unspecified application

Species

Unspecified reactive species

Yunfen Li,Zhengting Chen,Ke Cao,Lan Zhang,Yuhui Ma,Shuhui Yu,Hanyu Jin,Xiaoling Liu,Wenhui Li
View all publications

Product promise

We are committed to supporting your work with high-quality reagents, and we're here for you every step of the way. In the unlikely event that one of our products does not perform as expected, you're protected by our Product Promise.
For full details, please see our Terms & Conditions

Please note: All products are 'FOR RESEARCH USE ONLY. NOT FOR USE IN DIAGNOSTIC OR THERAPEUTIC PROCEDURES'.

For licensing inquiries, please contact partnerships@abcam.com