JavaScript is disabled in your browser. Please enable JavaScript to view this website.
AB202583

Anti-TCTEX-1 antibody [EPR17294]

Be the first to review this product! Submit a review

|

(3 Publications)

Rabbit Recombinant Monoclonal TCTEX-1 antibody. Suitable for IP, WB, ICC/IF, Flow Cyt (Intra), IHC-P and reacts with Human, Mouse samples. Cited in 3 publications.

View Alternative Names

TCTEL1, TCTEX-1, TCTEX1, DYNLT1, Dynein light chain Tctex-type 1, Protein CW-1, T-complex testis-specific protein 1 homolog

10 Images
Immunocytochemistry/ Immunofluorescence - Anti-TCTEX-1 antibody [EPR17294] (AB202583)
  • ICC/IF

Lab

Immunocytochemistry/ Immunofluorescence - Anti-TCTEX-1 antibody [EPR17294] (AB202583)

Immunofluorescent analysis of 4% paraformaldehyde-fixed 0.1% Triton X-100 permeabilized SH-SY5Y (Human neuroblastoma from bone marrow cells) cells labeling TCTEX-1 with ab202583 at 1/500 dilution followed by Goat anti-rabbit IgG (Alexa Fluor® 488) (ab150077) secondary antibody at 1/500 dilution (green). Confocal image showing cytoplasmic staining on SH-SY5Y cell line. The nuclear counter stain is DAPI (blue). Tubulin is detected with ab7291 (anti-Tubulin mouse mAb) at 1/1000 dilution and ab150120 (AlexaFluor®594 Goat anti-Mouse secondary) at 1/500 dilution (red).

The negative controls are as follows :
-ve control 1 : ab202583 at 1/500 dilution followed by ab150120 (AlexaFluor®594 Goat anti-Mouse secondary) at 1/500 dilution.
-ve control 2 : ab7291 (anti-Tubulin mouse mAb) at 1/1000 dilution followed by ab150077 (Alexa Fluor®488 Goat Anti-Rabbit IgG H&L) at 1/500 dilution.

Immunocytochemistry/ Immunofluorescence - Anti-TCTEX-1 antibody [EPR17294] (AB202583)
  • ICC/IF

Lab

Immunocytochemistry/ Immunofluorescence - Anti-TCTEX-1 antibody [EPR17294] (AB202583)

Immunofluorescent analysis of 4% paraformaldehyde-fixed 0.1% Triton X-100 permeabilized HT-29 (Human colorectal adenocarcinoma cells) cells labeling TCTEX-1 with ab202583 at 1/500 dilution followed by Goat anti-rabbit IgG (Alexa Fluor® 488) (ab150077) secondary antibody at 1/500 dilution (green). Confocal image showing cytoplasmic staining on HT-29 cell line. The nuclear counter stain is DAPI (blue). Tubulin is detected with ab7291 (anti-Tubulin mouse mAb) at 1/1000 dilution and ab150120 (AlexaFluor®594 Goat anti-Mouse secondary) at 1/500 dilution (red).

The negative controls are as follows :
-ve control 1 : ab202583 at 1/500 dilution followed by ab150120 (AlexaFluor®594 Goat anti-Mouse secondary) at 1/500 dilution.
-ve control 2 : ab7291 (anti-Tubulin mouse mAb) at 1/1000 dilution followed by ab150077 (Alexa Fluor®488 Goat Anti-Rabbit IgG H&L) at 1/500 dilution.

Flow Cytometry (Intracellular) - Anti-TCTEX-1 antibody [EPR17294] (AB202583)
  • Flow Cyt (Intra)

Supplier Data

Flow Cytometry (Intracellular) - Anti-TCTEX-1 antibody [EPR17294] (AB202583)

Intracellular flow cytometric analysis of 2% paraformaldehyde-fixed HeLa (Human epithelial cells from cervix adenocarcinoma) cells labeling TCTEX-1 with ab202583 at 1/150 dilution (red) compared with a rabbit monoclonal IgG isotype control (ab172730; black) and an unlabelled control (cells without incubation with primary antibody and secondary antibody; blue). Goat anti rabbit IgG (FITC) at 1/150 dilution was used as the secondary antibody.

Immunohistochemistry (Formalin/PFA-fixed paraffin-embedded sections) - Anti-TCTEX-1 antibody [EPR17294] (AB202583)
  • IHC-P

Supplier Data

Immunohistochemistry (Formalin/PFA-fixed paraffin-embedded sections) - Anti-TCTEX-1 antibody [EPR17294] (AB202583)

Immunohistochemical analysis of paraffin-embedded Human colonic carcinoma tissue labeling TCTEX-1 with ab202583 at 1/50 dilution followed by Goat Anti-Rabbit IgG H&L (HRP) (ab97051) secondary antibody at 1/500 dilution. Cytoplasmic staining on Human colonic carcinoma tissue is observed. Counter stained with Hematoxylin.

Secondary antibody only control : Used PBS instead of primary antibody secondary antibody is Goat Anti-Rabbit IgG H&L (HRP) (ab97051) at 1/500 dilution.

Perform heat mediated antigen retrieval with Tris/EDTA buffer pH 9.0 before commencing with IHC staining protocol.

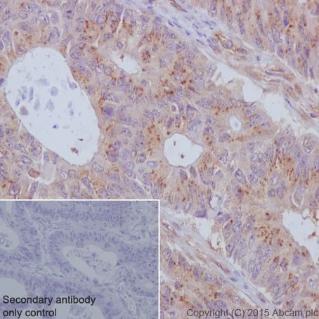
Immunohistochemistry (Formalin/PFA-fixed paraffin-embedded sections) - Anti-TCTEX-1 antibody [EPR17294] (AB202583)
  • IHC-P

Supplier Data

Immunohistochemistry (Formalin/PFA-fixed paraffin-embedded sections) - Anti-TCTEX-1 antibody [EPR17294] (AB202583)

Immunohistochemical analysis of paraffin-embedded Human cervix carcinoma tissue labeling TCTEX-1 with ab202583 at 1/50 dilution followed by Goat Anti-Rabbit IgG H&L (HRP) (ab97051) secondary antibody at 1/500 dilution. Cytoplasmic staining on Human cervix carcinoma tissue is observed. Counter stained with Hematoxylin.

Secondary antibody only control : Used PBS instead of primary antibody secondary antibody is Goat Anti-Rabbit IgG H&L (HRP) (ab97051) at 1/500 dilution.

Perform heat mediated antigen retrieval with Tris/EDTA buffer pH 9.0 before commencing with IHC staining protocol.

Immunoprecipitation - Anti-TCTEX-1 antibody [EPR17294] (AB202583)
  • IP

Supplier Data

Immunoprecipitation - Anti-TCTEX-1 antibody [EPR17294] (AB202583)

TCTEX-1 was immunoprecipitated from 1mg of HeLa (Human epithelial cells from cervix adenocarcinoma) whole cell lysate with ab202583 at 1/50 dilution. Western blot was performed from the immunoprecipitate using ab202583 at 1/1000 dilution. Anti-Rabbit IgG (HRP), specific to the non-reduced form of IgG, was used as secondary antibody at 1/1500 dilution.

Lane 1 : HeLa whole cell lysate 10 μg (Input). Lane 2 : ab202583 IP in HeLa whole cell lysate. Lane 3 : Rabbit monoclonal IgG (ab172730) instead of ab202583 in HeLa whole cell lysate.

Blocking and dilution buffer and concentration : 5% NFDM/TBST.

Exposure time : 1 second.

All lanes:

Immunoprecipitation - Anti-TCTEX-1 antibody [EPR17294] (ab202583)

Predicted band size: 12 kDa

false

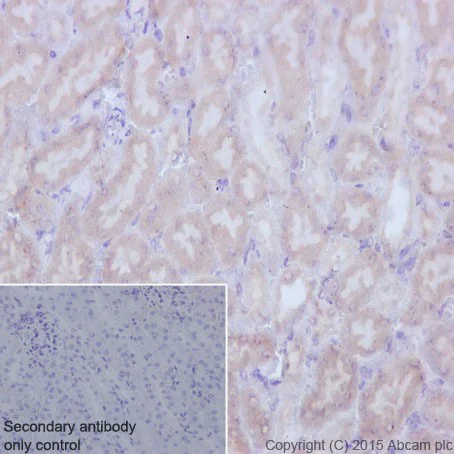
Immunohistochemistry (Formalin/PFA-fixed paraffin-embedded sections) - Anti-TCTEX-1 antibody [EPR17294] (AB202583)
  • IHC-P

Supplier Data

Immunohistochemistry (Formalin/PFA-fixed paraffin-embedded sections) - Anti-TCTEX-1 antibody [EPR17294] (AB202583)

Immunohistochemical analysis of paraffin-embedded mouse kidney tissue labeling TCTEX-1 with ab202583 at 1/50 dilution followed by Goat Anti-Rabbit IgG H&L (HRP) (ab97051) secondary antibody at 1/500 dilution. Cytoplasmic staining on mouse kidney tissue is observed. Counter stained with Hematoxylin.

Secondary antibody only control : Used PBS instead of primary antibody secondary antibody is Goat Anti-Rabbit IgG H&L (HRP) (ab97051) at 1/500 dilution.

Perform heat mediated antigen retrieval with Tris/EDTA buffer pH 9.0 before commencing with IHC staining protocol.

Western blot - Anti-TCTEX-1 antibody [EPR17294] (AB202583)
  • WB

Supplier Data

Western blot - Anti-TCTEX-1 antibody [EPR17294] (AB202583)

Blocking/Dilution buffer : 5% NFDM/TBST.

All lanes:

Western blot - Anti-TCTEX-1 antibody [EPR17294] (ab202583) at 1/10000 dilution

Lane 1:

PC-3 (Human prostate adenocarcinoma cell line) whole cell lysate at 20 µg

Lane 2:

SH-SY5Y (Human neuroblastoma from bone marrow cells) whole cell lysate at 20 µg

Lane 3:

HeLa (Human epithelial cells from cervix adenocarcinoma) whole cell lysate at 20 µg

Secondary

All lanes:

Western blot - Goat Anti-Rabbit IgG H&L (HRP) (<a href='/en-us/products/secondary-antibodies/goat-rabbit-igg-h-l-hrp-ab97051'>ab97051</a>) at 1/1000 dilution

Predicted band size: 12 kDa

Observed band size: 12 kDa

false

Exposure time: 30s

Western blot - Anti-TCTEX-1 antibody [EPR17294] (AB202583)
  • WB

Supplier Data

Western blot - Anti-TCTEX-1 antibody [EPR17294] (AB202583)

Blocking/Dilution buffer : 5% NFDM/TBST.

All lanes:

Western blot - Anti-TCTEX-1 antibody [EPR17294] (ab202583) at 1/2000 dilution

Lane 1:

Human fetal brain lysate at 10 µg

Lane 2:

Human fetal heart lysate at 10 µg

Lane 3:

Human fetal spleen lysate at 10 µg

Secondary

All lanes:

Anti-Rabbit IgG (HRP), specific to the non-reduced form of IgG at 1/1000 dilution

Predicted band size: 12 kDa

Observed band size: 12 kDa

false

Exposure time: 3min

Western blot - Anti-TCTEX-1 antibody [EPR17294] (AB202583)
  • WB

Supplier Data

Western blot - Anti-TCTEX-1 antibody [EPR17294] (AB202583)

Blocking/Dilution buffer : 5% NFDM/TBST.

All lanes:

Western blot - Anti-TCTEX-1 antibody [EPR17294] (ab202583) at 1/2000 dilution

Lane 1:

RAW 264.7 (Mouse macrophage cells transformed with Abelson murine leukemia virus) whole cell lysate at 10 µg

Lane 2:

NIH/3T3 (Mouse embyro fibroblast cells) whole cell lysate at 10 µg

Secondary

All lanes:

Western blot - Goat Anti-Rabbit IgG H&L (HRP) (<a href='/en-us/products/secondary-antibodies/goat-rabbit-igg-h-l-hrp-ab97051'>ab97051</a>) at 1/1000 dilution

Predicted band size: 12 kDa

Observed band size: 12 kDa

false

Exposure time: 30s

  • Carrier free

    Anti-TCTEX-1 antibody [EPR17294] - BSA and Azide free

Key facts

Host species

Rabbit

Clonality

Monoclonal

Clone number

EPR17294

Isotype

IgG

Carrier free

No

Reacts with

Mouse, Human

Applications

Flow Cyt (Intra), IP, WB, IHC-P, ICC/IF

applications

Immunogen

The exact immunogen used to generate this antibody is proprietary information.

Reactivity data

{ "title": "Reactivity Data", "filters": { "stats": ["", "Species", "Dilution Info", "Notes"], "tabs": { "all-applications": {"fullname" : "All Applications", "shortname": "All Applications"}, "IP" : {"fullname" : "Immunoprecipitation", "shortname":"IP"}, "WB" : {"fullname" : "Western blot", "shortname":"WB"}, "ICCIF" : {"fullname" : "Immunocytochemistry/ Immunofluorescence", "shortname":"ICC/IF"}, "FlowCytIntra" : {"fullname" : "Flow Cytometry (Intracellular)", "shortname":"Flow Cyt (Intra)"}, "IHCP" : {"fullname" : "Immunohistochemistry (Formalin/PFA-fixed paraffin-embedded sections)", "shortname":"IHC-P"} }, "product-promise": { "all": "all", "testedAndGuaranteed": "tested", "guaranteed": "expected", "predicted": "predicted", "notRecommended": "not-recommended" } }, "values": { "Human": { "IP-species-checked": "testedAndGuaranteed", "IP-species-dilution-info": "1/50", "IP-species-notes": "<p></p>", "WB-species-checked": "testedAndGuaranteed", "WB-species-dilution-info": "1/2000", "WB-species-notes": "<p></p>", "ICCIF-species-checked": "testedAndGuaranteed", "ICCIF-species-dilution-info": "1/500", "ICCIF-species-notes": "<p></p>", "FlowCytIntra-species-checked": "testedAndGuaranteed", "FlowCytIntra-species-dilution-info": "1/150", "FlowCytIntra-species-notes": "<p></p>", "IHCP-species-checked": "testedAndGuaranteed", "IHCP-species-dilution-info": "1/50", "IHCP-species-notes": "<p></p>" }, "Mouse": { "IP-species-checked": "guaranteed", "IP-species-dilution-info": "", "IP-species-notes": "", "WB-species-checked": "testedAndGuaranteed", "WB-species-dilution-info": "1/2000", "WB-species-notes": "<p></p>", "ICCIF-species-checked": "guaranteed", "ICCIF-species-dilution-info": "", "ICCIF-species-notes": "", "FlowCytIntra-species-checked": "guaranteed", "FlowCytIntra-species-dilution-info": "", "FlowCytIntra-species-notes": "", "IHCP-species-checked": "testedAndGuaranteed", "IHCP-species-dilution-info": "1/50", "IHCP-species-notes": "<p></p>" }, "Rat": { "IP-species-checked": "predicted", "IP-species-dilution-info": "", "IP-species-notes": "", "WB-species-checked": "predicted", "WB-species-dilution-info": "", "WB-species-notes": "", "ICCIF-species-checked": "predicted", "ICCIF-species-dilution-info": "", "ICCIF-species-notes": "", "FlowCytIntra-species-checked": "predicted", "FlowCytIntra-species-dilution-info": "", "FlowCytIntra-species-notes": "", "IHCP-species-checked": "predicted", "IHCP-species-dilution-info": "", "IHCP-species-notes": "" } } }

Product details

Patented technology
Our RabMAb® technology is a patented hybridoma-based technology for making rabbit monoclonal antibodies. For details on our patents, please refer to RabMAb® patents.

What are the advantages of a recombinant monoclonal antibody?
This product is a recombinant monoclonal antibody, which offers several advantages including:

  • - High batch-to-batch consistency and reproducibility
  • - Improved sensitivity and specificity
  • - Long-term security of supply
  • - Animal-free batch production

For more information, read more on recombinant antibodies.

Properties and storage information

Form
Liquid
Purification technique
Affinity purification Protein A
Storage buffer
pH: 7.2 - 7.4 Preservative: 0.01% Sodium azide Constituents: PBS, 40% Glycerol (glycerin, glycerine), 0.05% BSA
Shipped at conditions
Blue Ice
Appropriate short-term storage duration
1-2 weeks
Appropriate short-term storage conditions
+4°C
Appropriate long-term storage conditions
-20°C
Aliquoting information
Upon delivery aliquot
Storage information
Avoid freeze / thaw cycle

Supplementary information

This supplementary information is collated from multiple sources and compiled automatically.

TCTEX-1 also known as DYNLT1 or DLC1 is a component of the cytoplasmic dynein motor protein complex. It has a molecular mass of approximately 14 kDa. This protein localizes mainly to the cytoplasm and is expressed in a variety of tissues including the brain and kidneys. TCTEX-1 interacts with other proteins to facilitate cellular transport along microtubules which are essential components of the cell’s cytoskeleton aiding in maintaining cell shape and facilitating organelle movement.
Biological function summary

The role of TCTEX-1 involves the transport of vesicles and other cargo within cells using the dynein motor complex. This protein is a light chain component of the dynein which is a cytoplasmic motor protein complex responsible for retrograde transport movement along microtubules. It ensures the efficient transfer of intracellular organelles playing an essential role in cellular organization and function.

Pathways

TCTEX-1's involvement spans the intracellular trafficking and signaling pathways. It participates significantly in the endocytic pathway working closely with proteins like dynein heavy chain to mediate the efficient movement of endosomes. TCTEX-1 is also linked to the Wnt signaling pathway where its association with microtubule dynamics assists in cell signaling processes and influences cellular responses.

TCTEX-1 shows associations with neurodegenerative diseases such as Alzheimer's disease. Disruption in its function can lead to impaired axonal transport contributing to the pathological development of neurodegeneration. Additionally aberrant expression of TCTEX-1 is connected to certain types of renal cancer where interactions with proteins like BCL2L2 can influence cell survival and apoptosis pathways in tumor cells.

Product protocols

For this product, it's our understanding that no specific protocols are required. You can visit:

Target data

Acts as one of several non-catalytic accessory components of the cytoplasmic dynein 1 complex that are thought to be involved in linking dynein to cargos and to adapter proteins that regulate dynein function. Cytoplasmic dynein 1 acts as a motor for the intracellular retrograde motility of vesicles and organelles along microtubules. Binds to transport cargos and is involved in apical cargo transport such as rhodopsin-bearing vesicles in polarized epithelia. May also be a accessory component of axonemal dynein.. Plays a role in neuronal morphogenesis; the function is independent of cytoplasmic dynein and seems to be coupled to regulation of the actin cytoskeleton by enhancing Rac1 activity. The function in neurogenesis may be regulated by association with a G-protein beta-gamma dimer. May function as a receptor-independent activator of heterotrimeric G-protein signaling; the activation appears to be independent of a nucleotide exchange. Plays a role in regulating neurogenesis; inhibits the genesis of neurons from precursor cells during cortical development presumably by antagonizing ARHGEF2. Involved in the regulation of mitotic spindle orientation (By similarity). Unrelated to the role in retrograde microtubule-associated movement may play a role in the dimerization of cytoplasmic proteins/domains such as for ACVR2B. Binds to the cytoplasmic domain of ACVR2B and, in vitro, inhibits ACVR2B signaling (PubMed : 27502274).. (Microbial infection) Is involved in intracellular targeting of D-type retrovirus gag polyproteins to the cytoplasmic assembly site.
See full target information DYNLT1

Publications (3)

Recent publications for all applications. Explore the full list and refine your search

Scientific reports 15:2413 PubMed39827215

2025

TCTEX1D2 is essential for sperm flagellum formation in mice.

Applications

Unspecified application

Species

Unspecified reactive species

Ryua Harima,Kenshiro Hara,Kentaro Tanemura

Proceedings of the National Academy of Sciences of the United States of America 119:e2203628119 PubMed36201541

2022

Succinyl-CoA-based energy metabolism dysfunction in chronic heart failure.

Applications

Unspecified application

Species

Unspecified reactive species

Shingo Takada,Satoshi Maekawa,Takaaki Furihata,Naoya Kakutani,Daiki Setoyama,Koji Ueda,Hideo Nambu,Hikaru Hagiwara,Haruka Handa,Yoshizuki Fumoto,Soichiro Hata,Tomoka Masunaga,Arata Fukushima,Takashi Yokota,Dongchon Kang,Shintaro Kinugawa,Hisataka Sabe

Journal of experimental & clinical cancer research 39:32 PubMed32039741

2020

Exosomal transfer of miR-15b-3p enhances tumorigenesis and malignant transformation through the DYNLT1/Caspase-3/Caspase-9 signaling pathway in gastric cancer.

Applications

Unspecified application

Species

Unspecified reactive species

Shuchun Wei,Lei Peng,Jiajia Yang,Huaiming Sang,Duochen Jin,Xuan Li,Meihong Chen,Weifeng Zhang,Yini Dang,Guoxin Zhang
View all publications

Product promise

We are committed to supporting your work with high-quality reagents, and we're here for you every step of the way. In the unlikely event that one of our products does not perform as expected, you're protected by our Product Promise.
For full details, please see our Terms & Conditions

Please note: All products are 'FOR RESEARCH USE ONLY. NOT FOR USE IN DIAGNOSTIC OR THERAPEUTIC PROCEDURES'.

For licensing inquiries, please contact partnerships@abcam.com