JavaScript is disabled in your browser. Please enable JavaScript to view this website.
AB255922

Anti-TDP43 antibody [DB9] - BSA and Azide free

Be the first to review this product! Submit a review

|

(0 Publication)

Mouse Recombinant Monoclonal TDP43 antibody. Carrier free. Suitable for ELISA, WB, IHC-P and reacts with Rat, Mouse, Human samples.

View Alternative Names

TDP43, TARDBP, TAR DNA-binding protein 43, TDP-43

7 Images
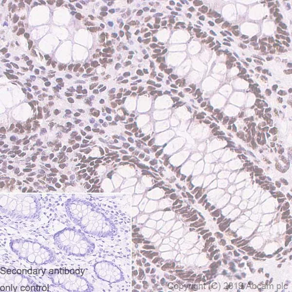
Immunohistochemistry (Formalin/PFA-fixed paraffin-embedded sections) - Anti-TDP43 antibody [DB9] - BSA and Azide free (AB255922)
  • IHC-P

Supplier Data

Immunohistochemistry (Formalin/PFA-fixed paraffin-embedded sections) - Anti-TDP43 antibody [DB9] - BSA and Azide free (AB255922)

Immunohistochemical analysis of paraffin-embedded human colon tissue labeling TDP43 with ab254166 at 4.67μg/ml, followed by Goat Anti-Mouse IgG H&L (HRP polymer) (ab214879) ready to use. Nuclear staining on human colon is observed. Counter stained with hematoxylin.
Secondary antibody only control : Used PBS instead of primary antibody, secondary antibody is Goat Anti-Mouse IgG H&L (HRP polymer) (ab214879) ready to use.

Heat mediated antigen retrieval using ab93684 (Tris/EDTA buffer, pH 9.0).

This data was developed using the same antibody clone in a different buffer formulation containing PBS, BSA, glycerol, and sodium azide (ab254166).

Immunohistochemistry (Formalin/PFA-fixed paraffin-embedded sections) - Anti-TDP43 antibody [DB9] - BSA and Azide free (AB255922)
  • IHC-P

Supplier Data

Immunohistochemistry (Formalin/PFA-fixed paraffin-embedded sections) - Anti-TDP43 antibody [DB9] - BSA and Azide free (AB255922)

Immunohistochemical analysis of paraffin-embedded human cerebrum tissue labeling TDP43 with ab254166 at 23.35μg/ml, followed by Goat Anti-Mouse IgG H&L (HRP polymer) (ab214879) ready to use. Nuclear staining on human cerebrum is observed. Counter stained with hematoxylin.
Secondary antibody only control : Used PBS instead of primary antibody, secondary antibody is Goat Anti-Mouse IgG H&L (HRP polymer) (ab214879) ready to use.

Heat mediated antigen retrieval using ab93684 (Tris/EDTA buffer, pH 9.0).

This data was developed using the same antibody clone in a different buffer formulation containing PBS, BSA, glycerol, and sodium azide (ab254166).

Immunohistochemistry (Formalin/PFA-fixed paraffin-embedded sections) - Anti-TDP43 antibody [DB9] - BSA and Azide free (AB255922)
  • IHC-P

Supplier Data

Immunohistochemistry (Formalin/PFA-fixed paraffin-embedded sections) - Anti-TDP43 antibody [DB9] - BSA and Azide free (AB255922)

Immunohistochemical analysis of paraffin-embedded rat cerebrum tissue labeling TDP43 with ab254166 at 23.35μg/ml, followed by Goat Anti-Mouse IgG H&L (HRP polymer) (ab214879) ready to use. Nuclear staining on rat cerebrum is observed. Counter stained with hematoxylin.
Secondary antibody only control : Used PBS instead of primary antibody, secondary antibody is Goat Anti-Mouse IgG H&L (HRP polymer) (ab214879) ready to use.

Heat mediated antigen retrieval using ab93684 (Tris/EDTA buffer, pH 9.0).

This data was developed using the same antibody clone in a different buffer formulation containing PBS, BSA, glycerol, and sodium azide (ab254166).

Immunohistochemistry (Formalin/PFA-fixed paraffin-embedded sections) - Anti-TDP43 antibody [DB9] - BSA and Azide free (AB255922)
  • IHC-P

Supplier Data

Immunohistochemistry (Formalin/PFA-fixed paraffin-embedded sections) - Anti-TDP43 antibody [DB9] - BSA and Azide free (AB255922)

Immunohistochemical analysis of paraffin-embedded mouse cerebrum tissue labeling TDP43 with ab254166 at 23.35μg/ml, followed by Goat Anti-Mouse IgG H&L (HRP polymer) (ab214879) ready to use. Nuclear staining on mouse cerebrum is observed. Counter stained with hematoxylin.
Secondary antibody only control : Used PBS instead of primary antibody, secondary antibody is Goat Anti-Mouse IgG H&L (HRP polymer) (ab214879) ready to use.

Heat mediated antigen retrieval using ab93684 (Tris/EDTA buffer, pH 9.0).

This data was developed using the same antibody clone in a different buffer formulation containing PBS, BSA, glycerol, and sodium azide (ab254166).

Western blot - Anti-TDP43 antibody [DB9] - BSA and Azide free (AB255922)
  • WB

Lab

Western blot - Anti-TDP43 antibody [DB9] - BSA and Azide free (AB255922)

This data was developed using ab254166, the same antibody clone in a different buffer formulation.

ab254166 was shown to react with TARDBP in wild-type HAP1 cells in Western blot with loss of signal observed in a TARDBP knockout cell line. Wild-type HAP1 and TARDBP knockout cell lysates were subjected to SDS-PAGE. Membranes were blocked in 5% milk in TBST for 1 hr before incubation with ab254166 overnight at 4 °C at a 1/1000 dilution. Blots were incubated with secondary antibodies at 0.2 µg/mL before imaging.

These data were provided by YCharOS Inc., an open science company with the mission of characterizing commercially available antibody reagents for all human proteins. Abcam and YCharOS are working together to help address the reproducibility crisis by enabling the life science community to better evaluate commercially available antibodies.

All lanes:

Western blot - Anti-TDP43 antibody [DB9] (<a href='/en-us/products/primary-antibodies/tdp43-antibody-db9-ab254166'>ab254166</a>) at 1/1000 dilution

Lane 1:

Wild-type HAP1 lysate at 50 µg

Lane 2:

TARDBP knock-out HAP1 lysate at 50 µg

false

Western blot - Anti-TDP43 antibody [DB9] - BSA and Azide free (AB255922)
  • WB

Supplier Data

Western blot - Anti-TDP43 antibody [DB9] - BSA and Azide free (AB255922)

Blocking and dilution buffer : 5% NFDM/TBST.

Exposure times.

Lanes 1-4 : 103 seconds;
Lanes 5-8 : 48 seconds.

This data was developed using the same antibody clone in a different buffer formulation containing PBS, BSA, glycerol, and sodium azide (ab254166).

All lanes:

Western blot - Anti-TDP43 antibody [DB9] (<a href='/en-us/products/primary-antibodies/tdp43-antibody-db9-ab254166'>ab254166</a>) at 1/1000 dilution

Lane 1:

HeLa (human cervix adenocarcinoma epithelial cell), whole cell lysate at 20 µg

Lane 2:

Jurkat (human T cell leukemia T lymphocyte), whole cell lysate at 20 µg

Lane 3:

K562 (human chronic myelogenous leukemia lymphoblast), whole cell lysate at 20 µg

Lane 4:

HEK-293 (human embryonic kidney epithelial cell), whole cell lysate at 20 µg

Lane 5:

C6 (rat glial tumor glial cell), whole cell lysate at 10 µg

Lane 6:

RAW264.7 (mouse Abelson murine leukemia virus-induced tumor macrophage), whole cell lysate at 10 µg

Lane 7:

PC-12 (rat adrenal gland pheochromocytoma), whole cell lysate at 10 µg

Lane 8:

NIH/3T3 (mouse embryonic fibroblast), whole cell lysate at 10 µg

Secondary

All lanes:

Peroxidase-Conjugated Goat anti-Mouse IgG (H+L) at 1/100000 dilution

Predicted band size: 44 kDa

Observed band size: 44 kDa

false

ELISA - Anti-TDP43 antibody [DB9] - BSA and Azide free (AB255922)
  • ELISA

Supplier Data

ELISA - Anti-TDP43 antibody [DB9] - BSA and Azide free (AB255922)

TDP43 = 5000 ng/mL.

ab254166 used at 0 - 10,000 ng/mL. Alkaline Phosphatase-conjugated AffiniPure Goat Anti-Mouse IgG (H+L)secondary antibody was used at 1/1000 dilution

This data was developed using the same antibody clone in a different buffer formulation containing PBS, BSA, glycerol, and sodium azide (ab254166).

Key facts

Host species

Mouse

Clonality

Monoclonal

Clone number

DB9

Isotype

IgG1

Carrier free

Yes

Reacts with

Mouse, Rat, Human

Applications

IHC-P, WB, ELISA

applications

Immunogen

The exact immunogen used to generate this antibody is proprietary information.

Reactivity data

{ "title": "Reactivity Data", "filters": { "stats": ["", "Species", "Dilution Info", "Notes"], "tabs": { "all-applications": {"fullname" : "All Applications", "shortname": "All Applications"}, "ELISA" : {"fullname" : "ELISA", "shortname":"ELISA"}, "WB" : {"fullname" : "Western blot", "shortname":"WB"}, "IHCP" : {"fullname" : "Immunohistochemistry (Formalin/PFA-fixed paraffin-embedded sections)", "shortname":"IHC-P"} }, "product-promise": { "all": "all", "testedAndGuaranteed": "tested", "guaranteed": "expected", "predicted": "predicted", "notRecommended": "not-recommended" } }, "values": { "Human": { "ELISA-species-checked": "guaranteed", "ELISA-species-dilution-info": "", "ELISA-species-notes": "", "WB-species-checked": "testedAndGuaranteed", "WB-species-dilution-info": "0.467 µg/mL", "WB-species-notes": "<p></p>", "IHCP-species-checked": "testedAndGuaranteed", "IHCP-species-dilution-info": "4.67-23.35 µg/mL", "IHCP-species-notes": "<p>Human: 4.67μg/ml</p><p>Mouse and rat: 23.35μg/ml</p> Perform heat-mediated antigen retrieval with Tris/EDTA buffer pH 9.0 before commencing with IHC staining protocol." }, "Mouse": { "ELISA-species-checked": "guaranteed", "ELISA-species-dilution-info": "", "ELISA-species-notes": "", "WB-species-checked": "testedAndGuaranteed", "WB-species-dilution-info": "0.467 µg/mL", "WB-species-notes": "<p></p>", "IHCP-species-checked": "testedAndGuaranteed", "IHCP-species-dilution-info": "4.67-23.35 µg/mL", "IHCP-species-notes": "<p>Human: 4.67μg/ml</p><p>Mouse and rat: 23.35μg/ml</p> Perform heat-mediated antigen retrieval with Tris/EDTA buffer pH 9.0 before commencing with IHC staining protocol." }, "Rat": { "ELISA-species-checked": "testedAndGuaranteed", "ELISA-species-dilution-info": "", "ELISA-species-notes": "<p>1000-10000 ng/mL</p>", "WB-species-checked": "testedAndGuaranteed", "WB-species-dilution-info": "0.467 µg/mL", "WB-species-notes": "<p></p>", "IHCP-species-checked": "testedAndGuaranteed", "IHCP-species-dilution-info": "4.67-23.35 µg/mL", "IHCP-species-notes": "<p>Human: 4.67μg/ml</p><p>Mouse and rat: 23.35μg/ml</p> Perform heat-mediated antigen retrieval with Tris/EDTA buffer pH 9.0 before commencing with IHC staining protocol." } } }

Product details

ab255922 is the carrier-free version of ab254166.

What are the advantages of a recombinant monoclonal antibody?
This product is a recombinant monoclonal antibody, which offers several advantages including:

  • - High batch-to-batch consistency and reproducibility
  • - Improved sensitivity and specificity
  • - Long-term security of supply
  • - Animal-free batch production

For more information, read more on recombinant antibodies.

Want a custom formulation?
This antibody clone is manufactured by Abcam. If you require a custom buffer formulation or conjugation for your experiments, please contact orders@abcam.com

Conjugation ready
Our carrier-free antibodies are typically supplied in a PBS-only formulation, purified and free of BSA, sodium azide and glycerol. This conjugation-ready format is designed for use with fluorochromes, metal isotopes, oligonucleotides, and enzymes, which makes them ideal for antibody labelling, functional and cell-based assays, flow-based assays (e.g. mass cytometry) and Multiplex Imaging applications.

Use our conjugation kits for antibody conjugates that are ready-to-use in as little as 20 minutes with 1 minute hands-on-time and 100% antibody recovery: available for fluorescent dyes, HRP, biotin and gold.

Compatibility
This product is compatible with the Maxpar® Antibody Labeling Kit from Fluidigm, without the need for antibody preparation. Maxpar® is a trademark of Fluidigm Canada Inc.

Properties and storage information

Form
Liquid
Purification technique
Affinity purification Protein A
Storage buffer
pH: 7.2 - 7.4 Constituents: PBS
Shipped at conditions
Blue Ice
Appropriate short-term storage conditions
+4°C
Appropriate long-term storage conditions
+4°C
Storage information
Do Not Freeze

Supplementary information

This supplementary information is collated from multiple sources and compiled automatically.

TDP43 also known as TAR DNA-binding protein 43 is a protein of approximately 43 kDa. It plays a role in various cellular processes primarily by binding to DNA and RNA. Researchers find TDP43 expressed mainly in neuronal tissues but it is present in other cell types as well. Known for its involvement in regulating gene expression and mRNA stability TDP43 interacts with other proteins within the nuclear compartment. The full function and activities of TDP43 are still under exploration but its importance in normal cellular functions is well recognized.
Biological function summary

TDP43 acts as a regulator of RNA splicing and transcription by forming ribonucleoprotein complexes. The protein can bind to specific sequences in RNA helping in the proper processing and transport of mRNA. Furthermore TDP43 has a role in stress granule formation a cell response to stress. Researchers have identified that the protein undergoes various post-translational modifications which could influence its behavior and function within the cellular environment.

Pathways

Several important pathways include TDP43 due to its functions in RNA metabolism. This protein contributes to the spliceosomal cycle and other pathways involved in mRNA processing. TDP43 interacts with proteins such as FUS and hnRNP which are also involved in RNA splicing and are essential for maintaining mRNA integrity. These relations make TDP43 an important player in regulating gene expression and protein synthesis.

The association of TDP43 with neurodegenerative diseases is significant. Its abnormal aggregation is linked to amyotrophic lateral sclerosis (ALS) and frontotemporal lobar degeneration (FTLD). In these diseases TDP43 forms insoluble inclusions within neurons and glial cells. This mislocalization and aggregation can disrupt normal cellular function leading to cell death. In the context of ALS TDP43 often associates with proteins like SOD1 which are implicated in disease pathogenesis highlighting its role in neurodegeneration.

Product protocols

For this product, it's our understanding that no specific protocols are required. You can visit:

Target data

RNA-binding protein that is involved in various steps of RNA biogenesis and processing (PubMed : 23519609). Preferentially binds, via its two RNA recognition motifs RRM1 and RRM2, to GU-repeats on RNA molecules predominantly localized within long introns and in the 3'UTR of mRNAs (PubMed : 23519609, PubMed : 24240615, PubMed : 24464995). In turn, regulates the splicing of many non-coding and protein-coding RNAs including proteins involved in neuronal survival, as well as mRNAs that encode proteins relevant for neurodegenerative diseases (PubMed : 21358640, PubMed : 29438978). Plays a role in maintaining mitochondrial homeostasis by regulating the processing of mitochondrial transcripts (PubMed : 28794432). Regulates also mRNA stability by recruiting CNOT7/CAF1 deadenylase on mRNA 3'UTR leading to poly(A) tail deadenylation and thus shortening (PubMed : 30520513). In response to oxidative insult, associates with stalled ribosomes localized to stress granules (SGs) and contributes to cell survival (PubMed : 19765185, PubMed : 23398327). Participates also in the normal skeletal muscle formation and regeneration, forming cytoplasmic myo-granules and binding mRNAs that encode sarcomeric proteins (PubMed : 30464263). Plays a role in the maintenance of the circadian clock periodicity via stabilization of the CRY1 and CRY2 proteins in a FBXL3-dependent manner (PubMed : 27123980). Negatively regulates the expression of CDK6 (PubMed : 19760257). Regulates the expression of HDAC6, ATG7 and VCP in a PPIA/CYPA-dependent manner (PubMed : 25678563).
See full target information TARDBP

Product promise

We are committed to supporting your work with high-quality reagents, and we're here for you every step of the way. In the unlikely event that one of our products does not perform as expected, you're protected by our Product Promise.
For full details, please see our Terms & Conditions

Please note: All products are 'FOR RESEARCH USE ONLY. NOT FOR USE IN DIAGNOSTIC OR THERAPEUTIC PROCEDURES'.

For licensing inquiries, please contact partnerships@abcam.com