JavaScript is disabled in your browser. Please enable JavaScript to view this website.
AB190963

Anti-TDP43 antibody [EPR18554]

4

(1 Review)

|

(9 Publications)

Rabbit Recombinant Monoclonal TDP43 antibody. Suitable for IP, WB, ICC/IF, Flow Cyt (Intra), IHC-P and reacts with Human, Zebrafish samples. Cited in 9 publications.

View Alternative Names

TDP43, TARDBP, TAR DNA-binding protein 43, TDP-43

18 Images
Immunocytochemistry/ Immunofluorescence - Anti-TDP43 antibody [EPR18554] (AB190963)
  • ICC/IF

Supplier Data

Immunocytochemistry/ Immunofluorescence - Anti-TDP43 antibody [EPR18554] (AB190963)

Immunofluorescent analysis of 4% paraformaldehyde-fixed, 0.1% Triton X-100 permeabilized K562 (Human chronic myelogenous leukemia cell line from bone marrow) cells labeling TDP43 with ab190963 at 1/1000 dilution, followed by Goat Anti-Rabbit IgG (Alexa Fluor® 488) (ab150077) secondary antibody at 1/1000 dilution (green).

Confocal image showing nuclear staining on K562 cell line.

Tubulin is detected with Anti-alpha Tubulin antibody [DM1A] - Loading Control (ab7291) at 1/1000 dilution and Goat Anti-Mouse IgG H&L (Alexa Fluor® 594) preadsorbed (ab150120) at 1/1000 dilution (red).

The negative controls are as follows : -

-ve control 1 : ab190963 at 1/2000 dilution followed by ab150120 at 1/1000 dilution.

-ve control 2 : ab7291 at 1/1000 dilution followed by ab150077 at 1/1000 dilution.

Flow Cytometry (Intracellular) - Anti-TDP43 antibody [EPR18554] (AB190963)
  • Flow Cyt (Intra)

Supplier Data

Flow Cytometry (Intracellular) - Anti-TDP43 antibody [EPR18554] (AB190963)

Intracellular flow cytometric analysis of 4% paraformaldehyde-fixed K562 (Human chronic myelogenous leukemia cell line from bone marrow) cells labeling TDP43with ab190963 at 1/1000 dilution (red) compared with a Rabbit IgG,monoclonal [EPR25A] -Isotype control (ab172730) (black) and an unlabelled control (cells without incubation with primary antibody and secondary antibody) (blue). Goat anti Rabbit IgG (FITC) at 1/500 dilution was used as the secondary antibody.

Immunohistochemistry (Formalin/PFA-fixed paraffin-embedded sections) - Anti-TDP43 antibody [EPR18554] (AB190963)
  • IHC-P

Supplier Data

Immunohistochemistry (Formalin/PFA-fixed paraffin-embedded sections) - Anti-TDP43 antibody [EPR18554] (AB190963)

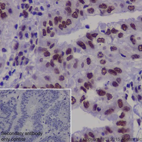
Immunohistochemical analysis of paraffin-embedded Human endometrium carcinoma tissue labeling TDP43 with ab190963 at 1/1000 dilution, followed by Goat Anti-Rabbit IgG H&L (HRP) (ab97051) at 1/500 dilution.

Nucleus staining on tumor cells of the endometrium carcinoma is observed.

Counter stained with Hematoxylin.

Secondary antibody only control : Used PBS instead of primary antibody, secondary antibody is ab97051 at 1/500 dilution.

Perform heat mediated antigen retrieval with Tris/EDTA buffer pH 9.0 before commencing with IHC staining protocol.

Immunohistochemistry (Formalin/PFA-fixed paraffin-embedded sections) - Anti-TDP43 antibody [EPR18554] (AB190963)
  • IHC-P

Supplier Data

Immunohistochemistry (Formalin/PFA-fixed paraffin-embedded sections) - Anti-TDP43 antibody [EPR18554] (AB190963)

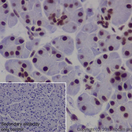
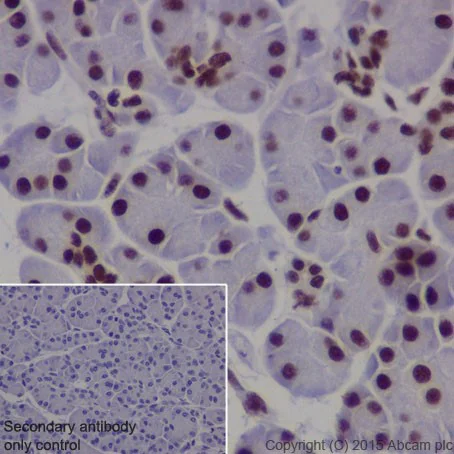
Immunohistochemical analysis of paraffin-embedded Human pancreas tissue labeling TDP43 with ab190963 at 1/1000 dilution, followed by Goat Anti-Rabbit IgG H&L (HRP) (ab97051) at 1/500 dilution.

Nucleus staining on normal Human pancreas is observed.

Counter stained with Hematoxylin.

Secondary antibody only control : Used PBS instead of primary antibody, secondary antibody is ab97051 at 1/500 dilution.

Perform heat mediated antigen retrieval with Tris/EDTA buffer pH 9.0 before commencing with IHC staining protocol.

Immunocytochemistry/ Immunofluorescence - Anti-TDP43 antibody [EPR18554] (AB190963)
  • ICC/IF

Lab

Immunocytochemistry/ Immunofluorescence - Anti-TDP43 antibody [EPR18554] (AB190963)

ab190963 was shown to react with TARDBP in wild-type HAP1 cells in immunocytochemistry with loss of signal observed in a TARDBP knockout cell line. Wild-type and knockout cells were mixed and pelleted at a 1 : 1 ratio on coverslips. The cells were fixed with 4% paraformaldehyde (15 min) then permeabilized with 0.1% Triton X-100 (10min) and then blocked with 1x PBS, 0.01% Triton X-100, 5% BSA, 5% NGS. The cells were then incubated with ab190963 at  1/1000 dilution overnight at 4°C followed by a further incubation at room temperature for 1h with a goat anti-rabbit secondary antibody to (Alexa Fluor® 555) at 0.5 µg/ml. Acquisition of the green (wild-type), red (antibody staining) and far-red (knockout) channels was performed. Representative grayscale images of the red channel are shown. Wild-type and knockout cells are outlined with yellow and magenta dashed line, respectively. Schematic representation of the mosaic strategy used is shown on the bottom-right panel. Image was acquired with a Zeiss(LSM-880).

These data were provided by YCharOS Inc., an open science company with the mission of characterizing commercially available antibody reagents for all human proteins. Abcam and YCharOS are working together to help address the reproducibility crisis by enabling the life science community to better evaluate commercially available antibodies.

Immunocytochemistry/ Immunofluorescence - Anti-TDP43 antibody [EPR18554] (AB190963)
  • ICC/IF

Supplier Data

Immunocytochemistry/ Immunofluorescence - Anti-TDP43 antibody [EPR18554] (AB190963)

Immunofluorescent analysis of 4% paraformaldehyde-fixed, 0.1% Triton X-100 permeabilized HeLa (Human epithelial cell line from cervix adenocarcinoma) cells labeling TDP43 with ab190963 at 1/1000 dilution, followed by Goat Anti-Rabbit IgG (Alexa Fluor® 488) (ab150077) secondary antibody at 1/1000 dilution (green).

Confocal image showing nuclear staining on HeLa cell line.

The nuclear counterstain is DAPI (blue).

Tubulin is detected with Anti-alpha Tubulin antibody [DM1A] - Loading Control (ab7291) at 1/1000 dilution and Goat Anti-Mouse IgG H&L (Alexa Fluor® 594) preadsorbed (ab150120) at 1/1000 dilution (red).

The negative controls are as follows : -

-ve control 1 : ab190963 at 1/2000 dilution followed by ab150120 at 1/1000 dilution.

-ve control 2 : ab7291 at 1/1000 dilution followed by ab150077 at 1/1000 dilution.

Immunoprecipitation - Anti-TDP43 antibody [EPR18554] (AB190963)
  • IP

Supplier Data

Immunoprecipitation - Anti-TDP43 antibody [EPR18554] (AB190963)

TDP43 was immunoprecipitated from 1mg of HeLa (Human epithelial cell line from cervix adenocarcinoma) whole cell lysate with ab190963 at 1/40 dilution.

Western blot was performed from the immunoprecipitate using ab190963 at 1/1000 dilution.

VeriBlot for IP Detection Reagent (HRP) (ab131366), was used for detection at 1/10000 dilution.

Lane 1 : HeLa whole cell lysate, 10μg (Input).

Lane 2 : ab190963 IP in HeLa whole cell lysate.

Lane 3 : Rabbit IgG,monoclonal [EPR25A] - Isotype Control (ab172730) instead of ab190963 in HeLa whole cell lysate.

Blocking and dilution buffer and concentration : 5% NFDM/TBST.

Exposure time : 1 second.

The band of ~35 kDa is the cleavage product from caspase activity (PMID : 22659571, PMID : 20736350).

All lanes:

Immunoprecipitation - Anti-TDP43 antibody [EPR18554] (ab190963)

Predicted band size: 44 kDa

false

Western blot - Anti-TDP43 antibody [EPR18554] (AB190963)
  • WB

Lab

Western blot - Anti-TDP43 antibody [EPR18554] (AB190963)

ab190963 was shown to react with TARDBP in wild-type HAP1 cells in Western blot with loss of signal observed in a TARDBP knockout cell line. Wild-type HAP1 and TARDBP knockout cell lysates were subjected to SDS-PAGE. Membranes were blocked in 5% milk in TBST for 1 hr before incubation with ab190963 overnight at 4 °C at a 1/1000 dilution. Blots were incubated with secondary antibodies at 0.2 µg/mL before imaging.

These data were provided by YCharOS Inc., an open science company with the mission of characterizing commercially available antibody reagents for all human proteins. Abcam and YCharOS are working together to help address the reproducibility crisis by enabling the life science community to better evaluate commercially available antibodies.

All lanes:

Western blot - Anti-TDP43 antibody [EPR18554] (ab190963) at 1/1000 dilution

Lane 1:

Wild-type HAP1 lysate at 50 µg

Lane 2:

TARDBP knock-out HAP1 lysate at 50 µg

false

Western blot - Anti-TDP43 antibody [EPR18554] (AB190963)
  • WB

Supplier Data

Western blot - Anti-TDP43 antibody [EPR18554] (AB190963)

Blocking/Dilution buffer : 5% NFDM/TBST.

The band of ~35 kDa is the cleavage product from caspase activity (PMID : 22659571, PMID : 20736350).

All lanes:

Western blot - Anti-TDP43 antibody [EPR18554] (ab190963) at 1/1000 dilution

Lane 1:

Human fetal brain lysate at 10 µg

Lane 2:

Human fetal heart lysate at 10 µg

Secondary

All lanes:

Anti-Rabbit IgG (HRP), specific to the non-reduced form of IgG at 1/10000 dilution

Predicted band size: 44 kDa

Observed band size: 45 kDa

false

Exposure time: 10s

Western blot - Anti-TDP43 antibody [EPR18554] (AB190963)
  • WB

Supplier Data

Western blot - Anti-TDP43 antibody [EPR18554] (AB190963)

Blocking/Dilution buffer : 5% NFDM/TBST.

The band of ~35 kDa is the cleavage product from caspase activity (PMID : 22659571, PMID : 20736350).

All lanes:

Western blot - Anti-TDP43 antibody [EPR18554] (ab190963) at 1/10000 dilution

Lane 1:

HEK-293 (Human epithelial cell line from embryonic kidney) whole cell lysate lysate at 20 µg

Lane 2:

K562 (Human chronic myelogenous leukemia cell line from bone marrow) whole cell lysate lysate at 20 µg

Secondary

All lanes:

Western blot - Goat Anti-Rabbit IgG H&L (HRP) (<a href='/en-us/products/secondary-antibodies/goat-rabbit-igg-h-l-hrp-ab97051'>ab97051</a>) at 1/100000 dilution

Predicted band size: 44 kDa

Observed band size: 45 kDa

false

Exposure time: 5s

Western blot - Anti-TDP43 antibody [EPR18554] (AB190963)
  • WB

Lab

Western blot - Anti-TDP43 antibody [EPR18554] (AB190963)

Lane 1 : Wild type HAP1 whole cell lysate (20 μg)
Lane 2 : TDP43 knockout HAP1 whole cell lysate (20 μg)
Lane 3 : HeLa whole cell lysate (20 μg)

Lanes 1 - 3 : Merged signal (red and green). Green - ab190963 observed at 48 kDa. Red - loading control, ab18058, observed at 130 kDa.

ab190963 was shown to specifically react with TDP43 in wild type cells as signal was lost in TDP43 knockout cells. Wild-type and TDP43 knockout samples were subjected to SDS-PAGE. ab190963 and ab18058 (Mouse anti-Vinculin loading control) were incubated overnight at 4°C at 1/1000 dilution and 1/20000 dilution respectively. Blots were developed with Goat anti-Rabbit IgG H&L (IRDye® 800CW) preabsorbed ab216773 and Goat anti-Mouse IgG H&L (IRDye® 680RD) preabsorbed ab216776 secondary antibodies at 1/20000 dilution for 1 hour at room temperature before imaging.

All lanes:

Western blot - Anti-TDP43 antibody [EPR18554] (ab190963)

Predicted band size: 44 kDa

false

Western blot - Anti-TDP43 antibody [EPR18554] (AB190963)
  • WB

Supplier Data

Western blot - Anti-TDP43 antibody [EPR18554] (AB190963)

Blocking/Dilution buffer : 5% NFDM/TBST.

The band of ~35 kDa is the cleavage product from caspase activity (PMID : 22659571, PMID : 20736350), and can be induced by staurosporine.

All lanes:

Western blot - Anti-TDP43 antibody [EPR18554] (ab190963) at 1/1000 dilution

Lane 1:

Untreated HeLa (Human epithelial cell line from cervix adenocarcinoma) whole cell lysate at 20 µg

Lane 2:

HeLa (Human epithelial cell line from cervix adenocarcinoma) treated with 1μM staurosporine for 4 hours whole cell lysate at 20 µg

Lane 3:

HeLa (Human epithelial cell line from cervix adenocarcinoma) treated with 50 μM Z-VAD-FMK for 4 hours whole cell lysate at 20 µg

Lane 4:

HeLa (Human epithelial cell line from cervix adenocarcinoma) treated with 1μM staurosporine and 50 μM Z-VAD-FMK for 4 hours whole cell lysate at 20 µg

Secondary

All lanes:

Western blot - Goat Anti-Rabbit IgG H&L (HRP) (<a href='/en-us/products/secondary-antibodies/goat-rabbit-igg-h-l-hrp-ab97051'>ab97051</a>) at 1/100000 dilution

Predicted band size: 44 kDa

Observed band size: 45 kDa

false

Exposure time: 3min

Western blot - Anti-TDP43 antibody [EPR18554] (AB190963)
  • WB

Supplier Data

Western blot - Anti-TDP43 antibody [EPR18554] (AB190963)

Blocking/Dilution buffer : 5% NFDM/TBST.

All lanes:

Western blot - Anti-TDP43 antibody [EPR18554] (ab190963) at 1/2000 dilution

All lanes:

HeLa (Human epithelial cell line from cervix adenocarcinoma) whole cell lysate at 20 µg

Secondary

All lanes:

Western blot - Goat Anti-Rabbit IgG H&L (HRP) (<a href='/en-us/products/secondary-antibodies/goat-rabbit-igg-h-l-hrp-ab97051'>ab97051</a>) at 1/100000 dilution

Predicted band size: 44 kDa

Observed band size: 45 kDa

false

Exposure time: 3s

Western blot - Anti-TDP43 antibody [EPR18554] (AB190963)
  • WB

Supplier Data

Western blot - Anti-TDP43 antibody [EPR18554] (AB190963)

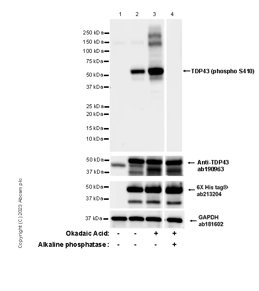
Blocking and diluting buffer and concentration : 5% NFDM/TBST In Western blot, Anti-GAPDH antibody [EPR16891] - Loading Control (ab181602) staining at 1/200000 dilution. In Western blot, Anti-TDP43 antibody [EPR18554-55] (ab190963) staining at 1/1000 dilution In Western blot, Anti-6X His tag® antibody [EPR20547] - ChIP Grade (ab213204) staining at 1/5000 dilution

All lanes:

Western blot - Anti-TDP43 (phospho S409 + pS410) antibody [EPR24512-120] (<a href='/en-us/products/primary-antibodies/tdp43-phospho-s409-ps410-antibody-epr24512-120-ab314299'>ab314299</a>) at 1/1000 dilution

Lane 1:

293T (human embryonic kidney epithelial cell) cells transfected with an empty vector containing a His-tag, whole cell lysate (untreated membrane) at 20 µg

Lane 2:

293T cells transfected with a human TDP43 expression vector containing a His-tag, whole cell lysate (untreated membrane) at 20 µg

Lane 3:

293T cells transfected with a human TDP43 expression vector containing a His-tag were treated with 1 uM Okadaic Acid for 60 minutes, whole cell lysate (untreated membrane) at 20 µg

Lane 4:

293T cells transfected with a human TDP43 expression vector containing a His-tag were treated with 1 uM Okadaic Acid for 60 minutes, whole cell lysate (Alkaline phosphatase treated membrane) at 20 µg

Secondary

All lanes:

Western blot - Goat Anti-Rabbit IgG H&L (HRP) (<a href='/en-us/products/secondary-antibodies/goat-rabbit-igg-h-l-hrp-ab97051'>ab97051</a>) at 1/100000 dilution

Observed band size: 50 kDa

false

Exposure time: 15s

Western blot - Anti-TDP43 antibody [EPR18554] (AB190963)
  • WB

Supplier Data

Western blot - Anti-TDP43 antibody [EPR18554] (AB190963)

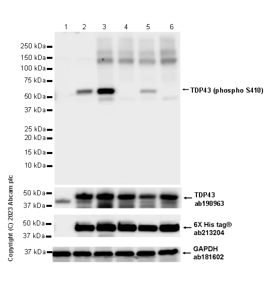
Blocking and diluting buffer and concentration : 5% NFDM/TBST The antibody specifically recognizes TDP43 diphosphorylated at S409 and S410. It does not cross-react with TDP43 singly phosphorylated at S409 or singly phosphorylated at S410. In Western blot, Anti-GAPDH antibody [EPR16891] - Loading Control (ab181602) staining at 1/200000 dilution. In Western blot, Anti-TDP43 antibody [EPR18554-55] (ab190963) staining at 1/1000 dilution In Western blot, Anti-6X His tag® antibody [EPR20547] - ChIP Grade (ab213204) staining at 1/5000 dilution

All lanes:

Western blot - Anti-TDP43 (phospho S409 + pS410) antibody [EPR24512-120] (<a href='/en-us/products/primary-antibodies/tdp43-phospho-s409-ps410-antibody-epr24512-120-ab314299'>ab314299</a>) at 1/1000 dilution

Lane 1:

293T (human embryonic kidney epithelial cell) cells transfected with an empty vector containing a His-tag, whole cell lysate at 20 µg

Lane 2:

293T cells transfected with a human wild-type TDP43 expression vector containing a His-tag, whole cell lysate at 20 µg

Lane 3:

293T cells transfected with a human wild-type TDP43 expression vector containing a His-tag were treated with 1 uM Okadaic Acid for 60 minutes, whole cell lysate at 20 µg

Lane 4:

293T cells transfected with a human TDP43 (S409A and S410A mutation) expression vector containing a His-tag were treated with 1 uM Okadaic Acid for 60 minutes, whole cell lysate at 20 µg

Lane 5:

293T cells transfected with a human TDP43 (S409A mutation) expression vector containing a His-tag were treated with 1 uM Okadaic Acid for 60 minutes, whole cell lysate at 20 µg

Lane 6:

293T cells transfected with a human TDP43 (S410A mutation) expression vector containing a His-tag were treated with 1 uM Okadaic Acid for 60 minutes, whole cell lysate at 20 µg

Secondary

All lanes:

Western blot - Goat Anti-Rabbit IgG H&L (HRP) (<a href='/en-us/products/secondary-antibodies/goat-rabbit-igg-h-l-hrp-ab97051'>ab97051</a>) at 1/100000 dilution

Observed band size: 50 kDa

false

Exposure time: 26s

Western blot - Anti-TDP43 antibody [EPR18554] (AB190963)
  • WB

Supplier Data

Western blot - Anti-TDP43 antibody [EPR18554] (AB190963)

Blocking and diluting buffer and concentration : 5% NFDM/TBST The antibody specifically recognizes TDP43 singly phosphorylated at S410. In Western blot, Anti-GAPDH antibody [EPR16891] - Loading Control (ab181602) staining at 1/200000 dilution. In Western blot, Anti-TDP43 antibody [EPR18554-55] (ab190963) staining at 1/1000 dilution. In Western blot, Anti-6X His tag® antibody [EPR20547] - ChIP Grade (ab213204) staining at 1/5000 dilution.

All lanes:

Western blot - Anti-TDP43 (phospho S410) antibody [EPR24512-8] (<a href='/en-us/products/primary-antibodies/tdp43-phospho-s410-antibody-epr24512-8-ab314301'>ab314301</a>) at 1/1000 dilution

Lane 1:

293T (human embryonic kidney epithelial cell) cells transfected with an empty vector containing a His-tag, whole cell lysate at 20 µg

Lane 2:

293T cells transfected with a human wild-type TDP43 expression vector containing a His-tag, whole cell lysate at 20 µg

Lane 3:

293T cells transfected with a human wild-type TDP43 expression vector containing a His-tag were treated with 1 uM Okadaic Acid for 60 minutes, whole cell lysate at 20 µg

Lane 4:

293T cells transfected with a human TDP43 (S409A and S410A mutation) expression vector containing a His-tag were treated with 1 uM Okadaic Acid for 60 minutes, whole cell lysate at 20 µg

Lane 5:

293T cells transfected with a human TDP43 (S409A mutation) expression vector containing a His-tag were treated with 1 uM Okadaic Acid for 60 minutes, whole cell lysate at 20 µg

Lane 6:

293T cells transfected with a human TDP43 (S410A mutation) expression vector containing a His-tag were treated with 1 uM Okadaic Acid for 60 minutes, whole cell lysate at 20 µg

Secondary

All lanes:

Western blot - Goat Anti-Rabbit IgG H&L (HRP) (<a href='/en-us/products/secondary-antibodies/goat-rabbit-igg-h-l-hrp-ab97051'>ab97051</a>) at 1/100000 dilution

Observed band size: 50 kDa

false

Exposure time: 15s

Western blot - Anti-TDP43 antibody [EPR18554] (AB190963)
  • WB

Supplier Data

Western blot - Anti-TDP43 antibody [EPR18554] (AB190963)

Blocking and diluting buffer and concentration : 5% NFDM/TBST In Western blot, Anti-GAPDH antibody [EPR16891] - Loading Control (ab181602) staining at 1/200000 dilution. In Western blot, Anti-TDP43 antibody [EPR18554-55] (ab190963) staining at 1/1000 dilution. In Western blot, Anti-6X His tag® antibody [EPR20547] - ChIP Grade (ab213204) staining at 1/5000 dilution.

All lanes:

Western blot - Anti-TDP43 (phospho S410) antibody [EPR24512-8] (<a href='/en-us/products/primary-antibodies/tdp43-phospho-s410-antibody-epr24512-8-ab314301'>ab314301</a>) at 1/1000 dilution

Lane 1:

293T (human embryonic kidney epithelial cell) cells transfected with an empty vector containing a His-tag, whole cell lysate (untreated membrane) at 20 µg

Lane 2:

293T cells transfected with a human TDP43 expression vector containing a His-tag, whole cell lysate (untreated membrane) at 20 µg

Lane 3:

293T cells transfected with a human TDP43 expression vector containing a His-tag were treated with 1 uM Okadaic Acid for 60 minutes, whole cell lysate (untreated membrane) at 20 µg

Lane 4:

293T cells transfected with a human TDP43 expression vector containing a His-tag were treated with 1 uM Okadaic Acid for 60 minutes, whole cell lysate (Alkaline phosphatase treated membrane) at 20 µg

Secondary

All lanes:

Western blot - Goat Anti-Rabbit IgG H&L (HRP) (<a href='/en-us/products/secondary-antibodies/goat-rabbit-igg-h-l-hrp-ab97051'>ab97051</a>) at 1/100000 dilution

Observed band size: 50 kDa

false

Exposure time: 15s

Western blot - Anti-TDP43 antibody [EPR18554] (AB190963)
  • WB

Supplier Data

Western blot - Anti-TDP43 antibody [EPR18554] (AB190963)

Blocking/Dilution buffer : 5% NFDM/TBST.

The band of ~35 kDa is the cleavage product from caspase activity (PMID : 22659571, PMID : 20736350).

All lanes:

Western blot - Anti-TDP43 antibody [EPR18554] (ab190963) at 1/1000 dilution

All lanes:

Zebrafish head lysate at 10 µg

Secondary

All lanes:

Western blot - Goat Anti-Rabbit IgG H&L (HRP) (<a href='/en-us/products/secondary-antibodies/goat-rabbit-igg-h-l-hrp-ab97051'>ab97051</a>) at 1/100000 dilution

Predicted band size: 44 kDa

Observed band size: 45 kDa

false

Exposure time: 3min

Key facts

Host species

Rabbit

Clonality

Monoclonal

Clone number

EPR18554

Isotype

IgG

Carrier free

No

Reacts with

Human, Zebrafish

Applications

IHC-P, IP, ICC/IF, WB, Flow Cyt (Intra)

applications

Immunogen

The exact immunogen used to generate this antibody is proprietary information.

Reactivity data

{ "title": "Reactivity Data", "filters": { "stats": ["", "Species", "Dilution Info", "Notes"], "tabs": { "all-applications": {"fullname" : "All Applications", "shortname": "All Applications"}, "IP" : {"fullname" : "Immunoprecipitation", "shortname":"IP"}, "WB" : {"fullname" : "Western blot", "shortname":"WB"}, "ICCIF" : {"fullname" : "Immunocytochemistry/ Immunofluorescence", "shortname":"ICC/IF"}, "FlowCytIntra" : {"fullname" : "Flow Cytometry (Intracellular)", "shortname":"Flow Cyt (Intra)"}, "IHCP" : {"fullname" : "Immunohistochemistry (Formalin/PFA-fixed paraffin-embedded sections)", "shortname":"IHC-P"} }, "product-promise": { "all": "all", "testedAndGuaranteed": "tested", "guaranteed": "expected", "predicted": "predicted", "notRecommended": "not-recommended" } }, "values": { "Human": { "IP-species-checked": "testedAndGuaranteed", "IP-species-dilution-info": "1/40", "IP-species-notes": "<p></p>", "WB-species-checked": "testedAndGuaranteed", "WB-species-dilution-info": "1/1000", "WB-species-notes": "<p></p>", "ICCIF-species-checked": "testedAndGuaranteed", "ICCIF-species-dilution-info": "1/1000", "ICCIF-species-notes": "<p></p>", "FlowCytIntra-species-checked": "testedAndGuaranteed", "FlowCytIntra-species-dilution-info": "1/1000", "FlowCytIntra-species-notes": "<p></p>", "IHCP-species-checked": "testedAndGuaranteed", "IHCP-species-dilution-info": "1/1000", "IHCP-species-notes": "<p></p> Perform heat-mediated antigen retrieval with Tris/EDTA buffer pH 9.0 before commencing with IHC staining protocol." }, "Mouse": { "IP-species-checked": "predicted", "IP-species-dilution-info": "", "IP-species-notes": "", "WB-species-checked": "predicted", "WB-species-dilution-info": "", "WB-species-notes": "", "ICCIF-species-checked": "predicted", "ICCIF-species-dilution-info": "", "ICCIF-species-notes": "", "FlowCytIntra-species-checked": "predicted", "FlowCytIntra-species-dilution-info": "", "FlowCytIntra-species-notes": "", "IHCP-species-checked": "predicted", "IHCP-species-dilution-info": "", "IHCP-species-notes": "" }, "Rat": { "IP-species-checked": "predicted", "IP-species-dilution-info": "", "IP-species-notes": "", "WB-species-checked": "predicted", "WB-species-dilution-info": "", "WB-species-notes": "", "ICCIF-species-checked": "predicted", "ICCIF-species-dilution-info": "", "ICCIF-species-notes": "", "FlowCytIntra-species-checked": "predicted", "FlowCytIntra-species-dilution-info": "", "FlowCytIntra-species-notes": "", "IHCP-species-checked": "predicted", "IHCP-species-dilution-info": "", "IHCP-species-notes": "" }, "Zebrafish": { "IP-species-checked": "guaranteed", "IP-species-dilution-info": "", "IP-species-notes": "", "WB-species-checked": "testedAndGuaranteed", "WB-species-dilution-info": "1/1000", "WB-species-notes": "<p></p>", "ICCIF-species-checked": "guaranteed", "ICCIF-species-dilution-info": "", "ICCIF-species-notes": "", "FlowCytIntra-species-checked": "guaranteed", "FlowCytIntra-species-dilution-info": "", "FlowCytIntra-species-notes": "", "IHCP-species-checked": "guaranteed", "IHCP-species-dilution-info": "", "IHCP-species-notes": "" } } }

Product details

Patented technology
Our RabMAb® technology is a patented hybridoma-based technology for making rabbit monoclonal antibodies. For details on our patents, please refer to RabMAb® patents.

What are the advantages of a recombinant monoclonal antibody?
This product is a recombinant monoclonal antibody, which offers several advantages including:

  • - High batch-to-batch consistency and reproducibility
  • - Improved sensitivity and specificity
  • - Long-term security of supply
  • - Animal-free batch production

For more information, read more on recombinant antibodies.

Properties and storage information

Form
Liquid
Purification technique
Affinity purification Protein A
Storage buffer
pH: 7.2 - 7.4 Preservative: 0.01% Sodium azide Constituents: PBS, 40% Glycerol (glycerin, glycerine), 0.05% BSA
Shipped at conditions
Blue Ice
Appropriate short-term storage duration
1-2 weeks
Appropriate short-term storage conditions
+4°C
Appropriate long-term storage conditions
-20°C
Aliquoting information
Upon delivery aliquot
Storage information
Avoid freeze / thaw cycle

Supplementary information

This supplementary information is collated from multiple sources and compiled automatically.

TDP43 also known as TAR DNA-binding protein 43 is a protein of approximately 43 kDa. It plays a role in various cellular processes primarily by binding to DNA and RNA. Researchers find TDP43 expressed mainly in neuronal tissues but it is present in other cell types as well. Known for its involvement in regulating gene expression and mRNA stability TDP43 interacts with other proteins within the nuclear compartment. The full function and activities of TDP43 are still under exploration but its importance in normal cellular functions is well recognized.
Biological function summary

TDP43 acts as a regulator of RNA splicing and transcription by forming ribonucleoprotein complexes. The protein can bind to specific sequences in RNA helping in the proper processing and transport of mRNA. Furthermore TDP43 has a role in stress granule formation a cell response to stress. Researchers have identified that the protein undergoes various post-translational modifications which could influence its behavior and function within the cellular environment.

Pathways

Several important pathways include TDP43 due to its functions in RNA metabolism. This protein contributes to the spliceosomal cycle and other pathways involved in mRNA processing. TDP43 interacts with proteins such as FUS and hnRNP which are also involved in RNA splicing and are essential for maintaining mRNA integrity. These relations make TDP43 an important player in regulating gene expression and protein synthesis.

The association of TDP43 with neurodegenerative diseases is significant. Its abnormal aggregation is linked to amyotrophic lateral sclerosis (ALS) and frontotemporal lobar degeneration (FTLD). In these diseases TDP43 forms insoluble inclusions within neurons and glial cells. This mislocalization and aggregation can disrupt normal cellular function leading to cell death. In the context of ALS TDP43 often associates with proteins like SOD1 which are implicated in disease pathogenesis highlighting its role in neurodegeneration.

Product protocols

For this product, it's our understanding that no specific protocols are required. You can visit:

Target data

RNA-binding protein that is involved in various steps of RNA biogenesis and processing (PubMed : 23519609). Preferentially binds, via its two RNA recognition motifs RRM1 and RRM2, to GU-repeats on RNA molecules predominantly localized within long introns and in the 3'UTR of mRNAs (PubMed : 23519609, PubMed : 24240615, PubMed : 24464995). In turn, regulates the splicing of many non-coding and protein-coding RNAs including proteins involved in neuronal survival, as well as mRNAs that encode proteins relevant for neurodegenerative diseases (PubMed : 21358640, PubMed : 29438978). Plays a role in maintaining mitochondrial homeostasis by regulating the processing of mitochondrial transcripts (PubMed : 28794432). Regulates also mRNA stability by recruiting CNOT7/CAF1 deadenylase on mRNA 3'UTR leading to poly(A) tail deadenylation and thus shortening (PubMed : 30520513). In response to oxidative insult, associates with stalled ribosomes localized to stress granules (SGs) and contributes to cell survival (PubMed : 19765185, PubMed : 23398327). Participates also in the normal skeletal muscle formation and regeneration, forming cytoplasmic myo-granules and binding mRNAs that encode sarcomeric proteins (PubMed : 30464263). Plays a role in the maintenance of the circadian clock periodicity via stabilization of the CRY1 and CRY2 proteins in a FBXL3-dependent manner (PubMed : 27123980). Negatively regulates the expression of CDK6 (PubMed : 19760257). Regulates the expression of HDAC6, ATG7 and VCP in a PPIA/CYPA-dependent manner (PubMed : 25678563).
See full target information TARDBP

Publications (9)

Recent publications for all applications. Explore the full list and refine your search

The Journal of biological chemistry 300:107964 PubMed39510185

2024

The noncanonical RNA-binding protein RAN stabilizes the mRNA of intranuclear stress granule assembly factor G3BP1 in nasopharyngeal carcinoma.

Applications

Unspecified application

Species

Unspecified reactive species

Pan-Yang Yang,Zhenyu Yang,Jiawei Lv,Pei-Yi Jiang,Ting-Qiu Quan,Zhuo-Hui Huang,Xu-Dong Xu,Rui Guo,Denghui Wei,Ying Sun

Microbial cell (Graz, Austria) 10:157-169 PubMed37545643

2023

Caspase 3 exhibits a yeast metacaspase proteostasis function that protects mitochondria from toxic TDP43 aggregates.

Applications

Unspecified application

Species

Unspecified reactive species

Steve Brunette,Anupam Sharma,Ryan Bell,Lawrence Puente,Lynn A Megeney

F1000Research 12:277 PubMed37359785

2023

The identification of high-performing antibodies for TDP-43 for use in Western Blot, immunoprecipitation and immunofluorescence.

Applications

WB, ICC

Species

Human, Human

Donovan Worrall,Riham Ayoubi,Maryam Fotouhi,Kathleen Southern,Peter S McPherson,Carl Laflamme

Communications biology 5:816 PubMed35963893

2022

TDP-43 upregulates lipid metabolism modulator ABHD2 to suppress apoptosis in hepatocellular carcinoma.

Applications

Unspecified application

Species

Unspecified reactive species

Bo-Wen Liu,Xiang-Yun Wang,Jin-Ling Cao,Lu-Lu Chen,Yi-Lei Wang,Bing-Qian Zhao,Jia Zhou,Zhi-Fa Shen

Cell death and differentiation 29:393-406 PubMed34504314

2021

Circular RNA Cwc27 contributes to Alzheimer's disease pathogenesis by repressing Pur-α activity.

Applications

Unspecified application

Species

Unspecified reactive species

Chenghuan Song,Yongfang Zhang,Wanying Huang,Jiyun Shi,Qiang Huang,Minjie Jiang,Yu Qiu,Tao Wang,Hongzhuan Chen,Hao Wang

PPAR research 2021:5558731 PubMed34306045

2021

Activation of the Peroxisome Proliferator-Activated Receptors (PPAR-/) and the Fatty Acid Metabolizing Enzyme Protein CPT1A by Camel Milk Treatment Counteracts the High-Fat Diet-Induced Nonalcoholic Fatty Liver Disease.

Applications

Unspecified application

Species

Unspecified reactive species

Haifa M AlNafea,Aida A Korish

Human molecular genetics : PubMed33410456

2021

Ceramide contributes to pathogenesis and may be targeted for therapy in VCP inclusion body myopathy.

Applications

Unspecified application

Species

Unspecified reactive species

Lan Weiss,Kwang-Mook Jung,Angele Nalbandian,Katrina Llewellyn,Howard Yu,Lac Ta,Isabela Chang,Marco Migliore,Erica Squire,Faizy Ahmed,Daniele Piomelli,Virginia Kimonis

Nature communications 11:5611 PubMed33154349

2020

A circular RNA generated from an intron of the insulin gene controls insulin secretion.

Applications

Unspecified application

Species

Unspecified reactive species

Lisa Stoll,Adriana Rodríguez-Trejo,Claudiane Guay,Flora Brozzi,Mustafa Bilal Bayazit,Sonia Gattesco,Véronique Menoud,Jonathan Sobel,Ana Claudia Marques,Morten Trillingsgaard Venø,Jonathan Lou S Esguerra,Mohammad Barghouth,Mara Suleiman,Lorella Marselli,Jørgen Kjems,Lena Eliasson,Erik Renström,Karim Bouzakri,Michel Pinget,Piero Marchetti,Romano Regazzi

BMC neuroscience 21:36 PubMed32887544

2020

Isolation and characterization of antibody fragments selective for human FTD brain derived TDP-43 variants.

Applications

Unspecified application

Species

Unspecified reactive species

Lalitha Venkataraman,Ping He,Galam Khan,Brent T Harris,Michael R Sierks
View all publications

Product promise

We are committed to supporting your work with high-quality reagents, and we're here for you every step of the way. In the unlikely event that one of our products does not perform as expected, you're protected by our Product Promise.
For full details, please see our Terms & Conditions

Please note: All products are 'FOR RESEARCH USE ONLY. NOT FOR USE IN DIAGNOSTIC OR THERAPEUTIC PROCEDURES'.

For licensing inquiries, please contact partnerships@abcam.com