JavaScript is disabled in your browser. Please enable JavaScript to view this website.
AB185133

Anti-TDP43 antibody [EPR5810] - BSA and Azide free

  • BOND RX™ Validated
  • KO Validated
  • RabMAb
  • Recombinant
  • What is this?

Be the first to review this product! Submit a review

|

(0 Publication)

Rabbit Recombinant Monoclonal TDP43 antibody. Carrier free. Suitable for IHC-P, ICC/IF, WB, IHC-Fr, Flow Cyt (Intra) and reacts with Mouse, Rat, Human samples.

View Alternative Names

TDP43, TARDBP, TAR DNA-binding protein 43, TDP-43

14 Images
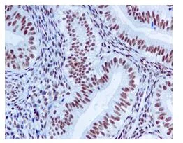
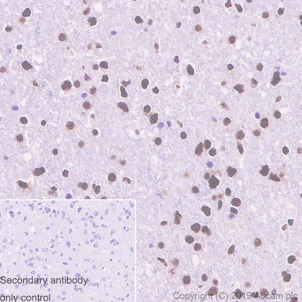
Immunohistochemistry (Formalin/PFA-fixed paraffin-embedded sections) - Anti-TDP43 antibody [EPR5810] - BSA and Azide free (AB185133)
  • IHC-P

Lab

Immunohistochemistry (Formalin/PFA-fixed paraffin-embedded sections) - Anti-TDP43 antibody [EPR5810] - BSA and Azide free (AB185133)

This data was developed using ab109535, the same antibody clone in a different buffer formulation.

Immunohistochemical analysis of paraffin-embedded human Alzheimer's brain tissue* labelling TDP43 with ab109535 at 0.1ug/ml followed by a ready to use LeicaDS9800 (Bond™ Polymer Refine Detection) was used.

Positive staining in human Alzheimer's brain.

The section was incubated with ab109535 for 30 mins at room temperature. The immunostaining was performed on a Leica Biosystems BOND® RX instrument Counterstained with Hematoxylin.

Secondary antibody only control : Secondary antibody is a ready to use LeicaDS9800 (Bond™ Polymer Refine Detection) was used. Heat mediated antigen retrieval with sodium citrate buffer (pH 6.0 epitope retrieval solution1) for 20 mins.

*Tissue obtained from the Human Research Tissue Bank, supported by the NIHR Cambridge Biomedical Research Centre.

Western blot - Anti-TDP43 antibody [EPR5810] - BSA and Azide free (AB185133)
  • WB

Lab

Western blot - Anti-TDP43 antibody [EPR5810] - BSA and Azide free (AB185133)

This data was developed using ab109535, the same antibody clone in a different buffer formulation.

ab109535 was shown to react with TARDBP in wild-type HAP1 cells in Western blot with loss of signal observed in a TARDBP knockout cell line. Wild-type HAP1 and TARDBP knockout cell lysates were subjected to SDS-PAGE. Membranes were blocked in 5% milk in TBST for 1 hr before incubation with ab109535 overnight at 4 °C at a 1/2000 dilution. Blots were incubated with secondary antibodies at 0.2 µg/mL before imaging.

These data were provided by YCharOS Inc., an open science company with the mission of characterizing commercially available antibody reagents for all human proteins. Abcam and YCharOS are working together to help address the reproducibility crisis by enabling the life science community to better evaluate commercially available antibodies.

All lanes:

Western blot - Anti-TDP43 antibody [EPR5810] (<a href='/en-us/products/primary-antibodies/tdp43-antibody-epr5810-ab109535'>ab109535</a>) at 1/2000 dilution

Lane 1:

Wild-type HAP1 lysate at 50 µg

Lane 2:

TARDBP knock-out HAP1 lysate at 50 µg

false

Western blot - Anti-TDP43 antibody [EPR5810] - BSA and Azide free (AB185133)
  • WB

Unknown

Western blot - Anti-TDP43 antibody [EPR5810] - BSA and Azide free (AB185133)

All lanes:

Western blot - Anti-TDP43 antibody [EPR5810] - BSA and Azide free (ab185133) at 1/1000 dilution

Lane 1:

HeLa cell lysate at 10 µg

Lane 2:

293T cell lysate at 10 µg

Lane 3:

K562 cell lysate at 10 µg

Lane 4:

A431 cell lysate at 10 µg

Secondary

All lanes:

HRP-labelled goat anti-rabbit at 1/2000 dilution

Predicted band size: 44 kDa

false

Western blot - Anti-TDP43 antibody [EPR5810] - BSA and Azide free (AB185133)
  • WB

Unknown

Western blot - Anti-TDP43 antibody [EPR5810] - BSA and Azide free (AB185133)

All lanes:

Western blot - Anti-TDP43 antibody [EPR5810] - BSA and Azide free (ab185133) at 1/5000 dilution

Lane 1:

HeLa (Human cervix adenocarcinoma epithelial cell) whole cell lysates at 15 µg

Lane 2:

Mouse brain lysates at 15 µg

Lane 3:

Rat brain lysates at 15 µg

Secondary

All lanes:

Western blot - Goat Anti-Rabbit IgG H&L (HRP) (<a href='/en-us/products/secondary-antibodies/goat-rabbit-igg-h-l-hrp-ab97051'>ab97051</a>) at 1/20000 dilution

Predicted band size: 44 kDa

false

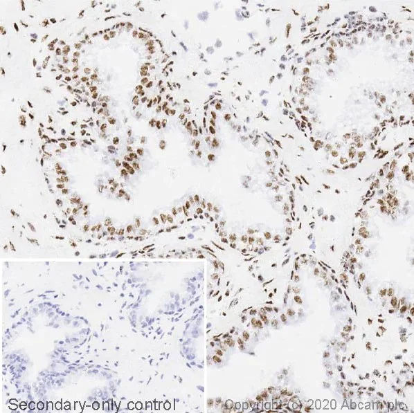
Immunohistochemistry (Formalin/PFA-fixed paraffin-embedded sections) - Anti-TDP43 antibody [EPR5810] - BSA and Azide free (AB185133)
  • IHC-P

Unknown

Immunohistochemistry (Formalin/PFA-fixed paraffin-embedded sections) - Anti-TDP43 antibody [EPR5810] - BSA and Azide free (AB185133)

IHC image of TDP43 staining in a section of frozen human prostate carcinoma performed on a Leica BONDTM system using the standard protocol. The section was fixed in 10% paraformaldehyde (10 min) prior to staining. The section was incubated with ab109535, 1/100 dilution, for 15 mins at room temperature and detected using an HRP conjugated compact polymer system. DAB was used as the chromogen. The section was then counterstained with haematoxylin and mounted with DPX. The inset secondary-only control image is taken from an identical assay without primary antibody.

For other IHC staining systems (automated and non-automated) customers should optimize variable parameters such as antigen retrieval conditions, primary antibody concentration and antibody incubation times.

Immunocytochemistry/ Immunofluorescence - Anti-TDP43 antibody [EPR5810] - BSA and Azide free (AB185133)
  • ICC/IF

Unknown

Immunocytochemistry/ Immunofluorescence - Anti-TDP43 antibody [EPR5810] - BSA and Azide free (AB185133)

Immunocytochemistry/ Immunofluorescence analysis of HeLa (Human cervix adenocarcinoma epithelial cell) cells labeling TDP43 with purified ab109535 at 1/50 dilution (6.2 μg/ml). Cells were fixed in 100% Methanol and permeabilized with None. Cells were counterstained with ab195889 anti-alpha Tubulin antibody [DM1A] - Microtubule Marker (Alexa Fluor® 594) 1/200 (2.5 μg/ml). Goat anti rabbit IgG (Alexa Fluor® 488, ab150077) was used as the secondary antibody at 1/1000 (2 μg/ml) dilution. DAPI (blue) was used as nuclear counterstain. PBS instead of the primary antibody was used as the secondary antibody only control.

This data was developed using the same antibody clone in a different buffer formulation containing PBS, BSA, glycerol, and sodium azide (ab109535).

This antibody is not suitable to detect TDP43 using PFA fixation in ICC.

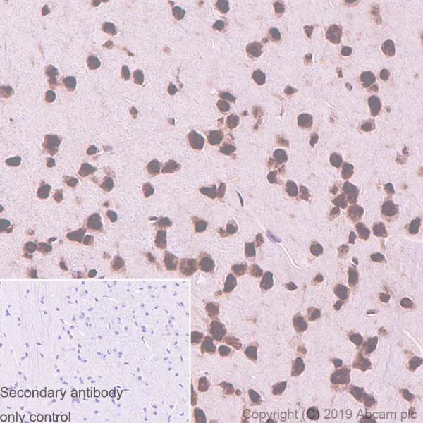
Immunohistochemistry (Formalin/PFA-fixed paraffin-embedded sections) - Anti-TDP43 antibody [EPR5810] - BSA and Azide free (AB185133)
  • IHC-P

Unknown

Immunohistochemistry (Formalin/PFA-fixed paraffin-embedded sections) - Anti-TDP43 antibody [EPR5810] - BSA and Azide free (AB185133)

Immunohistochemistry (Formalin/PFA-fixed paraffin-embedded sections) analysis of mouse cerebrum tissue sections labeling TDP43 with purified ab109535 at 1/100 dilution (0.3 μg/ml). Heat mediated antigen retrieval using Bond™ Epitope Retrieval Solution 2 (pH 9.0). Rabbit specific IHC polymer detection kit HRP/DAB (ab209101) was used as the secondary antibody. Negative control : PBS instead of the primary antibody. Hematoxylin was used as a counterstain.

This data was developed using the same antibody clone in a different buffer formulation containing PBS, BSA, glycerol, and sodium azide (ab109535).

Immunocytochemistry/ Immunofluorescence - Anti-TDP43 antibody [EPR5810] - BSA and Azide free (AB185133)
  • ICC/IF

Lab

Immunocytochemistry/ Immunofluorescence - Anti-TDP43 antibody [EPR5810] - BSA and Azide free (AB185133)

ab109535 staining TDP43 in wild-type HAP1 cells (top panel) and TDP43 knockout HAP1 cells (bottom panel). The cells were fixed with 100% methanol (5min), permeabilized with 0.1% Triton X-100 for 5 minutes and then blocked with 1% BSA/10% normal goat serum/0.3M glycine in 0.1% PBS-Tween for 1h. The cells were then incubated with ab109535 at 1μg/ml concentration and ab195889 at 1/250 dilution (shown in pseudo colour red) overnight at +4°C, followed by a further incubation at room temperature for 1h with a goat secondary antibody to Rabbit IgG (Alexa Fluor® 488) (ab150081) at 2 μg/ml (shown in green). Nuclear DNA was labelled in blue with DAPI.

This data was developed using the same antibody clone in a different buffer formulation containing PBS, BSA, glycerol, and sodium azide (ab109535).

This antibody is not suitable to detect TDP43 using PFA fixation in ICC.

Immunohistochemistry (Formalin/PFA-fixed paraffin-embedded sections) - Anti-TDP43 antibody [EPR5810] - BSA and Azide free (AB185133)
  • IHC-P

Unknown

Immunohistochemistry (Formalin/PFA-fixed paraffin-embedded sections) - Anti-TDP43 antibody [EPR5810] - BSA and Azide free (AB185133)

ab109535 at 1/100 dilution staining TARDBP in paraffin-embedded Human papillary carcinoma tissue by Immunohistochemistry.

This data was developed using the same antibody clone in a different buffer formulation containing PBS, BSA, glycerol, and sodium azide (ab109535).

Perform heat mediated antigen retrieval with citrate buffer pH 6 before commencing with IHC staining protocol.

Flow Cytometry (Intracellular) - Anti-TDP43 antibody [EPR5810] - BSA and Azide free (AB185133)
  • Flow Cyt (Intra)

Unknown

Flow Cytometry (Intracellular) - Anti-TDP43 antibody [EPR5810] - BSA and Azide free (AB185133)

Intracellular Flow Cytometry analysis of K562 (human chronic myelogenous leukemia) cells labeling TDP43 with purified ab109535 at 1/20 dilution (10ug/ml) (red). Cells were fixed with 4% paraformaldehyde and permeabilised with 90% methanol. A Goat anti rabbit IgG (Alexa Fluor® 488) (1/2000 dilution) was used as the secondary antibody. Rabbit monoclonal IgG (Black) was used as the isotype control, cells without incubation with primary antibody and secondary antibody (Blue) were used as the unlabeled control.

This data was developed using the same antibody clone in a different buffer formulation containing PBS, BSA, glycerol, and sodium azide (ab109535).

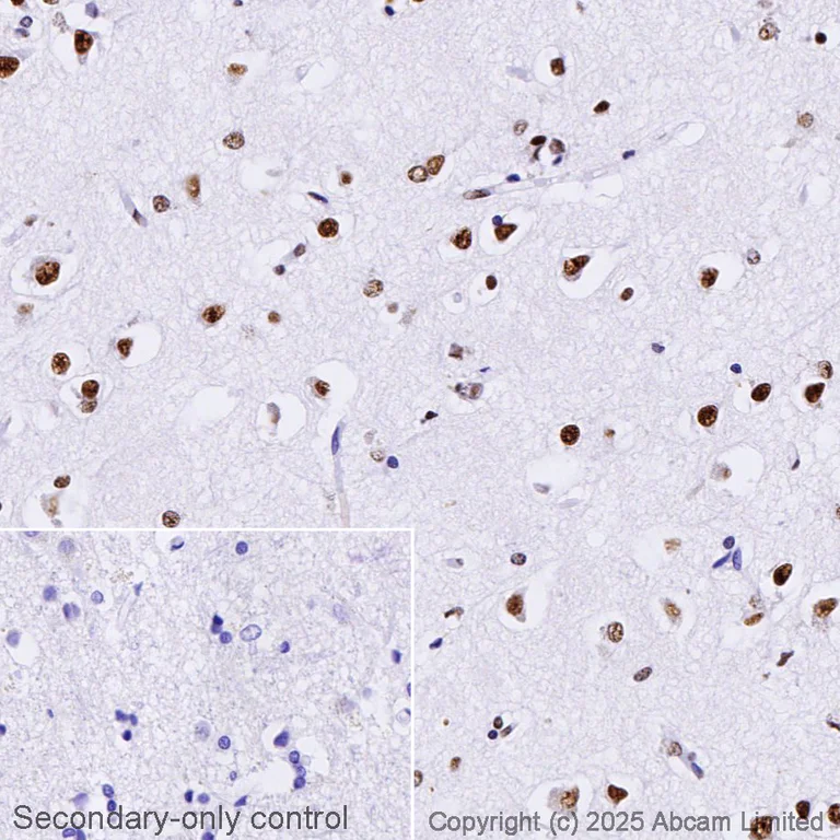
Immunohistochemistry (Formalin/PFA-fixed paraffin-embedded sections) - Anti-TDP43 antibody [EPR5810] - BSA and Azide free (AB185133)
  • IHC-P

Unknown

Immunohistochemistry (Formalin/PFA-fixed paraffin-embedded sections) - Anti-TDP43 antibody [EPR5810] - BSA and Azide free (AB185133)

Immunohistochemistry (Formalin/PFA-fixed paraffin-embedded sections) analysis of human glioma tissue sections labeling TDP43 with purified ab109535 at 1/100 dilution (0.3 μg/ml). Heat mediated antigen retrieval using Bond™ Epitope Retrieval Solution 2 (pH 9.0). Rabbit specific IHC polymer detection kit HRP/DAB (ab209101) was used as the secondary antibody. Negative control : PBS instead of the primary antibody. Hematoxylin was used as a counterstain.

This data was developed using the same antibody clone in a different buffer formulation containing PBS, BSA, glycerol, and sodium azide (ab109535).

Immunohistochemistry (Frozen sections) - Anti-TDP43 antibody [EPR5810] - BSA and Azide free (AB185133)
  • IHC-Fr

Unknown

Immunohistochemistry (Frozen sections) - Anti-TDP43 antibody [EPR5810] - BSA and Azide free (AB185133)

Immunohistochemistry (Frozen sections) analysis of mouse cerebrum tissue sections labeling TDP43 with Purified unpurified ab109535 at 1/50 (0.5 μg/ml).Heat mediated antigen retrieval using sodium citrate buffer (10mM citrate pH 6.0 + 0.05% Tween-20). Goat anti rabbit IgG (Alexa Fluor® 488, ab150077) was used as the secondary antibody. Negative control : PBS instead of the primary antibody. DAPI was used as a counterstain.

This data was developed using the same antibody clone in a different buffer formulation containing PBS, BSA, glycerol, and sodium azide (ab109535).

Immunocytochemistry/ Immunofluorescence - Anti-TDP43 antibody [EPR5810] - BSA and Azide free (AB185133)
  • ICC/IF

Unknown

Immunocytochemistry/ Immunofluorescence - Anti-TDP43 antibody [EPR5810] - BSA and Azide free (AB185133)

Clone EPR5810 (ab185133) has been successfully conjugated by Abcam. This image was generated using Anti-TDP43 antibody [EPR5810] (Alexa Fluor® 488). Please refer to ab193842 for protocol details.

ab193842 staining TDP43 in Hek293 cells. The cells were fixed with 100% methanol (5 min), permeabilized with 0.1% Triton X-100 for 5 minutes and then blocked with 1% BSA/10% normal goat serum/0.3M glycine in 0.1%PBS-Tween for 1h. The cells were then incubated overnight at +4°C with ab193842 at a 1/250 dilution (shown in green) and ab195889, Mouse monoclonal to alpha Tubulin (Alexa Fluor® 594), at a 1/250 dilution (shown in red). Nuclear DNA was labelled with DAPI (shown in blue).

Image was taken with a confocal microscope (Leica-Microsystems, TCS SP8).

This antibody is not suitable to detect TDP43 using PFA fixation in ICC.

Western blot - Anti-TDP43 antibody [EPR5810] - BSA and Azide free (AB185133)
  • WB

Unknown

Western blot - Anti-TDP43 antibody [EPR5810] - BSA and Azide free (AB185133)

Lane 1 : Wild-type HAP1 cell lysate (40 μg)
Lane 2 : TDP43 knockout HAP1 cell lysate (40 μg)
Lane 3 : HeLa cell lysate (40 μg)
Lane 4 : Jurkat cell lysate (40 μg)

Lanes 1 - 4 : Merged signal (red and green). Green - ab109535 observed at 48 kDa. Red - loading control, ab8245, observed at 37 kDa.

Unpurified ab109535 was shown to specifically react with TDP43 when TDP43 knockout samples were used. Wild-type and TDP43 knockout samples were subjected to SDS-PAGE. ab109535 and ab8245 (loading control to GAPDH) were diluted at 1/1000 and 1/10,000 dilution respectively and incubated overnight at 4C. Blots were developed with IRDye® 800CW Goat anti-Rabbit IgG (H + L) and IRDye® 680 Goat anti-Mouse IgG (H + L) secondary antibodies at 1/10,000 dilution for 1 hour at room temperature before imaging.

All lanes:

Western blot - Anti-TDP43 antibody [EPR5810] - BSA and Azide free (ab185133)

Predicted band size: 44 kDa

false

Key facts

Host species

Rabbit

Clonality

Monoclonal

Clone number

EPR5810

Isotype

IgG

Carrier free

Yes

Reacts with

Mouse, Rat, Human

Applications

IHC-P, WB, Flow Cyt (Intra), IHC-Fr, ICC/IF

applications

Immunogen

The exact immunogen used to generate this antibody is proprietary information.

Reactivity data

{ "title": "Reactivity Data", "filters": { "stats": ["", "Species", "Dilution Info", "Notes"], "tabs": { "all-applications": {"fullname" : "All Applications", "shortname": "All Applications"}, "IHCP" : {"fullname" : "Immunohistochemistry (Formalin/PFA-fixed paraffin-embedded sections)", "shortname":"IHC-P"}, "ICCIF" : {"fullname" : "Immunocytochemistry/ Immunofluorescence", "shortname":"ICC/IF"}, "IP" : {"fullname" : "Immunoprecipitation", "shortname":"IP"}, "WB" : {"fullname" : "Western blot", "shortname":"WB"}, "IHCFr" : {"fullname" : "Immunohistochemistry (Frozen sections)", "shortname":"IHC-Fr"}, "FlowCytIntra" : {"fullname" : "Flow Cytometry (Intracellular)", "shortname":"Flow Cyt (Intra)"} }, "product-promise": { "all": "all", "testedAndGuaranteed": "tested", "guaranteed": "expected", "predicted": "predicted", "notRecommended": "not-recommended" } }, "values": { "Human": { "IHCP-species-checked": "testedAndGuaranteed", "IHCP-species-dilution-info": "", "IHCP-species-notes": "<p></p>", "ICCIF-species-checked": "testedAndGuaranteed", "ICCIF-species-dilution-info": "", "ICCIF-species-notes": "<p>This antibody is suitable to detect TDP43 using MeOH fixation in ICC.</p><p>We have compared methanol and paraformaldehyde (PFA) fixation methods with this product and recommend to use methanol only.</p>", "IP-species-checked": "notRecommended", "IP-species-dilution-info": "", "IP-species-notes": "<p></p>", "WB-species-checked": "testedAndGuaranteed", "WB-species-dilution-info": "", "WB-species-notes": "<p></p>", "IHCFr-species-checked": "testedAndGuaranteed", "IHCFr-species-dilution-info": "", "IHCFr-species-notes": "<p>Heat mediated antigen retrieval using sodium citrate buffer (10mM citrate pH 6.0 + 0.05% Tween-20).</p>", "FlowCytIntra-species-checked": "testedAndGuaranteed", "FlowCytIntra-species-dilution-info": "", "FlowCytIntra-species-notes": "<p><a href='/en-us/products/primary-antibodies/rabbit-igg-monoclonal-epr25a-isotype-control-low-endotoxin-azide-free-ab199376'>ab199376</a> - Rabbit monoclonal IgG, is suitable for use as an isotype control with this antibody.</p>" }, "Mouse": { "IHCP-species-checked": "testedAndGuaranteed", "IHCP-species-dilution-info": "", "IHCP-species-notes": "<p></p>", "ICCIF-species-checked": "guaranteed", "ICCIF-species-dilution-info": "", "ICCIF-species-notes": "", "IP-species-checked": "notRecommended", "IP-species-dilution-info": "", "IP-species-notes": "<p></p>", "WB-species-checked": "guaranteed", "WB-species-dilution-info": "", "WB-species-notes": "", "IHCFr-species-checked": "testedAndGuaranteed", "IHCFr-species-dilution-info": "", "IHCFr-species-notes": "<p>Heat mediated antigen retrieval using sodium citrate buffer (10mM citrate pH 6.0 + 0.05% Tween-20).</p>", "FlowCytIntra-species-checked": "guaranteed", "FlowCytIntra-species-dilution-info": "", "FlowCytIntra-species-notes": "" }, "Rat": { "IHCP-species-checked": "testedAndGuaranteed", "IHCP-species-dilution-info": "", "IHCP-species-notes": "<p></p>", "ICCIF-species-checked": "guaranteed", "ICCIF-species-dilution-info": "", "ICCIF-species-notes": "", "IP-species-checked": "notRecommended", "IP-species-dilution-info": "", "IP-species-notes": "<p></p>", "WB-species-checked": "guaranteed", "WB-species-dilution-info": "", "WB-species-notes": "", "IHCFr-species-checked": "guaranteed", "IHCFr-species-dilution-info": "", "IHCFr-species-notes": "", "FlowCytIntra-species-checked": "guaranteed", "FlowCytIntra-species-dilution-info": "", "FlowCytIntra-species-notes": "" } } }

You may be interested in:

AB282880

Human TDP43 ELISA Kit (TARDBP)

0

0 Reviews

View product

We recommend this product because it’s often used in the same experiment or related research.

We advise that you always check the datasheet to ensure it fits your experiments, or contact ourtechnical teamfor help.

Product details

Properties and storage information

Form
Liquid
Purification technique
Affinity purification Protein A
Storage buffer
pH: 7.2 - 7.4 Constituents: PBS
Shipped at conditions
Blue Ice
Appropriate short-term storage conditions
+4°C
Appropriate long-term storage conditions
+4°C
Storage information
Do Not Freeze

Supplementary information

This supplementary information is collated from multiple sources and compiled automatically.

TDP43 also known as TAR DNA-binding protein 43 is a protein of approximately 43 kDa. It plays a role in various cellular processes primarily by binding to DNA and RNA. Researchers find TDP43 expressed mainly in neuronal tissues but it is present in other cell types as well. Known for its involvement in regulating gene expression and mRNA stability TDP43 interacts with other proteins within the nuclear compartment. The full function and activities of TDP43 are still under exploration but its importance in normal cellular functions is well recognized.
Biological function summary

TDP43 acts as a regulator of RNA splicing and transcription by forming ribonucleoprotein complexes. The protein can bind to specific sequences in RNA helping in the proper processing and transport of mRNA. Furthermore TDP43 has a role in stress granule formation a cell response to stress. Researchers have identified that the protein undergoes various post-translational modifications which could influence its behavior and function within the cellular environment.

Pathways

Several important pathways include TDP43 due to its functions in RNA metabolism. This protein contributes to the spliceosomal cycle and other pathways involved in mRNA processing. TDP43 interacts with proteins such as FUS and hnRNP which are also involved in RNA splicing and are essential for maintaining mRNA integrity. These relations make TDP43 an important player in regulating gene expression and protein synthesis.

The association of TDP43 with neurodegenerative diseases is significant. Its abnormal aggregation is linked to amyotrophic lateral sclerosis (ALS) and frontotemporal lobar degeneration (FTLD). In these diseases TDP43 forms insoluble inclusions within neurons and glial cells. This mislocalization and aggregation can disrupt normal cellular function leading to cell death. In the context of ALS TDP43 often associates with proteins like SOD1 which are implicated in disease pathogenesis highlighting its role in neurodegeneration.

Product protocols

For this product, it's our understanding that no specific protocols are required. You can visit:

Target data

RNA-binding protein that is involved in various steps of RNA biogenesis and processing (PubMed : 23519609). Preferentially binds, via its two RNA recognition motifs RRM1 and RRM2, to GU-repeats on RNA molecules predominantly localized within long introns and in the 3'UTR of mRNAs (PubMed : 23519609, PubMed : 24240615, PubMed : 24464995). In turn, regulates the splicing of many non-coding and protein-coding RNAs including proteins involved in neuronal survival, as well as mRNAs that encode proteins relevant for neurodegenerative diseases (PubMed : 21358640, PubMed : 29438978). Plays a role in maintaining mitochondrial homeostasis by regulating the processing of mitochondrial transcripts (PubMed : 28794432). Regulates also mRNA stability by recruiting CNOT7/CAF1 deadenylase on mRNA 3'UTR leading to poly(A) tail deadenylation and thus shortening (PubMed : 30520513). In response to oxidative insult, associates with stalled ribosomes localized to stress granules (SGs) and contributes to cell survival (PubMed : 19765185, PubMed : 23398327). Participates also in the normal skeletal muscle formation and regeneration, forming cytoplasmic myo-granules and binding mRNAs that encode sarcomeric proteins (PubMed : 30464263). Plays a role in the maintenance of the circadian clock periodicity via stabilization of the CRY1 and CRY2 proteins in a FBXL3-dependent manner (PubMed : 27123980). Negatively regulates the expression of CDK6 (PubMed : 19760257). Regulates the expression of HDAC6, ATG7 and VCP in a PPIA/CYPA-dependent manner (PubMed : 25678563).
See full target information TARDBP

Product promise

We are committed to supporting your work with high-quality reagents, and we're here for you every step of the way. In the unlikely event that one of our products does not perform as expected, you're protected by our Product Promise.
For full details, please see our Terms & Conditions

Associated Products

Select an associated product type
Alternative Product
Primary Antibodies

AB154047

Anti-TDP43 antibody

primary-antibodies

tdp43-antibody-ab154047

0

(0 reviews)

Alternative Product
Primary Antibodies

AB183752

Anti-TDP43 antibody

primary-antibodies

tdp43-antibody-ab183752

0

(0 reviews)

Alternative Product
Primary Antibodies

AB57105

Anti-TDP43 antibody [2E2-D3]

primary-antibodies

tdp43-antibody-2e2-d3-ab57105

1

(1 reviews)

Alternative Product
Primary Antibodies

AB41881

Anti-TDP43 antibody

primary-antibodies

tdp43-antibody-ab41881

3

(4 reviews)

Alternative Product
Primary Antibodies

AB254166

Anti-TDP43 antibody [DB9]

primary-antibodies

tdp43-antibody-db9-ab254166

5

(4 reviews)

Alternative Product
Primary Antibodies

AB208544

Alexa Fluor® 568 Anti-TDP43 antibody [EPR5811]

primary-antibodies

alexa-fluor-568-tdp43-antibody-epr5811-ab208544

0

(0 reviews)

Alternative Product
Primary Antibodies

AB237270

Alexa Fluor® 488 Anti-TDP43 antibody [EPR18554]

primary-antibodies

alexa-fluor-488-tdp43-antibody-epr18554-ab237270

0

(0 reviews)

Alternative Product
Primary Antibodies

AB237272

PE Anti-TDP43 antibody [EPR18554]

primary-antibodies

pe-tdp43-antibody-epr18554-ab237272

0

(0 reviews)

Alternative Product
Primary Antibodies

AB208623

Alexa Fluor® 647 Anti-TDP43 antibody [EPR5811]

primary-antibodies

alexa-fluor-647-tdp43-antibody-epr5811-ab208623

0

(0 reviews)

Alternative Product
Primary Antibodies

AB133547

Anti-TDP43 antibody [EPR5811]

primary-antibodies

tdp43-antibody-epr5811-ab133547

4

(3 reviews)

Alternative Product
Primary Antibodies

AB255922

Anti-TDP43 antibody [DB9] - BSA and Azide free

primary-antibodies

tdp43-antibody-db9-bsa-and-azide-free-ab255922

0

(0 reviews)

Alternative Product
Primary Antibodies

AB238443

Anti-TDP43 antibody [EPR18554] - BSA and Azide free

primary-antibodies

tdp43-antibody-epr18554-bsa-and-azide-free-ab238443

0

(0 reviews)

Alternative Product
Primary Antibodies

AB104223

Anti-TDP43 antibody [3H8]

primary-antibodies

tdp43-antibody-3h8-ab104223

0

(0 reviews)

Alternative Product
Primary Antibodies

AB80608

Anti-TDP43 antibody

primary-antibodies

tdp43-antibody-ab80608

4

(1 reviews)

Alternative Product
Primary Antibodies

AB225710

Anti-TDP43 antibody

primary-antibodies

tdp43-antibody-ab225710

0

(0 reviews)

Alternative Version
Primary Antibodies

AB193842

Alexa Fluor® 488 Anti-TDP43 antibody [EPR5810]

primary-antibodies

alexa-fluor-488-tdp43-antibody-epr5810-ab193842

0

(1 reviews)

Alternative Version
Primary Antibodies

AB305692

PE Anti-TDP43 antibody [EPR5810]

primary-antibodies

pe-tdp43-antibody-epr5810-ab305692

1

(1 reviews)

Alternative Version
Primary Antibodies

AB305693

APC Anti-TDP43 antibody [EPR5810]

primary-antibodies

apc-tdp43-antibody-epr5810-ab305693

0

(0 reviews)

Alternative Version
Primary Antibodies

AB310283

Alexa Fluor® 647 Anti-TDP43 antibody [EPR5810]

primary-antibodies

alexa-fluor-647-tdp43-antibody-epr5810-ab310283

0

(0 reviews)

Alternative Version
Primary Antibodies

AB310740

Alexa Fluor® 594 Anti-TDP43 antibody [EPR5810]

primary-antibodies

alexa-fluor-594-tdp43-antibody-epr5810-ab310740

0

(0 reviews)

Alternative Version
Primary Antibodies

AB312760

Alexa Fluor® 568 Anti-TDP43 antibody [EPR5810]

primary-antibodies

alexa-fluor-568-tdp43-antibody-epr5810-ab312760

0

(0 reviews)

Alternative Version
Primary Antibodies

AB305694

HRP Anti-TDP43 antibody [EPR5810]

primary-antibodies

hrp-tdp43-antibody-epr5810-ab305694

0

(0 reviews)

Alternative Version
Primary Antibodies

AB312269

Alexa Fluor® 555 Anti-TDP43 antibody [EPR5810]

primary-antibodies

alexa-fluor-555-tdp43-antibody-epr5810-ab312269

0

(0 reviews)

Alternative Version
Primary Antibodies

AB314265

Biotin Anti-TDP43 antibody [EPR5810]

primary-antibodies

biotin-tdp43-antibody-epr5810-ab314265

0

(0 reviews)

Please note: All products are 'FOR RESEARCH USE ONLY. NOT FOR USE IN DIAGNOSTIC OR THERAPEUTIC PROCEDURES'.

For licensing inquiries, please contact partnerships@abcam.com