JavaScript is disabled in your browser. Please enable JavaScript to view this website.
AB314301

Anti-TDP43 (phospho S410) antibody [EPR24512-8]

  • 20ul selling size
  • RabMAb
  • KO Validated
  • Recombinant
  • What is this?

Be the first to review this product! Submit a review

|

(0 Publication)

Knockout Tested Rabbit Recombinant Monoclonal TDP43 phospho S410 antibody. Suitable for WB, Dot, I-ELISA and reacts with Human, Transfected cell lysate - Human, Synthetic peptide samples.

View Alternative Names

TDP43, TARDBP, TAR DNA-binding protein 43, TDP-43

5 Images
Western blot - Anti-TDP43 (phospho S410) antibody [EPR24512-8] (AB314301)
  • WB

Supplier Data

Western blot - Anti-TDP43 (phospho S410) antibody [EPR24512-8] (AB314301)

Blocking and diluting buffer and concentration : 5% NFDM/TBST The identity of the higher MW bands above 45kDa are unknown. In Western blot, Anti-GAPDH antibody [EPR16891] - Loading Control (ab181602) staining at 1/200000 dilution.

All lanes:

Western blot - Anti-TDP43 (phospho S410) antibody [EPR24512-8] (ab314301) at 1/1000 dilution

Lane 1:

Wild-type HAP1 (human chronic myelogenous leukemia near-haploid cell line) were treated with 1 uM Okadaic Acid for 60 minutes whole cell lysate at 20 µg

Lane 2:

TDP43 knockout HAP1 were treated with 1 uM Okadaic Acid for 60 minutes whole cell lysate at 20 µg

Secondary

All lanes:

Western blot - Goat Anti-Rabbit IgG H&L (HRP) (<a href='/en-us/products/secondary-antibodies/goat-rabbit-igg-h-l-hrp-ab97051'>ab97051</a>) at 1/100000 dilution

Observed band size: 45 kDa

false

Exposure time: 125s

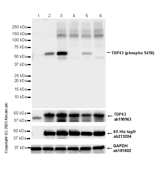
Western blot - Anti-TDP43 (phospho S410) antibody [EPR24512-8] (AB314301)
  • WB

Supplier Data

Western blot - Anti-TDP43 (phospho S410) antibody [EPR24512-8] (AB314301)

Blocking and diluting buffer and concentration : 5% NFDM/TBST The antibody specifically recognizes TDP43 singly phosphorylated at S410. In Western blot, Anti-GAPDH antibody [EPR16891] - Loading Control (ab181602) staining at 1/200000 dilution. In Western blot, Anti-TDP43 antibody [EPR18554-55] (ab190963) staining at 1/1000 dilution. In Western blot, Anti-6X His tag® antibody [EPR20547] - ChIP Grade (ab213204) staining at 1/5000 dilution.

All lanes:

Western blot - Anti-TDP43 (phospho S410) antibody [EPR24512-8] (ab314301) at 1/1000 dilution

Lane 1:

293T (human embryonic kidney epithelial cell) cells transfected with an empty vector containing a His-tag, whole cell lysate at 20 µg

Lane 2:

293T cells transfected with a human wild-type TDP43 expression vector containing a His-tag, whole cell lysate at 20 µg

Lane 3:

293T cells transfected with a human wild-type TDP43 expression vector containing a His-tag were treated with 1 uM Okadaic Acid for 60 minutes, whole cell lysate at 20 µg

Lane 4:

293T cells transfected with a human TDP43 (S409A and S410A mutation) expression vector containing a His-tag were treated with 1 uM Okadaic Acid for 60 minutes, whole cell lysate at 20 µg

Lane 5:

293T cells transfected with a human TDP43 (S409A mutation) expression vector containing a His-tag were treated with 1 uM Okadaic Acid for 60 minutes, whole cell lysate at 20 µg

Lane 6:

293T cells transfected with a human TDP43 (S410A mutation) expression vector containing a His-tag were treated with 1 uM Okadaic Acid for 60 minutes, whole cell lysate at 20 µg

Secondary

All lanes:

Western blot - Goat Anti-Rabbit IgG H&L (HRP) (<a href='/en-us/products/secondary-antibodies/goat-rabbit-igg-h-l-hrp-ab97051'>ab97051</a>) at 1/100000 dilution

Observed band size: 50 kDa

false

Exposure time: 15s

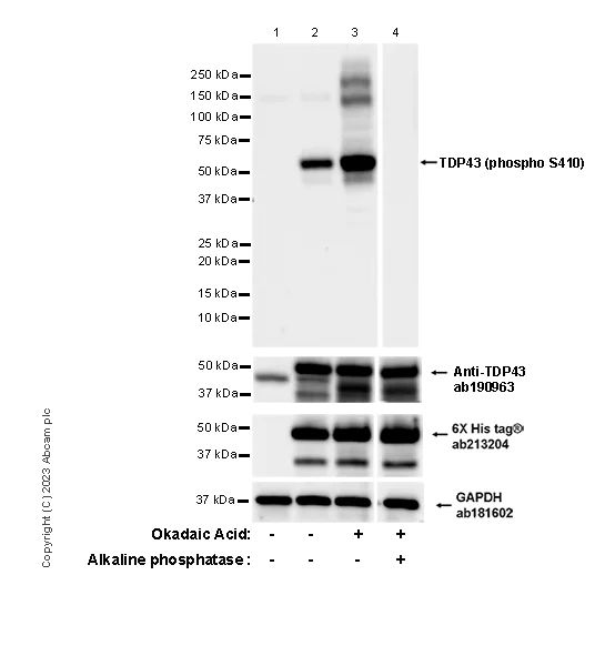
Western blot - Anti-TDP43 (phospho S410) antibody [EPR24512-8] (AB314301)
  • WB

Supplier Data

Western blot - Anti-TDP43 (phospho S410) antibody [EPR24512-8] (AB314301)

Blocking and diluting buffer and concentration : 5% NFDM/TBST In Western blot, Anti-GAPDH antibody [EPR16891] - Loading Control (ab181602) staining at 1/200000 dilution. In Western blot, Anti-TDP43 antibody [EPR18554-55] (ab190963) staining at 1/1000 dilution. In Western blot, Anti-6X His tag® antibody [EPR20547] - ChIP Grade (ab213204) staining at 1/5000 dilution.

All lanes:

Western blot - Anti-TDP43 (phospho S410) antibody [EPR24512-8] (ab314301) at 1/1000 dilution

Lane 1:

293T (human embryonic kidney epithelial cell) cells transfected with an empty vector containing a His-tag, whole cell lysate (untreated membrane) at 20 µg

Lane 2:

293T cells transfected with a human TDP43 expression vector containing a His-tag, whole cell lysate (untreated membrane) at 20 µg

Lane 3:

293T cells transfected with a human TDP43 expression vector containing a His-tag were treated with 1 uM Okadaic Acid for 60 minutes, whole cell lysate (untreated membrane) at 20 µg

Lane 4:

293T cells transfected with a human TDP43 expression vector containing a His-tag were treated with 1 uM Okadaic Acid for 60 minutes, whole cell lysate (Alkaline phosphatase treated membrane) at 20 µg

Secondary

All lanes:

Western blot - Goat Anti-Rabbit IgG H&L (HRP) (<a href='/en-us/products/secondary-antibodies/goat-rabbit-igg-h-l-hrp-ab97051'>ab97051</a>) at 1/100000 dilution

Observed band size: 50 kDa

false

Exposure time: 15s

Indirect ELISA - Anti-TDP43 (phospho S410) antibody [EPR24512-8] (AB314301)
  • I-ELISA

Supplier Data

Indirect ELISA - Anti-TDP43 (phospho S410) antibody [EPR24512-8] (AB314301)

Indirect ELISA analysis of ab314301 at 500-0 ng/ml. The Secondary antibody used was Alkaline Phosphatase-conjugated AffiniPure Goat Anti-Rabbit IgG (H+L) at 1 : 2500 dilution. Antigen : TDP43 non-phospho peptide,TDP43 (phospho S410) peptide,TDP43 (phospho S409) peptide,TDP43 (phospho S409+S410) peptide. Antigen concentration : 50ng/ml

Dot Blot - Anti-TDP43 (phospho S410) antibody [EPR24512-8] (AB314301)
  • Dot

Supplier Data

Dot Blot - Anti-TDP43 (phospho S410) antibody [EPR24512-8] (AB314301)

Dot blot analysis of TDP43 ( phospho S410 ) using ab314301 at 1 : 1000 (0.49 ug/ml) followed by a Goat Anti-Rabbit IgG, (H+L), Peroxidase conjugated (ab97051) at 1 : 100,000 dilution. Exposure time : 180 seconds Blocking and diluting buffer and concentration : 5% NFDM/TBST

  • Carrier free

    Anti-TDP43 (phospho S410) antibody [EPR24512-8] - BSA and Azide free

Key facts

Host species

Rabbit

Clonality

Monoclonal

Clone number

EPR24512-8

Isotype

IgG

Carrier free

No

Reacts with

Human

Applications

WB, I-ELISA, Dot

applications

Immunogen

The exact immunogen used to generate this antibody is proprietary information.

Reactivity data

{ "title": "Reactivity Data", "filters": { "stats": ["", "Species", "Dilution Info", "Notes"], "tabs": { "all-applications": {"fullname" : "All Applications", "shortname": "All Applications"}, "WB" : {"fullname" : "Western blot", "shortname":"WB"}, "Dot" : {"fullname" : "Dot Blot", "shortname":"Dot"}, "IELISA" : {"fullname" : "Indirect ELISA", "shortname":"I-ELISA"}, "ICCIF" : {"fullname" : "Immunocytochemistry/ Immunofluorescence", "shortname":"ICC/IF"}, "IHCP" : {"fullname" : "Immunohistochemistry (Formalin/PFA-fixed paraffin-embedded sections)", "shortname":"IHC-P"}, "IP" : {"fullname" : "Immunoprecipitation", "shortname":"IP"}, "FlowCytIntra" : {"fullname" : "Flow Cytometry (Intracellular)", "shortname":"Flow Cyt (Intra)"} }, "product-promise": { "all": "all", "testedAndGuaranteed": "tested", "guaranteed": "expected", "predicted": "predicted", "notRecommended": "not-recommended" } }, "values": { "Human": { "WB-species-checked": "testedAndGuaranteed", "WB-species-dilution-info": "1/1000", "WB-species-notes": "<p></p>", "Dot-species-checked": "guaranteed", "Dot-species-dilution-info": "", "Dot-species-notes": "", "IELISA-species-checked": "guaranteed", "IELISA-species-dilution-info": "", "IELISA-species-notes": "", "ICCIF-species-checked": "notRecommended", "ICCIF-species-dilution-info": "", "ICCIF-species-notes": "<p></p>", "IHCP-species-checked": "notRecommended", "IHCP-species-dilution-info": "", "IHCP-species-notes": "<p></p>", "IP-species-checked": "notRecommended", "IP-species-dilution-info": "", "IP-species-notes": "<p></p>", "FlowCytIntra-species-checked": "notRecommended", "FlowCytIntra-species-dilution-info": "", "FlowCytIntra-species-notes": "<p></p>" }, "Mouse": { "WB-species-checked": "notRecommended", "WB-species-dilution-info": "", "WB-species-notes": "", "Dot-species-checked": "notRecommended", "Dot-species-dilution-info": "", "Dot-species-notes": "", "IELISA-species-checked": "notRecommended", "IELISA-species-dilution-info": "", "IELISA-species-notes": "", "ICCIF-species-checked": "notRecommended", "ICCIF-species-dilution-info": "", "ICCIF-species-notes": "", "IHCP-species-checked": "notRecommended", "IHCP-species-dilution-info": "", "IHCP-species-notes": "<p></p>", "IP-species-checked": "notRecommended", "IP-species-dilution-info": "", "IP-species-notes": "", "FlowCytIntra-species-checked": "notRecommended", "FlowCytIntra-species-dilution-info": "", "FlowCytIntra-species-notes": "" }, "Rat": { "WB-species-checked": "notRecommended", "WB-species-dilution-info": "", "WB-species-notes": "", "Dot-species-checked": "notRecommended", "Dot-species-dilution-info": "", "Dot-species-notes": "", "IELISA-species-checked": "notRecommended", "IELISA-species-dilution-info": "", "IELISA-species-notes": "", "ICCIF-species-checked": "notRecommended", "ICCIF-species-dilution-info": "", "ICCIF-species-notes": "", "IHCP-species-checked": "notRecommended", "IHCP-species-dilution-info": "", "IHCP-species-notes": "<p></p>", "IP-species-checked": "notRecommended", "IP-species-dilution-info": "", "IP-species-notes": "", "FlowCytIntra-species-checked": "notRecommended", "FlowCytIntra-species-dilution-info": "", "FlowCytIntra-species-notes": "" }, "Synthetic peptide": { "WB-species-checked": "notRecommended", "WB-species-dilution-info": "", "WB-species-notes": "", "Dot-species-checked": "testedAndGuaranteed", "Dot-species-dilution-info": "1/1000", "Dot-species-notes": "<p></p>", "IELISA-species-checked": "testedAndGuaranteed", "IELISA-species-dilution-info": "500 ng/mL", "IELISA-species-notes": "<p></p>", "ICCIF-species-checked": "notRecommended", "ICCIF-species-dilution-info": "", "ICCIF-species-notes": "", "IHCP-species-checked": "notRecommended", "IHCP-species-dilution-info": "", "IHCP-species-notes": "", "IP-species-checked": "notRecommended", "IP-species-dilution-info": "", "IP-species-notes": "", "FlowCytIntra-species-checked": "notRecommended", "FlowCytIntra-species-dilution-info": "", "FlowCytIntra-species-notes": "" }, "Transfected cell lysate - Human": { "WB-species-checked": "testedAndGuaranteed", "WB-species-dilution-info": "1/1000", "WB-species-notes": "<p></p>", "Dot-species-checked": "notRecommended", "Dot-species-dilution-info": "", "Dot-species-notes": "", "IELISA-species-checked": "notRecommended", "IELISA-species-dilution-info": "", "IELISA-species-notes": "", "ICCIF-species-checked": "notRecommended", "ICCIF-species-dilution-info": "", "ICCIF-species-notes": "", "IHCP-species-checked": "notRecommended", "IHCP-species-dilution-info": "", "IHCP-species-notes": "", "IP-species-checked": "notRecommended", "IP-species-dilution-info": "", "IP-species-notes": "", "FlowCytIntra-species-checked": "notRecommended", "FlowCytIntra-species-dilution-info": "", "FlowCytIntra-species-notes": "" } } }

Product details

Patented technology
Our RabMAb® technology is a patented hybridoma-based technology for making rabbit monoclonal antibodies. For details on our patents, please refer to RabMAb® patents.

What are the advantages of a recombinant monoclonal antibody?
This product is a recombinant monoclonal antibody, which offers several advantages including:

  • - High batch-to-batch consistency and reproducibility
  • - Improved sensitivity and specificity
  • - Long-term security of supply
  • - Animal-free batch production

For more information, read more on recombinant antibodies.

Properties and storage information

Form
Liquid
Purification technique
Affinity purification Protein A
Storage buffer
pH: 7.2 - 7.4 Preservative: 0.01% Sodium azide Constituents: PBS, 40% Glycerol (glycerin, glycerine), 0.05% BSA
Shipped at conditions
Blue Ice
Appropriate short-term storage duration
1-2 weeks
Appropriate short-term storage conditions
+4°C
Appropriate long-term storage conditions
-20°C
Aliquoting information
Upon delivery aliquot
Storage information
Avoid freeze / thaw cycle

Supplementary information

This supplementary information is collated from multiple sources and compiled automatically.

TDP43 also known as TAR DNA-binding protein 43 is a protein of approximately 43 kDa. It plays a role in various cellular processes primarily by binding to DNA and RNA. Researchers find TDP43 expressed mainly in neuronal tissues but it is present in other cell types as well. Known for its involvement in regulating gene expression and mRNA stability TDP43 interacts with other proteins within the nuclear compartment. The full function and activities of TDP43 are still under exploration but its importance in normal cellular functions is well recognized.
Biological function summary

TDP43 acts as a regulator of RNA splicing and transcription by forming ribonucleoprotein complexes. The protein can bind to specific sequences in RNA helping in the proper processing and transport of mRNA. Furthermore TDP43 has a role in stress granule formation a cell response to stress. Researchers have identified that the protein undergoes various post-translational modifications which could influence its behavior and function within the cellular environment.

Pathways

Several important pathways include TDP43 due to its functions in RNA metabolism. This protein contributes to the spliceosomal cycle and other pathways involved in mRNA processing. TDP43 interacts with proteins such as FUS and hnRNP which are also involved in RNA splicing and are essential for maintaining mRNA integrity. These relations make TDP43 an important player in regulating gene expression and protein synthesis.

The association of TDP43 with neurodegenerative diseases is significant. Its abnormal aggregation is linked to amyotrophic lateral sclerosis (ALS) and frontotemporal lobar degeneration (FTLD). In these diseases TDP43 forms insoluble inclusions within neurons and glial cells. This mislocalization and aggregation can disrupt normal cellular function leading to cell death. In the context of ALS TDP43 often associates with proteins like SOD1 which are implicated in disease pathogenesis highlighting its role in neurodegeneration.

Product protocols

For this product, it's our understanding that no specific protocols are required. You can visit:

Target data

RNA-binding protein that is involved in various steps of RNA biogenesis and processing (PubMed : 23519609). Preferentially binds, via its two RNA recognition motifs RRM1 and RRM2, to GU-repeats on RNA molecules predominantly localized within long introns and in the 3'UTR of mRNAs (PubMed : 23519609, PubMed : 24240615, PubMed : 24464995). In turn, regulates the splicing of many non-coding and protein-coding RNAs including proteins involved in neuronal survival, as well as mRNAs that encode proteins relevant for neurodegenerative diseases (PubMed : 21358640, PubMed : 29438978). Plays a role in maintaining mitochondrial homeostasis by regulating the processing of mitochondrial transcripts (PubMed : 28794432). Regulates also mRNA stability by recruiting CNOT7/CAF1 deadenylase on mRNA 3'UTR leading to poly(A) tail deadenylation and thus shortening (PubMed : 30520513). In response to oxidative insult, associates with stalled ribosomes localized to stress granules (SGs) and contributes to cell survival (PubMed : 19765185, PubMed : 23398327). Participates also in the normal skeletal muscle formation and regeneration, forming cytoplasmic myo-granules and binding mRNAs that encode sarcomeric proteins (PubMed : 30464263). Plays a role in the maintenance of the circadian clock periodicity via stabilization of the CRY1 and CRY2 proteins in a FBXL3-dependent manner (PubMed : 27123980). Negatively regulates the expression of CDK6 (PubMed : 19760257). Regulates the expression of HDAC6, ATG7 and VCP in a PPIA/CYPA-dependent manner (PubMed : 25678563).
See full target information TARDBP phospho S410

Product promise

We are committed to supporting your work with high-quality reagents, and we're here for you every step of the way. In the unlikely event that one of our products does not perform as expected, you're protected by our Product Promise.
For full details, please see our Terms & Conditions

Please note: All products are 'FOR RESEARCH USE ONLY. NOT FOR USE IN DIAGNOSTIC OR THERAPEUTIC PROCEDURES'.

For licensing inquiries, please contact partnerships@abcam.com