JavaScript is disabled in your browser. Please enable JavaScript to view this website.
AB125152

Anti-TdT antibody

Be the first to review this product! Submit a review

|

(1 Publication)

Rabbit Polyclonal TDT antibody. Suitable for IHC-P and reacts with Human samples. Cited in 1 publication.

View Alternative Names

TDT, DNTT, DNA nucleotidylexotransferase, Terminal addition enzyme, Terminal deoxynucleotidyltransferase, Terminal transferase

1 Images
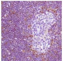
Immunohistochemistry (Formalin/PFA-fixed paraffin-embedded sections) - Anti-TdT antibody (AB125152)
  • IHC-P

Unknown

Immunohistochemistry (Formalin/PFA-fixed paraffin-embedded sections) - Anti-TdT antibody (AB125152)

Staining of TdT in Paraffin-embedded Human thymus tissue by Immunohistochemistry using ab125152 at a dilution of 1/100.

Key facts

Host species

Rabbit

Clonality

Polyclonal

Isotype

IgG

Carrier free

No

Reacts with

Human

Applications

IHC-P

applications

Immunogen

The exact immunogen used to generate this antibody is proprietary information.

Reactivity data

{ "title": "Reactivity Data", "filters": { "stats": ["", "Species", "Dilution Info", "Notes"], "tabs": { "all-applications": {"fullname" : "All Applications", "shortname": "All Applications"}, "IHCP" : {"fullname" : "Immunohistochemistry (Formalin/PFA-fixed paraffin-embedded sections)", "shortname":"IHC-P"} }, "product-promise": { "all": "all", "testedAndGuaranteed": "tested", "guaranteed": "expected", "predicted": "predicted", "notRecommended": "not-recommended" } }, "values": { "Human": { "IHCP-species-checked": "testedAndGuaranteed", "IHCP-species-dilution-info": "1/100", "IHCP-species-notes": "<p>Antigen Retrieval: Boil tissue section in EDTA buffer for 10 min followed by cooling at RT for 20 min.</p>" } } }

Properties and storage information

Form
Liquid
Purification technique
Affinity purification Immunogen
Storage buffer
pH: 7.6 Preservative: 0.1% Sodium azide Constituents: PBS, 1% BSA
Shipped at conditions
Blue Ice
Appropriate long-term storage conditions
-20°C
Aliquoting information
Upon delivery aliquot
Storage information
Avoid freeze / thaw cycle

Supplementary information

This supplementary information is collated from multiple sources and compiled automatically.

The target protein TdT also known as terminal deoxynucleotidyl transferase or DNTT is an enzyme with a mass of approximately 58 kDa. TdT is specifically expressed in the thymus and bone marrow during early B and T lymphocyte development. This enzyme adds nucleotides to the 3’ ends of DNA contributing to the diversity of the immune response by introducing variability at the junctions of gene segments.
Biological function summary

Terminal deoxynucleotidyl transferase plays an important role in the adaptive immune system. By adding random nucleotides to the V(D)J regions during the development of T and B cells it enhances the variability of antigen receptors. Although TdT does not form part of a larger protein complex its activity directly influences the effectiveness of antigen recognition by lymphocytes important for immune surveillance and response.

Pathways

Terminal deoxynucleotidyl transferase fits into the V(D)J recombination pathway which is essential for the assembly of diverse antigen receptor genes in immature lymphocytes. This enzyme works in conjunction with proteins like RAG1/RAG2 which initiate the DNA cleavage process necessary for recombination and with DNA ligase IV for the joining stage. Enhanced diversity generated by TdT's activity substantiates an effective and adaptable immune response.

TdT is associated with lymphoid malignancies such as acute lymphoblastic leukemia (ALL) where its expression acts as a diagnostic marker. Overexpression or dysregulation of TdT often found in these leukemias correlates with abnormal lymphocyte proliferation. TdT involvement in these disorders is linked to abnormal p53 pathways as p53 mutation frequently occurs alongside abnormal TdT activity suggesting a connection to cellular growth and survival dysregulation in affected cells.

Product protocols

For this product, it's our understanding that no specific protocols are required. You can visit:

Target data

Template-independent DNA polymerase which catalyzes the random addition of deoxynucleoside 5'-triphosphate to the 3'-end of a DNA initiator. One of the in vivo functions of this enzyme is the addition of nucleotides at the junction (N region) of rearranged Ig heavy chain and T-cell receptor gene segments during the maturation of B- and T-cells.
See full target information DNTT

Publications (1)

Recent publications for all applications. Explore the full list and refine your search

Molecular pharmacology 58:373-9 PubMed10908305

2000

From agonist to antagonist: Fab fragments of an agonist-like monoclonal anti-beta(2)-adrenoceptor antibody behave as antagonists.

Applications

Unspecified application

Species

Unspecified reactive species

A Mijares,D Lebesgue,G Wallukat,J Hoebeke
View all publications

Product promise

We are committed to supporting your work with high-quality reagents, and we're here for you every step of the way. In the unlikely event that one of our products does not perform as expected, you're protected by our Product Promise.
For full details, please see our Terms & Conditions

Please note: All products are 'FOR RESEARCH USE ONLY. NOT FOR USE IN DIAGNOSTIC OR THERAPEUTIC PROCEDURES'.

For licensing inquiries, please contact partnerships@abcam.com