JavaScript is disabled in your browser. Please enable JavaScript to view this website.
AB249177

Anti-TdT antibody [EPR9732] - BSA and Azide free

Be the first to review this product! Submit a review

|

(1 Publication)

Rabbit Recombinant Monoclonal TDT antibody. Carrier free. Suitable for IHC-P, WB and reacts with Human samples. Cited in 1 publication.

View Alternative Names

TDT, DNTT, DNA nucleotidylexotransferase, Terminal addition enzyme, Terminal deoxynucleotidyltransferase, Terminal transferase

3 Images
Immunohistochemistry (Formalin/PFA-fixed paraffin-embedded sections) - Anti-TdT antibody [EPR9732] - BSA and Azide free (AB249177)
  • IHC-P

Unknown

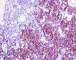
Immunohistochemistry (Formalin/PFA-fixed paraffin-embedded sections) - Anti-TdT antibody [EPR9732] - BSA and Azide free (AB249177)

This data was developed using ab155082, the same antibody clone in a different buffer formulation.

Immunohistochemical analysis of paraffin-embedded Human thymoma tissue labeling TdT with ab155082 at 1/100 dilution.

Perform heat mediated antigen retrieval before commencing with IHC staining protocol.

Immunohistochemistry (Formalin/PFA-fixed paraffin-embedded sections) - Anti-TdT antibody [EPR9732] - BSA and Azide free (AB249177)
  • IHC-P

Unknown

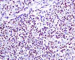
Immunohistochemistry (Formalin/PFA-fixed paraffin-embedded sections) - Anti-TdT antibody [EPR9732] - BSA and Azide free (AB249177)

This data was developed using ab155082, the same antibody clone in a different buffer formulation.

Immunohistochemical analysis of paraffin-embedded Human thymus tissue labeling TdT with ab155082 at 1/100 dilution.

Perform heat mediated antigen retrieval before commencing with IHC staining protocol.

Western blot - Anti-TdT antibody [EPR9732] - BSA and Azide free (AB249177)
  • WB

Unknown

Western blot - Anti-TdT antibody [EPR9732] - BSA and Azide free (AB249177)

This data was developed using ab155082, the same antibody clone in a different buffer formulation.

All lanes:

Western blot - Anti-TdT antibody [EPR9732] (<a href='/en-us/products/primary-antibodies/tdt-antibody-epr9732-ab155082'>ab155082</a>) at 1/1000 dilution

Lane 1:

Human fetal thymus cell lysate at 10 µg

Lane 2:

Jurkat cell lysate at 10 µg

Secondary

All lanes:

Goat anti-rabbit HRP at 1/2000 dilution

Predicted band size: 59 kDa

false

Key facts

Host species

Rabbit

Clonality

Monoclonal

Clone number

EPR9732

Isotype

IgG

Carrier free

Yes

Reacts with

Human

Applications

IHC-P, WB

applications

Immunogen

The exact immunogen used to generate this antibody is proprietary information.

Reactivity data

{ "title": "Reactivity Data", "filters": { "stats": ["", "Species", "Dilution Info", "Notes"], "tabs": { "all-applications": {"fullname" : "All Applications", "shortname": "All Applications"}, "IHCP" : {"fullname" : "Immunohistochemistry (Formalin/PFA-fixed paraffin-embedded sections)", "shortname":"IHC-P"}, "IP" : {"fullname" : "Immunoprecipitation", "shortname":"IP"}, "FlowCyt" : {"fullname" : "Flow Cytometry", "shortname":"Flow Cyt"}, "WB" : {"fullname" : "Western blot", "shortname":"WB"}, "ICCIF" : {"fullname" : "Immunocytochemistry/ Immunofluorescence", "shortname":"ICC/IF"} }, "product-promise": { "all": "all", "testedAndGuaranteed": "tested", "guaranteed": "expected", "predicted": "predicted", "notRecommended": "not-recommended" } }, "values": { "Human": { "IHCP-species-checked": "testedAndGuaranteed", "IHCP-species-dilution-info": "", "IHCP-species-notes": "<p></p>", "IP-species-checked": "notRecommended", "IP-species-dilution-info": "", "IP-species-notes": "<p></p>", "FlowCyt-species-checked": "notRecommended", "FlowCyt-species-dilution-info": "", "FlowCyt-species-notes": "<p></p>", "WB-species-checked": "testedAndGuaranteed", "WB-species-dilution-info": "", "WB-species-notes": "<p></p>", "ICCIF-species-checked": "notRecommended", "ICCIF-species-dilution-info": "", "ICCIF-species-notes": "<p></p>" } } }

Product details

ab249177 is the carrier-free version of ab155082.

Conjugation ready
Our carrier-free antibodies are typically supplied in a PBS-only formulation, purified and free of BSA, sodium azide and glycerol. This conjugation-ready format is designed for use with fluorochromes, metal isotopes, oligonucleotides, and enzymes, which makes them ideal for antibody labelling, functional and cell-based assays, flow-based assays (e.g. mass cytometry) and Multiplex Imaging applications.

Use our conjugation kits for antibody conjugates that are ready-to-use in as little as 20 minutes with 1 minute hands-on-time and 100% antibody recovery: available for fluorescent dyes, HRP, biotin and gold.

Compatibility
This product is compatible with the Maxpar® Antibody Labeling Kit from Fluidigm, without the need for antibody preparation. Maxpar® is a trademark of Fluidigm Canada Inc.

Properties and storage information

Form
Liquid
Purification technique
Affinity purification Protein A
Storage buffer
pH: 7.2 - 7.4 Constituents: PBS
Shipped at conditions
Blue Ice
Appropriate short-term storage conditions
+4°C
Appropriate long-term storage conditions
+4°C
Storage information
Do Not Freeze

Supplementary information

This supplementary information is collated from multiple sources and compiled automatically.

The target protein TdT also known as terminal deoxynucleotidyl transferase or DNTT is an enzyme with a mass of approximately 58 kDa. TdT is specifically expressed in the thymus and bone marrow during early B and T lymphocyte development. This enzyme adds nucleotides to the 3’ ends of DNA contributing to the diversity of the immune response by introducing variability at the junctions of gene segments.
Biological function summary

Terminal deoxynucleotidyl transferase plays an important role in the adaptive immune system. By adding random nucleotides to the V(D)J regions during the development of T and B cells it enhances the variability of antigen receptors. Although TdT does not form part of a larger protein complex its activity directly influences the effectiveness of antigen recognition by lymphocytes important for immune surveillance and response.

Pathways

Terminal deoxynucleotidyl transferase fits into the V(D)J recombination pathway which is essential for the assembly of diverse antigen receptor genes in immature lymphocytes. This enzyme works in conjunction with proteins like RAG1/RAG2 which initiate the DNA cleavage process necessary for recombination and with DNA ligase IV for the joining stage. Enhanced diversity generated by TdT's activity substantiates an effective and adaptable immune response.

TdT is associated with lymphoid malignancies such as acute lymphoblastic leukemia (ALL) where its expression acts as a diagnostic marker. Overexpression or dysregulation of TdT often found in these leukemias correlates with abnormal lymphocyte proliferation. TdT involvement in these disorders is linked to abnormal p53 pathways as p53 mutation frequently occurs alongside abnormal TdT activity suggesting a connection to cellular growth and survival dysregulation in affected cells.

Product protocols

For this product, it's our understanding that no specific protocols are required. You can visit:

Target data

Template-independent DNA polymerase which catalyzes the random addition of deoxynucleoside 5'-triphosphate to the 3'-end of a DNA initiator. One of the in vivo functions of this enzyme is the addition of nucleotides at the junction (N region) of rearranged Ig heavy chain and T-cell receptor gene segments during the maturation of B- and T-cells.
See full target information DNTT

Publications (1)

Recent publications for all applications. Explore the full list and refine your search

International journal of clinical and experimental 13:2973-2983 PubMed33425098

2020

Adsorption of miR-218 by lncRNA HOTAIR regulates PDE7A and affects glioma cell proliferation, invasion, and apoptosis.

Applications

Unspecified application

Species

Unspecified reactive species

Yigong Wei,Kun Zhou,Cheng Wang,Xiaolin Du,Qing Xiao,Changyi Chen
View all publications

Product promise

We are committed to supporting your work with high-quality reagents, and we're here for you every step of the way. In the unlikely event that one of our products does not perform as expected, you're protected by our Product Promise.
For full details, please see our Terms & Conditions

Please note: All products are 'FOR RESEARCH USE ONLY. NOT FOR USE IN DIAGNOSTIC OR THERAPEUTIC PROCEDURES'.

For licensing inquiries, please contact partnerships@abcam.com