JavaScript is disabled in your browser. Please enable JavaScript to view this website.
AB245730

Anti-TdT antibody [SP150] - BSA and Azide free

Be the first to review this product! Submit a review

|

(0 Publication)

Rabbit Recombinant Monoclonal TDT antibody. Carrier free. Suitable for IHC-P, WB, Flow Cyt (Intra) and reacts with Human samples.

View Alternative Names

TDT, DNTT, DNA nucleotidylexotransferase, Terminal addition enzyme, Terminal deoxynucleotidyltransferase, Terminal transferase

3 Images
Flow Cytometry (Intracellular) - Anti-TdT antibody [SP150] - BSA and Azide free (AB245730)
  • Flow Cyt (Intra)

Supplier Data

Flow Cytometry (Intracellular) - Anti-TdT antibody [SP150] - BSA and Azide free (AB245730)

Immunohistochemical analysis of paraffin-embedded Human thymus tissue, labeling TdT with ab183341 at 1/100 dilution.

This data was developed using the same antibody clone in a different buffer formulation containing PBS, BSA, and sodium azide (ab183341)

Immunohistochemistry (Formalin/PFA-fixed paraffin-embedded sections) - Anti-TdT antibody [SP150] - BSA and Azide free (AB245730)
  • IHC-P

Supplier Data

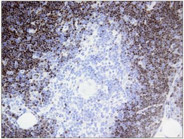
Immunohistochemistry (Formalin/PFA-fixed paraffin-embedded sections) - Anti-TdT antibody [SP150] - BSA and Azide free (AB245730)

Immunohistochemical analysis of paraffin-embedded human thymoma tissue labeling TdT with ab183341 at a 1/100 dilution.

This data was developed using the same antibody clone in a different buffer formulation containing PBS, BSA and sodium azide (ab183341).

Immunohistochemistry (Formalin/PFA-fixed paraffin-embedded sections) - Anti-TdT antibody [SP150] - BSA and Azide free (AB245730)
  • IHC-P

Supplier Data

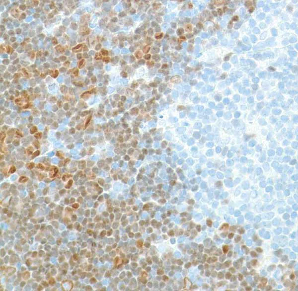
Immunohistochemistry (Formalin/PFA-fixed paraffin-embedded sections) - Anti-TdT antibody [SP150] - BSA and Azide free (AB245730)

Immunohistochemical analysis of paraffin-embedded human thymus tissue labeling TdT with ab183341 at a 1/100 dilution.

This data was developed using the same antibody clone in a different buffer formulation containing PBS, BSA and sodium azide (ab183341).

Key facts

Host species

Rabbit

Clonality

Monoclonal

Clone number

SP150

Isotype

IgG

Carrier free

Yes

Reacts with

Human

Applications

IHC-P, WB, Flow Cyt (Intra)

applications

Immunogen

The exact immunogen used to generate this antibody is proprietary information.

Reactivity data

{ "title": "Reactivity Data", "filters": { "stats": ["", "Species", "Dilution Info", "Notes"], "tabs": { "all-applications": {"fullname" : "All Applications", "shortname": "All Applications"}, "IHCP" : {"fullname" : "Immunohistochemistry (Formalin/PFA-fixed paraffin-embedded sections)", "shortname":"IHC-P"}, "WB" : {"fullname" : "Western blot", "shortname":"WB"}, "FlowCytIntra" : {"fullname" : "Flow Cytometry (Intracellular)", "shortname":"Flow Cyt (Intra)"} }, "product-promise": { "all": "all", "testedAndGuaranteed": "tested", "guaranteed": "expected", "predicted": "predicted", "notRecommended": "not-recommended" } }, "values": { "Human": { "IHCP-species-checked": "testedAndGuaranteed", "IHCP-species-dilution-info": "", "IHCP-species-notes": "<p>Boil tissue section in 1mM EDTA buffer, pH 8.0 for 10 min followed by cooling at room temperature for 20 min.</p> Perform heat-mediated antigen retrieval before commencing with IHC staining protocol.", "WB-species-checked": "guaranteed", "WB-species-dilution-info": "", "WB-species-notes": "<p></p>", "FlowCytIntra-species-checked": "testedAndGuaranteed", "FlowCytIntra-species-dilution-info": "", "FlowCytIntra-species-notes": "<p><a href='/en-us/products/primary-antibodies/rabbit-igg-monoclonal-epr25a-isotype-control-ab172730'>ab172730</a> - Rabbit monoclonal IgG, is suitable for use as an isotype control with this antibody.</p>" } } }

Product details

ab245730 is the carrier-free version of ab183341.

Patented technology
Our RabMAb® technology is a patented hybridoma-based technology for making rabbit monoclonal antibodies. For details on our patents, please refer to RabMAb® patents.

What are the advantages of a recombinant monoclonal antibody?
This product is a recombinant monoclonal antibody, which offers several advantages including:

  • - High batch-to-batch consistency and reproducibility
  • - Improved sensitivity and specificity
  • - Long-term security of supply
  • - Animal-free batch production

For more information, read more on recombinant antibodies.

Conjugation ready
Our carrier-free antibodies are typically supplied in a PBS-only formulation, purified and free of BSA, sodium azide and glycerol. This conjugation-ready format is designed for use with fluorochromes, metal isotopes, oligonucleotides, and enzymes, which makes them ideal for antibody labelling, functional and cell-based assays, flow-based assays (e.g. mass cytometry) and Multiplex Imaging applications.

Use our conjugation kits for antibody conjugates that are ready-to-use in as little as 20 minutes with 1 minute hands-on-time and 100% antibody recovery: available for fluorescent dyes, HRP, biotin and gold.

Compatibility
This product is compatible with the Maxpar® Antibody Labeling Kit from Fluidigm, without the need for antibody preparation. Maxpar® is a trademark of Fluidigm Canada Inc.

Properties and storage information

Form
Liquid
Purification technique
Affinity purification Protein A/G
Purification notes
Purified from TCS by protein A/G.
Storage buffer
pH: 7.2 - 7.4 Constituents: PBS
Shipped at conditions
Blue Ice
Appropriate short-term storage conditions
+4°C
Appropriate long-term storage conditions
+4°C
Storage information
Do Not Freeze

Supplementary information

This supplementary information is collated from multiple sources and compiled automatically.

The target protein TdT also known as terminal deoxynucleotidyl transferase or DNTT is an enzyme with a mass of approximately 58 kDa. TdT is specifically expressed in the thymus and bone marrow during early B and T lymphocyte development. This enzyme adds nucleotides to the 3’ ends of DNA contributing to the diversity of the immune response by introducing variability at the junctions of gene segments.
Biological function summary

Terminal deoxynucleotidyl transferase plays an important role in the adaptive immune system. By adding random nucleotides to the V(D)J regions during the development of T and B cells it enhances the variability of antigen receptors. Although TdT does not form part of a larger protein complex its activity directly influences the effectiveness of antigen recognition by lymphocytes important for immune surveillance and response.

Pathways

Terminal deoxynucleotidyl transferase fits into the V(D)J recombination pathway which is essential for the assembly of diverse antigen receptor genes in immature lymphocytes. This enzyme works in conjunction with proteins like RAG1/RAG2 which initiate the DNA cleavage process necessary for recombination and with DNA ligase IV for the joining stage. Enhanced diversity generated by TdT's activity substantiates an effective and adaptable immune response.

TdT is associated with lymphoid malignancies such as acute lymphoblastic leukemia (ALL) where its expression acts as a diagnostic marker. Overexpression or dysregulation of TdT often found in these leukemias correlates with abnormal lymphocyte proliferation. TdT involvement in these disorders is linked to abnormal p53 pathways as p53 mutation frequently occurs alongside abnormal TdT activity suggesting a connection to cellular growth and survival dysregulation in affected cells.

Product protocols

For this product, it's our understanding that no specific protocols are required. You can visit:

Target data

Template-independent DNA polymerase which catalyzes the random addition of deoxynucleoside 5'-triphosphate to the 3'-end of a DNA initiator. One of the in vivo functions of this enzyme is the addition of nucleotides at the junction (N region) of rearranged Ig heavy chain and T-cell receptor gene segments during the maturation of B- and T-cells.
See full target information DNTT

Product promise

We are committed to supporting your work with high-quality reagents, and we're here for you every step of the way. In the unlikely event that one of our products does not perform as expected, you're protected by our Product Promise.
For full details, please see our Terms & Conditions

Please note: All products are 'FOR RESEARCH USE ONLY. NOT FOR USE IN DIAGNOSTIC OR THERAPEUTIC PROCEDURES'.

For licensing inquiries, please contact partnerships@abcam.com