JavaScript is disabled in your browser. Please enable JavaScript to view this website.
AB196669

Anti-TEA domain family member 2/ETF antibody

Be the first to review this product! Submit a review

|

(2 Publications)

Rabbit Polyclonal TEA domain family member 2/ETF antibody. Suitable for IHC-P, ICC/IF and reacts with Human samples. Cited in 2 publications. Immunogen corresponding to Synthetic Peptide within Human TEAD2.

View Alternative Names

TEF4, TEAD2, Transcriptional enhancer factor TEF-4, TEA domain family member 2, TEAD-2

2 Images
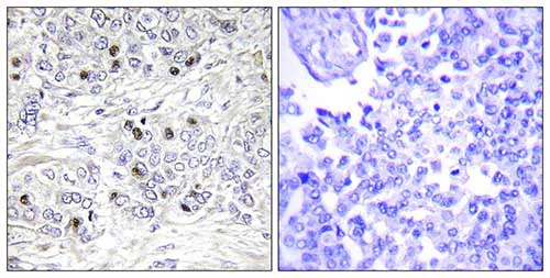
Immunohistochemistry (Formalin/PFA-fixed paraffin-embedded sections) - Anti-TEA domain family member 2/ETF antibody (AB196669)
  • IHC-P

Supplier Data

Immunohistochemistry (Formalin/PFA-fixed paraffin-embedded sections) - Anti-TEA domain family member 2/ETF antibody (AB196669)

Immunohistochemical analysis of paraffin-embedded Human breast carcinoma tissue labeling TEA domain family member 2/ETF with ab196669 at 1/50 dilution (left) and synthesized peptide (right).

Immunocytochemistry/ Immunofluorescence - Anti-TEA domain family member 2/ETF antibody (AB196669)
  • ICC/IF

Supplier Data

Immunocytochemistry/ Immunofluorescence - Anti-TEA domain family member 2/ETF antibody (AB196669)

Immunofluorescent analysis of HepG2 cells labeling TEA domain family member 2/ETF with ab196669 at 1/100 dilution (left) and synthesized peptide (right).

Key facts

Host species

Rabbit

Clonality

Polyclonal

Isotype

IgG

Carrier free

No

Reacts with

Human

Applications

IHC-P, ICC/IF

applications

Immunogen

Synthetic Peptide within Human TEAD2. The exact immunogen used to generate this antibody is proprietary information.

Q15562

Reactivity data

{ "title": "Reactivity Data", "filters": { "stats": ["", "Species", "Dilution Info", "Notes"], "tabs": { "all-applications": {"fullname" : "All Applications", "shortname": "All Applications"}, "IHCP" : {"fullname" : "Immunohistochemistry (Formalin/PFA-fixed paraffin-embedded sections)", "shortname":"IHC-P"}, "ICCIF" : {"fullname" : "Immunocytochemistry/ Immunofluorescence", "shortname":"ICC/IF"} }, "product-promise": { "all": "all", "testedAndGuaranteed": "tested", "guaranteed": "expected", "predicted": "predicted", "notRecommended": "not-recommended" } }, "values": { "Human": { "IHCP-species-checked": "testedAndGuaranteed", "IHCP-species-dilution-info": "1/50 - 1/100", "IHCP-species-notes": "<p></p>", "ICCIF-species-checked": "testedAndGuaranteed", "ICCIF-species-dilution-info": "1/100 - 1/500", "ICCIF-species-notes": "<p></p>" }, "Mouse": { "IHCP-species-checked": "predicted", "IHCP-species-dilution-info": "", "IHCP-species-notes": "", "ICCIF-species-checked": "predicted", "ICCIF-species-dilution-info": "", "ICCIF-species-notes": "" } } }

Properties and storage information

Form
Liquid
Purification technique
Affinity purification Immunogen
Purification notes
ab196669 was affinity-purified from rabbit antiserum by affinity-chromatography using epitope-specific immunogen.
Storage buffer
pH: 7.4 Preservative: 0.02% Sodium azide Constituents: PBS, 50% Glycerol (glycerin, glycerine), 0.87% Sodium chloride
Shipped at conditions
Blue Ice
Appropriate short-term storage duration
1-2 weeks
Appropriate short-term storage conditions
+4°C
Appropriate long-term storage conditions
-20°C
Aliquoting information
Upon delivery aliquot
Storage information
Avoid freeze / thaw cycle

Supplementary information

This supplementary information is collated from multiple sources and compiled automatically.

TEA domain family member 2 (also known as ETF or TEAD2) is a transcription factor belonging to the TEAD protein family with a molecular mass around 47 kDa. TEAD2 plays an important mechanical role in regulating gene expression by binding to enhancer regions within the DNA. You will find TEAD2 predominantly expressed in tissues such as the brain heart and skeletal muscle. This expression pattern indicates its involvement in critical cellular activities.
Biological function summary

TEAD2 functions as a participant in the transcriptional activation of target genes by forming complexes with other cofactors such as YAP and TAZ. This complex formation facilitates the modulation of cell proliferation differentiation and apoptosis. TEAD2 activation leads to transcriptional regulation of genes promoting these cellular processes signifying its importance in maintaining tissue homeostasis and development.

Pathways

TEAD2 participates importantly in the Hippo signaling pathway which plays a role in organ size determination and tumor suppression. The TEAD2 pathway interaction occurs via its association with YAP and TAZ proteins which transmit signals from cell surface receptors to the nucleus. Additionally involvement in Wnt signaling connects TEAD2 to a network of proteins regulating embryonic development and adult tissue homeostasis further highlighting its pathway integration.

Dysregulation of TEAD2 activity has implications in oncological processes especially concerning tumor growth and metastasis. TEAD2's association with YAP and TAZ is significant in cancer biology due to their role in constitutive pathway activation which can lead to uncontrolled cell growth. Abnormal TEAD2 signaling may also influence diseases linked to developmental malformations because of its regulatory activity in important developmental pathways.

Product protocols

For this product, it's our understanding that no specific protocols are required. You can visit:

Target data

Transcription factor which plays a key role in the Hippo signaling pathway, a pathway involved in organ size control and tumor suppression by restricting proliferation and promoting apoptosis. The core of this pathway is composed of a kinase cascade wherein MST1/MST2, in complex with its regulatory protein SAV1, phosphorylates and activates LATS1/2 in complex with its regulatory protein MOB1, which in turn phosphorylates and inactivates YAP1 oncoprotein and WWTR1/TAZ. Acts by mediating gene expression of YAP1 and WWTR1/TAZ, thereby regulating cell proliferation, migration and epithelial mesenchymal transition (EMT) induction. Binds to the SPH and GT-IIC 'enhansons' (5'-GTGGAATGT-3'). May be involved in the gene regulation of neural development. Binds to the M-CAT motif.
See full target information TEAD2

Publications (2)

Recent publications for all applications. Explore the full list and refine your search

Journal of cancer research and clinical oncology 147:373-391 PubMed33098447

2020

The clinical relevance of the Hippo pathway in pancreatic ductal adenocarcinoma.

Applications

Unspecified application

Species

Unspecified reactive species

Richard Drexler,Mirco Küchler,Kim C Wagner,Tim Reese,Bernd Feyerabend,Moritz Kleine,Karl J Oldhafer

Nature communications 9:4020 PubMed30275445

2018

Analysis of chromatin accessibility uncovers TEAD1 as a regulator of migration in human glioblastoma.

Applications

Unspecified application

Species

Unspecified reactive species

Jessica Tome-Garcia,Parsa Erfani,German Nudelman,Alexander M Tsankov,Igor Katsyv,Rut Tejero, Bin Zhang,Martin Walsh,Roland H Friedel,Elena Zaslavsky,Nadejda M Tsankova
View all publications

Product promise

We are committed to supporting your work with high-quality reagents, and we're here for you every step of the way. In the unlikely event that one of our products does not perform as expected, you're protected by our Product Promise.
For full details, please see our Terms & Conditions

Please note: All products are 'FOR RESEARCH USE ONLY. NOT FOR USE IN DIAGNOSTIC OR THERAPEUTIC PROCEDURES'.

For licensing inquiries, please contact partnerships@abcam.com