JavaScript is disabled in your browser. Please enable JavaScript to view this website.
AB237766

Anti-TEAD3 antibody

Be the first to review this product! Submit a review

|

(2 Publications)

Rabbit Polyclonal TEAD3 antibody. Suitable for IHC-P and reacts with Human samples. Cited in 2 publications. Immunogen corresponding to Recombinant Fragment Protein within Human TEAD3 aa 100 to C-terminus.

View Alternative Names

TEAD5, TEF5, TEAD3, Transcriptional enhancer factor TEF-5, DTEF-1, TEA domain family member 3, TEAD-3

2 Images
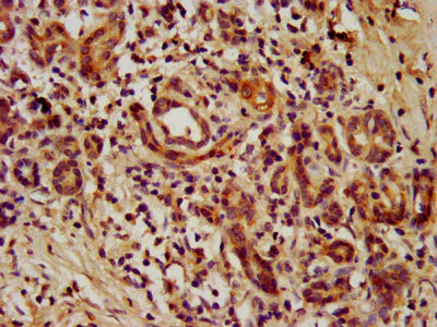
Immunohistochemistry (Formalin/PFA-fixed paraffin-embedded sections) - Anti-TEAD3 antibody (AB237766)
  • IHC-P

Supplier Data

Immunohistochemistry (Formalin/PFA-fixed paraffin-embedded sections) - Anti-TEAD3 antibody (AB237766)

Paraffin-embedded human pancreatic cancer tissue stained for TEAD3 with ab237766 at 1/1000 dilution in immunohistochemical analysis.

After dewaxing and hydration, antigen retrieval was mediated by high pressure in a citrate buffer (pH 6.0). Section was blocked with 10% normal goat serum 30 minutes at RT. Then primary antibody (1% BSA) was incubated at 4°C overnight. The primary is detected by a biotinylated secondary antibody and visualized tissue using an HRP conjugated SP system.

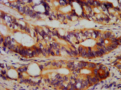
Immunohistochemistry (Formalin/PFA-fixed paraffin-embedded sections) - Anti-TEAD3 antibody (AB237766)
  • IHC-P

Supplier Data

Immunohistochemistry (Formalin/PFA-fixed paraffin-embedded sections) - Anti-TEAD3 antibody (AB237766)

Paraffin-embedded human colon cancer tissue stained for TEAD3 with ab237766 at 1/1000 dilution in immunohistochemical analysis.

After dewaxing and hydration, antigen retrieval was mediated by high pressure in a citrate buffer (pH 6.0). Section was blocked with 10% normal goat serum 30 minutes at RT. Then primary antibody (1% BSA) was incubated at 4°C overnight. The primary is detected by a biotinylated secondary antibody and visualized tissue using an HRP conjugated SP system.

Key facts

Host species

Rabbit

Clonality

Polyclonal

Isotype

IgG

Carrier free

No

Reacts with

Human

Applications

IHC-P

applications

Immunogen

Recombinant Fragment Protein within Human TEAD3 aa 100 to C-terminus. The exact immunogen used to generate this antibody is proprietary information.

Q99594

Reactivity data

{ "title": "Reactivity Data", "filters": { "stats": ["", "Species", "Dilution Info", "Notes"], "tabs": { "all-applications": {"fullname" : "All Applications", "shortname": "All Applications"}, "IHCP" : {"fullname" : "Immunohistochemistry (Formalin/PFA-fixed paraffin-embedded sections)", "shortname":"IHC-P"} }, "product-promise": { "all": "all", "testedAndGuaranteed": "tested", "guaranteed": "expected", "predicted": "predicted", "notRecommended": "not-recommended" } }, "values": { "Human": { "IHCP-species-checked": "testedAndGuaranteed", "IHCP-species-dilution-info": "1/500 - 1/1000", "IHCP-species-notes": "<p></p> Perform heat-mediated antigen retrieval with citrate buffer pH 6 before commencing with IHC staining protocol." }, "Mouse": { "IHCP-species-checked": "predicted", "IHCP-species-dilution-info": "", "IHCP-species-notes": "" } } }

Properties and storage information

Form
Liquid
Purification technique
Affinity purification Protein G
Purification notes
Purity greater than 95%.
Storage buffer
pH: 7.4 Preservative: 0.03% Proclin 300 Constituents: PBS, 50% Glycerol (glycerin, glycerine)
Shipped at conditions
Blue Ice
Appropriate short-term storage duration
1-2 weeks
Appropriate short-term storage conditions
+4°C
Appropriate long-term storage conditions
-20°C
Aliquoting information
Upon delivery aliquot
Storage information
Avoid freeze / thaw cycle

Supplementary information

This supplementary information is collated from multiple sources and compiled automatically.

TEAD3 also known as TEF-5 is a transcription factor that plays an important role in regulating gene expression. It belongs to the TEA/ATTS domain family and has a molecular mass of around 47 kDa. This protein is expressed in several tissues including the heart liver and skeletal muscle suggesting its involvement in various cellular functions across different organ systems. The mechanical action of TEAD3 involves binding to DNA sequences within the nucleus to modulate transcription of target genes.
Biological function summary

TEA/ATTS domain family members like TEAD3 activate transcription of genes involved in proliferation and differentiation. TEAD3 partners with co-factors such as YAP (Yes-associated protein) to form a complex that influences gene expression patterns critical for cellular growth and development. The interactions between TEAD3 and its co-factors play a significant role in mediating pathways that sustain normal tissue function and adaptation.

Pathways

Numerous cellular functions hinge on the YAP-TEAD3 interaction a focal point of the Hippo signaling pathway which governs cell growth apoptosis and the stem cell population. In addition TEAD3 features in the Wnt signaling pathway thereby affecting processes of embryogenesis and tissue regeneration. Through these pathways TEAD3 connects with other proteins like TAZ (transcriptional coactivator with PDZ-binding motif) and β-catenin to mediate signal transduction and cellular response.

TEAD3's deregulation links to various cancers and fibrotic diseases. Aberrant activity in the Hippo pathway involving TEAD3 and YAP has been observed in hepatocellular carcinoma contributing to unchecked cellular proliferation and survival. Similarly in renal fibrosis altered TEAD3 activity impacts the expression of fibrotic markers often observed with changes in the TGF-β (transforming growth factor-beta) signaling pathway. Understanding these relationships can offer insights into developing therapeutic strategies targeting TEAD3 interactions in disease contexts.

Product protocols

For this product, it's our understanding that no specific protocols are required. You can visit:

Target data

Transcription factor which plays a key role in the Hippo signaling pathway, a pathway involved in organ size control and tumor suppression by restricting proliferation and promoting apoptosis. The core of this pathway is composed of a kinase cascade wherein MST1/MST2, in complex with its regulatory protein SAV1, phosphorylates and activates LATS1/2 in complex with its regulatory protein MOB1, which in turn phosphorylates and inactivates YAP1 oncoprotein and WWTR1/TAZ. Acts by mediating gene expression of YAP1 and WWTR1/TAZ, thereby regulating cell proliferation, migration and epithelial mesenchymal transition (EMT) induction. Binds to multiple functional elements of the human chorionic somatomammotropin-B gene enhancer.
See full target information TEAD3

Publications (2)

Recent publications for all applications. Explore the full list and refine your search

BMC complementary medicine and therapies 24:42 PubMed38245760

2024

Baicalin enhances proliferation and reduces inflammatory-oxidative stress effect in HO-induced granulosa cells apoptosis via USP48 protein regulation.

Applications

Unspecified application

Species

Unspecified reactive species

Jun Chen,Chuhua Lin,Xiurong Huang,Wei Bian

Journal of cancer research and clinical oncology 147:373-391 PubMed33098447

2020

The clinical relevance of the Hippo pathway in pancreatic ductal adenocarcinoma.

Applications

Unspecified application

Species

Unspecified reactive species

Richard Drexler,Mirco Küchler,Kim C Wagner,Tim Reese,Bernd Feyerabend,Moritz Kleine,Karl J Oldhafer
View all publications

Product promise

We are committed to supporting your work with high-quality reagents, and we're here for you every step of the way. In the unlikely event that one of our products does not perform as expected, you're protected by our Product Promise.
For full details, please see our Terms & Conditions

Please note: All products are 'FOR RESEARCH USE ONLY. NOT FOR USE IN DIAGNOSTIC OR THERAPEUTIC PROCEDURES'.

For licensing inquiries, please contact partnerships@abcam.com