JavaScript is disabled in your browser. Please enable JavaScript to view this website.
AB32368

Anti-Tec antibody [Y398]

Be the first to review this product! Submit a review

|

(2 Publications)

Rabbit Recombinant Monoclonal TEC antibody. Suitable for IHC-P, WB, ICC/IF, Flow Cyt (Intra) and reacts with Human samples. Cited in 2 publications.

View Alternative Names

PSCTK4, TEC, Tyrosine-protein kinase Tec

4 Images
Flow Cytometry (Intracellular) - Anti-Tec antibody [Y398] (AB32368)
  • Flow Cyt (Intra)

Unknown

Flow Cytometry (Intracellular) - Anti-Tec antibody [Y398] (AB32368)

Overlay histogram showing Jurkat (Human T cell leukemia cell line from peripheral blood) cells stained with ab32368 (red line).

The cells were fixed with 80% methanol (5 min) and then permeabilized with 0.1% PBS-Tween for 20 min. The cells were then incubated in 1x PBS / 10% normal goat serum / 0.3M glycine to block non-specific protein-protein interactions followed by the antibody (ab32368, 1/100 dilution) for 30 min at 22°C. The secondary antibody used was Alexa Fluorr® 488 goat anti-rabbit IgG (H+L) (ab150077) at 1/2000 dilution for 30 min at 22°C. Isotype control antibody (black line) was rabbit IgG (monoclonal) (1μg/1x106 cells) used under the same conditions. Unlabeled sample (blue line) was also used as a control. Acquisition of >5,000 events were collected using a 20mW Argon ion laser (488nm) and 525/30 bandpass filter.

Immunocytochemistry/ Immunofluorescence - Anti-Tec antibody [Y398] (AB32368)
  • ICC/IF

Unknown

Immunocytochemistry/ Immunofluorescence - Anti-Tec antibody [Y398] (AB32368)

Immunocytochemistry/Immunofluorescence analysis of Jurkat (human acute T cell leukemia) labeling Tec with purified ab32368 at 1/500. Cells were fixed with 100% methanol. An Alexa Fluor® 488-conjugated goat anti-rabbit IgG (1/1000) was used as the secondary antibody (ab150077). Nuclei counterstained with DAPI (blue).

Control : PBS only

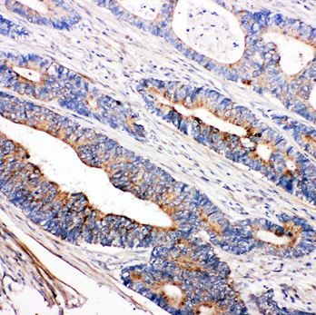
Immunohistochemistry (Formalin/PFA-fixed paraffin-embedded sections) - Anti-Tec antibody [Y398] (AB32368)
  • IHC-P

Unknown

Immunohistochemistry (Formalin/PFA-fixed paraffin-embedded sections) - Anti-Tec antibody [Y398] (AB32368)

ab32368 at a 1/50 dilution staining human ovary carcinoma tissue by immunohistochemistry, paraffin embedded tissue.

Perform heat mediated antigen retrieval with citrate buffer pH 6 before commencing with IHC staining protocol.

Western blot - Anti-Tec antibody [Y398] (AB32368)
  • WB

Unknown

Western blot - Anti-Tec antibody [Y398] (AB32368)

All lanes:

Western blot - Anti-Tec antibody [Y398] (ab32368) at 1/10000 dilution

All lanes:

Jurkat (Human T cell leukemia cell line from peripheral blood) cell lysate

Predicted band size: 73 kDa

Observed band size: 66 kDa

false

  • Carrier free

    Anti-Tec antibody [Y398] - BSA and Azide free

  • 578 PE

    PE Anti-Tec antibody [Y398]

Key facts

Host species

Rabbit

Clonality

Monoclonal

Clone number

Y398

Isotype

IgG

Carrier free

No

Reacts with

Human

Applications

Flow Cyt (Intra), WB, IHC-P, ICC/IF

applications

Immunogen

The exact immunogen used to generate this antibody is proprietary information.

Epitope

ab32368 reacts with an epitope located in the PH domain of Tec.

Reactivity data

{ "title": "Reactivity Data", "filters": { "stats": ["", "Species", "Dilution Info", "Notes"], "tabs": { "all-applications": {"fullname" : "All Applications", "shortname": "All Applications"}, "IHCP" : {"fullname" : "Immunohistochemistry (Formalin/PFA-fixed paraffin-embedded sections)", "shortname":"IHC-P"}, "WB" : {"fullname" : "Western blot", "shortname":"WB"}, "ICCIF" : {"fullname" : "Immunocytochemistry/ Immunofluorescence", "shortname":"ICC/IF"}, "FlowCytIntra" : {"fullname" : "Flow Cytometry (Intracellular)", "shortname":"Flow Cyt (Intra)"} }, "product-promise": { "all": "all", "testedAndGuaranteed": "tested", "guaranteed": "expected", "predicted": "predicted", "notRecommended": "not-recommended" } }, "values": { "Human": { "IHCP-species-checked": "testedAndGuaranteed", "IHCP-species-dilution-info": "", "IHCP-species-notes": "<p></p>", "WB-species-checked": "testedAndGuaranteed", "WB-species-dilution-info": "1/2000 - 1/5000", "WB-species-notes": "<p></p>", "ICCIF-species-checked": "testedAndGuaranteed", "ICCIF-species-dilution-info": "1/100 - 1/500", "ICCIF-species-notes": "<p></p>", "FlowCytIntra-species-checked": "testedAndGuaranteed", "FlowCytIntra-species-dilution-info": "1/30 - 1/100", "FlowCytIntra-species-notes": "<p><a href='/en-us/products/primary-antibodies/rabbit-igg-monoclonal-epr25a-isotype-control-ab172730'>ab172730</a> - Rabbit monoclonal IgG, is suitable for use as an isotype control with this antibody.</p>" }, "Mouse": { "IHCP-species-checked": "predicted", "IHCP-species-dilution-info": "", "IHCP-species-notes": "", "WB-species-checked": "predicted", "WB-species-dilution-info": "", "WB-species-notes": "", "ICCIF-species-checked": "predicted", "ICCIF-species-dilution-info": "", "ICCIF-species-notes": "", "FlowCytIntra-species-checked": "predicted", "FlowCytIntra-species-dilution-info": "", "FlowCytIntra-species-notes": "" }, "Rat": { "IHCP-species-checked": "predicted", "IHCP-species-dilution-info": "", "IHCP-species-notes": "", "WB-species-checked": "predicted", "WB-species-dilution-info": "", "WB-species-notes": "", "ICCIF-species-checked": "predicted", "ICCIF-species-dilution-info": "", "ICCIF-species-notes": "", "FlowCytIntra-species-checked": "predicted", "FlowCytIntra-species-dilution-info": "", "FlowCytIntra-species-notes": "" } } }

Product details

Patented technology
Our RabMAb® technology is a patented hybridoma-based technology for making rabbit monoclonal antibodies. For details on our patents, please refer to RabMAb® patents.

What are the advantages of a recombinant monoclonal antibody?
This product is a recombinant monoclonal antibody, which offers several advantages including:

  • - High batch-to-batch consistency and reproducibility
  • - Improved sensitivity and specificity
  • - Long-term security of supply
  • - Animal-free batch production

For more information, read more on recombinant antibodies.

Properties and storage information

Form
Liquid
Purification technique
Affinity purification Protein A
Storage buffer
pH: 7.2 - 7.4 Preservative: 0.01% Sodium azide Constituents: PBS, 50% Glycerol (glycerin, glycerine), 0.05% BSA
Shipped at conditions
Blue Ice
Appropriate short-term storage conditions
+4°C
Appropriate long-term storage conditions
-20°C
Aliquoting information
Upon delivery aliquot
Storage information
Avoid freeze / thaw cycle

Supplementary information

This supplementary information is collated from multiple sources and compiled automatically.

Tec also known as Tec protein tyrosine kinase functions as a non-receptor tyrosine kinase involved in signal transduction. Its molecular mass is approximately 72 kDa. Tec is expressed predominantly in hematopoietic cells such as B cells T cells and myeloid lineage cells. This protein plays a significant role in mediating cellular communication by transferring phosphate groups from ATP to specific tyrosine residues on target proteins.
Biological function summary

Tec influences cellular processes like proliferation differentiation and survival. Tec belongs to the Tec kinase family which also includes Btk Itk Rlk and Bmx. Though Tec does not form permanent complexes it interacts dynamically with various signaling proteins. These interactions allow Tec to modulate immune cell development and function significantly impacting the adaptive immune response.

Pathways

Tec is an integral part of the B-cell receptor (BCR) signaling pathway and the PI3K/Akt signaling pathway. Upon activation of BCR Tec aids in signal propagation leading to B cell activation and proliferation. Tec operates synergistically with proteins like Src family kinases leading to the activation of downstream signaling pathways. The protein also facilitates the Akt pathway which controls cell growth and survival by interacting with phosphatidylinositol 3-kinase (PI3K).

Tec links to immunodeficiencies and cancers such as leukemia. Dysfunctional Tec signaling can impair immune responses contributing to conditions like X-linked agammaglobulinemia a disorder often connected to mutations in Bruton's tyrosine kinase (Btk). Overactive Tec signaling may promote leukemogenesis linking Tec to leukemias where it cooperates with proteins such as STAT5 which is involved in cell growth and survival pathways.

Product protocols

For this product, it's our understanding that no specific protocols are required. You can visit:

Target data

Non-receptor tyrosine kinase that contributes to signaling from many receptors and participates as a signal transducer in multiple downstream pathways, including regulation of the actin cytoskeleton. Plays a redundant role to ITK in regulation of the adaptive immune response. Regulates the development, function and differentiation of conventional T-cells and nonconventional NKT-cells. Required for TCR-dependent IL2 gene induction. Phosphorylates DOK1, one CD28-specific substrate, and contributes to CD28-signaling. Mediates signals that negatively regulate IL2RA expression induced by TCR cross-linking. Plays a redundant role to BTK in BCR-signaling for B-cell development and activation, especially by phosphorylating STAP1, a BCR-signaling protein. Required in mast cells for efficient cytokine production. Involved in both growth and differentiation mechanisms of myeloid cells through activation by the granulocyte colony-stimulating factor CSF3, a critical cytokine to promoting the growth, differentiation, and functional activation of myeloid cells. Participates in platelet signaling downstream of integrin activation. Cooperates with JAK2 through reciprocal phosphorylation to mediate cytokine-driven activation of FOS transcription. GRB10, a negative modifier of the FOS activation pathway, is another substrate of TEC. TEC is involved in G protein-coupled receptor- and integrin-mediated signalings in blood platelets. Plays a role in hepatocyte proliferation and liver regeneration and is involved in HGF-induced ERK signaling pathway. TEC regulates also FGF2 unconventional secretion (endoplasmic reticulum (ER)/Golgi-independent mechanism) under various physiological conditions through phosphorylation of FGF2 'Tyr-215'. May also be involved in the regulation of osteoclast differentiation.
See full target information TEC

Publications (2)

Recent publications for all applications. Explore the full list and refine your search

Nature immunology 13:369-78 PubMed22366891

2012

The kinase Btk negatively regulates the production of reactive oxygen species and stimulation-induced apoptosis in human neutrophils.

Applications

Unspecified application

Species

Unspecified reactive species

Fumiko Honda,Hirotsugu Kano,Hirokazu Kanegane,Shigeaki Nonoyama,Eun-Sung Kim,Sang-Kyou Lee,Masatoshi Takagi,Shuki Mizutani,Tomohiro Morio

Proceedings of the National Academy of Sciences of 108:13247-52 PubMed21788516

2011

Essential role of Stat3 in PI3K-induced oncogenic transformation.

Applications

WB, IP

Species

Mouse, Mouse

Jonathan R Hart,Lujian Liao,John R Yates,Peter K Vogt
View all publications

Product promise

We are committed to supporting your work with high-quality reagents, and we're here for you every step of the way. In the unlikely event that one of our products does not perform as expected, you're protected by our Product Promise.
For full details, please see our Terms & Conditions

Please note: All products are 'FOR RESEARCH USE ONLY. NOT FOR USE IN DIAGNOSTIC OR THERAPEUTIC PROCEDURES'.

For licensing inquiries, please contact partnerships@abcam.com