JavaScript is disabled in your browser. Please enable JavaScript to view this website.
AB219647

Anti-TEF1/TEAD-1 antibody [EPR3967(2)] - BSA and Azide free

  • RabMAb
  • Recombinant
  • KO Validated
  • Advanced Validation
  • What is this?

Be the first to review this product! Submit a review

|

(1 Publication)

Rabbit Recombinant Monoclonal TEF1/TEAD-1 antibody. Carrier free. Suitable for ChIP-seq, IHC-P, IP, WB and reacts with Human, Mouse, Rat samples. Cited in 1 publication.

View Alternative Names

TCF13, TEF1, TEAD1, Transcriptional enhancer factor TEF-1, NTEF-1, Protein GT-IIC, TEA domain family member 1, Transcription factor 13, TEAD-1, TCF-13

14 Images
Immunohistochemistry (Formalin/PFA-fixed paraffin-embedded sections) - Anti-TEF1/TEAD-1 antibody [EPR3967(2)] - BSA and Azide free (AB219647)
  • IHC-P

Unknown

Immunohistochemistry (Formalin/PFA-fixed paraffin-embedded sections) - Anti-TEF1/TEAD-1 antibody [EPR3967(2)] - BSA and Azide free (AB219647)

Immunohistochemistry analysis of Paraffin Embedded Human skeletal muscle tissue labelling TEF1/TEAD-1 with unpurified ab133533 at 1/100. Heat mediated antigen retrieval was performed with citrate buffer pH 6 before commencing with IHC staining protocol.

This data was developed using the same antibody clone in a different buffer formulation containing PBS, BSA, glycerol, and sodium azide (ab133533).

Immunohistochemistry (Formalin/PFA-fixed paraffin-embedded sections) - Anti-TEF1/TEAD-1 antibody [EPR3967(2)] - BSA and Azide free (AB219647)
  • IHC-P

Unknown

Immunohistochemistry (Formalin/PFA-fixed paraffin-embedded sections) - Anti-TEF1/TEAD-1 antibody [EPR3967(2)] - BSA and Azide free (AB219647)

Immunohistochemistry analysis of Paraffin Embedded Human placenta tissue labelling TEF1/TEAD-1 with unpurified ab133533 at 1/100. Heat mediated antigen retrieval was performed with citrate buffer pH 6 before commencing with IHC staining protocol.

This data was developed using the same antibody clone in a different buffer formulation containing PBS, BSA, glycerol, and sodium azide (ab133533).

Immunohistochemistry (Formalin/PFA-fixed paraffin-embedded sections) - Anti-TEF1/TEAD-1 antibody [EPR3967(2)] - BSA and Azide free (AB219647)
  • IHC-P

Lab

Immunohistochemistry (Formalin/PFA-fixed paraffin-embedded sections) - Anti-TEF1/TEAD-1 antibody [EPR3967(2)] - BSA and Azide free (AB219647)

Immunohistochemistry (Formalin/PFA-fixed paraffin-embedded sections) analysis of human skeletal muscle tissue sections labeling TEF1/TEAD-1 with Purified ab133533 at 1 : 1000 dilution (1.63 μg/ml). Heat mediated antigen retrieval was performed using EDTA Buffer, pH9.0. Tissue was counterstained with Hematoxylin. ImmunoHistoProbe one step HRP Polymer (ready to use) secondary antibody was used at 1 : 0 dilution. PBS instead of the primary antibody was used as the negative control.

This data was developed using the same antibody clone in a different buffer formulation containing PBS, BSA, glycerol, and sodium azide (ab133533).

ChIP-sequencing - Anti-TEF1/TEAD-1 antibody [EPR3967(2)] - BSA and Azide free (AB219647)
  • ChIP-seq

Lab

ChIP-sequencing - Anti-TEF1/TEAD-1 antibody [EPR3967(2)] - BSA and Azide free (AB219647)

This data was developed using ab133533, the same antibody clone in a different buffer formulation.

Chromatin was prepared from HepG2 cells. Cells were fixed with 1% formaldehyde for 10 minutes. ChIP was performed with 5 x 10^6 cells and 4 µg of ab133533 [EPR3967(2)]. ChIP DNA was sequenced on the Illumina NovaSeq 6000 to a depth of 30 million reads. The Input control is also shown.

Immunoprecipitation - Anti-TEF1/TEAD-1 antibody [EPR3967(2)] - BSA and Azide free (AB219647)
  • IP

Lab

Immunoprecipitation - Anti-TEF1/TEAD-1 antibody [EPR3967(2)] - BSA and Azide free (AB219647)

ab133533 (purified) at 1 : 80 dilution (2ug) immunoprecipitating TEF1/TEAD-1 in 293 (Human embryonic kidney epithelial cell) whole cell lysate.
Lane 1 (input) : 293 (Human embryonic kidney epithelial cell) whole cell lysate 10ug
Lane 2 (+) : ab133533 & 293 (Human embryonic kidney epithelial cell) whole cell lysate
Lane 3 (-) : Rabbit monoclonal IgG (ab172730) instead of ab133533 in 293 (Human embryonic kidney epithelial cell) whole cell lysate
For western blotting, VeriBlot for IP Detection Reagent (HRP) (ab131366) was used for detection at 1 : 1000 dilution.
Blocking and diluting buffer : 5% NFDM/TBST.

This data was developed using the same antibody clone in a different buffer formulation containing PBS, BSA, glycerol, and sodium azide (ab133533).

All lanes:

Immunoprecipitation - Anti-TEF1/TEAD-1 antibody [EPR3967(2)] (<a href='/en-us/products/primary-antibodies/tef1-tead-1-antibody-epr39672-ab133533'>ab133533</a>)

Predicted band size: 48 kDa

false

ChIP-sequencing - Anti-TEF1/TEAD-1 antibody [EPR3967(2)] - BSA and Azide free (AB219647)
  • ChIP-seq

Lab

ChIP-sequencing - Anti-TEF1/TEAD-1 antibody [EPR3967(2)] - BSA and Azide free (AB219647)

This data was developed using ab133533, the same antibody clone in a different buffer formulation.

Chromatin was prepared from HepG2 cells. Cells were fixed with 1% formaldehyde for 10 minutes. ChIP was performed with 5 x 10^6 cells and 4 µg of ab133533 [EPR3967(2)]. ChIP DNA was sequenced on the Illumina NovaSeq 6000 to a depth of 30 million reads. The Input control is also shown.

ChIP-sequencing - Anti-TEF1/TEAD-1 antibody [EPR3967(2)] - BSA and Azide free (AB219647)
  • ChIP-seq

Lab

ChIP-sequencing - Anti-TEF1/TEAD-1 antibody [EPR3967(2)] - BSA and Azide free (AB219647)

This data was developed using ab133533, the same antibody clone in a different buffer formulation.

Chromatin was prepared from HepG2 cells. Cells were fixed with 1% formaldehyde for 10 minutes. ChIP was performed with 5 x 10^6 cells and 4 µg of ab133533 [EPR3967(2)]. ChIP DNA was sequenced on the Illumina NovaSeq 6000 to a depth of 30 million reads. The Input control is also shown.

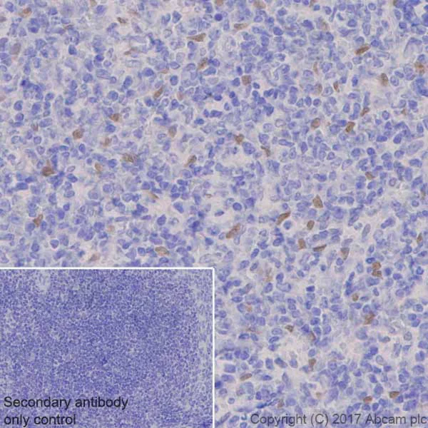
Immunohistochemistry (Formalin/PFA-fixed paraffin-embedded sections) - Anti-TEF1/TEAD-1 antibody [EPR3967(2)] - BSA and Azide free (AB219647)
  • IHC-P

Lab

Immunohistochemistry (Formalin/PFA-fixed paraffin-embedded sections) - Anti-TEF1/TEAD-1 antibody [EPR3967(2)] - BSA and Azide free (AB219647)

Immunohistochemistry (Formalin/PFA-fixed paraffin-embedded sections) analysis of rat spleen tissue sections labeling TEF1/TEAD-1 with Purified ab133533 at 1 : 1000 dilution (1.63 μg/ml). Heat mediated antigen retrieval was performed using EDTA Buffer, pH9.0. Tissue was counterstained with Hematoxylin. ImmunoHistoProbe one step HRP Polymer (ready to use) secondary antibody was used at 1 : 0 dilution. PBS instead of the primary antibody was used as the negative control.

This data was developed using the same antibody clone in a different buffer formulation containing PBS, BSA, glycerol, and sodium azide (ab133533).

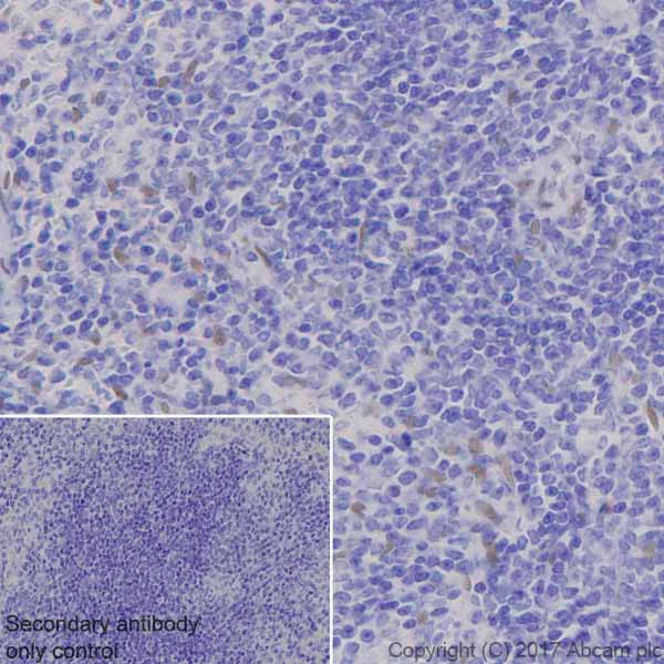
Immunohistochemistry (Formalin/PFA-fixed paraffin-embedded sections) - Anti-TEF1/TEAD-1 antibody [EPR3967(2)] - BSA and Azide free (AB219647)
  • IHC-P

Lab

Immunohistochemistry (Formalin/PFA-fixed paraffin-embedded sections) - Anti-TEF1/TEAD-1 antibody [EPR3967(2)] - BSA and Azide free (AB219647)

Immunohistochemistry (Formalin/PFA-fixed paraffin-embedded sections) analysis of mouse spleen tissue sections labeling TEF1/TEAD-1 with Purified ab133533 at 1 : 1000 dilution (1.63 μg/ml). Heat mediated antigen retrieval was performed using EDTA Buffer, pH9.0. Tissue was counterstained with Hematoxylin. ImmunoHistoProbe one step HRP Polymer (ready to use) secondary antibody was used at 1 : 0 dilution. PBS instead of the primary antibody was used as the negative control.

This data was developed using the same antibody clone in a different buffer formulation containing PBS, BSA, glycerol, and sodium azide (ab133533).

ChIP-sequencing - Anti-TEF1/TEAD-1 antibody [EPR3967(2)] - BSA and Azide free (AB219647)
  • ChIP-seq

Lab

ChIP-sequencing - Anti-TEF1/TEAD-1 antibody [EPR3967(2)] - BSA and Azide free (AB219647)

This data was developed using ab133533, the same antibody clone in a different buffer formulation.

Chromatin was prepared from MEF cells. Cells were fixed with 1% formaldehyde for 10 minutes. ChIP was performed with 5 x 10^6 cells and 4 µg of ab133533 [EPR3967(2)]. ChIP DNA was sequenced on the Illumina NovaSeq 6000 to a depth of 30 million reads. The Input control is also shown.

ChIP-sequencing - Anti-TEF1/TEAD-1 antibody [EPR3967(2)] - BSA and Azide free (AB219647)
  • ChIP-seq

Lab

ChIP-sequencing - Anti-TEF1/TEAD-1 antibody [EPR3967(2)] - BSA and Azide free (AB219647)

This data was developed using ab133533, the same antibody clone in a different buffer formulation.

Chromatin was prepared from MEF cells. Cells were fixed with 1% formaldehyde for 10 minutes. ChIP was performed with 5 x 10^6 cells and 4 µg of ab133533 [EPR3967(2)]. ChIP DNA was sequenced on the Illumina NovaSeq 6000 to a depth of 30 million reads. The Input control is also shown.

Western blot - Anti-TEF1/TEAD-1 antibody [EPR3967(2)] - BSA and Azide free (AB219647)
  • WB

Lab

Western blot - Anti-TEF1/TEAD-1 antibody [EPR3967(2)] - BSA and Azide free (AB219647)

This data was developed using the same antibody clone in a different buffer formulation containing PBS, BSA, glycerol, and sodium azide (ab133533). Blocking/Diluting buffer and concentration : 5% NFDM/TBST. ab133533 recognizes human TEAD1 and human TEAD3.

All lanes:

Western blot - Anti-TEF1/TEAD-1 antibody [EPR3967(2)] (<a href='/en-us/products/primary-antibodies/tef1-tead-1-antibody-epr39672-ab133533'>ab133533</a>) at 1/5000 dilution

Lane 1:

His-GST-tagged human TEAD1 recombinant protein at 20 µg

Lane 2:

His-SUMO-tagged human TEAD3 recombinant protein at 20 µg

Lane 3:

His-tagged human TEAD4 recombinant protein at 20 µg

Secondary

All lanes:

Western blot - Goat Anti-Rabbit IgG H&L (HRP) (<a href='/en-us/products/secondary-antibodies/goat-rabbit-igg-h-l-hrp-ab97051'>ab97051</a>) at 1/100000 dilution

Observed band size: 50 kDa,70 kDa

false

Exposure time: 10s

Western blot - Anti-TEF1/TEAD-1 antibody [EPR3967(2)] - BSA and Azide free (AB219647)
  • WB

Lab

Western blot - Anti-TEF1/TEAD-1 antibody [EPR3967(2)] - BSA and Azide free (AB219647)

This data was developed using the same antibody clone in a different buffer formulation (ab133533).

Lanes 1 - 2 : Merged signal (red and green). Green - ab133533 observed at 50 kDa. Red - loading control ab8245 (Mouse anti-GAPDH antibody [6C5]) observed at 37kDa.

ab133533 was shown to react with TEF1/TEAD-1 in wild-type A549 cells in western blot with loss of signal observed in TEAD1 knockout sample. Wild-type and TEAD1 knockout A549 cell lysates were subjected to SDS-PAGE. Membranes were blocked in 3% milk in TBS-T (0.1% Tween®) before incubation with ab133533 and ab8245 (Mouse anti-GAPDH antibody [6C5]) overnight at 4°C at a 1 in 1000 dilution and a 1 in 20000 dilution respectively. Blots were incubated with Goat anti-Rabbit IgG H&L (IRDye® 800CW) preabsorbed (ab216773) and Goat anti-Mouse IgG H&L (IRDye® 680RD) preabsorbed (ab216776) secondary antibodies at 1 in 20000 dilution for 1 hour at room temperature before imaging.

All lanes:

Western blot - Anti-TEF1/TEAD-1 antibody [EPR3967(2)] (<a href='/en-us/products/primary-antibodies/tef1-tead-1-antibody-epr39672-ab133533'>ab133533</a>) at 1/1000 dilution

Lane 1:

Wild-type A549 cell lysate at 20 µg

Lane 2:

TEAD1 knockout A549 (Human lung carcinoma cell line) whole cell lysate at 20 µg

Predicted band size: 48 kDa

Observed band size: 50 kDa

false

OI-RD Scanning - Anti-TEF1/TEAD-1 antibody [EPR3967(2)] - BSA and Azide free (AB219647)
  • OI-RD Scanning

Unknown

OI-RD Scanning - Anti-TEF1/TEAD-1 antibody [EPR3967(2)] - BSA and Azide free (AB219647)

We have systematically measured KD (the equilibrium dissociation constant between the antibody and its antigen), of more than 840 recombinant antibodies to assess not only their individual KD values but also to see the average affinity of antibody. Based on the comparison with published literature values for mouse monoclonal antibodies, Recombinant antibodies appear to be on average 1-2 order of magnitude higher affinity.

Key facts

Host species

Rabbit

Clonality

Monoclonal

Clone number

EPR3967(2)

Isotype

IgG

Carrier free

Yes

Reacts with

Mouse, Rat, Human

Applications

IP, ChIP-seq, WB, IHC-P

applications

Immunogen

The exact immunogen used to generate this antibody is proprietary information.

Specificity

There is 71% homology between the antibody immunogen and the TEF5 protein. Preliminary ELISA data suggests weak cross-reactivity with TEF5, no cross-reactivity with TEF3 and TEF4.

Reactivity data

{ "title": "Reactivity Data", "filters": { "stats": ["", "Species", "Dilution Info", "Notes"], "tabs": { "all-applications": {"fullname" : "All Applications", "shortname": "All Applications"}, "ChIPseq" : {"fullname" : "ChIP-sequencing", "shortname":"ChIP-seq"}, "IHCP" : {"fullname" : "Immunohistochemistry (Formalin/PFA-fixed paraffin-embedded sections)", "shortname":"IHC-P"}, "ICCIF" : {"fullname" : "Immunocytochemistry/ Immunofluorescence", "shortname":"ICC/IF"}, "IP" : {"fullname" : "Immunoprecipitation", "shortname":"IP"}, "FlowCyt" : {"fullname" : "Flow Cytometry", "shortname":"Flow Cyt"}, "WB" : {"fullname" : "Western blot", "shortname":"WB"} }, "product-promise": { "all": "all", "testedAndGuaranteed": "tested", "guaranteed": "expected", "predicted": "predicted", "notRecommended": "not-recommended" } }, "values": { "Human": { "ChIPseq-species-checked": "testedAndGuaranteed", "ChIPseq-species-dilution-info": "", "ChIPseq-species-notes": "<p></p>", "IHCP-species-checked": "testedAndGuaranteed", "IHCP-species-dilution-info": "", "IHCP-species-notes": "<p></p>", "ICCIF-species-checked": "notRecommended", "ICCIF-species-dilution-info": "", "ICCIF-species-notes": "<p></p>", "IP-species-checked": "testedAndGuaranteed", "IP-species-dilution-info": "", "IP-species-notes": "<p></p>", "FlowCyt-species-checked": "notRecommended", "FlowCyt-species-dilution-info": "", "FlowCyt-species-notes": "<p></p>", "WB-species-checked": "testedAndGuaranteed", "WB-species-dilution-info": "", "WB-species-notes": "<p></p>" }, "Mouse": { "ChIPseq-species-checked": "testedAndGuaranteed", "ChIPseq-species-dilution-info": "", "ChIPseq-species-notes": "<p></p>", "IHCP-species-checked": "testedAndGuaranteed", "IHCP-species-dilution-info": "", "IHCP-species-notes": "<p></p>", "ICCIF-species-checked": "notRecommended", "ICCIF-species-dilution-info": "", "ICCIF-species-notes": "<p></p>", "IP-species-checked": "guaranteed", "IP-species-dilution-info": "", "IP-species-notes": "", "FlowCyt-species-checked": "notRecommended", "FlowCyt-species-dilution-info": "", "FlowCyt-species-notes": "<p></p>", "WB-species-checked": "testedAndGuaranteed", "WB-species-dilution-info": "", "WB-species-notes": "<p></p>" }, "Rat": { "ChIPseq-species-checked": "guaranteed", "ChIPseq-species-dilution-info": "", "ChIPseq-species-notes": "", "IHCP-species-checked": "testedAndGuaranteed", "IHCP-species-dilution-info": "", "IHCP-species-notes": "<p></p>", "ICCIF-species-checked": "notRecommended", "ICCIF-species-dilution-info": "", "ICCIF-species-notes": "<p></p>", "IP-species-checked": "guaranteed", "IP-species-dilution-info": "", "IP-species-notes": "", "FlowCyt-species-checked": "notRecommended", "FlowCyt-species-dilution-info": "", "FlowCyt-species-notes": "<p></p>", "WB-species-checked": "testedAndGuaranteed", "WB-species-dilution-info": "", "WB-species-notes": "<p></p>" } } }

Product details

ab219647 is the carrier-free version of ab133533.

Patented technology
Our RabMAb® technology is a patented hybridoma-based technology for making rabbit monoclonal antibodies. For details on our patents, please refer to RabMAb® patents.

What are the advantages of a recombinant monoclonal antibody?
This product is a recombinant monoclonal antibody, which offers several advantages including:

  • - High batch-to-batch consistency and reproducibility
  • - Improved sensitivity and specificity
  • - Long-term security of supply
  • - Animal-free batch production

For more information, read more on recombinant antibodies.

Conjugation ready
Our carrier-free antibodies are typically supplied in a PBS-only formulation, purified and free of BSA, sodium azide and glycerol. This conjugation-ready format is designed for use with fluorochromes, metal isotopes, oligonucleotides, and enzymes, which makes them ideal for antibody labelling, functional and cell-based assays, flow-based assays (e.g. mass cytometry) and Multiplex Imaging applications.

Use our conjugation kits for antibody conjugates that are ready-to-use in as little as 20 minutes with 1 minute hands-on-time and 100% antibody recovery: available for fluorescent dyes, HRP, biotin and gold.

Compatibility
This product is compatible with the Maxpar® Antibody Labeling Kit from Fluidigm, without the need for antibody preparation. Maxpar® is a trademark of Fluidigm Canada Inc.

Properties and storage information

Form
Liquid
Purification technique
Affinity purification Protein A
Storage buffer
pH: 7.2 - 7.4 Constituents: PBS
Shipped at conditions
Blue Ice
Appropriate short-term storage conditions
+4°C
Appropriate long-term storage conditions
+4°C
Storage information
Do Not Freeze

Product protocols

For this product, it's our understanding that no specific protocols are required. You can visit:

Target data

Transcription factor which plays a key role in the Hippo signaling pathway, a pathway involved in organ size control and tumor suppression by restricting proliferation and promoting apoptosis. The core of this pathway is composed of a kinase cascade wherein MST1/MST2, in complex with its regulatory protein SAV1, phosphorylates and activates LATS1/2 in complex with its regulatory protein MOB1, which in turn phosphorylates and inactivates YAP1 oncoprotein and WWTR1/TAZ. Acts by mediating gene expression of YAP1 and WWTR1/TAZ, thereby regulating cell proliferation, migration and epithelial mesenchymal transition (EMT) induction. Binds specifically and cooperatively to the SPH and GT-IIC 'enhansons' (5'-GTGGAATGT-3') and activates transcription in vivo in a cell-specific manner. The activation function appears to be mediated by a limiting cell-specific transcriptional intermediary factor (TIF). Involved in cardiac development. Binds to the M-CAT motif.
See full target information TEAD1

Publications (1)

Recent publications for all applications. Explore the full list and refine your search

Nature communications 16:7035 PubMed40745160

2025

Mogat1 drives metabolic adaptations to evade immune surveillance.

Applications

Unspecified application

Species

Unspecified reactive species

Huan Wei,Congyi Niu,Yue Shi,Yingfei Fang,Chengheng Yang,Jian Liu,Zhenjie Xu
View all publications

Product promise

We are committed to supporting your work with high-quality reagents, and we're here for you every step of the way. In the unlikely event that one of our products does not perform as expected, you're protected by our Product Promise.
For full details, please see our Terms & Conditions

Please note: All products are 'FOR RESEARCH USE ONLY. NOT FOR USE IN DIAGNOSTIC OR THERAPEUTIC PROCEDURES'.

For licensing inquiries, please contact partnerships@abcam.com