JavaScript is disabled in your browser. Please enable JavaScript to view this website.
AB32020

Anti-Telomerase reverse transcriptase antibody [Y182] (Overexpressed)

4

(9 Reviews)

|

(126 Publications)

Rabbit Recombinant Monoclonal Telomerase reverse transcriptase antibody. Suitable for WB and reacts with Transfected cell lysate - Human samples. Cited in 126 publications.

View Alternative Names

EST2, TCS1, TRT, TERT, Telomerase reverse transcriptase, HEST2, Telomerase catalytic subunit, Telomerase-associated protein 2, TP2

4 Images
Western blot - Anti-Telomerase reverse transcriptase antibody [Y182] (Overexpressed) (AB32020)
  • WB

Collaborator

Western blot - Anti-Telomerase reverse transcriptase antibody [Y182] (Overexpressed) (AB32020)

Blocking and diluting buffer and concentration : 5% Milk + PBST.

In Western blot, β-actin was used as loading control staining at 1/1000 dilution.

Approx. 75k cells of total protein were loaded to all wells.

This product is only suitable for use with overexpressed samples. Additional testing has now shown that in endogenous samples a non-specific band is observed at the same MW as hTERT (120 kDa). We do not know the identity of this band.

Non-Specific band observed is consistent with what has been described in the literature (PMID : 24990373).

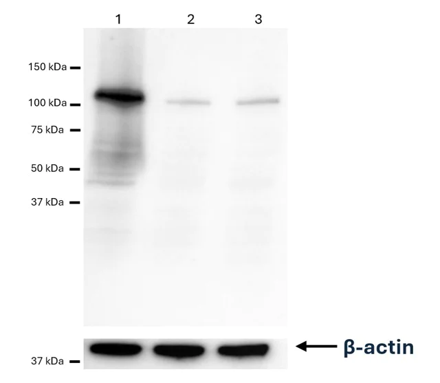
All lanes:

Western blot - Anti-Telomerase reverse transcriptase antibody [Y182] (Overexpressed) (ab32020) at 1/500 dilution

Lane 1:

NCI-H1299 (human lung carcinoma epithelial cell) Knock Out whole cell lysate at 75000 Cells

Lane 2:

NCI-H1299 transfected with a human TERT expression vector, whole cell lysate at 75000 Cells

Lane 3:

NCI-H1299 whole cell lysate at 75000 Cells

Secondary

Lanes 1 - 3:

Anti-Rabbit for TERT detection

Lanes 1 - 3:

Anti-Mouse for β-actin detection

Observed band size: 120 kDa

false

The data was kindly provided by an Anonymous collaborator

Western blot - Anti-Telomerase reverse transcriptase antibody [Y182] (Overexpressed) (AB32020)
  • WB

Collaborator

Western blot - Anti-Telomerase reverse transcriptase antibody [Y182] (Overexpressed) (AB32020)

Blocking and diluting buffer and concentration : 5% Milk + PBST.

In Western blot, β-actin was used as loading control staining at 1/1000 dilution.

Approx. 75k cells of total protein were loaded to all wells.

This product is only suitable for use with overexpressed samples. Additional testing has now shown that in endogenous samples a non-specific band is observed at the same MW as hTERT (120 kDa). We do not know the identity of this band.

Non-Specific band observed is consistent with what has been described in the literature (PMID : 24990373).

All lanes:

Western blot - Anti-Telomerase reverse transcriptase antibody [Y182] (Overexpressed) (ab32020) at 1/500 dilution

Lane 1:

Calu-6 (Anaplastic carcinoma epithelial cell) transfected with a human TERT expression vector at 75000 Cells

Lane 2:

Calu-6 whole cell lysate at 75000 Cells

Lane 3:

Calu-6 whole cell lysate Knock Down with Antisense oligonucleotides at 75000 Cells

Secondary

Lanes 1 - 3:

Anti-Rabbit for TERT detection

Lanes 1 - 3:

Anti-Mouse for β-actin detection

Observed band size: 120 kDa

false

The data was kindly provided by an Anonymous collaborator

Western blot - Anti-Telomerase reverse transcriptase antibody [Y182] (Overexpressed) (AB32020)
  • WB

PubMed

Western blot - Anti-Telomerase reverse transcriptase antibody [Y182] (Overexpressed) (AB32020)

Overexpression of either hTR or hTERT increases total telomerase activity in living cells.

(a) hTR or hTERT overexpression in HEK 293T and HeLa cells was quantified by northern or western blot, respectively, with H1 RNA or β-actin as loading controls.

(b) Quantification of telomerase activity as measured by direct telomerase assay using lysates from HEK 293T or HeLa cells untransfected or transfected with either hTR or hTERT expression vectors (error bars : SD, n = 3).

All lanes:

Western blot - Anti-Telomerase reverse transcriptase antibody [Y182] (Overexpressed) (ab32020) at 1/1000 dilution

All lanes:

hTR or hTERT overexpression in HEK 293T and HeLa cells

false

Linghe Xi et al Nucleic Acids Res. 2014 Jul 2;42(13):8565–8577. Fig 4. doi: 10.1093/nar/gku560. Reproduced under the Creative Commons license https://creativecommons.org/licenses/by/3.0/

Western blot - Anti-Telomerase reverse transcriptase antibody [Y182] (Overexpressed) (AB32020)
  • WB

Lab

Western blot - Anti-Telomerase reverse transcriptase antibody [Y182] (Overexpressed) (AB32020)

Rabbit Monoclonal [Y182] to Telomerase reverse transcriptase ab32020 staining at 1/1000 dilution, shown in green

Mouse anti GAPDH (ab8245) loading control staining at 1/20,000 dilution, shown in magenta.

A band was observed at 127 kDa in TERT HEK293T Overexpression Lysate (Flag tag) cell lysates with no signal observed at this size in HEK293T Mock Transfection Lysate cell line.

To generate this image, samples were run on an SDS-PAGE gel then transferred onto a nitrocellulose membrane. Membranes were blocked in 3pc Milk in TBS-0.1 % Tween® 20 (TBST) before incubation with primary antibodies overnight at 4 °C. Blots were washed four times in TBST, incubated with secondary antibodies for 1 h at room temperature, washed again four times then imaged.

Secondary antibodies used were Goat anti-Rabbit 800CW & Goat anti-Mouse 680RD at 1/20,000 dilution.

All lanes:

Western blot - Anti-Telomerase reverse transcriptase antibody [Y182] (Overexpressed) (ab32020) at 1/1000 dilution

Lane 1:

TERT HEK-293T Overexpression Lysate (Flag tag) at 20 µg

Lane 2:

HEK-293T Mock Transfection Lysate at 20 µg

Secondary

All lanes:

Goat anti-Rabbit 800CW & Goat anti-Mouse 680RD at 1/20000 dilution

Observed band size: 127 kDa

false

  • Carrier free

    Anti-Telomerase reverse transcriptase antibody [Y182] (Overexpressed)- BSA and Azide free

Key facts

Host species

Rabbit

Clonality

Monoclonal

Clone number

Y182

Isotype

IgG

Carrier free

No

Reacts with

Human

Applications

WB

applications

Immunogen

The exact immunogen used to generate this antibody is proprietary information.

Specificity

This product is only suitable for use with overexpressed samples. Additional testing has now shown that in endogenous samples a non-specific band is observed at the same MW as hTERT (120 kDa). We do not know the identity of this band.

Reactivity data

{ "title": "Reactivity Data", "filters": { "stats": ["", "Species", "Dilution Info", "Notes"], "tabs": { "all-applications": {"fullname" : "All Applications", "shortname": "All Applications"}, "WB" : {"fullname" : "Western blot", "shortname":"WB"}, "IP" : {"fullname" : "Immunoprecipitation", "shortname":"IP"}, "IHCP" : {"fullname" : "Immunohistochemistry (Formalin/PFA-fixed paraffin-embedded sections)", "shortname":"IHC-P"}, "ICCIF" : {"fullname" : "Immunocytochemistry/ Immunofluorescence", "shortname":"ICC/IF"} }, "product-promise": { "all": "all", "testedAndGuaranteed": "tested", "guaranteed": "expected", "predicted": "predicted", "notRecommended": "not-recommended" } }, "values": { "Human": { "WB-species-checked": "notRecommended", "WB-species-dilution-info": "", "WB-species-notes": "<p></p>", "IP-species-checked": "notRecommended", "IP-species-dilution-info": "", "IP-species-notes": "<p></p>", "IHCP-species-checked": "notRecommended", "IHCP-species-dilution-info": "", "IHCP-species-notes": "<p></p>", "ICCIF-species-checked": "notRecommended", "ICCIF-species-dilution-info": "1/50 - 1/100", "ICCIF-species-notes": "<p></p>" }, "Cow": { "WB-species-checked": "notRecommended", "WB-species-dilution-info": "", "WB-species-notes": "", "IP-species-checked": "notRecommended", "IP-species-dilution-info": "", "IP-species-notes": "", "IHCP-species-checked": "notRecommended", "IHCP-species-dilution-info": "", "IHCP-species-notes": "", "ICCIF-species-checked": "notRecommended", "ICCIF-species-dilution-info": "", "ICCIF-species-notes": "" }, "Transfected cell lysate - Human": { "WB-species-checked": "testedAndGuaranteed", "WB-species-dilution-info": "", "WB-species-notes": "<p></p>", "IP-species-checked": "notRecommended", "IP-species-dilution-info": "", "IP-species-notes": "", "IHCP-species-checked": "notRecommended", "IHCP-species-dilution-info": "", "IHCP-species-notes": "", "ICCIF-species-checked": "notRecommended", "ICCIF-species-dilution-info": "", "ICCIF-species-notes": "" } } }

Product details

Species reactivity
Mouse: We have preliminary internal testing data to indicate this antibody may not react with this species.
Please contact us for more information.

Patented technology
Our RabMAb® technology is a patented hybridoma-based technology for making rabbit monoclonal antibodies. For details on our patents, please refer to RabMAb® patents.

What are the advantages of a recombinant monoclonal antibody?
This product is a recombinant monoclonal antibody, which offers several advantages including:

  • - High batch-to-batch consistency and reproducibility
  • - Improved sensitivity and specificity
  • - Long-term security of supply
  • - Animal-free batch production

For more information, read more on recombinant antibodies.

Properties and storage information

Form
Liquid
Purification technique
Affinity purification Protein A
Purification notes
Cells supernatant
Storage buffer
pH: 7.2 - 7.4 Preservative: 0.01% Sodium azide Constituents: PBS, 40% Glycerol (glycerin, glycerine), 0.05% BSA
Shipped at conditions
Blue Ice
Appropriate short-term storage conditions
+4°C
Appropriate long-term storage conditions
-20°C
Aliquoting information
Upon delivery aliquot
Storage information
Avoid freeze / thaw cycle

Supplementary information

This supplementary information is collated from multiple sources and compiled automatically.

Telomerase reverse transcriptase also known as TERT is an enzyme with a molecular mass of about 127 kDa. It functions as a catalytic subunit of the telomerase complex which extends telomeres by adding the nucleotide sequence "TTAGGG" to the ends of chromosomes. TERT operates with a telomerase RNA component (TERC) to synthesize DNA using an RNA template a process called reverse transcription. TERT is expressed in embryonic tissues adult stem cells and cancer cells where rapid cell division occurs.
Biological function summary

TERT plays an important role in maintaining telomere length essential for protecting chromosome stability. The protein forms part of the telomerase holoenzyme complex working together with TERC to perform its function. Telomerase activity allows cells to bypass the Hayflick limit preventing senescence and enhancing replication potential. In addition to telomere maintenance TERT influences gene regulation and cellular proliferation.

Pathways

TERT holds significance in the telomere maintenance and signaling pathways. Telomere maintenance ensures genomic integrity and cellular longevity a process fundamental for tissue homeostasis and regeneration. TERT interacts with proteins such as dyskerin and TERC within these pathways. Its regulatory roles in these pathways also reveal interactions with other key proteins like hypothesized targets in the DNA damage response.

The upregulation of TERT is associated with cancer and degenerative diseases. Increased telomerase activity is a common feature in many cancers leading to uncontrolled cell proliferation. Additionally mutations in TERT and its associated components can contribute to disorders like dyskeratosis congenita a rare genetic condition resulting in bone marrow failure. In these conditions TERT interaction with proteins involved in chromosomal maintenance and repair becomes important for understanding disease mechanisms.

Product protocols

For this product, it's our understanding that no specific protocols are required. You can visit:

Target data

Telomerase is a ribonucleoprotein enzyme essential for the replication of chromosome termini in most eukaryotes. Active in progenitor and cancer cells. Inactive, or very low activity, in normal somatic cells. Catalytic component of the teleromerase holoenzyme complex whose main activity is the elongation of telomeres by acting as a reverse transcriptase that adds simple sequence repeats to chromosome ends by copying a template sequence within the RNA component of the enzyme. Catalyzes the RNA-dependent extension of 3'-chromosomal termini with the 6-nucleotide telomeric repeat unit, 5'-TTAGGG-3'. The catalytic cycle involves primer binding, primer extension and release of product once the template boundary has been reached or nascent product translocation followed by further extension. More active on substrates containing 2 or 3 telomeric repeats. Telomerase activity is regulated by a number of factors including telomerase complex-associated proteins, chaperones and polypeptide modifiers. Modulates Wnt signaling. Plays important roles in aging and antiapoptosis.
See full target information TERT

Publications (126)

Recent publications for all applications. Explore the full list and refine your search

Clinical epigenetics 17:88 PubMed40448175

2025

TERT promoter methylation predicts overall survival, immune cell infiltration and response to immunotherapy in clear cell renal cell carcinoma.

Applications

Unspecified application

Species

Unspecified reactive species

Xinyu Guan,Jiahao Meng,Wenjun Yi,Kun Ye,Hongyu Gao,Yue Hong,Limeng Qu,Shirong Ding,Qian Long

Scientific reports 15:6787 PubMed40000722

2025

Discovery and characterization of a novel telomerase alternative splicing isoform that protects lung cancer cells from chemotherapy induced cell death.

Applications

Unspecified application

Species

Unspecified reactive species

Jeongjin J Kim,Alexander Ahn,Jeffrey Y Ying,Andrew T Ludlow

Science advances 11:eadr9266 PubMed39970222

2025

Bioengineered protein nanocarrier facilitating siRNA escape from lysosomes for targeted RNAi therapy in glioblastoma.

Applications

Unspecified application

Species

Unspecified reactive species

Yiliang Jin,Baoli Zhang,Jianru Li,Zhenxi Guo,Chen Zhang,Xuehui Chen,Long Ma,Zhuoran Wang,Haiyin Yang,Yong Li,Yuhua Weng,Yuanyu Huang,Xiyun Yan,Kelong Fan

PloS one 20:e0317559 PubMed39946362

2025

Multifunctional molecular hybrid for targeted colorectal cancer cells: Integrating doxorubicin, AS1411 aptamer, and T9/U4 ASO.

Applications

Unspecified application

Species

Unspecified reactive species

Kanpitcha Jiramitmongkon,Pichayanoot Rotkrua,Paisan Khanchaitit,Jiraporn Arunpanichlert,Boonchoy Soontornworajit

Frontiers in cellular neuroscience 18:1424137 PubMed39830038

2025

Cycloastragenol promotes dorsal column axon regeneration in mice.

Applications

Unspecified application

Species

Unspecified reactive species

Tao Zihan,Teng Wenwen,Ma Yanxia, Saijilafu

Molecular therapy. Nucleic acids 36:102400 PubMed39759876

2025

A sort and sequence approach to dissect heterogeneity of response to a self-amplifying RNA vector in a novel human muscle cell line.

Applications

Unspecified application

Species

Unspecified reactive species

Rachel D Barton,John S Tregoning,Ziyin Wang,Daniel Gonçalves-Carneiro,Radhika Patel,Paul F McKay,Robin J Shattock

Foods (Basel, Switzerland) 13: PubMed38890904

2024

Fruit Extracts Upregulate Telomerase Activity and Ameliorate Cell Replicative Senescence.

Applications

Unspecified application

Species

Unspecified reactive species

Yan Huang,Haoyue Peng,Yifan Wu,Shengcheng Deng,Fahuan Ge,Wenbin Ma,Xue Zhou,Zhou Songyang

iScience 27:109869 PubMed38799568

2024

TERC promotes non-small cell lung cancer progression by facilitating the nuclear localization of TERT.

Applications

Unspecified application

Species

Unspecified reactive species

Haohui Sun,Xiaodi Li,Qian Long,Xiaonan Wang,Wancui Zhu,Enni Chen,Wenhao Zhou,Han Yang,Chuyang Huang,Wuguo Deng,Miao Chen

PloS one 19:e0298118 PubMed38722833

2024

TPP1 is associated with risk of advanced precursors and cervical cancer survival.

Applications

Unspecified application

Species

Unspecified reactive species

Qiao-Li Wang,Caifeng Gong,Xiang-Yu Meng,Min Fu,Hui Yang,Fuxiang Zhou,Qiuji Wu,Yunfeng Zhou

Acta biochimica et biophysica Sinica 56:184-198 PubMed38282476

2024

8-Oxoguanine DNA glycosylase protects cells from senescence via the p53-p21 pathway.

Applications

Unspecified application

Species

Unspecified reactive species

Shenglan Gao,Lujun Chen,Ziying Lin,Zhiliang Xu,Yahong Wang,Huayu Ling,Zijun Wu,Yu Yin,Weimin Yao,Keng Wu,Gang Liu
View all publications

Product promise

We are committed to supporting your work with high-quality reagents, and we're here for you every step of the way. In the unlikely event that one of our products does not perform as expected, you're protected by our Product Promise.
For full details, please see our Terms & Conditions

Please note: All products are 'FOR RESEARCH USE ONLY. NOT FOR USE IN DIAGNOSTIC OR THERAPEUTIC PROCEDURES'.

For licensing inquiries, please contact partnerships@abcam.com