JavaScript is disabled in your browser. Please enable JavaScript to view this website.
AB181830

Anti-Telomerase reverse transcriptase antibody [Y182] (Overexpressed)- BSA and Azide free

Be the first to review this product! Submit a review

|

(16 Publications)

Rabbit Recombinant Monoclonal Telomerase reverse transcriptase antibody. Carrier free. Suitable for WB and reacts with Transfected cell lysate - Human samples. Cited in 16 publications.

View Alternative Names

EST2, TCS1, TRT, TERT, Telomerase reverse transcriptase, HEST2, Telomerase catalytic subunit, Telomerase-associated protein 2, TP2

4 Images
Western blot - Anti-Telomerase reverse transcriptase antibody [Y182] (Overexpressed)- BSA and Azide free (AB181830)
  • WB

Collaborator

Western blot - Anti-Telomerase reverse transcriptase antibody [Y182] (Overexpressed)- BSA and Azide free (AB181830)

This data was developed using ab32020, the same antibody clone in a different buffer formulation.

Blocking and diluting buffer and concentration : 5% Milk + PBST.

In Western blot, β-actin was used as loading control staining at 1/1000 dilution.

Approx. 75k cells of total protein were loaded to all wells.

This product is only suitable for use with overexpressed samples. Additional testing has now shown that in endogenous samples a non-specific band is observed at the same MW as hTERT (120 kDa). We do not know the identity of this band.

Non-Specific band observed is consistent with what has been described in the literature (PMID : 24990373).

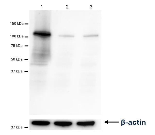
All lanes:

Western blot - Anti-Telomerase reverse transcriptase antibody [Y182] (Overexpressed) (<a href='/en-us/products/primary-antibodies/telomerase-reverse-transcriptase-antibody-y182-overexpressed-ab32020'>ab32020</a>) at 1/500 dilution

Lane 1:

NCI-H1299 (human lung carcinoma epithelial cell) Knock Out whole cell lysate at 75000 Cells

Lane 2:

NCI-H1299 transfected with a human TERT expression vector, whole cell lysate at 75000 Cells

Lane 3:

NCI-H1299 whole cell lysate at 75000 Cells

Secondary

Lanes 1 - 3:

Anti-Rabbit for TERT detection

Lanes 1 - 3:

Anti-Mouse for β-actin detection

Observed band size: 120 kDa

false

The data was kindly provided by an Anonymous collaborator

Western blot - Anti-Telomerase reverse transcriptase antibody [Y182] (Overexpressed)- BSA and Azide free (AB181830)
  • WB

Collaborator

Western blot - Anti-Telomerase reverse transcriptase antibody [Y182] (Overexpressed)- BSA and Azide free (AB181830)

This data was developed using ab32020, the same antibody clone in a different buffer formulation.

Blocking and diluting buffer and concentration : 5% Milk + PBST.

In Western blot, β-actin was used as loading control staining at 1/1000 dilution.

Approx. 75k cells of total protein were loaded to all wells.

This product is only suitable for use with overexpressed samples. Additional testing has now shown that in endogenous samples a non-specific band is observed at the same MW as hTERT (120 kDa). We do not know the identity of this band.

Non-Specific band observed is consistent with what has been described in the literature (PMID : 24990373).

All lanes:

Western blot - Anti-Telomerase reverse transcriptase antibody [Y182] (Overexpressed) (<a href='/en-us/products/primary-antibodies/telomerase-reverse-transcriptase-antibody-y182-overexpressed-ab32020'>ab32020</a>) at 1/500 dilution

Lane 1:

Calu-6 (Anaplastic carcinoma epithelial cell) transfected with a human TERT expression vector at 75000 Cells

Lane 2:

Calu-6 whole cell lysate at 75000 Cells

Lane 3:

Calu-6 whole cell lysate Knock Down with Antisense oligonucleotides at 75000 Cells

Secondary

Lanes 1 - 3:

Anti-Rabbit for TERT detection

Lanes 1 - 3:

Anti-Mouse for β-actin detection

Observed band size: 120 kDa

false

The data was kindly provided by an Anonymous collaborator

Western blot - Anti-Telomerase reverse transcriptase antibody [Y182] (Overexpressed)- BSA and Azide free (AB181830)
  • WB

PubMed

Western blot - Anti-Telomerase reverse transcriptase antibody [Y182] (Overexpressed)- BSA and Azide free (AB181830)

This data was developed using ab32020, the same antibody clone in a different buffer formulation.

Overexpression of either hTR or hTERT increases total telomerase activity in living cells.

(a) hTR or hTERT overexpression in HEK 293T and HeLa cells was quantified by northern or western blot, respectively, with H1 RNA or β-actin as loading controls.

(b) Quantification of telomerase activity as measured by direct telomerase assay using lysates from HEK 293T or HeLa cells untransfected or transfected with either hTR or hTERT expression vectors (error bars : SD, n = 3).

All lanes:

Western blot - Anti-Telomerase reverse transcriptase antibody [Y182] (Overexpressed) (<a href='/en-us/products/primary-antibodies/telomerase-reverse-transcriptase-antibody-y182-overexpressed-ab32020'>ab32020</a>) at 1/1000 dilution

All lanes:

hTR or hTERT overexpression in HEK 293T and HeLa cells

false

Linghe Xi et al Nucleic Acids Res. 2014 Jul 2;42(13):8565–8577. Fig 4. doi: 10.1093/nar/gku560. Reproduced under the Creative Commons license https://creativecommons.org/licenses/by/3.0/

Western blot - Anti-Telomerase reverse transcriptase antibody [Y182] (Overexpressed)- BSA and Azide free (AB181830)
  • WB

Lab

Western blot - Anti-Telomerase reverse transcriptase antibody [Y182] (Overexpressed)- BSA and Azide free (AB181830)

This data was developed using ab32020, the same antibody clone in a different buffer formulation.

Rabbit Monoclonal [Y182] to Telomerase reverse transcriptase ab32020 staining at 1/1000 dilution, shown in green.

Mouse anti GAPDH (ab8245) loading control staining at 1/20,000 dilution, shown in magenta.

A band was observed at 127 kDa in TERT HEK293T Overexpression Lysate (Flag tag) cell lysates with no signal observed at this size in HEK293T Mock Transfection Lysate cell line.

To generate this image, samples were run on an SDS-PAGE gel then transferred onto a nitrocellulose membrane. Membranes were blocked in 3pc Milk in TBS-0.1 % Tween® 20 (TBST) before incubation with primary antibodies overnight at 4 °C. Blots were washed four times in TBST, incubated with secondary antibodies for 1 h at room temperature, washed again four times then imaged.

Secondary antibodies used were Goat anti-Rabbit 800CW & Goat anti-Mouse 680RD at 1/20,000 dilution.

All lanes:

Western blot - Anti-Telomerase reverse transcriptase antibody [Y182] (Overexpressed) (<a href='/en-us/products/primary-antibodies/telomerase-reverse-transcriptase-antibody-y182-overexpressed-ab32020'>ab32020</a>) at 1/1000 dilution

Lane 1:

TERT HEK-293T Overexpression Lysate (Flag tag) at 20 µg

Lane 2:

HEK-293T Mock Transfection Lysate at 20 µg

Secondary

All lanes:

Goat anti-Rabbit 800CW & Goat anti-Mouse 680RD at 1/20000 dilution

Observed band size: 127 kDa

false

  • Unconjugated

    Anti-Telomerase reverse transcriptase antibody [Y182] (Overexpressed)

Key facts

Host species

Rabbit

Clonality

Monoclonal

Clone number

Y182

Isotype

IgG

Carrier free

Yes

Reacts with

Human

Applications

WB

applications

Immunogen

The exact immunogen used to generate this antibody is proprietary information.

Specificity

This product is only suitable for use with overexpressed samples. Additional testing has now shown that in endogenous samples a non-specific band is observed at the same MW as hTERT (120 kDa). We do not know the identity of this band.

Reactivity data

{ "title": "Reactivity Data", "filters": { "stats": ["", "Species", "Dilution Info", "Notes"], "tabs": { "all-applications": {"fullname" : "All Applications", "shortname": "All Applications"}, "WB" : {"fullname" : "Western blot", "shortname":"WB"}, "IP" : {"fullname" : "Immunoprecipitation", "shortname":"IP"}, "ICCIF" : {"fullname" : "Immunocytochemistry/ Immunofluorescence", "shortname":"ICC/IF"} }, "product-promise": { "all": "all", "testedAndGuaranteed": "tested", "guaranteed": "expected", "predicted": "predicted", "notRecommended": "not-recommended" } }, "values": { "Human": { "WB-species-checked": "notRecommended", "WB-species-dilution-info": "", "WB-species-notes": "<p></p>", "IP-species-checked": "notRecommended", "IP-species-dilution-info": "", "IP-species-notes": "<p></p>", "ICCIF-species-checked": "notRecommended", "ICCIF-species-dilution-info": "", "ICCIF-species-notes": "<p></p>" }, "Cow": { "WB-species-checked": "notRecommended", "WB-species-dilution-info": "", "WB-species-notes": "", "IP-species-checked": "notRecommended", "IP-species-dilution-info": "", "IP-species-notes": "", "ICCIF-species-checked": "notRecommended", "ICCIF-species-dilution-info": "", "ICCIF-species-notes": "" }, "Transfected cell lysate - Human": { "WB-species-checked": "testedAndGuaranteed", "WB-species-dilution-info": "", "WB-species-notes": "<p></p>", "IP-species-checked": "notRecommended", "IP-species-dilution-info": "", "IP-species-notes": "", "ICCIF-species-checked": "notRecommended", "ICCIF-species-dilution-info": "", "ICCIF-species-notes": "" } } }

Product details

ab181830 is the carrier-free version of ab32020.

Patented technology
Our RabMAb® technology is a patented hybridoma-based technology for making rabbit monoclonal antibodies. For details on our patents, please refer to RabMAb® patents.

Conjugation ready
Our carrier-free antibodies are typically supplied in a PBS-only formulation, purified and free of BSA, sodium azide and glycerol. This conjugation-ready format is designed for use with fluorochromes, metal isotopes, oligonucleotides, and enzymes, which makes them ideal for antibody labelling, functional and cell-based assays, flow-based assays (e.g. mass cytometry) and Multiplex Imaging applications.

Use our conjugation kits for antibody conjugates that are ready-to-use in as little as 20 minutes with 1 minute hands-on-time and 100% antibody recovery: available for fluorescent dyes, HRP, biotin and gold.

Compatibility
This product is compatible with the Maxpar® Antibody Labeling Kit from Fluidigm, without the need for antibody preparation. Maxpar® is a trademark of Fluidigm Canada Inc.

Properties and storage information

Form
Liquid
Purification technique
Affinity purification Protein A
Storage buffer
Constituents: PBS
Shipped at conditions
Blue Ice
Appropriate short-term storage conditions
+4°C
Appropriate long-term storage conditions
+4°C
Storage information
Do Not Freeze

Supplementary information

This supplementary information is collated from multiple sources and compiled automatically.

Telomerase reverse transcriptase also known as TERT is an enzyme with a molecular mass of about 127 kDa. It functions as a catalytic subunit of the telomerase complex which extends telomeres by adding the nucleotide sequence "TTAGGG" to the ends of chromosomes. TERT operates with a telomerase RNA component (TERC) to synthesize DNA using an RNA template a process called reverse transcription. TERT is expressed in embryonic tissues adult stem cells and cancer cells where rapid cell division occurs.
Biological function summary

TERT plays an important role in maintaining telomere length essential for protecting chromosome stability. The protein forms part of the telomerase holoenzyme complex working together with TERC to perform its function. Telomerase activity allows cells to bypass the Hayflick limit preventing senescence and enhancing replication potential. In addition to telomere maintenance TERT influences gene regulation and cellular proliferation.

Pathways

TERT holds significance in the telomere maintenance and signaling pathways. Telomere maintenance ensures genomic integrity and cellular longevity a process fundamental for tissue homeostasis and regeneration. TERT interacts with proteins such as dyskerin and TERC within these pathways. Its regulatory roles in these pathways also reveal interactions with other key proteins like hypothesized targets in the DNA damage response.

The upregulation of TERT is associated with cancer and degenerative diseases. Increased telomerase activity is a common feature in many cancers leading to uncontrolled cell proliferation. Additionally mutations in TERT and its associated components can contribute to disorders like dyskeratosis congenita a rare genetic condition resulting in bone marrow failure. In these conditions TERT interaction with proteins involved in chromosomal maintenance and repair becomes important for understanding disease mechanisms.

Product protocols

For this product, it's our understanding that no specific protocols are required. You can visit:

Target data

Telomerase is a ribonucleoprotein enzyme essential for the replication of chromosome termini in most eukaryotes. Active in progenitor and cancer cells. Inactive, or very low activity, in normal somatic cells. Catalytic component of the teleromerase holoenzyme complex whose main activity is the elongation of telomeres by acting as a reverse transcriptase that adds simple sequence repeats to chromosome ends by copying a template sequence within the RNA component of the enzyme. Catalyzes the RNA-dependent extension of 3'-chromosomal termini with the 6-nucleotide telomeric repeat unit, 5'-TTAGGG-3'. The catalytic cycle involves primer binding, primer extension and release of product once the template boundary has been reached or nascent product translocation followed by further extension. More active on substrates containing 2 or 3 telomeric repeats. Telomerase activity is regulated by a number of factors including telomerase complex-associated proteins, chaperones and polypeptide modifiers. Modulates Wnt signaling. Plays important roles in aging and antiapoptosis.
See full target information TERT

Publications (16)

Recent publications for all applications. Explore the full list and refine your search

OncoTargets and therapy 13:10901-10916 PubMed33149607

2020

Integrated RNA Sequencing and Single-Cell Mass Cytometry Reveal a Novel Role of LncRNA HOXA-AS2 in Tumorigenesis and Stemness of Hepatocellular Carcinoma.

Applications

Unspecified application

Species

Unspecified reactive species

Qinchen Lu,Jiamin Gao,Shaomei Tang,Zhijian Li,Xi Wang,Caiwang Deng,Jiaxin Hu,Yuting Tao,Qiuyan Wang

Nucleic acids research 41:8969-78 PubMed23901009

2013

Many disease-associated variants of hTERT retain high telomerase enzymatic activity.

Applications

WB

Species

Unspecified reactive species

Arthur J Zaug,Sharon M Crary,Matthew Jesse Fioravanti,Kristina Campbell,Thomas R Cech

Scientific reports 3:2089 PubMed23807566

2013

p38γ overexpression in gliomas and its role in proliferation and apoptosis.

Applications

WB

Species

Human

Kui Yang,Yunsheng Liu,Zhixiong Liu,Jinfang Liu,Xin Liu,Xin Chen,Chuntao Li,Yu Zeng

Molecular and cellular biology 33:2988-95 PubMed23716593

2013

Telomere length influences cancer cell differentiation in vivo.

Applications

IF, ISH, WB

Species

Unspecified reactive species, Unspecified reactive species, Unspecified reactive species

Kyotaro Hirashima,Toshiro Migita,Shigeo Sato,Yukiko Muramatsu,Yuichi Ishikawa,Hiroyuki Seimiya

Anticancer research 33:821-9 PubMed23482750

2013

Increased alternative lengthening of telomere phenotypes of telomerase-negative immortal cells upon trichostatin--a treatment.

Applications

WB

Species

Human

A Ra Jung,Jeong Eun Yoo,Yhong-Hee Shim,Ye-Na Choi,Hei-Cheul Jeung,Hyun Cheol Chung,Sun Young Rha,Bong-Kyeong Oh

Stem cells (Dayton, Ohio) 30:2523-34 PubMed22949402

2012

Revisited microanatomy of the corneal endothelial periphery: new evidence for continuous centripetal migration of endothelial cells in humans.

Applications

IHC - Wmt

Species

Human

Zhiguo He,Nelly Campolmi,Philippe Gain,Binh Minh Ha Thi,Jean-Marc Dumollard,Sébastien Duband,Michel Peoc'h,Simone Piselli,Olivier Garraud,Gilles Thuret

Aging 3:1192-201 PubMed22199022

2011

Robust nuclear lamina-based cell classification of aging and senescent cells.

Applications

ICC/IF, WB

Species

Human, Human

Christiaan H Righolt,Merel L R van 't Hoff,Bart J Vermolen,Ian T Young,Vered Raz

Nucleic acids research 40:2554-65 PubMed22135295

2011

Metastases suppressor NME2 associates with telomere ends and telomerase and reduces telomerase activity within cells.

Applications

ICC/IF, WB

Species

Human, Human

Anirban Kar,Dhurjhoti Saha,Gunjan Purohit,Ankita Singh,Parveen Kumar,Vinod Kumar Yadav,Pankaj Kumar,Ram Krishna Thakur,Shantanu Chowdhury

Cancer letters 309:162-9 PubMed21669490

2011

Adenovirus-mediated transfer of tris-shRNAs induced apoptosis of nasopharyngeal carcinoma cell in vitro and in vivo.

Applications

WB

Species

Human

Ji-Bo Han,Ze-Zhang Tao,Shi-Ming Chen,Yong-Gang Kong,Bo-Kui Xiao

Neuroscience 177:23-34 PubMed21195136

2011

Immortalization and functional characterization of rat arachnoid cell lines.

Applications

WB, ICC/IF

Species

Human, Human

C Janson,L Romanova,E Hansen,A Hubel,C Lam
View all publications

Product promise

We are committed to supporting your work with high-quality reagents, and we're here for you every step of the way. In the unlikely event that one of our products does not perform as expected, you're protected by our Product Promise.
For full details, please see our Terms & Conditions

Please note: All products are 'FOR RESEARCH USE ONLY. NOT FOR USE IN DIAGNOSTIC OR THERAPEUTIC PROCEDURES'.

For licensing inquiries, please contact partnerships@abcam.com